Examining the Neurobiology of Non-Suicidal Self-Injury in Children and Adolescents: The Role of Reward Responsivity
Abstract
1. Introduction
1.1. NSSI and Associations with Negative and Positive Outcomes
1.2. Neural Correlates of NSSI
1.3. NSSI and Comorbid Depressive Symptoms
1.4. Current Study
2. Materials and Methods
2.1. Study Participants
2.2. Measures
2.2.1. NSSI Status
2.2.2. Depressive Symptoms
2.2.3. Responses to Negative and Positive Outcomes
2.2.4. fMRI Tasks
2.3. Procedure
2.3.1. Laboratory Visit
2.3.2. Scan Visit
2.4. Data Analysis
2.4.1. Imaging Preprocessing
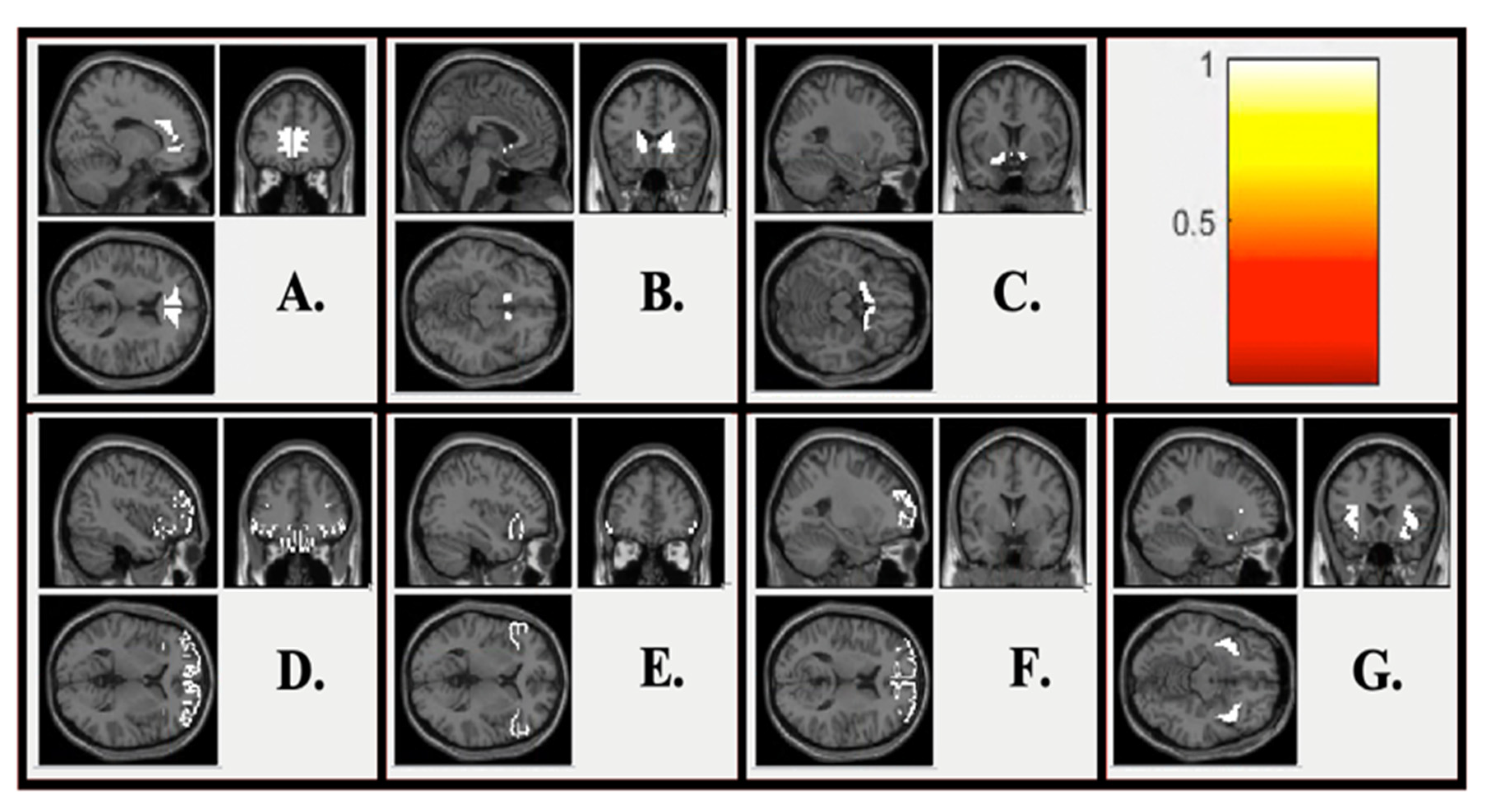
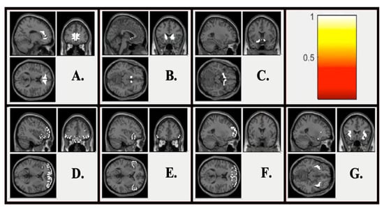
2.4.2. Description of Regions of Interest (ROIs)
2.4.3. ROI Analyses
2.4.4. Exploratory Connectivity Analyses
2.4.5. Self-Report Analyses
3. Results
3.1. Results of ROI Analyses
3.1.1. Responses to Negative Outcomes
3.1.2. Responses to Positive Outcomes
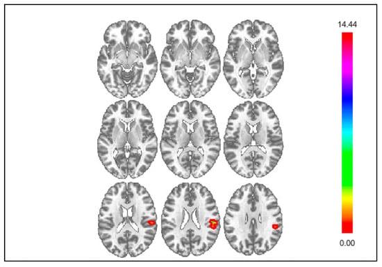
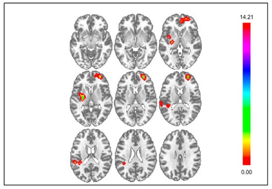
3.2. Results of Exploratory Connectivity Analyses
3.3. Results of Self-Report Analyses
4. Discussion
5. Conclusions
Supplementary Materials
Author Contributions
Funding
Institutional Review Board Statement
Informed Consent Statement
Conflicts of Interest
References
- Muehlenkamp, J.J.; Claes, L.; Havertape, L.; Plener, P.L. International prevalence of adolescent non-suicidal self-injury and deliberate self-harm. Child Adolesc. Psychiatry Ment. Health 2012, 6, 1–9. [Google Scholar] [CrossRef]
- Swannell, S.V.; Martin, G.; Page, A.; Hasking, P.; John, N.J.S. Prevalence of Nonsuicidal Self-Injury in Nonclinical Samples: Systematic Review, Meta-Analysis and Meta-Regression. Suicide Life Threat. Behav. 2014, 44, 273–303. [Google Scholar] [CrossRef] [PubMed]
- Hamza, C.A.; Willoughby, T. Nonsuicidal Self-Injury and Suicidal Behavior: A Latent Class Analysis among Young Adults. PLoS ONE 2013, 8, e59955. [Google Scholar] [CrossRef]
- Kleiman, E.M.; Ammerman, B.A.; Kulper, D.A.; Uyeji, L.L.; Jenkins, A.L.; McCloskey, M.S. Forms of non-suicidal self-injury as a function of trait aggression. Compr. Psychiatry 2015, 59, 21–27. [Google Scholar] [CrossRef] [PubMed]
- Schwartz, R.H.; Cohen, P.; Hoffmann, N.G. Self-harm behaviors (carving) in female adolescent drug abusers. Clin. Pediatrics 1989, 28, 340–346. [Google Scholar] [CrossRef] [PubMed]
- Barrocas, A.L.; Hankin, B.L.; Young, J.F.; Abela, J.R.Z. Rates of Nonsuicidal Self-Injury in Youth: Age, Sex, and Behavioral Methods in a Community Sample. Pediatrics 2012, 130, 39–45. [Google Scholar] [CrossRef]
- Hilt, L.M.; Nock, M.K.; Lloyd-Richardson, E.E.; Prinstein, M. Longitudinal Study of Nonsuicidal Self-Injury Among Young Adolescents. J. Early Adolesc. 2008, 28, 455–469. [Google Scholar] [CrossRef]
- Rodham, K.; Hawton, K. Epidemiology and phenomenology of nonsuicidal self-injury. In Understanding Nonsuicidal Self-Injury: Origins, Assessment, and Treatment; American Psychological Association (APA): Clark University, MA, USA, 2009; pp. 37–62. [Google Scholar]
- Chapman, A.L.; Gratz, K.L.; Brown, M.Z. Solving the puzzle of deliberate self-harm: The experiential avoidance model. Behav. Res. Ther. 2006, 44, 371–394. [Google Scholar] [CrossRef]
- Horne, O.; Csipke, E. From Feeling Too Little and Too Much, to Feeling More and Less? A Nonparadoxical Theory of the Functions of Self-Harm. Qual. Health Res. 2009, 19, 655–667. [Google Scholar] [CrossRef]
- Najmi, S.; Wegner, D.M.; Nock, M.K. Thought suppression and self-injurious thoughts and behaviors. Behav. Res. Ther. 2007, 45, 1957–1965. [Google Scholar] [CrossRef]
- Suyemoto, K.L. The functions of self-mutilation. Clin. Psychol. Rev. 1998, 18, 531–554. [Google Scholar] [CrossRef]
- Yip, K.-S. A Multi-Dimensional Perspective of Adolescents’ Self-Cutting. Child Adolesc. Ment. Health 2005, 10, 80–86. [Google Scholar] [CrossRef]
- Baetens, I.; Claes, L.; Willem, L.; Muehlenkamp, J.; Bijttebier, P. The relationship between non-suicidal self-injury and temperament in male and female adolescents based on child- and parent-report. Pers. Individ. Differ. 2011, 50, 527–530. [Google Scholar] [CrossRef]
- Crowell, S.E.; Beauchaine, T.P.; McCauley, E.; Smith, C.J.; Stevens, A.L.; Sylvers, P. Psychological, autonomic, and sero-tonergic correlates of parasuicide among adolescent girls. Dev. Psychopathol. 2005, 17, 1105–1127. [Google Scholar] [CrossRef]
- Hay, C.; Meldrum, R. Bullying Victimization and Adolescent Self-Harm: Testing Hypotheses from General Strain Theory. J. Youth Adolesc. 2010, 39, 446–459. [Google Scholar] [CrossRef]
- Brown, S.A. Personality and non-suicidal deliberate self-harm: Trait differences among a non-clinical population. Psychiatry Res. 2009, 169, 28–32. [Google Scholar] [CrossRef] [PubMed]
- Claes, L.; Vandereycken, W.; Vertommen, H. Self-injury in female versus male psychiatric patients: A comparison of characteristics, psychopathology and aggression regulation. Pers. Individ. Differ. 2007, 42, 611–621. [Google Scholar] [CrossRef]
- Weinberg, A.; Klonsky, E.D. The effects of self-injury on acute negative arousal: A laboratory simulation. Motivation Emot. 2011, 36, 242–254. [Google Scholar] [CrossRef]
- Brittlebank, A.D.; Cole, A.; Hassanyeh, F.; Kenny, M.; Simpson, D.; Scott, J. Hostility, hopelessness and deliberate self-harm: A prospective follow-up study. Acta Psychiatr. Scand. 1990, 81, 280–283. [Google Scholar] [CrossRef]
- Brown, M.Z.; Linehan, M.M.; Comtois, K.A.; Murray, A.; Chapman, A.L. Shame as a prospective predictor of self-inflicted injury in borderline personality disorder: A multi-modal analysis. Behav. Res. Ther. 2009, 47, 815–822. [Google Scholar] [CrossRef]
- Hunter, E.C.; O’Connor, R.C. Hopelessness and future thinking in parasuicide: The role of perfectionism. Br. J. Clin. Psychol. 2003, 42, 355–365. [Google Scholar] [CrossRef]
- Brown, S.A.; Williams, K.; Collins, A. Past and recent deliberate self-harm: Emotion and coping strategy differences. J. Clin. Psychol. 2007, 63, 791–803. [Google Scholar] [CrossRef]
- Claes, L.; Vandereycken, W.; Vertommen, H. Eating-disordered patients with and without self-injurious behaviours: A comparison of psychopathological features. Eur. Eat. Disord. Rev. 2003, 11, 379–396. [Google Scholar] [CrossRef]
- Hooley, J.M.; Ho, D.T.; Slater, J.; Lockshin, A. Pain perception and nonsuicidal self-injury: A laboratory investigation. Pers. Disord. Theory Res. Treat. 2010, 1, 170–179. [Google Scholar] [CrossRef]
- Brown, R.C.; Plener, P.L.; Groen, G.; Neff, D.; Bonenberger, M.; Abler, B. Differential Neural Processing of Social Exclusion and Inclusion in Adolescents with Non-Suicidal Self-Injury and Young Adults with Borderline Personality Disorder. Front. Psychiatry 2017, 8. [Google Scholar] [CrossRef] [PubMed]
- Leibenluft, E.; Gardner, D.L.; Cowdry, R.W. Special Feature the Inner Experience of the Borderline Self-Mutilator. J. Pers. Disord. 1987, 1, 317–324. [Google Scholar] [CrossRef]
- Tatnell, R.; Hasking, P.; Lipp, O.V.; Boyes, M.; Dawkins, J. Emotional responding in NSSI: Examinations of appraisals of positive and negative emotional stimuli, with and without acute stress. Cogn. Emot. 2017, 32, 1304–1316. [Google Scholar] [CrossRef]
- Cohen, J.N.; Stange, J.P.; Hamilton, J.L.; Burke, T.A.; Jenkins, A.; Ong, M.-L.; Heimberg, R.G.; Abramson, L.Y.; Alloy, L.B. The interaction of affective states and cognitive vulnerabilities in the prediction of non-suicidal self-injury. Cogn. Emot. 2014, 29, 539–547. [Google Scholar] [CrossRef]
- Hasking, P.A.; Di Simplicio, M.; McEvoy, P.M.; Rees, C.S. Emotional cascade theory and non-suicidal self-injury: The importance of imagery and positive affect. Cogn. Emot. 2017, 32, 941–952. [Google Scholar] [CrossRef]
- Cerutti, R.; Presaghi, F.; Manca, M.; Gratz, K. Deliberate self-harm behavior among Italian young adults: Correlations with clinical and nonclinical dimensions of personality. Am. J. Orthopsychiatry 2012, 82, 298–308. [Google Scholar] [CrossRef]
- Jenkins, A.L.; Seelbach, A.C.; Conner, B.; Alloy, L.B. The roles of behavioural activation and inhibition among young adults engaging in self-injury. Pers. Ment. Health 2013, 7, 39–55. [Google Scholar] [CrossRef]
- Auerbach, R.P.; Pagliaccio, D.; Allison, G.O.; Alqueza, K.L.; Alonso, M.F. Neural Correlates Associated With Suicide and Nonsuicidal Self-injury in Youth. Biol. Psychiatry 2021, 89, 119–133. [Google Scholar] [CrossRef]
- Groschwitz, R.C.; Plener, P.; Groen, G.; Bonenberger, M.; Abler, B. Differential neural processing of social exclusion in adolescents with non-suicidal self-injury: An fMRI study. Psychiatry Res. Neuroimaging 2016, 255, 43–49. [Google Scholar] [CrossRef]
- Tsypes, A.; Owens, M.; Hajcak, G.; Gibb, B.E. Neural reward responsiveness in children who engage in nonsuicidal self-injury: An ERP study. J. Child Psychol. Psychiatry 2018, 59, 1289–1297. [Google Scholar] [CrossRef] [PubMed]
- Schreiner, M.W.; Klimes-Dougan, B.; Begnel, E.D.; Cullen, K.R. Conceptualizing the neurobiology of non-suicidal self-injury from the perspective of the Research Domain Criteria Project. Neurosci. Biobehav. Rev. 2015, 57, 381–391. [Google Scholar] [CrossRef]
- Niedtfeld, I.; Kirsch, P.; Schulze, L.; Herpertz, S.C.; Bohus, M.; Schmahl, C. Functional Connectivity of Pain-Mediated Affect Regulation in Borderline Personality Disorder. PLoS ONE 2012, 7, e33293. [Google Scholar] [CrossRef]
- Vega, D.; Ripollés, P.; Soto, À.; Torrubia, R.; Ribas, J.; Monreal, J.A.; Pascual, J.C.; Salvador, R.; Pomarol-Clotet, E.; Rodríguez-Fornells, A.; et al. Orbitofrontal overactivation in reward processing in borderline personality disorder: The role of non-suicidal self-injury. Brain Imaging Behav. 2018, 12, 217–228. [Google Scholar] [CrossRef]
- Nitkowski, D.; Petermann, F. Selbstverletzendes Verhalten und komorbide psychische Störungen: Ein Überblick. Fortschr. Neurol. Psychiatr. 2010, 79, 9–20. [Google Scholar] [CrossRef] [PubMed]
- In-Albon, T.; Ruf, C.; Schmid, M. Proposed Diagnostic Criteria for theDSM-5of Nonsuicidal Self-Injury in Female Adolescents: Diagnostic and Clinical Correlates. Psychiatry J. 2013, 2013, 1–12. [Google Scholar] [CrossRef] [PubMed]
- Lin, M.-P.; You, J.; Wu, Y.W.; Jiang, Y. Depression Mediates the Relationship Between Distress Tolerance and Nonsuicidal Self-Injury Among Adolescents: One-Year Follow-Up. Suicide Life Threat. Behav. 2017, 48, 589–600. [Google Scholar] [CrossRef]
- Zhang, W.-N.; Chang, S.-H.; Guo, L.-Y.; Zhang, K.-L.; Wang, J. The neural correlates of reward-related processing in major depressive disorder: A meta-analysis of functional magnetic resonance imaging studies. J. Affect. Disord. 2013, 151, 531–539. [Google Scholar] [CrossRef] [PubMed]
- Admon, R.; A Pizzagalli, D. Dysfunctional reward processing in depression. Curr. Opin. Psychol. 2015, 4, 114–118. [Google Scholar] [CrossRef] [PubMed]
- Kaufman, A.S.; Kaufman, N.L. Kaufman Brief Intelligence Test, 2nd ed.; Wiley: Hoboken, NJ, USA, 2013. [Google Scholar]
- Kaufman, J.; Schweder, A.E. The Schedule for Affective Disorders and Schizophrenia for School-Age Children: Present and Lifetime version (K-SADS-PL). In Comprehensive Handbook of Psychological Assessment, Volume 2: Personality Assessment; John Wiley & Sons Inc.: Hoboken, NJ, USA, 2004; pp. 247–255. [Google Scholar]
- Klonsky, E.D.; Glenn, C.R. Assessing the Functions of Non-suicidal Self-injury: Psychometric Properties of the Inventory of Statements About Self-injury (ISAS). J. Psychopathol. Behav. Assess. 2009, 31, 215–219. [Google Scholar] [CrossRef]
- Kovacs, M. The Children’s Depression, Inventory (CDI). Psychopharmacol. Bull. 1985, 21, 995–998. [Google Scholar]
- Masip, A.F.; Amador-Campos, J.A.; Gómez-Benito, J.; Gándara, V.D.B. Psychometric Properties of the Children’s Depression Inventory in Community and Clinical Sample. Span. J. Psychol. 2010, 13, 990–999. [Google Scholar] [CrossRef]
- Vernberg, E.M.; Jacobs, A.K.; Hershberger, S.L. Peer Victimization and Attitudes About Violence During Early Adolescence. J. Clin. Child Psychol. 1999, 28, 386–395. [Google Scholar] [CrossRef]
- Kazdin, A.E. Evaluation of the Pleasure Scale in the Assessment of Anhedonia in Children. J. Am. Acad. Child Adolesc. Psychiatry 1989, 28, 364–372. [Google Scholar] [CrossRef]
- Capaldi, D.M.; Rothbart, M.K. Development and Validation of an Early Adolescent Temperament Measure. J. Early Adolesc. 1992, 12, 153–173. [Google Scholar] [CrossRef]
- Carver, C.; White, T.L. Behavioral inhibition, behavioral activation, and affective responses to impending reward and punishment: The BIS/BAS Scales. J. Pers. Soc. Psychol. 1994, 67, 319–333. [Google Scholar] [CrossRef]
- Gooding, D.C.; Pflum, M.J. The assessment of interpersonal pleasure: Introduction of the Anticipatory and Consummatory Interpersonal Pleasure Scale (ACIPS) and preliminary findings. Psychiatry Res. 2014, 215, 237–243. [Google Scholar] [CrossRef] [PubMed]
- Silk, J.S.; Stroud, L.R.; Siegle, G.J.; Dahl, R.E.; Lee, K.H.; Nelson, E. Peer acceptance and rejection through the eyes of youth: Pupillary, eyetracking and ecological data from the Chatroom Interact task. Soc. Cogn. Affect. Neurosci. 2011, 7, 93–105. [Google Scholar] [CrossRef]
- Delgado, M.R.; Nystrom, L.E.; Fissell, C.; Noll, D.; Fiez, J.A. Tracking the Hemodynamic Responses to Reward and Punishment in the Striatum. J. Neurophysiol. 2000, 84, 3072–3077. [Google Scholar] [CrossRef]
- Forbes, E.E.; Hariri, A.R.; Martin, S.L.; Silk, J.; Moyles, D.L.; Fisher, P.; Brown, S.M.; Ryan, N.D.; Birmaher, B.; Axelson, D.A.; et al. Altered Striatal Activation Predicting Real-World Positive Affect in Adolescent Major Depressive Disorder. Am. J. Psychiatry 2009, 166, 64–73. [Google Scholar] [CrossRef]
- Forbes, E.E.; Olino, T.; Ryan, N.D.; Birmaher, B.; Axelson, D.; Moyles, D.L.; Dahl, R.E. Reward-related brain function as a predictor of treatment response in adolescents with major depressive disorder. Cogn. Affect. Behav. Neurosci. 2010, 10, 107–118. [Google Scholar] [CrossRef]
- Olino, T.M.; McMakin, D.L.; Dahl, R.E.; Ryan, N.D.; Silk, J.; Birmaher, B.; Axelson, D.A.; Forbes, E. “I won, but I’m not getting my hopes up”: Depression moderates the relationship of outcomes and reward anticipation. Psychiatry Res. Neuroimaging 2011, 194, 393–395. [Google Scholar] [CrossRef][Green Version]
- Olino, T.M.; McMakin, D.L.; Morgan, J.K.; Silk, J.; Birmaher, B.; Axelson, D.A.; Williamson, D.; Dahl, R.E.; Ryan, N.D.; Forbes, E. Reduced reward anticipation in youth at high-risk for unipolar depression: A preliminary study. Dev. Cogn. Neurosci. 2014, 8, 55–64. [Google Scholar] [CrossRef] [PubMed]
- Koob, G.F.; Le Moal, M. Neurobiological mechanisms for opponent motivational processes in addiction. Philos. Trans. R. Soc. B Biol. Sci. 2008, 363, 3113–3123. [Google Scholar] [CrossRef] [PubMed]
- Schneider, W.; Eschman, A.; Zuccolotto, A. E-Prime Software; Psychology Software Tools, Inc.: Pittsburgh, PA, USA, 2002. [Google Scholar]
- Statistical Parametric Mapping Software, Version 12. Available online: http://www.fil.ion.ucl.ac.uk/spm (accessed on 2 February 2021).
- Whitfield-Gabrieli, S.; Nieto-Castanon, A. Conn: A Functional Connectivity Toolbox for Correlated and Anticorrelated Brain Networks. Brain Connect. 2012, 2, 125–141. [Google Scholar] [CrossRef] [PubMed]
- Haynes, W. Benjamini–Hochberg Method. In Encyclopedia of Systems Biology; Springer: Berlin/Heidelberg, Germany, 2013; p. 78. [Google Scholar]
- Sauder, C.L.; Derbidge, C.M.; Beauchaine, T.P. Neural responses to monetary incentives among self-injuring adolescent girls. Dev. Psychopathol. 2016, 28, 277–291. [Google Scholar] [CrossRef] [PubMed]
- Büchel, C.; The IMAGEN Consortium; Peters, J.; Banaschewski, T.; Bokde, A.L.W.; Bromberg, U.; Conrod, P.J.; Flor, H.; Papadopoulos, D.; Garavan, H.; et al. Blunted ventral striatal responses to anticipated rewards foreshadow problematic drug use in novelty-seeking adolescents. Nat. Commun. 2017, 8, 14140. [Google Scholar] [CrossRef]
- Larson, R.; Richards, M.H. Daily Companionship in Late Childhood and Early Adolescence: Changing Developmental Contexts. Child Dev. 1991, 62, 284–300. [Google Scholar] [CrossRef]
- Larson, R.W.; Richards, M.H.; Moneta, G.; Holmbeck, G.; Duckett, E. Changes in adolescents’ daily interactions with their families from ages 10 to 18: Disengagement and transformation. Dev. Psychol. 1996, 32, 744–754. [Google Scholar] [CrossRef]
- Hiser, J.; Koenigs, M. The Multifaceted Role of the Ventromedial Prefrontal Cortex in Emotion, Decision Making, Social Cognition, and Psychopathology. Biol. Psychiatry 2018, 83, 638–647. [Google Scholar] [CrossRef] [PubMed]
- Kropf, E.; Syan, S.K.; Minuzzi, L.; Frey, B.N. From anatomy to function: The role of the somatosensory cortex in emotional regulation. Braz. J. Psychiatry 2019, 41, 261–269. [Google Scholar] [CrossRef] [PubMed]
- Hanlon, C.A.; Dowdle, L.T.; Jones, J. Biomarkers for Success. Int. Rev. Neurobiol. 2016, 129, 125–156. [Google Scholar] [CrossRef] [PubMed]
- Koziol, L.L.; Budding, D.D.; Andreasen, N.; D’Arrigo, S.S.; Bulgheroni, S.S.; Imamizu, H.H.; Ito, M.M.; Manto, M.; Marvel, C.; Parker, K.; et al. Consensus Paper: The Cerebellum’s Role in Movement and Cognition. Cerebellum 2014, 13, 151–177. [Google Scholar] [CrossRef] [PubMed]
- Adamaszek, M.; D’Agata, F.; Ferrucci, R.; Habas, C.; Keulen, S.; Kirkby, K.C.; Leggio, M.; Mariën, P.; Molinari, M.; Moulton, E.; et al. Consensus Paper: Cerebellum and Emotion. Cerebellum 2017, 16, 552–576. [Google Scholar] [CrossRef]
- Frot, M.; Mauguière, F. Dual representation of pain in the operculo-insular cortex in humans. Brain 2003, 126, 438–450. [Google Scholar] [CrossRef]
- Horing, B.; Sprenger, C.; Büchel, C. The parietal operculum preferentially encodes heat pain and not salience. PLoS Biol. 2019, 17, e3000205. [Google Scholar] [CrossRef]
- Peyron, R.; Fauchon, C. The posterior insular-opercular cortex: An access to the brain networks of thermosensory and nociceptive processes? Neurosci. Lett. 2019, 702, 34–39. [Google Scholar] [CrossRef]
- Poon, J.A.; Thompson, J.C.; Forbes, E.E.; Chaplin, T.M. Adolescents’ Reward-related Neural Activation: Links to Thoughts of Nonsuicidal Self-Injury. Suicide Life-Threat. Behav. 2018, 49, 76–89. [Google Scholar] [CrossRef]
- Yu, R.; Zhang, P. Neural evidence for description dependent reward processing in the framing effect. Front. Neurosci. 2014, 8, 56. [Google Scholar] [CrossRef]




| No NSSI | NSSI | |
|---|---|---|
| Age at Lab Visit, years M (SD) | 11.01 (1.48) | 11.03 (1.49) |
| Age at Scan Visit, years M (SD) | 11.32 (1.45) | 11.53 (1.54) |
| Time Between Lab Visit and Scan Visit, months M (SD) | 4.50 (2.42) | 5.10 (2.65) |
| Female | 58.3% | 54.1% |
| Race | ||
| White | 44.6% | 50.0% |
| Black | 39.9% | 36.7% |
| Asian | 0.6% | 0.0% |
| Multiracial | 13.7% | 6.7% |
| Other | 1.2% | 6.7% |
| Ethnicity | ||
| Hispanic | 11.3% | 10.0% |
| Covariate | ||
| CDI M (SD) | 32.59 (6.42) ** | 36.17 (7.91) ** |
| Outcomes | ||
| PEQ-VS M (SD) | 12.54 (5.20) | 13.15 (6.50) |
| BAS-RRS M (SD) | 17.03 (2.87) | 17.11 (2.31) |
| PSC M (SD) | 14.54 (6.22) | 15.09 (6.32) |
| EATQ-PSS M (SD) | 88.21 (16.82) | 88.59 (15.04) |
| ACIPS M (SD) | 57.21 (10.84) | 56.62 (8.44) |
| EATQ-AS M (SD) | 19.20 (6.27) | 19.35 (5.40) |
| Responses to Negative Outcomes | Responses to Positive Outcomes | |||||||
|---|---|---|---|---|---|---|---|---|
| Monetary Losses | Social Rejection | Monetary Gains | Social Acceptance | |||||
| B (SE) | pr | B (SE) | pr | B (SE) | pr | B (SE) | pr | |
| ACC | −0.09 (0.37) | −0.02 | −0.11 (0.23) | −0.05 | −1.15 (0.41) ** | −0.28 | 0.10 (0.23) | 0.04 |
| DS | −0.21 (0.35) | −0.06 | 0.06 (0.21) | 0.03 | −1.18 (0.41) ** | −0.29 | 0.29 (0.21) | 0.13 |
| VS | −0.12 (0.33) | −0.04 | 0.01 (0.22) | 0.00 | −1.51 (0.47) ** | −0.31 | 0.26 (0.22) | 0.11 |
| OFC | 0.14 (0.37) | 0.04 | −0.21 (0.22) | −0.09 | −1.42 (0.43) *** | −0.32 | 0.05 (0.21) | 0.02 |
| vlPFC | −0.03 (0.35) | −0.01 | −0.10 (0.19) | −0.05 | −1.39 (0.41) *** | −0.33 | 0.16 (0.19) | 0.08 |
| vmPFC | 0.13 (0.39) | 0.03 | −0.03 (0.25) | −0.01 | −1.04 (0.44) ** | −0.24 | 0.14 (0.24) | 0.05 |
| Insula | −0.27 (0.31) | −0.09 | 0.10 (0.20) | 0.05 | −1.26 (0.41) ** | −0.30 | 0.33 (0.19) | 0.16 |
| Seed | Cluster Location | Cluster Size | Coordinates | Statistic | ||
| kE | x | y | z | Z | ||
| Monetary Loss | ||||||
| DS Seed | vmPFC | 112 | +24 | +57 | +12 | 4.47 |
| Insula | 61 | −27 | −12 | +06 | 4.29 | |
| Parietal Operculum Cortex | 55 | −39 | −39 | +18 | 3.90 | |
| mPFC Seed | n.s. | --- | --- | --- | --- | --- |
| Insula Seed | Supramarginal Gyrus | 41 | −60 | −33 | +42 | 4.00 |
| Seed | Cluster Location | Cluster Size | Coordinates | Statistic | ||
| kE | x | y | z | Z | ||
| Social Rejection | ||||||
| DS Seed | Cerebellum | 77 | +06 | −84 | −42 | 4.34 |
| mPFC Seed | Central Opercular Cortex | 102 | −57 | −21 | +15 | 5.12 |
| Insula Seed | n.s. | --- | --- | --- | --- | --- |
| Monetary Gain | ||||||
| DS Seed | Parietal Operculum Cortex | 51 | +51 | −21 | +24 | 4.5 |
| mPFC Seed | n.s. | --- | --- | --- | --- | --- |
| Insula Seed | vmPFC | 52 | −24 | +69 | −06 | 3.92 |
| Social Acceptance | ||||||
| DS Seed | n.s. | --- | --- | --- | --- | --- |
| mPFC Seed | Parietal Operculum Cortex | 283 | −51 | −36 | +15 | 4.63 |
| Insula Seed | DS | 53 | −03 | +03 | +06 | 4.88 |
| B (SE) | pr | |
|---|---|---|
| PEQ-VS | 0.61 (1.03) | 0.05 |
| BAS-RRS | 0.09 (0.46) | 0.01 |
| PSC | 0.38 (2.91) | 0.01 |
| EATQ-PSS | 0.54 (1.13) | 0.04 |
| ACIPS | −0.58 (1.87) | −0.03 |
| EATQ-AS | 0.14 (1.09) | 0.01 |
Publisher’s Note: MDPI stays neutral with regard to jurisdictional claims in published maps and institutional affiliations. |
© 2021 by the authors. Licensee MDPI, Basel, Switzerland. This article is an open access article distributed under the terms and conditions of the Creative Commons Attribution (CC BY) license (https://creativecommons.org/licenses/by/4.0/).
Share and Cite
Case, J.A.C.; Mattoni, M.; Olino, T.M. Examining the Neurobiology of Non-Suicidal Self-Injury in Children and Adolescents: The Role of Reward Responsivity. J. Clin. Med. 2021, 10, 3561. https://doi.org/10.3390/jcm10163561
Case JAC, Mattoni M, Olino TM. Examining the Neurobiology of Non-Suicidal Self-Injury in Children and Adolescents: The Role of Reward Responsivity. Journal of Clinical Medicine. 2021; 10(16):3561. https://doi.org/10.3390/jcm10163561
Chicago/Turabian StyleCase, Julia A. C., Matthew Mattoni, and Thomas M. Olino. 2021. "Examining the Neurobiology of Non-Suicidal Self-Injury in Children and Adolescents: The Role of Reward Responsivity" Journal of Clinical Medicine 10, no. 16: 3561. https://doi.org/10.3390/jcm10163561
APA StyleCase, J. A. C., Mattoni, M., & Olino, T. M. (2021). Examining the Neurobiology of Non-Suicidal Self-Injury in Children and Adolescents: The Role of Reward Responsivity. Journal of Clinical Medicine, 10(16), 3561. https://doi.org/10.3390/jcm10163561

