Comparison of Histological Sample Volumes among Various Endoscopic Ultrasound-Guided Biopsy Needles
Abstract
:1. Introduction
2. Materials and Methods
2.1. Study Design
2.2. Patients
2.3. Procedure
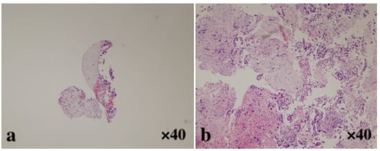
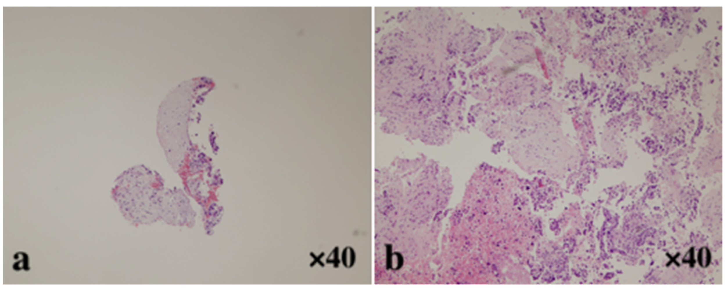
2.4. Histological Evaluation
2.5. Statistical Analyses
3. Results
4. Discussion
Author Contributions
Funding
Institutional Review Board Statement
Informed Consent Statement
Data Availability Statement
Conflicts of Interest
References
- Berry, W.; Lundy, J.; Croagh, D.; Jenkins, B.J. Reviewing the Utility of EUS FNA to Advance Precision Medicine in Pancreatic Cancer. Cancers 2018, 10, 35. [Google Scholar] [CrossRef] [PubMed] [Green Version]
- Polkowski, M.; Larghi, A.; Weynand, B.; Boustière, C.; Giovannini, M.; Pujol, B.; Dumonceau, J.-M. Learning, techniques, and complications of endoscopic ultrasound (EUS)-guided sampling in gastroenterology: European Society of Gastrointestinal Endoscopy (ESGE) Technical Guideline. Endoscopy 2012, 44, 190–206. [Google Scholar] [CrossRef] [Green Version]
- Puli, S.R.; Bechtold, M.L.; Buxbaum, J.L.; Eloubeidi, M.A. How good is endoscopic ultrasound-guided fine-needle aspiration in diagnosing the correct etiology for a solid pancreatic mass?: A meta-analysis and systematic review. Pancreas 2013, 42, 20–26. [Google Scholar] [CrossRef] [PubMed]
- Itoi, T.; Tsuchiya, T.; Itokawa, F.; Sofuni, A.; Kurihara, T.; Tsuji, S.; Ikeuchi, N. Histological diagnosis by EUS-guided fine-needle aspiration biopsy in pancreatic solid masses without on-site cytopathologist: A single-center experience. Dig. Endosc. 2011, 23 (Suppl. S1), 34–38. [Google Scholar] [CrossRef]
- Bang, J.Y.; Hawes, R.; Varadarajulu, S. A meta-analysis comparing ProCore and standard fine-needle aspiration needles for endoscopic ultrasound-guided tissue acquisition. Endoscopy 2016, 48, 339–349. [Google Scholar] [CrossRef]
- Agarwal, B.; Abu-Hamda, E.; Molke, K.L.; Correa, A.M.; Ho, L. Endoscopic ultrasound-guided fine needle aspiration and multidetector spiral CT in the diagnosis of pancreatic cancer. Am. J. Gastroenterol. 2004, 99, 844–850. [Google Scholar] [CrossRef] [PubMed]
- Kamisawa, T.; Wood, L.D.; Itoi, T.; Takaori, K. Pancreatic cancer. Lancet 2016, 388, 73–85. [Google Scholar] [CrossRef]
- Adler, D.G.; Muthusamy, V.R.; Ehrlich, D.S.; Parasher, G.; Thosani, N.; Chen, A.; Buscaglia, J.; Appannagari, A.; Quintero, E.; Aslanian, H.; et al. A multicenter evaluation of a new EUS core biopsy needle: Experience in 200 patients. Endosc. Ultrasound 2019, 8, 99–104. [Google Scholar] [CrossRef] [Green Version]
- Mukai, S.; Itoi, T.; Yamaguchi, H.; Sofuni, A.; Tsuchiya, T.; Tanaka, R.; Tonozuka, R.; Honjo, M.; Fujita, M.; Yamamoto, K.; et al. A retrospective histological comparison of EUS-guided fine-needle biopsy using a novel franseen needle and a conventional end-cut type needle. Endosc. Ultrasound 2019, 8, 50–57. [Google Scholar]
- Bang, J.Y.; Hebert-Magee, S.; Hasan, M.K.; Navaneethan, U.; Hawes, R.; Varadarajulu, S. Endoscopic ultrasonography-guided biopsy using a Franseen needle design: Initial assessment. Dig. Endosc. 2017, 29, 338–346. [Google Scholar] [CrossRef] [PubMed]
- Iwashita, T.; Yasuda, I.; Mukai, T.; Doi, S.; Nakashima, M.; Uemura, S.; Mabuchi, M.; Shimizu, M.; Hatano, Y.; Hara, A.; et al. Macroscopic on-site quality evaluation of biopsy specimens to improve the diagnostic accuracy during EUS-guided FNA using a 19-gauge needle for solid lesions: A single-center prospective pilot study (MOSE study). Gastrointest. Endosc. 2015, 81, 177–185. [Google Scholar] [CrossRef]
- Yasuda, I.; Iwashita, T.; Doi, S. Tips for endoscopic ultrasound-guided fine needle aspiration of various pancreatic lesions. J. Hepatobiliary Pancreat. Sci. 2014, 21, E29–E33. [Google Scholar] [CrossRef]
- Iglesias-Garcia, J.; Larino-Noia, J.; Abdulkader, I.; Forteza, J.; Dominguez-Munoz, J.E. Quantitative endoscopic ultrasound elastography: An accurate method for the differentiation of solid pancreatic masses. Gastroenterology 2010, 139, 1172–1180. [Google Scholar] [CrossRef]
- Erickson, R.A.; Garza, A.A. Impact of endoscopic ultrasound on the management and outcome of pancreatic carcinoma. Am. J. Gastroenterol. 2000, 95, 2248–2254. [Google Scholar] [CrossRef] [PubMed]
- Weynand, B.; Deprez, P. Endoscopic ultrasound guided fine needle aspiration in biliary and pancreatic diseases: Pitfalls and performances. Acta Gastroenterol. Belg. 2004, 67, 294–300. [Google Scholar] [PubMed]
- Deshpande, V.; Mino-Kenudson, M.; Brugge, W.R.; Pitman, M.B.; Castillo, C.F.; Warshaw, A.L.; Lauwers, G.Y. Endoscopic ultrasound guided fine needle aspiration biopsy of autoimmune pancreatitis: Diagnostic criteria and pitfalls. Am. J. Surg. Pathol. 2005, 29, 1464–1471. [Google Scholar] [CrossRef]
- Iglesias-Garcia, J.; Lariño-Noia, J.; Abdulkader, I.; Domínguez-Muñoz, J.E. Rapid on-site evaluation of endoscopic-ultrasound-guided fine-needle aspiration diagnosis of pancreatic masses. World J. Gastroenterol. 2014, 20, 9451–9457. [Google Scholar] [CrossRef] [PubMed]
- Hijioka, S.; Hara, K.; Mizuno, N.; Imaoka, H.; Bhatia, V.; Mekky, M.A.; Yoshimura, K.; Yoshida, T.; Okuno, N.; Hieda, N.; et al. Diagnostic performance and factors influencing the accuracy of EUS-FNA of pancreatic neuroendocrine neoplasms. J. Gastroenterol. 2016, 51, 923–930. [Google Scholar] [CrossRef] [Green Version]
- Nelsen, E.M.; Buehler, D.; Soni, A.V.; Gopal, D.V. Endoscopic ultrasound in the evaluation of pancreatic neoplasms-solid and cystic: A review. World J. Gastrointest. Endosc. 2015, 7, 318–327. [Google Scholar] [CrossRef]
- Mita, N.; Iwashita, T.; Uemura, S.; Iwasa, Y.; Toda, K.; Mukai, T.; Miyazaki, T.; Yasuda, I.; Shimizu, M. Endoscopic Ultrasound-Guided Fine Needle Biopsy Using 22-Gauge Franseen Needle for the Histological Diagnosis of Solid Lesions: A Multicenter Prospective Pilot Study. Dig. Dis. Sci. 2020, 65, 1155–1163. [Google Scholar] [CrossRef]
- The Cancer Genome Atlas Research Network; Raphael, B.J.; Hruban, R.H.; Aguirre, A.J.; Moffitt, R.A.; Yeh, J.J.; Stewart, C.; Rpbertson, A.G.; Cherniack, A.D.; Gupta, M.; et al. Integrated Genomic Characterization of Pancreatic Ductal Adenocarcinoma. Cancer Cell 2017, 32, 185–203.e13. [Google Scholar] [CrossRef] [PubMed] [Green Version]
- Elhanafi, S.; Mahmud, N.; Vergara, N.; Kochman, M.L.; Das, K.K.; Ginsberg, G.G.; Rajala, M.; Chandrasekhara, V. Comparison of endoscopic ultrasound tissue acquisition methods for genomic analysis of pancreatic cancer. J. Gastroenterol. Hepatol. 2019, 34, 907–913. [Google Scholar] [CrossRef]
- Bang, J.Y.; Hebert-Magee, S.; Navaneethan, U.; Hasan, M.K.; Hawes, R.; Varadarajulu, S. EUS-guided fine needle biopsy of pancreatic masses can yield true histology. Gut 2018, 67, 2081–2084. [Google Scholar] [CrossRef] [PubMed]
- Fujita, A.; Ryozawa, S.; Mizuide, M.; Araki, R.; Nagata, K.; Tanisaka, Y.; Harada, M.; Ogawa, T.; Tashima, T.; Nonaka, K. Does endoscopic ultrasound-guided fine needle biopsy using a Franseen needle really offer high diagnostic accuracy? A propensity-matched analysis. Endosc. Int. Open 2019, 7, E1327–E1332. [Google Scholar] [CrossRef] [Green Version]
- Takahashi, K.; Yasuda, I.; Hanaoka, T.; Hayashi, Y.; Araki, Y.; Motto, I.; Kajiura, S.; Ando, T.; Fujinami, H.; Tajiri, K.; et al. Diagnostic Fine-Needle Biopsy of Small Solid Pancreatic Lesions Using a Franseen Needle during Endoscopic Ultrasound Examination. Diagnostics 2020, 11, 27. [Google Scholar] [CrossRef]




| 19-Gauge Franseen (n = 10) | 19-Gauge Conventional End-Cut Type (n = 10) | 22-Gauge Franseen (n = 10) | |
|---|---|---|---|
| Mean age (range), years | 70.5 (48–84) | 72 (67–85) | 71.5 (50–82) |
| Gender, no. | |||
| Male/female | 6/4 | 3/7 | 4/6 |
| Mass location, no. | |||
| Head/uncinate | 0 | 0 | 0 |
| Body/tail | 10 | 10 | 10 |
| Size of masses on EUS, mm | |||
| Median (range) | 36.2 (24.1–53.1) | 36.5 (20.5–38.8) | 30.7 (21.8–39.7) |
| Final diagnosis | |||
| Pancreatic adenocarcinoma | 10 | 10 | 10 |
| 19-Gauge Franseen (n = 10) | 19-Gauge Conventional End-Cut Type (n = 10) | 22-Gauge Franseen (n = 10) | |
|---|---|---|---|
| Procedure | |||
| Expert/Trainee | 0/10 | 0/10 | 0/10 |
| Puncture route | |||
| Transgastric/Transduodenal | 10/0 | 10/0 | 10/0 |
| Number of passes, mean (range) | 2 (1–2) | 2 (2) | 2 (2) |
| Diagnostic yield, n (%) | 10 (100) | 10 (100) | 10 (100) |
| Adverse events, n (%) | 0 (0) | 0 (0) | 0 (0) |
| Area of the pathological tissue, median, mm2 (IQR) | 15.20 (6.89–25.75) (a) (b) | 5.44 (3.19–25.75) (a) | 4.49 (1.69–6.63) (b) |
| Area of blood clots, median, mm2 (IQR) | 1.81 (1.14–3.14) | 0.85 (0.35–1.59) | 0.53 (0.24–1.76) |
| Rate of the blood clots area/total area, % (IQR) | 17.0 (3.8–31.5) | 17.5 (4.0–25.8) | 8.0 (3.8–47.5) |
Publisher’s Note: MDPI stays neutral with regard to jurisdictional claims in published maps and institutional affiliations. |
© 2021 by the authors. Licensee MDPI, Basel, Switzerland. This article is an open access article distributed under the terms and conditions of the Creative Commons Attribution (CC BY) license (https://creativecommons.org/licenses/by/4.0/).
Share and Cite
Takahashi, K.; Yasuda, I.; Hanaoka, T.; Hayashi, Y.; Motoo, I.; Kajiura, S.; Ando, T.; Fujinami, H.; Tajiri, K.; Imura, J.; et al. Comparison of Histological Sample Volumes among Various Endoscopic Ultrasound-Guided Biopsy Needles. J. Clin. Med. 2021, 10, 3560. https://doi.org/10.3390/jcm10163560
Takahashi K, Yasuda I, Hanaoka T, Hayashi Y, Motoo I, Kajiura S, Ando T, Fujinami H, Tajiri K, Imura J, et al. Comparison of Histological Sample Volumes among Various Endoscopic Ultrasound-Guided Biopsy Needles. Journal of Clinical Medicine. 2021; 10(16):3560. https://doi.org/10.3390/jcm10163560
Chicago/Turabian StyleTakahashi, Kosuke, Ichiro Yasuda, Tatsuyuki Hanaoka, Yuka Hayashi, Iori Motoo, Shinya Kajiura, Takayuki Ando, Haruka Fujinami, Kazuto Tajiri, Johji Imura, and et al. 2021. "Comparison of Histological Sample Volumes among Various Endoscopic Ultrasound-Guided Biopsy Needles" Journal of Clinical Medicine 10, no. 16: 3560. https://doi.org/10.3390/jcm10163560
APA StyleTakahashi, K., Yasuda, I., Hanaoka, T., Hayashi, Y., Motoo, I., Kajiura, S., Ando, T., Fujinami, H., Tajiri, K., Imura, J., Ozawa, E., Miuma, S., Miyaaki, H., & Nakao, K. (2021). Comparison of Histological Sample Volumes among Various Endoscopic Ultrasound-Guided Biopsy Needles. Journal of Clinical Medicine, 10(16), 3560. https://doi.org/10.3390/jcm10163560

