Echocardiography in Pulmonary Arterial Hypertension: Comprehensive Evaluation and Technical Considerations
Abstract
1. Introduction
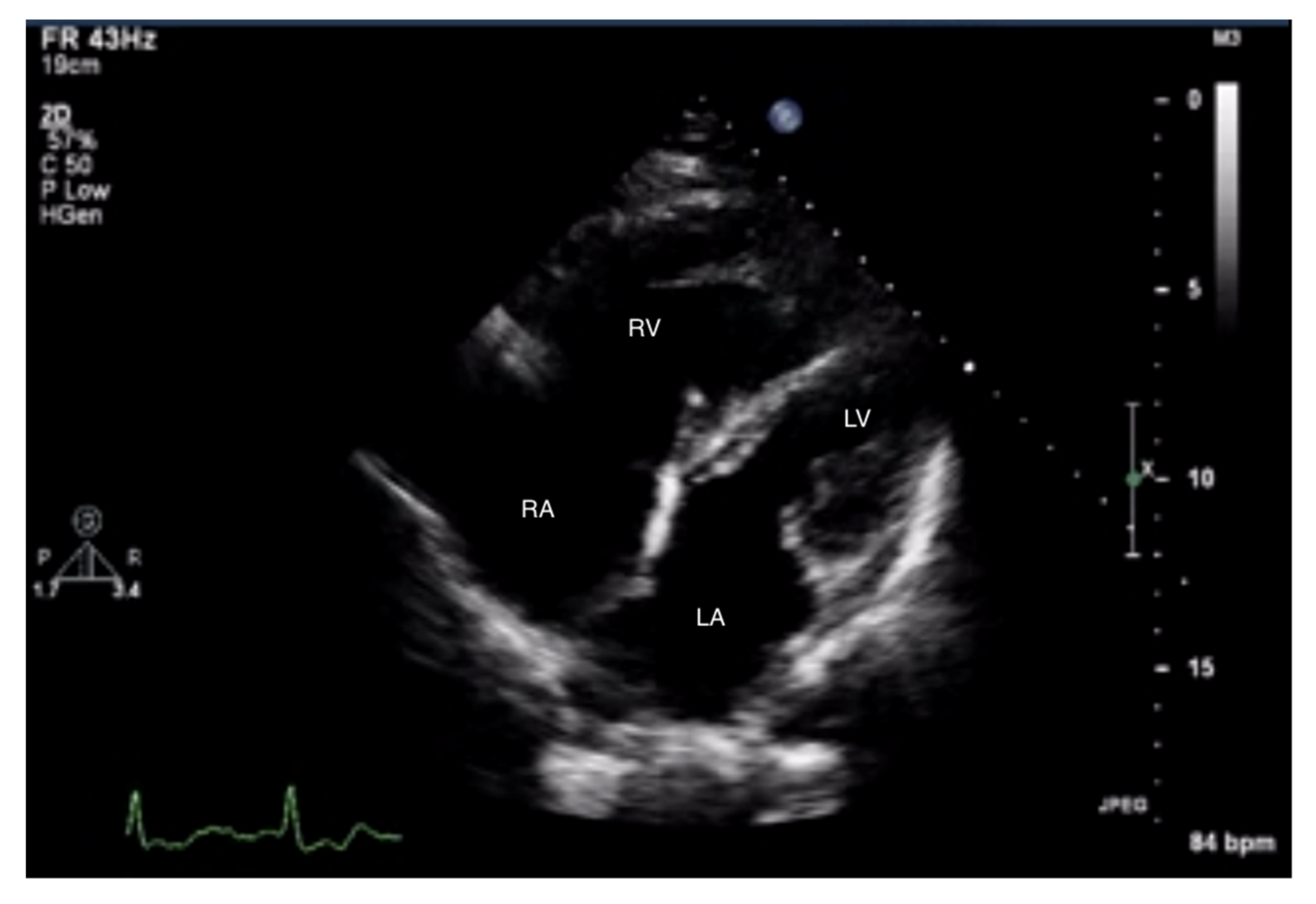
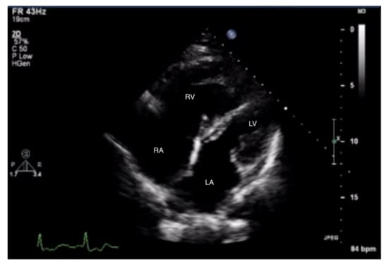
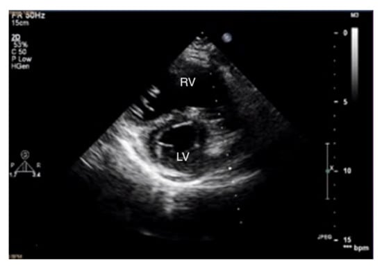
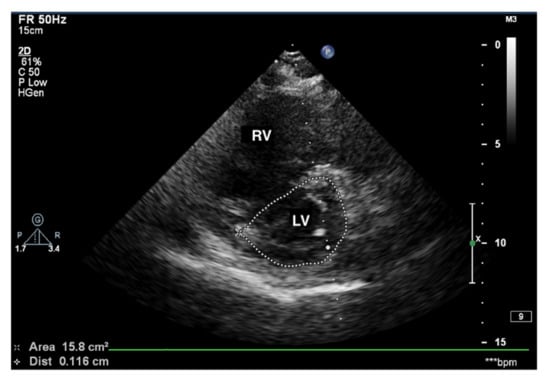
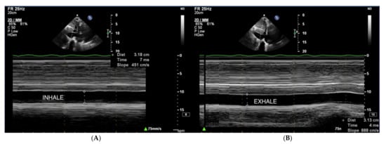
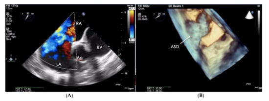
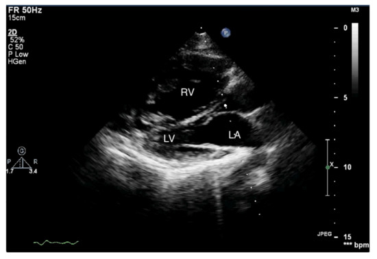
2. The Assessment of the Right Heart Cavities and Pericardial Dimensions Using Transthoracic Echocardiography
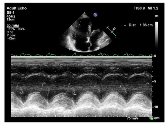
3. Right Ventricular Diastolic Dysfunction
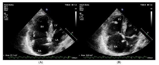
4. Right Ventricular Systolic Dysfunction
5. Strain
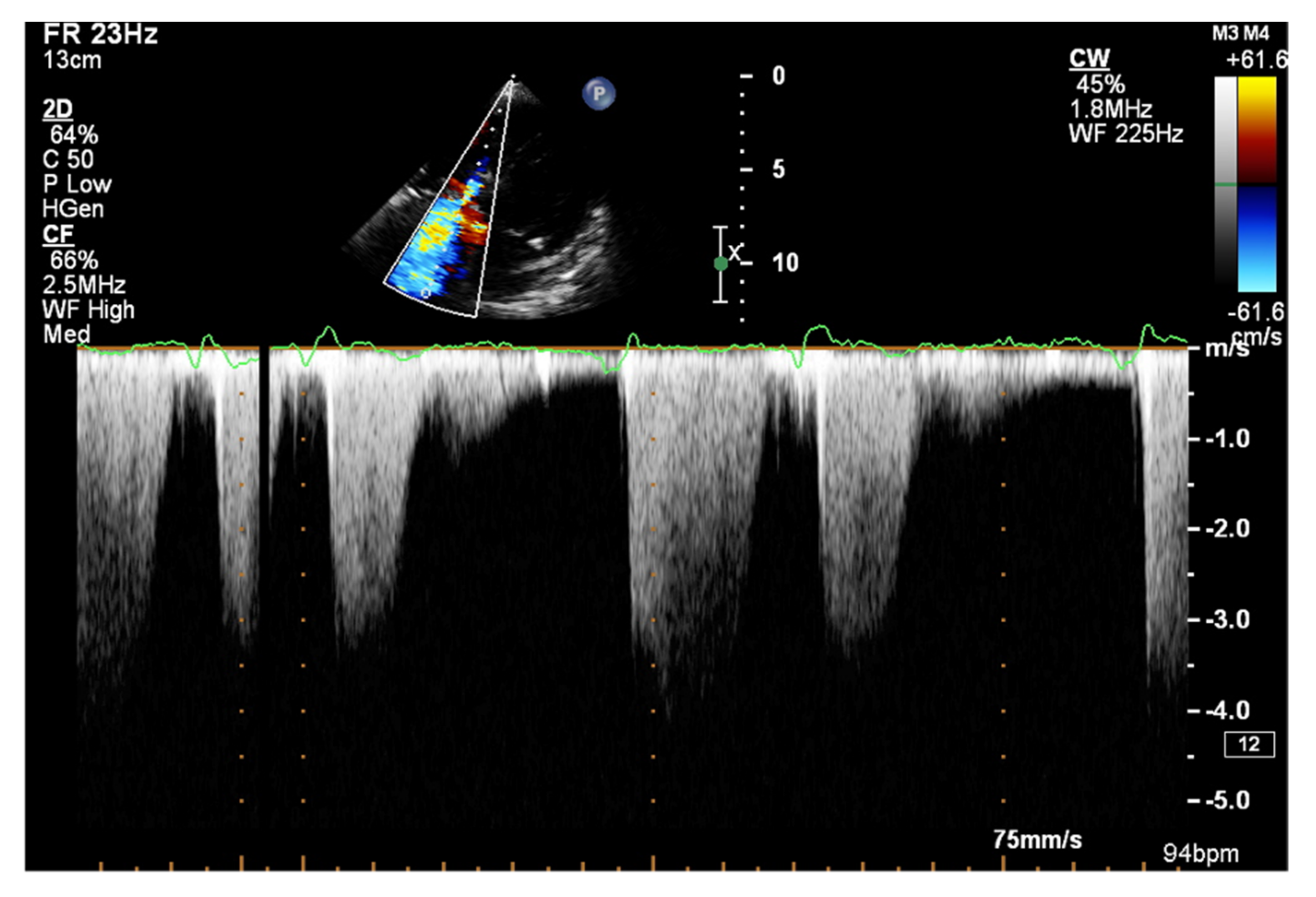
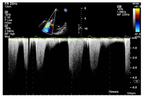
6. Echocardiographic Assessment of Right Heart Hemodynamic Parameters
7. Conclusions
Author Contributions
Funding
Institutional Review Board Statement
Informed Consent Statement
Data Availability Statement
Conflicts of Interest
References
- Maron, B.A.; Brittain, E.L.; Hess, E.; Waldo, S.W.; Barón, A.E.; Huang, S.; Goldstein, R.H.; Assad, T.; Wertheim, B.M.; Alba, G.A.; et al. Pulmonary vascular resistance and clinical outcomes in patients with pulmonary hypertension: A retrospective cohort study. Lancet Respir. Med. 2020, 8, 873–884. [Google Scholar] [CrossRef]
- Galie, N.; Humbert, M.; Vachiery, J.L.; Gibbs, S.; Lang, I.; Torbicki, A.; Simonneau, G.; Peacock, A.; Vonk Noordegraaf, A.; Beghetti, M.; et al. 2015 ESC/ERS guidelines for the diagnosis and treatment of pulmonary hypertension: The joint task force for the diagnosis and treatment of pulmonary hypertension of the european society of cardiology (ESC) and the european respiratory society (ERS): Endorsed by: Association for european paediatric and congenital cardiology (AEPC), international society for heart and lung transplantation (ISHLT). Eur. Heart J. 2016, 37, 67–119. [Google Scholar]
- Simonneau, G.; Montani, D.; Celermajer, D.S.; Denton, C.P.; Gatzoulis, M.A.; Krowka, M.; Williams, P.G.; Souza, R. Haemodynamic definitions and updated clinical classification of pulmonary hypertension. Eur. Respir. J. 2019, 53, 1801913. [Google Scholar] [CrossRef]
- Hasan, B.; Tuyghun, E.; Yang, Y.; Tuerxun, P.; Li, X. Comprehensive network analysis to identify the molecular pathogenesis of pulmonary hypertension. Minerva Cardioangiol. 2020, 68, 319–325. [Google Scholar] [CrossRef]
- Yaghi, S.; Novikov, A.; Trandafirescu, T. Clinical update on pulmonary hypertension. J. Investig. Med. 2020, 68, 821–827. [Google Scholar] [CrossRef] [PubMed]
- Sachpekidis, V.; Karvounis, H.; Giannakoulas, G. The role of echocardiography in the diagnostic work-up of pulmonary hypertension. Cont. Cardiol. Educ. 2018, 4, 13–22. [Google Scholar] [CrossRef][Green Version]
- Miotti, C.; Papa, S.; Manzi, G.; Scoccia, G.; Luongo, F.; Toto, F.; Malerba, C.; Cedrone, N.; Sciomer, S.; Ciciarello, F.; et al. The Growing Role of Echocardiography in Pulmonary Arterial Hypertension Risk Stratification: The Missing Piece. J. Clin. Med. 2021, 10, 619. [Google Scholar] [CrossRef] [PubMed]
- Ferrara, F.; Zhou, X.; Gargani, L.; Wierzbowska-Drabik, K.; Vriz, O.; Fadel, B.M.; Stanziola, A.A.; Kasprzak, J.; Vannan, M.; Bossone, E. Echocardiography in Pulmonary Arterial Hypertension. Curr. Cardiol. Rep. 2019, 21, 22. [Google Scholar] [CrossRef] [PubMed]
- Ni, J.R.; Yan, P.J.; Liu, S.D.; Hu, Y.; Yang, K.H.; Song, B.; Lei, J.Q. Diagnostic accuracy of transthoracic echocardiography for pulmonary hypertension: A systematic review and meta-analysis. BMJ Open 2019, 9, e033084. [Google Scholar] [CrossRef] [PubMed]
- Spruijt, O.A.; de Man, F.S.; Groepenhoff, H.; Oosterveer, F.; Westerhof, N.; Vonk-Noordegraaf, A.; Bogaard, H.J. The effects of exercise on right ventricular contractility and right ventricular-arterial coupling in pulmonary hypertension. Am. J. Respir. Crit. Care Med. 2015, 191, 1050–1057. [Google Scholar] [CrossRef]
- Vonk Noordegraaf, A.; Westerhof, B.E.; Westerhof, N. The Relationship Between the Right Ventricle and its Load in Pulmonary Hypertension. J. Am. Coll. Cardiol. 2017, 69, 236–243. [Google Scholar] [CrossRef] [PubMed]
- Grapsa, J.; Gibbs, J.S.; Dawson, D.; Watson, G.; Patni, R.; Athanasiou, T.; Punjabi, P.P.; Howard, L.S.G.E.; Nihoyannopoulos, P. Morphologic and functional remodeling of the right ventricle in pulmonary hypertension by real time three dimensional echocardiography. Am. J. Cardiol. 2012, 109, 906–913. [Google Scholar] [CrossRef]
- Galderisi, M.; Cosyns, B.; Edvardsen, T.; Cardim, N.; Delgado, V.; Di Salvo, G.; Donal, E.; Sade, L.E.; Ernande, L.; Garbi, M.; et al. 2016–2018 EACVI Scientific Documents Committee. Standardization of adult transthoracic echocardiography reporting in agreement with recent chamber quantification, diastolic function, and heart valve disease recommendations: An expert consensus document of the European Association of Cardiovascular Imaging. Eur. Heart J. Cardiovasc. Imaging 2017, 18, 1301–1310. [Google Scholar]
- Kim, J.; Srinivasan, A.; Seoane, T.; Di Franco, A.; Peskin, C.S.; McQueen, D.M.; Paul, T.K.; Feher, A.; Geevarghese, A.; Rozenstrauch, M.; et al. Echocardiographic Linear Dimensions for Assessment of Right Ventricular Chamber Volume as Demonstrated by Cardiac Magnetic Resonance. J. Am. Soc. Echocardiogr. 2016, 29, 861–870. [Google Scholar] [CrossRef]
- Dutta, T.; Aronow, W.S. Echocardiographic evaluation of the right ventricle: Clinical implications. Clin. Cardiol. 2017, 40, 542–548. [Google Scholar] [CrossRef]
- Lakatos, B.K.; Tokodi, M.; Kispál, E.; Merkely, B.; Kovács, A. Morphological and Functional Assessment of the Right Ventricle Using 3D Echocardiography. J. Vis. Exp. 2020, 164, e61214. [Google Scholar]
- Eslami, M.; Larti, F.; Larry, M.; Molaee, P.; Badkoobeh, R.S.; Tavoosi, A.; Safari, S.; Parsa, A.F. Two-dimensional echocardiographic right ventricle measurements adjusted to body mass index and surface area in a normal population. J. Clin. Ultrasound 2017, 45, 204–210. [Google Scholar] [CrossRef] [PubMed]
- Ferrando-Castagnetto, F.; Ricca-Mallada, R.; Selios, V.; Ferrando, R. Atrial Arrhythmias and Scintigraphic “D-shape” Sign in Pulmonary Artery Hypertension. World J. Nucl. Med. 2017, 16, 75–77. [Google Scholar] [CrossRef]
- Weyman, A.E.; Wann, S.; Feigenbaum, H.; Dillon, J.C. Mechanism of abnormal septal motion in patients with right ventricular volume overload. A cross sectional echocardiographic study. Circulation 1976, 54, 179–186. [Google Scholar] [CrossRef]
- Farmakis, I.T.; Demerouti, E.; Karyofyllis, P.; Karatasakis, G.; Stratinaki, M.; Tsiapras, D.; Athanassopoulos, G.; Voudris, V.; Giannakoulas, G. Echocardiography in Pulmonary Arterial Hypertension: Is It Time to Reconsider Its Prognostic Utility? J. Clin. Med. 2021, 10, 2826. [Google Scholar] [CrossRef] [PubMed]
- Howard, L.S.; Grapsa, J.; Dawson, D.; Bellamy, M.; Chambers, J.B.; Masani, N.D.; Nihoyannopoulos, P.; Simon, R.; Gibbs, J. Echocardiographic assessment of pulmonary hypertension: Standard operating procedure. Eur. Respir. Rev. 2012, 21, 239–248. [Google Scholar] [CrossRef] [PubMed]
- Ghio, S.; Klersy, C.; Magrini, G.; D’Armini, A.M.; Scelsi, L.; Raineri, C.; Pasotti, M.; Serio, A.; Campana, C.; Viganò, M. Prognostic relevance of the echocardiographic assessment of right ventricular function in patients with idiopathic pulmonary arterial hypertension. Int. J. Cardiol. 2010, 140, 272–278. [Google Scholar] [CrossRef]
- Whitlock, M.; Garg, A.; Gelow, J.; Jacobson, T.; Broberg, C. Comparison of left and right atrial volume by echocardiography versus cardiac magnetic resonance imaging using the area-length method. Am. J. Cardiol. 2010, 106, 1345–1350. [Google Scholar] [CrossRef]
- Austin, C.; Alassas, K.; Burger, C.; Safford, R.; Pagan, R.; Duello, K.; Kumar, P.; Zeiger, T.; Shapiro, B. Echocardiographic assessment of estimated right atrial pressure and size predicts mortality in pulmonary arterial hypertension. Chest 2015, 147, 198–208. [Google Scholar] [CrossRef]
- Raymond, R.J.; Hinderliter, A.L.; Willis, P.W.; Ralph, D.; Caldwell, E.J.; Williams, W.; Ettinger, N.A.; Hill, N.S.; Summer, W.R.; de Boisblanc, B.; et al. Echocardiographic predictors of adverse outcomes in primary pulmonary hypertension. J. Am. Coll. Cardiol. 2002, 39, 1214–1219. [Google Scholar] [CrossRef]
- Pérez-Casare, A.; Cesar, S.; Brunet-Garcia, L.; Sanchez-de-Toledo, J. Echocardiographic Evaluation of Pericardial Effusion and Cardiac Tamponade. Front Pediatr. 2017, 5, 79. [Google Scholar] [CrossRef] [PubMed]
- Alerhand, S.; Carter, J.M. What echocardiographic findings suggest a pericardial effusion is causing tamponade? Am. J. Emerg. Med. 2019, 37, 321–326. [Google Scholar] [CrossRef]
- Rain, S.; Handoko, M.L.; Trip, P.; Gan, C.T.; Westerhof, N.; Stienen, G.J.; Paulus, W.J.; Ottenheijm, C.A.; Marcus, J.T.; Dorfmüller, P.; et al. Right ventricular diastolic impairment in patients with pulmonary arterial hypertension. Circulation 2013, 128, 2016–2025. [Google Scholar] [CrossRef] [PubMed]
- Forfia, P.R.; Vachiéry, J.L. Echocardiography in pulmonary arterial hypertension. Am. J. Cardiol. 2012, 110, 16S–24S. [Google Scholar] [CrossRef]
- Ruan, Q.; Nagueh, S.F. Clinical application of tissue Doppler imaging in patients with idiopathic pulmonary hypertension. Chest 2007, 131, 395–401. [Google Scholar] [CrossRef]
- Huttin, O.; Voilliot, D.; Mandry, D.; Venner, C.; Juillière, Y.; Selton-Suty, C. All you need to know about the tricuspid valve: Tricuspid valve imaging and tricuspid regurgitation analysis. Arch. Cardiovasc. Dis. 2016, 109, 67–80. [Google Scholar] [CrossRef]
- Bernardo, R.J.; Haddad, F.; Couture, E.J.; Hansmann, G.; de Jesus Perez, V.A.; Denault, A.Y.; de Man, F.S.; Amsallem, M. Mechanics of right ventricular dysfunction in pulmonary arterial hypertension and heart failure with preserved ejection fraction. Cardiovasc. Diagn. Ther. 2020, 10, 1580–1603. [Google Scholar] [CrossRef] [PubMed]
- DiLorenzo, M.P.; Bhatt, S.M.; Mercer-Rosa, L. How best to assess right ventricular function by echocardiography. Cardiol. Young 2015, 25, 1473–1481. [Google Scholar] [CrossRef]
- Zaidi, A.; Knight, D.S.; Augustine, D.X.; Harkness, A.; Oxborough, D.; Pearce, K.; Ring, L.; Robinson, S.; Stout, M.; Willis, J.; et al. Education Committee of the British Society of Echocardiography. Echocardiographic assessment of the right heart in adults: A practical guideline from the British Society of Echocardiography. Echo. Res. Pract. 2020, 7, 19–41. [Google Scholar] [CrossRef] [PubMed]
- Pietrzak, R.; Werner, B. Right ventricular function assessment using tissue Doppler imaging and speckle tracking echocardiography. J. Ultrason. 2014, 14, 328–338. [Google Scholar] [CrossRef]
- Caballero, L.; Kou, S.; Dulgheru, R.; Gonjilashvili, N.; Athanassopoulos, G.D.; Barone, D.; Baroni, M.; Cardim, N.; Gomez de Diego, J.J.; Oliva, M.J.; et al. Echocardiographic reference ranges for normal cardiac Doppler data: Results from the NORRE Study. Eur. Heart J. Cardiovasc. Imaging 2015, 16, 1031–1041. [Google Scholar] [CrossRef] [PubMed]
- Hammarstrom, E.; Wranne, B.; Pinto, F.J.; Puryear, J.; Popp, R.L. Tricuspid annular motion. J. Am. Soc. Echocardiogr. 1991, 4, 131–139. [Google Scholar] [CrossRef]
- Forfia, P.R.; Fisher, M.R.; Mathai, S.C.; Housten-Harris, T.; Hemnes, A.R.; Borlaug, B.A.; Chamera, E.; Corretti, M.C.; Champion, H.C.; Abraham, T.P.; et al. Tricuspid annular displacement predicts survival in pulmonary hypertension. Am. J. Respir. Crit. Care Med. 2006, 174, 1034–4101. [Google Scholar] [CrossRef]
- Aepfelbacher, F.C.; Yeon, S.B.; Ho, K.K.; Parker, J.A.; Danias, P.G. ECG-gated 99mTc single-photon emission CT for assessment of right ventricular structure and function: Is the information provided similar to echocardiography? Chest 2003, 124, 227–232. [Google Scholar] [CrossRef]
- Motoji, Y.; Tanaka, H.; Fukuda, Y.; Sano, H.; Ryo, K.; Sawa, T.; Miyoshi, T.; Imanishi, J.; Mochizuki, Y.; Tatsumi, K.; et al. Association of apical longitudinal rotation with right ventricular performance in patients with pulmonary hypertension: Insights into overestimation of tricuspid annular plane systolic excursion. Echocardiography 2016, 33, 207–215. [Google Scholar] [CrossRef]
- Li, Y.; Wang, Y.; Yang, Y.; Liu, M.; Meng, X.; Shi, Y.; Zhu, W.; Lu, X. Tricuspid annular displacement measured by 2-dimensional speckle tracking echocardiography for predicting right ventricular function in pulmonary hypertension: A new approach to evaluating right ventricle dysfunction. Medicine 2018, 97, e11710. [Google Scholar] [CrossRef]
- Ng, A.C.; Thomas, L.; Leung, D.Y. Tissue Doppler echocardiography. Minerva Cardioangiol. 2010, 58, 357–378. [Google Scholar]
- Kukulski, T.; Hubbert, L.; Arnold, M.; Wranne, B.; Hatle, L.; Sutherland, G.R. Normal regional right ventricular function and its change with age: A Doppler myocardial imaging study. J. Am. Soc. Echocardiogr. 2000, 13, 194–204. [Google Scholar] [CrossRef]
- You, X.D.; Pu, Z.X.; Peng, X.J.; Zheng, S.Z. Tissue Doppler imaging study of right ventricular myocardial systolic activation in subjects with pulmonary arterial hypertension. Chin. Med. J. 2007, 120, 1172–1175. [Google Scholar] [CrossRef]
- Sugeng, L.; Mor-Avi, V.; Weinert, L.; Niel, J.; Ebner, C.; Steringer-Mascherbauer, R.; Bartolles, R.; Baumann, R.; Schummers, G.; Lang, R.M.; et al. Multimodality comparison of quantitative volumetric analysis of the right ventricle. JACC Cardiovasc. Imaging 2010, 3, 10–18. [Google Scholar] [CrossRef]
- Maffessanti, F.; Muraru, D.; Esposito, R.; Gripari, P.; Ermacora, D.; Santoro, C.; Tamborini, G.; Galderisi, M.; Pepi, M.; Badano, L.P. Age-, body size-, and sex-specific reference values for right ventricular volumes and ejection fraction by three-dimensional echocardiography: A multicenter echocardiographic study in 507 healthy volunteers. Circ. Cardiovasc. Imaging 2013, 6, 700–710. [Google Scholar] [CrossRef]
- Anavekar, N.S.; Skali, H.; Bourgoun, M.; Ghali, J.K.; Kober, L.; Maggioni, A.P.; McMurray, J.J.; Velazquez, E.; Califf, R.; Pfeffer, M.A.; et al. Usefulness of right ventricular fractional area change to predict death, heart failure, and stroke following myocardial infarction (from the VALIANT ECHO Study). Am. J. Cardiol. 2008, 101, 607–612. [Google Scholar] [CrossRef] [PubMed]
- Rudski, L.G.; Lai, W.W.; Afilalo, J.; Hua, L.; Handschumacher, M.D.; Chandrasekaran, K.; Solomon, S.D.; Louie, E.K.; Schiller, N.B. Guidelines for the echocardiographic assessment of the right heart in adults: A report from the American Society of Echocardiography endorsed by the European Association of Echocardiography, a registered branch of the European Society of Cardiology, and the Canadian Society of Echocardiography. J. Am. Soc. Echocardiogr. 2010, 23, 685–713. [Google Scholar]
- Anconina, J.; Danchin, N.; Selton-Suty, C.; Isaaz, K.; Juilliere, Y.; Buffet, P.; Edel, F.; Cherrier, F. Noninvasive estimation of right ventricular dP/dt in patients with tricuspid valve regurgitation. Am. J. Cardiol. 1993, 71, 1495–1497. [Google Scholar] [CrossRef]
- Singbal, Y.; Vollbon, W.; Huynh, L.T.; Wang, W.Y.; Ng, A.C.; Wahi, S. Exploring Noninvasive Tricuspid dP/dt as a Marker of Right Ventricular Function. Echocardiography 2015, 32, 1347–1351. [Google Scholar] [CrossRef] [PubMed]
- Ameloot, K.; Palmers, P.J.; Vande Bruaene, A.; Gerits, A.; Budts, W.; Voigt, J.U.; Delcroix, M. Clinical value of echocardiographic Doppler-derived right ventricular dp/dt in patients with pulmonary arterial hypertension. Eur. Heart J. Cardiovasc. Imaging 2014, 15, 1411–1419. [Google Scholar] [CrossRef] [PubMed]
- Yücel, M.; Alp, H.; Yorulmaz, A.; Karaarslan, S.; Baysal, T. Prediction of the development of pulmonary arterial hypertension with Tei Index in congenital heart diseases with left-to-right shunt. Turk. Kardiyol. Dern Ars. 2019, 47, 466–475. [Google Scholar]
- Tei, C.; Dujardin, K.S.; Hodge, D.O.; Bailey, K.R.; McGoon, M.D.; Tajik, A.J.; Seward, S.B. Doppler echocardiographic index for assessment of global right ventricular function. J. Am. Soc. Echocardiogr. 1996, 9, 838–847. [Google Scholar] [CrossRef]
- Dyer, K.L.; Pauliks, L.B.; Das, B.; Shandas, R.; Ivy, D.; Shaffer, E.M.; Valdes-Cruz, L.M. Use of myocardial performance index in pediatric patients with idiopathic pulmonary arterial hypertension. J. Am. Soc. Echocardiogr. 2006, 19, 21–27. [Google Scholar] [CrossRef]
- Cahill, J.M.; Horan, M.; Quigley, P.; Maurer, B.J.; McDonald, K. Doppler echocardiographic indices of diastolic function in heart failure admissions with preserved left ventricular systolic function. Eur J. Heart Failure 2002, 4, 473–478. [Google Scholar] [CrossRef]
- Ogihara, Y.; Yamada, N.; Dohi, K.; Matsuda, A.; Tsuji, A.; Ota, S.; Ishikura, K.; Nakamura, M.; Ito, M. Utility of right ventricular Tei-index for assessing disease severity and determining response to treatment in patients with pulmonary arterial hypertension. J. Cardiol. 2014, 63, 149–153. [Google Scholar] [CrossRef]
- Sud, S.; Massel, D. An echocardiographic study of the limitations of the Tei index in aortic stenosis. Echocardiography 2009, 26, 891–899. [Google Scholar] [CrossRef]
- Lakoumentas, J.A.; Panou, F.K.; Kotseroglou, V.K.; Aggeli, K.I.; Harbis, P.K. The Tei index of myocardial performance: Applications in cardiology. Hellenic, J. Cardiol. 2005, 46, 52–58. [Google Scholar]
- Lee, J.H.; Park, J.H. Strain Analysis of the Right Ventricle Using Two-dimensional Echocardiography. J. Cardiovasc. Imaging 2018, 26, 111–124. [Google Scholar] [CrossRef]
- Heimdal, A.; Støylen, A.; Torp, H.; Skjaerpe, T. Real-time strain rate imaging of the left ventricle by ultrasound. J. Am. Soc. Echocardiogr. 1998, 11, 1013–1019. [Google Scholar] [CrossRef]
- Ayach, B.; Fine, N.M.; Rudski, L.G. Right ventricular strain: Measurement and clinical application. Curr. Opin. Cardiol. 2018, 33, 486–492. [Google Scholar] [CrossRef]
- Li, Y.; Wang, T.; Haines, P.; Li, M.; Wu, W.; Liu, M.; Chen, Y.; Jin, Q.; Xie, Y.; Wang, J.; et al. Prognostic Value of Right Ventricular Two-Dimensional and Three-Dimensional Speckle-Tracking Strain in Pulmonary Arterial Hypertension: Superiority of Longitudinal Strain over Circumferential and Radial Strain. J. Am. Soc. Echocardiogr. 2020, 33, 985–994. [Google Scholar] [CrossRef]
- Morris, D.A.; Krisper, M.; Nakatani, S.; Köhncke, C.; Otsuji, Y.; Belyavskiy, E.; Radha Krishnan, A.K.; Kropf, M.; Osmanoglou, E.; Boldt, L.H.; et al. Normal range and usefulness of right ventricular systolic strain to detect subtle right ventricular systolic abnormalities in patients with heart failure: A multicentre study. Eur. Heart J. Cardiovasc. Imaging 2017, 18, 212–223. [Google Scholar] [CrossRef] [PubMed]
- Shukla, M.; Park, J.H.; Thomas, J.D.; Delgado, V.; Bax, J.J.; Kane, G.C.; Howlett, J.G.; White, J.A.; Fine, N.M. Prognostic Value of Right Ventricular Strain Using Speckle-Tracking Echocardiography in Pulmonary Hypertension: A Systematic Review and Meta-analysis. Can. J. Cardiol. 2018, 34, 1069–1078. [Google Scholar] [CrossRef]
- Sachdev, A.; Villarraga, H.R.; Frantz, R.P.; McGoon, M.D.; Hsiao, J.F.; Maalouf, J.F.; Ammash, N.M.; McCully, R.B.; Miller, F.A.; Pellikka, P.A.; et al. Right ventricular strain for prediction of survival in patients with pulmonary arterial hypertension. Chest 2011, 139, 1299–1309. [Google Scholar] [CrossRef] [PubMed]
- Bhave, N.M.; Visovatti, S.H.; Kulick, B.; Kolias, T.J.; McLaughlin, V.V. Right atrial strain is predictive of clinical outcomes and invasive hemodynamic data in group 1 pulmonary arterial hypertension. Int. J. Cardiovasc. Imaging 2017, 33, 847–855. [Google Scholar] [CrossRef] [PubMed]
- Thenappan, T.; Ormiston, M.L.; Ryan, J.J.; Archer, S.L. Pulmonary arterial hypertension: Pathogenesis and clinical management. BMJ 2018, 360, j5492. [Google Scholar] [CrossRef]
- Beigel, R.; Cercek, B.; Luo, H.; Siegel, R.J. Noninvasive evaluation of right atrial pressure. J. Am. Soc. Echocardiogr. 2013, 26, 1033–1042. [Google Scholar] [CrossRef]
- Rein, A.J.; Lewis, N.; Forst, L.; Gotsman, M.S.; Lewis, B.S. Echocardiography of the inferior vena cava in healthy subjects and in patients with cardiac disease. Isr. J. Med. Sci. 1982, 18, 581–585. [Google Scholar]
- Yock, P.G.; Popp, R.L. Noninvasive estimation of right ventricular systolic pressure by Doppler ultrasound in patients with tricuspid regurgitation. Circulation 1984, 70, 657–662. [Google Scholar] [CrossRef]
- Giardini, A. Limitations inherent to the simplified Bernoulli equation explain the inaccuracy of Doppler echocardiographic estimates of pulmonary artery pressures in patients with pulmonary hypertension. Chest 2011, 140, 270. [Google Scholar] [CrossRef] [PubMed]
- Amsallem, M.; Sternbach, J.M.; Adigopula, S.; Kobayashi, Y.; Vu, T.A.; Zamanian, R.; Liang, D.; Dhillon, G.; Schnittger, I.; McConnell, M.V.; et al. Addressing the Controversy of Estimating Pulmonary Arterial Pressure by Echocardiography. J. Am. Soc. Echocardiogr. 2016, 29, 93–102. [Google Scholar] [CrossRef]
- Masuyama, T.; Kodama, K.; Kitabatake, A. Continuous-wave Doppler echocardiographic detection of pulmonary regurgitation and its application to noninvasive estimation of pulmonary artery pressure. Circulation 1986, 74, 484–492. [Google Scholar] [CrossRef] [PubMed]
- Aduen, J.F.; Castello, R.; Lozano, M.M.; Hepler, G.N.; Keller, C.A.; Alvarez, F.; Safford, R.E.; Crook, J.E.; Heckman, M.G.; Burger, C.D. An alternative echocardiographic method to estimate mean pulmonary artery pressure: Diagnostic and clinical implications. J. Am. Soc. Echocardiogr. 2009, 22, 814–819. [Google Scholar] [CrossRef]
- Hemla, D.; Castelain, V.; Provencher, S.; Humbert, M.; Simonneau, G.; Hervé, P. Evaluation of various empirical formulas for estimating mean pulmonary artery pressure by using systolic pulmonary artery pressure in adults. Chest 2009, 135, 760–768. [Google Scholar]
- Yared, K.; Noseworthy, P.; Weyman, A.E.; McCabe, E.; Picard, M.H.; Baggish, A.L. Pulmonary artery acceleration time provides an accurate estimate of systolic pulmonary arterial pressure during transthoracic echocardiography. J. Am. Soc. Echocardiogr. 2011, 24, 687–692. [Google Scholar] [CrossRef]
- Pavelescu, A.; Vanderpool, R.; Vachiéry, J.L.; Grunig, E.; Naeije, R. Echocardiography of pulmonary vascular function in asymptomatic carriers of BMPR2 mutations. Eur. Respir. J. 2012, 40, 1287–1289. [Google Scholar] [CrossRef] [PubMed]
- Kurzyna, M.; Torbicki, A.; Pruszczyk, P.; Burakowska, B.; Fijałkowska, A.; Kober, J.; Oniszh, K.; Kuca, P.; Tomkowski, W.; Burakowski, J.; et al. Disturbed right ventricular ejection pattern as a new Doppler echocardiographic sign of acute pulmonary embolism. Am. J. Cardiol. 2002, 90, 507–511. [Google Scholar] [CrossRef]













Publisher’s Note: MDPI stays neutral with regard to jurisdictional claims in published maps and institutional affiliations. |
© 2021 by the authors. Licensee MDPI, Basel, Switzerland. This article is an open access article distributed under the terms and conditions of the Creative Commons Attribution (CC BY) license (https://creativecommons.org/licenses/by/4.0/).
Share and Cite
Topyła-Putowska, W.; Tomaszewski, M.; Wysokiński, A.; Tomaszewski, A. Echocardiography in Pulmonary Arterial Hypertension: Comprehensive Evaluation and Technical Considerations. J. Clin. Med. 2021, 10, 3229. https://doi.org/10.3390/jcm10153229
Topyła-Putowska W, Tomaszewski M, Wysokiński A, Tomaszewski A. Echocardiography in Pulmonary Arterial Hypertension: Comprehensive Evaluation and Technical Considerations. Journal of Clinical Medicine. 2021; 10(15):3229. https://doi.org/10.3390/jcm10153229
Chicago/Turabian StyleTopyła-Putowska, Weronika, Michał Tomaszewski, Andrzej Wysokiński, and Andrzej Tomaszewski. 2021. "Echocardiography in Pulmonary Arterial Hypertension: Comprehensive Evaluation and Technical Considerations" Journal of Clinical Medicine 10, no. 15: 3229. https://doi.org/10.3390/jcm10153229
APA StyleTopyła-Putowska, W., Tomaszewski, M., Wysokiński, A., & Tomaszewski, A. (2021). Echocardiography in Pulmonary Arterial Hypertension: Comprehensive Evaluation and Technical Considerations. Journal of Clinical Medicine, 10(15), 3229. https://doi.org/10.3390/jcm10153229
