Outcome of Unilateral Pulmonary Edema after Minimal-Invasive Mitral Valve Surgery: 10-Year Follow-Up
Abstract
1. Introduction
2. Materials and Methods
3. Primary and Secondary Endpoints
4. Surgical Technique and Anesthetic Management
5. Statistical Methods
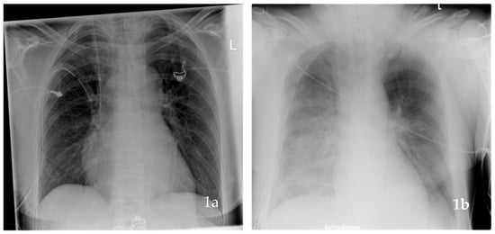
6. Results
6.1. Baseline and Perioperative Patient Characteristics
6.2. Patients after MIMVS on ECLS or ECMO Support
6.3. Survival Analysis
6.4. Logistic Regression Analysis
6.5. Cox Regression Analysis
7. Discussion
8. Conclusions
9. Limitations
Author Contributions
Funding
Institutional Review Board Statement
Informed Consent Statement
Data Availability Statement
Acknowledgments
Conflicts of Interest
Abbreviations
| MIMVS | Minimally invasive mitral valve surgery |
| UPE | Unilateral pulmonary edema |
| ECLS | Extracorporeal life support |
| ECMO | Extracorporeal membrane oxygenation |
| CPB | Cardio-pulmonary bypass |
| CRP | C-reactive protein |
| AF | Atrial fibrillation |
References
- Beckmann, A.; Meyer, R.; Lewandowski, J.; Markewitz, A.; Gummert, J. German Heart Surgery Report 2019: The Annual Updated Registry of the German Society for Thoracic and Cardiovascular Surgery. Thorac. Cardiovasc. Surg. 2020, 68, 263–276. [Google Scholar] [CrossRef] [PubMed]
- Falk, V.; Baumgartner, H.; Bax, J.J.; De Bonis, M.; Hamm, C.; Holm, P.J.; Iung, B.; Lancellotti, P.; Lansac, E.; Muñoz, D.R.; et al. 2017 ESC/EACTS Guidelines for the management of valvular heart disease. Eur. Heart J. 2017, 38, 2739–2791. [Google Scholar] [CrossRef]
- Vernick, W.J.; Woo, J.Y. Anesthetic considerations during minimally invasive mitral valve surgery. Semin. Cardiothorac. Vasc. Anesth. 2012, 16, 11–24. [Google Scholar] [CrossRef]
- Hunter, S. How to start a minimal access mitral valve program. Ann. Cardiothorac. Surg. 2013, 2, 774–778. [Google Scholar]
- Anyanwu, A.C.; Adams, D.H. Should complex mitral valve repair be routinely performed using a minimally invasive approach? Curr. Opin. Cardiol. 2012, 27, 118–124. [Google Scholar] [CrossRef] [PubMed]
- Madershahian, N.; Wippermann, J.; Sindhu, D.; Wahlers, T. Unilateral re-expansion pulmonary edema: A rare complication following one-lung ventilation for minimal invasive mitral valve reconstruction. J. Card. Surg. 2009, 24, 693–694. [Google Scholar] [CrossRef]
- Keyl, C.; Staier, K.; Pingpoh, C.; Pache, G.; Thoma, M.; Günkel, L.; Henschke, S.; Beyersdorf, F. Unilateral Pulmonary Oedema After Minimally Invasive Cardiac Surgery via Right Anterolateral Minithoracotomy. Eur. J. Cardiothorac. Surg. 2015, 47, 1097–1102. [Google Scholar] [CrossRef]
- Tutschka, M.P.; Bainbridge, D.; Chu, M.W.; Kiaii, B.; Jones, P.M. Unilateral postoperative pulmonary edema after minimally invasive cardiac surgical procedures: A case-control study. Ann. Thorac. Surg. 2015, 99, 115–122. [Google Scholar] [CrossRef] [PubMed]
- Renner, J.; Lorenzen, U.; Borzikowsky, C.; Schoeneich, F.; Cremer, J.; Haneya, A.; Hensler, J.; Panholzer, B.; Huenges, K.; Broch, O. Unilateral pulmonary oedema after minimally invasive mitral valve surgery: A single-centre experience. Eur. J. Cardiothorac. Surg. 2018, 53, 764–770. [Google Scholar] [CrossRef]
- Kesävuori, R.I.; Vento, A.E.; Lundbom, N.M.I.; Iivonen, M.R.M.; Huuskonen, A.S.; Raivio, P.M. Unilateral pulmonary oedema after minimally invasive and robotically assisted mitral valve surgery. Eur. J. Cardiothorac. Surg. 2020, 57, 504–511. [Google Scholar] [CrossRef]
- Tarver, R.D.; Broderick, L.S.; Conces, D.J., Jr. Reexpansion pulmonary edema. J. Thorac. Imaging 1996, 11, 198–209. [Google Scholar] [CrossRef]
- Roques, F.; Michel, P.; Goldstone, A.R.; Nashef, S.A. The logistic EuroSCORE. Eur. Heart J. 2003, 24, 882–883. [Google Scholar] [CrossRef]
- Colvin, S.B.; Galloway, A.C.; Ribakove, G.; Grossi, E.A.; Zakow, P.; Buttenheim, P.M.; Baumann, F.G. Port-Access Mitral Valve Surgery: Summary of Results. J. Card. Surg. 1998, 13, 286–289. [Google Scholar] [CrossRef]
- Qiu, Z.; Chen, X.; Xu, Y.; Huang, F.; Xiao, L.; Yang, T.; Yin, L. Does full sternotomy have more significant impact than the cardiopulmonary bypass time in patients of mitral valve surgery? J. Cardiothorac. Surg. 2018, 13, 29. [Google Scholar] [CrossRef]
- Irisawa, Y.; Hiraoka, A.; Totsugawa, T.; Chikazawa, G.; Nakajima, K.; Tamura, K.; Yoshitaka, H.; Sakaguchi, T. Re-expansion pulmonary oedema after minimally invasive cardiac surgery with right mini-thoracotomy. Eur. J. Cardiothorac. Surg. 2016, 49, 500–505. [Google Scholar] [CrossRef] [PubMed]
- Inoue, K.; Hiraoka, A.; Chikazawa, G.; Totsugawa, T.; Nakajima CE, K.; Masuda CE, M.; Yoshitaka, H.; Sakaguchi, T. Preventive Strategy for Reexpansion Pulmonary Edema After Minimally Invasive Cardiac Surgery. Ann. Thorac. Surg. 2020, 109, e375–e377. [Google Scholar] [CrossRef]
- Vlaar, A.P.; Toy, P.; Fung, M.; Looney, M.R.; Juffermans, N.P.; Bux, J.; Bolton-Maggs, P.; Peters, A.L.; Silliman, C.C.; Kor, D.J.; et al. A consensus redefinition of transfusion-related acute lung injury. Transfusion 2019, 59, 2465–2476. [Google Scholar] [CrossRef] [PubMed]
- Leite, C.F.; Calixto, M.C.; Toro, I.F.; Antunes, E.; Mussi, R.K. Characterization of pulmonary and systemic inflammatory responses produced by lung re-expansion after one-lung ventilation. J. Cardiothorac. Vasc. Anesth. 2012, 26, 427–432. [Google Scholar] [CrossRef]
- Kesävuori, R.; Vento, A.; Lundbom, N.; Schramko, A.; Jokinen, J.J.; Raivio, P. Minimal volume ventilation during robotically assisted mitral valve surgery. Perfusion 2019, 34, 705–713. [Google Scholar] [CrossRef] [PubMed]
- Baik, J.H.; Ahn, M.I.; Park, Y.H.; Park, S.H. High-resolution CT findings of re expansion pulmonary edema. Korean. J. Radiol. 2010, 11, 164–168. [Google Scholar] [CrossRef]
- Prsa, M.; Sun, L.; van Amerom, J.; Yoo, S.J.; Grosse-Wortmann, L.; Jaeggi, E.; Macgowan, C.; Seed, M. Reference ranges of blood flow in the major vessels of the normal human fetal circulation at term by phase-contrast magnetic resonance imaging. Circ. Cardiovasc. Imaging 2014, 7, 663–670. [Google Scholar] [CrossRef]
- Apostolakis, E.; Filos, K.S.; Koletsis, E.; Dougenis, D. Lung dysfunction following cardiopulmonary bypass. J. Card. Surg. 2010, 25, 47–55. [Google Scholar] [CrossRef] [PubMed]
- den Hengst, W.A.; Gielis, J.F.; Lin, J.Y.; Van Schil, P.E.; De Windt, L.J.; Moens, A.L. Lung ischemia-reperfusion injury: A molecular and clinical view on a complex pathophysiological process. Am. J. Physiol. Heart Circ. Physiol. 2010, 299, H1283–H1299. [Google Scholar] [CrossRef] [PubMed]
- Sue, R.D.; Matthay, M.A.; Ware, L.B. Hydrostatic mechanisms may contribute to the pathogenesis of human re-expansion pulmonary edema. Intensive Care Med. 2004, 30, 1921–1926. [Google Scholar] [CrossRef] [PubMed]
- Vieillard-Baron, A.; Matthay, M.; Teboul, J.L.; Bein, T.; Schultz, M.; Magder, S.; Marini, J.J. Experts’ opinion on management of hemodynamics in ARDS patients: Focus on the effects of mechanical ventilation. Intensive Care Med. 2016, 42, 739–749. [Google Scholar] [CrossRef]






| Variable | MIC (n = 393) | Non-UPE (n = 321) | UPE (n = 72) | p-Value |
|---|---|---|---|---|
| Age (years) | 64 (54–73) | 63 (54–73) | 65.5 (53–73) | 0.873 |
| Female, n (%) | 158 (40.2%) | 129 (40.2%) | 29 (40.3%) | 0.989 |
| Additive Euro I | 5 (3–7) | 5 (3–7) | 5 (3–7) | 0.229 |
| Logistic EuroSCORE I | 3.67 (2.08–6.59) | 3.57 (2.08–6.30) | 3.96 (2.27–7.35) | 0.169 |
| EuroSCORE II | 0.98 (0.64–1.56) | 0.95 (0.62–1.53) | 1.10 (0.70–1.62) | 0.182 |
| Body mass index (kg/m2) | 24.9 (22.7–27.7) | 24.7 (22.4–27.8) | 25.1 (24.0–27.6) | 0.109 |
| Creatinine (mg/dL) | 0.95 (0.82–1.10) | 0.93 (0.81–1.08) | 1.03 (0.87–1.24) | 0.002 |
| Arterial hypertension | 254 (65.3%) | 205 (64.5%) | 49 (69.0%) | 0.467 |
| IDDM | 11 (2.8%) | 10 (3.1%) | 1 (1.4%) | 0.697 |
| Left ventricular ejection fraction ≤30% | 4 (1.0%) | 3 (0.9%) | 1 (1.4%) | 0.553 |
| Impaired right ventricular function | 75 (19.8%) | 67 (21.5%) | 8 (11.9%) | 0.074 |
| Sinus rhythm | 257 (65.6%) | 219 (68.4%) | 38 (52.8%) | 0.012 |
| Atrial fibrillation | 140 (35.9%) | 106 (33.3%) | 34 (47.2%) | 0.027 |
| Pacemaker | 19 (4.9%) | 16 (5.0%) | 3 (4.2%) | 1.000 |
| COPD | 36 (9.2%) | 27 (8.5%) | 9 (12.7%) | 0.267 |
| Smoking | 79 (20.4%) | 62 (19.6%) | 17 (24.3%) | 0.374 |
| Active endocarditis | 21 (5.5%) | 16 (5.1%) | 5 (7.0%) | 0.561 |
| Peripheral atrial disease | 7 (1.8%) | 5 (1.6%) | 2 (2.9%) | 0.616 |
| TIA | 5 (1.3%) | 3 (1.0%) | 2 (2.8%) | 0.230 |
| Stroke | 12 (3.1%) | 9 (2.9%) | 3 (4.2%) | 0.469 |
| Previous cardiac surgery | 9 (2.3%) | 9 (2.9%) | 0 (0.0%) | 0.376 |
| Previous mitral valve surgery | 2 (0.5%) | 2 (0.6%) | 0 (0.0%) | 1.000 |
| CRP > 5 mg/dL preoperative | 18 (4.6%) | 14 (4.4%) | 4 (5.6%) | 0.754 |
| CRP (mg/dL) preoperative | 0.31 (0.13;1.19) | 0.31 (0.12; 1.19) | 0.44 (0.14;1.16) | 0.337 |
| Pulmonary hypertension (>60 mmHg) | 58 (15.0%) | 44 (13.9%) | 14 (20.3%) | 0.177 |
| Variable | MIC (n = 393) | Non-UPE (n = 321) | UPE (n = 72) | p-Value |
|---|---|---|---|---|
| Duration of surgery (min) | 288 (258–323) | 283 (254–320) | 305 (271–355) | 0.001 |
| Bypass time (min) | 193 (171–220) | 189 (170–216) | 210 (180–234) | 0.005 |
| Aortic clamp time (min) | 122 (105–145) | 120 (105–140) | 132 (104–158) | 0.031 |
| Transfusion of red blood cell concentrates | 147 (38.0%) | 113 (35.6%) | 34 (48.6%) | 0.044 |
| RBC, ∑ (mL) | 600 (600–1200) | 600 (600–1200) | 600 (600–1200) | 0.137 |
| Transfusion of fresh frozen plasma | 8 (2.1%) | 5 (1.6%) | 3 (4.3%) | 0.161 |
| FFP, ∑ (mL) | 1200 (900–1200) | 1200 (750–1200) | 1200 (900–2400) | --- |
| Transfusion of platelets | 91 (23.5%) | 69 (21.8%) | 22 (31.4%) | 0.084 |
| platelets, ∑ (mL) | 250 (250–250) | 250 (250–250) | 250 (250–250) | 0.207 |
| Inotropics | 280 (72.5%) | 222 (70.3%) | 58 (82.9%) | 0.033 |
| Milrinon, n (%) | 44 (11.4%) | 32 (10.1%) | 12 (17.1%) | 0.095 |
| Milrinon (mL/h), (range) | 8.0 (6.0–8.0) | 8.0 (6.0–8.0) | 8.0 (8.0–8.0) | 0.049 |
| Enoximone (Perfan) | 212 (54.8%) | 166 (52.4%) | 46 (65.7%) | 0.042 |
| Norepinephrine at the end of surgery (µg/kg/min) | 0.05 (0.02–0.10) | 0.05 (0.02–0.09) | 0.05 (0.03–0.11) | 0.249 |
| Epinephrine, n | 97 (25.1%) | 75 (23.7%) | 22 (31.4%) | 0.175 |
| Tidal volume (mL) | 600 (525–683) | 600 (525–683) | 590 (525–670) | 0.696 |
| PEEP (cmH2O) | 8 (6–10) | 8 (6–10) | 8 (6–10) | 0.490 |
| FiO₂ | 1.00 (0.8–1.0) | 1.0 (0.8–1.0) | 1.0 (0.8–1.0) | 0.463 |
| Mitral valve reconstruction | 303 (77.7%) | 248 (78.0%) | 55 (76.4%) | 0.769 |
| Mitral valve replacement | 87 (22.3%) | 70 (22.0%) | 17 (23.6%) | 0.769 |
| Cardiac valve size | 29 (29–31) | 29 (29–31) | 29 (29–31) | 0.824 |
| Combined interventions | ||||
| PFO/ASD closure | 38 (9.8%) | 26 (8.3%) | 12 (16.7%) | 0.031 |
| Cryo-MAZE procedure | 6 (1.6%) | 3 (1.0%) | 3 (4.2%) | 0.081 |
| Tricuspid valve reconstruction | 6 (1.6%) | 3 (1.0%) | 3 (4.2%) | 0.081 |
| Closure of the left atrial appendage | 4 (1.0%) | 2 (0.6%) | 2 (2.8%) | 0.160 |
| Other | 9 (2.3%) | 7 (2.2%) | 2 (2.8%) | 0.677 |
| Variable | MIC (n = 393) | Non-UPE (n = 321) | UPE (n = 72) | p-Value |
|---|---|---|---|---|
| Re-thoracotomy | 30 (7.7%) | 21 (6.6%) | 9 (12.5%) | 0.088 |
| Length of ventilation (min) | 0.8 (0.6–640) | 0.8 (0.5–654) | 1.0 (0.7–571) | 0.143 |
| ∑ Length of ventilation (min) | 850 (660–1170) | 820 (645–1050) | 1110 (826–4034) | <0.001 |
| NIV | 17 (4.5%) | 10 (3.2%) | 7 (10.0%) | 0.022 |
| Tracheostomy | 22 (5.6%) | 11 (3.4%) | 11 (15.3%) | 0.001 |
| ECMO | 2 (0.5%) | 1 (0.3%) | 1 (1.4%) | 0.335 |
| ECLS, n (%) | 6 (1.5%) | 0 (0.0%) | 6 (8.3%) | <0.001 |
| Total drainage loss (mL) | 550 (300–1350) | 500 (300–1113) | 975 (413–2375) | <0.001 |
| CRP max 48 h postoperative (mg/dl) | 15.2 (11.7–20.3) | 14.9 (11.4–20.0) | 17.6 (12.7–22.0) | 0.007 |
| Re-ITN, n (%) | 27 (6.9%) | 19 (6.0%) | 8 (11.1%) | 0.126 |
| Horovitz Index at ICU arrival, 8.9% missing | 460 (367–540) | 475 (387–549) | 390 (299–478) | <0.001 |
| Horovitz Index (ICU < 4 h), 61.8% missing | 330 (244–425) | 335 (236–430) | 315 (244–406) | 0.746 |
| Length of stay at the ICU (days) | 2 (2–3) | 2 (2–2) | 3 (2–7) | <0.001 |
| Length of stay at the hospital (days) | 12 (9–15) | 11 (9–14) | 13 (10–19) | 0.015 |
| Combined in-hospital and 30-day mortality | 8 (2.0%) | 5 (1.6%) | 3 (4.2%) | 0.165 |
| Follow-up time (years) | 3.9 (1.6–6.4) | 3.9 (1.6–6.3) | 4.1 (1.5–6.5) | 0.947 |
| Predictors | Odds Ratio | 95% CI | p-Value |
|---|---|---|---|
| Creatinine (mg/dL) | 2.588 | 1.146–5.843 | 0.022 |
| Impaired RVF | 0.339 | 0.131–0.880 | 0.026 |
| LVEF < 50 | 2.074 | 1.093–3.933 | 0.026 |
| Pulmonary hypertension (>60 mm Hg) | 2.522 | 1.072–5.931 | 0.034 |
| Aortic clamp time (min) | 1.009 | 1.001–1.017 | 0.037 |
| Transfusion of red blood cells | 1.795 | 1.028–3.137 | 0.040 |
| Predictors | Hazard Ratio | 95% CI | p-Value |
|---|---|---|---|
| UPE | 0.810 | 0.357–1.838 | 0.615 |
| Age ≥ 70 years | 2.828 | 1.488–5.376 | 0.002 |
| Impaired RVF | 2.739 | 1.418–5.291 | 0.003 |
| COPD | 2.759 | 1.376–5.532 | 0.004 |
| Total drainage loss ≥800 mL | 2.993 | 1.248–7.174 | 0.014 |
| ∑ Length of ventilation ≥48 h | 3.834 | 1.831–8.024 | <0.001 |
Publisher’s Note: MDPI stays neutral with regard to jurisdictional claims in published maps and institutional affiliations. |
© 2021 by the authors. Licensee MDPI, Basel, Switzerland. This article is an open access article distributed under the terms and conditions of the Creative Commons Attribution (CC BY) license (https://creativecommons.org/licenses/by/4.0/).
Share and Cite
Puehler, T.; Friedrich, C.; Lutter, G.; Kornhuber, M.; Salem, M.; Schoettler, J.; Ernst, M.; Saad, M.; Seoudy, H.; Frank, D.; et al. Outcome of Unilateral Pulmonary Edema after Minimal-Invasive Mitral Valve Surgery: 10-Year Follow-Up. J. Clin. Med. 2021, 10, 2411. https://doi.org/10.3390/jcm10112411
Puehler T, Friedrich C, Lutter G, Kornhuber M, Salem M, Schoettler J, Ernst M, Saad M, Seoudy H, Frank D, et al. Outcome of Unilateral Pulmonary Edema after Minimal-Invasive Mitral Valve Surgery: 10-Year Follow-Up. Journal of Clinical Medicine. 2021; 10(11):2411. https://doi.org/10.3390/jcm10112411
Chicago/Turabian StylePuehler, Thomas, Christine Friedrich, Georg Lutter, Maike Kornhuber, Mohamed Salem, Jan Schoettler, Markus Ernst, Mohammed Saad, Hatim Seoudy, Derk Frank, and et al. 2021. "Outcome of Unilateral Pulmonary Edema after Minimal-Invasive Mitral Valve Surgery: 10-Year Follow-Up" Journal of Clinical Medicine 10, no. 11: 2411. https://doi.org/10.3390/jcm10112411
APA StylePuehler, T., Friedrich, C., Lutter, G., Kornhuber, M., Salem, M., Schoettler, J., Ernst, M., Saad, M., Seoudy, H., Frank, D., Schoeneich, F., Cremer, J., & Haneya, A. (2021). Outcome of Unilateral Pulmonary Edema after Minimal-Invasive Mitral Valve Surgery: 10-Year Follow-Up. Journal of Clinical Medicine, 10(11), 2411. https://doi.org/10.3390/jcm10112411

