Diffusion-Weighted MRI in the Evaluation of Renal Parenchymal Involvement during Febrile Urinary Tract Infections in Children: Preliminary Data
Abstract
1. Introduction
2. Materials and Methods
- Patients aged ≤15 years old, with a diagnosis of febrile UTI;
- Body temperature ≥38 °C;
- Positive urine culture (≥100,000 CFU of a single species of uropathogen);
- Positive urine stick (positive nitrite and leukocyte tests);
- Positive urine culture and negative urine stick with the urine stick performed after the start of antibiotic therapy;
- Positive urine stick and negative urine culture with the urine culture performed after the start of antibiotic therapy;
- DW-MRI performed within 72 h of admission.
- Patients aged > 15 years old;
- Body temperature < 38 °C;
- Negative urine culture and negative urine stick;
- DW-MRI performed after 72 h from the time of admission.
- Axillary temperature on admission to the emergency room;
- Symptoms on admission (abdominal or lumbar pain, diarrhea, urinary symptoms, vomiting or lack of appetite, irritability or lethargy);
- Urinary stick and culture analysis on urine sample. The chemical and physical parameters evaluated in the urinary stick were urinary pH, presence of nitrite, leukocyte esterase and red blood cells. Nitrite tests, leukocyte esterase and urinary stick cells were considered positive for each detected value, regardless of their quantity. Urine culture was considered positive in the presence of at least 100,000 CFU of a single species of uropathogen. The microorganism responsible for infection was also recorded in our database.
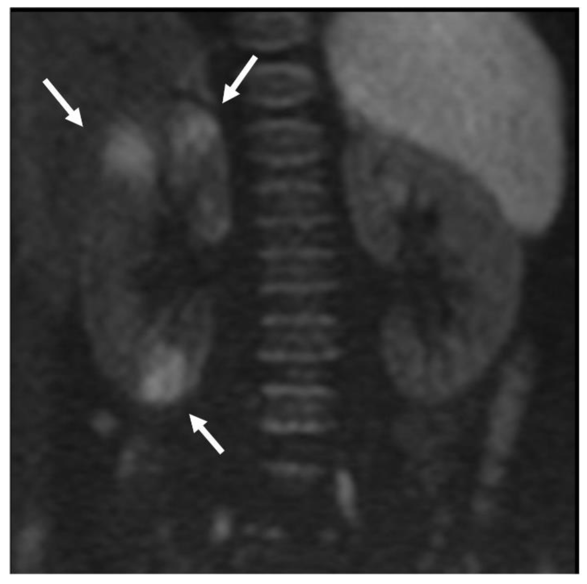
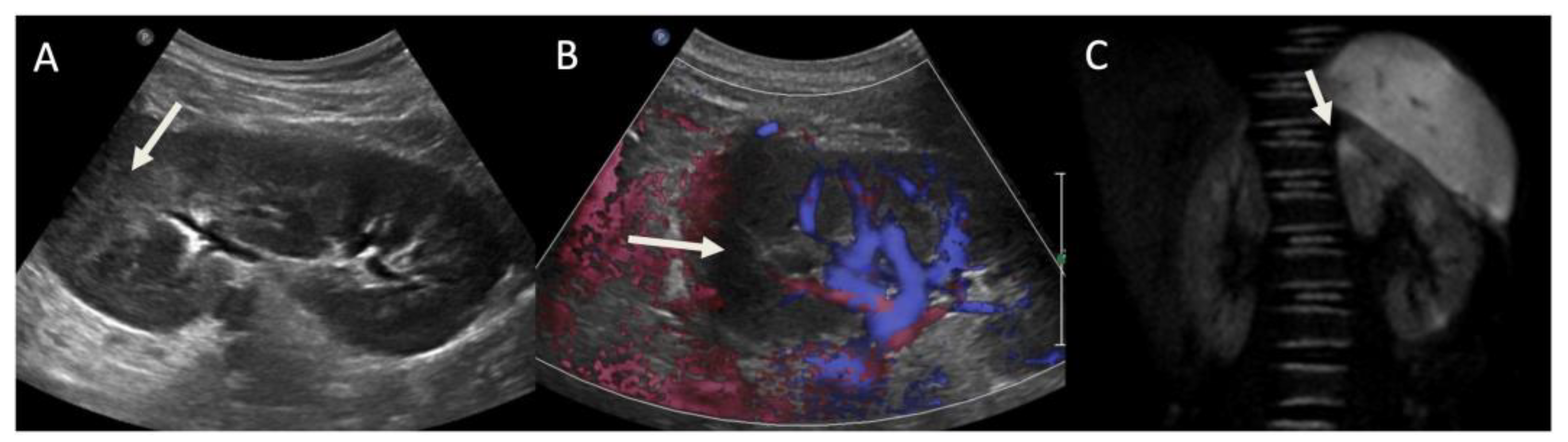
- Focal parenchymal areas with restricted diffusion;
- Seat, number, and mono- or bi-laterality of the focal renal lesions.
Statistical Methods
3. Results
4. Discussion
5. Conclusions
Author Contributions
Funding
Institutional Review Board Statement
Informed Consent Statement
Data Availability Statement
Conflicts of Interest
References
- Simões, A.C.; Oliveira, E.A.; Mak, R.H. Urinary tract infection in pediatrics: An overview. J. Pediatr. 2020, 96, 65–79. [Google Scholar] [CrossRef]
- Balighian, E.; Burke, M. Urinary Tract Infections in Children. Pediatrics Rev. 2018, 39, 3–12. [Google Scholar] [CrossRef]
- Napolitano, M.; Ravelli, A. Imaging and Intervention in Urinary Tract Infections and Urosepsis; Springer: Berlin/Heidelberg, Germany, 2018; pp. 231–246. [Google Scholar]
- Stein, R.; Dogan, H.S.; Hoebeke, P.; Kočvara, R.; Nijman, R.J.; Radmayr, C.; Tekgül, S. Urinary Tract Infections in Children: EAU/ESPU Guidelines. Eur. Urol. 2015, 67, 546–558. [Google Scholar] [CrossRef]
- NICE Guidelines. Urinary Tract Infection in under 16s: Diagnosis and Management; National Institute for Health and Care Excellence: London, UK, 2020. [Google Scholar]
- Subcommittee on Urinary Tract Infection. Reaffirmation of AAP clinical practice guideline: The diagnosis and management of the initial urinary tract infection in febrile infants and young children 2–24 months of age. Pediatrics 2016, 138, 6. [Google Scholar]
- Subcommittee on Urinary Tract Infection, Steering Committee on Quality Improvement and Management. Urinary Tract Infection: Clinical Practice Guideline for the Diagnosis and Management of the Initial UTI in Febrile Infants and Children 2 to 24 Months. Pediatrics 2011, 128, 595–610. [Google Scholar] [CrossRef]
- Devillé, W.L.J.M.; Yzermans, J.C.; Van Duijn, N.P.; Bezemer, P.D.; Windt, D.A.W.M.V.D.; Bouter, L.M. The urine dipstick test useful to rule out infections. A meta-analysis of the accuracy. BMC Urol. 2004, 4, 4. [Google Scholar] [CrossRef] [PubMed]
- Glissmeyer, E.W.; Korgenski, E.K.; Wilkes, J.; Schunk, J.E.; Sheng, X.; Blaschke, A.J.; Byington, C.L. Dipstick Screening for Urinary Tract Infection in Febrile Infants. Pediatrics 2014, 133, e1121–e1127. [Google Scholar] [CrossRef] [PubMed]
- Tekgül, S.; Riedmiller, H.; Hoebeke, P.; Kočvara, R.; Nijman, R.J.; Radmayr, C.; Stein, R.; Dogan, H.S. EAU Guidelines on Vesicoureteral Reflux in Children. Eur. Urol. 2012, 62, 534–542. [Google Scholar] [CrossRef] [PubMed]
- Ottonello, G.; Dessì, A.; Manus, D.; Pinna, A.P.; Sau, F.; Fanos, V. Acute pyelonephritis in the neonatal period. Pielonefrite acuta in epoca neonatale. J. Pediatr. Neonatal Individ. Med. 2014, 3, e030106. [Google Scholar]
- Ammenti, A.; Cataldi, L.; Chimenz, R.; Fanos, V.; La Manna, A.; Marra, G.; Materassi, M.; Pecile, P.; Pennesi, M.; Pisanello, L.; et al. Febrile urinary tract infections in young children: Recommendations for the diagnosis, treatment and follow-up. Acta Paediatr. 2012, 101, 451–457. [Google Scholar] [CrossRef]
- Piccoli, G.B.; Consiglio, V.; Deagostini, M.C.; Serra, M.; Biolcati, M.; Ragni, F.; Biglino, A.; De Pascale, A.; Frascisco, M.F.; Veltri, A.; et al. The clinical and imaging presentation of acute “non complicated” pyelonephritis: A new profile for an ancient disease. BMC Nephrol. 2011, 12, 68. [Google Scholar] [CrossRef] [PubMed]
- Renard-Penna, R.; Marcy, P.Y.; Lacout, A.; Thariat, J. Imagerie rénale: Anatomie radiologique et méthodes d’exploration. Bull. Cancer 2012, 99, 251–262. [Google Scholar] [CrossRef] [PubMed]
- Ghobrial, E.E.; Abdelaziz, D.M.; Sheba, M.F.; Abdel-Azeem, Y.S. Value of Ultrasound in Detecting Urinary Tract Anomalies After First Febrile Urinary Tract Infection in Children. Clin. Pediatr. 2016, 55, 415–420. [Google Scholar] [CrossRef] [PubMed]
- Freeman, C.W.; Altes, T.A.; Rehm, P.K.; de Lange, E.E.; Lancaster, L.; Mugler, J.P., III; Flors, L. Unenhanced MRI as an alternative to 99mTc-labeled dimercaptosuccinic acid scintigraphy in the detection of pediatric renal scarring. Am. J. Roentgenol. 2018, 210, 869–875. [Google Scholar] [CrossRef] [PubMed]
- Balthazar, A.; Herndon, C.A. Prenatal urinary tract dilatation. Urol. Clin. 2018, 45, 641–657. [Google Scholar] [CrossRef]
- Chang, S.L.; Shortliffe, L.D. Pediatric Urinary Tract Infections. Pediatr. Clin. North Am. 2006, 53, 379–400. [Google Scholar] [CrossRef] [PubMed]
- Chu, C.M.; Lowder, J.L. Diagnosis and treatment of urinary tract infections across age groups. Am. J. Obstet. Gynecol. 2018, 219, 40–51. [Google Scholar] [CrossRef]
- Oh, M.M.; Kim, J.W.; Park, M.G.; Kim, J.J.; Yoo, K.H.; Moon, D.G. The impact of therapeutic delay time on acute scintigraphic lesion and ultimate scar formation in children with first febrile UTI. Eur. J. Pediatrics 2012, 171, 565–570. [Google Scholar] [CrossRef]
- Bosakova, A.; Salounova, D.; Havelka, J.; Kraft, O.; Sirucek, P.; Kocvara, R.; Hladik, M. Diffusion-Weighted magnetic resonance imaging is more sensitive than dimercaptosuccinic acid scintigra- phy in detecting parenchymal lesions in children with acute pyelonephritis: A prospective study. J. Pediatr. Urol. 2018, 14, 269-e1. [Google Scholar] [CrossRef]
- Morello, W.; La Scola, C.; Alberici, I.; Montini, G. Acute pyelonephritis in children. Pediatr. Nephrol. 2016, 31, 1253–1265. [Google Scholar] [CrossRef]
- Tapiainen, T.; Hanni, A.-M.; Salo, J.; Ikäheimo, I.; Uhari, M. Escherichia coli biofilm formation and recurrences of urinary tract infections in children. Eur. J. Clin. Microbiol. Infect. Dis. 2014, 33, 111–115. [Google Scholar] [CrossRef] [PubMed]
- Oguz, F.; Yildiz, I.; Varkal, M.A.; Hizli, Z.; Toprak, S.; Kaymakci, K.; Saygili, S.K.; Kilic, A.; Unuvar, E. Axillary and Tympanic Temperature Measurement in Children and Normal Values for Ages. Pediatr. Emerg. Care 2018, 34, 169–173. [Google Scholar] [CrossRef] [PubMed]
- Gilani, K.A.; Esfeh, J.M.; Gholamrezanezhad, A.; Gholami, A.; Mamishi, S.; Eftekhari, M.; Beiki, D.; Fard-Esfahani, A.; Fallahi, B.; Anvari, A. Predictors of abnormal renal cortical scintigraphy in children with first urinary tract infection: The importance of time factor. Int. Urol. Nephrol. 2010, 42, 1041–1047. [Google Scholar] [CrossRef] [PubMed]
- Johnson, J.R.; Russo, T.A. Acute Pyelonephritis in Adults. N. Engl. J. Med. 2018, 378, 48–59. [Google Scholar] [CrossRef] [PubMed]
- Bressan, S.; Andreola, B.; Zucchetta, P.; Montini, G.; Burei, M.; Perilongo, G.; Da Dalt, L. Procalcitonin as a predictor of renal scarring in infants and young children. Pediatr. Nephrol. 2009, 24, 1199–1204. [Google Scholar] [CrossRef] [PubMed]
- Xu, R.-Y.; Liu, H.-W.; Liu, J.-L.; Dong, J.-H. Procalcitonin and C-reactive protein in urinary tract infection diagnosis. BMC Urol. 2014, 14, 45. [Google Scholar] [CrossRef]
- Liao, P.-F.; Ku, M.-S.; Tsai, J.-D.; Choa, Y.-H.; Hung, T.-W.; Lue, K.-H.; Sheu, J.-N. Comparison of procalcitonin and different guidelines for first febrile urinary tract infection in children by imaging. Pediatr. Nephrol. 2014, 29, 1567–1574. [Google Scholar] [CrossRef]
- Shaikh, K.J.; Osio, V.A.; Leeflang, M.M.; Shaikh, N. Procalcitonin, C-reactive protein, and erythrocyte sedimentation rate for the diagnosis of acute pyelonephritis in children. Cochrane Database Syst. Rev. 2020, 9. [Google Scholar] [CrossRef]




| Sequence | Plane | Slice Thickness | GAP | TR | TE | NSA | B Value |
|---|---|---|---|---|---|---|---|
| Single shot T2 | axial | 4 mm | 0.4 | shortest | 80 | 2 | |
| Single shot T2 | coronal | 4 mm | 0 | shortest | 80 | 1 | |
| TSE T2 HR-RT | coronal | 4 mm | 0.4 | shortest | 100 | 2 | |
| DWI | axial | 4 mm | 0.4 | shortest | 69 | 3 | 0, 50, 300, 600, 1000 |
| DWI | coronal | 4 mm | 0.4 | shortest | 69 | 3 | 0, 50, 300, 600, 1000 |
| Age (Years) | ||||
|---|---|---|---|---|
| <2 Years | ≥2 Years | p | ||
| Abdominal/lumbar pain | yes | 2/17 (11.8%) | 11/33 (54.5%) | 0.003 a |
| no | 15/17 (88.2%) | 15/33 (45.5%) | ||
| Diarrhea | yes | 5/17 (29.4%) | 1/33 (3.0%) | 0.014 b |
| no | 12/17 (70.6%) | 32/33 (97.0%) | ||
| Urinary symptoms | yes | 1/17 (5.9%) | 16/33 (48.5%) | 0.003 a |
| no | 16/17 (94.1%) | 17/33 (51.5%) | ||
| Vomiting/lack of appetite | yes | 5/17 (29.4%) | 8/33 (24.2%) | 0.74 |
| no | 12/17 (70.6%) | 25/33 (75.8%) | ||
| Irritability/lethargy | yes | 4/17 (23.5%) | 2/33 (6.1%) | 0.16 |
| no | 13/17 (76.5%) | 31/33 (93.9%) | ||
| Pathological (n = 34) | Non Pathological (n = 17) | P | ||
|---|---|---|---|---|
| Gender | Male | 11/17 (64.7%) | 6/17 (35.3%) | 0.83 a |
| Female | 23/34 (67.6%) | 11/34 (32.4%) | ||
| Age at admission (years) | 6.2 [2.2–9.9] | 0.5 [0.2–4.2] | 0.0004 b | |
| Body temperature (°C) | 39 [38.6–40] (n = 32) | 39 [38.2–39] | 0.12 b | |
| Abdominal/lumbar pain | yes | 16/20 (80%) | 4/20 (20%) | 0.09 a |
| no | 17/30 (56.7%) | 13/30 (43.3%) | ||
| Diarrhea | yes | 3/6 (50%) | 3/6 (50%) | 0.40 c |
| no | 30/44 (68.2%) | 14/44 (31.8%) | ||
| Urinary symptoms | yes | 14/17 (82.4%) | 3/17 (17.6%) | 0.08 a |
| no | 19/33 (57.6%) | 14/33 (42.4%) | ||
| Vomiting/lack of appetite | yes | 7/13 (53.8%) | 6/13 (46.2%) | 0.32 c |
| no | 26/37 (70.3%) | 11/37 (29.7%) | ||
| Irritability/lethargy | yes | 3/6 (50%) | 3/6 (50%) | 0.40 c |
| no | 30/44 (68.2%) | 14/44 (31.8%) | ||
| CRP (mg/dL) * | 9.1 [3.9–17.6] | 4.6 [2–13.4] | 0.22 b | |
| Leukocytosis | yes | 25/36 (69.4%) | 11/36 (30.6%) | 0.51 c |
| no | 8/14 (57.1%) | 6/14 (42.9%) | ||
| Urine pH (stick) | 6 [5–7] (n = 27) | 6 [5–6] (n = 15) | 0.89 b | |
| Leukocyturia (stick) | yes | 24/39 (61.5%) | 15/39 (38.5%) | 0.40 c |
| no | 5/6 (83.3%) | 1/6 (16.7%) | ||
| Nitrites (stick) | yes | 19/27 (70.4%) | 8/27 (29.6%) | 0.31 a |
| no | 10/18 (55.6%) | 8/18 (44.4%) | ||
| Hematuria (stick) | yes | 23/34 (67.6%) | 11/34 (32.4%) | 0.48 c |
| no | 6/11 (54.5%) | 5/11 (45.5%) | ||
Publisher’s Note: MDPI stays neutral with regard to jurisdictional claims in published maps and institutional affiliations. |
© 2021 by the authors. Licensee MDPI, Basel, Switzerland. This article is an open access article distributed under the terms and conditions of the Creative Commons Attribution (CC BY) license (https://creativecommons.org/licenses/by/4.0/).
Share and Cite
Anfigeno, L.; Sertorio, F.; Basso, L.; Fontana, A.; Bodria, M.; Pistorio, A.; Ghiggeri, G.M.; Damasio, M.B. Diffusion-Weighted MRI in the Evaluation of Renal Parenchymal Involvement during Febrile Urinary Tract Infections in Children: Preliminary Data. J. Clin. Med. 2021, 10, 2239. https://doi.org/10.3390/jcm10112239
Anfigeno L, Sertorio F, Basso L, Fontana A, Bodria M, Pistorio A, Ghiggeri GM, Damasio MB. Diffusion-Weighted MRI in the Evaluation of Renal Parenchymal Involvement during Febrile Urinary Tract Infections in Children: Preliminary Data. Journal of Clinical Medicine. 2021; 10(11):2239. https://doi.org/10.3390/jcm10112239
Chicago/Turabian StyleAnfigeno, Lorenzo, Fiammetta Sertorio, Luca Basso, Andrea Fontana, Monica Bodria, Angela Pistorio, Gian Marco Ghiggeri, and Maria Beatrice Damasio. 2021. "Diffusion-Weighted MRI in the Evaluation of Renal Parenchymal Involvement during Febrile Urinary Tract Infections in Children: Preliminary Data" Journal of Clinical Medicine 10, no. 11: 2239. https://doi.org/10.3390/jcm10112239
APA StyleAnfigeno, L., Sertorio, F., Basso, L., Fontana, A., Bodria, M., Pistorio, A., Ghiggeri, G. M., & Damasio, M. B. (2021). Diffusion-Weighted MRI in the Evaluation of Renal Parenchymal Involvement during Febrile Urinary Tract Infections in Children: Preliminary Data. Journal of Clinical Medicine, 10(11), 2239. https://doi.org/10.3390/jcm10112239

