The Missing Protein: Is T-Cadherin a Previously Unknown GPI-Anchored Receptor on Platelets?
Abstract
1. Introduction
2. Materials and Methods
2.1. Cell Culture
2.2. Isolation of Platelets
2.3. Flow Cytometry
2.4. Confocal Microscopy
2.5. Phospholipase Digestion
2.6. Polyacrylamide Gel Electrophoresis of Proteins, Immunoblotting, and Immunoprecipitation
2.7. Polymerase Chain Reaction and Sanger Sequencing
2.8. Isolation of Detergent Insoluble Fractions from Platelets
3. Results
3.1. Specific Epitope of T-Cadherin Identified on Membranes of Human Platelets and Megakaryocytes
3.2. T-Cadherin on Platelets and Megakaryocytes Is GPI-Anchored
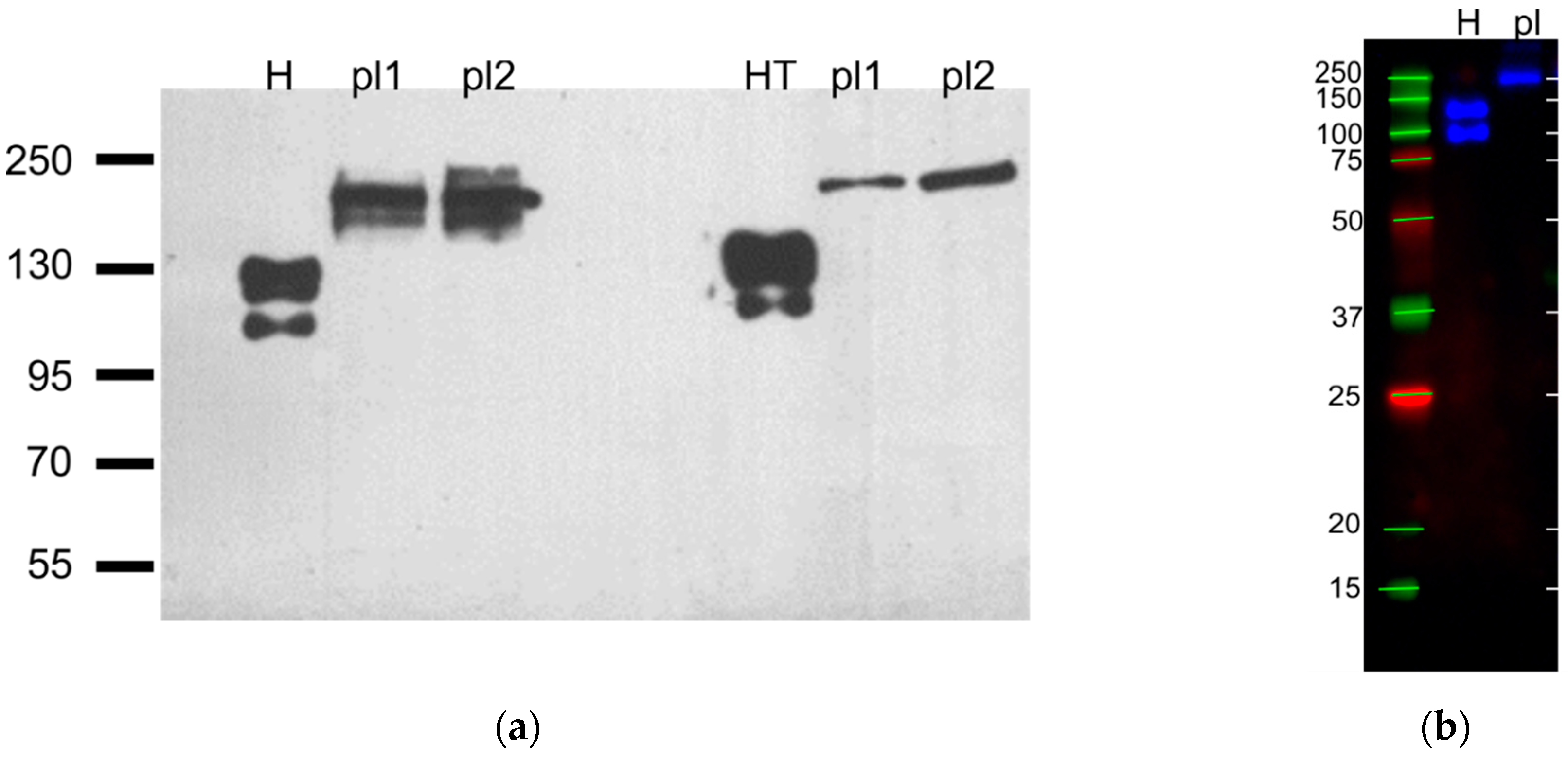
3.3. Detection of Unusual T-Cadherin Molecular Weight in Megakaryocytes and Platelets
3.4. Isoform-1 of T-Cadherin Is Found in Platelets and Megakaryocytes
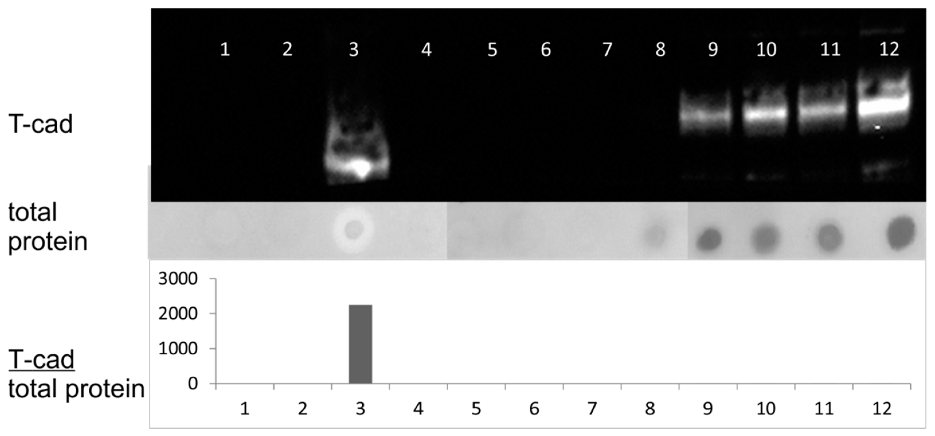
3.5. Redistribution of T-Cadherin after Platelets Activation
4. Discussion
Author Contributions
Funding
Institutional Review Board Statement
Informed Consent Statement
Data Availability Statement
Acknowledgments
Conflicts of Interest
References
- Buhler, F.R.; Tkachuk, V.A.; Hahn, A.W.; Resink, T.J. Low- and high-density lipoproteins as hormonal regulators of platelet, vascular endothelial and smooth muscle cell interactions: Relevance to hypertension. J. Hypertens. Suppl. 1991, 9, S28–S36. [Google Scholar] [CrossRef]
- Bochkov, V.N.; Rozhkova, T.A.; Matchin, Y.G.; Lyakishev, A.A.; Bochkova, N.A.; Borisova, Y.L.; Kukharchuk, V.V.; Tkachuk, V.A. LDL- and agonist-induced Ca(2+)-mobilization in platelets of healthy subjects and in patients with familial hyperlipoproteinemia type II. Thromb. Res. 1991, 61, 403–409. [Google Scholar] [CrossRef]
- Pedreno, J.; de Castellarnau, C.; Cullare, C.; Sanchez, J.; Gomez-Gerique, J.; Ordonez- Llanos, J.; Gonzalez-Sastre, F. LDL binding sites on platelets differ from the “classical” receptor of nucleated cells. Arterioscler. Thromb. Vasc. Biol. 1992, 12, 1353–1362. [Google Scholar] [CrossRef] [PubMed]
- Relou, A.M.; Gorter, G.; van Rijn, H.J.; Akkerman, J.W. Platelet activation by the apoB/E receptor-binding domain of LDL. Thromb. Haemost. 2002, 87, 880–887. [Google Scholar] [PubMed]
- Korporaal, S.J.; Relou, I.A.; van Eck, M.; Strasser, V.; Bezemer, M.; Gorter, G.; van Berkel, T.J.; Nimpf, J.; Akkerman, J.W.; Lenting, P.J. Binding of low density lipoprotein to platelet apolipoprotein E receptor 2’ results in phosphorylation of p38MAPK. J. Biol. Chem. 2004, 279, 52526–52534. [Google Scholar] [CrossRef]
- Korporaal, S.J.; Akkerman, J.W. Platelet activation by low density lipoprotein and high density lipoprotein. Pathophysiol. Haemost. Thromb. 2006, 35, 270–280. [Google Scholar] [CrossRef]
- Block, L.H.; Knorr, M.; Vogt, E.; Locher, R.; Vetter, W.; Groscurth, P.; Qiao, B.Y.; Pometta, D.; James, R.; Regenass, M.; et al. Low density lipoprotein causes general cellular activation with increased phosphatidylinositol turnover and lipoprotein catabolism. Proc. Natl. Acad. Sci. USA 1988, 85, 885–889. [Google Scholar] [CrossRef] [PubMed]
- Bochkov, V.N.; Voino-Yasenetskaya, T.A.; Tkachuk, V.A. Epinephrine potentiates activation of human platelets by low density lipoproteins. Biochim. Biophys. Acta 1991, 1097, 123–127. [Google Scholar] [CrossRef]
- Bochkov, V.N.; Matchin, Y.G.; Fuki, I.V.; Lyakishev, A.A.; Tkachuk, V.A. Platelets in patients with homozygous familial hypercholesterolemia are sensitive to Ca(2+)-mobilizing activity of low density lipoproteins. Atherosclerosis 1992, 96, 119–124. [Google Scholar] [CrossRef]
- Nofer, J.R.; Tepel, M.; Kehrel, B.; Wierwille, S.; Walter, M.; Seedorf, U.; Zidek, W.; Assmann, G. Low-density lipoproteins inhibit the Na+/H+ antiport in human platelets. A novel mechanism enhancing platelet activity in hypercholesterolemia. Circulation 1997, 95, 1370–1377. [Google Scholar] [CrossRef]
- Pedreño, J.; Hurt-Camejo, E.; Wiklund, O.; Badimón, L.; Masana, L. Low-density lipoprotein (LDL) binds to a G-protein coupled receptor in human platelets. Atherosclerosis 2001, 155, 99–112. [Google Scholar] [CrossRef]
- Hackeng, C.M.; Relou, I.A.; Pladet, M.W.; Gorter, G.; van Rijn, H.J.; Akkerman, J.W. Early platelet activation by low density lipoprotein via p38MAP kinase. Thromb. Haemost. 1999, 82, 1749–1756. [Google Scholar] [CrossRef] [PubMed]
- Polgar, J.; Clemetson, J.M.; Gengenbacher, D.; Clemetson, K.J. Additional GPI-anchored glycoproteins on human platelets that are absent or deficient in paroxysmal nocturnal haemoglobinuria. FEBS Lett. 1993, 327, 49–53. [Google Scholar] [CrossRef]
- Clemetson, K.J.; Clemetson, J.M. Platelet Receptors. In Platelets; Elsevier: Amsterdam, The Netherlands, 2019; pp. 169–192. [Google Scholar] [CrossRef]
- Tkachuk, V.; Bochkov, V.; Philippova, M.; Stambolsky, D. Identification of atypical lipoprotein-binding protein from human aortic smooth muscle as T-cadherin. FEBS Lett. 1998, 421, 208–212. [Google Scholar] [CrossRef]
- Rubina, K.; Talovskaya, E.; Cherenkov, V.; Ivanov, D.; Stambolsky, D.; Storozhevykh, T.; Pinelis, V.; Shevelev, A.; Parfyonova, Y.; Resink, T.; et al. LDL induces intracellular signalling and cell migration via atypical LDL-binding protein T-cadherin. Mol. Cell. Biochem. 2005, 273, 33–41. [Google Scholar] [CrossRef] [PubMed]
- Kipmen-Korgun, D.; Osibow, K.; Zoratti, C.; Schraml, E.; Greilberger, J.; Kostner, G.; Jürgens, G.; Graier, W. T-Cadherin Mediates Low-Density Lipoprotein–Initiated Cell Proliferation Via the Ca2+-Tyrosine Kinase-Erk 1/2 Phathway. J. Cardiovasc. Pharmacol. 2005, 45, 418–430. [Google Scholar] [CrossRef]
- Bochkov, V.N.; Kuz’menko, E.S.; Rezink, T.; Tkachuk, V.A. “Classical” apo B,E-receptor does not mediate the activating effect of low density lipoproteins on the second messenger system in human platelets and vascular smooth muscle cells. Biokhimiia 1994, 59, 1330–1339. [Google Scholar]
- Bochkov, V.N.; Sorokin, E.V.; Byzova, T.V.; Mazurov, A.V.; Little, P.; Bobik, A.; Tkachuk, V.A. Do glycoproteins IIb/IIIa participate in activation of human platelet s by low density lipoproteins? Biokhimiia 1995, 60, 1187–1194. [Google Scholar]
- Bochkov, V.N.; Tkachuk, V.A. The effect of lipoproteins on signal transduction in thrombocytes and vascular wall cells. Ross. Fiziol. Zhurnal Im. IM Sechenova 2005, 91, 12–30. [Google Scholar]
- Peiffer, I.; Servin, A.L.; Bernet-Camard, M.F. Piracy of decay-accelerating factor (CD55) signal transduction by the diffusely adhering strain Escherichia coli C1845 promotes cytoskeletal F-actin rearrangements in cultured human intestinal INT407 cells. Infect. Immun. 1998, 66, 4036–4042. [Google Scholar] [CrossRef]
- Morgan, B.P.; van den Berg, C.W.; Davies, E.V.; Hallett, M.B.; Horejsi, V. Cross-linking of CD59 and of other glycosyl phosphatidylinositol-anchored molecules on neutrophils triggers cell activation via tyrosine kinase. Eur. J. Immunol. 1993, 23, 2841–2850. [Google Scholar] [CrossRef] [PubMed]
- Korty, P.E.; Brando, C.; Shevach, E.M. CD59 functions as a signal-transducing molecule for human T cell activation. J. Immunol. 1991, 146, 4092–4098. [Google Scholar] [PubMed]
- Van Den Berg, C.W.; Cinek, T.; Hallett, M.B.; Horejsi, V.; Morgan, B.P. Exogenous glycosyl phosphatidylinositol-anchored CD59 associates with kinases in membrane clusters on U937 cells and becomes Ca(2+)-signaling competent. J. Cell Biol. 1995, 131, 669–677. [Google Scholar] [CrossRef] [PubMed]
- Sitrin, R.G.; Johnson, D.R.; Pan, P.M.; Harsh, D.M.; Huang, J.; Petty, H.R.; Blackwood, R.A. Lipid raft compartmentalization of urokinase receptor signaling in human neutrophils. Am. J. Respir. Cell Mol. Biol. 2004, 30, 233–241. [Google Scholar] [CrossRef] [PubMed]
- Sitrin, R.G.; Pan, P.M.; Harper, H.A.; Blackwood, R.A.; Todd, R.F., 3rd. Urokinase receptor (CD87) aggregation triggers phosphoinositide hydrolysis and intracellular calcium mobilization in mononuclear phagocytes. J. Immunol. 1999, 163, 6193–6200. [Google Scholar] [PubMed]
- Fischer, G.F.; Majdic, O.; Gadd, S.; Knapp, W. Signal transduction in lymphocytic and myeloid cells via CD24, a new member of phosphoinositol-anchored membrane molecules. J. Immunol. 1990, 144, 638–641. [Google Scholar] [PubMed]
- Solomon, K.R.; Rudd, C.E.; Finberg, R.W. The association between glycosylphosphatidylinositol-anchored proteins and heterotrimeric G protein alpha subunits in lymphocytes. Proc. Natl. Acad. Sci. USA 1996, 93, 6053–6058. [Google Scholar] [CrossRef]
- Suzuki, K.G.; Fujiwara, T.K.; Sanematsu, F.; Iino, R.; Edidin, M.; Kusumi, A. GPI-anchored receptor clusters transiently recruit Lyn and G alpha for temporary cluster immobilization and Lyn activation: Single-molecule tracking study 1. J. Cell Biol. 2007, 177, 717–730. [Google Scholar] [CrossRef]
- Komatsuya, K.; Kaneko, K.; Kasahara, K. Function of Platelet Glycosphingolipid Microdomains/Lipid Rafts. Int. J. Mol. Sci. 2020, 21, 5539. [Google Scholar] [CrossRef]
- Balatskaya, M.N.; Sharonov, G.V.; Baglay, A.I.; Rubtsov, Y.P.; Tkachuk, V.A. Different spatiotemporal organization of GPI-anchored T-cadherin in response to low-density lipoprotein and adiponectin. Biochim. Biophys. Acta. Gen. Subj. 2019, 1863, 129414. [Google Scholar] [CrossRef]
- Obata, Y.; Kita, S.; Koyama, Y.; Fukuda, S.; Takeda, H.; Takahashi, M.; Fujishima, Y.; Nagao, H.; Masuda, S.; Tanaka, Y.; et al. Adiponectin/T-cadherin system enhances exosome biogenesis and decreases cellular ceramides by exosomal release. JCI Insight 2018, 3. [Google Scholar] [CrossRef] [PubMed]
- Fujishima, Y.; Maeda, N.; Matsuda, K.; Masuda, S.; Mori, T.; Fukuda, S.; Sekimoto, R.; Yamaoka, M.; Obata, Y.; Kita, S.; et al. Adiponectin association with T-cadherin protects against neointima proliferation and atherosclerosis. FASEB J. 2017, 31, 1571–1583. [Google Scholar] [CrossRef] [PubMed]
- Tanaka, Y.; Kita, S.; Nishizawa, H.; Fukuda, S.; Fujishima, Y.; Obata, Y.; Nagao, H.; Masuda, S.; Nakamura, Y.; Shimizu, Y.; et al. Adiponectin promotes muscle regeneration through binding to T-cadherin. Sci. Rep. 2019, 9, 1–12. [Google Scholar] [CrossRef]
- Denzel, M.S.; Scimia, M.C.; Zumstein, P.M.; Walsh, K.; Ruiz-Lozano, P.; Ranscht, B. T-cadherin is critical for adiponectin-mediated cardioprotection in mice. J. Clin. Investig. 2010, 120, 4342–4352. [Google Scholar] [CrossRef]
- Parker-Duffen, J.L.; Nakamura, K.; Silver, M.; Kikuchi, R.; Tigges, U.; Yoshida, S.; Denzel, M.S.; Ranscht, B.; Walsh, K. T-cadherin Is Essential for Adiponectin-mediated Revascularization. J. Biol. Chem. 2013, 288, 24886–24897. [Google Scholar] [CrossRef] [PubMed]
- Krueger, L.A.; Barnard, M.R.; Frelinger, A.L., 3rd; Furman, M.I.; Michelson, A.D. Immunophenotypic analysis of platelets. Curr. Protoc. Cytom. 2002, 19, 6–10. [Google Scholar] [CrossRef] [PubMed]
- Balatskaya, M.N.; Baglay, A.I.; Rubtsov, Y.P.; Sharonov, G.V. Analysis of GPI-Anchored Receptor Distribution and Dynamics in Live Cells by Tag-mediated Enzymatic Labeling and FRET. Methods Protoc. 2020, 3, 33. [Google Scholar] [CrossRef] [PubMed]
- Balatskaya, M.N.; Baglai, A.I.; Mamedov, N.N.; Tkachuk, V.A. A method for obtaining highly purified molecular complexes for studying intermolecular interactions using cross-linkers. In Proceedings of the Receptors and Intracellular Signaling, Pushchino, Russia, 1–5 October 2018; pp. 404–409. [Google Scholar]
- Shrimpton, C.N.; Gousset, K.; Tablin, F.; López, J.A. Isolation and analysis of platelet lipid rafts. In Platelets and Megakaryocytes; Humana Press: Totowa, NJ, USA, 2004; Volume 273, pp. 213–228. [Google Scholar]
- Yan-Fang, T.; Feng, X.; Wang, J.; Zhao, W.-L.; Xiao-Juan, D.; Wu, S.-Y.; Wang, N.; Hu, S.-Y.; Cao, L.; Li, Y.-H.; et al. CDH13 is Frequently Inactivated by Promoter Hypermethylation in Pediatric Acute Myeloid Leukemia. J. Hematol. Thromboembolic Dis. 2013, 1. [Google Scholar] [CrossRef]
- Andersen, M.N.; Al-Karradi, S.N.; Kragstrup, T.W.; Hokland, M. Elimination of erroneous results in flow cytometry caused by antibody binding to Fc receptors on human monocytes and macrophages. Cytom. Part A 2016, 89, 1001–1009. [Google Scholar] [CrossRef]
- Vestal, D.J.; Ranscht, B. Glycosyl phosphatidylinositol-anchored T-cadherin mediates calcium-dependent, homophilic cell adhesion. J. Cell Biol. 1992, 119, 451–461. [Google Scholar] [CrossRef]
- Balatskaya, M.N.; Sharonov, G.V.; Mamedov, N.N.; Rubtsov, Y.P. Fluorescent methods for the detection and investigation of low density lipoproteins low affinity binding of low on live cells. Living Syst. Technol. 2014, 11, 56–63. [Google Scholar]
- Stambolsky, D.V.; Kuzmenko, Y.S.; Philippova, M.P.; Bochkov, V.N.; Bespalova, Z.D.; Azmuko, A.A.; Kashirina, N.M.; Vlasik, T.N.; Tkachuk, V.A.; Resink, T.J. Identification of 130 kDa cell surface LDL-binding protein from smooth muscle cells as a partially processed T-cadherin precursor. Bba Biomembr. 1999, 1416, 155–160. [Google Scholar] [CrossRef][Green Version]
- Elrod, J.W.; Park, J.H.; Oshima, T.; Sharp, C.D.; Minagar, A.; Alexander, J.S. Expression of junctional proteins in human platelets. Platelets 2003, 14, 247–251. [Google Scholar] [CrossRef]
- Fong, K.P.; Barry, C.; Tran, A.N.; Traxler, E.A.; Wannemacher, K.M.; Tang, H.Y.; Speicher, K.D.; Blair, I.A.; Speicher, D.W.; Grosser, T.; et al. Deciphering the human platelet sheddome. Blood 2011, 117, e15–e26. [Google Scholar] [CrossRef] [PubMed]
- Scanlon, V.M.; Teixeira, A.M.; Tyagi, T.; Zou, S.; Zhang, P.X.; Booth, C.J.; Kowalska, M.A.; Bao, J.; Hwa, J.; Hayes, V.; et al. Epithelial (E)-Cadherin is a Novel Mediator of Platelet Aggregation and Clot Stability. Thromb. Haemost. 2019, 119, 744–757. [Google Scholar] [CrossRef] [PubMed]
- Dunne, E.; Spring, C.M.; Reheman, A.; Jin, W.; Berndt, M.C.; Newman, D.K.; Newman, P.J.; Ni, H.; Kenny, D. Cadherin 6 has a functional role in platelet aggregation and thrombus formation. Arterioscler. Thromb. Vasc. Biol. 2012, 32, 1724–1731. [Google Scholar] [CrossRef]
- Dean, W.L.; Lee, M.J.; Cummins, T.D.; Schultz, D.J.; Powell, D.W. Proteomic and functional characterisation of platelet microparticle size classes. Thromb. Haemost. 2009, 102, 711–718. [Google Scholar] [CrossRef]
- Neris, R.L.S.; Kaur, A.; Gomes, A.V. Incorrect Molecular Weights due to inaccurate Prestained Protein Molecular Weight Markers that are used for Gel Electrophoresis and Western Blotting. bioRxiv 2020. [Google Scholar] [CrossRef]
- Jardine, I. Molecular weight analysis of proteins. Methods Enzymol. 1990, 193, 441–455. [Google Scholar]
- Schoenenberger, A.W.; Pfaff, D.; Dasen, B.; Frismantiene, A.; Erne, P.; Resink, T.J.; Philippova, M. Gender-Specific Associations between Circulating T-Cadherin and High Molecular Weight-Adiponectin in Patients with Stable Coronary Artery Disease. PLoS ONE 2015, 10, e0131140. [Google Scholar] [CrossRef]
- Pfaff, D.; Schoenenberger, A.W.; Dasen, B.; Erne, P.; Resink, T.J.; Philippova, M. Plasma T-cadherin negatively associates with coronary lesion severity and acute coronary syndrome. Eur. Heart J. Acute Cardiovasc. Care 2015, 4, 410–418. [Google Scholar] [CrossRef] [PubMed]
- Philippova, M.; Suter, Y.; Toggweiler, S.; Schoenenberger, A.W.; Joshi, M.B.; Kyriakakis, E.; Erne, P.; Resink, T.J. T-cadherin is present on endothelial microparticles and is elevated in plasma in early atherosclerosis. Eur. Heart J. 2011, 32, 760–771. [Google Scholar] [CrossRef] [PubMed]
- Balatskaya, M.; Sharonov, G.; Tkachuk, V. Identification of glycosylphosphatidylinositol-anchored protein T-cadherin on human platelet-derived extracellular vesicles. Abstracts of the UK-Russia Researcher Links Workshop: Extracellular vesicles—Mechanisms of biogenesis and roles in disease pathogenesis. J. Extracell. Vesicles 2015, 4, 28165. [Google Scholar] [CrossRef]
- Miao, D.; Ma, T.T.; Chen, M.; Zhao, M.H. Platelets release proinflammatory microparticles in anti-neutrophil cytoplasmic antibody-associated vasculitis. Rheumatology 2019, 58, 1432–1442. [Google Scholar] [CrossRef] [PubMed]
- Aarts, C.E.M.; Downes, K.; Hoogendijk, A.J.; Sprenkeler, E.G.G.; Gazendam, R.P.; Favier, R.; Favier, M.; Tool, A.T.J.; van Hamme, J.L.; Kostadima, M.A.; et al. Neutrophil specific granule and NETosis defects in gray platelet syndrome. Blood Adv. 2021, 5, 549–564. [Google Scholar] [CrossRef]
- Lee, D.H.; Yao, C.; Bhan, A.; Schlaeger, T.; Keefe, J.; Rodriguez, B.A.T.; Hwang, S.J.; Chen, M.H.; Levy, D.; Johnson, A.D. Integrative Genomic Analysis Reveals Four Protein Biomarkers for Platelet Traits. Circ. Res. 2020, 127, 1182–1194. [Google Scholar] [CrossRef]
- Smith, J.W.; Hayward, C.P.; Horsewood, P.; Warkentin, T.E.; Denomme, G.A.; Kelton, J.G. Characterization and Localization of the Gova/b Alloantigens to the Glycosylphosphatidylinositol-Anchored Protein CDwl09 on Human Platelets. Blood 1995, 86, 2807–2814. [Google Scholar] [CrossRef]
- Treumann, A.; Lifely, M.R.; Schneider, P.; Ferguson, M.A. Primary structure of CD52. J. Biol. Chem. 1995, 270, 6088–6099. [Google Scholar] [CrossRef]
- Gousset, K.; Wolkers, W.F.; Tsvetkova, N.M.; Oliver, A.E.; Field, C.L.; Walker, N.J.; Crowe, J.H.; Tablin, F. Evidence for a physiological role for membrane rafts in human platelets. J. Cell. Physiol. 2002, 190, 117–128. [Google Scholar] [CrossRef]
- Bochkov, V.; Tkachuk, V.; Buhler, F.; Resink, T. Phosphoinositide and calcium signalling responses in smooth muscle cells: Comparison between lipoproteins, Ang II, and PDGF. Biochem. Biophys. Res. Commun. 1992, 188, 1295–1304. [Google Scholar] [CrossRef]
- Resink, T.J.; Bochkov, V.N.; Tkachuk, V.A.; Buhler, F.R.; Hahn, A.W. Lipoproteins and angiotensin II exert synergistic effects on signalling processes in vascular smooth muscle cells. J. Hypertens. Suppl. 1993, 11, S110–S111. [Google Scholar] [CrossRef] [PubMed]
- Hug, C.; Wang, J.; Ahmad, N.S.; Bogan, J.S.; Tsao, T.S.; Lodish, H.F. T-cadherin is a receptor for hexameric and high-molecular-weight forms of Acrp30/adiponectin. Proc. Natl. Acad. Sci. USA 2004, 101, 10308–10313. [Google Scholar] [CrossRef] [PubMed]








Publisher’s Note: MDPI stays neutral with regard to jurisdictional claims in published maps and institutional affiliations. |
© 2021 by the authors. Licensee MDPI, Basel, Switzerland. This article is an open access article distributed under the terms and conditions of the Creative Commons Attribution (CC BY) license (http://creativecommons.org/licenses/by/4.0/).
Share and Cite
Balatskaya, M.N.; Baglay, A.I.; Balatskiy, A.V. The Missing Protein: Is T-Cadherin a Previously Unknown GPI-Anchored Receptor on Platelets? Membranes 2021, 11, 218. https://doi.org/10.3390/membranes11030218
Balatskaya MN, Baglay AI, Balatskiy AV. The Missing Protein: Is T-Cadherin a Previously Unknown GPI-Anchored Receptor on Platelets? Membranes. 2021; 11(3):218. https://doi.org/10.3390/membranes11030218
Chicago/Turabian StyleBalatskaya, Maria N., Alexandra I. Baglay, and Alexander V. Balatskiy. 2021. "The Missing Protein: Is T-Cadherin a Previously Unknown GPI-Anchored Receptor on Platelets?" Membranes 11, no. 3: 218. https://doi.org/10.3390/membranes11030218
APA StyleBalatskaya, M. N., Baglay, A. I., & Balatskiy, A. V. (2021). The Missing Protein: Is T-Cadherin a Previously Unknown GPI-Anchored Receptor on Platelets? Membranes, 11(3), 218. https://doi.org/10.3390/membranes11030218
