Validation of Pretreatment Methods for the In-Process Quantification of Foot-and-Mouth Disease Vaccine Antigens
Abstract
:1. Introduction
2. Materials and Methods
2.1. Preparation of FMDV Samples
2.2. Pretreatments
2.3. 146S Particle Quantification with Fractionation
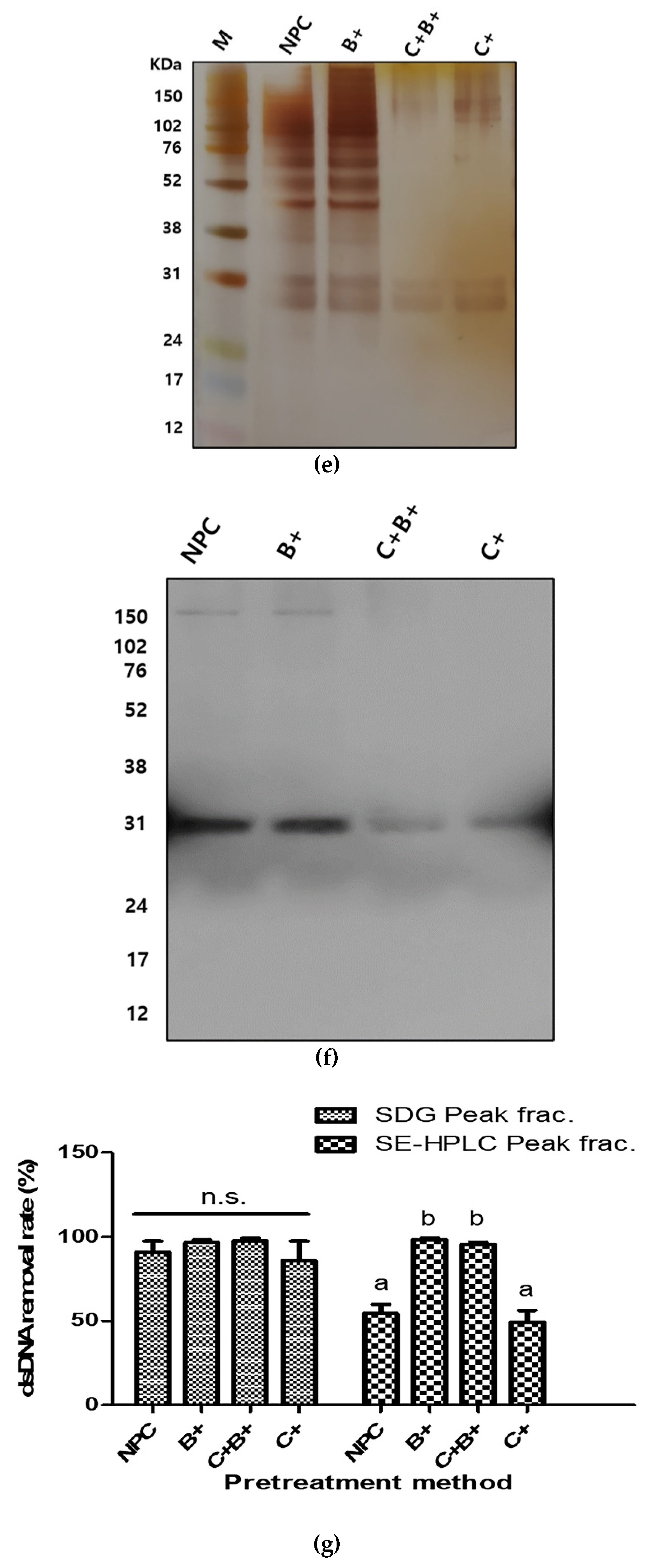
2.4. SDS-PAGE and Western Blot Analysis
2.5. dsDNA Quantification
2.6. Pure 146S Antigen Preparation and Spiking Test
2.7. Statistical Analysis
3. Results
3.1. Necessity of Pretreatments for the Removal of Interfering Substances in the Unpurified Upstream Sample
3.2. Less Requirement of Pretreatments for the Removal of Interfering Substances in the Semi-Purified Downstream Sample
3.3. Validity of the Pretreatment Method for CVIS
3.4. Validity of the Pretreatment Method for PEG-P
4. Discussion
Supplementary Materials
Author Contributions
Funding
Institutional Review Board Statement
Informed Consent Statement
Data Availability Statement
Conflicts of Interest
References
- Aiewsakun, P.; Pamornchainavakul, N.; Inchaisri, C. Early origin and global colonisation of foot-and-mouth disease virus. Sci. Rep. 2020, 10, 15268. [Google Scholar] [CrossRef] [PubMed]
- Grubman, M.J.; Baxt, B. Foot-and-Mouth Disease. Clin. Microbiol. Rev. 2004, 17, 465–493. [Google Scholar] [CrossRef] [PubMed] [Green Version]
- Gao, Y.; Sun, S.Q.; Guo, H.C. Biological function of Foot-and-mouth disease virus non-structural proteins and non-coding elements. Virol. J. 2016, 13, 107. [Google Scholar] [CrossRef] [PubMed] [Green Version]
- Dong, H.; Liu, P.; Bai, M.; Wang, K.; Feng, R.; Zhu, D.; Sun, Y.; Mu, S.; Li, H.; Harmsen, M.; et al. Structural and molecular basis for foot-and-mouth disease virus neutralization by two potent protective antibodies. Protein Cell 2021, 1–8. [Google Scholar] [CrossRef] [PubMed]
- Kotecha, A.; Perez-Martin, E.; Harvey, Y.; Zhang, F.; Ilca, S.L.; Fry, E.E.; Jackson, B.; Maree, F.; Scott, K.; Hecksel, C.W.; et al. Chimeric O1K foot-and-mouth disease virus with SAT2 outer capsid as an FMD vaccine candidate. Sci. Rep. 2018, 8, 13654. [Google Scholar] [CrossRef] [PubMed]
- Mansilla, F.C.; Turco, C.S.; Miraglia, M.C.; Bessone, F.A.; Franco, R.; Perez-Filgueira, M.; Sala, J.M.; Capozzo, A.V. The role of viral particle integrity in the serological assessment of foot-and-mouth disease virus vaccine-induced immunity in swine. PLoS ONE 2020, 15, e0232782. [Google Scholar] [CrossRef] [PubMed]
- Feng, X.; Ma, J.W.; Sun, S.Q.; Guo, H.C.; Yang, Y.M.; Jin, Y.; Zhou, G.Q.; He, J.J.; Guo, J.H.; Qi, S.Y.; et al. Quantitative Detection of the Foot-And-Mouth Disease Virus Serotype O 146S Antigen for Vaccine Production Using a Double-Antibody Sandwich ELISA and Nonlinear Standard Curves. PLoS ONE 2016, 11, e0149569. [Google Scholar] [CrossRef] [PubMed] [Green Version]
- Van Maanen, C.; Terpstra, C. Quantification of intact 146S foot-and-mouth disease antigen for vaccine production by a double antibody sandwich ELISA using monoclonal antibodies. Biologicals 1990, 18, 315–319. [Google Scholar] [CrossRef]
- Spitteler, M.A.; Fernandez, I.; Schabes, E.; Krimer, A.; Regulier, E.G.; Guinzburg, M.; Smitsaart, E.; Levy, M.S. Foot and mouth disease (FMD) virus: Quantification of whole virus particles during the vaccine manufacturing process by size exclusion chromatography. Vaccine 2011, 29, 7182–7187. [Google Scholar] [CrossRef] [PubMed]
- Yang, Y.; Li, H.; Li, Z.; Zhang, Y.; Zhang, S.; Chen, Y.; Yu, M.; Ma, G.; Su, Z. Size-exclusion HPLC provides a simple, rapid, and versatile alternative method for quality control of vaccines by characterizing the assembly of antigens. Vaccine 2015, 33, 1143–1150. [Google Scholar] [CrossRef] [PubMed]
- Spitteler, M.A.; Romo, A.; Magi, N.; Seo, M.-G.; Yun, S.-J.; Barroumeres, F.; Regulier, E.G.; Bellinzoni, R. Validation of a high performance liquid chromatography method for quantitation of foot-and-mouth disease virus antigen in vaccines and vaccine manufacturing. Vaccine 2019, 37, 5288–5296. [Google Scholar] [CrossRef] [PubMed]
- Kim, M.H.; Yun, S.J.; Kim, Y.H.; Lee, H.S.; Kim, J.Y.; Kang, J.; Kim, Y.S.; Seo, M.G.; Kim, J.Y. Evaluation of Quality Control Methods for Foot-And-Mouth Disease Vaccines by High-Performance Liquid Chromatography. Pathogens 2020, 9, 194. [Google Scholar] [CrossRef] [PubMed] [Green Version]
- Huang, X.; Zhu, B.; Jiang, T.; Yang, C.; Qiao, W.; Hou, J.; Han, Y.; Xiao, H.; Chen, L. Improved Simple Sample Pretreatment Method for Quantitation of Major Human Milk Oligosaccharides Using Ultrahigh Pressure Liquid Chromatography with Fluorescence Detection. J. Agric. Food Chem. 2019, 67, 12237–12244. [Google Scholar] [CrossRef] [PubMed]
- Song, Y.; Yang, Y.; Su, Z.; Liu, L.; Zhu, Y.; Xu, Y.; Zou, X.; Zhao, Q.; Zhang, S. Vaccine pretreatment for quantification of 146S antigen in foot-and-mouth disease vaccines by high performance size exclusion chromatography. Sheng Wu Gong Cheng Xue Bao 2019, 35, 1441–1452. [Google Scholar] [CrossRef] [PubMed]
- Lee, G.; Hwang, J.H.; Park, J.H.; Lee, M.J.; Kim, B.; Kim, S.M. Vaccine strain of O/ME-SA/Ind-2001e of foot-and-mouth disease virus provides high immunogenicity and broad antigenic coverage. Antivir. Res. 2020, 182, 104920. [Google Scholar] [CrossRef] [PubMed]
- Doel, T.R.; Fletton, B.W.; Staple, R.F. Further developments in the quantification of small RNA viruses by U.V. photometry of sucrose density gradients. Dev. Biol. Stand. 1981, 50, 209–219. [Google Scholar] [PubMed]
- Hong, P.; Koza, S.; Bouvier, E.S. Size-exclusion chromatography for the analysis of protein biotherapeutics and their aggregates. J. Liq. Chromatogr. Relat. Technol. 2012, 35, 2923–2950. [Google Scholar] [CrossRef] [PubMed] [Green Version]
- Ao, D.; Guo, H.C.; Sun, S.Q.; Sun, D.H.; Fung, T.S.; Wei, Y.Q.; Han, S.C.; Yao, X.P.; Cao, S.Z.; Liu, D.X.; et al. Viroporin Activity of the Foot-and-Mouth Disease Virus Non-Structural 2B Protein. PLoS ONE 2015, 10, e0125828. [Google Scholar] [CrossRef] [PubMed] [Green Version]
- Nieva, J.L.; Madan, V.; Carrasco, L. Viroporins: Structure and biological functions. Nat. Rev. Genet. 2012, 10, 563–574. [Google Scholar] [CrossRef] [PubMed]
- Porterfield, J.Z.; Zlotnick, A. A simple and general method for determining the protein and nucleic acid content of viruses by UV absorbance. Virology 2010, 407, 281–288. [Google Scholar] [CrossRef] [PubMed] [Green Version]





| Pretreatment | Sample Information | SDG Quantitation (μg/mL) | Theoretical Estimation (μg/mL) | Theoretical % Recovery | Practical Estimation (μg/mL) | Practical % Recovery | |
|---|---|---|---|---|---|---|---|
| Condition | Spiked Ag (μg/mL) | ||||||
| None | CVIS only | 0 | 1.77 ± 0.19 b | - | - | - | - |
| CVIS + pure 146S Ag | 4.89 a | 13.59 ± 0.39 c | 6.66 ± 0.19 f | 204.3 ± 11.6 g | 9.52 ± 0.69 h | 143.5 ± 14.7 i | |
| Heated CVIS (60 °C, 2 h) | 0 | 0 d | - | - | - | - | |
| Heated CVIS + pure 146S Ag | 4.89 a | 7.75 ± 0.52 e | 4.89 f | 158.5 ± 10.6 g | - | - | |
| C+B+ | CVIS only | 0 | 3.70 ± 0.27 b | - | - | - | - |
| CVIS + pure 146S Ag | 4.89 a | 8.96 ± 0.61 c | 8.59 ± 0.27 f | 104.3 ± 6.0 g | 9.14 ± 0.24 h | 98.1 ± 7.0 i | |
| Heated CVIS (60 °C, 2 h) | 0 | 0 d | - | - | - | - | |
| Heated CVIS + pure 146S Ag | 4.89 a | 5.44 ± 0.14 e | 4.89 f | 111.2 ± 2.8 g | - | - | |
| Pretreatment | Sample Information | SE-HPLC Quantitation (μg/mL) | Theoretical Estimation (μg/mL) | Theoretical % Recovery | Practical Estimation (μg/mL) | Practical % Recovery | |
|---|---|---|---|---|---|---|---|
| Condition | Spiked Ag (μg/mL) | ||||||
| None | CVIS only | 0 | 1.24 ± 0.02 b | - | - | - | - |
| CVIS + pure 146S Ag | 5.99 a | 5.59 ± 0.01 c | 7.23 ± 0.02 f | 77.3 ± 0.2 g | 3.95 ± 0.08 h | 141.6 ± 2.7 i | |
| Heated CVIS (60 °C, 2 h) | 0 | 0 d | - | - | - | - | |
| Heated CVIS + pure 146S Ag | 5.99 a | 2.71 ± 0.07 e | 5.99 f | 45.2 ± 1.1 g | - | - | |
| C+B+ | CVIS only | 0 | 3.97 ± 0.02 b | - | - | - | - |
| CVIS + pure 146S Ag | 5.99 a | 10.26 ± 0.13 c | 9.96 ± 0.02 f | 102.9 ± 1.1 g | 9.99 ± 0.17 h | 102.7 ± 1.9 i | |
| Heated CVIS (60 °C, 2 h) | 0 | 0 d | - | - | - | - | |
| Heated CVIS + pure 146S Ag | 5.99 a | 6.01 ± 0.16 e | 5.99 f | 100.4 ± 2.6 g | - | - | |
| Pretreatment | Sample Information | SDG Quantitation (μg/mL) | Theoretical Estimation (μg/mL) | Theoretical % Recovery | Practical Estimation (μg/mL) | Practical % Recovery | |
|---|---|---|---|---|---|---|---|
| Condition | Spiked Ag (μg/mL) | ||||||
| None | PEG-P only | 0 | 2.86 ± 0.24 b | - | - | - | - |
| PEG-P + Pure 146S Ag | 4.89 a | 7.68 ± 0.56 c | 7.75 ± 0.24 f | 99.0 ± 4.5 g | 8.33 ± 0.38 h | 92.1 ± 3.7 i | |
| Heated PEG-P (60 °C, 2 h) | 0 | 0 d | - | - | - | - | |
| Heated PEG-P + pure 146S Ag | 4.89 a | 5.47 ± 0.29 e | 4.89 f | 111.9 ± 5.9 g | - | - | |
| B+ | PEG-P only | 0 | 2.90 ± 0.01 b | - | - | - | - |
| PEG-P + pure 146S Ag | 4.89 a | 7.78 ± 0.36 c | 7.79 ± 0.01 f | 100.0 ± 4.6 g | 8.37 ± 0.28 h | 93.1 ± 7.0 i | |
| Heated PEG-P (60 °C, 2 h) | 0 | 0d | - | - | - | - | |
| Heated PEG-P + pure 146S Ag | 4.89 a | 5.47 ± 0.28 e | 4.89 f | 111.9 ± 5.8 g | - | - | |
| Pretreatment | Sample Information | SE-HPLC Quantitation (μg/mL) | Theoretical Estimation (μg/mL) | Theoretical % Recovery | Practical Estimation (μg/mL) | Practical % Recovery | |
|---|---|---|---|---|---|---|---|
| Condition | Spiked Ag (μg/mL) | ||||||
| None | PEG-P only | 0 | 3.14 ± 0.84 b | - | - | - | - |
| PEG-P + pure 146S Ag | 5.99 a | 9.88 ± 0.04 c | 9.13 ± 0.84 f | 108.9 ± 10.1 g | 9.08 ± 0.65 h | 109.2 ± 7.7 i | |
| Heated PEG-P (60 °C, 2 h) | 0 | 0 d | - | - | - | - | |
| Heated PEG-P + pure 146S Ag | 5.99 a | 5.94 ± 0.20 e | 5.99 f | 99.2 ± 3.4 g | - | - | |
| B+ | PEG-P only | 0 | 3.12 ± 0.06 b | - | - | - | - |
| PEG-P + pure 146S Ag | 5.99 a | 9.26 ± 0.18 c | 9.11 ± 0.06 f | 101.7 ± 2.5 g | 8.98 ± 0.44 h | 103.4 ± 6.9 i | |
| Heated PEG-P (60 °C, 2 h) | 0 | 0 d | - | - | - | - | |
| Heated PEG-P + pure 146S Ag | 5.99 a | 5.86 ± 0.39 e | 5.99 f | 97.8 ± 6.5 g | - | - | |
Publisher’s Note: MDPI stays neutral with regard to jurisdictional claims in published maps and institutional affiliations. |
© 2021 by the authors. Licensee MDPI, Basel, Switzerland. This article is an open access article distributed under the terms and conditions of the Creative Commons Attribution (CC BY) license (https://creativecommons.org/licenses/by/4.0/).
Share and Cite
Kim, A.-Y.; Park, S.Y.; Park, S.H.; Jin, J.S.; Kim, E.-S.; Kim, J.Y.; Park, J.-H.; Ko, Y.-J. Validation of Pretreatment Methods for the In-Process Quantification of Foot-and-Mouth Disease Vaccine Antigens. Vaccines 2021, 9, 1361. https://doi.org/10.3390/vaccines9111361
Kim A-Y, Park SY, Park SH, Jin JS, Kim E-S, Kim JY, Park J-H, Ko Y-J. Validation of Pretreatment Methods for the In-Process Quantification of Foot-and-Mouth Disease Vaccine Antigens. Vaccines. 2021; 9(11):1361. https://doi.org/10.3390/vaccines9111361
Chicago/Turabian StyleKim, Ah-Young, Sun Young Park, Sang Hyun Park, Jong Sook Jin, Eun-Sol Kim, Jae Young Kim, Jong-Hyeon Park, and Young-Joon Ko. 2021. "Validation of Pretreatment Methods for the In-Process Quantification of Foot-and-Mouth Disease Vaccine Antigens" Vaccines 9, no. 11: 1361. https://doi.org/10.3390/vaccines9111361
APA StyleKim, A.-Y., Park, S. Y., Park, S. H., Jin, J. S., Kim, E.-S., Kim, J. Y., Park, J.-H., & Ko, Y.-J. (2021). Validation of Pretreatment Methods for the In-Process Quantification of Foot-and-Mouth Disease Vaccine Antigens. Vaccines, 9(11), 1361. https://doi.org/10.3390/vaccines9111361

