Comparison of High-Performance Liquid Chromatography with Sucrose Density Gradient Ultracentrifugation for the Quantification of Foot-and-Mouth Disease Vaccine Antigens
Abstract
:1. Introduction
2. Materials and Methods
2.1. Viruses
2.2. Preparation of Virus Samples
2.3. 146S Particle Quantification with Fractionation
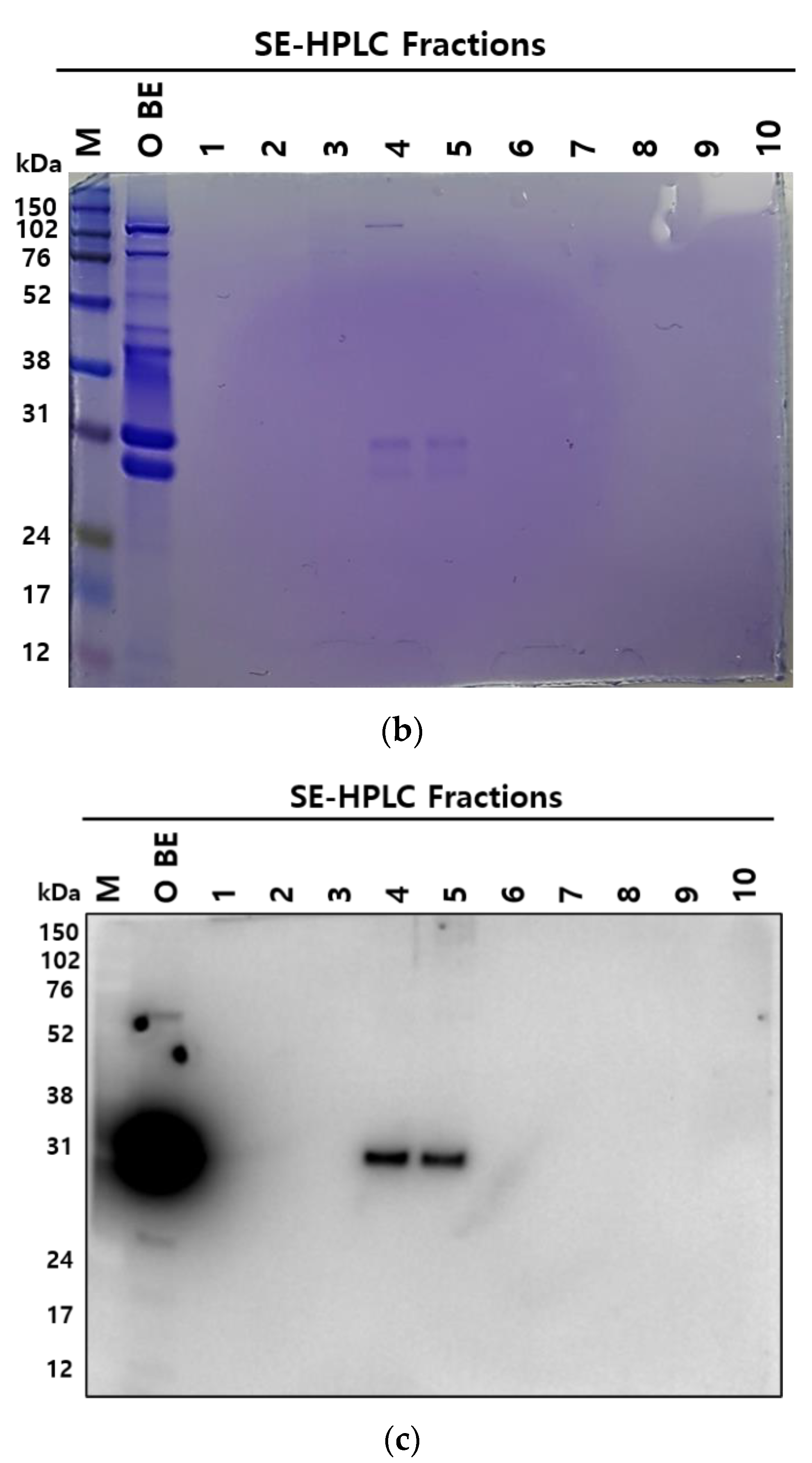
2.4. SDS-PAGE and Western Blot Analysis
2.5. Stability Tests
2.6. Establishment of Standard Curves Using BEV Standards
2.7. Adjusting the Amounts of FMDV Particles Measured by SE-HPLC by a Standard Curve Using BEV
2.8. Statistical Analysis
3. Results
3.1. Comparison of HPLC and SDG for the Detection of 146S Particles
3.2. Assessment of BEV as a Surrogate Standard for FMDV
3.3. Establishment of Standard Curves Using BEV Standards
3.4. Comparative Quantification of FMDV Particles between the SDG and SE-HPLC and Decrease of the Gap Using a BEV Standard
4. Discussion
5. Conclusions
Author Contributions
Funding
Institutional Review Board Statement
Informed Consent Statement
Data Availability Statement
Conflicts of Interest
References
- Knight-Jones, T.J.D.; Rushton, J. The economic impacts of foot and mouth disease—What are they, how big are they and where do they occur? Prev. Vet. Med. 2013, 112, 161–173. [Google Scholar] [CrossRef] [Green Version]
- Sharma, G.K.; Mohapatra, J.K.; Mahajan, S.; Matura, R.; Subramanaim, S.; Pattnaik, B. Comparative evaluation of non-structural protein-antibody detecting ELISAs for foot-and-mouth disease sero-surveillance under intensive vaccination. J. Virol. Methods 2014, 207, 22–28. [Google Scholar] [CrossRef] [PubMed]
- Grubman, M.J.; Baxt, B. Foot-and-Mouth Disease. Clin. Microbiol. Rev. 2004, 17, 465–493. [Google Scholar] [CrossRef] [PubMed] [Green Version]
- Liu, Z.; Shao, J.; Zhao, F.; Zhou, G.; Gao, S.; Liu, W.; Lv, J.; Li, X.; Li, Y.; Chang, H.; et al. Chemiluminescence Immunoassay for the Detection of Antibodies against the 2C and 3ABC Nonstructural Proteins Induced by Infecting Pigs with Foot-and-Mouth Disease Virus. Clin. Vaccine Immunol. 2017, 24, e00153-17. [Google Scholar] [CrossRef] [PubMed] [Green Version]
- Rueckert, R.R.; Wimmer, E. Systematic nomenclature of picornavirus proteins. J. Virol. 1984, 50, 957–959. [Google Scholar] [CrossRef] [PubMed] [Green Version]
- Mason, P.W.; Grubman, M.J.; Baxt, B. Molecular basis of pathogenesis of FMDV. Virus Res. 2003, 91, 9–32. [Google Scholar] [CrossRef]
- Yuanfang, F.; Li, P.; Ma, X.; Lu, Z.; Sun, P.; Bai, X.; Zhang, J.; Bao, H.; Cao, Y.; Li, D.; et al. The pH stability of foot-and-mouth disease virus. Virol. J. 2017, 14, 233. [Google Scholar] [CrossRef] [Green Version]
- Doel, T.R.; Chong, W.K.T. Comparative immunogenicity of 146S, 75S and 12S particles of foot-and-mouth disease virus. Arch. Virol. 1982, 73, 185–191. [Google Scholar] [CrossRef] [PubMed]
- Doel, T.R.; Fletton, B.W.; Staple, R.F. Further developments in the quantification of small RNA viruses by U.V. photometry of sucrose density gradients. Dev. Biol. Stand. 1981, 50, 209–219. [Google Scholar]
- Raschke, S.; Guan, J.; Iliakis, G. Application of Alkaline Sucrose Gradient Centrifugation in the Analysis of DNA Replication After DNA Damage. Methods Mol. Biol. 2009, 521, 329–342. [Google Scholar] [CrossRef] [PubMed]
- Ruiz, V.; Baztarrica, J.; Rybicki, E.P.; Meyers, A.E.; Wigdorovitz, A. Minimally processed crude leaf extracts of Nicotiana benthamiana containing recombinant foot and mouth disease virus-like particles are immunogenic in mice. Biotechnol. Rep. 2018, 20, e00283. [Google Scholar] [CrossRef] [PubMed]
- Kim, A.-Y.; Park, S.Y.; Park, S.H.; Jin, J.S.; Kim, E.-S.; Kim, J.Y.; Park, J.-H.; Ko, Y.-J. Validation of Pretreatment Methods for the In-Process Quantification of Foot-and-Mouth Disease Vaccine Antigens. Vaccines 2021, 9, 1361. [Google Scholar] [CrossRef]
- Spitteler, M.A.; Romo, A.; Magi, N.; Seo, M.-G.; Yun, S.-J.; Barroumeres, F.; Régulier, E.G.; Bellinzoni, R. Validation of a high performance liquid chromatography method for quantitation of foot-and-mouth disease virus antigen in vaccines and vaccine manufacturing. Vaccine 2019, 37, 5288–5296. [Google Scholar] [CrossRef]
- Yang, Y.; Li, H.; Li, Z.; Zhang, Y.; Zhang, S.; Chen, Y.; Yu, M.; Ma, G.; Su, Z. Size-exclusion HPLC provides a simple, rapid, and versatile alternative method for quality control of vaccines by characterizing the assembly of antigens. Vaccine 2015, 33, 1143–1150. [Google Scholar] [CrossRef]
- Brooks, D.E.; Haynes, C.A.; Hritcu, D.; Steels, B.M.; Müller, W. Size exclusion chromatography does not require pores. Proc. Natl. Acad. Sci. USA 2000, 97, 7064–7067. [Google Scholar] [CrossRef] [PubMed] [Green Version]
- Kim, M.-H.; Yun, S.-J.; Kim, Y.-H.; Lee, H.-S.; Kim, J.-Y.; Kang, J.; Kim, Y.-S.; Seo, M.-G.; Kim, J.-Y. Evaluation of Quality Control Methods for Foot-And-Mouth Disease Vaccines by High-Performance Liquid Chromatography. Pathogens 2020, 9, 194. [Google Scholar] [CrossRef] [Green Version]
- Hwang, J.-H.; Lee, G.; Kim, A.; Park, J.-H.; Lee, M.; Kim, B.; Kim, S.-M. A Vaccine Strain of the A/ASIA/Sea-97 Lineage of Foot-and-Mouth Disease Virus with a Single Amino Acid Substitution in the P1 Region That Is Adapted to Suspension Culture Provides High Immunogenicity. Vaccines 2021, 9, 308. [Google Scholar] [CrossRef] [PubMed]
- Lee, G.; Hwang, J.-H.; Park, J.-H.; Lee, M.J.; Kim, B.; Kim, S.-M. Vaccine strain of O/ME-SA/Ind-2001e of foot-and-mouth disease virus provides high immunogenicity and broad antigenic coverage. Antivir. Res. 2020, 182, 104920. [Google Scholar] [CrossRef] [PubMed]
- Ko, M.-K.; Jo, H.-E.; Choi, J.-H.; You, S.-H.; Shin, S.H.; Jo, H.; Lee, M.J.; Kim, S.-M.; Kim, B.; Park, J.-H. Improved foot-and-mouth disease vaccine with O PanAsia-2 strain protect pigs against O/Jincheon/SKR/2014 originated from South Korea. Vaccine 2020, 38, 1120–1128. [Google Scholar] [CrossRef] [PubMed]
- Lee, S.-Y.; Lee, Y.-J.; Kim, R.-H.; Park, J.-N.; Park, M.-E.; Ko, M.-K.; Choi, J.-H.; Chu, J.-Q.; Lee, K.-N.; Kim, S.-M.; et al. Rapid Engineering of Foot-and-Mouth Disease Vaccine and Challenge Viruses. J. Virol. 2017, 91, e00155-17. [Google Scholar] [CrossRef] [PubMed] [Green Version]
- Chu, J.-Q.; Lee, Y.-J.; Park, J.-N.; Kim, S.-M.; Lee, K.-N.; Ko, Y.-J.; Lee, H.-S.; Cho, I.-S.; Kim, B.; Park, J.-H. Construction of a bovine enterovirus-based vector expressing a foot-and-mouth disease virus epitope. J. Virol. Methods 2013, 189, 101–104. [Google Scholar] [CrossRef] [PubMed]
- Harmsen, M.M.; Fijten, H.P.; Westra, D.F.; Coco-Martin, J.M. Effect of thiomersal on dissociation of intact (146S) foot-and-mouth disease virions into 12S particles as assessed by novel ELISAs specific for either 146S or 12S particles. Vaccine 2011, 29, 2682–2690. [Google Scholar] [CrossRef] [PubMed]
- Yang, Y.; Zhao, Q.; Li, Z.; Sun, L.; Ma, G.; Zhang, S.; Su, Z. Stabilization study of inactivated foot and mouth disease virus vaccine by size-exclusion HPLC and differential scanning calorimetry. Vaccine 2017, 35, 2413–2419. [Google Scholar] [CrossRef]
- Effio, C.L.; Oelmeier, S.A.; Hubbuch, J. High-throughput characterization of virus-like particles by interlaced size-exclusion chromatography. Vaccine 2016, 34, 1259–1267. [Google Scholar] [CrossRef] [PubMed]
- Song, Y.; Yang, Y.; Lin, X.; Zhao, Q.; Li, Z.; Ma, G.; Su, Z.; Zhang, S. On-line separation and quantification of virus antigens of different serotypes in multivalent vaccines by capillary zone electrophoresis: A case study for quality control of foot-and-mouth disease virus vaccines. J. Chromatogr. A 2021, 1637, 461834. [Google Scholar] [CrossRef]
- Ren, X.; Zhang, S.; Gao, X.; Guo, X.; Xin, T.; Zhu, H.; Jia, H.; Hou, S. Experimental immunization of mice with a recombinant bovine enterovirus vaccine expressing BVDV E0 protein elicits a long-lasting serologic response. Virol. J. 2020, 17, 88. [Google Scholar] [CrossRef] [PubMed]
- Zhang, Y.; He, J.; Tang, X.; Zhang, Z.; Tian, Y. A validated LC–MS/MS method for simultaneous quantification of simvastatin and simvastatin acid in beagle plasma: Application to an absolute bioavailability study. Biomed. Chromatogr. 2021, 36, e5290. [Google Scholar] [CrossRef] [PubMed]
- Zhao, D.; Sun, B.; Sun, S.; Fu, B.; Liu, C.; Liu, D.; Chu, Y.; Ma, Y.; Bai, L.; Wu, Y.; et al. Characterization of human enterovirus71 virus-like particles used for vaccine antigens. PLoS ONE 2017, 12, e0181182. [Google Scholar] [CrossRef] [PubMed]










| Purified Ag | Strain | Practical Value (µg/mL) | Adjusted Value: HPLC to SDG | % Error Rate (HPLC/SDG) | % Error Rate (Adjusted Value/SDG) | |
|---|---|---|---|---|---|---|
| SDG | HPLC | |||||
| High conc. | O PA2 | 45.71 | 58.62 | 47.67 | 28.26 | 4.30 |
| High conc. | O BE | 48.58 | 60.61 | 49.25 | 24.77 | 1.37 |
| High conc. | A22 IRQ | 32.46 | 42.32 | 34.52 | 30.40 | 6.35 |
| High conc. | A YC | 37.76 | 44.98 | 36.86 | 19.13 | −2.37 |
| Low conc. | O PA2 | 3.28 | 3.94 | 3.56 | 20.19 | 8.63 |
| Low conc. | O BE | 3.27 | 3.93 | 3.56 | 20.28 | 8.72 |
| Low conc. | A22 IRQ | 3.77 | 4.54 | 4.09 | 20.49 | 8.44 |
| Low conc. | A YC | 3.97 | 4.75 | 4.27 | 19.77 | 7.66 |
| CVIS | Practical Value (µg/mL) | Adjusted Value (µg/mL): HPLC to SDG | % Error Rate (HPLC/SDG) | % Error Rate (Adjusted Value/SDG) | |
|---|---|---|---|---|---|
| Strain | SDG | HPLC | |||
| O PA2 | 1.85 | 2.13 | 1.96 | 15.04 | 6.10 |
| O BE | 4.61 | 5.30 | 4.82 | 15.03 | 4.63 |
| A22 IRQ | 3.94 | 4.64 | 4.22 | 17.66 | 7.16 |
| A YC | 2.20 | 2.62 | 2.41 | 19.14 | 9.41 |
Publisher’s Note: MDPI stays neutral with regard to jurisdictional claims in published maps and institutional affiliations. |
© 2022 by the authors. Licensee MDPI, Basel, Switzerland. This article is an open access article distributed under the terms and conditions of the Creative Commons Attribution (CC BY) license (https://creativecommons.org/licenses/by/4.0/).
Share and Cite
Kim, A.-Y.; Park, S.Y.; Park, S.H.; Kim, J.Y.; Jin, J.S.; Kim, E.-S.; Park, J.-H.; Ko, Y.-J. Comparison of High-Performance Liquid Chromatography with Sucrose Density Gradient Ultracentrifugation for the Quantification of Foot-and-Mouth Disease Vaccine Antigens. Vaccines 2022, 10, 667. https://doi.org/10.3390/vaccines10050667
Kim A-Y, Park SY, Park SH, Kim JY, Jin JS, Kim E-S, Park J-H, Ko Y-J. Comparison of High-Performance Liquid Chromatography with Sucrose Density Gradient Ultracentrifugation for the Quantification of Foot-and-Mouth Disease Vaccine Antigens. Vaccines. 2022; 10(5):667. https://doi.org/10.3390/vaccines10050667
Chicago/Turabian StyleKim, Ah-Young, Sun Young Park, Sang Hyun Park, Jae Young Kim, Jong Sook Jin, Eun-Sol Kim, Jong-Hyeon Park, and Young-Joon Ko. 2022. "Comparison of High-Performance Liquid Chromatography with Sucrose Density Gradient Ultracentrifugation for the Quantification of Foot-and-Mouth Disease Vaccine Antigens" Vaccines 10, no. 5: 667. https://doi.org/10.3390/vaccines10050667
APA StyleKim, A.-Y., Park, S. Y., Park, S. H., Kim, J. Y., Jin, J. S., Kim, E.-S., Park, J.-H., & Ko, Y.-J. (2022). Comparison of High-Performance Liquid Chromatography with Sucrose Density Gradient Ultracentrifugation for the Quantification of Foot-and-Mouth Disease Vaccine Antigens. Vaccines, 10(5), 667. https://doi.org/10.3390/vaccines10050667

