Novel Combination of COX-2 Inhibitor and Antioxidant Therapy for Modulating Oxidative Stress Associated with Intestinal Ischemic Reperfusion Injury and Endotoxemia
Abstract
1. Introduction
2. Materials and Methods
2.1. Animals
2.2. Experimental Protocol
2.3. Experimental Groups
- (1)
- I/R + vehicle (saline): Rats were subjected to surgery and treated with a vehicle.
- (2)
- I/R + firocoxib (10 mg/kg): Rats were subjected to surgery and treated with firocoxib (10 mg/kg).
- (3)
- I/R + vitamin C (750 mg/kg): Rats were subjected to surgery and treated with vitamin C (750 mg/kg).
- (4)
- I/R + firocoxib (10 mg/kg) + vitamin C (750 mg/kg): Rats were subjected to surgery and treated with firocoxib (10 mg/kg) + vitamin C (750 mg/kg).
- (5)
- Sham groups: Animals were operated on with surgical steps; however, they were not subjected to I/R and were treated with either a vehicle, firocoxib alone, vitamin C alone, or firocoxib + vitamin C.
2.4. Measurement of Lipid Peroxidation
2.5. Myeloperoxidase Activity
2.6. Measurement of the Protein Carbonyl Content
2.7. Determination of Antioxidant Enzyme Activity
2.8. Evaluation of PGE2, Tumor Necrosis Factor Alpha (TNF-α), Interleukin (IL)-6, IL-1β, D-Lactate, Diamine Oxidase (DAO), and Endotoxin Levels
2.9. Histological Examination
2.10. Bacterial Translocation
2.11. Western Blot Analysis
2.12. Statistical Evaluation
3. Results
3.1. Firocoxib+Vit C Reduces Lethality and Falls of the Arterial Blood Pressure
3.2. Firocoxib+Vit C Reduces COX-2 and PGE2 Expression
3.3. Firocoxib+Vit C Enhances the Antioxidant/Oxidant Balance during I/R Injury
3.4. Firocoxib+Vit C Modulates MPO Activity, the Cytokine Plasma Level, the Intestinal Barrier Function, and Bacterial Translocation
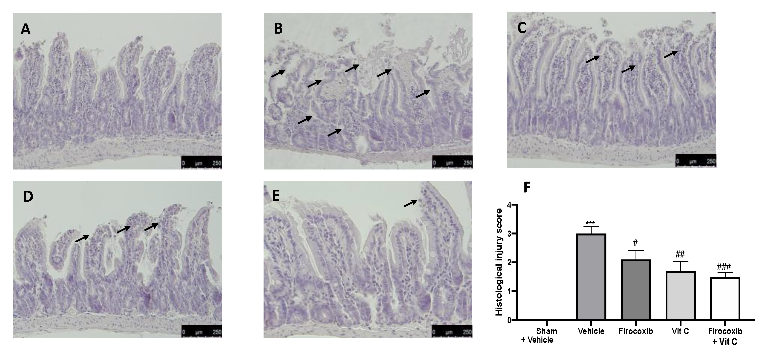
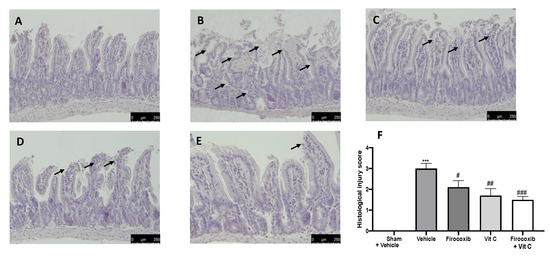
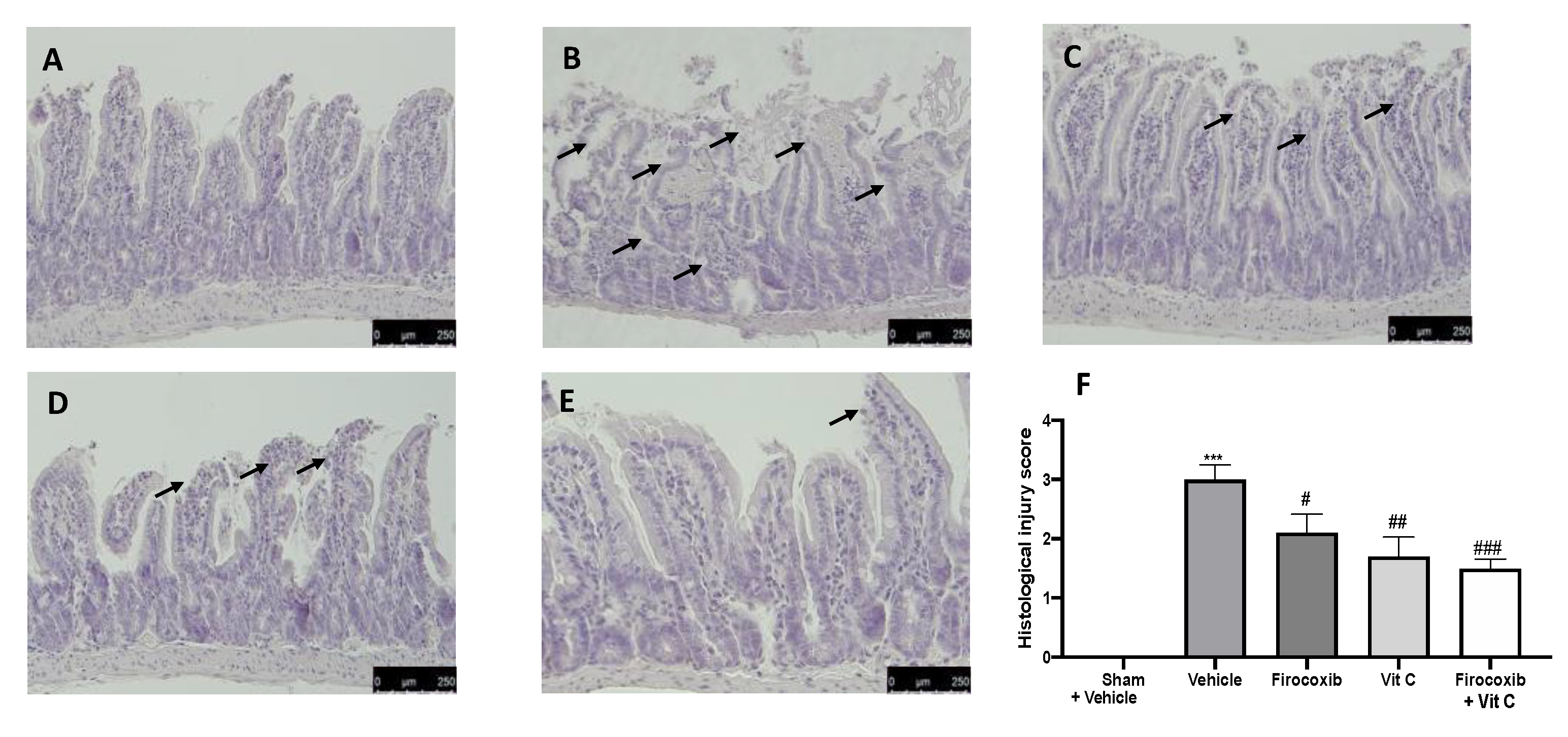
3.5. Firocoxib+Vit C Reduces Histological Alterations Caused by I/R Injury
4. Discussion
5. Conclusions
Supplementary Materials
Author Contributions
Funding
Conflicts of Interest
References
- Snyder, J.R. The pathophysiology of intestinal damage: Effects of luminal distention and ischemia. Vet. Clin. N. Am. Equine Pract. 1989, 5, 247–270. [Google Scholar] [CrossRef]
- Tinker, M.K.; White, N.A.; Lessard, P.; Thatcher, C.D.; Pelzer, K.D.; Davis, B.; Carmel, D.K. Prospective study of equine colic incidence and mortality. Equine Vet. J. 1997, 29, 448–453. [Google Scholar] [CrossRef] [PubMed]
- Joyner, M.J.; Casey, D.P. Regulation of increased blood flow (hyperemia) to muscles during exercise: A hierarchy of competing physiological needs. Physiol. Rev. 2015. [Google Scholar] [CrossRef] [PubMed]
- Tomlinson, J.E.; Wilder, B.O.; Young, K.M.; Blikslager, A.T. Effects of flunixin meglumine or etodolac treatment on mucosal recovery of equine jejunum after ischemia. Am. J. Vet. Res. 2004, 65, 761–769. [Google Scholar] [CrossRef] [PubMed]
- McCann, M.E.; Andersen, D.R.; Zhang, D.; Brideau, C.; Black, W.C.; Hanson, P.D.; Hickey, G.J. In vitro effects and in vivo efficacy of a novel cyclooxygenase-2 inhibitor in dogs with experimentally induced synovitis. Am. J. Vet. Res. 2004, 65, 503–512. [Google Scholar] [CrossRef] [PubMed]
- McCann, M.E.; Rickes, E.L.; Hora, D.F.; Cunningham, P.K.; Zhang, D.; Brideau, C.; Black, W.C.; Hickey, G.J. In vitro effects and in vivo efficacy of a novel cyclooxygenase-2 inhibitor in cats with lipopolysaccharide-induced pyrexia. Am. J. Vet. Res. 2005, 66, 1278–1284. [Google Scholar] [CrossRef] [PubMed]
- Ziegler, A.; Freeman, C.; Fogle, C.; Burke, M.; Davis, J.; Cook, V.; Southwood, L.; Blikslager, A. Multicentre, blinded, randomised clinical trial comparing the use of flunixin meglumine with firocoxib in horses with small intestinal strangulating obstruction. Equine Vet. J. 2019, 51, 329–335. [Google Scholar] [CrossRef]
- Cook, V.L.; Meyer, C.T.; Campbell, N.B.; Blikslager, A.T. Effect of firocoxib or flunixin meglumine on recovery of ischemic-injured equine jejunum. Am. J. Vet. Res. 2009, 70, 992–1000. [Google Scholar] [CrossRef]
- Di Paola, R.; Fusco, R.; Gugliandolo, E.; Crupi, R.; Evangelista, M.; Granese, R.; Cuzzocrea, S. Co-micronized palmitoylethanolamide/polydatin treatment causes endometriotic lesion regression in a rodent model of surgically induced endometriosis. Front. Pharmacol. 2016, 7, 382. [Google Scholar] [CrossRef]
- Gugliandolo, E.; Fusco, R.; D’Amico, R.; Peditto, M.; Oteri, G.; Di Paola, R.; Cuzzocrea, S.; Navarra, M. Treatment With a Flavonoid-Rich Fraction of Bergamot Juice Improved Lipopolysaccharide-Induced Periodontitis in Rats. Front. Pharmacol. 2018, 9, 1563. [Google Scholar] [CrossRef]
- Fusco, R.; Cirmi, S.; Gugliandolo, E.; Di Paola, R.; Cuzzocrea, S.; Navarra, M. Anti-oxidant and anti-inflammatory effects of a flavonoid-rich extract from orange juice in experimental colitis. Free Radic. Biol. Med. 2017, 108, S37. [Google Scholar] [CrossRef]
- Britti, D.; Crupi, R.; Impellizzeri, D.; Gugliandolo, E.; Fusco, R.; Schievano, C.; Morittu, V.M.; Evangelista, M.; Di Paola, R.; Cuzzocrea, S. A novel composite formulation of palmitoylethanolamide and quercetin decreases inflammation and relieves pain in inflammatory and osteoarthritic pain models. BMC Vet. Res. 2017, 13, 229. [Google Scholar] [CrossRef] [PubMed]
- Cordaro, M.; Impellizzeri, D.; Siracusa, R.; Gugliandolo, E.; Fusco, R.; Inferrera, A.; Esposito, E.; Di Paola, R.; Cuzzocrea, S. Effects of a co-micronized composite containing palmitoylethanolamide and polydatin in an experimental model of benign prostatic hyperplasia. Toxicol. Appl. Pharmacol. 2017, 329, 231–240. [Google Scholar] [CrossRef] [PubMed]
- Gugliandolo, E.; Fusco, R.; Biundo, F.; D’Amico, R.; Benedetto, F.; Di Paola, R.; Cuzzocrea, S. Palmitoylethanolamide and Polydatin combination reduces inflammation and oxidative stress in vascular injury. Pharmacol. Res. 2017, 123, 83–92. [Google Scholar] [CrossRef] [PubMed]
- Di Paola, R.; Fusco, R.; Gugliandolo, E.; D’Amico, R.; Campolo, M.; Latteri, S.; Carughi, A.; Mandalari, G.; Cuzzocrea, S. The Antioxidant Activity of Pistachios Reduces Cardiac Tissue Injury of Acute Ischemia/Reperfusion (I/R) in Diabetic Streptozotocin (STZ)-Induced Hyperglycaemic Rats. Front. Pharmacol. 2018, 9, 51. [Google Scholar] [CrossRef] [PubMed]
- D’Amico, R.; Fusco, R.; Gugliandolo, E.; Cordaro, M.; Siracusa, R.; Impellizzeri, D.; Peritore, A.F.; Crupi, R.; Cuzzocrea, S.; Di Paola, R. Effects of a new compound containing Palmitoylethanolamide and Baicalein in myocardial ischaemia/reperfusion injury in vivo. Phytomedicine 2019, 54, 27–42. [Google Scholar] [CrossRef]
- Siracusa, R.; Fusco, R.; Peritore, A.F.; Cordaro, M.; D’Amico, R.; Genovese, T.; Gugliandolo, E.; Crupi, R.; Smeriglio, A.; Mandalari, G.; et al. The Antioxidant and Anti-Inflammatory Properties of Anacardium occidentale L. Cashew Nuts in a Mouse Model of Colitis. Nutrients 2020, 12, 834. [Google Scholar] [CrossRef] [PubMed]
- Spoelstra-de Man, A.M.E.; Elbers, P.W.G.; Oudemans-van Straaten, H.M. Making sense of early high-dose intravenous vitamin C in ischemia/reperfusion injury. Crit. Care 2018, 22, 70. [Google Scholar] [CrossRef]
- Higa, O.H.; Parra, E.R.; Ab’Saber, A.M.; Farhat, C.; Higa, R.; Capelozzi, V.L. Protective effects of ascorbic acid pretreatment in a rat model of intestinal ischemia-reperfusion injury: A histomorphometric study. Clinics 2007, 62, 315–320. [Google Scholar] [CrossRef]
- Reddyjarugu, B.; Pavek, T.; Southard, T.; Barry, J.; Singh, B. Analgesic efficacy of firocoxib, a selective inhibitor of cyclooxygenase 2, in a mouse model of incisional pain. J. Am. Assoc. Lab. Anim. Sci. 2015, 54, 405–410. [Google Scholar]
- De Sales, K.P.F.; Pinto, B.A.S.; Ribeiro, N.L.X.; Melo, T.M.; Galvão-Moreira, L.V.; de Brito Filho, S.B.; Nigri, F. Effects of Vitamin C on the Prevention of Ischemia-Reperfusion Brain Injury: Experimental Study in Rats. Int. J. Vasc. Med. 2019, 2019, 4090549. [Google Scholar] [CrossRef] [PubMed]
- Campion, J.; Milagro, F.I.; Fernandez, D.; Martinez, J.A. Diferential gene expression and adiposity reduction induced by ascorbic acid supplementation in a cafeteria model of obesity. J. Physiol. Biochem. 2006, 62, 71–80. [Google Scholar] [CrossRef] [PubMed]
- Sun, Y.; Xu, Y.; Wang, G.-N. Pterostilbene prevents intestinal ischemia reperfusion injury in Wistar rats via modulation of antioxidant defense and inflammation. Trop. J. Pharm. Res. 2015, 14, 1383–1391. [Google Scholar] [CrossRef]
- Muia, C.; Mazzon, E.; Di Paola, R.; Genovese, T.; Menegazzi, M.; Caputi, A.P.; Suzuki, H.; Cuzzocrea, S. Green tea polyphenol extract attenuates ischemia/reperfusion injury of the gut. Naunyn Schmiedebergs Arch. Pharmacol. 2005, 371, 364–374. [Google Scholar] [CrossRef] [PubMed]
- Gugliandolo, E.; Fusco, R.; D’Amico, R.; Militi, A.; Oteri, G.; Wallace, J.L.; Di Paola, R.; Cuzzocrea, S. Anti-inflammatory effect of ATB-352, a H2S -releasing ketoprofen derivative, on lipopolysaccharide-induced periodontitis in rats. Pharmacol. Res. 2018, 132, 220–231. [Google Scholar] [CrossRef]
- Pallio, G.; Bitto, A.; Pizzino, G.; Galfo, F.; Irrera, N.; Squadrito, F.; Squadrito, G.; Pallio, S.; Anastasi, G.P.; Cutroneo, G.; et al. Adenosine Receptor Stimulation by Polydeoxyribonucleotide Improves Tissue Repair and Symptomology in Experimental Colitis. Front. Pharmacol. 2016, 7, 273. [Google Scholar] [CrossRef]
- Levine, R.L.; Garland, D.; Oliver, C.N.; Amici, A.; Climent, I.; Lenz, A.G.; Ahn, B.W.; Shaltiel, S.; Stadtman, E.R. Determination of carbonyl content in oxidatively modified proteins. Methods Enzymol. 1990, 186, 464–478. [Google Scholar] [CrossRef]
- Sun, Y.; Oberley, L.W.; Li, Y. A simple method for clinical assay of superoxide dismutase. Clin. Chem. 1988, 34, 497–500. [Google Scholar] [CrossRef]
- Aebi, H. Methods of enzymatic analysis. Catalase 1983, 673–686. [Google Scholar]
- Squadrito, F.; Micali, A.; Rinaldi, M.; Irrera, N.; Marini, H.; Puzzolo, D.; Pisani, A.; Lorenzini, C.; Valenti, A.; Laura, R.; et al. Polydeoxyribonucleotide, an Adenosine-A2A Receptor Agonist, Preserves Blood Testis Barrier from Cadmium-Induced Injury. Front. Pharmacol. 2016, 7, 537. [Google Scholar] [CrossRef]
- Chen, S.; Li, X.; Wang, Y.; Mu, P.; Chen, C.; Huang, P.; Liu, D. Ginsenoside Rb1 attenuates intestinal ischemia/reperfusioninduced inflammation and oxidative stress via activation of the PI3K/Akt/Nrf2 signaling pathway. Mol. Med. Rep. 2019, 19, 3633–3641. [Google Scholar] [CrossRef] [PubMed]
- Büyükgebiz, O.; Aktan, A.Ö.; Yeĝen, C.; Yalçin, A.S.; Haklar, G.; Yalin, R.; Ercan, Z.S. Captopril increases endothelin serum concentrations and preserves intestinal mucosa after mesenteric ischemia-reperfusion injury. Res. Exp. Med. 1994, 194, 339–348. [Google Scholar] [CrossRef] [PubMed]
- Di Paola, R.; Menegazzi, M.; Mazzon, E.; Genovese, T.; Crisafulli, C.; Dal Bosco, M.; Zou, Z.; Suzuki, H.; Cuzzocrea, S. Protective effects of glycyrrhizin in a gut hypoxia (ischemia)-reoxygenation (reperfusion) model. Intensive Care Med. 2009, 35, 687–697. [Google Scholar] [CrossRef] [PubMed]
- Huang, Y.; Ye, M.; Wang, C.; Wang, Z.; Zhou, W. Protective effect of CDDO-imidazolide against intestinal ischemia/reperfusion injury in mice. Eur. J. Inflamm. 2018, 16, 2058739218802681. [Google Scholar] [CrossRef]
- Wu, X.; Ren, J.; Chen, G.; Wu, L.; Song, X.; Li, G.; Deng, Y.; Wang, G.; Gu, G.; Li, J. Systemic blockade of P2X7 receptor protects against sepsis-induced intestinal barrier disruption. Sci. Rep. 2017, 7, 1–13. [Google Scholar] [CrossRef]
- Pizzino, G.; Bitto, A.; Pallio, G.; Irrera, N.; Galfo, F.; Interdonato, M.; Mecchio, A.; De Luca, F.; Minutoli, L.; Squadrito, F.; et al. Blockade of the JNK signalling as a rational therapeutic approach to modulate the early and late steps of the inflammatory cascade in polymicrobial sepsis. Mediat. Inflamm. 2015, 2015, 591572. [Google Scholar] [CrossRef]
- Flaherty, J.T.; Weisfeldt, M.L. Reperfusion injury. Free Radic. Biol. Med. 1988, 5, 409–419. [Google Scholar] [CrossRef]
- Flohé, L. Glutathione peroxidase brought into focus. Free Radic. Biol. 1982, 5, 223–253. [Google Scholar]
- Nier, A.; Engstler, A.J.; Maier, I.B.; Bergheim, I. Markers of intestinal permeability are already altered in early stages of non-alcoholic fatty liver disease: Studies in children. PLoS ONE 2017, 12, e0183282. [Google Scholar] [CrossRef]
- Jin, X.; Yu, C.H.; Lv, G.C.; Li, Y.M. Increased intestinal permeability in pathogenesis and progress of nonalcoholic steatohepatitis in rats. World J. Gastroenterol. 2007, 13, 1732–1736. [Google Scholar] [CrossRef]
- Song, W.B.; Lv, Y.H.; Zhang, Z.S.; Li, Y.N.; Xiao, L.P.; Yu, X.P.; Wang, Y.Y.; Ji, H.L.; Ma, L. Soluble intercellular adhesion molecule-1, D-lactate and diamine oxidase in patients with inflammatory bowel disease. World J. Gastroenterol. 2009, 15, 3916–3919. [Google Scholar] [CrossRef] [PubMed]
- Li, H.; Chen, Y.; Huo, F.; Wang, Y.; Zhang, D. Association between acute gastrointestinal injury and biomarkers of intestinal barrier function in critically ill patients. BMC Gastroenterol. 2017, 17, 45. [Google Scholar] [CrossRef] [PubMed]
- Guo, Y.Y.; Liu, M.L.; He, X.D.; Jiang, C.Q.; Liu, R.L. Functional changes of intestinal mucosal barrier in surgically critical patients. World J. Emerg. Med. 2010, 1, 205–208. [Google Scholar]
- Uramatsu, M.; Matsumoto, T.; Tateda, K.; Shibuya, K.; Miyazaki, S.; Horino, T.; Tanabe, M.; Sumiyama, Y.; Kusachi, S.; Yamaguchi, K. Involvement of endotoxin in the mortality of mice with gut-derived sepsis due to methicillin-resistant Staphylococcus aureus. Microbiol. Immunol. 2010, 54, 330–337. [Google Scholar] [CrossRef] [PubMed]
- Meakins, J.L.; Marshall, J.C. The Gut as the Motor of Multiple System Organ Failure; CV Mosby: St Louis, MO, USA, 1988; pp. 1333–1347. [Google Scholar]
- Chiu, C.J.; McArdle, A.H.; Brown, R.; Scott, H.J.; Gurd, F.N. Intestinal mucosal lesion in low-flow states. I. A morphological, hemodynamic, and metabolic reappraisal. Arch. Surg. 1970, 101, 478–483. [Google Scholar] [CrossRef] [PubMed]





© 2020 by the authors. Licensee MDPI, Basel, Switzerland. This article is an open access article distributed under the terms and conditions of the Creative Commons Attribution (CC BY) license (http://creativecommons.org/licenses/by/4.0/).
Share and Cite
Gugliandolo, E.; Cordaro, M.; Siracusa, R.; D’Amico, R.; Peritore, A.F.; Genovese, T.; Impellizzeri, D.; Paola, R.D.; Crupi, R.; Cuzzocrea, S.; et al. Novel Combination of COX-2 Inhibitor and Antioxidant Therapy for Modulating Oxidative Stress Associated with Intestinal Ischemic Reperfusion Injury and Endotoxemia. Antioxidants 2020, 9, 930. https://doi.org/10.3390/antiox9100930
Gugliandolo E, Cordaro M, Siracusa R, D’Amico R, Peritore AF, Genovese T, Impellizzeri D, Paola RD, Crupi R, Cuzzocrea S, et al. Novel Combination of COX-2 Inhibitor and Antioxidant Therapy for Modulating Oxidative Stress Associated with Intestinal Ischemic Reperfusion Injury and Endotoxemia. Antioxidants. 2020; 9(10):930. https://doi.org/10.3390/antiox9100930
Chicago/Turabian StyleGugliandolo, Enrico, Marika Cordaro, Rosalba Siracusa, Ramona D’Amico, Alessio Filippo Peritore, Tiziana Genovese, Daniela Impellizzeri, Rosanna Di Paola, Rosalia Crupi, Salvatore Cuzzocrea, and et al. 2020. "Novel Combination of COX-2 Inhibitor and Antioxidant Therapy for Modulating Oxidative Stress Associated with Intestinal Ischemic Reperfusion Injury and Endotoxemia" Antioxidants 9, no. 10: 930. https://doi.org/10.3390/antiox9100930
APA StyleGugliandolo, E., Cordaro, M., Siracusa, R., D’Amico, R., Peritore, A. F., Genovese, T., Impellizzeri, D., Paola, R. D., Crupi, R., Cuzzocrea, S., & Fusco, R. (2020). Novel Combination of COX-2 Inhibitor and Antioxidant Therapy for Modulating Oxidative Stress Associated with Intestinal Ischemic Reperfusion Injury and Endotoxemia. Antioxidants, 9(10), 930. https://doi.org/10.3390/antiox9100930

