Neuroprognostication of Consciousness Recovery in a Patient with COVID-19 Related Encephalitis: Preliminary Findings from a Multimodal Approach
Abstract
1. Introduction
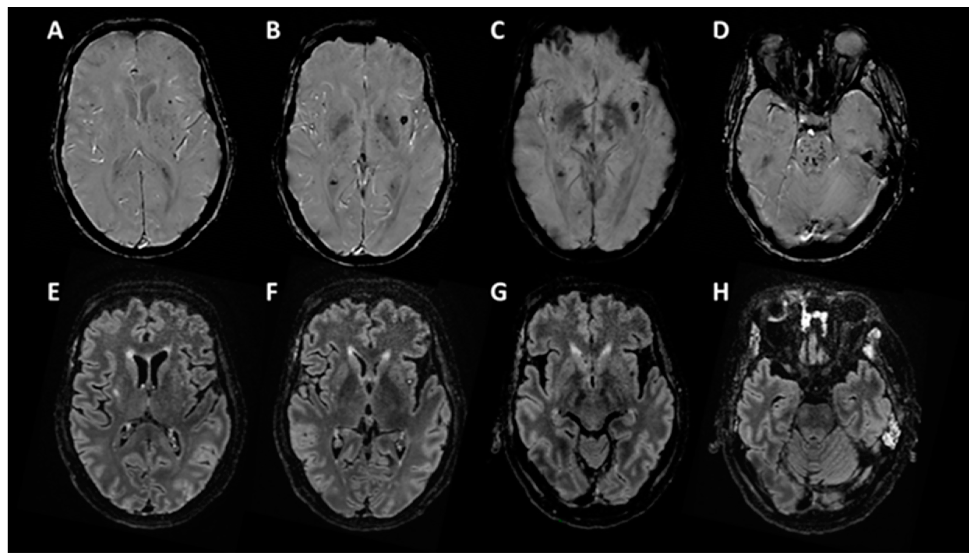
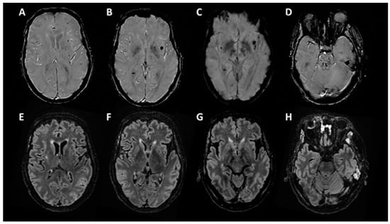
2. Clinical Presentation
3. Discussion
3.1. Disorders of Consciousness and COVID-19
3.2. Consciousness Recovery Prediction in COVID-19 Related Encephalitis
3.2.1. Time-Window for Neuroprognostication
3.2.2. Clinical Evaluation
3.2.3. Brain Imagery
3.2.4. Clinical EEG
3.2.5. Evoked Potentials
3.2.6. Quantitative EEG
4. Conclusions
Supplementary Materials
Author Contributions
Funding
Acknowledgments
Conflicts of Interest
References
- Fischer, D.; Threlkeld, Z.D.; Bodien, Y.G.; Kirsch, J.E.; Huang, S.Y.; Schaefer, P.W.; Rapalino, O.; Hochberg, L.R.; Rosen, B.R.; Edlow, B.L. Intact Brain Network Function in an Unresponsive Patient with COVID-19. Ann. Neurol. 2020, 88, 851–854. [Google Scholar] [CrossRef] [PubMed]
- Guan, W.; Liang, W.; Zhao, Y.; Liang, H.; Chen, Z.; Li, Y.; Liu, X.; Chen, R.; Tang, C.; Wang, T.; et al. Comorbidity and its impact on 1590 patients with COVID-19 in China: A nationwide analysis. Eur. Res. J. 2020, 55. [Google Scholar] [CrossRef]
- Helms, J.; Kremer, S.; Merdji, H.; Clere-Jehl, R.; Schenck, M.; Kummerlen, C.; Collange, O.; Boulay, C.; Fafi-Kremer, S.; Ohana, M.; et al. Neurologic Features in Severe SARS-CoV-2 Infection. N. Engl. J. Med. 2020. [Google Scholar] [CrossRef] [PubMed]
- Kremer, S.; Lersy, F.; de Sèze, J.; Ferré, J.-C.; Maamar, A.; Carsin-Nicol, B.; Collange, O.; Bonneville, F.; Adam, G.; Martin-Blondel, G.; et al. Brain, MRI Findings in Severe COVID-19: A Retrospective Observational Study. Radiology 2020. [Google Scholar] [CrossRef] [PubMed]
- Mao, L.; Jin, H.; Wang, M.; Hu, Y.; Chen, S.; He, Q.; Chang, J.; Hong, C.; Zhou, Y.; Wang, D.; et al. Neurologic Manifestations of Hospitalized Patients With Coronavirus Disease 2019 in Wuhan, China. JAMA. Neurol. 2020, 77, 1–9. [Google Scholar] [CrossRef]
- Paterson, R.W.; Brown, R.L.; Benjamin, L.; Nortley, R.; Wiethoff, S.; Bharucha, T.; Jayaseelan, D.L.; Kumar, G.; Raftopoulos, R.E.; Zambreanu, L.; et al. The emerging spectrum of COVID-19 neurology: Clinical, radiological and laboratory findings. Brain 2020, 143, 3104–3120. [Google Scholar] [CrossRef]
- Pinzon, R.T.; Wijaya, V.O.; Buana, R.B.; Al Jody, A.; Nunsio, P.N. Neurologic Characteristics in Coronavirus Disease 2019 (COVID-19): A Systematic Review and Meta-Analysis. Front Neurol. 2020, 11, 565. [Google Scholar] [CrossRef]
- Romero-Sánchez, C.M.; Díaz-Maroto, I.; Fernández-Díaz, E.; Sánchez-Larsen, Á.; Layos-Romero, A.; García-García, J.; González, E.; Redondo-Peñas, I.; Perona-Moratalla, A.B.; del Valle-Pérez, J.A.; et al. Neurologic manifestations in hospitalized patients with COVID-19: The ALBACOVID registry. Neurology 2020, 95, 1060–1070. [Google Scholar] [CrossRef]
- Pinna, P.; Grewal, P.; Hall, J.P.; Tavarez, T.; Dafer, R.M.; Garg, R.; Osteraas, N.D.; Pellack, D.R.; Asthana, A.; Fegan, K.; et al. Neurological manifestations and COVID-19: Experiences from a tertiary care center at the Frontline. J. Neurol. Sci. 2020, 415, 116969. [Google Scholar] [CrossRef]
- Sitt, J.D.; King, J.-R.; El Karoui, I.; Rohaut, B.; Faugeras, F.; Gramfort, A.; Cohen, L.; Sigman, M.; Dehaene, S.; Naccache, L. Large scale screening of neural signatures of consciousness in patients in a vegetative or minimally conscious state. Brain 2014, 137, 2258–2270. [Google Scholar] [CrossRef]
- Hermann, B.; Brisson, H.; Langeron, O.; Pyatigorskaya, N.; Paquereau, J.; Robert, H.; Stender, J.; Habert, M.-O.; Naccache, L.; Monsel, A. Unexpected good outcome in severe cerebral fat embolism syndrome. Ann. Clin. Transl. Neurol. 2018, 5, 988–995. [Google Scholar] [CrossRef] [PubMed]
- Comanducci, A.; Boly, M.; Claassen, J.; de Lucia, M.; Gibson, R.M.; Juan, E.; Laureys, S.; Naccache, L.; Owen, A.M.; Rosanova, M.; et al. Clinical and advanced neurophysiology in the prognostic and diagnostic evaluation of disorders of consciousness: Review of an IFCN-endorsed expert group. Clin. Neurophysiol. 2020. [Google Scholar] [CrossRef] [PubMed]
- Thibaut, A.; Bodien, Y.G.; Laureys, S.; Giacino, J.T. Minimally conscious state “plus”: Diagnostic criteria and relation to functional recovery. J. Neurol. 2020, 267, 1245–1254. [Google Scholar] [CrossRef] [PubMed]
- Kondziella, D.; Bender, A.; Diserens, K.; van Erp, W.; Estraneo, A.; Formisano, R.; Laureys, S.; Naccache, L.; Ozturk, S.; Rohaut, B.; et al. The EAN Panel on Coma, Disorders of Consciousness, European Academy of Neurology guideline on the diagnosis of coma and other disorders of consciousness. Eur. J. Neurol. 2020, 27, 741–756. [Google Scholar] [CrossRef] [PubMed]
- Velly, L.; Perlbarg, V.; Boulier, T.; Adam, N.; Delphine, S.; Luyt, C.-E.; Battisti, V.; Torkomian, G.; Arbelot, C.; Chabanne, R.; et al. Use of brain diffusion tensor imaging for the prediction of long-term neurological outcomes in patients after cardiac arrest: A multicentre, international, prospective, observational, cohort study. Lancet. Neurol. 2018, 17, 317–326. [Google Scholar] [CrossRef]
- King, J.-R.; Sitt, J.D.; Faugeras, F.; Rohaut, B.; El Karoui, I.; Cohen, L.; Naccache, L.; Dehaene, S. Information Sharing in the Brain Indexes Consciousness in Noncommunicative Patients. Curr. Biol. 2013, 23, 1914–1919. [Google Scholar] [CrossRef] [PubMed]
- Engemann, D.A.; Raimondo, F.; King, J.-R.; Rohaut, B.; Louppe, G.; Faugeras, F.; Annen, J.; Cassol, H.; Gosseries, O.; Fernandez-Slezak, D.; et al. Robust EEG-based cross-site and cross-protocol classification of states of consciousness. Brain 2018, 141, 3179–3192. [Google Scholar] [CrossRef]
- Bekinschtein, T.A.; Dehaene, S.; Rohaut, B.; Tadel, F.; Cohen, L.; Naccache, L. Neural signature of the conscious processing of auditory regularities. Proc. Natl. Acad. Sci. USA 2009, 106, 1672–1677. [Google Scholar] [CrossRef] [PubMed]
- Giacino, J.T.; Katz, D.I.; Schiff, N.D.; Whyte, J.; Ashman, E.J.; Ashwal, S.; Barbano, R.; Hammond, F.M.; Laureys, S.; Ling, G.S.F.; et al. Comprehensive systematic review update summary: Disorders of consciousness. Neurology 2018, 91, 461–470. [Google Scholar] [CrossRef]
- Bayne, T.; Hohwy, J.; Owen, A.M. Are There Levels of Consciousness? Trends Cognit. Sci. 2016, 20, 405–413. [Google Scholar] [CrossRef]
- Naccache, L. Minimally conscious state or cortically mediated state? Brain 2018, 141, 949–960. [Google Scholar] [CrossRef] [PubMed]
- Cao, A.; Rohaut, B.; le Guennec, L.; Saheb, S.; Marois, C.; Altmayer, V.; Carpentier, V.T.; Nemlaghi, S.; Soulie, M.; Morlon, Q.; et al. Severe COVID-19-Related Encephalitis can Respond to Immunotherapy. 2020. Available online: https://hal.archives-ouvertes.fr/hal-02918661 (accessed on 24 September 2020).
- Benussi, A.; Pilotto, A.; Premi, E.; Libri, I.; Giunta, M.; Agosti, C.; Alberici, A.; Baldelli, E.; Benini, M.; Bonacina, S.; et al. Clinical characteristics and outcomes of inpatients with neurologic disease and COVID-19 in Brescia, Lombardy, Italy. Neurology 2020, 95, 910–920. [Google Scholar] [CrossRef] [PubMed]
- Karadaş, Ö.; Öztürk, B.; Sonkaya, A.R. A prospective clinical study of detailed neurological manifestations in patients with COVID-19. Neurol. Sci. 2020, 41, 1991–1995. [Google Scholar] [CrossRef] [PubMed]
- Katz, J.M.; Libman, R.B.; Wang, J.J.; Sanelli, P.; Filippi, C.G.; Gribko, M.; Pacia, S.V.; Kuzniecky, R.I.; Najjar, S.; Azhar, S. Cerebrovascular Complications of COVID-19. Stroke 2020, 51, 227–231. [Google Scholar] [CrossRef]
- Kishfy, L.; Casasola, M.; Banankhah, P.; Parvez, A.; Jan, Y.J.; Shenoy, A.M.; Thomson, C.; AbdelRazek, M.A. Posterior reversible encephalopathy syndrome (PRES) as a neurological association in severe Covid-19. J. Neurol. Sci. 2020, 414, 116943. [Google Scholar] [CrossRef]
- Moriguchi, T.; Harii, N.; Goto, J.; Harada, D.; Sugawara, H.; Takamino, J.; Ueno, M.; Sakata, H.; Kondo, K.; Myose, N.; et al. A first case of meningitis/encephalitis associated with SARS-Coronavirus-2. Int. J. Infect. Dis. 2020, 94, 55–58. [Google Scholar] [CrossRef]
- Virhammar, J.; Kumlien, E.; Fällmar, D.; Frithiof, R.; Jackmann, S.; Sköld, M.K.; Kadir, M.; Frick, J.; Lindeberg, J.; Olivero-Reinius, H.; et al. Acute necrotizing encephalopathy with SARS-CoV-2 RNA confirmed in cerebrospinal fluid. Neurology 2020, 95, 445–449. [Google Scholar] [CrossRef]
- Graus, F.; Titulaer, M.J.; Balu, R.; Benseler, S.; Bien, C.G.; Cellucci, T.; Cortese, I.; Dale, R.C.; Gelfand, J.M.; Geschwind, M.; et al. A clinical approach to diagnosis of autoimmune encephalitis. Lancet. Neurol. 2016, 15, 391–404. [Google Scholar] [CrossRef]
- Xiong, W.; Mu, J.; Guo, J.; Lu, L.; Liu, D.; Luo, J.; Li, N.; Liu, J.; Yang, D.; Gao, H.; et al. New onset neurologic events in people with COVID-19 infection in three regions in China. Neurology 2020. [Google Scholar] [CrossRef]
- Pezzini, A.; Padovani, A. Lifting the mask on neurological manifestations of COVID-19. Nat. Rev. Neurol. 2020, 1–9. [Google Scholar] [CrossRef]
- Espinosa, P.S.; Rizvi, Z.; Sharma, P.; Hindi, F.; Filatov, A. Neurological Complications of Coronavirus Disease (COVID-19): Encephalopathy, MRI Brain and Cerebrospinal Fluid Findings: Case 2. Cureus 2020, 12. [Google Scholar] [CrossRef] [PubMed]
- Filatov, A.; Sharma, P.; Hindi, F.; Espinosa, P.S. Neurological Complications of Coronavirus Disease (COVID-19): Encephalopathy. Cureus 2020, 12. [Google Scholar] [CrossRef] [PubMed]
- Najjar, S.; Najjar, A.; Chong, D.J.; Pramanik, B.K.; Kirsch, C.; Kuzniecky, R.I.; Pacia, S.V.; Azhar, S. Central nervous system complications associated with SARS-CoV-2 infection: Integrative concepts of pathophysiology and case reports. J. Neuroinflam. 2020, 17, 231. [Google Scholar] [CrossRef] [PubMed]
- Rohaut, B.; Claassen, J. Decision making in perceived devastating brain injury: A call to explore the impact of cognitive biases. Br. J. Anaesth. 2018, 120, 5–9. [Google Scholar] [CrossRef]
- Giacino, J.T.; Kalmar, K.; Whyte, J. The JFK Coma Recovery Scale-Revised: Measurement characteristics and diagnostic utility11No commercial party having a direct financial interest in the results of the research supporting this article has or will confer a benefit upon the authors or upon any organization with which the authors are associated. Arch. Phys. Med. Rehabilit. 2004, 85, 2020–2029. [Google Scholar] [CrossRef]
- Sheriff, F.G.; Hinson, H.E. Pathophysiology and Clinical Management of Moderate and Severe Traumatic Brain Injury in the ICU. Semin. Neurol. 2015, 35, 42–49. [Google Scholar] [CrossRef]
- Wijdicks, E.F.M.; Hijdra, A.; Young, G.B.; Bassetti, C.L.; Wiebe, S. Practice Parameter: Prediction of outcome in comatose survivors after cardiopulmonary resuscitation (an evidence-based review): Report of the Quality Standards Subcommittee of the American Academy of Neurology. Neurology 2006, 67, 203–210. [Google Scholar] [CrossRef]
- Khoo, A.; McLoughlin, B.; Cheema, S.; Weil, R.S.; Lambert, C.; Manji, H.; Zandi, M.S.; Morrow, J.M. Postinfectious brainstem encephalitis associated with SARS-CoV-2. J. Neurol. Neurosurg. Psychiatry 2020, 91, 1013–1014. [Google Scholar] [CrossRef]
- Chougar, L.; Shor, N.; Weiss, N.; Galanaud, D.; Leclercq, D.; Mathon, B.; Belkacem, S.; Stroër, S.; Burrel, S.; Boutolleau, D.; et al. Retrospective Observational Study of Brain Magnetic Resonance Imaging Findings in Patients with Acute SARS-CoV-2 Infection and Neurological Manifestations. Radiology 2020, 202422. [Google Scholar] [CrossRef]
- Jain, R.; Young, M.; Dogra, S.; Kennedy, H.; Nguyen, V.; Jones, S.; Bilaloglu, S.; Hochman, K.; Raz, E.; Galetta, S.; et al. COVID-19 related neuroimaging findings: A signal of thromboembolic complications and a strong prognostic marker of poor patient outcome. J. Neurol. Sci. 2020, 414, 116923. [Google Scholar] [CrossRef]
- Kandemirli, S.G.; Dogan, L.; Sarikaya, Z.T.; Kara, S.; Akinci, C.; Kaya, D.; Kaya, Y.; Yildirim, D.; Tuzuner, F.; Yildirim, M.S.; et al. Brain MRI Findings in Patients in the Intensive Care Unit with COVID-19 Infection. Radiology 2020, 201697. [Google Scholar] [CrossRef] [PubMed]
- Mahammedi, A.; Saba, L.; Vagal, A.; Leali, M.; Rossi, A.; Gaskill, M.; Sengupta, S.; Zhang, B.; Carriero, A.; Bachir, S.; et al. Imaging in Neurological Disease of Hospitalized COVID-19 Patients: An Italian Multicenter Retrospective Observational Study. Radiology 2020, 201933. [Google Scholar] [CrossRef]
- Radmanesh, A.; Derman, A.; Lui, Y.W.; Raz, E.; Loh, J.P.; Hagiwara, M.; Borja, M.J.; Zan, E.; Fatterpekar, G.M. COVID-19 –associated Diffuse Leukoencephalopathy and Microhemorrhages. Radiology 2020, 202040. [Google Scholar] [CrossRef] [PubMed]
- Chau, A.; Salazar, A.M.; Krueger, F.; Cristofori, I.; Grafman, J. The effect of claustrum lesions on human consciousness and recovery of function. Conscious. Cognit. 2015, 36, 256–264. [Google Scholar] [CrossRef]
- Fischer, D.B.; Boes, A.D.; Demertzi, A.; Evrard, H.C.; Laureys, S.; Edlow, B.L.; Liu, H.; Saper, C.B.; Pascual-Leone, A.; Fox, M.D.; et al. A human brain network derived from coma-causing brainstem lesions. Neurology 2016, 87, 2427–2434. [Google Scholar] [CrossRef]
- Snider, S.B.; Hsu, J.; Darby, R.R.; Cooke, D.; Fischer, D.; Cohen, A.L.; Grafman, J.H.; Fox, M.D. Cortical lesions causing loss of consciousness are anticorrelated with the dorsal brainstem. Hum. Brain. Mapp. 2020, 41, 1520–1531. [Google Scholar] [CrossRef]
- Wong, P.F.; Craik, S.; Newman, P.; Makan, A.; Srinivasan, K.; Crawford, E.; Dev, D.; Moudgil, H.; Ahmad, N. Lessons of the month 1: A case of rhombencephalitis as a rare complication of acute COVID-19 infection. Clin. Med. Lond. 2020, 20, 293–294. [Google Scholar] [CrossRef]
- Dixon, L.; Varley, J.; Gontsarova, A.; Mallon, D.; Tona, F.; Muir, D.; Luqmani, A.; Jenkins, I.H.; Nicholas, R.; Jones, B.; et al. COVID-19-related acute necrotizing encephalopathy with brain stem involvement in a patient with aplastic anemia. Neurol. Neuroimmunol. Neuroinflamm. 2020, 7. [Google Scholar] [CrossRef]
- Li, Y.; Bai, W.; Hashikawa, T. The neuroinvasive potential of SARS-CoV2 may play a role in the respiratory failure of COVID-19 patients. J. Med. Virol. 2020, 92. [Google Scholar] [CrossRef]
- Manganelli, F.; Vargas, M.; Iovino, A.; Iacovazzo, C.; Santoro, L.; Servillo, G. Brainstem involvement and respiratory failure in COVID-19. Neurol. Sci. 2020, 1–3. [Google Scholar] [CrossRef]
- Pasini, E.; Bisulli, F.; Volpi, L.; Minardi, I.; Tappatà, M.; Muccioli, L.; Pensato, U.; Riguzzi, P.; Tinuper, P.; Michelucci, R. EEG findings in COVID-19 related encephalopathy. Clin. Neurophysiol. 2020, 131, 2265–2267. [Google Scholar] [CrossRef] [PubMed]
- le Guennec, L.; Devianne, J.; Jalin, L.; Cao, A.; Galanaud, D.; Navarro, V.; Boutolleau, D.; Rohaut, B.; Weiss, N.; Demeret, S. Orbitofrontal involvement in a neuroCOVID-19 patient. Epilepsia 2020, 61, e90–e94. [Google Scholar] [CrossRef] [PubMed]
- Vellieux, G.; Rouvel-Tallec, A.; Jaquet, P.; Grinea, A.; Sonneville, R.; d’Ortho, M.-P. COVID-19 associated encephalopathy: Is there a specific EEG pattern? Clin. Neurophysiol. 2020, 131, 1928–1930. [Google Scholar] [CrossRef] [PubMed]
- Hosokawa, K.; Gaspard, N.; Su, F.; Oddo, M.; Vincent, J.-L.; Taccone, F.S. Clinical neurophysiological assessment of sepsis-associated brain dysfunction: A systematic review. Crit. Care 2014, 18. [Google Scholar] [CrossRef]
- Kurtz, P.; Gaspard, N.; Wahl, A.S.; Bauer, R.M.; Hirsch, L.J.; Wunsch, H.; Claassen, J. Continuous electroencephalography in a surgical intensive care unit. Intensive Care Med. 2014, 40, 228–234. [Google Scholar] [CrossRef]
- Oddo, M.; Carrera, E.; Claassen, J.; Mayer, S.A.; Hirsch, L.J. Continuous electroencephalography in the medical intensive care unit. Crit. Care Med. 2009, 37, 2051–2056. [Google Scholar] [CrossRef]
- Azabou, E.; Fischer, C.; Mauguiere, F.; Vaugier, I.; Annane, D.; Sharshar, T.; Lofaso, F. Prospective Cohort Study Evaluating the Prognostic Value of Simple EEG Parameters in Postanoxic Coma. Clin. EEG Neurosci. 2016, 47, 75–82. [Google Scholar] [CrossRef]
- Logi, F.; Pasqualetti, P.; Tomaiuolo, F. Predict recovery of consciousness in post-acute severe brain injury: The role of EEG reactivity. Brain Inj. 2011, 25, 972–979. [Google Scholar] [CrossRef]
- Sutter, R.; Kaplan, P.W. Clinical Electroencephalographic, and Neuroradiological Outcome Predictors in Acute Nonhypoxic Encephalopathy: A Nine-Year Cohort Study. Clin. EEG Neurosci. 2015, 47, 61–68. [Google Scholar] [CrossRef]
- André-Obadia, N.; Zyss, J.; Gavaret, M.; Lefaucheur, J.-P.; Azabou, E.; Boulogne, S.; Guérit, J.-M.; McGonigal, A.; Merle, P.; Mutschler, V.; et al. Recommendations for the use of electroencephalography and evoked potentials in comatose patients. Neurophysiol. Clin. 2018, 48, 143–169. [Google Scholar] [CrossRef]
- Zandbergen, E.G.J.; Hijdra, A.; Koelman, J.H.T.M.; Hart, A.a.M.; Vos, P.E.; Verbeek, M.M.; de Haan, R.J. Prediction of poor outcome within the first 3 days of postanoxic coma. Neurology 2006, 66, 62–68. [Google Scholar] [CrossRef] [PubMed]
- Zhang, Y.; Su, Y.Y.; Haupt, W.F.; Zhao, J.W.; Xiao, S.Y.; Li, H.L.; Pang, Y.; Yang, Q.L. Application of electrophysiologic techniques in poor outcome prediction among patients with severe focal and diffuse ischemic brain injury. J. Clin. Neurophysiol. 2011, 28, 497–503. [Google Scholar] [CrossRef] [PubMed]
- Maekawa, T.; Fujii, Y.; Sadamitsu, D.; Yokota, K.; Soejima, Y.; Ishikawa, T.; Miyauchi, Y.; Takeshita, H. Cerebral circulation and metabolism in patients with septic encephalopathy. Am. J. Emerg. Med. 1991, 9, 139–143. [Google Scholar] [CrossRef]
- Rinaldi, S.; Consales, G.; de Gaudio, A.R. Changes in auditory evoked potentials induced by postsurgical sepsis. Minerva. Anestesiol. 2008, 74, 245–250. [Google Scholar]
- Zauner, C.; Gendo, A.; Kramer, L.; Funk, G.C.; Bauer, E.; Schenk, P.; Ratheiser, K.; Madl, C. Impaired subcortical and cortical sensory evoked potential pathways in septic patients. Crit. Care Med. 2002, 30, 1136–1139. [Google Scholar] [CrossRef]
- Rohaut, B.; Raimondo, F.; Galanaud, D.; Valente, M.; Sitt, J.D.; Naccache, L. Probing consciousness in a sensory-disconnected paralyzed patient. Brain Inj. 2017, 31, 1398–1403. [Google Scholar] [CrossRef]





Publisher’s Note: MDPI stays neutral with regard to jurisdictional claims in published maps and institutional affiliations. |
© 2020 by the authors. Licensee MDPI, Basel, Switzerland. This article is an open access article distributed under the terms and conditions of the Creative Commons Attribution (CC BY) license (http://creativecommons.org/licenses/by/4.0/).
Share and Cite
Sangare, A.; Dong, A.; Valente, M.; Pyatigorskaya, N.; Cao, A.; Altmayer, V.; Zyss, J.; Lambrecq, V.; Roux, D.; Morlon, Q.; et al. Neuroprognostication of Consciousness Recovery in a Patient with COVID-19 Related Encephalitis: Preliminary Findings from a Multimodal Approach. Brain Sci. 2020, 10, 845. https://doi.org/10.3390/brainsci10110845
Sangare A, Dong A, Valente M, Pyatigorskaya N, Cao A, Altmayer V, Zyss J, Lambrecq V, Roux D, Morlon Q, et al. Neuroprognostication of Consciousness Recovery in a Patient with COVID-19 Related Encephalitis: Preliminary Findings from a Multimodal Approach. Brain Sciences. 2020; 10(11):845. https://doi.org/10.3390/brainsci10110845
Chicago/Turabian StyleSangare, Aude, Anceline Dong, Melanie Valente, Nadya Pyatigorskaya, Albert Cao, Victor Altmayer, Julie Zyss, Virginie Lambrecq, Damien Roux, Quentin Morlon, and et al. 2020. "Neuroprognostication of Consciousness Recovery in a Patient with COVID-19 Related Encephalitis: Preliminary Findings from a Multimodal Approach" Brain Sciences 10, no. 11: 845. https://doi.org/10.3390/brainsci10110845
APA StyleSangare, A., Dong, A., Valente, M., Pyatigorskaya, N., Cao, A., Altmayer, V., Zyss, J., Lambrecq, V., Roux, D., Morlon, Q., Perez, P., Ben Salah, A., Virolle, S., Puybasset, L., Sitt, J. D., Rohaut, B., & Naccache, L. (2020). Neuroprognostication of Consciousness Recovery in a Patient with COVID-19 Related Encephalitis: Preliminary Findings from a Multimodal Approach. Brain Sciences, 10(11), 845. https://doi.org/10.3390/brainsci10110845

