Immunohistochemical Expression of ABCB5 as a Potential Prognostic Factor in Uveal Melanoma
Abstract
1. Introduction
2. Materials and Methods
2.1. Immunohistochemistry
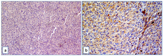
2.2. Evaluation of Immunohistochemistry
2.3. Statistical Analysis
3. Results
3.1. Clinico-Pathological Characteristic of Uveal Melanomas
3.2. Correlations between ABCB5 Expression and Clinico-Pathological Factors in Uveal Melanomas
4. Discussion
Author Contributions
Funding
Conflicts of Interest
References
- Mahendraraj, K.; Lau, C.S.; Lee, I.; Chamberlain, R.S. Trends in incidence, survival, and management of uveal melanoma: A population-based study of 7516 patients from the surveillance, epidemiology, and end results database (1973–2012). Clin. Ophthalmol. 2016, 10, 2113–2119. [Google Scholar] [CrossRef] [PubMed]
- Pukrushpan, P.; Tulvatana, W.; Pittayapongpat, R. Congenital uveal malignant melanoma. J. Am. Assoc. Pediatr. Ophthalmol. Strabismus 2014, 18, 199–201. [Google Scholar] [CrossRef] [PubMed]
- Gray, M.E.; Shaikh, A.H.; Corrêa, Z.M.; Augsburger, J.J. Primary uveal melanoma in a 4-year-old black child. J. Am. Assoc. Pediatr. Ophthalmol. Strabismus 2013, 17, 551–553. [Google Scholar] [CrossRef] [PubMed]
- Krantz, B.A.; Dave, N.; Komatsubara, K.M.; Marr, B.P.; Carvajal, R.D. Uveal melanoma: Epidemiology, etiology, and treatment of primary disease. Clin. Ophthalmol. 2017, 11, 279–289. [Google Scholar] [CrossRef] [PubMed]
- Eskelin, S.; Kivelä, T. Mode of presentation and time to treatment of uveal melanoma in Finland. Br. J. Ophthalmol. 2002, 86, 333–338. [Google Scholar] [CrossRef] [PubMed]
- Griewank, K.G.; van de Nes, J.; Schilling, B.; Moll, I.; Sucker, A.; Kakavand, H.; Haydu, L.E.; Asher, M.; Zimmer, L.; Hillen, U.; et al. Genetic and clinico-pathologic analysis of metastatic uveal melanoma. Mod. Pathol. 2014, 27, 175–183. [Google Scholar] [CrossRef]
- Jovanovic, P.; Mihajlovic, M.; Djordjevic-Jocic, J.; Vlajkovic, S.; Cekic, S.; Stefanovic, V. Ocular melanoma: An overview of the current status. Int. J. Clin. Exp. Pathol. 2013, 6, 1230–1244. [Google Scholar]
- Chattopadhyay, C.; Kim, D.W.; Gombos, D.S.; Oba, J.; Qin, Y.; Williams, M.D.; Esmaeli, B.; Grimm, E.A.; Wargo, J.A.; Woodman, S.E.; et al. Uveal melanoma: From diagnosis to treatment and the science in between. Cancer 2016, 122, 2299–2312. [Google Scholar] [CrossRef]
- Frank, N.Y.; Margaryan, A.; Huang, Y.; Schatton, T.; Waaga-Gasser, A.M.; Gasser, M.; Sayegh, M.H.; Sadee, W.; Frank, M.H. ABCB5-mediated doxorubicin transport chemoresistance in human malignant melanoma. Cancer Res. 2005, 65, 4320–4333. [Google Scholar] [CrossRef]
- Cheung, S.T.; Cheung, P.F.; Cheng, C.K.; Wong, N.C.; Fan, S.T. Granulin-epithelin precursor and ATP-dependent binding cassette (ABC)B5 regulate liver cancer cell chemoresistance. Gastroenterology 2011, 140, 344–355. [Google Scholar] [CrossRef]
- Wilson, B.J.; Schatton, T.; Zhan, Q.; Gasser, M.; Ma, J.; Saab, K.R.; Schanche, R.; Waaga-Gasser, A.M.; Gold, J.S.; Huang, Q.; et al. ABCB5 identifies a therapy-refractory tumor cell population in colorectal cancer patients. Cancer Res. 2011, 71, 5307–5316. [Google Scholar] [CrossRef]
- Kleffel, S.; Lee, N.; Lezcano, C.; Wilson, B.J.; Sobolewski, K.; Saab, K.R.; Mueller, H.; Zhan, Q.; Posch, C.; Elco, C.P.; et al. ABCB5-targeted chemoresistance reversal inhibits merkel cell carcinoma growth. J. Invest Dermatol. 2016, 136, 838–846. [Google Scholar] [CrossRef]
- Wilson, B.J.; Saab, K.R.; Ma, J.; Schatton, T.; Pütz, P.; Zhan, Q.; Murphy, G.F.; Gasser, M.; Waaga-Gasser, A.M.; Frank, N.Y.; et al. ABCB5 maintains melanoma-initiating cells through a proinflammatory cytokine signaling circuit. Cancer Res. 2014, 74, 4196–4207. [Google Scholar] [CrossRef] [PubMed]
- Cheung, P.F.; Cheung, T.T.; Yip, C.W.; Ng, L.W.; Fung, S.W.; Lo, C.M.; Fan, S.T.; Cheung, S.T. Hepatic cancer stem cell marker granulin-epithelin precursor and β-catenin expression associate with recurrence in hepatocellular carcinoma. Oncotarget 2016, 7, 21644–21657. [Google Scholar] [CrossRef]
- Yao, J.; Yao, X.; Tian, T.; Fu, X.; Wang, W.; Li, S.; Shi, T.; Suo, A.; Ruan, Z.; Guo, H.; et al. ABCB5-ZEB1 axis promotes invasion and metastasis in breast cancer cells. Oncol. Res. 2017, 25, 305–316. [Google Scholar] [CrossRef]
- Guo, Q.; Grimmig, T.; Gonzalez, G.; Giobbie-Hurder, A.; Berg, G.; Carr, N.; Wilson, B.J.; Banerjee, P.; Ma, J.; Gold, J.S.; et al. ATP-binding cassette member B5 (ABCB5) promotes tumor cell invasiveness in human colorectal cancer. J. Biol. Chem. 2018, 293, 11166–11178. [Google Scholar] [CrossRef]
- Wang, S.; Tang, L.; Lin, J.; Shen, Z.; Yao, Y.; Wang, W.; Tao, S.; Gu, C.; Ma, J.; Xie, Y.; et al. ABCB5 promotes melanoma metastasis through enhancing NF-κB p65 protein stability. Biochem. Biophys. Res. Commun. 2017, 492, 18–26. [Google Scholar] [CrossRef] [PubMed]
- Leonardi, R.; Loreto, C.; Talic, N.; Caltabiano, R.; Musumeci, G. Immunolocalization of lubricin in the rat periodontal ligament during experimental tooth movement. Acta Histochem. 2012, 114, 700–704. [Google Scholar] [CrossRef] [PubMed]
- Caltabiano, R.; Puzzo, L.; Barresi, V.; Ieni, A.; Loreto, C.; Musumeci, G.; Castrogiovanni, P.; Ragusa, M.; Foti, P.; Russo, A.; et al. ADAM 10 expression in primaryuveal melanoma asprognostic factor for risk of metastasis. Pathol. Res. Pract. 2016, 212, 980–987. [Google Scholar] [CrossRef]
- Pereira, P.R.; Odashiro, A.N.; Lim, L.A.; Miyamoto, C.; Blanco, P.L.; Odashiro, M.; Maloney, S.; de Souza, D.F.; Burnier, M.N., Jr. Current and emerging treatment options for uveal melanoma. Clin. Ophthalmol. 2013, 7, 1669–1682. [Google Scholar] [CrossRef] [PubMed]
- Prescher, G.; Bornfeld, N.; Hirche, H.; Horsthemke, B.; Jöckel, K.H.; Becher, R. Prognostic implications of monosomy 3 in uveal melanoma. Lancet 1996, 347, 1222–1225. [Google Scholar] [PubMed]
- Harbour, J.W.; Onken, M.D.; Roberson, E.D.; Duan, S.; Cao, L.; Worley, L.A.; Council, M.L.; Matatall, K.A.; Helms, C.; Bowcock, A.M. Frequent mutation of BAP1 in metastasizing uveal melanomas. Science 2010, 330, 1410–1413. [Google Scholar] [CrossRef] [PubMed]
- Szalai, E.; Wells, J.R.; Ward, L.; Grossniklaus, H.E. Uveal melanoma nuclear BRCA1-associated protein-1 immunoreactivity is an indicator of metastasis. Ophthalmology 2018, 125, 203–209. [Google Scholar] [CrossRef]
- Djirackor, L.; Shakir, D.; Kalirai, H.; Petrovski, G.; Coupland, S.E. Nestin expression in primary and metastatic uveal melanoma—Possible biomarker for high risk uveal melanoma. Acta Ophthalmol. 2018, 96, 503–509. [Google Scholar] [CrossRef] [PubMed]
- Caltabiano, R.; Puzzo, L.; Barresi, V.; Cardile, V.; Loreto, C.; Ragusa, M.; Russo, A.; Reibaldi, M.; Longo, A. Expression of raf kinase inhibitor protein (RKIP) is a predictor of uveal melanoma metastasis. Histol. Histopathol. 2014, 29, 1325–1334. [Google Scholar] [PubMed]
- Kessenbrock, K.; Plaks, V.; Werb, Z. Matrix metalloproteinases: Regulators of the tumor microenvironment. Cell 2010, 141, 52–67. [Google Scholar] [CrossRef] [PubMed]




| Sex | Age (Yrs) | Location | Thickness (mm) | Largest Diameter (mm) | Cell Type | Pathological T Stage | DFS (Months) | Follow-up (Months) | ABCB5 | |||
|---|---|---|---|---|---|---|---|---|---|---|---|---|
| IS | ES | IRS | ||||||||||
| F | 29 | Ch | 14.2 | 16.2 | mixed | pT2a | 138 | 138 | 0 | 0 | 0 | L |
| F | 83 | Ch/CB | 14.84 | 16.8 | mixed | pT2b | 123 | 123 | 2 | 3 | 6 | H |
| F | 55 | Ch | 9.8 | 13.9 | spindle | pT2a | 122 | 122 | 1 | 3 | 3 | L |
| F | 30 | Ch/CB | 12.05 | 9.2 | spindle | pT2b | 122 | 122 | 0 | 0 | 6 | H |
| M | 74 | Ch/CB | 10.04 | 16.1 | spindle | pT2b | 121 | 121 | 2 | 3 | 2 | L |
| M | 64 | Ch | 7.7 | 11.5 | spindle | pT1a | 112 | 112 | 1 | 2 | 2 | L |
| F | 36 | Ch | 5.81 | 12.7 | spindle | pT1a | 109 | 109 | 2 | 3 | 6 | H |
| F | 59 | Ch | 8.4 | 16.7 | mixed | pT2a | 108 | 108 | 1 | 1 | 1 | L |
| M | 36 | Ch | 6.47 | 9.8 | mixed | pT1a | 108 | 108 | 2 | 2 | 4 | L |
| M | 84 | Ch/CB | 11.9 | 14.8 | mixed | pT2b | 106 | 106 | 3 | 3 | 9 | H |
| F | 67 | Ch | 10.42 | 13.02 | mixed | pT3a | 105 | 105 | 0 | 0 | 0 | L |
| M | 73 | Ch | 9.7 | 11.3 | mixed | pT2a | 102 | 102 | 2 | 3 | 6 | H |
| F | 45 | Ch | 13.7 | 10.2 | mixed | pT2a | 96 | 96 | 2 | 3 | 6 | H |
| M | 58 | Ch | 13.1 | 14.3 | mixed | pT2a | 96 | 96 | 1 | 2 | 2 | L |
| M | 63 | Ch | 3.3 | 11.7 | spindle | pT2a | 85 | 85 | 3 | 3 | 9 | H |
| M | 54 | Ch | 6.32 | 10 | spindle | pT2a | 83 | 83 | 2 | 2 | 4 | L |
| F | 84 | Ch | 11.7 | 17.4 | mixed | pT3a | 78 | 78 | 2 | 1 | 2 | L |
| M | 73 | Ch | 9.24 | 17.7 | epith | pT2a | 72 | 72 | 1 | 2 | 2 | L |
| M | 83 | Ch | 10.62 | 9.4 | epith | pT3a | 72 | 72 | 0 | 0 | 0 | L |
| F | 71 | Ch | 3.68 | 6.4 | epith | pT1a | 71 | 71 | 1 | 1 | 1 | L |
| M | 55 | Ch/CB | 7.5 | 8.9 | epith | pT2b | 61 | 61 | 1 | 3 | 9 | H |
| M | 52 | Ch | 9.2 | 12.1 | spindle | pT2b | 60 | 60 | 0 | 0 | 0 | L |
| M | 46 | Ch | 8.76 | 11.3 | spindle | pT2a | 54 | 54 | 0 | 0 | 6 | H |
| F | 76 | Ch | 8.02 | 10.7 | mixed | pT1a | 48 | 48 | 1 | 2 | 2 | L |
| F | 63 | Ch | 10.3 | 13.7 | mixed | pT2a | 42 | 42 | 0 | 0 | 0 | L |
| F | 41 | Ch | 5.85 | 10.3 | mixed | pT1a | 42 | 42 | 1 | 1 | 1 | L |
| F | 55 | Ch | 3.2 | 7.6 | mixed | pT2a | 24 | 24 | 2 | 3 | 6 | H |
| F | 74 | Ch | 8.6 | 10.2 | mixed | pT4b | 24 | 24 | 3 | 3 | 9 | H |
| M | 68 | Ch/CB | 10.1 | 10.1 | epith | pT1b | 24 | 24 | 2 | 3 | 6 | H |
| M | 74 | Ch/CB | 14.45 | 17.5 | epith | pT4b | 18 | 18 | 0 | 0 | 0 | L |
| M | 70 | Ch/CB | 16.27 | 20.8 | spindle | pT4b | 12 | 12 | 1 | 3 | 3 | L |
| M | 66 | Ch | 9.2 | 14.1 | mixed | pT3a | 12 | 12 | 2 | 3 | 6 | H |
| Sex | Age (Yrs) | Location | Thickness (mm) | Largest Diameter (mm) | Cell Type | Pathological T Stage | DFS (Months) | Follow-up (Months) | ABCB5 | |||
|---|---|---|---|---|---|---|---|---|---|---|---|---|
| IS | ES | IRS | ||||||||||
| F | 58 | Ch | 6.04 | 17.8 | mixed | pT2a | 63 | 64 (†) | 1 | 4 | 0 | L |
| M | 69 | Ch | 7.21 | 15.8 | mixed | pT2a | 54 | 81 (†) | 0 | 0 | 0 | L |
| F | 75 | Ch/CB | 15.5 | 15.3 | mixed | pT3b | 44 | 62 (†) | 2 | 2 | 6 | H |
| F | 50 | Ch | 7.36 | 15.6 | epith | pT2a | 41 | 81 | 3 | 3 | 9 | H |
| M | 62 | Ch | 13.68 | 16 | mixed | pT3a | 38 | 51 (†) | 1 | 2 | 2 | L |
| F | 51 | Ch/CB | 11.4 | 18.5 | mixed | pT3b | 38 | 61 | 1 | 1 | 1 | L |
| M | 71 | Ch | 13.14 | 17.1 | epith | pT3a | 33 | 34 (†) | 2 | 3 | 2 | L |
| M | 76 | Ch/CB | 11.6 | 6.5 | mixed | pT1a | 31 | 39 | 2 | 3 | 6 | H |
| M | 72 | Ch | 10.3 | 15.4 | mixed | pT3b | 27 | 35 (†) | 1 | 2 | 2 | L |
| F | 85 | Ch/CB | 7.3 | 14.7 | spindle | pT2d (EE) | 26 | 49 (†) | 1 | 2 | 2 | L |
| M | 73 | Ch | 5.73 | 11.7 | epith | pT2a | 26 | 42 (†) | 3 | 3 | 9 | H |
| F | 51 | Ch | 9.42 | 19 | mixed | pT3a | 25 | 39 | 3 | 3 | 9 | H |
| F | 74 | Ch | 5.7 | 12.1 | spindle | pT2a | 24 | 37 (†) | 3 | 3 | 9 | H |
| F | 67 | Ch | 3.49 | 20 | mixed | pT4a | 24 | 31 (†) | 1 | 2 | 2 | L |
| M | 74 | Ch | 11.35 | 10.5 | epith | pT3a | 19 | 47 | 3 | 3 | 9 | H |
| M | 82 | Ch | 9.7 | 11 | epith | pT2a | 19 | 42 | 3 | 3 | 9 | H |
| F | 72 | Ch | 6.7 | 15.2 | epith | pT2a | 14 | 28 (†) | 2 | 3 | 12 | H |
| M | 76 | Ch | 13.7 | 17.1 | mixed | pT2a | 14 | 70 | 3 | 3 | 9 | H |
| M | 79 | Ch | 13.91 | 16.1 | epith | pT3b | 13 | 38 | 1 | 2 | 2 | L |
| F | 66 | Ch/CB | 8.95 | 12.5 | mixed | pT2b | 12 | 37 (†) | 3 | 4 | 12 | H |
| F | 60 | Ch | 8.25 | 16.5 | epith | pT2a | 11 | 37 (†) | 3 | 3 | 9 | H |
| F | 57 | Ch/CB | 13.6 | 19 | epith | pT2b | 6 | 55 | 2 | 2 | 12 | H |
| M | 72 | Ch/CB | 13.3 | 15.4 | mixed | pT3b | 0 | 51 | 3 | 4 | 12 | H |
| Sex (m-f) | Age (yrs) | Location | Thickness | Largest diameter | Cell type | Extrascleral extension | Pathological T stage | DFS (months) | Follow-up (months) | ABCB5 | |
|---|---|---|---|---|---|---|---|---|---|---|---|
| All (n=55) | 28-27 | 67 (29-85) | Ch 40 Ch/ CB 15 | 9.7 (3.2-16.3) | 14.1 (6.4-20.8) | Epith: 15 Spindle: 12 Mixed: 28 | No: 54 Yes: 1 | pT1a: 7 pT1b: 1 pT2a: 21 pT2b: 8 pT2d: 1 pT3a: 8 pT3b: 5 pT4a: 1 pT4b: 3 | 42 (0-138) | 60 (8-138) | 4 (0-12) |
| Metastasis free (n=32) | 17-15 | 64 (29-84) | Ch 24 Ch/ CB 8 | 9.5 (3.2-16.3) | 11.9 (6.4-20.8) | Epith: 6 Spindle: 10 Mixed: 16 | No: 32 | pT1a: 6 pT1b: 1 pT2a: 12 pT2b: 6 pT3a: 4 pT4b: 3 | 81 (12-138) | 81 (8-138) | 3 (0-9) |
| Metastasis (n=23) | 11-12 | 72 (50-85) | Ch 16 Ch/ CB 7 | 9.7 (3.5-15.5) | 15.6 (6.5-20) | Epith: 9 Spindle: 2 Mixed: 12 | No: 22 Yes: 1 | pT1a: 1 pT2a: 9 pT2b: 2 pT2d: 1 pT3a: 4 pT3b: 5 pT4a: 1 | 25 (0-63) | 42 13 death (28-81) | 9 (0-12) |
| p (metastasis free vs metastasis) | 0.400* | 0.762° | 0.911* | 0.007* | 0.400* | 0.418° | 0.560* | <0.001* | 0.001* | 0.030* |
- * Kolmogorov-Smirnov test
- ° Fisher’s exact test
| Metastasis (n=23) | Metastasis free (n=32) | |
|---|---|---|
| Low | 10 (43.5%) * | 18 (56.3%) |
| High | 13 (56.5%) | 14 (43.8%) |
© 2019 by the authors. Licensee MDPI, Basel, Switzerland. This article is an open access article distributed under the terms and conditions of the Creative Commons Attribution (CC BY) license (http://creativecommons.org/licenses/by/4.0/).
Share and Cite
Broggi, G.; Musumeci, G.; Puzzo, L.; Russo, A.; Reibaldi, M.; Ragusa, M.; Longo, A.; Caltabiano, R. Immunohistochemical Expression of ABCB5 as a Potential Prognostic Factor in Uveal Melanoma. Appl. Sci. 2019, 9, 1316. https://doi.org/10.3390/app9071316
Broggi G, Musumeci G, Puzzo L, Russo A, Reibaldi M, Ragusa M, Longo A, Caltabiano R. Immunohistochemical Expression of ABCB5 as a Potential Prognostic Factor in Uveal Melanoma. Applied Sciences. 2019; 9(7):1316. https://doi.org/10.3390/app9071316
Chicago/Turabian StyleBroggi, Giuseppe, Giuseppe Musumeci, Lidia Puzzo, Andrea Russo, Michele Reibaldi, Marco Ragusa, Antonio Longo, and Rosario Caltabiano. 2019. "Immunohistochemical Expression of ABCB5 as a Potential Prognostic Factor in Uveal Melanoma" Applied Sciences 9, no. 7: 1316. https://doi.org/10.3390/app9071316
APA StyleBroggi, G., Musumeci, G., Puzzo, L., Russo, A., Reibaldi, M., Ragusa, M., Longo, A., & Caltabiano, R. (2019). Immunohistochemical Expression of ABCB5 as a Potential Prognostic Factor in Uveal Melanoma. Applied Sciences, 9(7), 1316. https://doi.org/10.3390/app9071316

