Polarization Sensitive Optical Coherence Tomography: A Review of Technology and Applications
Abstract
:1. Introduction
2. Principles of Light Polarization and PS-OCT
2.1. Polarization of Light
2.2. Polarization Effects
- Preserved polarization. Many optical components and materials do not (or only negligibly) change the polarization state of light traversing them, i.e., and . Their interaction can be described by and .
- Birefringence. In birefringent media, differently oriented polarization states experience different speeds of light. When these basis polarizations are orthogonal linear polarizations (as in Figure 2a along the x- and y-axes), the effect is referred to as linear birefringence. Birefringence may also be circular or elliptical for respective different bases (eigenvectors); in this review, however, we restrict our discussion to linear birefringence. Linear birefringence occurs for instance in retarders such as wave plates, in crystals, and in many tissues with an oriented (e.g., fibrous) microstructure. Birefringence—i.e., the difference Δn of the refractive indices along the two axes–produces a phase retardation δ, which is proportional to the length L of the retarder, δ = Δn·L. The retardation δ of a quarter wave plate (QWP) for example amounts to 90° (π/2 rad). If aligned with its slow and fast axes at 45° with respect to the x- and y-axes, the QWP would render a horizontal or vertical linear state into a circular polarization state (Figure 2a, center). The Jones matrix of a retarder with a retardation δ and aligned with an orientation ϑ = 0 is represented byIf an optical element such as a retarder is rotated by an angle ϑ, its Jones matrix is transformed into where is a rotation matrix. In Stokes-Müller formalism, the propagation of light through birefringent tissue is represented by a circular rotation of the Stokes vector tip on the Poincaré sphere. PS-OCT approaches based on Jones calculus or Stokes-Müller formalism enable depth-resolved measurements of phase retardation and of birefringent axis orientation [8,13,14,15,16].
- Diattenuation. Diattenuation (or dichroism) refers to a polarization dependent attenuation in an optical medium. When the axes of a diattenuating optical element or structure are aligned with the x- and y-direction, its Jones matrix is represented bywhere and correspond to the respective signal attenuation with attenuation coefficients µa and the length L. Similar to the linear birefringence, the Jones matrix for a diattenuating element oriented at ϑ can be computed by sandwiching Equation (2) by rotation matrices. An extreme case of a diattenuating element with and is a linear polarizer which only transmits light along axis 1. It should be noted that diattenuation in biological tissue is usually very weak and thus is often assumed negligible for PS-OCT [16,17], although attempts have been made to quantify diattenuation using PS-OCT [15,17,18].
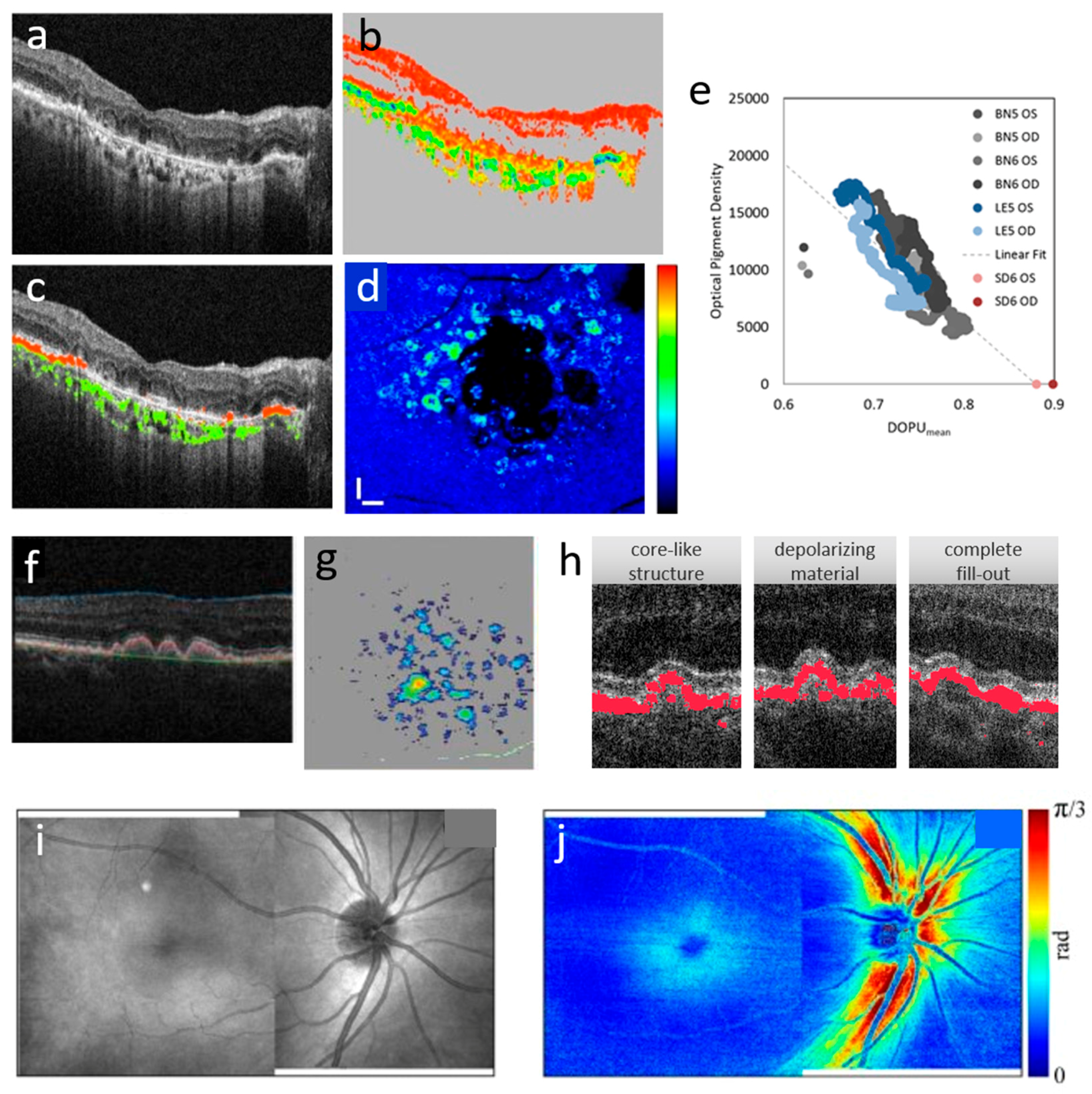
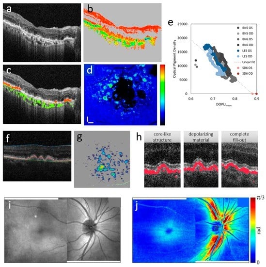
- Depolarization. Depolarization or polarization scrambling refers to a more or less random change of the incident polarization state at spatially adjacent sample locations. Using Stokes–Müller polarimetry, depolarization can be described by the DOP discussed in Section 2.1. However, owing to the coherent detection in OCT, DOP will always equal unity in any pixel of a PS-OCT dataset [9]. Therefore, in order to analyze polarization scrambling using PS-OCT, the randomization of polarization states among neighboring speckles is investigated [19,20]. The Stokes vectors of adjacent speckles will be more or less parallel in polarization preserving or weakly birefringent media, while they will point in different directions in depolarizing media (Figure 3a). For the purpose of depolarization assessment, the average Stokes vector can be calculated within a small kernel including several speckles (Figure 3b). Typical kernel sizes for this calculation are on the order of ~100 pixels spanning 2–3 times the axial resolution in depth and 2–3 times the transverse resolution laterally [20]. Note also that pixels with low reflectivity (i.e., less than several decibels above the noise floor) are usually excluded from the analysis. The length of the average normalized Stokes vector is referred to as the degree of polarization uniformity (DOPU) [20]:where the overbar indicates the ensemble average and denotes the average Stokes vector length for normalization. As shown in Figure 3b, DOPU or the average Stokes vector length will be close to unity in polarization preserving tissue, while it will be lower in the case of polarization scrambling where the orientation of the Stokes vectors is more diverse. In DOPU images, DOPU values at every spatial coordinate are color-coded. Recently, advanced depolarization measures have been developed including DOPU with noise floor normalization [21], spectral DOPU [22], the depolarization index independent of the incident polarization state [23], and the differential depolarization index providing a larger dynamic range for depolarization mapping [24]. Different mechanisms can cause polarization scrambling, and the actual cause of depolarization observed in DOPU images has not always been completely clarified. In biological tissues, depolarization can be caused by multiple scattering or by scattering at non-spherical particles such as melanin granules [25]. Since the strength of depolarization is proportional to the concentration of polarization scrambling scatterers, depolarization measures such as DOPU may for instance enable a quantitative assessment of the melanin concentration in ocular tissues [26].
2.3. Brief Basics of OCT
2.4. Technical Approaches to PS-OCT
2.4.1. PS-OCT with a Single Circular Input State
2.4.2. PS-OCT Based on Multiple Input States
2.5. Recent Advances in PS-OCT Technology
3. PS-OCT Applications
3.1. PS-OCT in the Eye
3.2. PS-OCT in Skin and Oropharyngeal Tissue
3.3. PS-OCT in Cancerous Tissue
3.4. PS-OCT in Muscles, Tendons, Cartilage, and Bone
3.5. PS-OCT in Vessels and Cardiac Tissue
3.6. PS-OCT in Teeth
3.7. PS-OCT in Nerves and Brain
3.8. Other Applications of PS-OCT
4. Conclusions
Acknowledgments
Conflicts of Interest
References
- Huang, D.; Swanson, E.A.; Lin, C.P.; Schuman, J.S.; Stinson, W.G.; Chang, W.; Hee, M.R.; Flotte, T.; Gregory, K.; Puliafito, C.A.; et al. Optical coherence tomography. Science 1991, 254, 1178–1181. [Google Scholar] [CrossRef] [PubMed]
- Drexler, W.; Fujimoto, J.G. Optical Coherence Tomography Technology and Applications; Springer: Berlin/Heidelberg, Germany; New York, NY, USA, 2008. [Google Scholar]
- Fercher, A.F. Optical coherence tomography—Development, principles, applications. Zeitschrift Fur Medizinische Physik 2010, 20, 251–276. [Google Scholar] [CrossRef] [PubMed]
- Fercher, A.F.; Mengedoht, K.; Werner, W. Eye-length measurement by interferometry with partially coherent light. Opt. Lett. 1988, 13, 1867–1869. [Google Scholar] [CrossRef]
- Fercher, A.F.; Hitzenberger, C.K.; Kamp, G.; Elzaiat, S.Y. Measurement of intraocular distances by backscattering spectral interferometry. Opt. Commun. 1995, 117, 43–48. [Google Scholar] [CrossRef]
- Drexler, W.; Liu, M.; Kumar, A.; Kamali, T.; Unterhuber, A.; Leitgeb, R.A. Optical coherence tomography today: Speed, contrast, and multimodality. J. Biomed. Opt. 2014, 19, 071412. [Google Scholar] [CrossRef] [PubMed]
- Tuchin, V.V. Polarized light interaction with tissues. J. Biomed. Opt. 2016, 21, 071114. [Google Scholar] [CrossRef] [PubMed]
- De Boer, J.F.; Milner, T.E.; van Gemert, M.J.C.; Nelson, J.S. Two-dimensional birefringence imaging in biological tissue by polarization-sensitive optical coherence tomography. Opt. Lett. 1997, 22, 934–936. [Google Scholar] [CrossRef] [PubMed]
- De Boer, J.F.; Milner, T.E. Review of polarization sensitive optical coherence tomography and Stokes vector determination. J. Biomed. Opt. 2002, 7, 359–371. [Google Scholar] [CrossRef] [PubMed]
- De Boer, J.F.; Hitzenberger, C.K.; Yasuno, Y. Polarization sensitive optical coherence tomography—A review. Biomed. Opt. Express 2017, 8, 1838–1873. [Google Scholar] [CrossRef]
- Jones, R.C. A new calculus for the treatment of optical systemsi. Description and discussion of the calculus. J. Opt. Soc. Am. 1941, 31, 488–493. [Google Scholar] [CrossRef]
- Bickel, W.S.; Bailey, W.M. Stokes vectors, Mueller matrices, and polarized scattered light. Am. J. Phys. 1985, 53, 468–478. [Google Scholar] [CrossRef]
- Hee, M.R.; Huang, D.; Swanson, E.A.; Fujimoto, J.G. Polarization-sensitive low-coherence reflectometer for birefringence characterization and ranging. J. Opt. Soc. Am. B 1992, 9, 903–908. [Google Scholar] [CrossRef]
- Hitzenberger, C.K.; Gotzinger, E.; Sticker, M.; Pircher, M.; Fercher, A.F. Measurement and imaging of birefringence and optic axis orientation by phase resolved polarization sensitive optical coherence tomography. Opt. Express 2001, 9, 780–790. [Google Scholar] [CrossRef] [PubMed]
- Park, B.H.; Pierce, M.C.; Cense, B.; de Boer, J.F. Jones matrix analysis for a polarization-sensitive optical coherence tomography system using fiber-optic components. Opt. Lett. 2004, 29, 2512–2514. [Google Scholar] [CrossRef] [PubMed]
- Makita, S.; Yamanari, M.; Yasuno, Y. Generalized Jones matrix optical coherence tomography: Performance and local birefringence imaging. Opt. Express 2010, 18, 854–876. [Google Scholar] [CrossRef] [PubMed]
- Todorovic, M.; Jiao, S.; Wang, L.V.; Stoica, G. Determination of local polarization properties of biological samples in the presence of diattenuation by use of Mueller optical coherence tomography. Opt. Lett. 2004, 29, 2402–2404. [Google Scholar] [CrossRef] [PubMed]
- Braaf, B.; Vermeer, K.A.; de Groot, M.; Vienola, K.V.; de Boer, J.F. Fiber-based polarization-sensitive OCT of the human retina with correction of system polarization distortions. Biomed. Opt. Express 2014, 5, 2736–2758. [Google Scholar] [CrossRef] [PubMed]
- Adie, S.G.; Hillman, T.R.; Sampson, D.D. Detection of multiple scattering in optical coherence tomography using the spatial distribution of Stokes vectors. Opt. Express 2007, 15, 18033–18049. [Google Scholar] [CrossRef] [PubMed]
- Gotzinger, E.; Pircher, M.; Geitzenauer, W.; Ahlers, C.; Baumann, B.; Michels, S.; Schmidt-Erfurth, U.; Hitzenberger, C.K. Retinal pigment epithelium segmentation by polarization sensitive optical coherence tomography. Opt. Express 2008, 16, 16410–16422. [Google Scholar] [CrossRef] [PubMed]
- Makita, S.; Hong, Y.-J.; Miura, M.; Yasuno, Y. Degree of polarization uniformity with high noise immunity using polarization-sensitive optical coherence tomography. Opt. Lett. 2014, 39, 6783–6786. [Google Scholar] [CrossRef] [PubMed]
- Baumann, B.; Zotter, S.; Pircher, M.; Götzinger, E.; Rauscher, S.; Glösmann, M.; Lammer, J.; Schmidt-Erfurth, U.; Gröger, M.; Hitzenberger, C.K. Spectral degree of polarization uniformity for polarization-sensitive OCT. J. Mod. Opt. 2015, 62, 1758–1763. [Google Scholar] [CrossRef] [PubMed]
- Lippok, N.; Villiger, M.; Bouma, B.E. Degree of polarization (uniformity) and depolarization index: Unambiguous depolarization contrast for optical coherence tomography. Opt. Lett. 2015, 40, 3954–3957. [Google Scholar] [CrossRef] [PubMed]
- Ortega-Quijano, N.; Marvdashti, T.; Bowden, A.K.E. Enhanced depolarization contrast in polarization-sensitive optical coherence tomography. Opt. Lett. 2016, 41, 2350–2353. [Google Scholar] [CrossRef] [PubMed]
- Baumann, B.; Baumann, S.O.; Konegger, T.; Pircher, M.; Götzinger, E.; Schlanitz, F.; Schütze, C.; Sattmann, H.; Litschauer, M.; Schmidt-Erfurth, U.; et al. Polarization sensitive optical coherence tomography of melanin provides intrinsic contrast based on depolarization. Biomed. Opt. Express 2012, 3, 1670–1683. [Google Scholar] [CrossRef] [PubMed]
- Baumann, B.; Schirmer, J.; Rauscher, S.; Fialová, S.; Glösmann, M.; Augustin, M.; Pircher, M.; Gröger, M.; Hitzenberger, C.K. Melanin pigmentation in rat eyes: In vivo imaging by polarization-sensitive optical coherence tomography and comparison to histology. Investig. Ophthalmol. Vis. Sci. 2015, 56, 7462–7472. [Google Scholar] [CrossRef] [PubMed]
- Zhang, E.Z.; Oh, W.-Y.; Villiger, M.L.; Chen, L.; Bouma, B.E.; Vakoc, B.J. Numerical compensation of system polarization mode dispersion in polarization-sensitive optical coherence tomography. Opt. Express 2013, 21, 1163–1180. [Google Scholar] [CrossRef] [PubMed]
- Villiger, M.; Zhang, E.Z.; Nadkarni, S.; Oh, W.-Y.; Bouma, B.E.; Vakoc, B.J. Artifacts in polarization-sensitive optical coherence tomography caused by polarization mode dispersion. Opt. Lett. 2013, 38, 923–925. [Google Scholar] [CrossRef] [PubMed]
- Villiger, M.; Zhang, E.Z.; Nadkarni, S.K.; Oh, W.-Y.; Vakoc, B.J.; Bouma, B.E. Spectral binning for mitigation of polarization mode dispersion artifacts in catheter-based optical frequency domain imaging. Opt. Express 2013, 21, 16353–16369. [Google Scholar] [CrossRef] [PubMed]
- Ju, M.J.; Hong, Y.-J.; Makita, S.; Lim, Y.; Kurokawa, K.; Duan, L.; Miura, M.; Tang, S.; Yasuno, Y. Advanced multi-contrast Jones matrix optical coherence tomography for Doppler and polarization sensitive imaging. Opt. Express 2013, 21, 19412–19436. [Google Scholar] [CrossRef] [PubMed]
- Wojtkowski, M.; Leitgeb, R.; Kowalczyk, A.; Bajraszewski, T.; Fercher, A.F. In vivo human retinal imaging by Fourier domain optical coherence tomography. J. Biomed. Opt. 2002, 7, 457–463. [Google Scholar] [CrossRef] [PubMed]
- Kiseleva, E.; Kirillin, M.; Feldchtein, F.; Vitkin, A.; Sergeeva, E.; Zagaynova, E.; Streltzova, O.; Shakhov, B.; Gubarkova, E.; Gladkova, N. Differential diagnosis of human bladder mucosa pathologies in vivo with cross-polarization optical coherence tomography. Biomed. Opt. Express 2015, 6, 1464–1476. [Google Scholar] [CrossRef] [PubMed]
- Gubarkova, E.V.; Kirillin, M.Y.; Dudenkova, V.V.; Timashev, P.S.; Kotova, S.L.; Kiseleva, E.B.; Timofeeva, L.B.; Belkova, G.V.; Solovieva, A.B.; Moiseev, A.A.; et al. Quantitative evaluation of atherosclerotic plaques using cross-polarization optical coherence tomography, nonlinear, and atomic force microscopy. J. Biomed. Opt. 2016, 21, 126010. [Google Scholar] [CrossRef] [PubMed]
- Liu, B.; Harman, M.; Giattina, S.; Stamper, D.L.; Demakis, C.; Chilek, M.; Raby, S.; Brezinski, M.E. Characterizing of tissue microstructure with single-detector polarization-sensitive optical coherence tomography. Appl. Opt. 2006, 45, 4464–4479. [Google Scholar] [CrossRef] [PubMed]
- Jiao, S.; Wang, L.V. Two-dimensional depth-resolved Mueller matrix of biological tissue measured with double-beam polarization-sensitive optical coherence tomography. Opt. Lett. 2002, 27, 101–103. [Google Scholar] [CrossRef] [PubMed]
- Jiao, S.; Yao, G.; Wang, L.V. Depth-resolved two-dimensional Stokes vectors of backscattered light and Mueller matrices of biological tissue measured with optical coherence tomography. Appl. Opt. 2000, 39, 6318–6324. [Google Scholar] [CrossRef] [PubMed]
- Jiao, S.; Yu, W.; Stoica, G.; Wang, L.V. Optical-fiber-based Mueller optical coherence tomography. Opt. Lett. 2003, 28, 1206–1208. [Google Scholar] [CrossRef] [PubMed]
- Villiger, M.; Bouma, B.E. Practical decomposition for physically admissible differential Mueller matrices. Opt. Lett. 2014, 39, 1779–1782. [Google Scholar] [CrossRef] [PubMed]
- Everett, M.J.; Schoenenberger, K.; Colston, B.W., Jr.; Da Silva, L.B. Birefringence characterization of biological tissue by use of optical coherence tomography. Opt. Lett. 1998, 23, 228–230. [Google Scholar] [CrossRef] [PubMed]
- Pircher, M.; Goetzinger, E.; Leitgeb, R.; Hitzenberger, C.K. Transversal phase resolved polarization sensitive optical coherence tomography. Phys. Med. Biol. 2004, 49, 1257–1263. [Google Scholar] [CrossRef] [PubMed]
- Götzinger, E.; Pircher, M.; Hitzenberger, C.K. High speed spectral domain polarization sensitive optical coherence tomography of the human retina. Opt. Express 2005, 13, 10217–10229. [Google Scholar] [CrossRef] [PubMed]
- Schmoll, T.; Gotzinger, E.; Pircher, M.; Hitzenberger, C.K.; Leitgeb, R.A. Single-camera polarization-sensitive spectral-domain OCT by spatial frequency encoding. Opt. Lett. 2010, 35, 241–243. [Google Scholar] [CrossRef] [PubMed]
- Fan, C.; Yao, G. Mapping local optical axis in birefringent samples using polarization-sensitive optical coherence tomography. J. Biomed. Opt. 2012, 17, 110501. [Google Scholar] [CrossRef] [PubMed]
- Fan, C.; Yao, G. Mapping local retardance in birefringent samples using polarization sensitive optical coherence tomography. Opt. Lett. 2012, 37, 1415–1417. [Google Scholar] [CrossRef] [PubMed]
- Al-Qaisi, M.K.; Akkin, T. Polarization-sensitive optical coherence tomography based on polarization-maintaining fibers and frequency multiplexing. Opt. Express 2008, 16, 13032–13041. [Google Scholar] [CrossRef] [PubMed]
- Gotzinger, E.; Baumann, B.; Pircher, M.; Hitzenberger, C.K. Polarization maintaining fiber based ultra-high resolution spectral domain polarization sensitive optical coherence tomography. Opt. Express 2009, 17, 22704–22717. [Google Scholar] [CrossRef] [PubMed]
- Al-Qaisi, M.K.; Akkin, T. Swept-source polarization-sensitive optical coherence tomography based on polarization-maintaining fiber. Opt. Express 2010, 18, 3392–3403. [Google Scholar] [CrossRef] [PubMed]
- Wang, H.; Al-Qaisi, M.K.; Akkin, T. Polarization-maintaining fiber based polarization-sensitive optical coherence tomography in spectral domain. Opt. Lett. 2010, 35, 154–156. [Google Scholar] [CrossRef] [PubMed]
- Zotter, S.; Pircher, M.; Torzicky, T.; Baumann, B.; Yoshida, H.; Hirose, F.; Roberts, P.; Ritter, M.; Schütze, C.; Götzinger, E.; et al. Large-field high-speed polarization sensitive spectral domain OCT and its applications in ophthalmology. Biomed. Opt. Express 2012, 3, 2720–2732. [Google Scholar] [CrossRef] [PubMed]
- Bonesi, M.; Sattmann, H.; Torzicky, T.; Zotter, S.; Baumann, B.; Pircher, M.; Götzinger, E.; Eigenwillig, C.; Wieser, W.; Huber, R.; et al. High-speed polarization sensitive optical coherence tomography scan engine based on Fourier domain mode locked laser. Biomed. Opt. Express 2012, 3, 2987–3000. [Google Scholar] [CrossRef] [PubMed]
- Wang, H.; Akkin, T.; Magnain, C.; Wang, R.P.; Dubb, J.; Kostis, W.J.; Yaseen, M.A.; Cramer, A.; Sakadzic, S.; Boas, D. Polarization sensitive optical coherence microscopy for brain imaging. Opt. Lett. 2016, 41, 2213–2216. [Google Scholar] [CrossRef] [PubMed]
- Lin, H.; Kao, M.-C.; Lai, C.-M.; Huang, J.-C.; Kuo, W.-C. All fiber optics circular-state swept source polarization-sensitive optical coherence tomography. J. Biomed. Opt. 2013, 19, 021110. [Google Scholar] [CrossRef] [PubMed]
- Lurie, K.L.; Moritz, T.J.; Ellerbee, A.K. Design considerations for polarization-sensitive optical coherence tomography with a single input polarization state. Biomed. Opt. Express 2012, 3, 2273–2287. [Google Scholar] [CrossRef] [PubMed]
- Trasischker, W.; Zotter, S.; Torzicky, T.; Baumann, B.; Haindl, R.; Pircher, M.; Hitzenberger, C.K. Single input state polarization sensitive swept source optical coherence tomography based on an all single mode fiber interferometer. Biomed. Opt. Express 2014, 5, 2798–2809. [Google Scholar] [CrossRef] [PubMed]
- Lippok, N.; Villiger, M.; Jun, C.; Bouma, B.E. Single input state, single-mode fiber-based polarization-sensitive optical frequency domain imaging by eigenpolarization referencing. Opt. Lett. 2015, 40, 2025–2028. [Google Scholar] [CrossRef] [PubMed]
- Kemp, N.J.; Zaatari, H.N.; Park, J.; Rylander Iii, H.G.; Milner, T.E. Form-biattenuance in fibrous tissues measured with polarization-sensitive optical coherence tomography (PS-OCT). Opt. Express 2005, 13, 4611–4628. [Google Scholar] [CrossRef] [PubMed]
- Pircher, M.; Götzinger, E.; Baumann, B.; Hitzenberger, C.K. Corneal birefringence compensation for polarization sensitive optical coherence tomography of the human retina. J. Biomed. Opt. 2007, 12, 041210. [Google Scholar] [CrossRef] [PubMed]
- De Boer, J.F.; Milner, T.E.; Nelson, J.S. Determination of the depth-resolved Stokes parameters of light backscattered from turbid media by use of polarization-sensitive optical coherence tomography. Opt. Lett. 1999, 24, 300–302. [Google Scholar] [CrossRef] [PubMed]
- Jiao, S.; Wang, L.V. Jones-matrix imaging of biological tissues with quadruple-channel optical coherence tomography. J. Biomed. Opt. 2002, 7, 350–358. [Google Scholar] [CrossRef] [PubMed]
- Yasuno, Y.; Makita, S.; Endo, T.; Itoh, M.; Yatagai, T.; Takahashi, M.; Katada, C.; Mutoh, M. Polarization-sensitive complex Fourier domain optical coherence tomography for Jones matrix imaging of biological samples. Appl. Phys. Lett. 2004, 85, 3023–3025. [Google Scholar] [CrossRef]
- Makita, S.; Yasuno, Y.; Endo, T.; Itoh, M.; Yatagi, T. Jones matrix imaging of biological samples using parallel-detecting polarization-sensitive Fourier domain optical coherence tomography. Opt. Rev. 2005, 12, 146–148. [Google Scholar] [CrossRef]
- Park, J.; Kemp, N.J.; Zaatari, H.N.; Rylander, H.G.; Milner, T.E. Differential geometry of normalized Stokes vector trajectories in anisotropic media. J. Opt. Soc. Am. A 2006, 23, 679–690. [Google Scholar] [CrossRef]
- Makita, S.; Yasuno, Y.; Endo, T.; Itoh, M.; Yatagai, T. Polarization contrast imaging of biological tissues by polarization-sensitive Fourier-domain optical coherence tomography. Appl. Opt. 2006, 45, 1142–1147. [Google Scholar] [CrossRef] [PubMed]
- Saxer, C.E.; de Boer, J.F.; Park, B.H.; Zhao, Y.; Chen, Z.; Nelson, J.S. High-speed fiber-based polarization-sensitive optical coherence tomography of in vivo human skin. Opt. Lett. 2000, 25, 1355–1357. [Google Scholar] [CrossRef] [PubMed]
- Yamanari, M.; Makita, S.; Madjarova, V.D.; Yatagai, T.; Yasuno, Y. Fiber-based polarization-sensitive Fourier domain optical coherence tomography using B-scan-oriented polarization modulation method. Opt. Express 2006, 14, 6502–6515. [Google Scholar] [CrossRef] [PubMed]
- Park, B.H.; Saxer, C.; Srinivas, S.M.; Nelson, J.S.; de Boer, J.F. In vivo burn depth determination by high-speed fiber-based polarization sensitive optical coherence tomography. J. Biomed. Opt. 2001, 6, 474–479. [Google Scholar] [CrossRef] [PubMed]
- Park, B.H.; Pierce, M.C.; Cense, B.; de Boer, J.F. Real-time multi-functional optical coherence tomography. Opt. Express 2003, 11, 782–793. [Google Scholar] [CrossRef] [PubMed]
- Park, B.H.; Pierce, M.C.; Cense, B.; Yun, S.H.; Mujat, M.; Tearney, G.J.; Bouma, B.E.; de Boer, J.F. Real-time fiber-based multi-functional spectral-domain optical coherence tomography at 1.3 µm. Opt. Express 2005, 13, 3931–3944. [Google Scholar] [CrossRef] [PubMed]
- Wang, Y.; Yao, G. Optical tractography of the mouse heart using polarization-sensitive optical coherence tomography. Biomed. Opt. Express 2013, 4, 2540–2545. [Google Scholar] [CrossRef] [PubMed]
- Azinfar, L.; Ravanfar, M.; Wang, Y.; Zhang, K.; Duan, D.; Yao, G. High resolution imaging of the fibrous microstructure in bovine common carotid artery using optical polarization tractography. J. Biophotonics 2015, 10, 231–241. [Google Scholar] [CrossRef] [PubMed]
- Oh, W.Y.; Yun, S.H.; Vakoc, B.J.; Shishkov, M.; Desjardins, A.E.; Park, B.H.; de Boer, J.F.; Tearney, G.J.; Bouma, E. High-speed polarization sensitive optical frequency domain imaging with frequency multiplexing. Opt. Express 2008, 16, 1096–1103. [Google Scholar] [CrossRef] [PubMed]
- Oh, W.Y.; Vakoc, B.J.; Yun, S.H.; Tearney, G.J.; Bouma, B.E. Single-detector polarization-sensitive optical frequency domain imaging using high-speed intra a-line polarization modulation. Opt. Lett. 2008, 33, 1330–1332. [Google Scholar] [CrossRef] [PubMed]
- Baumann, B.; Choi, W.; Potsaid, B.; Huang, D.; Duker, J.S.; Fujimoto, J.G. Swept source/Fourier domain polarization sensitive optical coherence tomography with a passive polarization delay unit. Opt. Express 2012, 20, 10229–10241. [Google Scholar] [CrossRef] [PubMed]
- Lim, Y.; Hong, Y.-J.; Duan, L.; Yamanari, M.; Yasuno, Y. Passive component based multifunctional Jones matrix swept source optical coherence tomography for Doppler and polarization imaging. Opt. Lett. 2012, 37, 1958–1960. [Google Scholar] [CrossRef] [PubMed]
- Lu, Z.; Kasaragod, D.K.; Matcher, S.J. Method to calibrate phase fluctuation in polarization-sensitive swept-source optical coherence tomography. J. Biomed. Opt. 2011, 16, 070502. [Google Scholar] [CrossRef] [PubMed]
- Fan, C.; Yao, G. Imaging myocardial fiber orientation using polarization sensitive optical coherence tomography. Biomed. Opt. Express 2013, 4, 460–465. [Google Scholar] [CrossRef] [PubMed]
- Lo, W.C.Y.; Villiger, M.; Golberg, A.; Broelsch, G.F.; Khan, S.; Lian, C.G.; Austen, W.G., Jr.; Yarmush, M.; Bouma, B.E. Longitudinal, 3D imaging of collagen remodeling in murine hypertrophic scars in vivo using polarization-sensitive optical frequency domain imaging. J. Investig. Dermatol. 2016, 136, 84–92. [Google Scholar] [CrossRef] [PubMed]
- Li, E.; Makita, S.; Hong, Y.-J.; Kasaragod, D.; Yasuno, Y. Three-dimensional multi-contrast imaging of in vivo human skin by Jones matrix optical coherence tomography. Biomed. Opt. Express 2017, 8, 1290–1305. [Google Scholar] [CrossRef]
- Cense, B.; Chen, T.C.; Park, B.H.; Pierce, M.C.; de Boer, J.F. In vivo depth-resolved birefringence measurements of the human retinal nerve fiber layer by polarization-sensitive optical coherence tomography. Opt. Lett. 2002, 27, 1610–1612. [Google Scholar] [CrossRef] [PubMed]
- Pierce, M.C.; Park, B.H.; Cense, B.; de Boer, J.F. Simultaneous intensity, birefringence, and flow measurements with high-speed fiber-based optical coherence tomography. Opt. Lett. 2002, 27, 1534–1536. [Google Scholar] [CrossRef] [PubMed]
- Leitgeb, R.; Hitzenberger, C.K.; Fercher, A.F. Performance of fourier domain vs. Time domain optical coherence tomography. Opt. Express 2003, 11, 889–894. [Google Scholar] [CrossRef] [PubMed]
- De Boer, J.F.; Cense, B.; Park, B.H.; Pierce, M.C.; Tearney, G.J.; Bouma, B.E. Improved signal-to-noise ratio in spectral-domain compared with time-domain optical coherence tomography. Opt. Lett. 2003, 28, 2067–2069. [Google Scholar] [CrossRef] [PubMed]
- Choma, M.A.; Sarunic, M.V.; Yang, C.H.; Izatt, J.A. Sensitivity advantage of swept source and Fourier domain optical coherence tomography. Opt. Express 2003, 11, 2183–2189. [Google Scholar] [CrossRef] [PubMed]
- Baumann, B.; Gotzinger, E.; Pircher, M.; Hitzenberger, C.K. Single camera based spectral domain polarization sensitive optical coherence tomography. Opt. Express 2007, 15, 1054–1063. [Google Scholar] [CrossRef] [PubMed]
- Cense, B.; Mujat, M.; Chen, T.C.; Park, B.H.; de Boer, J.F. Polarization-sensitive spectral-domain optical coherence tomography using a single line scan camera. Opt. Express 2007, 15, 2421–2431. [Google Scholar] [CrossRef] [PubMed]
- Zhao, M.; Izatt, J.A. Single-camera sequential-scan-based polarization-sensitive SDOCT for retinal imaging. Opt. Lett. 2009, 34, 205–207. [Google Scholar] [CrossRef] [PubMed]
- Fan, C.M.; Yao, G. Single camera spectral domain polarization-sensitive optical coherence tomography using offset B-scan modulation. Opt. Express 2010, 18, 7281–7287. [Google Scholar] [CrossRef] [PubMed]
- Lee, S.W.; Jeong, H.W.; Kim, B.M. High-speed spectral domain polarization-sensitive optical coherence tomography using a single camera and an optical switch at 1.3 µm. J. Biomed. Opt. 2010, 15, 010501. [Google Scholar] [CrossRef] [PubMed]
- Song, C.; Ahn, M.; Gweon, D. Polarization-sensitive spectral-domain optical coherence tomography using a multi-line single camera spectrometer. Opt. Express 2010, 18, 23805–23817. [Google Scholar] [CrossRef] [PubMed]
- Lexer, F.; Hitzenberger, C.K.; Fercher, A.F.; Kulhavy, M. Wavelength-tuning interferometry of intraocular distances. Appl. Opt. 1997, 36, 6548–6553. [Google Scholar] [CrossRef] [PubMed]
- Golubovic, B.; Bouma, B.E.; Tearney, G.J.; Fujimoto, J.G. Optical frequency-domain reflectometry using rapid wavelength tuning of a Cr4+: Forsterite laser. Opt. Lett. 1997, 22, 1704–1706. [Google Scholar] [CrossRef] [PubMed]
- Klein, T.; Huber, R. High-speed OCT light sources and systems. Biomed. Opt. Express 2017, 8, 828–859. [Google Scholar] [CrossRef] [PubMed]
- Zhang, J.; Jung, W.; Nelson, J.S.; Chen, Z. Full range polarization-sensitive Fourier domain optical coherence tomography. Opt. Express 2004, 12, 6033–6039. [Google Scholar] [CrossRef] [PubMed]
- Yamanari, M.; Makita, S.; Yasuno, Y. Polarization-sensitive swept-source optical coherence tomography with continuous source polarization modulation. Opt. Express 2008, 16, 5892–5906. [Google Scholar] [CrossRef] [PubMed]
- Yasuno, Y.; Yamanari, M.; Kawana, K.; Oshika, T.; Miura, M. Investigation of post-glaucoma-surgery structures by three-dimensional and polarization sensitive anterior eye segment optical coherence tomography. Opt. Express 2009, 17, 3980–3996. [Google Scholar] [CrossRef] [PubMed]
- Yamanari, M.; Makita, S.; Lim, Y.; Yasuno, Y. Full-range polarization-sensitive swept-source optical coherence tomography by simultaneous transversal and spectral modulation. Opt. Express 2010, 18, 13964–13980. [Google Scholar] [CrossRef] [PubMed]
- Kim, K.H.; Park, B.H.; Tu, Y.; Hasan, T.; Lee, B.; Li, J.; de Boer, J.F. Polarization-sensitive optical frequency domain imaging based on unpolarized light. Opt. Express 2011, 19, 552–561. [Google Scholar] [CrossRef] [PubMed]
- Torzicky, T.; Pircher, M.; Zotter, S.; Bonesi, M.; Götzinger, E.; Hitzenberger, C.K. Automated measurement of choroidal thickness in the human eye by polarization sensitive optical coherence tomography. Opt. Express 2012, 20, 7564–7574. [Google Scholar] [CrossRef] [PubMed]
- Torzicky, T.; Marschall, S.; Pircher, M.; Baumann, B.; Bonesi, M.; Zotter, S.; Götzinger, E.; Trasischker, W.; Klein, T.; Wieser, W.; et al. Retinal polarization-sensitive optical coherence tomography at 1060 nm with 350 kHz a-scan rate using an Fourier domain mode locked laser. J. Biomed. Opt. 2013, 18, 026008. [Google Scholar] [CrossRef] [PubMed]
- Hong, Y.-J.; Makita, S.; Sugiyama, S.; Yasuno, Y. Optically buffered Jones-matrix-based multifunctional optical coherence tomography with polarization mode dispersion correction. Biomed. Opt. Express 2015, 6, 225–243. [Google Scholar] [CrossRef] [PubMed]
- Cho, H.S.; Oh, W.-Y. Polarization-sensitive OFDI using polarization-multiplexed wavelength-swept laser. Opt. Lett. 2014, 39, 4065–4067. [Google Scholar] [CrossRef] [PubMed]
- Wang, Z.; Lee, H.-C.; Vermeulen, D.; Chen, L.; Nielsen, T.; Park, S.Y.; Ghaemi, A.; Swanson, E.; Doerr, C.; Fujimoto, J. Silicon photonic integrated circuit swept-source optical coherence tomography receiver with dual polarization, dual balanced, in-phase and quadrature detection. Biomed. Opt. Express 2015, 6, 2562–2574. [Google Scholar] [CrossRef] [PubMed]
- Hong, Y.-J.; Miura, M.; Ju, M.J.; Makita, S.; Iwasaki, T.; Yasuno, Y. Simultaneous investigation of vascular and retinal pigment epithelial pathologies of exudative macular diseases by multifunctional optical coherence tomography. Investig. Ophthalmol. Vis. Sci. 2014, 55, 5016–5031. [Google Scholar] [CrossRef] [PubMed]
- Kim, S.; Park, T.; Jang, S.-J.; Nam, A.S.; Vakoc, B.J.; Oh, W.-Y. Multi-functional angiographic OFDI using frequency-multiplexed dual-beam illumination. Opt. Express 2015, 23, 8939–8947. [Google Scholar] [CrossRef] [PubMed]
- Augustin, M.; Fialová, S.; Himmel, T.; Glösmann, M.; Lengheimer, T.; Harper, D.J.; Plasenzotti, R.; Pircher, M.; Hitzenberger, C.K.; Baumann, B. Multi-functional OCT enables longitudinal study of retinal changes in a VLDLR knockout mouse model. PLoS ONE 2016, 11, e0164419. [Google Scholar] [CrossRef] [PubMed]
- Gong, P.; Chin, L.; Es’haghian, S.; Liew, Y.M.; Wood, F.M.; Sampson, D.D.; McLaughlin, R.A. Imaging of skin birefringence for human scar assessment using polarization-sensitive optical coherence tomography aided by vascular masking. J. Biomed. Opt. 2014, 19, 126014. [Google Scholar] [CrossRef] [PubMed]
- Pierce, M.C.; Shishkov, M.; Park, B.H.; Nassif, N.A.; Bouma, B.E.; Tearney, G.J.; de Boer, J.F. Effects of sample arm motion in endoscopic polarization-sensitive optical coherence tomography. Opt. Express 2005, 13, 5739–5749. [Google Scholar] [CrossRef] [PubMed]
- Kim, K.H.; Park, B.H.; Maguluri, G.N.; Lee, T.W.; Rogomentich, F.J.; Bancu, M.G.; Bouma, B.E.; de Boer, J.F.; Bernstein, J.J. Two-axis magnetically-driven mems scanning catheter for endoscopic high-speed optical coherence tomography. Opt. Express 2007, 15, 18130–18140. [Google Scholar] [CrossRef] [PubMed]
- Kim, K.H.; Burns, J.A.; Bernstein, J.J.; Maguluri, G.N.; Park, B.H.; de Boer, J.F. In vivo 3D human vocal fold imaging with polarization sensitive optical coherence tomography and a mems scanning catheter. Opt. Express 2010, 18, 14644–14653. [Google Scholar] [CrossRef] [PubMed]
- Li, J.; Feroldi, F.; de Lange, J.; Daniels, J.M.A.; Grünberg, K.; de Boer, J.F. Polarization sensitive optical frequency domain imaging system for endobronchial imaging. Opt. Express 2015, 23, 3390–3402. [Google Scholar] [CrossRef] [PubMed]
- Van der Sijde, J.N.; Karanasos, A.; Villiger, M.; Bouma, B.E.; Regar, E. First-in-man assessment of plaque rupture by polarization-sensitive optical frequency domain imaging in vivo. Eur. Heart J. 2016, 37, 1932. [Google Scholar] [CrossRef] [PubMed]
- Villiger, M.; Lorenser, D.; McLaughlin, R.A.; Quirk, B.C.; Kirk, R.W.; Bouma, B.E.; Sampson, D.D. Deep tissue volume imaging of birefringence through fibre-optic needle probes for the delineation of breast tumour. Sci. Rep. 2016, 6, 28771. [Google Scholar] [CrossRef] [PubMed]
- Li, B.H.; Leung, A.S.O.; Soong, A.; Munding, C.E.; Lee, H.; Thind, A.S.; Munce, N.R.; Wright, G.A.; Rowsell, C.H.; Yang, V.X.D.; et al. Hybrid intravascular ultrasound and optical coherence tomography catheter for imaging of coronary atherosclerosis. Catheter. Cardiovasc. Interv. 2013, 81, 494–507. [Google Scholar] [CrossRef] [PubMed]
- Yoon, Y.; Jang, W.H.; Xiao, P.; Kim, B.; Wang, T.; Li, Q.; Lee, J.Y.; Chung, E.; Kim, K.H. In vivo wide-field reflectance/fluorescence imaging and polarization-sensitive optical coherence tomography of human oral cavity with a forward-viewing probe. Biomed. Opt. Express 2015, 6, 524–535. [Google Scholar] [CrossRef] [PubMed]
- Liu, G.J.; Zhang, J.; Yu, L.F.; Xie, T.Q.; Chen, Z.P. Real-time polarization-sensitive optical coherence tomography data processing with parallel computing. Appl. Opt. 2009, 48, 6365–6370. [Google Scholar] [CrossRef] [PubMed]
- Duan, L.; Yamanari, M.; Yasuno, Y. Automated phase retardation oriented segmentation of chorio-scleral interface by polarization sensitive optical coherence tomography. Opt. Express 2012, 20, 3353–3366. [Google Scholar] [CrossRef] [PubMed]
- Kasaragod, D.; Makita, S.; Fukuda, S.; Beheregaray, S.; Oshika, T.; Yasuno, Y. Bayesian maximum likelihood estimator of phase retardation for quantitative polarization-sensitive optical coherence tomography. Opt. Express 2014, 22, 16472–16492. [Google Scholar] [CrossRef] [PubMed]
- Cense, B.; Gao, W.; Brown, J.M.; Jones, S.M.; Jonnal, R.S.; Mujat, M.; Park, B.H.; de Boer, J.F.; Miller, D.T. Retinal imaging with polarization-sensitive optical coherence tomography and adaptive optics. Opt. Express 2009, 17, 21634–21651. [Google Scholar] [CrossRef] [PubMed]
- Götzinger, E.; Pircher, M.; Baumann, B.; Schmoll, T.; Sattmann, H.; Leitgeb, R.A.; Hitzenberger, C.K. Speckle noise reduction in high speed polarization sensitive spectral domain optical coherence tomography. Opt. Express 2011, 19, 14568–14585. [Google Scholar] [CrossRef] [PubMed]
- Sugita, M.; Zotter, S.; Pircher, M.; Makihira, T.; Saito, K.; Tomatsu, N.; Sato, M.; Roberts, P.; Schmidt-Erfurth, U.; Hitzenberger, C.K. Motion artifact and speckle noise reduction in polarization sensitive optical coherence tomography by retinal tracking. Biomed. Opt. Express 2014, 5, 106–122. [Google Scholar] [CrossRef] [PubMed]
- Baumann, B.; Götzinger, E.; Pircher, M.; Sattmann, H.; Schütze, C.; Schlanitz, F.; Ahlers, C.; Schmidt-Erfurth, U.; Hitzenberger, C.K. Segmentation and quantification of retinal lesions in age-related macular degeneration using polarization-sensitive optical coherence tomography. J. Biomed. Opt. 2010, 15, 061704. [Google Scholar] [CrossRef] [PubMed]
- Schlanitz, F.G.; Baumann, B.; Spalek, T.; Schütze, C.; Ahlers, C.; Pircher, M.; Götzinger, E.; Hitzenberger, C.K.; Schmidt-Erfurth, U. Performance of automated drusen detection by polarization-sensitive optical coherence tomography. Investig. Ophthalmol. Vis. Sci. 2011, 52, 4571–4579. [Google Scholar] [CrossRef] [PubMed]
- Lammer, J.; Bolz, M.; Baumann, B.; Pircher, M.; Gerendas, B.; Schlanitz, F.; Hitzenberger, C.K.; Schmidt-Erfurth, U. Detection and analysis of hard exudates by polarization-sensitive optical coherence tomography in patients with diabetic maculopathy. Investig. Ophthalmol. Vis. Sci. 2014, 55, 1564–1571. [Google Scholar] [CrossRef] [PubMed]
- Schlanitz, F.G.; Sacu, S.; Baumann, B.; Bolz, M.; Platzer, M.; Pircher, M.; Hitzenberger, C.K.; Schmidt-Erfurth, U. Identification of drusen characteristics in age-related macular degeneration by polarization-sensitive optical coherence tomography. Am. J. Ophthalmol. 2015, 160, 335–344. [Google Scholar] [CrossRef] [PubMed]
- Sugita, M.; Pircher, M.; Zotter, S.; Baumann, B.; Saito, K.; Makihira, T.; Tomatsu, N.; Sato, M.; Hitzenberger, C.K. Analysis of optimum conditions of depolarization imaging by polarization-sensitive optical coherence tomography in the human retina. J. Biomed. Opt. 2015, 20, 016011. [Google Scholar] [CrossRef] [PubMed]
- Miyazawa, A.; Yamanari, M.; Makita, S.; Miura, M.; Kawana, K.; Iwaya, K.; Goto, H.; Yasuno, Y. Tissue discrimination in anterior eye using three optical parameters obtained by polarization sensitive optical coherence tomography. Opt. Express 2009, 17, 17426–17440. [Google Scholar] [CrossRef] [PubMed]
- Yasuno, Y.; Yamanari, M.; Kawana, K.; Miura, M.; Fukuda, S.; Makita, S.; Sakai, S.; Oshika, T. Visibility of trabecular meshwork by standard and polarization-sensitive optical coherence tomography. J. Biomed. Opt. 2010, 15, 061705. [Google Scholar] [CrossRef] [PubMed]
- Fukuda, S.; Yamanari, M.; Lim, Y.; Hoshi, S.; Beheregaray, S.; Oshika, T.; Yasuno, Y. Keratoconus diagnosis using anterior segment polarization-sensitive optical coherence tomography. Investig. Ophthalmol. Vis. Sci. 2013, 54, 1384–1391. [Google Scholar] [CrossRef] [PubMed]
- Duan, L.; Marvdashti, T.; Ellerbee, A.K. Polarization-sensitive interleaved optical coherence tomography. Opt. Express 2015, 23, 13693–13703. [Google Scholar] [CrossRef] [PubMed]
- Drexler, W.; Fujimoto, J.G. State-of-the-art retinal optical coherence tomography. Prog. Retin. Eye Res. 2008, 27, 45–88. [Google Scholar] [CrossRef] [PubMed]
- Pircher, M.; Hitzenberger, C.K.; Schmidt-Erfurth, U. Polarization sensitive optical coherence tomography in the human eye. Prog. Retin. Eye Res. 2011, 30, 431–451. [Google Scholar] [CrossRef] [PubMed]
- Kingman, S. Glaucoma is second leading cause of blindness globally. Bull. World Health Organ. 2004, 82, 887–888. [Google Scholar] [PubMed]
- Weinreb, R.N.; Dreher, A.W.; Coleman, A.; Quigley, H.; Shaw, B.; Reiter, K. Histopathologic validation of Fourier-ellipsometry measurements of retinal nerve fiber layer thickness. Arch. Ophthalmol. 1990, 108, 557–560. [Google Scholar] [CrossRef] [PubMed]
- Huang, X.-R.; Knighton, R.W. Linear birefringence of the retinal nerve fiber layer measured in vitro with a multispectral imaging micropolarimeter. J. Biomed. Opt. 2002, 7, 199–204. [Google Scholar] [CrossRef] [PubMed]
- Fortune, B.; Burgoyne, C.F.; Cull, G.; Reynaud, J.; Wang, L. Onset and progression of peripapillary retinal nerve fiber layer (RNFL) retardance changes occur earlier than RNFL thickness changes in experimental glaucoma. Investig. Ophthalmol. Vis. Sci. 2013, 54, 5653–5661. [Google Scholar] [CrossRef] [PubMed]
- Bussel, I.I.; Wollstein, G.; Schuman, J.S. OCT for glaucoma diagnosis, screening and detection of glaucoma progression. Br. J. Ophthalmol. 2014, 98, ii15–ii19. [Google Scholar] [CrossRef] [PubMed]
- Weinreb, R.N.; Zangwill, L.; Berry, C.C.; Bathija, R.; Sample, P.A. Detection of glaucoma with scanning laser polarimetry. Arch. Ophthalmol. 1998, 116, 1583–1589. [Google Scholar] [CrossRef] [PubMed]
- Klemm, M.; Rumberger, E.; Walter, A.; Richard, G. Quantifizierung der retinalen nervenfaserschichtdicke ein vergleich von laser-scanning-ophthalmoskopie, polarimetrie und optischer kohärenztomographie bei gesunden und glaukomkranken augen. Der Ophthalmologe 2001, 98, 832–843. [Google Scholar] [CrossRef] [PubMed]
- Knighton, R.W.; Huang, X.-R.; Greenfield, D.S. Analytical model of scanning laser polarimetry for retinal nerve fiber layer assessment. Investig. Ophthalmol. Vis. Sci. 2002, 43, 383–392. [Google Scholar]
- Ducros, M.G.; Marsack, J.D.; Rylander, H.G.; Thomsen, S.L.; Milner, T.E. Primate retina imaging with polarization-sensitive optical coherence tomography. J. Opt. Soc. Am. A 2001, 18, 2945–2956. [Google Scholar] [CrossRef]
- Cense, B.; Chen, T.C.; Park, B.H.; Pierce, M.C.; de Boer, J.F. Thickness and birefringence of healthy retinal nerve fiber layer tissue measured with polarization-sensitive optical coherence tomography. Investig. Ophthalmol. Vis. Sci. 2004, 45, 2606–2612. [Google Scholar] [CrossRef] [PubMed]
- Yamanari, M.; Miura, M.; Makita, S.; Yatagai, T.; Yasuno, Y. Phase retardation measurement of retinal nerve fiber layer by polarization-sensitive spectral-domain optical coherence tomography and scanning laser polarimetry. J. Biomed. Opt. 2008, 13, 014013. [Google Scholar] [CrossRef] [PubMed]
- Götzinger, E.; Pircher, M.; Baumann, B.; Hirn, C.; Vass, C.; Hitzenberger, C. Retinal nerve fiber layer birefringence evaluated with polarization sensitive spectral domain OCT and scanning laser polarimetry: A comparison. J. Biophotonics 2008, 1, 129–139. [Google Scholar] [CrossRef] [PubMed]
- Götzinger, E.; Pircher, M.; Baumann, B.; Hirn, C.; Vass, C.; Hitzenberger, C.K. Analysis of the origin of atypical scanning laser polarimetry patterns by polarization-sensitive optical coherence tomography. Investig. Ophthalmol. Vis. Sci. 2008, 49, 5366–5372. [Google Scholar] [CrossRef] [PubMed]
- Zotter, S.; Pircher, M.; Götzinger, E.; Torzicky, T.; Yoshida, H.; Hirose, F.; Holzer, S.; Kroisamer, J.; Vass, C.; Schmidt-Erfurth, U. Measuring retinal nerve fiber layer birefringence, retardation, and thickness using wide-field, high-speed polarization sensitive spectral domain OCT. Investig. Ophthalmol. Vis. Sci. 2013, 54, 72–84. [Google Scholar] [CrossRef] [PubMed]
- Pocock, G.M.; Aranibar, R.G.; Kemp, N.J.; Specht, C.S.; Markey, M.K.; Rylander, H.G. The relationship between retinal ganglion cell axon constituents and retinal nerve fiber layer birefringence in the primate. Investig. Ophthalmol. Vis. Sci. 2009, 50, 5238–5246. [Google Scholar] [CrossRef] [PubMed]
- Dwelle, J.; Liu, S.; Wang, B.; McElroy, A.; Ho, D.; Markey, M.K.; Milner, T.; Rylander, H.G. Thickness, phase retardation, birefringence, and reflectance of the retinal nerve fiber layer in normal and glaucomatous non-human primates. Investig. Ophthalmol. Vis. Sci. 2012, 53, 4380–4395. [Google Scholar] [CrossRef] [PubMed]
- Fialová, S.; Augustin, M.; Fischak, C.; Schmetterer, L.; Handschuh, S.; Glösmann, M.; Pircher, M.; Hitzenberger, C.K.; Baumann, B. Posterior rat eye during acute intraocular pressure elevation studied using polarization sensitive optical coherence tomography. Biomed. Opt. Express 2017, 8, 298–314. [Google Scholar] [CrossRef] [PubMed]
- Sugita, M.; Pircher, M.; Zotter, S.; Baumann, B.; Roberts, P.; Makihira, T.; Tomatsu, N.; Sato, M.; Vass, C.; Hitzenberger, C.K. Retinal nerve fiber bundle tracing and analysis in human eye by polarization sensitive OCT. Biomed. Opt. Express 2015, 6, 1030–1054. [Google Scholar] [CrossRef] [PubMed]
- Pircher, M.; Götzinger, E.; Leitgeb, R.; Sattmann, H.; Findl, O.; Hitzenberger, C.K. Imaging of polarization properties of human retina in vivo with phase resolved transversal PS-OCT. Opt. Express 2004, 12, 5940–5951. [Google Scholar] [CrossRef] [PubMed]
- Pircher, M.; Götzinger, E.; Findl, O.; Michels, S.; Geitzenauer, W.; Leydolt, C.; Schmidt-Erfurth, U.; Hitzenberger, C.K. Human macula investigated in vivo with polarization-sensitive optical coherence tomography. Investig. Ophthalmol. Vis. Sci. 2006, 47, 5487–5494. [Google Scholar] [CrossRef] [PubMed]
- Baumann, B.; Götzinger, E.; Pircher, M.; Hitzenberger, C.K. Measurements of depolarization distribution in the healthy human macula by polarization sensitive OCT. J. Biophotonics 2009, 2, 426–434. [Google Scholar] [CrossRef] [PubMed]
- Schütze, C.; Ritter, M.; Blum, R.; Zotter, S.; Baumann, B.; Pircher, M.; Hitzenberger, C.K.; Schmidt-Erfurth, U. Retinal pigment epithelium findings in patients with albinism using wide-field polarization-sensitive optical coherence tomography. Retina 2014, 34, 2208–2217. [Google Scholar] [CrossRef] [PubMed]
- Ahlers, C.; Götzinger, E.; Pircher, M.; Golbaz, I.; Prager, F.; Schütze, C.; Baumann, B.; Hitzenberger, C.K.; Schmidt-Erfurth, U. Imaging of the retinal pigment epithelium in age-related macular degeneration using polarization-sensitive optical coherence tomography. Investig. Ophthalmol. Vis. Sci. 2010, 51, 2149–2157. [Google Scholar] [CrossRef] [PubMed]
- Michels, S.; Pircher, M.; Geitzenauer, W.; Simader, C.; Götzinger, E.; Findl, O.; Schmidt-Erfurth, U.; Hitzenberger, C. Value of polarisation-sensitive optical coherence tomography in diseases affecting the retinal pigment epithelium. Br. J. Ophthalmol. 2008, 92, 204–209. [Google Scholar] [CrossRef] [PubMed]
- Schlanitz, F.G.; Baumann, B.; Kundi, M.; Sacu, S.; Baratsits, M.; Scheschy, U.; Shahlaee, A.; Mittermüller, T.J.; Montuoro, A.; Roberts, P. Drusen volume development over time and its relevance to the course of age-related macular degeneration. Br. J. Ophthalmol. 2016, 101, 198–203. [Google Scholar] [CrossRef] [PubMed]
- Schütze, C.; Bolz, M.; Sayegh, R.; Baumann, B.; Pircher, M.; Götzinger, E.; Hitzenberger, C.K.; Schmidt-Erfurth, U. Lesion size detection in geographic atrophy by polarization-sensitive optical coherence tomography and correlation to conventional imaging techniques. Investig. Ophthalmol. Vis. Sci. 2013, 54, 739–745. [Google Scholar] [CrossRef] [PubMed]
- Sayegh, R.G.; Zotter, S.; Roberts, P.K.; Kandula, M.M.; Sacu, S.; Kreil, D.P.; Baumann, B.; Pircher, M.; Hitzenberger, C.K.; Schmidt-Erfurth, U. Polarization-sensitive optical coherence tomography and conventional retinal imaging strategies in assessing foveal integrity in geographic atrophy. Investig. Ophthalmol. Vis. Sci. 2015, 56, 5246–5255. [Google Scholar] [CrossRef] [PubMed]
- Roberts, P.; Sugita, M.; Deák, G.; Baumann, B.; Zotter, S.; Pircher, M.; Sacu, S.; Hitzenberger, C.K.; Schmidt-Erfurth, U. Automated identification and quantification of subretinal fibrosis in neovascular age-related macular degeneration using polarization-sensitive OCT. Investig. Ophthalmol. Vis. Sci. 2016, 57, 1699–1705. [Google Scholar] [CrossRef] [PubMed]
- Roberts, P.; Baumann, B.; Lammer, J.; Gerendas, B.; Kroisamer, J.; Bühl, W.; Pircher, M.; Hitzenberger, C.K.; Schmidt-Erfurth, U.; Sacu, S. Retinal pigment epithelial features in central serous chorioretinopathy identified by polarization-sensitive optical coherence tomography. Investig. Ophthalmol. Vis. Sci. 2016, 57, 1595–1603. [Google Scholar] [CrossRef] [PubMed]
- Miura, M.; Yamanari, M.; Iwasaki, T.; Elsner, A.E.; Makita, S.; Yatagai, T.; Yasuno, Y. Imaging polarimetry in age-related macular degeneration. Investig. Ophthalmol. Vis. Sci. 2008, 49, 2661–2667. [Google Scholar] [CrossRef] [PubMed]
- Schütze, C.; Wedl, M.; Baumann, B.; Pircher, M.; Hitzenberger, C.K.; Schmidt-Erfurth, U. Progression of retinal pigment epithelial atrophy in antiangiogenic therapy of neovascular age-related macular degeneration. Am. J. Ophthalmol. 2015, 159, 1100–1114. [Google Scholar] [CrossRef] [PubMed]
- Ritter, M.; Zotter, S.; Schmidt, W.M.; Bittner, R.E.; Deak, G.G.; Pircher, M.; Sacu, S.; Hitzenberger, C.K.; Schmidt-Erfurth, U.M. Characterization of stargardt disease using polarization-sensitive optical coherence tomography and fundus autofluorescence imaging. Investig. Ophthalmol. Vis. Sci. 2013, 54, 6416–6425. [Google Scholar] [CrossRef] [PubMed]
- Schütze, C.; Ahlers, C.; Pircher, M.; Baumann, B.; Götzinger, E.; Prager, F.; Matt, G.; Sacu, S.; Hitzenberger, C.K.; Schmidt-Erfurth, U. Morphologic characteristics of idiopathic juxtafoveal telangiectasia using spectral-domain and polarization-sensitive optical coherence tomography. Retina 2012, 32, 256–264. [Google Scholar] [CrossRef] [PubMed]
- Götzinger, E.; Pircher, M.; Dejaco-Ruhswurm, I.; Kaminski, S.; Skorpik, C.; Hitzenberger, C.K. Imaging of birefringent properties of keratoconus corneas by polarization-sensitive optical coherence tomography. Investig. Ophthalmol. Vis. Sci. 2007, 48, 3551–3558. [Google Scholar] [CrossRef] [PubMed]
- Ju, M.J.; Tang, S. Usage of polarization-sensitive optical coherence tomography for investigation of collagen cross-linking. J. Biomed. Opt. 2015, 20, 046001. [Google Scholar] [CrossRef] [PubMed]
- Fukuda, S.; Beheregaray, S.; Kasaragod, D.; Hoshi, S.; Kishino, G.; Ishii, K.; Yasuno, Y.; Oshika, T. Noninvasive evaluation of phase retardation in blebs after glaucoma surgery using anterior segment polarization-sensitive optical coherence tomography. Investig. Ophthalmol. Vis. Sci. 2014, 55, 5200–5206. [Google Scholar] [CrossRef] [PubMed]
- Miura, M.; Kawana, K.; Iwasaki, T.; Kiuchi, T.; Oshika, T.; Mori, H.; Yamanari, M.; Makita, S.; Yatagai, T.; Yasuno, Y. Three-dimensional anterior segment optical coherence tomography of filtering blebs after trabeculectomy. J. Glaucoma 2008, 17, 193–196. [Google Scholar] [CrossRef] [PubMed]
- Lim, Y.; Yamanari, M.; Fukuda, S.; Kaji, Y.; Kiuchi, T.; Miura, M.; Oshika, T.; Yasuno, Y. Birefringence measurement of cornea and anterior segment by office-based polarization-sensitive optical coherence tomography. Biomed. Opt. Express 2011, 2, 2392–2402. [Google Scholar] [CrossRef] [PubMed]
- Iwasaki, T. Polarization-sensitive optical coherence tomography of necrotizing scleritis. Ophthalmic Surg. Lasers Imaging Retin. 2009, 40, 607. [Google Scholar]
- Yamanari, M.; Nagase, S.; Fukuda, S.; Ishii, K.; Tanaka, R.; Yasui, T.; Oshika, T.; Miura, M.; Yasuno, Y. Scleral birefringence as measured by polarization-sensitive optical coherence tomography and ocular biometric parameters of human eyes in vivo. Biomed. Opt. Express 2014, 5, 1391–1402. [Google Scholar] [CrossRef] [PubMed]
- Pircher, M.; Goetzinger, E.; Leitgeb, R.; Hitzenberger, C.K. Three dimensional polarization sensitive OCT of human skin in vivo. Opt. Express 2004, 12, 3236–3244. [Google Scholar] [CrossRef] [PubMed]
- Mogensen, M.; Morsy, H.A.; Thrane, L.; Jemec, G.B.E. Morphology and epidermal thickness of normal skin imaged by optical coherence tomography. Dermatology 2008, 217, 14–20. [Google Scholar] [CrossRef] [PubMed]
- Lee, A.M.D.; Cahill, L.; Liu, K.; MacAulay, C.; Poh, C.; Lane, P. Wide-field in vivo oral OCT imaging. Biomed. Opt. Express 2015, 6, 2664–2674. [Google Scholar] [CrossRef] [PubMed]
- Burns, J.A.; Zeitels, S.M.; Anderson, R.R.; Kobler, J.B.; Pierce, M.C.; de Boer, J.F. Imaging the mucosa of the human vocal fold with optical coherence tomography. Ann. Otol. Rhinol. Laryngol. 2005, 114, 671–676. [Google Scholar] [CrossRef] [PubMed]
- Bonesi, M.; Sattmann, H.; Torzicky, T.; Zotter, S.; Baumann, B.; Pircher, M.; Götzinger, E.; Eigenwillig, C.; Wieser, W.; Huber, R. High-speed polarization sensitive optical coherence tomography scan engine based on Fourier domain mode locked laser: Erratum. Biomed. Opt. Express 2013, 4, 241–244. [Google Scholar] [CrossRef]
- Sakai, S.; Yamanari, M.; Lim, Y.; Nakagawa, N.; Yasuno, Y. In vivo evaluation of human skin anisotropy by polarization-sensitive optical coherence tomography. Biomed. Opt. Express 2011, 2, 2623–2631. [Google Scholar] [CrossRef] [PubMed]
- Jiao, S.; Yu, W.; Stoica, G.; Wang, L.V. Contrast mechanisms in polarization-sensitive Mueller-matrix optical coherence tomography and application in burn imaging. Appl. Opt. 2003, 42, 5191–5197. [Google Scholar] [CrossRef] [PubMed]
- Pierce, M.C.; Sheridan, R.L.; Park, B.H.; Cense, B.; de Boer, J.F. Collagen denaturation can be quantified in burned human skin using polarization-sensitive optical coherence tomography. Burns 2004, 30, 511–517. [Google Scholar] [CrossRef] [PubMed]
- Oh, J.-T.; Lee, S.-W.; Kim, Y.-S.; Suhr, K.-B.; Kim, B.-M. Quantification of the wound healing using polarization-sensitive optical coherence tomography. J. Biomed. Opt. 2006, 11, 041124. [Google Scholar] [CrossRef] [PubMed]
- Sahu, K.; Verma, Y.; Sharma, M.; Rao, K.; Gupta, P. Non-invasive assessment of healing of bacteria infected and uninfected wounds using optical coherence tomography. Skin Res. Technol. 2010, 16, 428–437. [Google Scholar] [CrossRef] [PubMed]
- Strasswimmer, J.; Pierce, M.C.; Park, B.H.; Neel, V.; de Boer, J.F. Polarization-sensitive optical coherence tomography of invasive basal cell carcinoma. J. Biomed. Opt. 2004, 9, 292–298. [Google Scholar] [CrossRef] [PubMed]
- Duan, L.; Marvdashti, T.; Lee, A.; Tang, J.Y.; Ellerbee, A.K. Automated identification of basal cell carcinoma by polarization-sensitive optical coherence tomography. Biomed. Opt. Express 2014, 5, 3717–3729. [Google Scholar] [CrossRef] [PubMed]
- Burns, J.A.; Kim, K.H.; deBoer, J.F.; Anderson, R.R.; Zeitels, S.M. Polarization-sensitive optical coherence tomography imaging of benign and malignant laryngeal lesions: An in vivo study. Otolaryngol. Head Neck Surg. 2011, 145, 91–99. [Google Scholar] [CrossRef] [PubMed]
- Wang, T.; Yang, Y.; Zhu, Q. A three-parameter logistic model to characterize ovarian tissue using polarization-sensitive optical coherence tomography. Biomed. Opt. Express 2013, 4, 772–777. [Google Scholar] [CrossRef] [PubMed]
- Patel, R.; Khan, A.; Quinlan, R.; Yaroslavsky, A.N. Polarization-sensitive multimodal imaging for detecting breast cancer. Cancer Res. 2014, 74, 4685–4693. [Google Scholar] [CrossRef] [PubMed]
- South, F.A.; Chaney, E.J.; Marjanovic, M.; Adie, S.G.; Boppart, S.A. Differentiation of ex vivo human breast tissue using polarization-sensitive optical coherence tomography. Biomed. Opt. Express 2014, 5, 3417–3426. [Google Scholar] [CrossRef] [PubMed]
- Xie, T.; Xia, Y.; Guo, S.; Hoover, P.; Chen, Z.; Peavy, G.M. Topographical variations in the polarization sensitivity of articular cartilage as determined by polarization-sensitive optical coherence tomography and polarized light microscopy. J. Biomed. Opt. 2008, 13, 054034. [Google Scholar] [CrossRef] [PubMed]
- Martin, S.; Patel, N.; Adams, S.; Roberts, M.; Plummer, S.; Stamper, D.; Fujimoto, J.; Brezinski, M. New technology for assessing microstructural components of tendons and ligaments. Int. Orthop. 2003, 27, 184–189. [Google Scholar] [PubMed]
- Ahearne, M.; Bagnaninchi, P.O.; Yang, Y.; El Haj, A.J. Online monitoring of collagen fibre alignment in tissue-engineered tendon by PSOCT. J. Tissue Eng. Regen. Med. 2008, 2, 521–524. [Google Scholar] [CrossRef] [PubMed]
- Bagnaninchi, P.; Yang, Y.; Bonesi, M.; Maffulli, G.; Phelan, C.; Meglinski, I.; El Haj, A.; Maffulli, N. In-depth imaging and quantification of degenerative changes associated with achilles ruptured tendons by polarization-sensitive optical coherence tomography. Phys. Med. Biol. 2010, 55, 3777. [Google Scholar] [CrossRef] [PubMed]
- Yang, Y.; Rupani, A.; Bagnaninchi, P.; Wimpenny, I.; Weightman, A. Study of optical properties and proteoglycan content of tendons by polarization sensitive optical coherence tomography. J. Biomed. Opt. 2012, 17, 081417. [Google Scholar] [CrossRef] [PubMed]
- Pasquesi, J.J.; Schlachter, S.C.; Boppart, M.D.; Chaney, E.; Kaufman, S.J.; Boppart, S.A. In vivo detection of exercise-induced ultrastructural changes in genetically-altered murine skeletal muscle using polarization-sensitive optical coherence tomography. Opt. Express 2006, 14, 1547–1556. [Google Scholar] [PubMed]
- Yang, X.; Chin, L.; Klyen, B.R.; Shavlakadze, T.; McLaughlin, R.A.; Grounds, M.D.; Sampson, D.D. Quantitative assessment of muscle damage in the mdx mouse model of duchenne muscular dystrophy using polarization-sensitive optical coherence tomography. J. Appl. Physiol. 2013, 115, 1393–1401. [Google Scholar] [CrossRef] [PubMed]
- Matcher, S.J. What can biophotonics tell us about the 3D microstructure of articular cartilage? Quant. Imaging Med. Surg. 2015, 5, 143–158. [Google Scholar] [PubMed]
- Chu, C.R.; Izzo, N.J.; Irrgang, J.J.; Ferretti, M.; Studer, R.K. Clinical diagnosis of potentially treatable early articular cartilage degeneration using optical coherence tomography. J. Biomed. Opt. 2007, 12, 051703. [Google Scholar] [CrossRef] [PubMed]
- Ugryumova, N.; Jacobs, J.; Bonesi, M.; Matcher, S.J. Novel optical imaging technique to determine the 3-d orientation of collagen fibers in cartilage: Variable-incidence angle polarization-sensitive optical coherence tomography. Osteoarthr. Cartil. 2009, 17, 33–42. [Google Scholar] [CrossRef] [PubMed]
- Kasaragod, D.K.; Lu, Z.; Jacobs, J.; Matcher, S.J. Experimental validation of an extended Jones matrix calculus model to study the 3D structural orientation of the collagen fibers in articular cartilage using polarization-sensitive optical coherence tomography. Biomed. Opt. Express 2012, 3, 378–387. [Google Scholar] [CrossRef] [PubMed]
- Patel, N.A.; Zoeller, J.; Stamper, D.L.; Fujimoto, J.G.; Brezinski, M.E. Monitoring osteoarthritis in the rat model using optical coherence tomography. IEEE Trans. Med. Imaging 2005, 24, 155–159. [Google Scholar] [CrossRef] [PubMed]
- Li, X.; Martin, S.; Pitris, C.; Ghanta, R.; Stamper, D.L.; Harman, M.; Fujimoto, J.G.; Brezinski, M.E. High-resolution optical coherence tomographic imaging of osteoarthritic cartilage during open knee surgery. Arthritis Res. Ther. 2005, 7, R318. [Google Scholar] [CrossRef] [PubMed]
- Nadkarni, S.K. Optical measurement of arterial mechanical properties: From atherosclerotic plaque initiation to rupture. J. Biomed. Opt. 2013, 18, 121507. [Google Scholar] [CrossRef] [PubMed]
- Kuo, W.-C.; Hsiung, M.-W.; Shyu, J.-J.; Chou, N.-K.; Yang, P.-N. Assessment of arterial characteristics in human atherosclerosis by extracting optical properties from polarization-sensitive optical coherence tomography. Opt. Express 2008, 16, 8117–8125. [Google Scholar] [CrossRef] [PubMed]
- Giattina, S.D.; Courtney, B.K.; Herz, P.R.; Harman, M.; Shortkroff, S.; Stamper, D.L.; Liu, B.; Fujimoto, J.G.; Brezinski, M.E. Assessment of coronary plaque collagen with polarization sensitive optical coherence tomography (PS-OCT). Int. J. Cardiol. 2006, 107, 400–409. [Google Scholar] [CrossRef] [PubMed]
- Nadkarni, S.K.; Bouma, B.E.; de Boer, J.; Tearney, G.J. Evaluation of collagen in atherosclerotic plaques: The use of two coherent laser-based imaging methods. Lasers Med. Sci. 2009, 24, 439–445. [Google Scholar] [CrossRef] [PubMed]
- Nadkarni, S.K.; Pierce, M.C.; Park, B.H.; de Boer, J.F.; Whittaker, P.; Bouma, B.E.; Bressner, J.E.; Halpern, E.; Houser, S.L.; Tearney, G.J. Measurement of collagen and smooth muscle cell content in atherosclerotic plaques using polarization-sensitive optical coherence tomography. J. Am. Coll. Cardiol. 2007, 49, 1474–1481. [Google Scholar] [CrossRef] [PubMed]
- Smith, R.M.; Black, A.J.; Velamakanni, S.S.; Akkin, T.; Tolkacheva, E.G. Visualizing the complex 3D geometry of the perfusion border zone in isolated rabbit heart. Appl. Opt. 2012, 51, 2713–2721. [Google Scholar] [CrossRef] [PubMed]
- Sun, C.-W.; Wang, Y.-M.; Lu, L.-S.; Lu, C.-W.; Hsu, I.-J.; Tsai, M.-T.; Yang, C.-C.; Kiang, Y.-W.; Wu, C.-C. Myocardial tissue characterization based on a polarization-sensitive optical coherence tomography system with an ultrashort pulsed laser. J. Biomed. Opt. 2006, 11, 054016. [Google Scholar] [CrossRef] [PubMed]
- Baumgartner, A.; Hitzenberger, C.K.; Dichtl, S.; Sattmann, H.; Moritz, A.; Sperr, W.; Fercher, A.F. Optical Coherence Tomography of Dental Structures. SPIE Proc. 1998, 3248, 130–136. [Google Scholar]
- Baumgartner, A.; Dichtl, S.; Hitzenberger, C.; Sattmann, H.; Robl, B.; Moritz, A.; Fercher, A.; Sperr, W. Polarization–sensitive optical coherence tomography of dental structures. Caries Res. 1999, 34, 59–69. [Google Scholar] [CrossRef]
- Everett, M.J.; Colston, B.W., Jr.; Sathyam, U.S.; Da Silva, L.B.; Fried, D.; Featherstone, J.D. Noninvasive diagnosis of early caries with polarization-sensitive optical coherence tomography (PS-OCT). SPIE Proc. 1999, 3593, 177–182. [Google Scholar]
- Manesh, S.K.; Darling, C.L.; Fried, D. Nondestructive assessment of dentin demineralization using polarization-sensitive optical coherence tomography after exposure to fluoride and laser irradiation. J. Biomed. Mater. Res. Part B Appl. Biomater. 2009, 90, 802–812. [Google Scholar] [CrossRef] [PubMed]
- Le, M.H.; Darling, C.L.; Fried, D. Automated analysis of lesion depth and integrated reflectivity in PS-OCT scans of tooth demineralization. Lasers Surg. Med. 2010, 42, 62–68. [Google Scholar] [CrossRef] [PubMed]
- Louie, T.; Lee, C.; Hsu, D.; Hirasuna, K.; Manesh, S.; Staninec, M.; Darling, C.L.; Fried, D. Clinical assessment of early tooth demineralization using polarization sensitive optical coherence tomography. Lasers Surg. Med. 2010, 42, 898–905. [Google Scholar] [CrossRef] [PubMed]
- Tom, H.; Simon, J.C.; Chan, K.H.; Darling, C.L.; Fried, D. Near-infrared imaging of demineralization under sealants. J. Biomed. Opt. 2014, 19, 077003. [Google Scholar] [CrossRef] [PubMed]
- Tom, H.; Chan, K.H.; Darling, C.L.; Fried, D. Near-IR image-guided laser ablation of demineralization on tooth occlusal surfaces. Lasers Surg. Med. 2016, 48, 52–61. [Google Scholar] [CrossRef] [PubMed]
- Lee, C.; Darling, C.L.; Fried, D. Polarization-sensitive optical coherence tomographic imaging of artificial demineralization on exposed surfaces of tooth roots. Dent. Mater. 2009, 25, 721–728. [Google Scholar] [CrossRef] [PubMed]
- Can, A.M.; Darling, C.L.; Ho, C.; Fried, D. Non-destructive assessment of inhibition of demineralization in dental enamel irradiated by a λ = 9.3-µm CO2 laser at ablative irradiation intensities with PS-OCT. Lasers Surg. Med. 2008, 40, 342–349. [Google Scholar] [CrossRef] [PubMed]
- Fried, D.; Xie, J.; Shafi, S.; Featherstone, J.D.; Breunig, T.M.; Le, C. Imaging caries lesions and lesion progression with polarization sensitive optical coherence tomography. J. Biomed. Opt. 2002, 7, 618–627. [Google Scholar] [CrossRef] [PubMed]
- Jones, R.S.; Staninec, M.; Fried, D. Imaging artificial caries under composite sealants and restorations. J. Biomed. Opt. 2004, 9, 1297–1304. [Google Scholar] [CrossRef] [PubMed]
- Simon, J.C.; Lucas, S.A.; Lee, R.C.; Darling, C.L.; Staninec, M.; Vaderhobli, R.; Pelzner, R.; Fried, D. Near-infrared imaging of secondary caries lesions around composite restorations at wavelengths from 1300–1700-nm. Dent. Mater. 2016, 32, 587–595. [Google Scholar] [CrossRef] [PubMed]
- Jones, R.; Fried, D. Remineralization of enamel caries can decrease optical reflectivity. J. Dent. Res. 2006, 85, 804–808. [Google Scholar] [CrossRef] [PubMed]
- Lee, R.C.; Kang, H.; Darling, C.L.; Fried, D. Automated assessment of the remineralization of artificial enamel lesions with polarization-sensitive optical coherence tomography. Biomed. Opt. Express 2014, 5, 2950–2962. [Google Scholar] [CrossRef] [PubMed]
- De Boer, J.F.; Srinivas, S.M.; Park, B.H.; Pham, T.H.; Chen, Z.; Milner, T.E.; Nelson, J.S. Polarization effects in optical coherence tomography of various biological tissues. IEEE J. Sel. Top. Quantum Electron. 1999, 5, 1200–1204. [Google Scholar] [CrossRef] [PubMed]
- Islam, M.S.; Oliveira, M.C.; Wang, Y.; Henry, F.P.; Randolph, M.A.; Park, B.H.; de Boer, J.F. Extracting structural features of rat sciatic nerve using polarization-sensitive spectral domain optical coherence tomography. J. Biomed. Opt. 2012, 17, 056012. [Google Scholar] [CrossRef] [PubMed]
- Henry, F.P.; Wang, Y.; Rodriguez, C.L.R.; Randolph, M.A.; Rust, E.A.Z.; Winograd, J.M.; de Boer, J.F.; Park, B.H. In vivo optical microscopy of peripheral nerve myelination with polarization sensitive-optical coherence tomography. J. Biomed. Opt. 2015, 20, 046002. [Google Scholar] [CrossRef] [PubMed]
- Yoon, Y.; Jeon, S.H.; Park, Y.H.; Jang, W.H.; Lee, J.Y.; Kim, K.H. Visualization of prostatic nerves by polarization-sensitive optical coherence tomography. Biomed. Opt. Express 2016, 7, 3170–3183. [Google Scholar] [CrossRef] [PubMed]
- Wang, H.; Black, A.J.; Zhu, J.; Stigen, T.W.; Al-Qaisi, M.K.; Netoff, T.I.; Abosch, A.; Akkin, T. Reconstructing micrometer-scale fiber pathways in the brain: Multi-contrast optical coherence tomography based tractography. Neuroimage 2011, 58, 984–992. [Google Scholar] [CrossRef] [PubMed]
- Wang, H.; Zhu, J.; Akkin, T. Serial optical coherence scanner for large-scale brain imaging at microscopic resolution. Neuroimage 2014, 84, 1007–1017. [Google Scholar] [CrossRef] [PubMed]
- Wang, H.; Zhu, J.F.; Reuter, M.; Vinke, L.N.; Yendiki, A.; Boas, D.A.; Fischl, B.; Akkin, T. Cross-validation of serial optical coherence scanning and diffusion tensor imaging: A study on neural fiber maps in human medulla oblongata. Neuroimage 2014, 100, 395–404. [Google Scholar] [CrossRef] [PubMed]
- Baumann, B.; Woehrer, A.; Ricken, G.; Augustin, M.; Mitter, C.; Pircher, M.; Kovacs, G.G.; Hitzenberger, C.K. Visualization of neuritic plaques in Alzheimer’s disease by polarization-sensitive optical coherence microscopy. Sci. Rep. 2017, 7, 43477. [Google Scholar] [CrossRef] [PubMed]
- Wei, Q.; Song, H.-M.; Leonov, A.P.; Hale, J.A.; Oh, D.; Ong, Q.K.; Ritchie, K.; Wei, A. Gyromagnetic imaging: Dynamic optical contrast using gold nanostars with magnetic cores. J. Am. Chem. Soc. 2009, 131, 9728–9734. [Google Scholar] [CrossRef] [PubMed]
- Chhetri, R.K.; Kozek, K.A.; Johnston-Peck, A.C.; Tracy, J.B.; Oldenburg, A.L. Imaging three-dimensional rotational diffusion of plasmon resonant gold nanorods using polarization-sensitive optical coherence tomography. Phys. Rev. E 2011, 83, 040903. [Google Scholar] [CrossRef] [PubMed]
- Oldenburg, A.L.; Chhetri, R.K.; Cooper, J.M.; Wu, W.-C.; Troester, M.A.; Tracy, J.B. Motility-, autocorrelation-, and polarization-sensitive optical coherence tomography discriminates cells and gold nanorods within 3D tissue cultures. Opt. Lett. 2013, 38, 2923–2926. [Google Scholar] [CrossRef] [PubMed]
- Chhetri, R.K.; Blackmon, R.L.; Wu, W.-C.; Hill, D.B.; Button, B.; Casbas-Hernandez, P.; Troester, M.A.; Tracy, J.B.; Oldenburg, A.L. Probing biological nanotopology via diffusion of weakly constrained plasmonic nanorods with optical coherence tomography. Proc. Natl. Acad. Sci. USA 2014, 111, E4289–E4297. [Google Scholar] [CrossRef] [PubMed]
- Wiesauer, K.; Pircher, M.; Goetzinger, E.; Hitzenberger, C.; Engelke, R.; Ahrens, G.; Gruetzner, G.; Stifter, D. Transversal ultrahigh-resolution polarization-sensitive optical coherence tomography for strain mapping in materials. Opt. Express 2006, 14, 5945–5953. [Google Scholar] [CrossRef] [PubMed]
- Stifter, D. Beyond biomedicine: A review of alternative applications and developments for optical coherence tomography. Appl. Phys. B 2007, 88, 337–357. [Google Scholar] [CrossRef]
- Oh, J.-T.; Kim, S.-W. Polarization-sensitive optical coherence tomography for photoelasticity testing of glass/epoxy composites. Opt. Express 2003, 11, 1669–1676. [Google Scholar] [CrossRef] [PubMed]
- Stifter, D.; Leiss-Holzinger, E.; Major, Z.; Baumann, B.; Pircher, M.; Götzinger, E.; Hitzenberger, C.K.; Heise, B. Dynamic optical studies in materials testing with spectral-domain polarization-sensitive optical coherence tomography. Opt. Express 2010, 18, 25712–25725. [Google Scholar] [CrossRef] [PubMed]













© 2017 by the author. Licensee MDPI, Basel, Switzerland. This article is an open access article distributed under the terms and conditions of the Creative Commons Attribution (CC BY) license (http://creativecommons.org/licenses/by/4.0/).
Share and Cite
Baumann, B. Polarization Sensitive Optical Coherence Tomography: A Review of Technology and Applications. Appl. Sci. 2017, 7, 474. https://doi.org/10.3390/app7050474
Baumann B. Polarization Sensitive Optical Coherence Tomography: A Review of Technology and Applications. Applied Sciences. 2017; 7(5):474. https://doi.org/10.3390/app7050474
Chicago/Turabian StyleBaumann, Bernhard. 2017. "Polarization Sensitive Optical Coherence Tomography: A Review of Technology and Applications" Applied Sciences 7, no. 5: 474. https://doi.org/10.3390/app7050474
APA StyleBaumann, B. (2017). Polarization Sensitive Optical Coherence Tomography: A Review of Technology and Applications. Applied Sciences, 7(5), 474. https://doi.org/10.3390/app7050474