Next Article in Journal
Co-Fermentation of Dandelion Leaves (Taraxaci folium) as a Strategy for Increasing the Antioxidant Activity of Fermented Cosmetic Raw Materials—Current Progress and Prospects
Next Article in Special Issue
Neuroimaging Features of GRIN-Related Epilepsies
Previous Article in Journal
Study on a Repair Clamp Device for Leakage Prevention in Defective Pipes
Previous Article in Special Issue
DTI Histogram and Texture Features as Early Predictors of Post-Radiotherapy Cognitive Decline
 
 
Font Type:
Arial Georgia Verdana
Font Size:
Aa Aa Aa
Line Spacing:
Column Width:
Background:
Article

White Matter Integrity and Anticoagulant Use: Age-Stratified Insights from MRI Diffusion-Weighted Imaging

by
Teodora Anca Albu
1,2,*,
Nicoleta Iacob
3 and
Daniela Susan-Resiga
1,4
1
Department of Physics, West University of Timisoara, 300223 Timisoara, Romania
2
ScanExpert, 300627 Timisoara, Romania
3
Miclaus Diagnostic Hub SRL, 307200 Ghiroda, Romania
4
Center for Fundamental and Advanced Technical Research, Romanian Academy-Timisoara Branch, 300223 Timisoara, Romania
*
Author to whom correspondence should be addressed.
Appl. Sci. 2025, 15(16), 9022; https://doi.org/10.3390/app15169022
Submission received: 15 July 2025 / Revised: 11 August 2025 / Accepted: 14 August 2025 / Published: 15 August 2025
(This article belongs to the Special Issue MR-Based Neuroimaging)

Abstract

Apparent diffusion coefficient (ADC) values, derived from diffusion-weighted magnetic resonance imaging (DW-MRI), increase with age, reflecting microstructural changes in white matter integrity. However, factors beyond chronological aging may influence cerebral diffusion characteristics. We investigated whether anticoagulant use is associated with favorable white matter ADC profiles, suggesting preserved microvascular health. ADC values were analyzed in cerebral white matter across four age-defined adult cohorts (20–59 years). Minimum, mean, and maximum ADC values were extracted. Patients at the lowest and highest ends of the ADC spectrum within each group were identified. The prevalence of anticoagulant use was compared between groups, and a logistic regression model adjusted for age was used to assess the independent association between anticoagulant use and lower ADC values. Across all cohorts (n = 892), anticoagulated patients (n = 89) were significantly overrepresented among individuals with low ADC values consistent with younger diffusion profiles. Of the anticoagulated patients, 93.3% had ADC values below the lower cut-off limit. In contrast, only 30% of non-anticoagulated patients exhibited such profiles. Anticoagulant use was independently associated with low ADC values after adjusting for age (OR = 4.89, p < 0.0001). Anticoagulation is strongly associated with lower, more favorable ADC values in cerebral white matter, independent of age. These findings support the potential neuroprotective role of anticoagulants and suggest that diffusion MRI may serve as a surrogate marker for early microvascular brain health.

1. Introduction

Magnetic resonance imaging (MRI) remains the gold standard for non-invasive assessment of cerebral pathology, offering excellent spatial resolution and the ability to investigate both macrostructural and microstructural features of the brain. Among advanced MRI techniques, diffusion-weighted imaging (DWI) has emerged as a sensitive method for detecting alterations in tissue microstructure, particularly within cerebral white matter. The apparent diffusion coefficient (ADC), derived from DWI, reflects the magnitude of water molecule diffusion within tissue and serves as an established marker of microstructural integrity [1].
ADC values are known to vary systematically with age, typically increasing across the adult lifespan. This pattern reflects microstructural degeneration processes, including demyelination, axonal loss, increased extracellular space, and altered myelin permeability [2]. Importantly, ADC changes often occur before the onset of clinical symptoms, making them valuable for detecting subclinical brain injury. Longitudinal studies have shown that elevated ADC values predict faster cognitive decline and greater risk of progression from mild cognitive impairment to Alzheimer’s disease [3,4]. Moreover, higher white matter ADC has been associated with poorer executive function, processing speed, and memory performance, even in neurologically healthy individuals [5,6,7]. These associations are consistent across aging and vascular cognitive impairment cohorts, suggesting that ADC is a sensitive marker of early microvascular and neurodegenerative pathology [8,9,10,11,12]. Because it provides a quantitative and reproducible measure of microstructural integrity, ADC is increasingly recognized as a promising imaging biomarker for tracking interventions that may preserve brain health and delay cognitive decline.
While considerable attention has been devoted to age-related brain changes and neurodegeneration, less is known about the impact of vascular risk factors or vascular-modulating therapies on brain diffusion metrics, particularly in individuals without overt cerebrovascular disease. Previous research has shown that hypertension, diabetes, and hyperlipidemia can negatively influence white matter microstructure, often leading to increased ADC values or white matter hyperintensities [13]. However, the potential mitigating effects of pharmacologic interventions on these processes remain underexplored. Understanding whether modifiable treatments can influence diffusion metrics could have major implications for strategies aimed at delaying brain aging and cognitive decline.
Anticoagulation therapy is primarily indicated for prevention of thromboembolic events in atrial fibrillation, deep vein thrombosis, and other prothrombotic states. In recent years, its role in preserving cognitive function has gained attention. Several observational studies and meta-analyses have reported that patients on anticoagulants experience reduced rates of cognitive decline and dementia, even in the absence of overt stroke or transient ischemic attacks [14,15,16]. Proposed mechanisms for this protective effect include improved cerebral perfusion, prevention of silent microemboli, and reduction in microinfarct burden [17,18]. Additionally, anticoagulants may indirectly prevent small-vessel damage and subclinical ischemia—processes implicated in age-related white matter degradation [19].
Despite these promising associations, few studies have examined how anticoagulants influence quantitative neuroimaging markers of brain health, such as the ADC. Most clinical research on anticoagulation has focused on gross outcomes like stroke or dementia, with limited attention to intermediate biomarkers that may reveal earlier or subtler effects of therapy [5,20,21]. Diffusion MRI could offer a valuable window into how vascular-targeted therapies impact the aging brain, particularly in populations not typically considered to be at high neurologic risk.
This study was initially designed to characterize the normative range of ADC values in cerebral white matter across different age groups. During the course of this analysis, we observed that individuals at the lower and upper extremes of normal ADC variation appeared to differ consistently in their use of anticoagulant therapy. This unexpected pattern prompted a secondary, exploratory analysis to formally test whether anticoagulant use is associated with lower ADC values—potentially indicative of better-preserved microstructural integrity. Accordingly, our exploratory hypothesis was that anticoagulant use would be more prevalent among individuals with lower ADC values across age strata and that this association would remain significant after adjusting for age.
To our knowledge, this is the first study to assess the impact of anticoagulation on diffusion MRI metrics in a large, age-stratified cohort. The primary aim of the study was to determine whether anticoagulated individuals disproportionately exhibit ADC values consistent with a “younger” diffusion profile. Our findings suggest a strong and consistent association between anticoagulation and favorable ADC values, supporting the possibility of a neurovascular protective effect. These results may have implications for understanding how vascular-targeted therapies influence subclinical brain aging and may inform future imaging-based biomarkers of cognitive risk.

2. Materials and Methods

2.1. Patient Recruitment

Ethical approval for retrospective analysis of anonymized clinical MRI data was obtained from the Scan Expert clinic, Timisoara, Romania (approval number 34/20.09.2024). All participants underwent MRI based on clinical referral from their treating physician for diagnostic purposes unrelated to this research. As part of the standard written consent for MRI, patients also agreed that their anonymized data could be used for research and educational purposes. The study was conducted in accordance with the principles of the Declaration of Helsinki (1975).
This was a retrospective, cross-sectional study conducted over a 20-month period, including 892 individuals from a neurologically healthy population who underwent brain MRI scanning using a standardized protocol. Participants were identified from our imaging database and were stratified into four primary age groups, each spanning a decade (20–29, 30–39, 40–49, and 50–59 years).
Participants were recruited as individuals undergoing brain MRI for clinical or diagnostic purposes at our center. Eligibility criteria required normal MRI findings, with no evidence of prior stroke, structural brain lesions, or other overt cerebrovascular disease. Participants were excluded if they had any neurological or systemic conditions known to affect the brain (e.g., dementia, multiple sclerosis, diabetes, chronic obstructive pulmonary disease, metabolic disorders), a history of smoking, a family history of dementia or multiple sclerosis, contraindications to MRI (e.g., claustrophobia, implanted metallic devices, pacemakers), or a history of chemotherapy, radiotherapy, or neoplastic disease. Additional exclusion criteria included inability to provide informed consent, noncompliance with imaging protocols, significant motion or susceptibility artifacts, and any allergy to gadolinium-based contrast agents.
As part of the clinical protocol, patients completed a self-reported standardized medical history questionnaire, which included information on anticoagulant use and their associated medical history. This allowed us to retrospectively evaluate the extreme ends of ADC value distributions within each age group and identify shared characteristics. Notably, anticoagulant use emerged as a distinguishing factor among individuals with lower ADC values. Consequently, for each age group, participants were classified into two sub-cohorts: those receiving anticoagulation therapy and those not receiving such treatment. Details regarding the specific type of anticoagulant, dosage, and duration of use were not systematically collected, representing a limitation of the study.
Because this was a retrospective, exploratory analysis of all eligible individuals who underwent MRI during the study period, no a priori sample size calculation was performed. However, the large sample size provided high statistical power for detecting differences in ADC values between groups, as reflected by the highly significant results in our analysis.

2.2. MRI Acquisition Protocol

To ensure consistency and reproducibility, all MRI scans were performed using the same scanner, field strength, and acquisition settings. These parameters determine image resolution, signal quality, and sensitivity to microstructural changes and are provided here for clarity and potential replication. All imaging procedures were performed using a 1.5 Tesla Siemens Magnetom Sola system (Siemens Healthineers, Erlangen, Germany) equipped with a standard head coil. The protocol encompassed axial DWI, along with conventional anatomical sequences, including sagittal and axial T2-weighted, 3D fluid-attenuated inversion recovery (FLAIR), and axial/coronal T1-weighted images acquired pre- and post-contrast administration. These sequences served to exclude overt brain pathology and to identify subtle variations potentially linked to anticoagulant use.
Diffusion-weighted imaging enables assessment of the microscopic motion of water molecules within tissues, which becomes restricted in regions with high cellularity or altered microstructural integrity. This diffusion restriction manifests as a hyperintense signal on DWI and is influenced by gradient strength, timing, and spacing—parameters collectively described by the “b-value.” For robust cerebral diffusion assessment, at least two distinct b-values are typically applied. In this study, images were acquired using b-values of 0, 500, and 1000 s/mm2 across three orthogonal axes (x, y, and z). Isotropic diffusion-weighted images were synthesized from the directional data, and voxel-wise apparent diffusion coefficient (ADC) maps were subsequently generated.
The DWI sequence utilized a spin-echo echo-planar imaging (EPI) technique with a repetition time (TR) of 7000 ms and echo time (TE) of 103 ms. A total of 40 axial slices were acquired at a thickness of 3 mm with a field of view (FOV) of 230 × 230 mm2. The entire diffusion acquisition lasted approximately four minutes.
This non-invasive, contrast-free imaging modality is not only time-efficient but also offers high sensitivity to microstructural alterations. While DWI is frequently interpreted qualitatively in clinical settings (e.g., hyperintensity indicating restricted diffusion), the quantitative analysis via ADC provides additional insight into tissue characteristics and water mobility—parameters increasingly relevant in evaluating subtle brain changes, including those potentially influenced by anticoagulant therapy.

2.3. ROI Selection and ADC Measurement

Diffusion-weighted images and their corresponding apparent diffusion coefficient maps were transferred to a dedicated imaging workstation for quantitative analysis. ADC measurements were obtained from manually placed circular ROIs located within the white matter of the middle cerebral artery territory, avoiding gray matter and cerebrospinal fluid to minimize partial volume effects. ROIs were placed symmetrically in homologous locations across both hemispheres to improve measurement consistency. All ROI placements and measurements were performed by a single experienced rater, using the same anatomical landmarks in each subject to ensure reproducibility. Preprocessing was limited to co-registering b = 0 images (T2-weighted equivalent) to the ADC maps to improve localization accuracy [22]. No additional spatial smoothing or motion correction was applied, as image quality control excluded cases with significant artifacts.
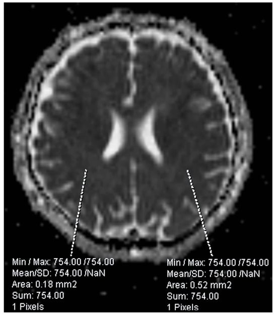
For each ROI, quantitative parameters—including surface area and the minimum, maximum, mean, and standard deviation of ADC values—were extracted. All measurements were performed using SyngoVia Plaza software XA51 (Siemens Healthineers, Erlangen, Germany) (Figure 1).

2.4. Statistical Analysis

The data obtained from ROI measurements were statistically analyzed using SPSS software version 16.0 (SPSS Inc., Chicago, IL, USA). The potential association between anticoagulant use and ADC group membership (low vs. high) was assessed using a chi-square test.
A binary logistic regression analysis was performed to evaluate whether anticoagulant use independently predicted low ADC values after adjusting for age. Model assumptions were assessed prior to analysis: the dependent variable was dichotomous (low vs. high ADC), predictor variables were independent, and there were no significant outliers. Because the model included only two predictors (age and anticoagulant use), multicollinearity was not a concern; this was confirmed by variance inflation factor (VIF) values < 1.1.
The final sample comprised 892 participants. As this was a retrospective, cross-sectional study analyzing all eligible cases during the study window, no a priori power calculation was performed. We conducted a post hoc power analysis based on the observed difference in proportions of “younger-like” ADC profiles between anticoagulated and non-anticoagulated participants (83/89 = 93.3% vs. 58/193 = 30.1%). Using a two-sided test for two independent proportions at α = 0.05, the observed z statistic was 9.87, yielding an estimated power >0.999 and a very large effect size (Cohen’s h = 1.46). These results indicate that the study was amply powered to detect the observed association.

3. Results

A total of 892 patients were included in the study and grouped into five age cohorts: 20–29 years (n = 292), 30–39 years (n = 290), 40–49 years (n = 228), and 50–59 years (n = 82). In alignment with previous reports, the mean ADC value observed in the healthy brain was (0.752071 ± 0.0171) × 10−3 mm2/s, with a range of 0.710–0.797 × 10−3 mm2/s. No statistically significant differences were found between hemispheres, with the left hemisphere showing a mean ADC of 0.75229 ± 0.0143 × 10−3 mm2/s and the right hemisphere showing a mean ADC of 0.75250 ± 0.01474 × 10−3 mm2/s. Similarly, comparison by sex revealed no significant variation, as male participants had a mean ADC of 0.753 × 10−3 mm2/s, while female participants had a mean of 0.7515 × 10−3 mm2/s. Mean ADC values increased progressively with age, ranging from 0.75147 ± 0.01269 mm2/s in the youngest cohort to 0.75738 ± 0.018949 mm2/s in the oldest group.
To assess microstructural variability, we defined lower and upper ADC cut-off thresholds (defined as mean value minus standard deviation and mean value plus standard deviation, respectively) for each group and identified patients falling below or above these limits. Each threshold-based subgroup contained an equal number of patients (n = 46 for groups 20–39; n = 36 for group 40–49; n = 13 for group 50–59, presuming a normal distribution) (Table 1).
Among patients with ADC values below the lower cut-off (interpreted as having a “younger” microstructural profile), anticoagulant use was highly prevalent and increased with age. In contrast, among patients above the upper ADC cut-off (indicating “older” white matter profiles), anticoagulant use was rare. Figure 2 illustrates the distribution of out-of-range ADC values across age groups, stratified by anticoagulant use.
Across all age groups, 83 of the 89 anticoagulated patients (93.3%) had ADC values below the lower cut-off limit, compared to only 58 of the 193 patients (30%) in the non-anticoagulated group. This distribution was highly significant (χ2 = 92.41, p < 0.0001). A chi-square test was conducted to examine the association between anticoagulant use and being in the “younger” ADC group (below lower cut-off value) vs. the “older” ADC group (above upper cut-off value): Chi2 = 97.13 and p-value = 6.48 × 10−23. This is highly statistically significant, meaning there is a very strong association between anticoagulant use and having ADC values in the lower range, which can be interpreted as having a “younger-like” brain microstructure.
Also, a binary logistic regression model including age as a covariate confirmed that anticoagulant use was independently associated with lower ADC values (OR = 4.89, 95% CI: 2.89–8.27, p < 0.0001).
A post hoc power analysis based on the observed group proportions indicated an estimated statistical power >0.999 (two-sided α = 0.05) and a very large effect size (Cohen’s h = 1.46), confirming that the study was amply powered to detect the observed association.
These results support a robust and consistent association between anticoagulation and favorable white matter diffusion profiles across the adult lifespan.

4. Discussion

This study evaluated apparent diffusion coefficient values derived from diffusion-weighted MRI in a large adult cohort stratified by age, aiming to define normative age-related variation and explore potential associations with anticoagulant use. As expected, ADC values increased gradually with age, consistent with prior findings linking aging to diminished white matter integrity and increased extracellular diffusion [2].
A key and novel observation emerged: individuals receiving anticoagulant therapy were significantly overrepresented among those with the lowest ADC values within each age group—values typically associated with a “younger-like” white matter microstructure. Conversely, individuals with the highest ADC values, reflecting more pronounced microstructural alterations, were almost exclusively not on anticoagulants. Across all age strata, 93.3% of anticoagulated patients had ADC values below the age-specific lower cut-off value. In contrast, only 30% of non-anticoagulated individuals fell into this low-ADC category. This relationship persisted across decades of life, and logistic regression confirmed that anticoagulant use remained a strong independent predictor of low ADC values after adjusting for age (OR = 4.89, p < 0.0001).
Several potential mechanisms may explain the association between anticoagulant use and the lower, “younger-like” ADC values observed in this study. Anticoagulants may reduce subclinical microvascular damage by preventing silent microemboli and decreasing the burden of cerebral microinfarcts [17,18]. They may also improve cerebral perfusion and oxygen delivery, mitigating chronic hypoperfusion—a known contributor to white matter degeneration and increased extracellular water content [23,24,25]. Preclinical studies further suggest that anticoagulation can attenuate inflammatory and coagulation cascades implicated in small-vessel disease progression. Together, these effects could preserve axonal density, myelin integrity, and extracellular space homeostasis, thereby maintaining lower ADC values (Figure 3).
Our imaging-based findings complete these observations, indicating that anticoagulant use is associated not only with favorable clinical cognitive outcomes but also with structural markers of healthier white matter. This supports the vascular hypothesis of cognitive aging, which proposes that chronic microvascular dysfunction precedes and contributes to neurodegeneration.
Importantly, the association between anticoagulation and lower, “younger-like” ADC values remained highly significant even after controlling for age, with anticoagulated individuals being nearly five times more likely to fall below the lower ADC threshold for their age group.
Taken together, our results offer new insights into the potential neuroprotective role of anticoagulant therapy in aging populations.

Limitations

While our findings provide new insights, several limitations should be considered. The cross-sectional design precludes establishing causality between anticoagulant use and lower ADC values. The analysis did not include longitudinal follow-up or cognitive assessments, which would be necessary to link diffusion changes directly to clinical outcomes. Information on anticoagulant type, dosage, and duration was not available, and although participants with major vascular risk factors were excluded, unmeasured confounding by indication cannot be entirely ruled out. Future longitudinal studies combining advanced MRI metrics with neuropsychological testing are warranted to clarify the temporal and functional significance of these findings.

5. Conclusions

This study is the first to examine global ADC values—rather than lesion-specific ADC values—in relation to anticoagulant use across the adult lifespan. It reveals a strong and consistent association between anticoagulation and lower, “younger-like” ADC values in cerebral white matter, independent of age. While previous research has primarily examined ADC dynamics in the context of acute ischemic stroke or thrombotic events, our findings shift the focus to global brain diffusion properties in stable individuals. The observed association between anticoagulation and lower ADC values—typically indicative of a younger, healthier brain microstructure—suggests the potential role of anticoagulants in promoting neurovascular preservation.
Notably, the analysis provides quantitative evidence supporting this relationship, with logistic regression indicating that anticoagulated individuals were nearly five times more likely to fall within the lowest ADC category, suggesting a potential microstructural preservation effect associated with anticoagulant therapy.
Lower ADC values in this context may reflect reduced interstitial fluid accumulation, better myelination, and improved capillary perfusion, aligning with vascular hypotheses of cognitive aging. Importantly, this association remained robust even after adjusting for age, and anticoagulated individuals were significantly more likely to exhibit “younger-like” diffusion profiles, with nearly a fivefold increased likelihood of falling into the lowest ADC category. These imaging findings complement and extend prior clinical observations showing reduced rates of cognitive decline and dementia in anticoagulated populations, even in the absence of overt cerebrovascular events.
Our results highlight the potential of diffusion-weighted MRI—and particularly quantitative ADC analysis—as a non-invasive, reproducible biomarker for monitoring brain health in the context of vascular-targeted therapies. Unlike neuropsychological testing, which may be influenced by education, mood, or other confounders, ADC provides a direct measure of microstructural tissue integrity. Given that cognitive decline is often preceded by subtle changes in white matter, tracking ADC could enable early detection of treatment effects before clinical symptoms arise. These findings open new avenues for understanding how vascular interventions might influence brain aging and underscore the value of integrating advanced neuroimaging into future trials aimed at preventing cognitive decline.
These findings suggest that incorporating ADC measurement into routine MRI follow-up protocols for patients receiving anticoagulant therapy could help monitor brain microstructural integrity over time. Such an approach may enable earlier detection of subclinical changes, support individualized treatment strategies, and guide interventions aimed at preserving cognitive function.

Author Contributions

Conceptualization, T.A.A. and N.I.; methodology, T.A.A.; validation, T.A.A., D.S.-R. and N.I.; formal analysis, N.I.; investigation, T.A.A.; data curation, T.A.A.; writing—original draft preparation, T.A.A.; writing—review and editing, T.A.A. and N.I.; supervision, N.I. and D.S.-R. All authors have read and agreed to the published version of the manuscript.

Funding

This research received no external funding.

Institutional Review Board Statement

Ethical approval for retrospective analysis of anonymized clinical MRI data was obtained from the Scan Expert clinic, Timisoara, Romania (approval number 34/20.09.2024). The study was conducted in accordance with the principles of the Declaration of Helsinki (1975, as revised in 2013).

Informed Consent Statement

Informed consent was obtained from the subjects involved in the study.

Data Availability Statement

The original contributions presented in this study are included in the article. Further inquiries can be directed to the corresponding author.

Acknowledgments

T.A.A. acknowledges support from the postdoctoral scholarship “Cercetare postdoctorală avansată,” funded by the West University of Timișoara, Romania (no grant number).

Conflicts of Interest

Author Nicoleta Iacob was employed by the company Miclaus Diagnostic Hub SRL. The remaining authors declare that the research was conducted in the absence of any commercial or financial relationships that could be construed as a potential conflict of interest.

Abbreviations

The following abbreviations are used in this manuscript:
MRIMagnetic resonance imaging
DWIDiffusion-weighted imaging
ADCApparent diffusion coefficient
FLAIRFluid-attenuated inversion recovery
TRRepetition time
TEEcho time
EPISpin-echo echo-planar imaging
FOVField of view
ROIsRegions of interest
NNumber of participants
SDStandard deviation

References

  1. Varga, R.; Fueger, B.J.; Ferrara, F.; Kapetas, P.; Pötsch, N.; Helbich, T.H.; Clauser, P.; Baltzer, P.A.T. Evaluation of apparent diffusion coefficient (ADC) with regards to reproducibility and diagnostic accuracy as well as possible significance of pre- and post-contrast acquisition and employment of different b values. Eur. J. Radiol. 2024, 181, 111730. [Google Scholar] [CrossRef] [PubMed]
  2. Helenius, J.; Soinne, L.; Perkiö, J.; Salonen, O.; Kangasmäki, A.; Kaste, M.; Carano, R.A.; Aronen, H.J.; Tatlisumak, T. Diffusion-weighted MR imaging in normal human brains in various age groups. AJNR Am. J. Neuroradiol. 2002, 23, 194–199. [Google Scholar] [PubMed]
  3. Kantarci, K.; Petersen, R.C.; Boeve, B.F.; Knopman, D.S.; Weigand, S.D.; O’Brien, P.C.; Shiung, M.M.; Smith, G.E.; Ivnik, R.J.; Tangalos, E.G.; et al. DWI predicts future progression to Alzheimer disease in amnestic mild cognitive impairment. Neurology 2005, 64, 902–904. [Google Scholar] [CrossRef] [PubMed]
  4. Sexton, C.E.; Walhovd, K.B.; Storsve, A.B.; Tamnes, C.K.; Westlye, L.T.; Johansen-Berg, H.; Fjell, A.M. Accelerated changes in white matter microstructure during aging: A longitudinal diffusion tensor imaging study. J. Neurosci. 2014, 34, 15425–15436. [Google Scholar] [CrossRef]
  5. Živanović, M.; Aracki Trenkić, A.; Milošević, V.; Stojanov, D.; Mišić, M.; Radovanović, M.; Radovanović, V. The role of magnetic resonance imaging in the diagnosis and prognosis of dementia. Biomol. Biomed. 2023, 23, 209–224. [Google Scholar] [CrossRef]
  6. Rose, S.E.; Chen, F.; Chalk, J.B.; Zelaya, F.O.; Strugnell, W.E.; Benson, M.; Semple, J.; Doddrell, D.M. Loss of connectivity in Alzheimer’s disease: An evaluation of white matter tract integrity with colour coded MR diffusion tensor imaging. J. Neurol. Neurosurg. Psychiatry 2000, 69, 528–530. [Google Scholar] [CrossRef]
  7. Vernooij, M.W.; Ikram, M.A.; Vrooman, H.A.; Wielopolski, P.A.; Krestin, G.P.; Hofman, A.; Niessen, W.J.; Van der Lugt, A.; Breteler, M.M.B. White matter microstructural integrity and cognitive function in a general elderly population. Arch. Gen. Psychiatry 2009, 66, 545–553. [Google Scholar] [CrossRef]
  8. Gunning-Dixon, F.M.; Brickman, A.M.; Cheng, J.C.; Alexopoulos, G.S. Aging of cerebral white matter: A review of MRI findings. Int. J. Geriatr. Psychiatry 2009, 24, 109–117. [Google Scholar] [CrossRef] [PubMed]
  9. O’Sullivan, M.; Jones, D.K.; Summers, P.E.; Morris, R.G.; Williams, S.C.; Markus, H.S. Evidence for cortical “disconnection” as a mechanism of age-related cognitive decline. Neurology 2001, 57, 632–638. [Google Scholar] [CrossRef]
  10. Lv, B.; Jing, F.; Tian, C.L.; Liu, J.C.; Wang, J.; Cao, X.Y.; Liu, X.F.; Yu, S.Y. Diffusion-Weighted Magnetic Resonance Imaging in the Diagnosis of Cerebral Venous Thrombosis: A Meta-Analysis. J. Korean Neurosurg. Soc. 2021, 64, 418–426. [Google Scholar] [CrossRef]
  11. Meinel, T.R.; Kaesmacher, J.; Gralla, J.; Seiffge, D.J.; Auer, E.; Frey, S.; El-Koussy, M.; Arnold, M.; Fischer, U.; Göldlin, M.; et al. MRI characteristics in acute ischemic stroke patients with preceding direct oral anticoagulant therapy as compared to vitamin K antagonists. BMC Neurol. 2020, 20, 86. [Google Scholar] [CrossRef] [PubMed]
  12. Shah, N.; Reichel, T.; Fleckenstein, J.L. Diffusion findings in blood clot: The last word? AJNR Am. J. Neuroradiol. 2004, 25, 157–158. [Google Scholar]
  13. Maillard, P.; Seshadri, S.; Beiser, A.; Himali, J.J.; Au, R.; Fletcher, E.; Carmichael, O.; Wolf, P.A.; DeCarli, C. Effects of systolic blood pressure on white-matter integrity in young adults in the Framingham Heart Study: A cross-sectional study. Lancet Neurol. 2012, 11, 1039–1047. [Google Scholar] [CrossRef]
  14. Bunch, T.J.; May, H.; Cutler, M.; Woller, S.C.; Jacobs, V.; Stevens, S.M.; Carlquist, J.; Knowlton, K.U.; Muhlestein, J.B.; Steinberg, B.A.; et al. Impact of anticoagulation therapy on the cognitive decline and dementia in patients with non-valvular atrial fibrillation (cognitive decline and dementia in patients with non-valvular atrial fibrillation [CAF] trial). J. Arrhythm. 2022, 38, 997–1008. [Google Scholar] [CrossRef]
  15. Cao, L.; Pokorney, S.D.; Hayden, K.; Welsh-Bohmer, K.; Newby, L.K. Cognitive Function: Is There More to Anticoagulation in Atrial Fibrillation Than Stroke? J. Am. Heart Assoc. 2015, 4, e001573. [Google Scholar] [CrossRef]
  16. Zeng, D.; Jiang, C.; Su, C.; Tan, Y.; Wu, J. Anticoagulation in atrial fibrillation and cognitive decline: A systematic review and meta-analysis. Medicine 2019, 98, e14499. [Google Scholar] [CrossRef] [PubMed]
  17. Toribio-Fernandez, R.; Ceron, C.; Tristão-Pereira, C.; Fernandez-Nueda, I.; Perez-Castillo, A.; Fernandez-Ferro, J.; Moro, M.A.; Ibañez, B.; Fuster, V.; Cortes-Canteli, M. Oral anticoagulants: A plausible new treatment for Alzheimer’s disease? Br. J. Pharmacol. 2024, 181, 760–776. [Google Scholar] [CrossRef]
  18. Madhavan, M.; Holmes, D.N.; Piccini, J.P.; Ansell, J.E.; Fonarow, G.C.; Hylek, E.M.; Kowey, P.R.; Mahaffey, K.W.; Thomas, L.; Peterson, E.D.; et al. Association of frailty and cognitive impairment with benefits of oral anticoagulation in patients with atrial fibrillation. Am. Heart J. 2019, 211, 77–89. [Google Scholar] [CrossRef]
  19. Ding, M.; Fratiglioni, L.; Johnell, K.; Santoni, G.; Fastbom, J.; Ljungman, P.; Marengoni, A.; Qiu, C. Atrial fibrillation, antithrombotic treatment, and cognitive aging: A population-based study. Neurology 2018, 91, e1732–e1740. [Google Scholar] [CrossRef]
  20. Chiewvit, P. Neuroimaging in Common Neurological Diseases Treated by Anticoagulants. In Neurophysiology—Networks, Plasticity, Pathophysiology and Behavior; IntechOpen: London, UK, 2022. [Google Scholar]
  21. Umemura, T.; Hatano, T.; Ogura, T.; Miyata, T.; Agawa, Y.; Nakajima, H.; Tomoyose, R.; Sakamoto, H.; Tsujimoto, Y.; Nakazawa, Y.; et al. ADC Level is Related to DWI Reversal in Patients Undergoing Mechanical Thrombectomy: A Retrospective Cohort Study. AJNR Am. J. Neuroradiol. 2022, 43, 893–898. [Google Scholar] [CrossRef] [PubMed]
  22. Nichols, L.; Bridgewater, J.C.; Wagner, N.B.; Karivelil, M.; Koelmeyer, H.; Goings, D.; Hope, T.D. Where in the Brain do Strokes Occur? A Pilot Study and Call for Data. Clin. Med. Res. 2021, 19, 110–115. [Google Scholar] [CrossRef] [PubMed]
  23. Lee, K.H.; Yeh, J.T.; Wu, M.L.; Yeh, W.Y.; Lip, G.Y.H.; Chiang, C.E.; Chen, C.H.; Cheng, H.M. Oral anticoagulants and cognitive impairment in patients with atrial fibrillation: A systematic review with meta-analysis and trial sequential analysis. Thromb. Res. 2024, 238, 132–140. [Google Scholar] [CrossRef] [PubMed]
  24. Kalloo, A.E.; Slouha, E.; Gallagher, C.P.; Razeq, Z.; Gorantla, V.R. Anticoagulants and Dementia: A Systematic Review. Cureus 2023, 15, e39693. [Google Scholar] [CrossRef]
  25. Zhang, C.; Zhang, J.; Zhao, X.; Jiang, D.; Liu, X.; Liang, Y. Association of direct oral anticoagulants and warfarin with incidence of dementia in atrial fibrillation patients: A systematic review and meta-analysis. Int. J. Cardiol. Heart Vasc. 2024, 54, 101401. [Google Scholar] [CrossRef] [PubMed]
Figure 1. Example of ROI placement in cerebral white matter. Small, circular ROIs were symmetrically positioned within homologous regions of both hemispheres.
Figure 1. Example of ROI placement in cerebral white matter. Small, circular ROIs were symmetrically positioned within homologous regions of both hemispheres.
Applsci 15 09022 g001
Figure 2. The distribution of patients with ADC values below and above cut-off limits across age groups, separated by anticoagulant use.
Figure 2. The distribution of patients with ADC values below and above cut-off limits across age groups, separated by anticoagulant use.
Applsci 15 09022 g002
Figure 3. Proposed mechanisms linking anticoagulant use to lower ADC values in cerebral white matter.
Figure 3. Proposed mechanisms linking anticoagulant use to lower ADC values in cerebral white matter.
Applsci 15 09022 g003
Table 1. Age groups, number of participants (N), mean ADC (mm2/s) ± SD, proportion below and above one standard deviation from the mean (μ ± σ), and anticoagulant use per category.
Table 1. Age groups, number of participants (N), mean ADC (mm2/s) ± SD, proportion below and above one standard deviation from the mean (μ ± σ), and anticoagulant use per category.
AgeNMean ADC ValueSDLower Cut-off Limit (μ − σ)Anticoagulant Use: Below ADC Limit. N (%)Upper Cut-off Limit (μ + σ)Anticoagulant Use: Above ADC Limit. N (%)
20–292920.751470.0126860.73878417 (36.95%)0.7641560 (0%)
30–392900.751500.0135730.73792724 (52.17%)0.7650730 (0%)
40–492280.753320.0162030.73711730 (83.33%)0.7694231 (2.77%)
50–59820.757380.0189490.73843112 (92.3%)0.7763295 (38.46%)
Disclaimer/Publisher’s Note: The statements, opinions and data contained in all publications are solely those of the individual author(s) and contributor(s) and not of MDPI and/or the editor(s). MDPI and/or the editor(s) disclaim responsibility for any injury to people or property resulting from any ideas, methods, instructions or products referred to in the content.

Share and Cite

MDPI and ACS Style

Albu, T.A.; Iacob, N.; Susan-Resiga, D. White Matter Integrity and Anticoagulant Use: Age-Stratified Insights from MRI Diffusion-Weighted Imaging. Appl. Sci. 2025, 15, 9022. https://doi.org/10.3390/app15169022

AMA Style

Albu TA, Iacob N, Susan-Resiga D. White Matter Integrity and Anticoagulant Use: Age-Stratified Insights from MRI Diffusion-Weighted Imaging. Applied Sciences. 2025; 15(16):9022. https://doi.org/10.3390/app15169022

Chicago/Turabian Style

Albu, Teodora Anca, Nicoleta Iacob, and Daniela Susan-Resiga. 2025. "White Matter Integrity and Anticoagulant Use: Age-Stratified Insights from MRI Diffusion-Weighted Imaging" Applied Sciences 15, no. 16: 9022. https://doi.org/10.3390/app15169022

APA Style

Albu, T. A., Iacob, N., & Susan-Resiga, D. (2025). White Matter Integrity and Anticoagulant Use: Age-Stratified Insights from MRI Diffusion-Weighted Imaging. Applied Sciences, 15(16), 9022. https://doi.org/10.3390/app15169022

Note that from the first issue of 2016, this journal uses article numbers instead of page numbers. See further details here.

Article Metrics

Back to TopTop