Inadvertent Tooth Movement from a Bonded Mandibular Lingual Retainer—A Case Report with a Follow-Up 3D Analysis of Tooth Movement and a Microscopic Evaluation of the Wire
Abstract
Featured Application
Abstract
1. Introduction
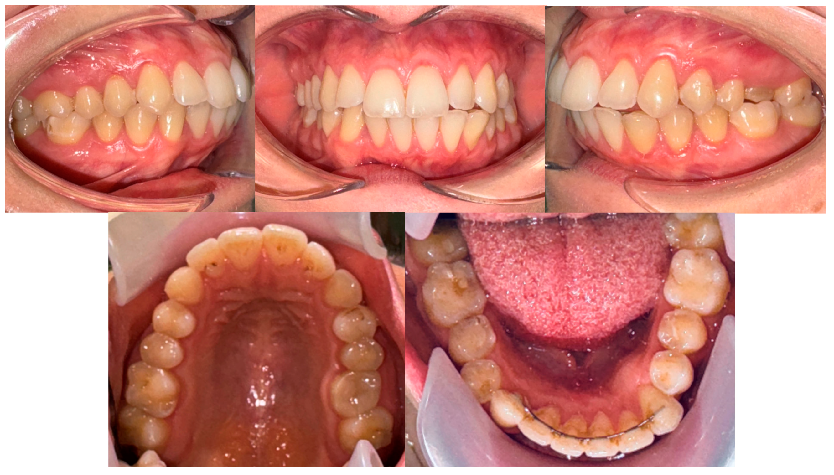
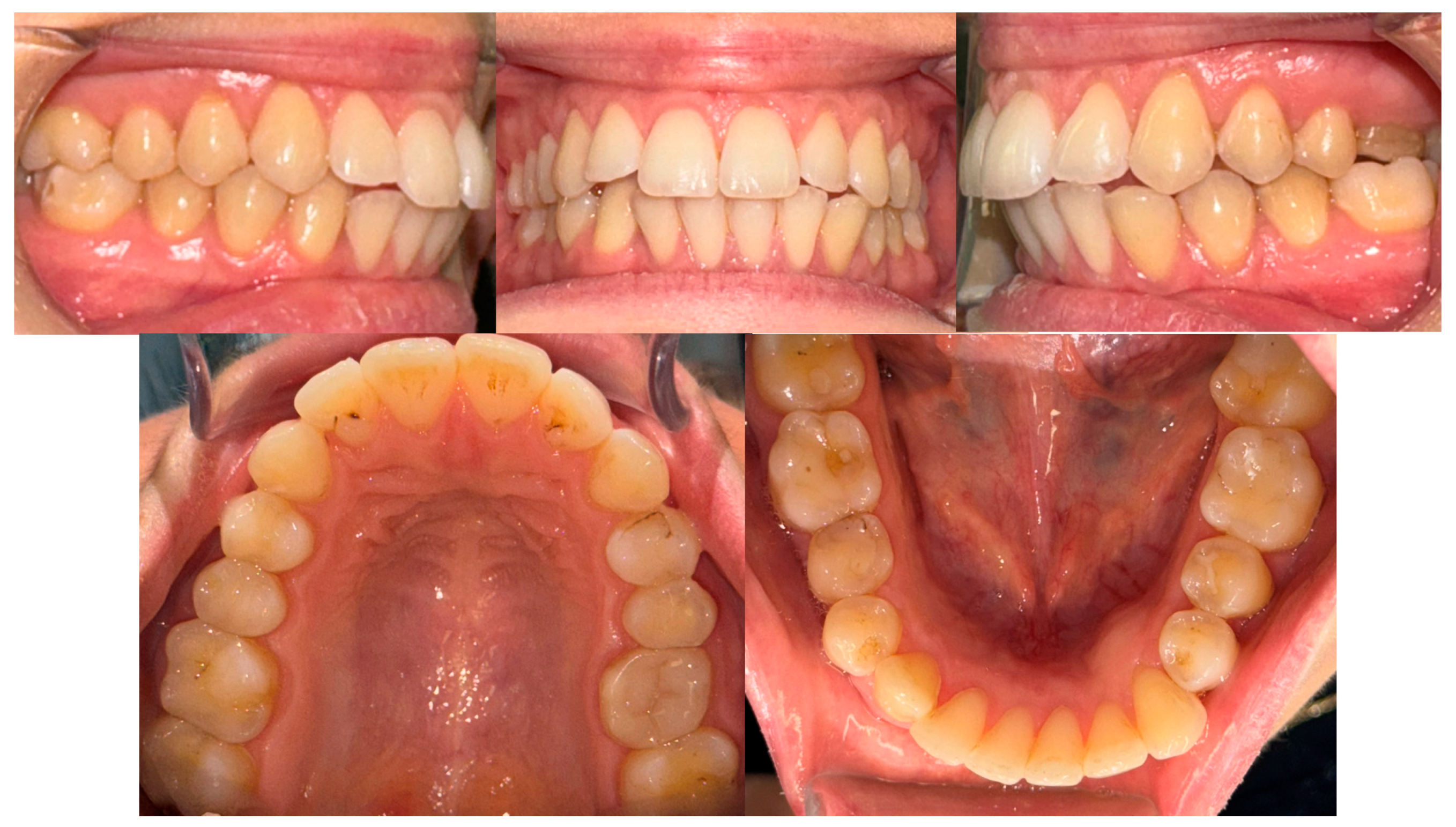
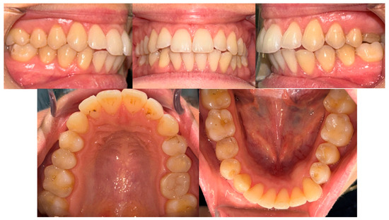
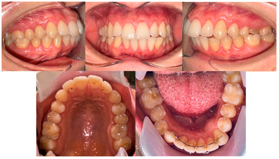
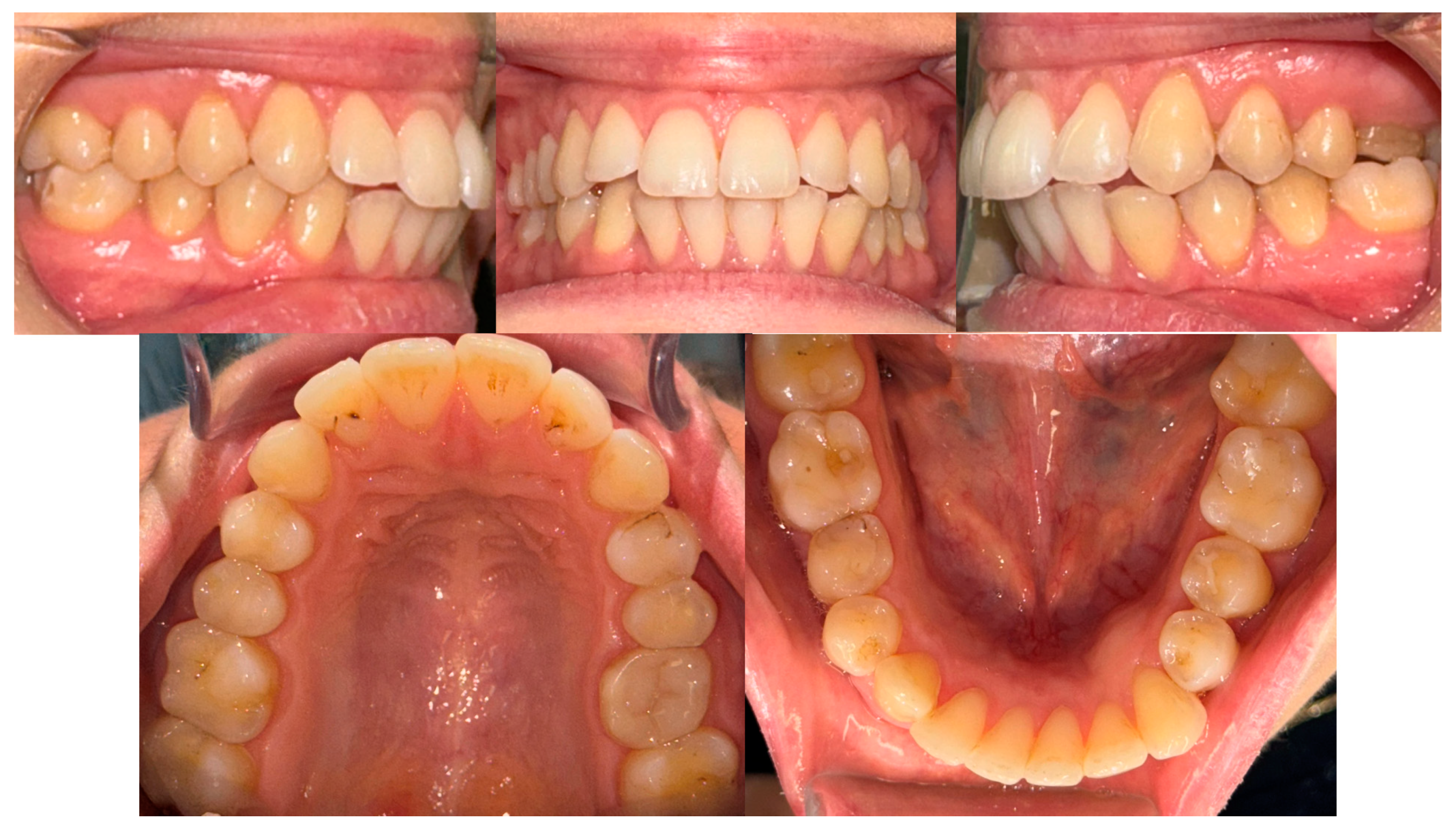
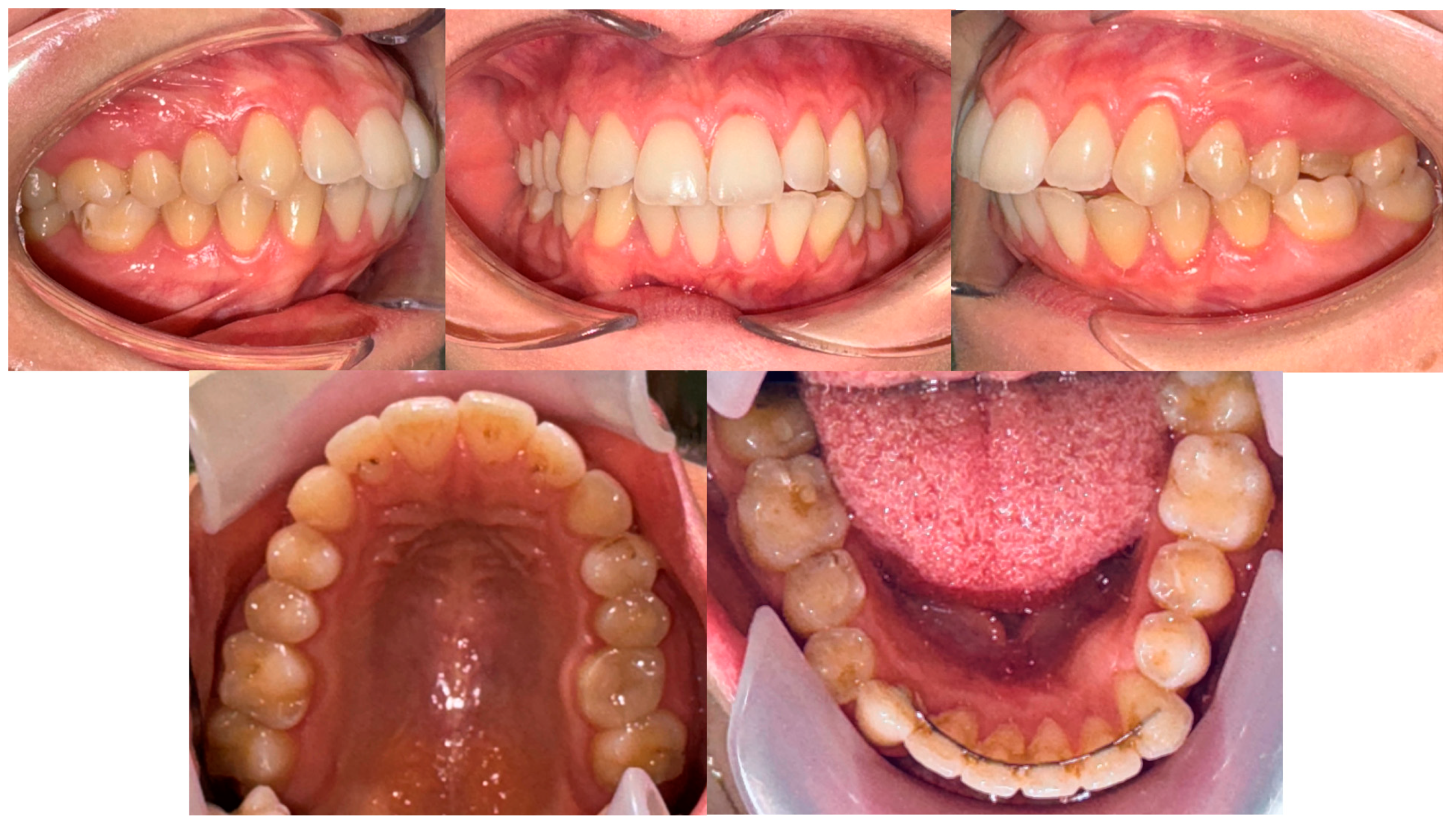
2. Case Presentation
2.1. Patient Characteristics
2.2. Intraoral Scans and Superimposition
2.3. Retainer Microscopic Analyses
3. Discussion
4. Conclusions
- The presented case report indicates that there is always a need to remove a fixed retainer when a twist effect is diagnosed. Even if the patient does not consider re-treatment in the near future, the removal of the fixed retainer will cause a spontaneous partial correction. Furthermore, the lack of force on the teeth will prevent further worsening and subsequent complications.
- The sections of wire covered with composite are less likely to untwist in the future. In the presented case, the changes in the dimensions of the round retainer wire could not have led to such significant changes in the teeth’s positions.
Supplementary Materials
Author Contributions
Funding
Institutional Review Board Statement
Informed Consent Statement
Data Availability Statement
Conflicts of Interest
References
- Inchingolo, F.; Inchingolo, A.M.; Ceci, S.; Carpentiere, V.; Garibaldi, M.; Riccaldo, L.; Di Venere, D.; Inchingolo, A.D.; Malcangi, G.; Palermo, A.; et al. Orthodontic Relapse after Fixed or Removable Retention Devices: A Systematic Review. Appl. Sci. 2023, 13, 11442. [Google Scholar] [CrossRef]
- Jedliński, M.; Mazur, M.; Schmeidl, K.; Grocholewicz, K.; Ardan, R.; Janiszewska-Olszowska, J. Orthodontic Retention-Protocols and Materials-A Questionnaire Pilot Study among Polish Practitioners. Materials 2022, 15, 666. [Google Scholar] [CrossRef]
- Sangalli, L.; Savoldi, F.; Dalessandri, D.; Visconti, L.; Massetti, F.; Bonetti, S. Remote Digital Monitoring during the Retention Phase of Orthodontic Treatment: A Prospective Feasibility Study. Korean J. Orthod. 2022, 52, 123–130. [Google Scholar] [CrossRef]
- Wolf, M.; Schulte, U.; Küpper, K.; Bourauel, C.; Keilig, L.; Papageorgiou, S.N.; Dirk, C.; Kirschneck, C.; Daratsianos, N.; Jäger, A. Post-treatment changes in permanent retention. J. Orofac. Orthop. 2016, 77, 446–453. [Google Scholar] [CrossRef]
- Jedliński, M.; Grocholewicz, K.; Mazur, M.; Janiszewska-Olszowska, J. What Causes Failure of Fixed Orthodontic Retention?—Systematic Review and Meta-Analysis of Clinical Studies. Head Face Med. 2021, 17, 32. [Google Scholar] [CrossRef]
- Bearn, D.R. Bonded Orthodontic Retainers: A Review. Am. J. Orthod. Dentofac. Orthop. 1995, 108, 207–213. [Google Scholar] [CrossRef]
- Katsaros, C.; Livas, C.; Renkema, A.M. Unexpected complications of bonded mandibular lingual retainers. Am. J. Orthod. Dentofac. Orthop. 2007, 132, 838–841. [Google Scholar] [CrossRef] [PubMed]
- Pazera, P.; Fudalej, P.; Katsaros, C. Severe Complication of a Bonded Mandibular Lingual Retainer. Am. J. Orthod. Dentofac. Orthop. 2012, 142, 406–409. [Google Scholar] [CrossRef] [PubMed]
- Charavet, C.; Vives, F.; Aroca, S.; Dridi, S.-M. “Wire Syndrome” Following Bonded Orthodontic Retainers: A Systematic Review of the Literature. Healthcare 2022, 10, 379. [Google Scholar] [CrossRef]
- Shaughnessy, T.G.; Proffit, W.R.; Samara, S.A. Inadvertent Tooth Movement with Fixed Lingual Retainers. Am. J. Orthod. Dentofac. Orthop. 2016, 149, 277–286. [Google Scholar] [CrossRef]
- Sifakakis, I.; Pandis, N.; Eliades, T.; Makou, M.; Katsaros, C.; Bourauel, C. In-Vitro Assessment of the Forces Generated by Lingual Fixed Retainers. Am. J. Orthod. Dentofac. Orthop. 2011, 139, 44–48. [Google Scholar] [CrossRef] [PubMed]
- Arnold, D.T.; Dalstra, M.; Verna, C. Torque resistance of different stainless steel wires commonly used for fixed retainers in orthodontics. J. Orthod. 2016, 43, 121–129. [Google Scholar] [CrossRef] [PubMed]
- Kučera, J.; Littlewood, S.J.; Marek, I. Fixed Retention: Pitfalls and Complications. Br. Dent. J. 2021, 230, 703–708. [Google Scholar] [CrossRef]
- Renkema, A.M.; Renkema, A.; Bronkhorst, E.; Katsaros, C. Long-term effectiveness of canine-to-canine bonded flexible spiral wire lingual retainers. Am. J. Orthod. Dentofac. Orthop. 2011, 139, 614–621. [Google Scholar] [CrossRef] [PubMed]
- Riley, D.S.; Barber, M.S.; Kienle, G.S.; Aronson, J.K.; von Schoen-Angerer, T.; Tugwell, P.; Kiene, H.; Helfand, M.; Altman, D.G.; Sox, H.; et al. CARE Guidelines for Case Reports: Explanation and Elaboration Document. J. Clin. Epidemiol. 2017, 89, 218–235. [Google Scholar] [CrossRef] [PubMed]
- Jedliński, M.; Tandecka, K.; Grocholewicz, K.; Janiszewska-Olszowska, J. Three-Dimensional Microanalysis of Tooth Movement during the First 6 Months of Orthodontic Double Retention. Am. J. Orthod. Dentofac. Orthop. 2024, 165, 143–160. [Google Scholar] [CrossRef]
- Sfondrini, M.F.; Pascadopoli, M.; Beccari, S.; Beccari, G.; Rizzi, C.; Gandini, P.; Scribante, A. Orthodontic Fixed Retainer and Unwanted Movements of Lower Anterior Teeth: A Case Report. Case Rep. Dent. 2022, 2022, e3100360. [Google Scholar] [CrossRef]
- Steegmans, P.A.J.; Jonkman, R.E.G.; De Lange, J. Fixed Flexible Spiral Wire Retainers and Unwanted Tooth Movements: A Case Report. Appl. Sci. 2023, 13, 922. [Google Scholar] [CrossRef]
- Singh, P. Canine Avulsion: An Extreme Complication of a Fixed Mandibular Lingual Retainer. Am. J. Orthod. Dentofac. Orthop. 2021, 160, 473–477. [Google Scholar] [CrossRef]
- Tee, S.H.M.; Shahid, S.; Al-Moghrabi, D.; Fleming, P.S. An Assessment of the Impact of Adhesive Coverage and Wire Type on Fixed Retainer Failures and Force Propagation along Two Types of Orthodontic Retainer Wires: An in Vitro Study. Angle Orthod. 2023, 93, 712–720. [Google Scholar] [CrossRef]
- Jacobson, A. The Essix Appliance Technology: Applications, Fabrication and Rationale: J. J. Sheridan, K. Hillard, and P. Armbruster CTAC International, Inc; 2003; 130 Pages; $82.50. Am. J. Orthod. Dentofac. Orthop. 2003, 124, 749. [Google Scholar] [CrossRef]
- Mollov, N.D.; Lindauer, S.J.; Best, A.M.; Shroff, B.; Tufekci, E. Patient attitudes toward retention and perceptions of treatment success. Angle Orthod. 2010, 80, 468–473. [Google Scholar] [CrossRef] [PubMed] [PubMed Central]
- Molyneaux, C.; Sandy, J.R.; Ireland, A.J. Orthodontic Retention and the Role of the General Dental Practitioner. Br. Dent. J. 2021, 230, 753–757. [Google Scholar] [CrossRef] [PubMed]
- Charavet, C.; Israël, N.; Vives, F.; Dridi, S.-M. Importance of Early Detection of Wire Syndrome: A Case Series Illustrating the Main Stages of the Clinical Gradient. Clin. Pract. 2023, 13, 1100–1110. [Google Scholar] [CrossRef] [PubMed]










Disclaimer/Publisher’s Note: The statements, opinions and data contained in all publications are solely those of the individual author(s) and contributor(s) and not of MDPI and/or the editor(s). MDPI and/or the editor(s) disclaim responsibility for any injury to people or property resulting from any ideas, methods, instructions or products referred to in the content. |
© 2024 by the authors. Licensee MDPI, Basel, Switzerland. This article is an open access article distributed under the terms and conditions of the Creative Commons Attribution (CC BY) license (https://creativecommons.org/licenses/by/4.0/).
Share and Cite
Jedliński, M.; Tandecka, K.; Grocholewicz, K.; Janiszewska-Olszowska, J. Inadvertent Tooth Movement from a Bonded Mandibular Lingual Retainer—A Case Report with a Follow-Up 3D Analysis of Tooth Movement and a Microscopic Evaluation of the Wire. Appl. Sci. 2024, 14, 3889. https://doi.org/10.3390/app14093889
Jedliński M, Tandecka K, Grocholewicz K, Janiszewska-Olszowska J. Inadvertent Tooth Movement from a Bonded Mandibular Lingual Retainer—A Case Report with a Follow-Up 3D Analysis of Tooth Movement and a Microscopic Evaluation of the Wire. Applied Sciences. 2024; 14(9):3889. https://doi.org/10.3390/app14093889
Chicago/Turabian StyleJedliński, Maciej, Katarzyna Tandecka, Katarzyna Grocholewicz, and Joanna Janiszewska-Olszowska. 2024. "Inadvertent Tooth Movement from a Bonded Mandibular Lingual Retainer—A Case Report with a Follow-Up 3D Analysis of Tooth Movement and a Microscopic Evaluation of the Wire" Applied Sciences 14, no. 9: 3889. https://doi.org/10.3390/app14093889
APA StyleJedliński, M., Tandecka, K., Grocholewicz, K., & Janiszewska-Olszowska, J. (2024). Inadvertent Tooth Movement from a Bonded Mandibular Lingual Retainer—A Case Report with a Follow-Up 3D Analysis of Tooth Movement and a Microscopic Evaluation of the Wire. Applied Sciences, 14(9), 3889. https://doi.org/10.3390/app14093889

