Next Article in Journal
Improving Hardenability Modeling: A Bayesian Optimization Approach to Tuning Hyperparameters for Neural Network Regression
Previous Article in Journal
Mobile Robot for Security Applications in Remotely Operated Advanced Reactors
Previous Article in Special Issue
SEM Studies Assessing the Efficacy of Laser Treatment for Primary Teeth: A Systematic Review
 
 
Font Type:
Arial Georgia Verdana
Font Size:
Aa Aa Aa
Line Spacing:
Column Width:
Background:
Article

Pain Perception Following Periodontal Decontamination Treatment with Laser Therapies: Comparison between Oxygen High-Level Laser Therapy (OHLLT) and Laser-Assisted New Attachment Procedure (LANAP)

1
School of Medicine and Surgery, University of Milano-Bicocca, Via Cadore 48, 20900 Monza, Italy
2
Fondazione IRCCS San Gerardo dei Tintori, Via Pergolesi 33, 20900 Monza, Italy
3
Faculty of Odontology, University of Montpellier, 545 Av. du Pr. Jean Louis Viala, 34193 Montpellier, France
*
Author to whom correspondence should be addressed.
Appl. Sci. 2024, 14(6), 2553; https://doi.org/10.3390/app14062553
Submission received: 26 November 2023 / Revised: 20 February 2024 / Accepted: 13 March 2024 / Published: 18 March 2024

Abstract

Introduction: Within the field of periodontology, there has been a proposal for the utilization of noninvasive laser therapy as a potential treatment for persistent periodontitis. The Laser-Assisted New Attachment Procedure (LANAP) employs an Nd:YAG laser as a specific technique. Through its interaction with endogenous chromophores, the Nd: YAG laser exhibits a selective effect on the evaporation of granulation tissue, therefore establishing a correlation with reduced bleeding. The study also examined Oxygen High-Level Laser Therapy (OHLLT). The OHLLT technique employs a high-power diode laser in combination with hydrogen peroxide solutions to facilitate the liberation of singlet oxygen, which possesses antibacterial attributes, within the periodontal pockets. The existing literature indicates their potential to promote the regeneration of tooth support tissues. Objective: The aim of this study is to assess the subjective pain levels reported by patients who have undergone surgery using the OHLLT protocol versus those who have undergone surgery using the LANAP technique. Methods: A total of 20 individuals with a stage III–IV periodontitis diagnosis were recruited for the study. The participants were randomly divided into two groups, each consisting of 10 individuals: Group 1, comprising patients treated according to the LANAP protocol, and Group 2, comprising patients treated according to the OHLLT protocol. After their initial session of nonsurgical periodontal therapy, individuals provided feedback regarding their level of pain, utilizing a Numerical Rating Scale (NRS) comprising time intervals of 0 h (T0), 6 h (T1), 12 h (T2), 24 h (T3), 48 h (T4), and 7 days (T5). The Wilcoxon–Mann–Whitney statistical test was employed to assess the variations in NRS scores between Group 1 and Group 2 at each recording period. (p ≤ 0.05). In addition, a microbiological assessment of the bacterial load in the periodontal region was conducted on all subjects using real-time PCR testing at two time points: prior to treatment (T0) and seven days post-treatment (T5). Results: The findings of this study indicate that the OHLLT group exhibited significantly lower pain levels compared to the LANAP group at all time intervals, except for the preoperative period, where no significant difference was observed (p < 0.05). Group 2 exhibited a more rapid decrease in pain, as demonstrated by a score test approaching zero within 24 h. The quantity of periodontal bacteria seen seven days post-treatment was similar between the two groups and was found to be decreased compared to the pre-treatment levels. Conclusions: The OHLLT and LANAP regimens have demonstrated efficacy in the nonsurgical management of periodontal disease. Nevertheless, it should be noted that the OHLLT approach does not subject the patient to any thermal hazards, unlike the LANAP method. The postoperative discomfort experienced following the OHLLT procedure is indeed reduced, as this technique is characterized by lower invasiveness and reduced dependence on the operator.

1. Introduction

Periodontitis and peri-implantitis are pathological conditions resulting from the colonization of pathogenic bacteria within the periodontal pockets and peri-implant spaces [1]. These illnesses are characterized by the progressive degradation of the underlying bone structure, leading to the loss of support for either the natural tooth or the dental implant. The revised classification of periodontal diseases, resulting from the collaborative consensus conference held by the European Federation of Periodontology (EFP) and the American Academy of Periodontology (AAP) in 2017, emphasizes the significance of bacterial colonization in periodontal and peri-implant tissues, as well as the unique susceptibility of each patient to periodontitis [1].
Following the conventional nonsurgical and surgical treatments for periodontal and peri-implant conditions, there are documented instances of therapeutic failures in the existing literature [2,3,4]. The incomplete decontamination of the root or implant surface and adjacent soft tissues is responsible for their presence, which is attributed to the aggressive bacterial biofilm. These bacterial species, including Porphyromonas gingivalis, Treponema denticola, Bacteroides forsythus, Fusobacterium nucleatum, and Peptostreptococcus micros, belong to Socransky’s red and orange complexes [5]. Multiple studies [6,7,8,9,10,11,12,13,14,15,16] have demonstrated that the persistence of these bacteria remains evident even after a year of treatment, regardless of whether the patient undergoes periodontal maintenance therapy every 4–6 months. This recolonization of the periodontal pockets is observed in both nonsurgical interventions and regenerative surgery [2,3]. It can be inferred that the management of advanced periodontitis necessitates the utilization of antibiotic combinations, despite the World Health Organization’s recommendations to reduce their usage to prevent the proliferation of antibiotic resistance.
To mitigate these circumstances, numerous scholarly investigations have been suggested to implement laser-based protocols for the management of periodontitis, either independently or in conjunction with other substances. Various classifications of lasers exist. Penetrating lasers within the wavelength range of 600 nm to 1100 nm appear to be well-suited for use in periodontology, provided that the necessary parameters are utilized.
Numerous investigations have been conducted since the 1980s to examine the application of laser therapy in the field of periodontology. The literature available during that time period indicated that laser radiation could potentially achieve decontamination of periodontal pockets [17,18].
The Laser-Assisted New Attachment Procedure (LANAP) protocol was developed based on this idea, and numerous investigations in the academic literature have provided evidence of its efficacy [7,8,9,10,11]. The inclusion of a solid-crystal, digitally pulsed, yttrium aluminum garnet dental laser with neodymium doping (Nd:YAG) is an essential element of the LANAP® surgical technique [19]. The Nd:YAG laser can selectively vaporize granulation tissue by interacting with endogenous chromophores, namely melanin and hemoglobin. This process also leads to a reduction in bleeding, as the laser exhibits a hemostatic effect [7,8].
During the initial phase of the therapy, the Nd:YAG laser is introduced into the periodontal pocket prior to employing alternative treatment modalities, utilizing a brief pulse duration and a substantial pulse width. The maximum pulse power setting is operationally defined as the peak level of light energy attained during a laser pulse [20]. The objective of utilizing the Nd: YAG laser in this particular stage is to selectively induce photodepolarization of the inflamed follicular epithelium, a process commonly referred to as “de-epithelialization” [21,22]. This serves to initiate the formation of a surgical access flap in the gingiva, resembling the one generated in neoablation ablative surgery [19]. Additionally, the laser aids in creating a dry and blood-free operating field, minimizing the presence of calculus deposits on the root surface to facilitate extractions [23] and effectively eliminating bacteria within the submucosal biofilm [19]. In addition to the second LANAP® surgical protocol, Nd:YAG was employed with prolonged pulse duration and reduced levels of maximum pulse power. This application occurred only after the completion of mechanical root cleaning and skeletal modification/detachment, serving to thermally induce (freeze) the fibrin clot at the interface between the tooth and dental flap. Furthermore, it was utilized to achieve hemostasis and stabilize the soft tissue after sutureless treatment [5,11]. Furthermore, following the conclusion of Nd:YAG treatment, occlusion correction is carried out utilizing the LANAP® surgical protocol to eliminate dense, unattached, and concealed teeth, sustain wound stability post-treatment, and facilitate passive tooth eruption [7].
It is important to acknowledge that an elevation in temperature within the periodontal pockets, although limited to a specific area, carries the potential risk of modifying the patient’s periodontal tissues. This can result in temporary consequences, such as the occurrence of postoperative pain and swelling, or permanent consequences, such as the loss of periodontal tissue due to thermal damage.
To mitigate the occurrence of post-treatment sequelae and minimize complications associated with the implementation of the LANAP technique, which is heavily reliant on the operator’s proficiency and susceptible to the dentist’s experience, there has been a suggestion to employ clinical protocols of photodynamic therapy. This is primarily aimed at reducing the risk of overheating the periodontal tissues. These processes involve the eradication of germs and microbes using light rather than heat. To effectively combat bacterial infections in the periodontal pocket, it is necessary to employ a photosensitizer or chromophore that possesses the ability to bind to the bacterial membrane. This binding interaction enables the subsequent release of singlet oxygen, which is facilitated by the application of energy [12,13,14,15,24,25].
Singlet oxygen is an inherently unstable molecular species that can be found in several natural occurrences, including but not limited to the aurora borealis. The half-life of this entity is extremely brief, measuring less than one microsecond. The utilization of a high-power laser with a frequency above 6000 Hz enables its emission within the periodontal pockets.
Scientific literature has provided evidence that photodynamic therapy techniques utilizing low-power penetrating lasers, typically emitting continuously without power peaks exceeding 2 W, in conjunction with dyes like toluidine blue, phenothiazine chloride, or indochina, are ineffective in eliminating the bacteria accountable for periodontal disease [17]. Furthermore, these techniques do not yield superior long-term outcomes compared to conventional nonsurgical periodontal therapy [17]. Despite the administration of these tests, the outcomes failed to meet the anticipated standards [26].
Several studies have been conducted to examine the efficacy of procedures utilizing diode lasers characterized by high peak power and low average powers not exceeding 0.8 W [27]. The objective was to prevent the tissues from experiencing a thermal elevation above 42 degrees Celsius within the range of 27 to 34 degrees. These techniques allow for the introduction of the laser into the periodontal pockets while minimizing any substantial increase in temperature. In contrast, a state of mild vasodilation will be attained, leading to a subsequent occurrence of light bleeding after the therapy.
Multiple studies have demonstrated the effectiveness of dye-free photodynamic therapy in managing chronic periodontitis through the implementation of a clinical and microbiological assessment utilizing PCR Real-Time Tests [27,28]. The Oxygen High-Level Laser Therapy (OHLLT) protocol [29,30,31] involves the utilization of a diode laser (Wiser, Lambda, Vicenza, Italy) in conjunction with a hydrogen peroxide-based solution known as the Sioxil® solution (Lambda, Vicenza, Italy). This solution contains hydrogen peroxide stabilized at 10 volumes (3%), which has been purified to remove cytotoxic residues. Additionally, glycerophosphate is included in the solution to facilitate the cellular biostimulation of fibroblasts and keratinocytes [29]. After the administration of treatments, microbiological analyses were conducted on the interior of the periodontal pockets. Substantial reductions were observed in the overall bacterial count as well as the count of specific bacterial species, such as Aggregatibacter actinomycetemcomitans and Porphyromonas gingivalis. These two species are recognized as the primary causative agents of both juvenile and chronic periodontitis. The experimental findings indicate that the performance of stabilized hydrogen peroxide (Sioxil® solution) was superior to that of conventional 10 vol hydrogen peroxide in the regeneration test. The antibacterial activity remains mostly unchanged, with a marginal decrease of 3%.
Both the Open-Healing Laser-Assisted New Attachment Procedure (OHLLT) and the Laser-Assisted New Attachment Procedure (LANAP) procedures have shown a propensity for promoting the regeneration of tooth support tissues. This observation is supported by findings in the academic literature. In a previously published study conducted by the authors [29], a comparison was made between the effects of LANAP and OHLLT procedures and the conventional scaling and root-planing procedures. The findings of the study indicated that both laser techniques exhibited increased effectiveness compared to the traditional technique, with LANAP and OHLLT showing similar levels of efficacy.
The objective of this study, in line with the aforementioned investigation, is to assess and contrast the subjective experience of postoperative pain among patients who underwent the LANAP procedure and those who underwent the OHLLT protocol.

2. Materials and Methods

2.1. Study Sample

From a private clinic in Bergamo, Italy, 20 patients (10 male and 10 female, mean age 55) were randomly selected according to the following inclusion and exclusion criteria:
All patients met the inclusion criteria described below.
The inclusion criteria were:
-
Informed consent signed;
-
Both male and female sexes;
-
Ages between 18 and 65;
-
Stage III periodontitis, according to the new classification of periodontal diseases [1];
-
Good general health.
The exclusion criteria were the following:
-
Pregnancy;
-
Systemic diseases: liver disease, collagen disease, osteoporosis, chronic inflammatory disease, thyroid disease, diabetes;
-
Medical condition or medical history that required antibiotic prophylaxis prior to treatment;
-
Use of anti-inflammatory drugs or antibiotics within the past 6 months;
-
Heavy smokers (more than 10 cigarettes per day);
-
Periodontal surgical treatment in the last 12 months.
They were treated between February 2019 and January 2020, and all of them signed the appropriate informed consent.
The study population was randomly divided into 2 groups of 10 subjects each:
  • Group 1 (5 male, 5 female, mean age 53): patients treated following the LANAP protocol [7,9,11];
  • Group 2 (5 male, 5 female, mean age: 57): patients treated following the OHLLT protocol [29,30].
All procedures were performed by the same clinician, a periodontist with 30 years of clinical experience in both periodontal surgery and laser dentistry and post-graduate training in both fields.
Patients belonging to Group 1 underwent a nonsurgical periodontal treatment session with LANAP protocol, while patients belonging to Group 2 had an OHLLT protocol, according to the operative protocols described below. After the first session of nonsurgical periodontal therapy, all patients were asked to refer to pain perception using a Numerical scale rate (NRS), ranging from 0 to 10, with specific intervals of time:
-
T0: 0 h;
-
T1 6 h;
-
T2: 12 h;
-
T3: 24 h;
-
T4: 48 h;
-
T5: 7 days.
All patients were given verbal instructions on how to correctly assess the level of perceived pain to indicate on the scale a value from 0 or no pain to 10 or maximum imaginable pain. None of the analyzed patients used analgesics or anti-inflammatories during the postoperative phase. The collection, processing, and archiving of data took place through electronic questionnaires, which can be filled out online and made accessible to each participating researcher. The data were recorded electronically and analyzed.
Furthermore, a microbiological test of the periodontal bacterial load was performed on all patients with real-time PCR tests before treatment (T0) and after 7 days (T5) (Figure 1 and Figure 2).
The subgingival plaque was removed from each patient at 2 separate sites in the oral cavity.
The first sample was taken before the laser-assisted nonsurgical periodontal treatment (LANAP or OHLLT protocol), and the second took place 1 week after the end of the treatments.
The subgingival plaque collection was carried out following the following protocol: removal of the supragingival plaque, isolation of the operating field, insertion of a sterile paper cone in the periodontal pockets, insertion of the cones in the appropriate test tubes, fast shipment by courier and delivery of the sample to the laboratory of microbiology in good time.
Each plaque sample arrived at the microbiology laboratory with a card containing information about the patient, including age, sex, date of collection, number of teeth, collection site, depth of periodontal pocket (PPD), and presence of bleeding or pus at the time of examination or collection. Oligonucleotide primers and probes were designed based on 16S rRNA gene sequences (845 entries in total) from the Human Oral Microbiome Database (HOMD 16S rRNA RefSeq Version 10.1, Forsyth Institute, Cambridge, MA, USA). All sequences were aligned to find consensus or minimally conserved sequences. Three real-time polymerase chain reaction real-time polymerase reactions (RT-PCR) were performed on each sample. The first reaction measures total bacterial abundance using two degenerate primers and a probe corresponding to the highly conserved 16S ribosomal RNA gene sequence. The second reaction detected and quantified three red complex bacteria (P. gingivalis, T. forsythia, and T. denticola) by multiplex RT-PCR. The third reaction detected and quantified Aggregatibacter actinomycetemcomitans, Fusobacterium nucleatum, Echinococcus corrodens, and Campylobacter rectus. Oligonucleotide concentrations and RT-PCR conditions were optimized for sensitivity, specificity, and lack of inhibition by predetermined target numbers. Absolute quantitative analysis was performed using an Applied Biosystems 7500 Sequence Detection System (Thermo Fisher Scientific, Waltham, MA, USA). Amplification profiling was performed in two steps: 40 amplification cycles at 95 °C for 15 s and 57 °C for 60 s, after incubation at 95 °C for 10 min for polymerase activation. All these experiments were performed in controls without standards to eliminate reagent contamination. Plasmids containing synthetic DNA target sequences (Eurofin MWG Operon, Ebersberg, Germany) were used as standards for quantitative analysis. Standard curves for each target were performed in triplicate reactions using a mixture of equal amounts of plasmids diluted in series in the range of 101 to 107 copies. There was a linear relationship between the values of the threshold cycles plotted against the logarithm of the copy number at different dilution levels. The copy number of each plasmid preparation was estimated with a Thermo NanoDrop spectrophotometer (5800 ICP-OES, Agilent Technologies, Santa Clara, CA, USA). Absolute quantification of the total copy number of the bacterial genome in the sample allowed the calculation of the relative number of red complex species. To avoid contamination of the sample and the polymerase chain reaction, plasmid purification and handling were performed in a separate laboratory using appropriate pipettes.

2.2. Operative Protocols

The participants who were chosen were provided with comprehensive information and detailed instructions, delivered through both oral communication and written materials, regarding the structure and objectives of the research.
During the initial session, all individuals enrolled in the study gathered the following information: historical data related to their medical background, radiographic and orthopantomographic assessments, intra-oral and extra-oral photographs, chart documentation, as well as intra-oral and extra-oral examinations.
All patients consented to adhere to the prescribed home hygiene care program, which includes the implementation of sonic vertical brushing, interdental brushing, and intra-oral irrigation a minimum of two times per day. The user’s text is not sufficient to be rewritten academically.
Microbiological sampling of the periodontal pockets was initially conducted on Group 1, which received treatment using the LANAP methodology [7,9,11]. Following that, the process of ultrasonic marginal scaling was carried out utilizing high-frequency ultrasound. Prior to employing the laser to eliminate the granular tissue, the dental procedures of Gracey curtain peeling and submucosal marginal root planing were executed. The Nd:YAG laser (LightWalker AT/AT S, Fotona, Ljubljana, Slovenia) was subsequently utilized on the periodontal pockets using the subsequent parameters: power output of 4.0 Watt (W), energy per pulse of 200 millijoule (mj), duty cycle of 650 microseconds (ms), and frequency of 20 Hertz (Hz).
Microbiological sampling of periodontal follicles was initially conducted in Group 2 subjects who underwent the OHLLT regimen [29,30]. Subsequently, the procedure of ultrasonic scaling was executed employing high-frequency ultrasound both above and below the gingival edge, utilizing a diluted solution of 10% betadine (as depicted in Figure 3). A session involving the use of airflow with erythritol was conducted (see Figure 4). This was followed by the application of diode laser treatment using Sioxyl® solution (Lambda, Vicenza, Italy), along with irrigation of the periodontal pockets using the same solution (see Figure 5). The periodontal pockets were left undisturbed for a minimum of 2 min before employing a diode laser (Wiser Doctor Smile, Lambda, Vicenza, Italy), with specific parameters: maximum power of 2.5 W, T-On of 20 microns, T-Off of 80 microns, average power of 0.5 W, duty cycle of 100 microns, and frequency of 10 KHz (see Figure 6).
Without delay, following the initial session of nonsurgical periodontal therapy, participants from both Group 1 and Group 2 were requested to indicate their impression of pain using a Numerical Rating Scale (NRS). The NRS ranged from 0 to 10, with specific time intervals for assessment: 0 h, 6 h, 12 h, 24 h, 48 h, and 7 days.
In Group 1, treated with the LANAP regimen, the second microbiological sampling of periodontal follicles was conducted after 1 week and after cleaning with chlorhexidine-soaked gauze.
In the Group 2 cohort subjected to the OHLLT regimen, additional microbiological sampling of the periodontal pockets was conducted one week following the initial procedure.

2.3. Statistical Analysis

The data were collected and inputted into the Statistical Package for the Social Sciences (SPSS) version 11.5 (IBM, Endicott, New York, NY, USA). Consequently, the findings were presented in the form of ratios through the utilization of tables.
The data pertaining to the Numeric Rating Scale (NRS) for all time periods examined, ranging from T0 (immediately after surgery) to T5 (one week following treatment), was recorded and organized using Excel spreadsheets.
The nonparametric Wilcoxon–Mann–Whitney statistical test was employed to assess the variations in NRS scores between Group 1 and Group 2 at each recording period. The level of statistical significance was established at a threshold of p ≤ 0.05.

3. Results

A total of 20 individuals, ranging in age from 18 to 65 years, were enlisted as participants in this study. The findings of the investigation, which assessed the microbiological profiles of patients subjected to two distinct regimens, are outlined in the subsequent paragraphs.
The mean values of microbiological analysis for each of the analyzed groups, namely Group 1, consisting of patients treated with the LANAP protocol, and Group 2, consisting of patients treated with the OHLLT, are presented in this study. The initial sampling was conducted prior to the implementation of the program, whereas the subsequent sampling occurred one week after the completion of the therapy. The total bacterial count was assessed one week following the initiation of the program. Group 1 exhibited a reduction of 80.3%, while Group 2 showed a reduction of 81.4%. It is noteworthy that both groups exhibited statistically equivalent reductions. The full results and statistics of the microbiological analysis are presented in the previously published paper by the same authors [29].
The statistical analysis was conducted on the data collected from the questionnaires administered to patients in Group 1, who received therapy using the LANAP protocol, and Group 2, who received treatment using the OHLLT protocol. The analysis revealed the following outcomes.
Within the first group, the feeling of pain reached its peak at 0 h following the implementation of the LANAP protocol, with an intermediate score of 4.2. Subsequently, there was a gradual decline in pain perception, resulting in an intermediate score of 3.1 after 6 h and ultimately reaching a score of 0 by day 7 (Table 1; Figure 7).
Within Group 2, the most pronounced sense of pain was observed immediately following the OHLLT treatment, with an intermediate score of 3.5. Subsequently, there was an initial decrease in pain perception to a median score of 1.6 at 6 h, followed by a further fall to 0.1 after 48 h. (Table 1; Figure 8) is referenced in the text. Figure 9 presents a summary of the OHLLT and LANAP clinical protocols.
The Mann–Whitney test revealed statistically significant differences in the perceived pain levels reported by patients at each recorded instant and the highest pain scores between the two groups. In relation to this matter, the scores showed a notable decrease in Group 2, which consisted of patients who had treatment utilizing the OHLLT regimen.

4. Discussion

The objective of our study was to assess the level of postoperative pain experienced following two distinct treatment protocols (LANAP and OHLLT) utilizing laser technology for the management of patients with periodontitis.
Furthermore, the effectiveness of both LANAP and OHLLT methods is confirmed using real-time PCR microbiological investigation. This approach enables the precise and quantitative identification of significant indicators associated with periodontitis and peri-implantitis while also facilitating the assessment of the overall bacterial load [32].
This topic holds significance, especially when considering the existing literature that discusses the presence of periodontopathogenic bacteria in the periodontal pockets and alveoli of the maxilla and mandible. It is particularly relevant to explore the effectiveness of periodontal surgery and nonsurgical procedures in addressing this issue.
The persistence of some submucosal marginal bacterial species, including A. actinomycetemcomitans, P. gingivalis, and T. denticola (the ability to penetrate adjacent periodontal tissues), is related to poor response to treatment with scaling and root canal therapy. Therefore, it is not recommended to employ nonsurgical periodontal techniques when Actinobacillus actynomicetemcomitans, Porphyromonas gingivalis, Prevotella intermedia, and Campylobacter rectus are detected in the periodontal pocket [1]. The regenerative surgical approach yielded comparable outcomes, as demonstrated by the findings of Heitz Mayfield and Ergoperio [2]. Their study revealed that the presence of elevated bacterial levels and specific pathogenic complexes in the periodontal pockets surrounding the implants had a notable and adverse impact on the one-year prognosis of both surgical and regenerative interventions.
If the existence of red and orange Sokransky complexes exerts an adverse influence on both nonsurgical and surgical interventions for periodontal disease, it is advisable to employ real-time PCR whenever treatment of impacted teeth becomes necessary.
Swider et al. [35] conducted a recent meta-analysis that adhered to the PRISMA standards [33] and the Cochrane Handbook for Systematic Reviews of Intervention [36]. The study focused on the in vivo therapy of peri-implantitis utilizing laser treatments. The evaluation process involved the examination of publications that had been published in vivo. The researchers analyzed a total of 49 papers; however, only seven articles met the rigorous qualifying criteria for inclusion in the quality evaluation. The present analysis incorporated a total of seven investigations, namely Birang et al. [37], Persson et al. [38], Arisan et al. [39], Yoshino et al. [40], Bassetti et al. [41], and Dörtbudak et al. [36]. The researchers concluded that high-power diode lasers might exhibit an impact on peri-implant microorganisms, hence potentially contributing to the development of peri-implantitis. Antimicrobial photodynamic therapy (aPDT) demonstrates efficacy in reducing the overall prevalence of several bacterial strains commonly associated with peri-implantitis, such as A. actinomycetemcomitans, P. gingivalis, P. intermedia, T. denticola, T. forsythia, F. nucleatum, and C. rectus. Consequently, the authors’ findings align precisely with the conclusions presented in the publication by Caccianiga et al. in 2016 [42].
Real-time polymerase chain reaction (PCR) methodologies enable the assessment and juxtaposition of microbiological tests pre- and post-treatment utilizing two distinct methods.
A positive link has been seen between the severity of periodontitis and the overall quantity of bacteria present in periodontal pockets [1,2,32].
In summary, it can be asserted that the proportions of P. gingivalis, T. forsythia, and T. forsythia were comparable in the sample groups (groups 1 and a) following one week of therapy.
Except for T. denticola, F. nucleatum ssp., and P. intermedia were observed in limited quantities, while the relative abundance of A. actinomycetemcomitans was nearly negligible.
The current study demonstrated the efficacy of LANAP and OHLLT protocols in nonsurgical periodontal treatment for reducing bacterial load in periodontal pockets, as assessed through microbiological evaluation using real-time PCR [8,9,10,11,26,35,42]. These findings indicate that both protocols are effective for treating periodontal conditions.
Additionally, it could be interesting in the future to test laser-assisted therapies in combination with other adjuvants such as lysates [43] or probiotics supplementation [44].
The literature documents the characteristics of laser-assisted procedures in inducing minimal postoperative pain. Bader [45] asserts that despite the decade-long utilization of lasers in periodontal therapy, doctors have only begun to explore the vast potential of this treatment modality. The laser’s advantageous attributes, including its minimal pain, user-friendliness, and ability to target specific sites, render it a highly suitable tool for incorporation into the periodontist’s array of instruments. Currently, there is a growing development of applications that encompass a wider spectrum of wavelengths. These applications aim to provide effective, consistent, and comfortable therapy for the purpose of managing patients with periodontal conditions. Multiple studies have been conducted to provide evidence that laser-induced photobiomodulation can reduce pain across a range of clinical trials. In their study, Heidari et al. [46] conducted an assessment of the effectiveness of a low-power 940-nm diode laser in mitigating postoperative pain following undisplaced flap surgery. The findings of their investigation revealed a significant reduction in pain levels and a decrease in the consumption of analgesic medication among patients who underwent undisplaced flap surgery. The study conducted by Morsy et al. [47] examined the efficacy of diode lasers in reducing postoperative pain and achieving root canal sterility during endodontic therapy. The results of the qualitative pain scores indicated a statistically significant difference in pain levels between the diode laser group and the Endo group at all measured time intervals. Numerous research studies have been conducted to investigate the efficacy of laser utilization in orthodontic practice as a means to alleviate post-treatment discomfort resulting from the application of multibracket fixed orthodontic therapy. The user did not provide any text to rewrite.
Nevertheless, there exists a dearth of information pertaining to investigations on post-procedural pain subsequent to laser-assisted nonsurgical periodontal therapy. This pilot study successfully addressed a knowledge gap by comparing two laser-assisted approaches, namely OHLLT and LANAP. Both techniques were shown to be beneficial in terms of their bactericidal impact. However, OHLLT was notably more favorable in terms of the postoperative discomfort experienced by patients.
The limitations of this study are represented by the small number of the patient sample considered, the fact that the perception of pain is a qualitative and subjective variable, and the noncomplete reliability of the NRS.

5. Conclusions

In summary, the microbiological assessment conducted in the previous study by the same authors [30] indicates that both the OHLLT and LANAP protocols exhibit efficacy in the nonsurgical management of periodontal disease. It confirms the susceptibility of periodontopathic bacteria to OHLLT and LANAP protocols. However, it is recommended that further research be undertaken to validate the initial findings regarding the effectiveness of LANAP and OHLLT protocols in the treatment of periodontitis and peri-implantitis, both in nonsurgical and surgical approaches.
Nevertheless, it is important to consider that the OHLLT protocol does not subject patients to comparable thermal hazards as the LANAP technique. The postoperative pain experienced following the OHLLT protocol is indeed reduced, as this approach is less invasive and less reliant on the skill of the operator.

Author Contributions

Conceptualization, G.C.; methodology, G.C.; validation, G.R.; visualization, D.M. and S.C.; formal analysis, P.C.; investigation, P.C.; resources, M.B.; data curation, P.C.; writing—original draft preparation, G.C.; writing—review and editing, P.C.; supervision, G.R.; project administration, G.C. All authors have read and agreed to the published version of the manuscript.

Funding

This research received no external funding.

Institutional Review Board Statement

The Ethics Committee of the School of Istituto Superiore di Sanità approved the study (40223-PRE21-881) on 30/07/2007.

Informed Consent Statement

Informed consent was obtained from all subjects involved in the study.

Data Availability Statement

The data presented in this study are openly available in MDPI at doi.org/10.3390/app11104629.

Conflicts of Interest

The authors declare no conflict of interest.

References

  1. Caton, J.G.; Armitage, G.; Berglundh, T.; Chapple, I.L.; Jepsen, S.; Kornman, K.S.; Mealey, B.L.; Papapanou, P.N.; Sanz, M.; Tonetti, M.S. A new classification scheme for periodontal and peri-implant diseases and conditions—Introduction and key changes from the 1999 classification. J. Clin. Periodontol. 2018, 45, S1–S8. [Google Scholar] [CrossRef]
  2. Rhemrev, G.E.; Timmerman, M.F.; Veldkamp, I.; van Winkelhoff, A.J.; van der Velden, U. Immediate effect of instrumentation on the subgingival microflora in deep inflamed pockets under strict plaque control. J. Clin. Periodontol. 2005, 33, 42–48. [Google Scholar] [CrossRef]
  3. Heitz-Mayfield, L.; Tonetti, M.S.; Cortellini, P.; Lang, N.P.; on behalf of European Research Group on Periodontology (ERGOPERIO). Microbial colonization patterns predict the outcomes of surgical treatment of intrabony defects. J. Clin. Periodontol. 2006, 33, 62–68. [Google Scholar] [CrossRef]
  4. Quirynen, M.; Teughels, W.; van Steenberghe, D. Impact of antiseptics on one- stage, full-mouth disinfection. J. Clin. Periodontol. 2006, 33, 49–52. [Google Scholar] [CrossRef]
  5. Socransky, C. Microbiological parameters associated with IL-1 gene polymorphisms in periodontis patients. J. Clin. Periodontol. 2000, 27, 810–818. [Google Scholar] [CrossRef]
  6. Gursoy, H.; Ozcakir-Tomruk, C.; Tanalp, J.; Yilmaz, S. Photodynamic therapy in dentistry: A literature review. Clin. Oral Investig. 2013, 17, 1113–1125. [Google Scholar] [CrossRef]
  7. Jha, A.; Gupta, V.; Adinarayan, R. Lanap, periodontics and beyond: A review. J. Lasers Med. Sci. 2018, 9, 76–81. [Google Scholar] [CrossRef]
  8. Yukna, R.A.; Carr, R.L.; Evans, G.H. Histologic evaluation of an Nd:YAG laser-assisted new attachment procedure in humans. Int. J. Periodontics Restor. Dent. 2007, 27, 577–587. [Google Scholar]
  9. Nevins, M.; Kim, S.W.; Camelo, M.; Martin, I.S.; Kim, D.; Nevins, M. A prospective 9-month human clinical evaluation of laser-assisted new attachment procedure (LANAP) therapy. Int. J. Periodontics Restor. Dent. 2014, 34, 21–27. [Google Scholar] [CrossRef][Green Version]
  10. Nevins, M.L.; Camelo, M.; Schupbach, P.; Kim, S.W.; Kim, D.M.; Nevins, M. Human clinical and histologic evaluation of laser-assisted new attachment procedure. Int. J. Periodontics Restor. Dent. 2012, 32, 497–507. [Google Scholar]
  11. Khadtare, Y.; Chaudhari, A.; Waghmare, P.; Prashant, S. The LANAP protocol (laser-assisted new attachment procedure) a minimally invasive bladeless procedure. J. Periodontal Med. Clin. Pract. 2014, 1, 264–271. [Google Scholar]
  12. Gregg, R.H., 2nd; McCarthy, D. Laser periodontal therapy: Case reports. Dent. Today 2001, 20, 74–81. [Google Scholar] [PubMed]
  13. Gregg, R.H., 2nd; McCarthy, D. Laser periodontal therapy for bone regeneration. Dent. Today 2002, 21, 54–59. [Google Scholar]
  14. Elavarasu, S.; Naveen, D.; Thangavelu, A. Lasers in periodontics. J. Pharm. Bioallied Sci. 2012, 4 (Suppl. S2), S260–S263. [Google Scholar] [CrossRef]
  15. Srivastava, P. A review- basics of laser and its role in periodontics. Int. J. Sci. Innov. Res. 2015, 3, 43–51. [Google Scholar]
  16. Charron, J.; Mouton, C. Parodontie Médicale; JPIO: Bruxelles, Belgium, 2003. [Google Scholar]
  17. Ando, Y.; Aoki, A.; Watanabe, H.; Ishikawa, I. Bactericidal Effect of Erbium YAG Laser on Periodonto Pathic Bacteria; Department of Periodontology: Tokyo, Japan, 1996. [Google Scholar]
  18. Moritz, A.; Gutnetcht, N.; Schoop, U.; Gobarkhay, K.; Doerbudak, O.; Speer, W. Irradiation of infected root canals with a diode laser in vivo: Results of microbiological examinations lasers in surgery and medecine. Lasers Surg. Med. 1997, 21, 221–226. [Google Scholar] [CrossRef]
  19. Mizutani, K.; Aoki, A.; Coluzzi, D.; Yukna, R.; Wang, C.; Pavlic, V.; Izumi, Y. Lasers in minimally invasive periodontal and peri-implant therapy. Periodontology 2000 2016, 71, 185–212. [Google Scholar] [CrossRef]
  20. Coluzzi, D.J. Laser and light fundamentals. In Lasers in Dentistry-Current Concepts; Coluzzi, D.J., Parker, S.P.A., Eds.; Springer International Publishing AG: Cham, Switzerland, 2017; pp. 17–28. [Google Scholar]
  21. Gold, S.I.; Vilardi, M.A. Pulsed laser beam effects on gingiva. J. Clin. Periodontol. 1994, 21, 391–396. [Google Scholar] [CrossRef]
  22. Ting, C.C.; Fukuda, M.; Watanabe, T.; Sanaoka, A.; Mitani, A.; Noguchi, T. Morphological alterations of periodontal pocket epithelium following Nd:YAG laser irradiation. Photomed. Laser Surg. 2014, 32, 649–657. [Google Scholar] [CrossRef]
  23. Tseng, P.; Liew, V. The potential application of a Nd:YAG dental laser in periodontal treatment. Periodontology 1990, 11, 20–22. [Google Scholar]
  24. Sigusch, B.W.; Ptzner, A.; Albrecht, V.; Glockmann, E. Efficacy of photodynamic therapy on in, ammatory signs and two selected periodontopathogenic species in a beagle dog model. J. Periodontol. 2005, 76, 1100–1105. [Google Scholar] [CrossRef]
  25. Azarpazhooh, A.; Shah, P.S.; Tenenbaum, H.C.; Berg, M.B.G. Photodynamic therapy for periodontitis: A systematic review and meta-analysis. J. Periodontol. 2010, 81, 4–14. [Google Scholar] [CrossRef]
  26. Carroll, J.D.; Milward, M.R.; Cooper, P.R.; Hadis, M.; Palin, W.M. Developments in low level light therapy (LLLT) for dentistry. Dent. Mater. 2014, 30, 465–475. [Google Scholar] [CrossRef]
  27. Pittenger, M.F.; Mackay, A.M.; Beck, S.C.; Jaiswal, R.K.; Douglas, R.; Mosca, J.D.; Moorman, M.A.; Simonetti, D.W.; Craig, S.; Marshak, D.R. Multilineage potential of adult human mesenchymal stem cells. Science 1999, 284, 143–147. [Google Scholar] [CrossRef] [PubMed]
  28. Caccianiga, G.; Rey, G.; Paiusco, A.; Lauritano, D.; Cura, F.; Ormianer, Z.; Carinci, F. Oxygen high level laser therapy is efficient in treatment of chronic periodontitis: A clinical and microbiological study using PCR analysis. J. Biol. Regul. Homeost. Agents 2016, 30, 87–97. [Google Scholar] [PubMed]
  29. Caccianiga, G.; Rey, G.; Baldoni, M.; Caccianiga, P.; Baldoni, A.; Ceraulo, S. Periodontal Decontamination Induced by Light and Not by Heat: Comparison between Oxygen High Level Laser Therapy (OHLLT) and LANAP. Appl. Sci. 2021, 11, 4629. [Google Scholar] [CrossRef]
  30. Caccianiga, G.; Rey, G.; Caccianiga, P.; Leonida, A.; Baldoni, M.; Baldoni, A.; Ceraulo, S. Peri-Implantitis Management: Surgical versus Non-Surgical Approach Using Photodynamic Therapy Combined with Hydrogen Peroxide (OHLLT—Oxygen High Level Laser Therapy). A Retrospective Controlled Study. Appl. Sci. 2021, 11, 5073. [Google Scholar] [CrossRef]
  31. Caccianiga, G.; Rey, G.; Baldoni, M.; Caccianiga, P.; Porcaro, G.; Baldoni, A.; Ceraulo, S. Laser Decontamination and LED Photobiomodulation Promote Bone Regeneration and Wound Healing by Secondary Intention, in Alveolar Ridge Preservation—Clinical and Radiographic Evaluation: A Pilot Experience. Photobiomodul. Photomed. Laser Surg. 2022, 40, 343–354. [Google Scholar] [CrossRef]
  32. Pourhajibagher, M.; Monzavi, A.; Chiniforush, N.; Moein Monzavi, M.; Sobhani, S.; Shahabi, S.; Bahador, A. Real-time quantitative reverse transcription-PCR analysis of expression stability of Aggregatibacter actinomycetemcomitans fimbria-associated gene in response to photodynamic therapy. Photodiagn. Photodyn. Ther. 2017, 18, 78–82. [Google Scholar] [CrossRef]
  33. Moher, D.; Liberati, A.; Tetzlaff, J.; Altman, D.G.; Prisma Group. Pre-ferred reporting items for systematic reviews and meta- analyses. The PRISMA statements. J. Clin. Epidemiol. 2009, 62, 1006–1012. [Google Scholar] [CrossRef] [PubMed]
  34. Higgins, J.P.T.; Green, S. Cochrane Handbook for Systematic Reviews of Interventions Version 5.1.0. The Cochrane Collaboration. 2011. Available online: http://handbook.cochrane.org (accessed on 2 April 2019).
  35. Swider, K.S.; Dominiak, M.; Grzech-Lesniak, K.; Matys, J. Effect of Different Laser Wavelengths on Periodontopathogens in Peri-Implantitis: A Review of In Vivo Studies. Microorganisms 2019, 7, 189. [Google Scholar] [CrossRef] [PubMed]
  36. Dörtbudak, O.; Haas, R.; Bernhart, T.; Mailath-Pokorny, G. Lethal photosensitization for decontamination of implant surfaces in the treatment of peri-implantitis. Clin. Oral. Implants Res. 2001, 12, 104–108. [Google Scholar] [CrossRef]
  37. Birang, E.; Talebi Ardekani, M.R.; Rajabzadeh, M.; Sarmadi, G.; Birang, R.; Gutknecht, N. Evaluation of Effectiveness of Photodynamic Therapy with Low-level Diode Laser in Nonsurgical Treatment of Peri-implantitis. J. Lasers Med. Sci. 2017, 8, 136–142. [Google Scholar] [CrossRef] [PubMed]
  38. Persson, G.R.; Roos-Jansaker, A.M.; Lindahl, C.; Renvert, S. Microbiologic results after non-surgical erbium-doped: Yttrium, aluminum, and garnet laser or air-abrasive treatment of peri-implantitis: A randomized clinical trial. J. Periodontol. 2011, 82, 1267–1278. [Google Scholar] [CrossRef]
  39. Arısan, V.; Karabuda, Z.C.; Arıcı, S.V.; Topçuog, N.; Kulekci, G. A randomized clinical trial of an adjunct diode laser application for the nonsurgical treatment of peri-implantitis. Photomed. Laser Surg. 2015, 33, 547–554. [Google Scholar] [CrossRef]
  40. Yoshino, T.; Yamamoto, A.; Ono, Y. Innovative regeneration technology to solve peri-implantitis by Er:YAG laser based on the microbiologic diagnosis: A case series. Int. J. Periodontics Restor. Dent. 2015, 35, 67–73. [Google Scholar] [CrossRef]
  41. Bassetti, M.; Schar, D.; Wicki, B.; Eick, S.; Ramseier, C.A.; Arweiler, N.B.; Sculean, A.; Salvi, G.E. Anti-infective therapy of peri-implantitis with adjunctive local drug delivery or photodynamic therapy: 12-month outcomes of a randomized controlled clinical trial. Clin. Oral Implants Res. 2014, 25, 279–287. [Google Scholar] [CrossRef]
  42. Caccianiga, G.; Rey, G.; Baldoni, M.; Paiusco, A. Clinical, radiographic and microbiological evaluation of high level laser therapy, a new photodynamic therapy protocol, in peri-implantitis treatment; a pilot experience. BioMed Res. Int. 2016, 2016, 6321906. [Google Scholar] [CrossRef]
  43. Vale, G.C.; Mayer, M.P.A. Effect of probiotic Lactobacillus rhamnosus by-products on gingival epithelial cells challenged with Porphyromonas gingivalis. Arch. Oral Biol. 2021, 128, 105174. [Google Scholar] [CrossRef]
  44. Butera, A.; Maiorani, C.; Gallo, S.; Pascadopoli, M.; Venugopal, A.; Marya, A.; Scribante, A. Evaluation of Adjuvant Systems in Non-Surgical Peri-Implant Treatment: A Literature Review. Healthcare 2022, 10, 886. [Google Scholar] [CrossRef]
  45. Bader, H.I. Use of lasers in periodontics. Dent. Clin. N. Am. 2000, 44, 779–791. [Google Scholar] [CrossRef] [PubMed]
  46. Heidari, M.; Fekrazad, R.; Sobouti, F.; Moharrami, M.; Azizi, S.; Nokhbatolfoghahaei, H.; Khatami, M. Evaluating the effect of photobiomodulation with a 940-nm diode laser on post-operative pain in periodontal flap surgery. Lasers Med. Sci. 2018, 33, 1639–1645. [Google Scholar] [CrossRef] [PubMed]
  47. Morsy, D.A.; Negm, M.; Diab, A.; Ahmed, G. Postoperative pain and antibacterial effect of 980 nm diode laser versus conventional endodontic treatment in necrotic teeth with chronic periapical lesions: A randomized control trial. F1000Research 2018, 7, 1795. [Google Scholar] [CrossRef] [PubMed]
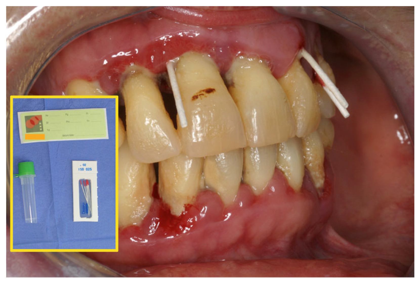
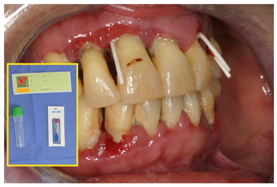
Figure 1. Subgingival plaque sampling with sterile paper cones.
Figure 1. Subgingival plaque sampling with sterile paper cones.
Applsci 14 02553 g001
Figure 2. A sample of PCR Real-Time test results in one patient at T0 (in Italian language).
Figure 2. A sample of PCR Real-Time test results in one patient at T0 (in Italian language).
Applsci 14 02553 g002
Figure 3. The first clinical procedure involved the utilization of high-frequency ultrasound in conjunction with a diluted solution of betadine at a ratio of 1:10.
Figure 3. The first clinical procedure involved the utilization of high-frequency ultrasound in conjunction with a diluted solution of betadine at a ratio of 1:10.
Applsci 14 02553 g003
Figure 4. The airflow is facilitated by the utilization of erythritol, a powder characterized by its low abrasiveness.
Figure 4. The airflow is facilitated by the utilization of erythritol, a powder characterized by its low abrasiveness.
Applsci 14 02553 g004
Figure 5. The utilization of a Sioxyl solution for irrigation purposes.
Figure 5. The utilization of a Sioxyl solution for irrigation purposes.
Applsci 14 02553 g005
Figure 6. The last clinical procedure involved utilizing a Wiser diode laser with certain parameters. The laser had a peak power of 2.5 W, a T-On (time on) duration of 20 microns, a T-Off (time off) duration of 80 microns, an average power of 0.5 W, a duty cycle of 100 microns, and a frequency of 10 KHz.
Figure 6. The last clinical procedure involved utilizing a Wiser diode laser with certain parameters. The laser had a peak power of 2.5 W, a T-On (time on) duration of 20 microns, a T-Off (time off) duration of 80 microns, an average power of 0.5 W, a duty cycle of 100 microns, and a frequency of 10 KHz.
Applsci 14 02553 g006
Figure 7. A graphical representation illustrating the temporal evolution of pain intensity in Group 1 and Group 2 (median values for groups of patients).
Figure 7. A graphical representation illustrating the temporal evolution of pain intensity in Group 1 and Group 2 (median values for groups of patients).
Applsci 14 02553 g007
Figure 8. 1064 nm Nd:YAG laser radiation (LANAP).
Figure 8. 1064 nm Nd:YAG laser radiation (LANAP).
Applsci 14 02553 g008
Figure 9. OHLLT and LANAP protocol resumes, according to previous research [7,9,11,30,31,32,33,34].
Figure 9. OHLLT and LANAP protocol resumes, according to previous research [7,9,11,30,31,32,33,34].
Applsci 14 02553 g009
Table 1. The study aimed to determine the pain experienced at each time schedule using the Numeric Rating Scale (NRS). The participants were divided into two groups: Group 1 (G1) and Group 2 (G2). The analysis was conducted with a 95% confidence interval (CI). The p-value was defined as being less than or equal to 0.05 and was evaluated using the Mann–Whitney test.
Table 1. The study aimed to determine the pain experienced at each time schedule using the Numeric Rating Scale (NRS). The participants were divided into two groups: Group 1 (G1) and Group 2 (G2). The analysis was conducted with a 95% confidence interval (CI). The p-value was defined as being less than or equal to 0.05 and was evaluated using the Mann–Whitney test.
Time ScheduleMedian G1 (CI 95%)Median G2 (CI 95%)Significance
0 h4.2 (6–3), CI 95%: 5–33.5 (5–2), CI 95%: 4–2p > 0.05
6 h3.1 (4–2), CI 95%: 4–21.6 (3–1), CI 95%: 2–1p < 0.05
12 h2.3 (3–1), CI 95%: 3–10.9 (2–0), CI 95%: 1–0p < 0.05
24 h1.8 (3–1), CI 95%: 2–10.4 (2–0), CI 95%: 1–0p < 0.05
48 h0.9 (2–0), CI 95%: 1–00.1 (1–0), CI 95%: 0–0p < 0.05
7 days0 (0–0), CI 95%: 0–00 (0–0), CI 95%: 0–0-
Disclaimer/Publisher’s Note: The statements, opinions and data contained in all publications are solely those of the individual author(s) and contributor(s) and not of MDPI and/or the editor(s). MDPI and/or the editor(s) disclaim responsibility for any injury to people or property resulting from any ideas, methods, instructions or products referred to in the content.

Share and Cite

MDPI and ACS Style

Caccianiga, P.; Ceraulo, S.; Rey, G.; Monai, D.; Baldoni, M.; Caccianiga, G. Pain Perception Following Periodontal Decontamination Treatment with Laser Therapies: Comparison between Oxygen High-Level Laser Therapy (OHLLT) and Laser-Assisted New Attachment Procedure (LANAP). Appl. Sci. 2024, 14, 2553. https://doi.org/10.3390/app14062553

AMA Style

Caccianiga P, Ceraulo S, Rey G, Monai D, Baldoni M, Caccianiga G. Pain Perception Following Periodontal Decontamination Treatment with Laser Therapies: Comparison between Oxygen High-Level Laser Therapy (OHLLT) and Laser-Assisted New Attachment Procedure (LANAP). Applied Sciences. 2024; 14(6):2553. https://doi.org/10.3390/app14062553

Chicago/Turabian Style

Caccianiga, Paolo, Saverio Ceraulo, Gérard Rey, Dario Monai, Marco Baldoni, and Gianluigi Caccianiga. 2024. "Pain Perception Following Periodontal Decontamination Treatment with Laser Therapies: Comparison between Oxygen High-Level Laser Therapy (OHLLT) and Laser-Assisted New Attachment Procedure (LANAP)" Applied Sciences 14, no. 6: 2553. https://doi.org/10.3390/app14062553

APA Style

Caccianiga, P., Ceraulo, S., Rey, G., Monai, D., Baldoni, M., & Caccianiga, G. (2024). Pain Perception Following Periodontal Decontamination Treatment with Laser Therapies: Comparison between Oxygen High-Level Laser Therapy (OHLLT) and Laser-Assisted New Attachment Procedure (LANAP). Applied Sciences, 14(6), 2553. https://doi.org/10.3390/app14062553

Note that from the first issue of 2016, this journal uses article numbers instead of page numbers. See further details here.

Article Metrics

Back to TopTop