Orthodontic Correction of an Anterior Open Bite with Periodontally Compromised Upper Incisors Using Miniscrews
Abstract
1. Introduction
2. Case Presentation
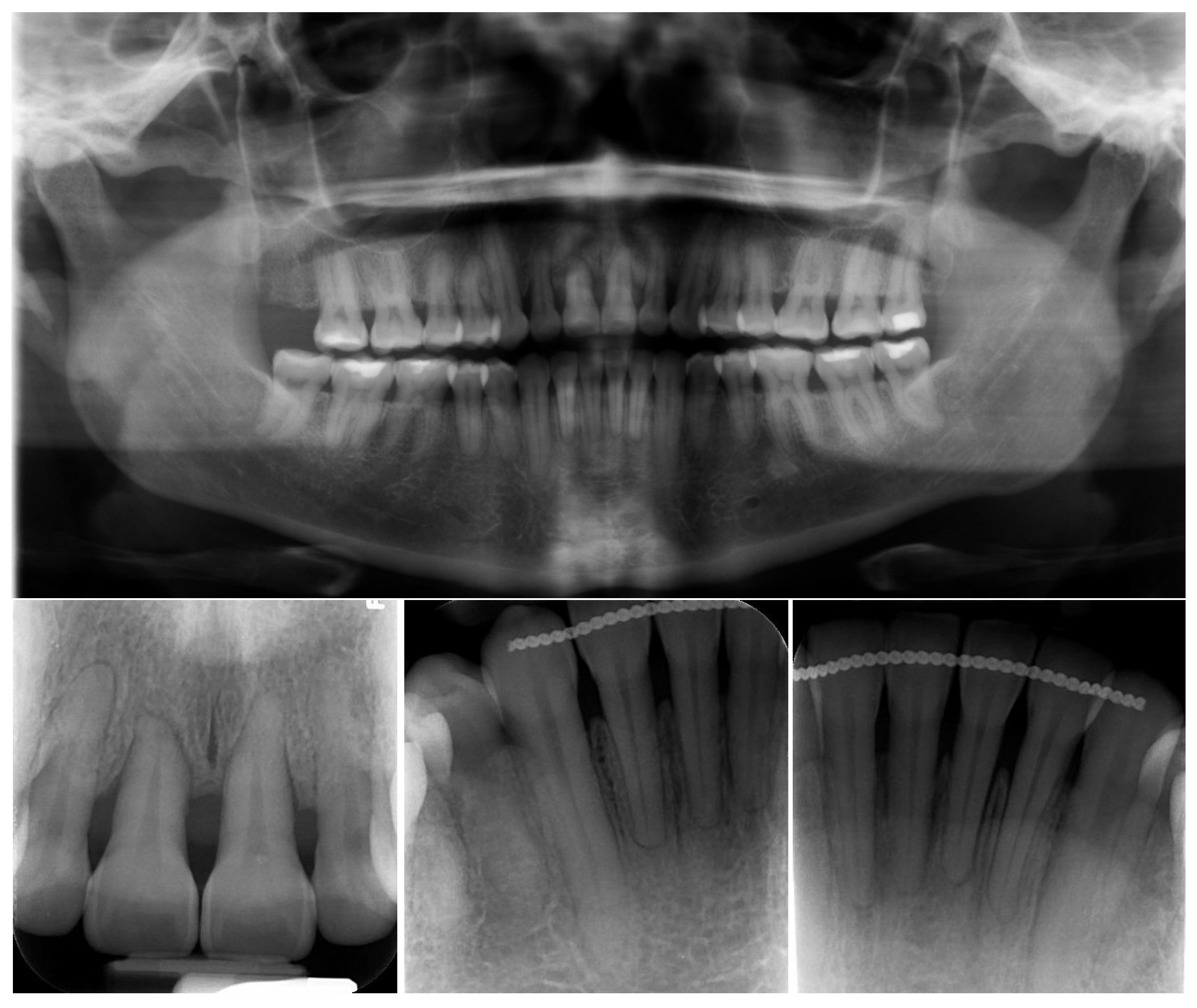
2.1. Diagnosis and Etiology
2.2. Treatment Objectives
2.3. Treatment Alternatives
- (1)
- Extraction of U1s and substituting U1s with maxillary lateral incisors (U2s), U2s with maxillary canines (U3s) and U3s with maxillary first premolars (U4s), with future cosmetic restorations and periodontal treatment of the maxillary anterior teeth as needed.
- (2)
- Extraction of U4s and U1s (with forced extrusion of U1s during treatment) where U1s would be replaced with pontics during treatment, if they became significantly mobile, and with final prosthetic restorations (with or without implants) after treatment.
2.4. Treatment Progress
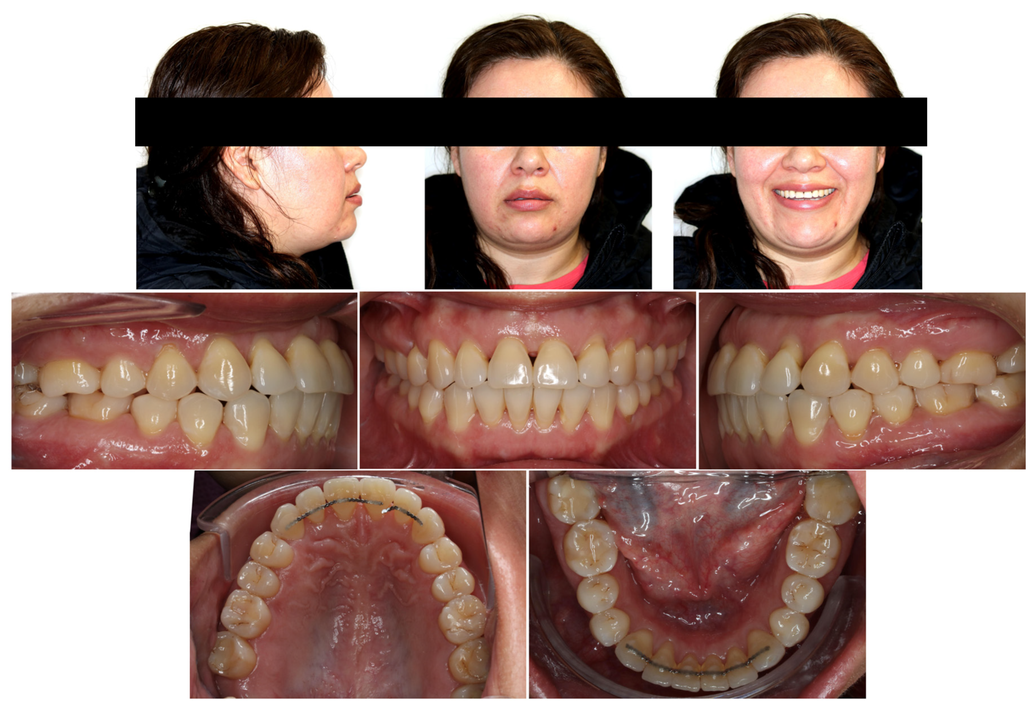
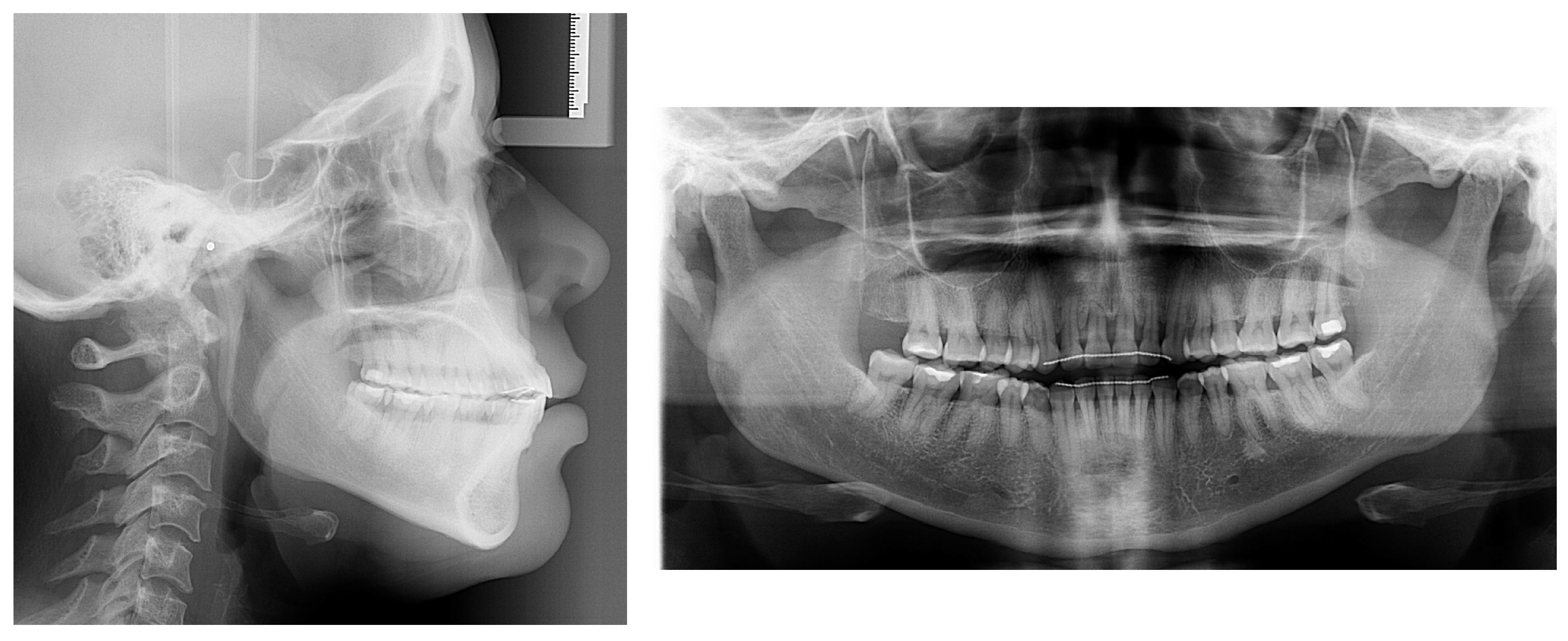
3. Treatment Results
4. Discussion
5. Conclusions
Author Contributions
Funding
Institutional Review Board Statement
Informed Consent Statement
Data Availability Statement
Conflicts of Interest
References
- Ong, M.M.; Wang, H.-L. Periodontic and orthodontic treatment in adults. Am. J. Orthod. Dentofac. Orthop. 2002, 122, 420–428. [Google Scholar] [CrossRef] [PubMed]
- Brunsvold, M.A. Pathologic tooth migration. J. Periodontol. 2005, 76, 859–866. [Google Scholar] [CrossRef]
- Gkantidis, N.; Christou, P.; Topouzelis, N. The orthodontic–periodontic interrelationship in integrated treatment challenges: A systematic review. J. Oral Rehabil. 2010, 37, 377–390. [Google Scholar] [CrossRef] [PubMed]
- Proffit, W.R.; Fields, H.W.; Larson, B.; Sarver, D.M. Contemporary Orthodontics-e-Book; Elsevier Health Sciences: Philadelphia, PA, USA, 2018. [Google Scholar]
- Wang, M.; Zhang, B.; Li, L.; Zhai, M.; Wang, Z.; Wei, F. Vertical stability of different orthognathic treatments for correcting skeletal anterior open bite: A systematic review and meta-analysis. Eur. J. Orthod. 2022, 44, 1–10. [Google Scholar] [CrossRef] [PubMed]
- González Espinosa, D.; de Oliveira Moreira, P.E.; da Sousa, A.S.; Flores-Mir, C.; Normando, D. Stability of anterior open bite treatment with molar intrusion using skeletal anchorage: A systematic review and meta-analysis. Prog. Orthod. 2020, 21, 35. [Google Scholar] [CrossRef]
- de Brito Vasconcelos, J.; de Almeida-Pedrin, R.R.; Poleti, T.M.F.F.; Oltramari, P.; de Castro Conti, A.C.F.; Bicheline, M.H.B.; Lindauer, S.J.; de Almeida, M.R. A prospective clinical trial of the effects produced by the extrusion arch in the treatment of anterior open bite. Prog. Orthod. 2020, 21, 39. [Google Scholar] [CrossRef] [PubMed]
- Heo, S.; Park, J.H.; Lee, M.-Y.; Kim, J.-S.; Jung, S.P.; Chae, J.-M. Maxillary incisor position-based orthodontic treatment with miniscrews. Semin. Orthod. 2022, 28, 123–135. [Google Scholar] [CrossRef]
- Miller, J.R. Treatment of a twice-relapsed anterior open bite using temporary anchorage devices, myofunctional therapy, and fixed passive self-ligating appliances. Am. J. Orthod. Dentofac. Orthop. 2020, 157, 832–842. [Google Scholar] [CrossRef]
- Zawawi, K.H.; Malki, G.A.; Al-Zahrani, M.S.; Alkhiary, Y.M. Effect of lip position and gingival display on smile and esthetics as perceived by college students with different educational backgrounds. Clin. Cosmet. Investig. Dent. 2013, 5, 77–80. [Google Scholar] [CrossRef]
- Geramy, A. Alveolar bone resorption and the center of resistance modification (3-D analysis by means of the finite element method). Am. J. Orthod. Dentofac. Orthop. 2000, 117, 399–405. [Google Scholar] [CrossRef]
- Montasser, M.A.; Keilig, L.; Bourauel, C. Archwire diameter effect on tooth alignment with different bracket-archwire combinations. Am. J. Orthod. Dentofac. Orthop. 2016, 149, 76–83. [Google Scholar] [CrossRef]
- Queiroz, G.V.; Rino Neto, J.; De Paiva, J.B.; Rossi, J.L.; Ballester, R.Y. Comparative study of classic friction among different archwire ligation systems. Dent. Press J. Orthod. 2012, 17, 64–70. [Google Scholar] [CrossRef]
- Scheffler, N.R.; Proffit, W.R.; Phillips, C. Outcomes and stability in patients with anterior open bite and long anterior face height treated with temporary anchorage devices and a maxillary intrusion splint. Am. J. Orthod. Dentofac. Orthop. 2014, 146, 594–602. [Google Scholar] [CrossRef]
- Seo, Y.-J.; Park, J.H.; Chang, N.-Y.; Chae, J.-M. Non-Surgical Camouflage Treatment of a Skeletal Class III Patient with Anterior Open Bite and Asymmetry Using Orthodontic Miniscrews and Intermaxillary Elastics. Appl. Sci. 2023, 13, 4535. [Google Scholar] [CrossRef]
- Feu, D. Orthodontic treatment of periodontal patients: Challenges and solutions, from planning to retention. Dent. Press J. Orthod. 2021, 25, 79–116. [Google Scholar] [CrossRef]
- Cardaropoli, D.; Re, S.; Corrente, G.; Abundo, R. Intrusion of migrated incisors with infrabony defects in adult periodontal patients. Am. J. Orthod. Dentofac. Orthop. 2001, 120, 671–675. [Google Scholar] [CrossRef] [PubMed]
- Choi, S.-H.; Kim, Y.-H.; Lee, K.-J.; Hwang, C.-J. Effect of labiolingual inclination of a maxillary central incisor and surrounding alveolar bone loss on periodontal stress: A finite element analysis. Korean J. Orthod. 2016, 46, 155–162. [Google Scholar] [CrossRef] [PubMed]
- Zachrisson, B.U. Clinical implications of recent orthodontic-periodonticresearch findings. Semin. Orthod. 1996, 2, 4–12. [Google Scholar] [CrossRef] [PubMed]
- Zasčiurinskienė, E.; Basevičienė, N.; Lindsten, R.; Slotte, C.; Jansson, H.; Bjerklin, K. Orthodontic treatment simultaneous to or after periodontal cause-related treatment in periodontitis susceptible patients. Part I: Clinical outcome. A randomized clinical trial. J. Clin. Periodontol. 2018, 45, 213–224. [Google Scholar] [CrossRef]
- Zasciurinskiene, E.; Lindsten, R.; Slotte, C.; Bjerklin, K. Orthodontic treatment in periodontitis-susceptible subjects: A systematic literature review. Clin. Exp. Dent. Res. 2016, 2, 162–173. [Google Scholar] [CrossRef]
- Kang, D.-Y.; Choi, S.-H.; Jung, Y.-S.; Hwang, C.-J. Interdisciplinary treatment for an adult patient with anterior open bite, severe periodontitis, and intellectual disability. J. Craniofacial Surg. 2015, 26, e240–e244. [Google Scholar] [CrossRef] [PubMed]
- Melsen, B.; Agerbaek, N.; Markenstam, G. Intrusion of incisors in adult patients with marginal bone loss. Am. J. Orthod. Dentofac. Orthop. 1989, 96, 232–241. [Google Scholar] [CrossRef]
- Rachala, M.R.; Aileni, K.R.; Kumar, P.N.; Soujanya, D.; Prathima, C.R. Orthodontic management of a periodontally compromised patient. Int. J. Orthod. Rehabil. 2017, 8, 78. [Google Scholar]
- Zaveri, P. Orthodontic management of a periodontally compromised dentition. APOS Trends Orthod. 2016, 6, 31. [Google Scholar] [CrossRef]
- Kuster, R.; Ingervall, B. The effect of treatment of skeletal open bite with two types of bite-blocks. Eur. J. Orthod. 1992, 14, 489–499. [Google Scholar] [CrossRef]
- Pinho, T.; Neves, M.; Alves, C. Multidisciplinary management including periodontics, orthodontics, implants, and prosthetics for an adult. Am. J. Orthod. Dentofac. Orthop. 2012, 142, 235–245. [Google Scholar] [CrossRef] [PubMed]
- Tavares, C.A.E.; Allgayer, S.; da Silva Calvete, E.; Polido, W.D. Orthodontic treatment for a patient with advanced periodontal disease: 11-year follow-up. Am. J. Orthod. Dentofac. Orthop. 2013, 144, 455–465. [Google Scholar] [CrossRef]
- Erbe, C.; Heger, S.; Kasaj, A.; Berres, M.; Wehrbein, H. Orthodontic treatment in periodontally compromised patients: A systematic review. Clin. Oral Investig. 2023, 27, 79–89. [Google Scholar] [CrossRef]
- Ogihara, S.; Wang, H.L. Periodontal regeneration with or without limited orthodontics for the treatment of 2- or 3-wall infrabony defects. J. Periodontol. 2010, 81, 1734–1742. [Google Scholar] [CrossRef]
- Roccuzzo, M.; Marchese, S.; Dalmasso, P.; Roccuzzo, A. Periodontal Regeneration and Orthodontic Treatment of Severely Periodontally Compromised Teeth: 10-Year Results of a Prospective Study. Int. J. Periodontics Restor. Dent. 2018, 38, 801–809. [Google Scholar] [CrossRef]
- Pikdoken, L.; Erkan, M.; Usumez, S. Editor’s summary, Q & A, reviewer’s critique: Gingival response to mandibular incisor extrusion. Am. J. Orthod. Dentofac. Orthop. 2009, 135, 432.e1–432.e6. [Google Scholar]
- de Barros, L.A.B.; de Almeida Cardoso, M.; De Avila, É.D.; De Molon, R.S.; Siqueira, D.F.; de Assis Mollo-Junior, F.; Capelloza Filho, L. Six-year follow-up of maxillary anterior rehabilitation with forced orthodontic extrusion: Achieving esthetic excellence with a multidisciplinary approach. Am. J. Orthod. Dentofac. Orthop. 2013, 144, 607–615. [Google Scholar] [CrossRef]
- Korayem, M.; Flores-Mir, C.; Nassar, U.; Olfert, K. Implant site development by orthodontic extrusion: A systematic review. Angle Orthod. 2008, 78, 752–760. [Google Scholar] [CrossRef] [PubMed]
- Musilli, M.; Iuorio, M.T.; Vaia, E.; Vaia, E.; Ramaglia, L.; D’Antò, V. Biomechanically and Periodontally-Based Orthodontic Treatment of a Patient with Upper Canine Affected by External Cervical Resorption (ECR): A Case Report. Dent. J. 2023, 11, 278. [Google Scholar] [CrossRef] [PubMed]
- Rashid, Z.J.; Gul, S.S.; Shaikh, M.S.; Abdulkareem, A.A.; Zafar, M.S. Incidence of gingival black triangles following treatment with fixed orthodontic appliance: A systematic review. Healthcare 2022, 10, 1373. [Google Scholar] [CrossRef]
- Hussien, A.O.T.; Ibrahim, S.H.; Essa, M.E.S.; Hafez, R.M. Restoring black triangle with bioclear matrix versus conventional celluloid matrix method: A randomized clinical trial. BMC Oral Health 2023, 23, 402. [Google Scholar] [CrossRef]
- Yi, Z.; Miao, X.; Wang, L.; Zhang, G.; Wu, Y. A customized subepithelial connective tissue graft for interdental papilla reconstruction and soft tissue augmentation. J. Esthet. Restor. Dent. 2022, 34, 451–460. [Google Scholar] [CrossRef]
- Erpenstein, H.; Borchard, R. Criteria for the selection of root coverage procedures. Part 1: Intention, indication, methods. Periodontal Pract. Today 2006, 3, 139. [Google Scholar]
- Cadenas de Llano-Pérula, M.; Castro, A.B.; Danneels, M.; Schelfhout, A.; Teughels, W.; Willems, G. Risk factors for gingival recessions after orthodontic treatment: A systematic review. Eur. J. Orthod. 2023, 45, 528–544. [Google Scholar] [CrossRef]
- Gehlot, M.; Sharma, R.; Tewari, S.; Kumar, D.; Gupta, A. Effect of orthodontic treatment on periodontal health of periodontally compromised patients: A randomized controlled clinical trial. Angle Orthod. 2022, 92, 324–332. [Google Scholar] [CrossRef] [PubMed]
- Canuto, L.F.G.; Janson, G.; de Lima, N.S.; de Almeida, R.R.; Cançado, R.H. Anterior open-bite treatment with bonded vs conventional lingual spurs: A comparative study. Am. J. Orthod. Dentofac. Orthop. 2016, 149, 847–855. [Google Scholar] [CrossRef] [PubMed]
- Al-Thomali, Y.; Basha, S.; Mohamed, R.N. The factors affecting long-term stability in anterior open-bite correction-a systematic review. Turk. J. Orthod. 2017, 30, 21. [Google Scholar] [CrossRef]
- Kim, Y.H.; Han, U.K.; Lim, D.D.; Serraon, M.L.P. Stability of anterior openbite correction with multiloop edgewise archwire therapy: A cephalometric follow-up study. Am. J. Orthod. Dentofac. Orthop. 2000, 118, 43–54. [Google Scholar] [CrossRef] [PubMed]
- Küçükkeles, N.; Acar, A.; Demirkaya, A.A.; Evrenol, B.; Enacar, A. Cephalometric evaluation of open bite treatment with NiTi arch wires and anterior elastics. Am. J. Orthod. Dentofac. Orthop. 1999, 116, 555–562. [Google Scholar] [CrossRef] [PubMed]
- Singh, S.; Sidhu, M.S.; Prabhakar, M.; Nindra, J. Orthodontic Limitations in Adults: A Review. J. Clin. Diagn. Res. 2022, 16, ZE1–ZE5. [Google Scholar] [CrossRef]
- Chhabra, N.; Chhabra, A. Evaluation of the efficacy of the modified bluegrass appliance in cessation of thumb-sucking habit: An in vivo study with 12 months follow-up. Med. Pharm. Rep. 2020, 93, 190. [Google Scholar] [CrossRef]









| Measurement | A (Initial) | B (Final) | Difference (A-B) |
|---|---|---|---|
| SNA° | 89.6 | 89.3 | 0.3 |
| SNB° | 84.7 | 84.6 | 0.1 |
| ANB° | 4.9 | 4.7 | 0.2 |
| SN-MP° | 38.7 | 37.5 | 1.2 |
| FMA° | 26.3 | 25.3 | 1.0 |
| UI TO NA mm | 6.8 | 5.7 | 1.1 |
| UI TO SN° | 119.6 | 115.1 | 4.5 |
| LI TO NB mm | 11.0 | 10.5 | 0.5 |
| LI TO MP° | 97.8 | 96.0 | 1.8 |
| U Lip to E-Line | −1.3 | −1.3 | 0.0 |
| L Lip to E-Line | 2.7 | 2.5 | 0.2 |
Disclaimer/Publisher’s Note: The statements, opinions and data contained in all publications are solely those of the individual author(s) and contributor(s) and not of MDPI and/or the editor(s). MDPI and/or the editor(s) disclaim responsibility for any injury to people or property resulting from any ideas, methods, instructions or products referred to in the content. |
© 2024 by the authors. Licensee MDPI, Basel, Switzerland. This article is an open access article distributed under the terms and conditions of the Creative Commons Attribution (CC BY) license (https://creativecommons.org/licenses/by/4.0/).
Share and Cite
Alwadei, F.; Alwadei, A. Orthodontic Correction of an Anterior Open Bite with Periodontally Compromised Upper Incisors Using Miniscrews. Appl. Sci. 2024, 14, 811. https://doi.org/10.3390/app14020811
Alwadei F, Alwadei A. Orthodontic Correction of an Anterior Open Bite with Periodontally Compromised Upper Incisors Using Miniscrews. Applied Sciences. 2024; 14(2):811. https://doi.org/10.3390/app14020811
Chicago/Turabian StyleAlwadei, Farhan, and Abdurahman Alwadei. 2024. "Orthodontic Correction of an Anterior Open Bite with Periodontally Compromised Upper Incisors Using Miniscrews" Applied Sciences 14, no. 2: 811. https://doi.org/10.3390/app14020811
APA StyleAlwadei, F., & Alwadei, A. (2024). Orthodontic Correction of an Anterior Open Bite with Periodontally Compromised Upper Incisors Using Miniscrews. Applied Sciences, 14(2), 811. https://doi.org/10.3390/app14020811
