Myoepithelioma of the Hand: A Systematic Review
Abstract
1. Introduction
2. Materials and Methods
3. Results
4. Discussion
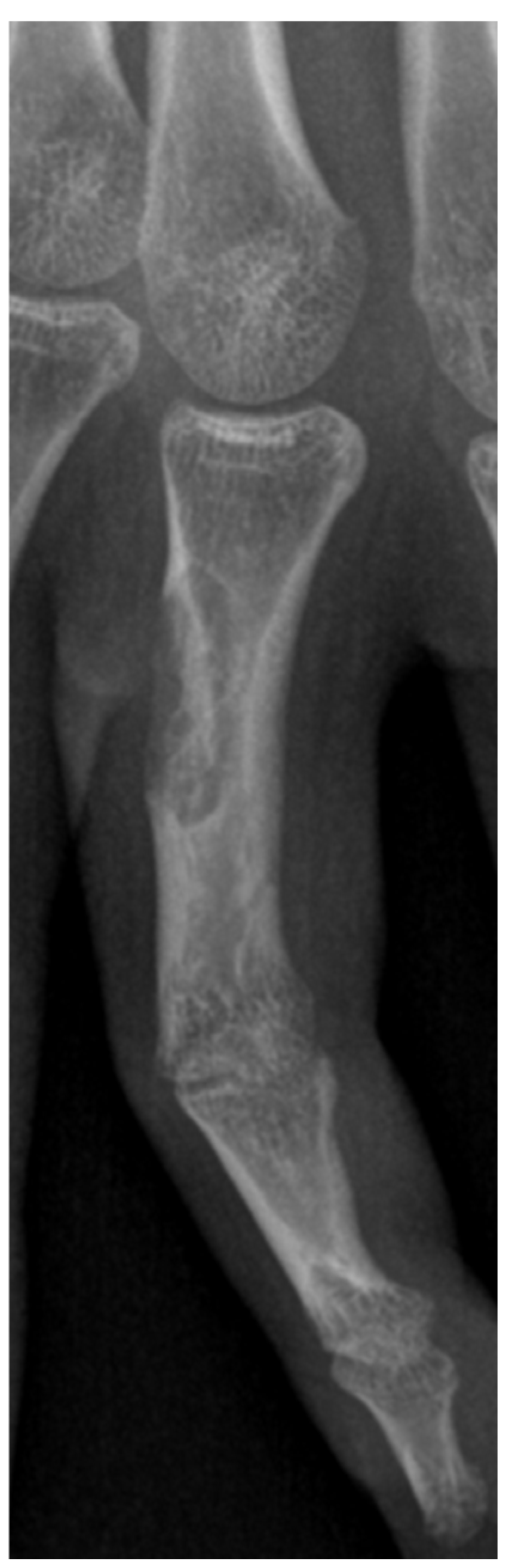
4.1. Clinical Features and Gross Findings
4.2. Microscopic Findings
4.3. Immunohistochemistry
4.4. Diagnosis
4.5. Management
4.6. Prognosis and Predictive Factors
5. Conclusions
Author Contributions
Funding
Conflicts of Interest
References
- Seifert, G.; Sobin, L.H. Myoepithelioma. In World Health Organization International Histological Classification of Tumours: Histological.
- Erlandson, R.A.; Cardon-Cardo, C. Histogenesis of benign pleomorphic adenoma (mixed tumor) of the major salivary glands. An ultrastructural and immunohistochemical study. Am. J. Surg. Pathol. 1984, 8, 803–820. [Google Scholar] [CrossRef] [PubMed]
- Batsakis, J.G. Myoepithelioma. Ann. Otol. Rhinol. Laryngol. 1985, 94, 523–524. [Google Scholar] [CrossRef] [PubMed]
- Sciubba, J.J.; Brannon, R.B. Myoepithelioma of salivary glands: Report of 23 cases. Cancer 1982, 49, 562–572. [Google Scholar] [CrossRef]
- Sciubba, J.J.; Foldstein, B.H. Myoepithelioma. Review of the literature and report of a case with ultrastructural confirmation. Oral Surg. Oral Med. Oral Pathol. 1976, 42, 328–338. [Google Scholar] [CrossRef] [PubMed]
- Miliauskas, J.R.; Orell, S.R. Fine-needle aspiration cytological findings in five cases of epithelial-myoepithelial carcinoma of salivary glands. Diagn. Cytopathol. 2003, 28, 163–167. [Google Scholar] [CrossRef]
- Matsuyama, A.; Hisaoka, M. PLAG1 expression in mesenchymal tumors: An immunohistochemical study with special emphasis on the pathogenetical distinction between soft tissue myoepithelioma and pleomorphic adenoma of the salivary gland. Pathol. Int. 2012, 62, 1–7. [Google Scholar] [CrossRef]
- Jo, V.Y.; Antonescu, C.R. Cutaneous syncytial myoepithelioma: Clinicopathologic characterization in a series of 38 cases. Am. J. Surg. Pathol. 2013, 37, 710–718. [Google Scholar] [CrossRef]
- Clark, J.C.; Galloway, S.J. Myoepithelioma within the carpal tunnel: A case report and review of the literature. Int. Semin. Surg. Oncol. 2009, 6, 15. [Google Scholar] [CrossRef]
- Fulchignoni, C.; Pietramala, S. Spindle-cell myoepithelioma, a rare neoplasm with various clinical presentations that can affect fingers. Hand Surg. Rehabil. 2024, 43, 101668. [Google Scholar] [CrossRef]
- Pietramala, S.; Tulli, A. Spindle-cell myoepithelioma: A rare case in a finger of a 15-year-old boy. Hand Surg. Rehabil. 2023, 42, 549–552. [Google Scholar] [CrossRef]
- Patton, A.; Speeckaert, A. A novel IRF2BP2::CDX2 Gene fusion in digital intravascular myoepithelioma of soft tissue: An enigma! Genes. Chromosomes Cancer 2023, 62, 176–183. [Google Scholar] [CrossRef] [PubMed]
- Ansari, M.T.; Kotwal, P.P. Intraosseous myoepithelioma: A rare tumour in the hand. J. Hand Surg. Eur. 2017, 42, 530–531. [Google Scholar] [CrossRef] [PubMed]
- Nambirajan, A.; Mridha, A.R. Primary intra-osseous myoepithelioma of phalanx mimicking an enchondroma. Skelet. Radiol. 2016, 45, 1453–1458. [Google Scholar] [CrossRef]
- Itinteang, T.; Morine, A.E. Finger soft tissue myoepithelioma: A rare entity. ANZ J. Surg. 2015, 85, 883–884. [Google Scholar] [CrossRef]
- Montalvo, N.; Redrobán, L. Cutaneous myoepithelioma: An unusual tumor in the hand. Case Rep. Pathol. 2020, 2020, 3747013. [Google Scholar] [CrossRef]
- Yeoh, D.; Symmans, P. Bony myoepithelioma: A rare condition presenting in the hand. J. Hand Surg. Eur. Vol. 2017, 42, 94–95. [Google Scholar] [CrossRef]
- Choi, Y.-J. Cutaneous myoepithelioma on the palm. J. Dermatol. 2011, 38, 1210–1213. [Google Scholar] [CrossRef]
- Zamora, C.A.; Zamora, M.A. Myoepithelioma of the hand and carpal tunnel: An unusual cause of median nerve compression. J. Clin. Ultrasound 2011, 39, 44–47. [Google Scholar] [CrossRef] [PubMed]
- Chateau, F.; Nguyen, P. Tumeur myoépithéliale des tissus mous avec extension intraosseuse dans la première phalange de l’annulaire: À propos d’un cas Clinique. Chir. Main. 2011, 30, 144–147. [Google Scholar] [CrossRef]
- Pilavaki, M.; Givissis, P. Soft-tissue myoepithelioma of the hypothenar region: A case report. J. Hand Surg. Am. 2007, 32, 674–676. [Google Scholar] [CrossRef]
- Hamada, K.; Ueda, T. Myoepithelioma of soft tissue originating from the hand: 18F-FDG PET features. AJR Am. J. Roentgenol. 2006, 186, 270–271. [Google Scholar] [CrossRef] [PubMed]
- Dardick, I.; Thomas, M.J. Myoepithelioma--new concepts of histology and classification: A light and electron microscopic study. Ultrastruct. Pathol. 1989, 13, 187–224. [Google Scholar] [CrossRef]
- Kawashima, Y.; Kobayashi, D. A case of myoepithelioma arising in an accessory parotid gland. J. Laryngol. Otol. 2002, 116, 474–476. [Google Scholar] [CrossRef] [PubMed]
- Dardick, I.; van Nostrand, A.W. Myoepithelial cells in salivary gland tumors–revisited. Head. Neck Surg. 1985, 7, 395–408. [Google Scholar] [CrossRef]
- Lins, J.E.; Gnepp, D.R. Myoepithelioma of the palate in a child. Int. J. Pediatr. Otorhinolaryngol. 1986, 11, 5–13. [Google Scholar] [CrossRef] [PubMed]
- Mahdi, Y.; Zouaidia, F. Combined myoepithelial carcinoma and myoepithelioma in soft tissue: A case report and review of the literature. J. Med. Case Rep. 2014, 8, 317. [Google Scholar] [CrossRef]
- Hornick, J.L.; Fletcher, C.D. Myoepithelial tumors of soft tissue: A clinicopathologic and immunohistochemical study of 101 cases with evaluation of prognostic parameters. Am. J. Surg. Pathol. 2003, 27, 1183–1196. [Google Scholar] [CrossRef]
- Savera, A.T.; Zarbo, R.J. Defining the role of myoepithelium in salivary gland neoplasia. Adv. Anat. Pathol. 2004, 11, 69–85. [Google Scholar] [CrossRef] [PubMed]
- Cardesa, A.; Alos, L. Myoepithelioma. In World Health Organization Classification of Tumours: Pathology and Genetics of Head and Neck Tumours; Barnes, L., Eveson, J.W., Eds.; IARC Press: Lyon, France, 2005; pp. 259–260. [Google Scholar]
- Savera, A.T.; Gown, A.M. Immunolocalization of three novel smooth muscle-specific proteins in salivary gland pleomorphic adenoma: Assessment of the morphogenetic role of myoepithelium. Mod. Pathol. 1997, 10, 1093–1100. [Google Scholar]
- Sugano, N.T. Salivary gland malignant myoepithelioma: A clinicopathologic and immunohistochemical study of ten cases. Cancer 1998, 83, 1292–1299. [Google Scholar]
- Miettinen, M.; McCue, P.A. Sox10—A marker for not only schwannian and melanocytic neoplasms but also myoepithelial cell tumors of soft tissue: A systematic analysis of 5134 tumors. Am. J. Surg. Pathol. 2015, 39, 826–835. [Google Scholar] [CrossRef] [PubMed]
- Prabhu, S.; Kaveri, H. Benign; malignant salivary gland tumors: Comparison of immunohistochemical expression of e-cadherin. Oral Oncol. 2009, 45, 594–599. [Google Scholar] [CrossRef]
- Barnett, M.D.; Wallack, M.K. Recurrent malignant chondroid syringoma of the foot: A case report and review of the literature. Am. J. Clin. Oncol. 2000, 23, 227–232. [Google Scholar] [CrossRef]
- Al-Qattan, M.M. Giant cell tumours of tendon sheath: Classification and recurrence rate. J. Hand Surg. Br. 2001, 26, 72–75. [Google Scholar] [CrossRef] [PubMed]
- Shimosawa, H.; Susa, M. Soft tissue mixed tumor of the hand. Rare Tumors 2009, 1, e30. [Google Scholar] [CrossRef] [PubMed]
- Jo, V.Y.; Fletcher, C.D. Myoepithelial neoplasms of soft tissue: An updated review of the clinicopathologic, immunophenotypic, and genetic features. Head. Neck Pathol. 2015, 9, 32–38. [Google Scholar] [CrossRef]
- Kabarriti, R.; Quinn, T.J. Neoadjuvant radiation therapy for the management of myoepithelial carcinoma of the upper extremity. Int. J. Cancer 2018, 142, 854–862. [Google Scholar] [CrossRef]
- Nayak, J.V.; Molina, J.T. Myoepithelial neoplasia of the submandibular gland: Case report and therapeutic considerations. Arch. Otolaryngol. Head. Neck Surg. 2003, 129, 359–362. [Google Scholar] [CrossRef]
- Miller, T.D.; McCalmont, T. Recurrent cutaneous myoepithelioma treated using Mohs micrographic surgery: Case report and review of the literature. Dermatol. Surg. 2009, 35, 139–143. [Google Scholar] [CrossRef]
- Hornick, J.L.; Fletcher CD, M. Cutaneous myoepithelioma: A clinicopathologic and immunohistochemical study of 14 cases. Hum. Pathol. 2004, 35, 14–24. [Google Scholar] [CrossRef]
- Flucke, U.; Palmedo, G. _EWSR1_ gene rearrangement occurs in a subset of cutaneous myoepithelial tumors: A study of 18 cases. Mod. Pathol. 2011, 24, 1444–1450. [Google Scholar] [CrossRef] [PubMed]



| Author | Year | Age | Gender | Localization | Clinical Presentation | Differential Diagnosis |
|---|---|---|---|---|---|---|
| Jo, V.Y. [8] | 2013 | 52 | M | 3D | Firm, painless popular lesion | / |
| Clark, J.C. [9] | 2009 | 36 | M | TE | Firm mass attached to the FDP/CTS | Ganglion/PVNS |
| Fulchignoni, C. [10] | 2024 | 12 | F | 2D | Violet, carnose lump | Dermoid Cyst |
| Pietramala, S. [11] | 2023 | 15 | M | 3D | Firm mass adhered to the bone | Lipoma |
| Patton, A. [12] | 2022 | 52 | M | 2D | Firm painless mass | Vascular tumor emboli (pleomorphic adenoma) |
| Ansari, M.T. [13] | 2017 | 33 | M | 3D | Soft tissue swelling | Enchondroma |
| Nambirajan, A. [14] | 2016 | 37 | F | 3D | Hard swelling | Enchondroma |
| Itintenag, T. [15] | 2014 | 69 | M | 2D | Enlarging mass | GCT |
| Montalvo, N. [16] | 2020 | 52 | M | HE | Painless growing mass | / |
| Yeoh, D. [17] | 2015 | 28 | F | 2D | Slowly enlarging tender mass | Chondromyxoid fibroma |
| Choi, Y.J. [18] | 2011 | 51 | M | HE | Painless growing mass | / |
| Zamora, C.A. [19] | 2011 | 35 | F | TE | Firm mass + CTS | Chondromyxoid fibroma |
| Chateau, F. [20] | 2011 | 29 | M | 4D | Painful post-traumatic mass | / |
| Pilavaki, M. [21] | 2006 | 50 | F | HE | Slow growing mass | / |
| Hamada, K. [22] | 2006 | 69 | F | TE | Slow growing mass | Malignant neoplasm |
| N° of Patients | 15 |
|---|---|
| Gender | |
| Male | 9 (60%) |
| Female | 6 (40%) |
| Age | 41.3 y.o. (12–69) |
| Location | |
| Third finger | 5 (33.3%) |
| Second finger | 3 (20%) |
| Fourth finger | 1 (6.7%) |
| Thenar eminence | 3 (20%) |
| Hypothenar eminence | 3 (20%) |
| Imaging | |
| None | 4 |
| XRAY | 6 |
| MRI | 1 |
| CT | 2 |
| PET | 3 |
| US | 3 |
| Recurrence | |
| Yes | 1 (6.7%) |
| No | 14 (93.3%) |
| Myoepithelioma Differential Diagnosis | |||
|---|---|---|---|
| Clinical Features | Histologic Features | Imaging | |
| Myoepithelioma | Slow growing | S100 protein, EMA, CK7, AE1/AE3, calponin | X-ray: may show bone erosion MRI: low contrast T1, high contrast T2. May show tendon involvement |
| Schwannoma | Alongside nerve, +/− sensitive or motor impairments | SOX10, S100, NF, GFAP | MRI: isointense to intermediate signals on T1WI, heterogeneously hyperintense signals on T2WI, and STIR with no suppression on fat saturated sequences |
| Lipoma | Slippage sign | S-100, CD34, Leptin | MRI: well-defined margins, hyperintense in T1WI and T2WI |
| Synovial Sarcoma | Slow growing single or lobulated | CK-pan, EMA, vimentin, BCL-2 | MRI: infiltrative margins, isointense to muscle belly in T1WI and hyperintense in T2WI. Typical “triple signal” |
| Myoepithelial carcinoma | Slow growing firm mass | CK-14, CK-7, CK-pan, EMA, S100, calponin, HMW-CK, p63 | MRI: ill-defined margins, isointense in T1, hyperintense in T2 |
Disclaimer/Publisher’s Note: The statements, opinions and data contained in all publications are solely those of the individual author(s) and contributor(s) and not of MDPI and/or the editor(s). MDPI and/or the editor(s) disclaim responsibility for any injury to people or property resulting from any ideas, methods, instructions or products referred to in the content. |
© 2024 by the authors. Licensee MDPI, Basel, Switzerland. This article is an open access article distributed under the terms and conditions of the Creative Commons Attribution (CC BY) license (https://creativecommons.org/licenses/by/4.0/).
Share and Cite
Bocchino, G.; Capece, G.; Pietramala, S.; Rovere, G.; Rocchi, L.; Farsetti, P.; Maccauro, G.; Fulchignoni, C. Myoepithelioma of the Hand: A Systematic Review. Appl. Sci. 2024, 14, 9149. https://doi.org/10.3390/app14199149
Bocchino G, Capece G, Pietramala S, Rovere G, Rocchi L, Farsetti P, Maccauro G, Fulchignoni C. Myoepithelioma of the Hand: A Systematic Review. Applied Sciences. 2024; 14(19):9149. https://doi.org/10.3390/app14199149
Chicago/Turabian StyleBocchino, Guido, Giacomo Capece, Silvia Pietramala, Giuseppe Rovere, Lorenzo Rocchi, Pasquale Farsetti, Giulio Maccauro, and Camillo Fulchignoni. 2024. "Myoepithelioma of the Hand: A Systematic Review" Applied Sciences 14, no. 19: 9149. https://doi.org/10.3390/app14199149
APA StyleBocchino, G., Capece, G., Pietramala, S., Rovere, G., Rocchi, L., Farsetti, P., Maccauro, G., & Fulchignoni, C. (2024). Myoepithelioma of the Hand: A Systematic Review. Applied Sciences, 14(19), 9149. https://doi.org/10.3390/app14199149

