Three-Stage Non-Surgical Treatment of Skeletal Class III Malocclusion in Adolescents—A Report of Four Cases with Long-Term Follow-Up
Abstract
Featured Application
Abstract
1. Introduction
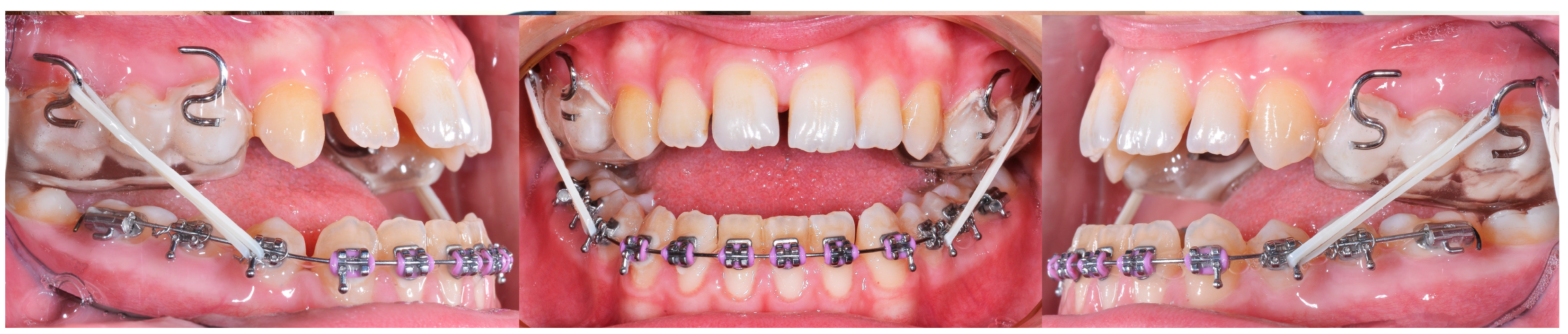
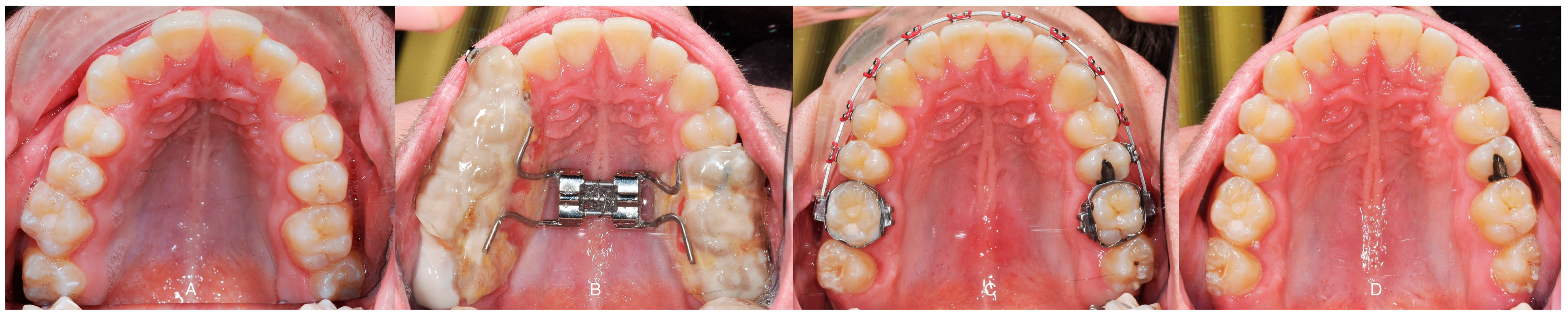
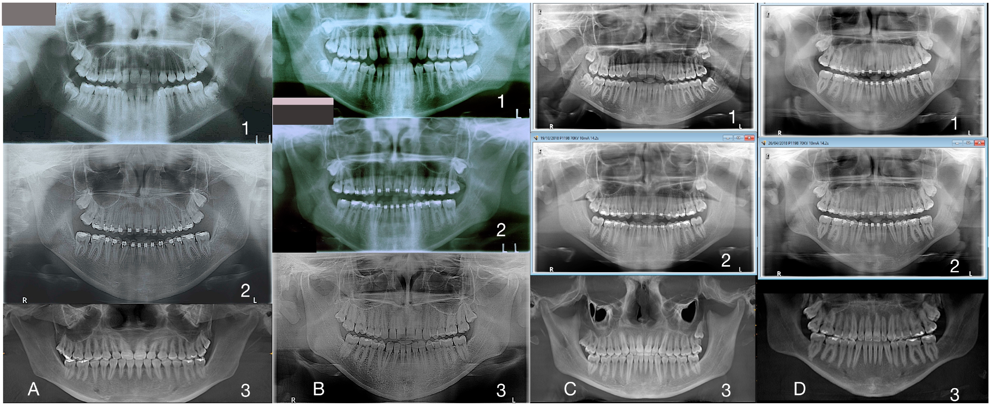
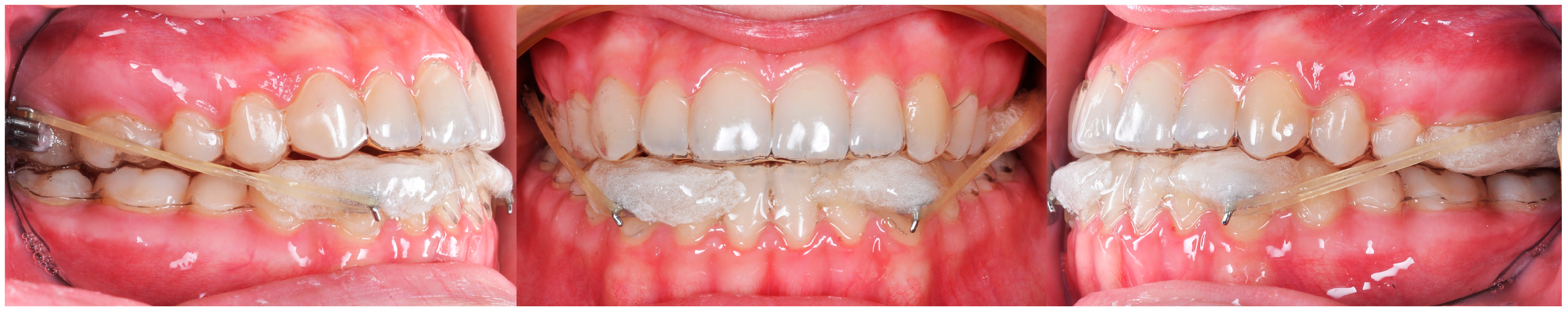
2. Materials and Methods
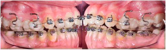
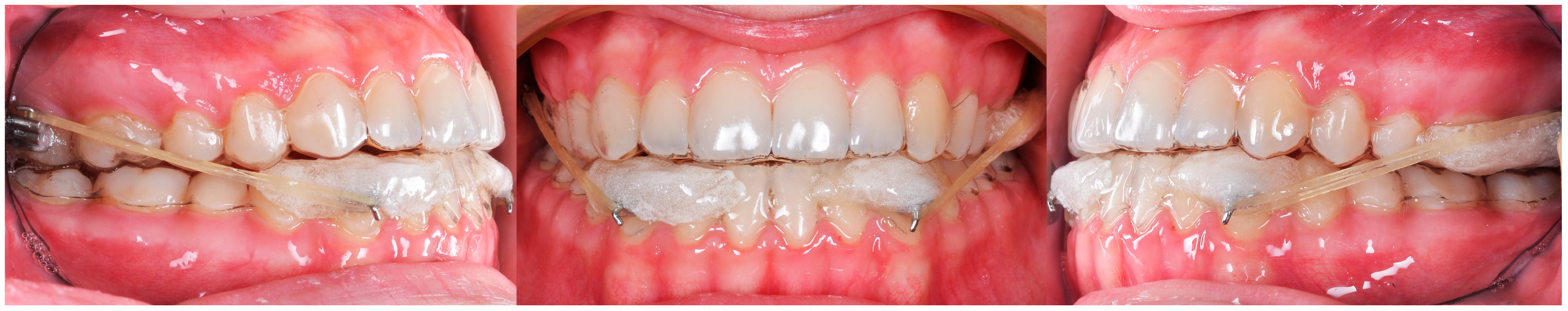
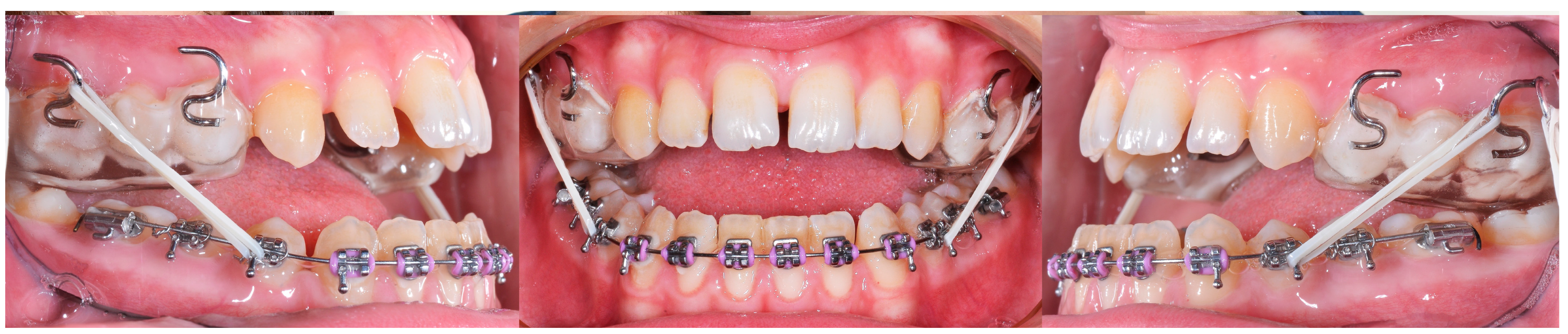
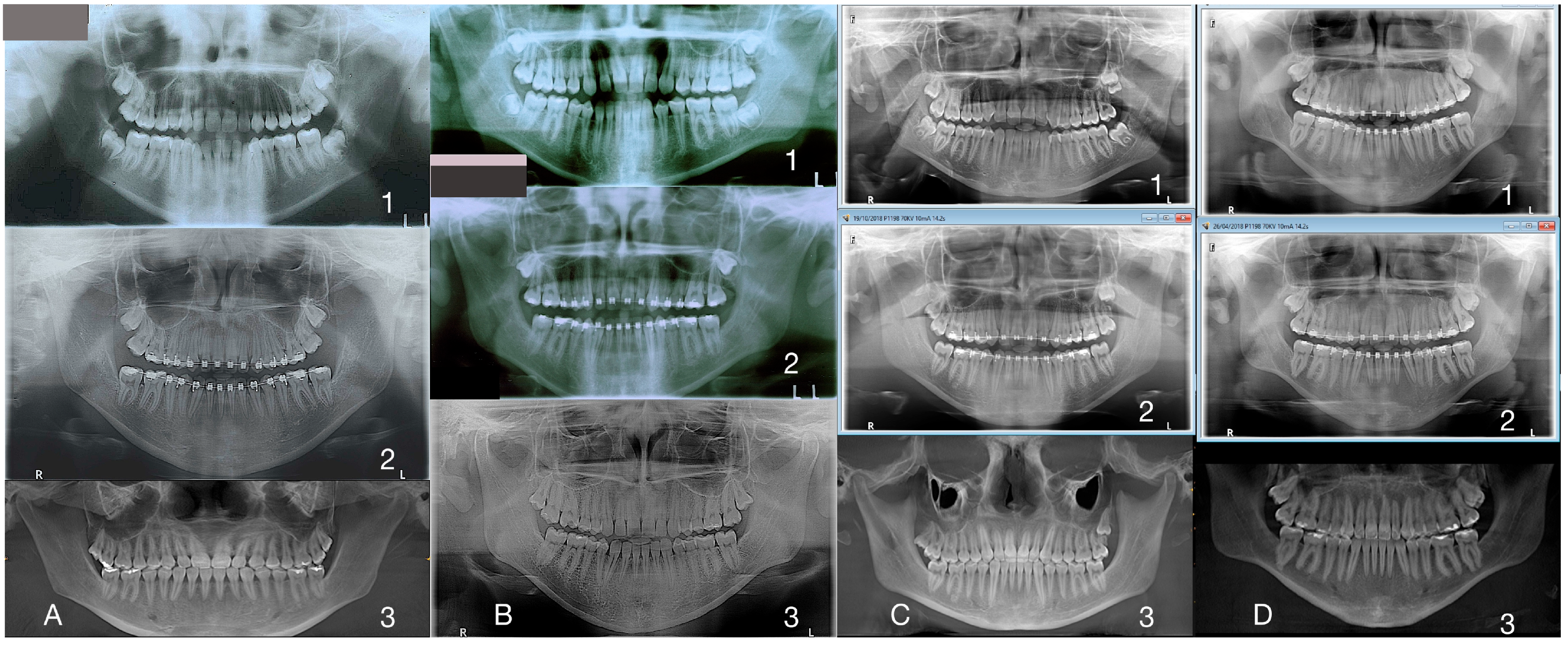
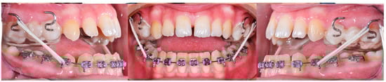
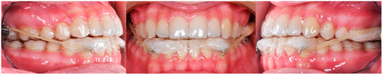
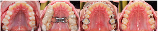
3. The Results of the Treatment
4. Discussion
5. Conclusions
Author Contributions
Funding
Institutional Review Board Statement
Informed Consent Statement
Data Availability Statement
Conflicts of Interest
References
- Wolfe, S.M.; Araujo, E.; Behrents, R.G.; Buschang, P.H. Craniofacial growth of Class III subjects six to sixteen years of age. Angle Orthod. 2011, 81, 211–216. [Google Scholar] [CrossRef] [PubMed]
- Baccetti, T.; Franchi, L.; McNamara, J.A., Jr. Growth in the Untreated Class III Subject. Semin. Orthod. 2007, 13, 130–142. [Google Scholar] [CrossRef]
- Ngan, P. Early Timely Treatment of Class III Malocclusion. Semin. Orthod. 2005, 11, 140–145. [Google Scholar] [CrossRef]
- Reed, E.; Kiebach, T.J.; Martin, C.; Razmus, T.; Gunel, E.; Ngan, P. Stability of early Class III orthopedic treatment. Semin. Orthod. 2014, 6, 114–127. [Google Scholar] [CrossRef]
- Baccetti, T.; McGill, J.S.; Franchi, L.; McNamara, J.A., Jr.; Tollaro, J. Skeletal effects of early treatment of Class III malocclusion with maxillary expansion and face mask therapy. Am. J. Orthod. Dentofac. Orthop. 1998, 318, 533–543. [Google Scholar] [CrossRef]
- Mandall, N.; Cousley, R.; DiBiase, A.; Dyer, F.; Littlewood, S.; Mattick, R.; Nute, S.J.; Doherty, B. Early class III protraction facemask treatment reduces the need for orthognathic surgery: A multi-centre, two-arm parallel randomized, controlled trial. J. Orthod. 2016, 43, 164–175. [Google Scholar] [CrossRef]
- Fudaley, P.; Dragan, M.; Wędrychowska-Szulc, B. Prediction of the outcome of orthodontic treatment of Class III malocclusions—A systematic review. Eur. J. Orthod. 2011, 33, 190–197. [Google Scholar] [CrossRef] [PubMed]
- Hägg, U.; Tse, A.; Bendeus, M.; Bakr, A.; Rabie, M. Long-term follow-up of early treatment with reverse headgear. Eur. J. Orthod. 2003, 25, 95–102. [Google Scholar] [CrossRef]
- Baccetti, T.; Franchi, L.; McNamara, J.A. Cephalometric variables predicting the long–term success or failure of combined rapid maxillary expansion and facial-mask therapy. Am. J. Orthod. Dentofac. Orthop. 2004, 126, 16–22. [Google Scholar] [CrossRef]
- Reyes, B.C.; Baccetti, T.; McNamara, J.A., Jr. An Estimate of Craniofacial Growth in Class III Malocclusion. Angle Orthod. 2006, 4, 577–584. [Google Scholar]
- Baccetti, T.; Franchi, L.; McNamara, J.A., Jr. The Cervical Vertebral Maturation (CVM) Method for the assessment of optimal treatment timing in dentofacial orthopedics. Semin. Orthod. 2005, 11, 119–129. [Google Scholar] [CrossRef]
- Kuc-Michalska, M.; Baccetti, T. Duration of the pubertal growth peak in skeletal Class I and III subjects. Angle Orthod. 2010, 80, 54–57. [Google Scholar] [CrossRef] [PubMed]
- Szemraj-Folmer, A.; Wojtaszek-Słomińska, A.; Racka-Pilszak, B.; Kuc-Michalska, M. Duration of the pubertal growth spurt in patients with increased craniofacial growth component in sagittal and vertical planes—Retrospective and cross-sectional study. Clin. Oral. Investig. 2021, 25, 4907–4914. [Google Scholar] [CrossRef]
- Wolford, L.M.; Karras, S.C.; Mehra, P. Considerations for orthognathic surgery during growth, part 1: Mandibular deformities. Am. J. Orthod. Dentofac. Orthop. 2001, 119, 95–101. [Google Scholar] [CrossRef] [PubMed]
- Johns, A.; Zukin, J.; Odono, L.; Cardenas, A.K.; Baird, J.; Clarke, N. Thematic Analysis of Parental Experiences of Patients’ Orthognathic Surgery. J. Craniofac. Surg. 2024, 35, 85–90. [Google Scholar] [CrossRef] [PubMed]
- Peleg, O.; Mahmoud, R.; Shuster, A.; Arbel, S.; Manor, Y.; Ianculovici, C.; Kleinman, S. Orthognathic surgery complications: The 10-year experience of a single center. J. Craniomaxillofac. Surg. 2021, 49, 891–897. [Google Scholar] [CrossRef] [PubMed]
- Fields, H.W.; Proffit, W.R.; Sarver, D.M. Treatment of skeletal problems in preadolescent children. In Contemporary Orthodontics; Proffit, W.R., Fields, H.W., Eds.; Mosby Yearbook: St. Louis, MO, USA, 2013; p. 480. [Google Scholar]
- Mucedero, M.; Coviello, A.; Baccetti, T.; Franchi, L.; Cozza, P. Stability Factors After Double-Jaw Surgery in Class III Malocclusion: A Systematic Review. Angle Orthod. 2008, 6, 1141–1152. [Google Scholar] [CrossRef]
- Jacobsone, G.; Stenvic, A.; Sandvik, L.; Espeland, L. Three-year follow-up of bimaxillary surgery to correct skeletal Class III malocclusion: Stability and risk factors for relapse. Am. J. Orthod. Dentofac. Orthop. 2011, 139, 80–89. [Google Scholar] [CrossRef]
- Nevzatoglu, S.; Kucukkeles, N. Long-term results of surgically assisted maxillary protraction vs regular facemask. Angle Orthod. 2014, 6, 1002–1009. [Google Scholar] [CrossRef]
- Baydas, B.; Yavuz, I.; Usiu, H.; Dagsuyu, I.M.; Ceylan, I. Nonsurgical rapid maxillary expansion effects on craniofacial structures in young adult females. Angle Orthod. 2006, 5, 759–767. [Google Scholar]
- Garcia, B.C. Class III non-surgical treatment: Breaking the barrier. Int. J. Orthod. 2007, 18, 35–36. [Google Scholar]
- Kuc-Michalska, M. Nonsurgical orthopedic-orthodontic treatment of adult Class III female patient with the conically shaped tooth 12 and the agenesis of the tooth 22. Clin. Orthod. 2013, 2, 31–39. [Google Scholar]
- Seo, Y.-J.; Chungb, K.-R.; Kim, S.-H.; Nelson, G. Camouflage treatment of skeletal Class III malocclusion with asymmetry using a bone-borne rapid maxillary expander. Angle Orthod. 2015, 85, 322–334. [Google Scholar] [CrossRef]
- Kuc-Michalska, M.; Karska, A.; Ngan, P. Nonsurgical orthodontic/orthopedic treatment of young adult class III patient. EURO J. Comput. Optim. 2016, 4, 23–30. [Google Scholar]
- Alnefaie, M.; Han, W.J.; Ahn, Y.S.; Baik, W.K.; Choi, S.H. Orthopedic and Nonsurgical Orthodontic Treatment of Adolescent Skeletal Class III Malocclusion Using Bone-Anchored Maxillary Protraction and Temporary Anchorage Devices: A Case Report. Children 2022, 7, 683. [Google Scholar] [CrossRef] [PubMed] [PubMed Central]
- Papadopoulou, A.K.; Koletsi, D.; Masucci, C.; Giuntini, V.; Franchi, L.; Darendeliler, M.A. A retrospective long-term comparison of early RME-facemask versus late Hybrid-Hyrax, alt-RAMEC and miniscrew-supported intraoral elastics in growing Class III patients. Int. Orthod. 2022, 20, 100603. [Google Scholar] [CrossRef] [PubMed]
- Owens, D.; Watkinson, S.; Harrison, J.E.; Turner, S.; Worthington, H.V. Orthodontic treatment for prominent lower front teeth (Class III malocclusion) in children. Cochrane Database Syst. Rev. 2024, 10, CD003451. [Google Scholar] [CrossRef] [PubMed] [PubMed Central]
- Stellzig-Eisenhauer, A.; Lux, C.J.; Schuster, G. Treatment decision in adult patients with Class III malocclusion: Orthodontic therapy or orthognathic surgery? Am. J. Orthod. Dentofac. Orthop. 2002, 122, 27–37; discussion 37–38. [Google Scholar] [CrossRef]
- Eslami, S.; Faber, J.; Fateh, A.; Sheikholaemmeh, F.; Grassia, V.; Jamilian, A. Treatment decision in adult patients with class III malocclusion: Surgery versus orthodontics. Prog. Orthod. 2018, 19, 28. [Google Scholar] [CrossRef]
- Franchi, L.; Baccetti, T.; McNamara, J.A. Postpubertal assessment of treatment timing for maxillary expansion and protraction therapy followed by fixed appliances. Am. J. Orthod. Dentofac. Orthop. 2004, 126, 555–568. [Google Scholar] [CrossRef]
- Handelman, C.S.; Wang, L.; BeGole, E.A.; Haas, A.J. Nonsurgical rapid maxillary expansion in adults: Report on 47 cases using the the Haas expander. Angle Orthod. 2000, 70, 129–144. [Google Scholar] [CrossRef] [PubMed]
- Handelman, C. Palatal expansion in adults: The nonsurgical approach. Am. J. Orthod. Dentofac. Orthop. 2011, 140, 462–469. [Google Scholar] [CrossRef]
- Björk, A.; Skieler, V. Normal and abnormal growth of mandible: A synthesis of longitudinal Cephalometric implant studies over a period of 25 years. Off. J. Eur. Orthod. Soc. 1983, 5, 1–46. [Google Scholar] [CrossRef] [PubMed]
- McNamara, J.A., Jr. A method of cephalometric evaluation. Am. J. Orthod. 1984, 86, 449–469. [Google Scholar] [CrossRef]
- Jacobson, A. The “Wits” appraisal of jaw disharmony. Am. J. Orthod. 1975, 67, 125–138. [Google Scholar] [CrossRef] [PubMed]
- Cevidanes, L.; Baccetti, T.; Franchi, L.; McNamara, J.A., Jr.; De Clerck, H. Comparison of two protocols for maxillary protraction: Bone anchors versus face mask with rapid maxillary expansion. Angle Orthod. 2010, 80, 799–806. [Google Scholar] [CrossRef] [PubMed]
- Perillo, L.; Vitale, M.; Masucci, C.; D’Appuzzo, F.; Cozza, P.; Franchi, L. Comparisons of two protocols for the early treatment of Class III dentoskeletal disharmony. Off. J. Eur. Orthod. Soc. 2016, 1, 51–56. [Google Scholar] [CrossRef][Green Version]
- Nienkemper, M.; Wilmes, B.; Franchi, L.; Drescher, D. Effectiveness of maxillary protraction using a hybrid hyrax-facemask combination: A controlled clinical study. Angle Orthod. 2015, 85, 764–770. [Google Scholar] [CrossRef]
- Mitani, H.; Sakamoto, T. Chin-cap force to a growing mandible. Long-term clinical reports. Angle Orthod. 1984, 2, 93–122. [Google Scholar]
- Franchi, L.; Pavoni, C.; Cerroni, S.; Cozza, P. TPS Analysis of Long-Term Mandibular Changes. Off. J. Eur. Orthod. Soc. 2014, 36, 425–430. [Google Scholar] [CrossRef]
- Ferro, A.; Nucci, L.P.; Ferro, F.; Gallo, C. Long-term stability of skeletal Class III patients treated with splints, Class III elastics, and chin-cup. Am. J. Orthod. Dentofac. Orthop. 2003, 123, 423–434. [Google Scholar] [CrossRef] [PubMed]
- Franchi, L.; Baccetti, T.; McNamara, J.A., Jr. Mandibular growth as related to cervical vertebral maturation and body height. Am. J. Orthod. Dentofac. Orthop. 2000, 118, 335–340. [Google Scholar] [CrossRef]
- Lavergne, J.; Gasson, N. Direction and intensity of mandibular rotation in the sagittal adjustment during growth of the jaws. Scand. J. Dent. Res. 1977, 85, 193–196. [Google Scholar]
- Burns, N.R.; Musich, D.R.; Martin, C.; Razmus, T.; Gunel, E.; Ngan, P. Class III camouflage treatment: What are the limits? Am. J. Orthod. Dentofac. Orthop. 2010, 137, 9–13. [Google Scholar] [CrossRef]
- Gökalp, H.; Kurt, G. Magnetic resonance imaging of the condylar growth pattern and disk position after chin cup therapy: A preliminary study. Angle Orthod. 2005, 75, 568–575. [Google Scholar] [PubMed]
- Abdalla, Y.; Sonnesen, L. Association between orthodontic treatment and upper airway changes in children assessed with cone-beam computed tomography (CBCT): A systematic review. J. Oral Rehabil. 2024; Online ahead of print. [Google Scholar] [CrossRef] [PubMed]
- Bellon, M.; Boutin, F.; Haddad, R.; Frapier, L. Effectiveness of orthopaedic treatments on the enlargement of the upper airways: Overview of systematic reviews. Int. Orthod. 2023, 21, 100745. [Google Scholar] [CrossRef] [PubMed]
- Prévé, S.; García Alcázar, B. Interest of miniscrew-assisted rapid palatal expansion on the upper airway in growing patients: A systematic review. Int. Orthod. 2022, 20, 100657. [Google Scholar] [CrossRef] [PubMed]
- Wertz, R.A. Changes in nasal airflow incident to rapid maxillary expansion. Angle Orthod. 1968, 38, 1–11. [Google Scholar] [CrossRef] [PubMed]
- Krishan, K.; Kanchan, T. Evaluation of spheno-occipital synchondrosis: A review of literature and considerations from forensic anthropologic point of view. J. Forensic Dent. Sci. 2013, 5, 72–76. [Google Scholar]
- Leonardi, R.; Cutrera, A.; Barbato, E. Rapid maxillary expansion affects the spheno-occipital synchondrosis in youngsters. A study with low-dose computed tomography. Angle Orthod. 2010, 80, 106–110. [Google Scholar] [CrossRef]
- Baccetti, T.; Cameron, C.G.; Franchi, L.; McNamara, J.A. Treatment timing for rapid maxillary expansion. Angle Orthod. 2001, 71, 343–350. [Google Scholar] [PubMed]
- Mervin, D.; Ngan, P.; Häag, U.; Yiu, C.; Wei, S.H. Timing for effective application of anteriorly directed orthopedic force to the maxilla. Am. J. Orthod. Dentofac. Orthop. 1997, 112, 292–299. [Google Scholar]
- Meikle, M.C. Remodeling the dentofacial skeleton: The biological basis of orthodontics and dentofacial orthopedics. J. Dent. Res. 2007, 86, 12–24. [Google Scholar] [CrossRef] [PubMed]
- Shih-Yao Liu, S.; Kyung, H.-M.; Buschang, P. Continuous forces are more effective than intermittent forces in expanding sutures. Off. J. Eur. Orthod. Soc. 2010, 32, 371–380. [Google Scholar]
- Musich, D.R.; Busch, M.J. Clinical management of the Class III growing patient. Informationen Orthod. Kieferorthopadie 2008, 40, 13–26. [Google Scholar] [CrossRef]
- Nguyen, T.; Cevidanes, L.; Cornelis, M.A.; Heymann, G.; De Paula, L.K.; De Clerck, H. Three-dimensional assessment of maxillary changes associated with bone anchored maxillary protraction. Am. J. Orthod. Dentofac. Orthop. 2011, 140, 790–798. [Google Scholar] [CrossRef]

























| Patient ID No Cephalometric Value | Patient 1 | T2-T1 | Patient 2 | T2-T1 | Patient 3 | T2-T1 | Patient 4 | T2-T1 | ||||
|---|---|---|---|---|---|---|---|---|---|---|---|---|
| Pretreatment | Posttreatment | Pretreatment | Posttreatment | Pretreatment | Posttreatment | Pretreatment | Posttreatment | |||||
| ILS-NL | 112.2 | 121.5 | +9.3 | 121.3 | 121.2 | 0.1 | 117.7 | 118.5 | −0.8 | 116.9 | 120.8 | +3.9 |
| ILI-ML | 72.7 | 77.0 | +4.3 | 73.3 | 67.8 | −4.5 | 82.8 | 77.2 | −5.6 | 78.0 | 72.9 | −5.1 |
| WITS | −7.8 | −2.4 | +5.4 | −11.6 | −6.6 | +5.0 | −8.3 | −4.2 | +4.1 | −12.9 | −4.4 | +8.5 |
| SNA | 77.9 | 76.9 | −1.0 | 83.9 | 83.6 | −0.3 | 87.7 | 88.8 | +1.1 | 81.8 | 81.6 | −0.2 |
| SNB | 81.5 | 79.4 | −2.1 | 87.3 | 85.9 | −1.4 | 88.0 | 88.0 | 0.0 | 85.1 | 82.6 | −2.5 |
| SNPg | 83.3 | 82.0 | −1.3 | 88.2 | 87.5 | −0.7 | 88.0 | 88.4 | +0.4 | 85.6 | 83.2 | −2.4 |
| ANB | −4.2 | −2.5 | +1.7 | −3.4 | −2.3 | +1.1 | −0.3 | 0.8 | +1.1 | −3.3 | −1.0 | +2.3 |
| ANPg | −6.1 | −5.0 | +1.1 | −4.3 | −3.8 | +0.5 | −0.6 | 0.6 | +1.2 | −3.8 | −1.6 | +2.2 |
| NSL/NL | 6.5 | 5.8 | −0.7 | 8.3 | 7.1 | −1.2 | 3.4 | −0.4 | −3.8 | 6.8 | 6.9 | +0.1 |
| NSL/ML | 31.8 | 33.5 | +1.7 | 31.6 | 30.8 | −0.8 | 26.5 | 27.1 | +0.6 | 34.1 | 36.5 | +2.1 |
| NL/ML | 25.3 | 27.7 | +2.4 | 23.4 | 23.7 | +0.3 | 23.1 | 27.6 | +4.1 | 27.3 | 29.5 | +2.2 |
| Ar-Go-Gn | 132.5 | 137.8 | +5.3 | 135.9 | 130.4 | −5.5 | 124.3 | 129.2 | +5.1 | 136.6 | 136.7 | +0.1 |
| CoA | 71.9 | 77.6 | +5.7 | 76.8 | 78.0 | +1.2 | 79.8 | 79.7 | −0.1 | 83.4 | 82.4 | −1.0 |
| CoGn | 108.5 | 116.8 | +8.3 | 118.2 | 121.7 | +3.5 | 117.3 | 119.0 | +2.0 | 128.5 | 126.8 | −1.7 |
| BaA | 79.0 | 81.9 | +2.9 | 82.0 | 85.5 | +3.5 | 83.1 | 83.7 | +0.6 | 96.1 | 93.0 | +2.9 |
| BaPg | 79.0 | 81.9 | +2.9 | 82.0 | 85.5 | +3.5 | 83.1 | 83.7 | +0.6 | 96.1 | 93.0 | −3.1 |
| LFH | 102.5 | 107.1 | +4.6 | 110.1 | 113.1 | +3.0 | 105.0 | 107.5 | +2.5 | 110.1 | 113.1 | +3.0 |
Disclaimer/Publisher’s Note: The statements, opinions and data contained in all publications are solely those of the individual author(s) and contributor(s) and not of MDPI and/or the editor(s). MDPI and/or the editor(s) disclaim responsibility for any injury to people or property resulting from any ideas, methods, instructions or products referred to in the content. |
© 2024 by the authors. Licensee MDPI, Basel, Switzerland. This article is an open access article distributed under the terms and conditions of the Creative Commons Attribution (CC BY) license (https://creativecommons.org/licenses/by/4.0/).
Share and Cite
Kuc-Michalska, M.; Pokucińska, M.; Grocholewicz, K.; Janiszewska-Olszowska, J. Three-Stage Non-Surgical Treatment of Skeletal Class III Malocclusion in Adolescents—A Report of Four Cases with Long-Term Follow-Up. Appl. Sci. 2024, 14, 8095. https://doi.org/10.3390/app14178095
Kuc-Michalska M, Pokucińska M, Grocholewicz K, Janiszewska-Olszowska J. Three-Stage Non-Surgical Treatment of Skeletal Class III Malocclusion in Adolescents—A Report of Four Cases with Long-Term Follow-Up. Applied Sciences. 2024; 14(17):8095. https://doi.org/10.3390/app14178095
Chicago/Turabian StyleKuc-Michalska, Małgorzata, Magdalena Pokucińska, Katarzyna Grocholewicz, and Joanna Janiszewska-Olszowska. 2024. "Three-Stage Non-Surgical Treatment of Skeletal Class III Malocclusion in Adolescents—A Report of Four Cases with Long-Term Follow-Up" Applied Sciences 14, no. 17: 8095. https://doi.org/10.3390/app14178095
APA StyleKuc-Michalska, M., Pokucińska, M., Grocholewicz, K., & Janiszewska-Olszowska, J. (2024). Three-Stage Non-Surgical Treatment of Skeletal Class III Malocclusion in Adolescents—A Report of Four Cases with Long-Term Follow-Up. Applied Sciences, 14(17), 8095. https://doi.org/10.3390/app14178095

