Next Article in Journal
Development, Calibration and Validation of Time Series Analysis and Artificial Neural Network Joint Model for Urban Noise Prediction
Previous Article in Journal
Development of Methodologies and Software for Design, Simulation and Optimization of Oil Hydraulic Cylinders of Large Dimensions and Power
 
 
Font Type:
Arial Georgia Verdana
Font Size:
Aa Aa Aa
Line Spacing:
Column Width:
Background:
Article

Effect of Helix aspersa Mucus on the Regeneration of Skin with Photoaging Features in Different Methods of Application

by
Mariola Marchlewicz
1,†,
Justyna Wojnarowicz
2,†,
Aleksandra Wilk
3,*,
Kamila Misiakiewicz-Has
3,*,
Barbara Wiszniewska
3,
Kamila Szumilas
4 and
Ewa Duchnik
2
1
Department of Dermatology and Venereology, Pomeranian Medical University in Szczecin, 70-010 Police, Poland
2
Department of Aesthetic Dermatology, Pomeranian Medical University in Szczecin, 70-111 Szczecin, Poland
3
Department of Histology and Embryology, Pomeranian Medical University in Szczecin, 70-111 Szczecin, Poland
4
Department of Physiology, Pomeranian Medical University in Szczecin, 70-111 Szczecin, Poland
*
Authors to whom correspondence should be addressed.
These authors contributed equally to this work.
Appl. Sci. 2024, 14(16), 7394; https://doi.org/10.3390/app14167394
Submission received: 23 July 2024 / Revised: 19 August 2024 / Accepted: 20 August 2024 / Published: 21 August 2024

Abstract

Skin aging is associated with both intrinsic and extrinsic aging, with extrinsic aging caused by environmental factors and overlaying the effects of chronological aging. The main aim of this study was to evaluate the effect of preparations containing Helix aspersa snail mucus on skin regeneration with photoaging features. Before and 3 months after the series of treatments, skin biopsy specimens from the right preauricular region of the face were taken from six women. Histological, morphometric, and immunohistochemical analyses were performed. Positive changes, indicating a reduction in photoaging related to the reduction in epidermis thickness 3 months after the end of the treatments, were noted in each group. A statistically significant increase in the thickness of the collagen fiber bundles was also observed in the patients 3 months after a series of micro-needle mesotherapy treatments with snail mucus and 0.9% NaCl. There was a significant increase in the immuno-expression of Ki-67 and PCNA in the dermis. The aforementioned significance applies to patients in whom snail mucus was introduced with the use of micro-needle mesotherapy and needle-free mesotherapy. Moreover, a statistically significant increased area with the immunoexpression of MMP-2 in the dermis was observed in the above-mentioned groups of patients, who were treated with the preparation containing snail filtrate. The results of the study suggest that the use of snail mucus preparations for skincare, as well as its introduction by micro-needle and needleless mesotherapy, had a beneficial effect on the condition of the skin.

1. Introduction

Skin aging is associated with both intrinsic and extrinsic aging, with extrinsic aging caused by environmental factors and overlaying the effects of chronological aging. Skin cell regeneration is evidenced by the activity of the cellular proliferation marker Ki-67, which is a protein detectable in the cell nucleus, as is the proliferating cell nuclear antigen (PCNA), which is involved in DNA repair and cell cycle regulation [1,2]. In addition, extracellular matrix (ECM) components, including glycosaminoglycans and fibronectin, which participate in intercellular communication, play an important role in regulating the remodeling processes of the emerging connective tissue [3,4]. Important components of the ECM matrix, as mentioned above, are collagen and elastic fibers, which are degraded under the influence of, among other things, UV radiation. Extracellular matrix metalloproteinases (MMPs, or matrix metalloproteinases) are responsible for the reorganization of the ECM, including the arrangement and structure of collagen fibers. Photoaging of the skin, which follows atrophic changes in elastic and collagen fibers, may be associated with changes in the expression of MMP-2, which is classified as a group of gelatinases. It degrades, for example, collagen types I and IV, elastin, gelatin, laminin 1, and fibronectin. The balance between MMPs and their inhibitors is crucial for the normal function and morphology of organs, including skin. Degradation of collagen and elastic fibers leads to wrinkle formation, increased skin flaccidity, and loss of skin firmness. ECM metalloproteinases play an important role in many physiological processes. Among other things, they participate in wound healing and scarring. On the other hand, MMPs are involved in the development of some skin diseases [3,5,6].
Recently, there has been increased interest in snail filtrate in terms of improving skin condition. Helix aspersa Müller snail mucus contains glycolic acid and lactic acid, estimated at 0.1%, allantoin, accounting for 0.5% of the mucus weight, as well as collagen and elastin (0.3%), glycosaminoglycans (GAG), lectin and antimicrobial peptides (AMPs), and protease inhibitors (1.3% to 1.8%), as well as mucins [7,8,9,10]. The above-mentioned snail filtrate has therapeutic properties that can be used in both cosmetic and medical applications. In cosmetics, it stimulates the formation of collagen, elastin, and other skin components that help repair signs of photoaging. Moreover, snail mucus has antioxidants and proteins that can minimize damage from free radicals. In regard to medicine, there are several important compounds found in the extract, including allantoin, helicidin, helix pomatia agglutinin, collagen, elastin, natural antibiotics, and glycolic acid [10].
Helix aspersa mucus contains superoxide dismutase and glutathione transferase, which are associated with antioxidant activity. Snail mucus hasanti-inflammatory properties and inhibits angiogenesis, a process crucial to tumor growth. Helix aspersa, due to its strong antioxidant activity, helps restore the immune system and exhibits a number of biological activities, including anticoagulant, anti-allergic, anti-inflammatory, and vasodilatory effects. These actions can also be explained by the presence of hydroxyl groups in phenolic compounds, which can scavenge free radicals [11].
In addition, snail mucus exhibits antibacterial, antifungal, antimicrobial, antiviral, anticancer, regenerative, stimulating, moisturizing, nourishing, cleansing, anti-wrinkle, and radioprotective properties. This gives the mucilage the potential for widespread use in the cosmetic and medical industries [12].
Allantoin is a valuable ingredient used for skincare due to its strong regenerative properties [13,14]. It has been shown that skincare with allantoin preparations significantly increases intercellular cement density and hydration [15]. In addition, allantoin stimulates epidermal granulation in the wound-healing process by stimulating fibroblast proliferation and ECM production [14,16,17]. Glycolic acid, one of the main representatives of α-hydroxy acids, has a low molecular weight, as well as good water solubility, making it easy to penetrate the basal layer [18,19]. Its application in the treatment of mature skin stimulates fibroblast proliferation, collagen production, restoration of elastic fibers, and normalization of the thickness of the epidermal layers. In addition, it evens out skin tone, reduces hyperpigmentation, and makes the skin smooth and firm [20,21].
Lactic acid is well soluble in water. Because of its larger molecule, the compound penetrates less into the deeper layers of the epidermis. It has found use in reducing hyperpigmented lesions and acne scars, as well as in the care of sensitive skin and mature skin showing signs of dryness. A corollary of the action of lactic acid is the acceleration of keratinization of the upper layers of the epidermis and the stimulation of keratinocytes for cell division [22,23,24].
The positive effect of snail mucus on slowing skin aging may also be evidenced by its effect on the synthesis of MMPs and the presence of protease inhibitors associated with inhibiting the activity of proteolytic enzymes responsible for collagen degradation [6,25]. For the anti-aging effect of preparations containing snail mucus, the content of glycosaminoglycans in the mucus is also important. These compounds maintain the structural integrity of the intercellular substance of the tissue, which, thanks to them, obtains the appropriate elasticity and resilience. The participation of these macromolecules is essential for proper cell organization, function, migration, and growth regulation [26]. Glycosaminoglycans attract cations, such as Na+, which exhibit strong osmotic activity, allowing them to bind significant amounts of water in the intercellular substance, at the same time forming a reserve of water in the skin [26,27,28]. The use of raw materials with multidirectional effects on the skin is further associated with the search for the most effective methods of introducing these compounds into the deeper layers of the skin, including needle-free and micro-needle mesotherapy treatments. In needle-free mesotherapy, the treatment methodology uses physical stimuli, including electroporation, whose role is to promote the transport of active ingredients and drugs into the cell. The effect of short high-voltage electrical pulses induces a temporary destabilization of the cell membrane, allowing the transport of active macromolecules from the intercellular space into the cell [29,30]. Micro-needle mesotherapy, on the other hand, is a procedure during which controlled mechanical damage is performed through micropunctures to selected areas of the skin, using thin needles. Micro-needling leads to an increase in the cell’s membrane potential and its secretory activity of, among other things, proteins, macronutrients, and growth factors into the intercellular space, stimulating natural mechanisms of skin regeneration [31]. The main aim of this study was to evaluate the effect of preparations containing Helix aspersa snail mucus on skin regeneration with photoaging features. In addition, the aim of the current study was to compare the effectiveness of different methods of mesotherapy: (A) micro-needling with a formulation containing 98.2% snail mucus; (B) micro-needling with a 0.9% NaCl solution; (C) needle-free with a formulation containing 98.2% snail mucus.

2. Results

2.1. Histological Examination

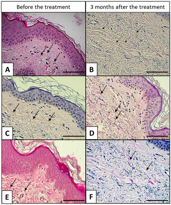
In patients from group A (micro-needle mesotherapy + 98.2% snail mucus), before the application of snail mucus products, collagen fibers were visible in the papillary layer of the dermis. In addition, the collagen fibers were less packed, and they were thinner and irregularly distributed (Figure 1A and Figure 2A). Thicker collagen fibers were visible in the skin of patients after the application of the snail mucus preparation, which formed and arranged in thin bundles in the corresponding part of the dermis. Similarly, in the reticular layer, formed by irregular connective tissue, the collagen fibers bundles consisted of fibers with a slightly wavy arrangement, not adjacent to each other in bundles.
In the skin, thicker collagen fibers formed and arranged in thin bundles were visible in the papillary layer of the dermis after the application of the snail mucus preparation. In the reticular layer of the dermis, bundles of collagen fibers were clearly visible, with a solid structure. In addition, more fibroblasts, responsible for the synthesis of all components of intercellular substance, including collagen fibers (Figure 1B and Figure 2B), were visible in this layer after the care treatments were applied.
Also, in patients from group B (micro-needle mesotherapy + 0.9% NaCl solution) (Figure 1C,D and Figure 2C,D) and group C (needle-free mesotherapy + 98.2% snail mucus) (Figure 1E,F and Figure 2E,F), similar alterations in collagen fiber thickness were found before the treatment series and 3 months after the treatment series.
The next step in the morphological assessment was the evaluation of reticular fibers (Figure 3A–F and Figure 4A–F). In group A, more reticular fibers were visible in the skin after the application of natural snail mucus, with their characteristic location in the papillary layer just below the epidermis, as well as in the reticular layer of the dermis (Figure 3B). The reticular fibers stained black with silver salts. Similar results were observed in the group of patients who received micro-needle mesotherapy with 0.9% NaCl solution and in patients who received needle-free mesotherapy with 98.2% snail mucus.
Taking into account the amount of reticular fibers, our results indicate that the two methods of application of snail mucus and the application of 0.9% NaCl with micro-needle mesotherapy resulted in similar effects.
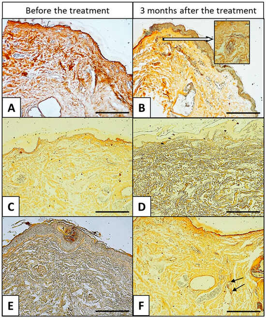
More elastic fibers were observed in the three study groups in patients 3 months after the series of treatments compared to the skin before the treatments (Figure 5). However, the greatest accumulation of elastic fibers in the dermis was observed in patients who received a series of needle-free mesotherapy treatments with 98.2% snail mucus (Figure 5C).

2.2. Morphometric Study

The results obtained for epidermal thickness show that after a series of micro-needle mesotherapy treatments with 98.2% snail mucus, the thickness of the epidermis was reduced. A reduction in epidermal thickness was also observed after a series of micro-needle mesotherapy treatments with 0.9% NaCl solution. The thickness of the epidermis in this group was reduced by more than 30%. A thinner epidermis was also observed after a series of needle-free mesotherapy treatments with snail mucus. The thickness of the epidermis before the series of treatments was 12.5 µm, while it decreased to 9.65 µm after the treatments. The differences were statistically significant in each case analyzed.
The results obtained for the thickness of collagen fiber bundles of the reticular layer of the skin show that after a series of micro-needle mesotherapy treatments with snail mucus, the thickness of collagen fiber bundles increased by 30% (2.2 µm vs. 3.15 µm). An increase in the thickness of collagen fiber bundles was also observed after a series of micro-needle mesotherapy treatments with 0.9% NaCl solution. The thickness of the bundles before and after the series of treatments was 3.55 µm and 4.75 µm, respectively. The differences were statistically significant.
The results show that the thickness of collagen fiber bundles of the reticular layer of the skin increased significantly after a series of needle-free mesotherapy with snail mucus.
Regarding the comparison between groups, we observed significant differences in epidermis thickness between groups A and B, and between groups A, B, and C after 3 months of treatment. In terms of the thickness of collagen fibers, significant differences were noted between groups A and B, and between groups A, B, and C. The results are presented in Table 1.

2.3. Immunohistochemical Examination

The results of immunohistochemical methods are given in percentages as the area in which the nuclei of cells in the skin were positively stained brown, presented in Table 2.
After the application of the snail mucus preparation in combination with the series of treatments carried out in group A, 3 months after their completion, a decrease in Ki-67 expression from 8.13% to 3.43% in the epidermis and an increase in its immunoexpression in the dermis from 1.35% to 2.64% were observed. A decrease in the percentage of PCNA immunoexpression in the epidermis from 8.71% to 4.31% and its increase in the dermis from 1.33% to 2.43% were also observed. When MMP-2 immunolocalization was analyzed in the dermis, an increase in its content was observed from 10.56% to 14.37%. All differences were statistically significant.
After the series of treatments in group B, 3 months after their completion, slide reductions in Ki-67 immunoexpression in the epidermis from 8% to 4.8% and in the dermis from 1.49% to 1.29% were observed, along with a decrease in PCNA expression within the epidermis from 11.04% to 6% and its increase in the dermis from 1% to 2.13%. However, all the above-mentioned differences were insignificant.
Three months after the end of the treatment series in group C, the immunoexpression of Ki-67 decreased in the epidermis from 9.08% to 4.05% and increased in the dermis from 1.35% to 1.85% (statistically significant difference). There was no significant difference in PCNA content in the epidermis in this group. A significant increase in PCNA content was observed in the dermis from 1.66% to 2.87%. Analysis of MMP-2 immunolocalization in the dermis showed a significant increase in its content from 7.78% to 10.86%.
The comparison between groups, after 3 months of treatment, indicated that the area of Ki-67 with immunopositive protein in the epidermis was significantly larger in group B than in groupA; in the dermis, significant differences were noted between groups A and B, and groups A and C. Regarding PCNA, in the epidermis there were significant differences between groups A and C and groups B and C, and the largest area with immunopositive protein was noted in group C. Regarding the dermis, the smallest area with PCNA was observed in group B, and the differences were confirmed between groups A and B and groups B and C (Table 3). Additionally, taking into account MMP-2 immunolocalization, there were no significant differences between the examined groups.
The results of immunohistochemical examinations are presented in Figure 6 and Figure 7.

3. Discussion

Studies are scarce evaluating the effectiveness of micro-needle and needle-free mesotherapy treatments on the skin, including histological analyses, examining the effects of the therapy and snail-mucus-containing preparations on the skin. The literature review also lacks data on the duration of the effects of a series of mesotherapy treatments. The first stage of the study was to evaluate the morphology of skin with photoaging features by light microscopy before and after a series of mesotherapy treatments, including morphometric analysis. Important parameters indicative of the regeneration of skin overexposed to UV radiation include epidermal thickness and the thickness of collagen fiber bundles. In skin with photoaging features, thickening of the epidermis can be observed. It is associated, among other things, with the hypertrophy of sebaceous glands, an increase in their secretory activity, excessive keratinization of the epidermis, and an increase in the number of inflammatory cells, caused by chronic exposure to UV radiation. In addition, the thickening of the different layers of the epidermis is a consequence of UVB radiation, which affects the increased proliferation of keratinocytes with a decrease in the number of Langerhans cells. Increased numbers of mast cells, fibroblasts, and macrophages are also observed [32,33].
Morphometric analysis of patients’ skin before treatments and 3 months after therapy showed a statistically significant reduction in epidermal thickness in each analyzed group A, B, and C. Similar results were obtained by Tribo et al. (2009) [34]. Our results suggest that micro-needle mesotherapy improves skin condition when considering the morphometry of the epidermis.
In the present study, statistically significant differences were observed in the thickness of collagen fiber bundles in the reticular layer of the skin, which increased by 43% after a series of micro-needle mesotherapy treatments with snail mucus, by 33.8% after a series of micro-needle mesotherapy treatments with NaCl solution, and, importantly, by 17% after a series of needle-free mesotherapy treatments with snail mucus. The analysis of skin biopsy specimens showed positive changes in the morphology of collagen fibers, both types I and III, and elastic fibers in patients who were treated with snail-mucus-containing products applied by both micro-needle and needle-free mesotherapy. However, the greatest accumulation of elastic fibers in the dermis was observed in patients who received a series of needle-free mesotherapy treatments with snail mucus. It suggests that snail filtrate may have a beneficial effect on the condition of the skin.
Changes in the skin after therapy with the use of snail mucus can be associated with the presence of allantoin in its composition, which has beneficial effects, among other things, on intercellular cement density and hydration, which is important in skincare, including in patients with features of photoaging. In addition, its use in daily care accelerates wound healing by stimulating fibroblast proliferation and the production of extracellular matrix components [16,18,35]. The above results may be also observed with skin micro-needling alone, which stimulates the synthesis of ECM components, including type I collagen, type III collagen, and elastic fibers, as demonstrated by the results of the present study and studies by other authors [31]. A similar study analyzing the effect of snail mucus filtrate on wound healing was conducted by Gugliandolo et al. (2021) [36] in mice, which undoubtedly does not fully correspond with effects on human tissues. After applying 400 μL of snail mucus extract to the site of the resulting wound on mice, a 25% increase in areas with newly synthesized collagen was observed. In addition, after day 14 of the study, the authors observed a 15% reduction in wound area compared to the control group. The immunohistochemical study also showed that in the group of mice treated with snail mucus, there was a significant increase in the expression level of α-sma, responsible for fibroblast differentiation, and a 70% increase in the expression level of vascular endothelial growth factor (VEGF), a determinant of angiogenesis, which may have contributed to accelerated wound healing [36]. Similarly, accelerated healing of (burn) wounds was observed after the application of snail mucus in a study by Tsoutsos et al. (2009) [37]. It was shown that epithelialization of the burned skin occurred in all patients who received snail mucus within 14 days, reaching a mean epithelialization time of 11 +/− 2 days, while it occurred in the control group at 15 +/− 3 days [37]. These data suggest, like our results, that mucus filtrate has beneficial effects on the skin.
Another part of the study involved immunohistochemical analysis. Skin regeneration can be evidenced by, among others, the expression of the cell proliferation marker Ki-67 and PCNA (proliferating cell nuclear antigen), which regulate the cell cycle as well as DNA repair [1,2]. Studies have shown that levels of Ki-67 immunoexpression may be associated with epidermal barrier dysfunction that follows certain skin diseases.
It should be added that the women’s skin in our experiment exhibited photoaging features. UVA and UVB radiations are the most significant aspects of photoaging associated with an increasing number of cells in the skin, including mast cells, macrophages, and other inflammatory cells. Morphologically, the thickening of the stratum corneum and the progressive smoothing of the wavy dermal–epidermal boundary are characteristic [38]. Furthermore, UV radiation leads to pathological disorders in the skin, including abnormal cell proliferation, abnormal cell differentiation, and apoptosis, which can initiate the process of carcinogenesis [32,38,39,40]. Other negative effects caused by the effects generated by UV radiation include increased peroxidation of lipids, which are important components of the structural elements of cell membranes [38].
Furthermore, a characteristic phenomenon that appears in skin chronically exposed to UV radiation is elastosis, which is not observed in skin protected from UV radiation. Post-sun elastosis is associated with a change in the organization of elastic fibers. It is further accompanied by the accumulation of tropoelastin in the reticular layer of the dermis, forming aggregates of abnormal, immature elastin fibers [41,42]. In addition, degradation of collagen fibers of the extracellular matrix can be observed in skin chronically exposed to UV. The amount of type I collagen and type III collagen decreases, and procollagen synthesis is impaired [38].
A study by Knaggs et al. (1994) [43] showed that in the skin of acne patients, the area of cells positively stained in the basal layer of the epidermis was significantly larger than in non-acne-affected skin. The results obtained by the aforementioned authors suggest that increased immunolocalization of a marker of cellular proliferation in the epidermis is primarily observed in pathologically altered skin. In our study, comparing the results before and 3 months after treatment in the group of patients undergoing micro-needle mesotherapy (group A) and needle-free mesotherapy (group C) combined with snail mucus application, a significant decrease in Ki-67 immunoexpression in the epidermis was observed in both groups by 57.8% and 55.4%. Increased immunoexpression of Ki-67 is commonly reported in diseases based on the inflammation process, such as psoriasis [44]. Our results indicate that snail mucus leads to decreased immunoexpression of Ki67, which is normal for healthy skin, and indicate the regenerative properties of snail filtrate.
Comparing PCNA immunoexpression before and 3 months after the treatment, a 2-fold decrease in the area of positively stained nuclei in the epidermis (8.71% vs. 4.31%) was observed in patients who received snail mucus in combination with micro-needle mesotherapy (group A). PCNA immunoexpression in the epidermis was also significantly reduced in the group of patients who received micro-needle mesotherapy without snail mucus (group B).
In the dermis in group A and the needle-free mesotherapy group (group C), 3 months after the treatment, a significant increase in Ki-67 immunoexpression by 95.5% and 37%, respectively, was observed, compared to the results obtained from skin biopsy specimens taken before the treatment. PCNA immunoexpression also increased significantly in these patients by 82.7% and 72.9%, respectively, after treatment with the snail mucus preparation. This may be related to the increased regeneration of the dermis, initiated by the bio-stimulating properties of the ingredients contained in the snail mucus preparations. Similar results were obtained by Trapella et al.(2018) [45], who reported that snail mucus caused an increase in the proliferation index of fibroblasts, which are responsible for the synthesis of ECM components, including elastic fibers and collagen fibers.
The effect of the treatments with snail mucus on the expression of metalloproteinase-2 (MMP-2) was also evaluated by immunohistochemistry. Comparing the results on the immunoexpression of MMP-2 before and after the treatment showed its significant increase in patients who received micro-needle and needle-free mesotherapy with snail mucus (groups A and C) by 36% and 39.6%, respectively. Increased activity of metalloproteinases (MMPs) can be observed, among others, during angiogenesis, in the regeneration of damaged tissue and scar formation, as well as in pathological conditions, as an etiological factor in some skin diseases [5,6]. Increased immunoexpression of MMP-2 in the skin of the patients in the present study may also indicate the regenerative properties of the formulation used in the study. The restorative properties attributed to snail mucus, including participation in the formation of ECM, initiation of granulation, stimulation of angiogenesis, as well as stimulation of skin remodeling, are related to the presence of many biologically active compounds in the mucus, including collagen, allantoin, elastin, glycolic and lactic acid, as well as GAGs [37].
Other findings regarding MMP-2 immunoexpression were reported by Gugliandolo et al. (2021) [36]. After applying snail mucus filtrate to a wound in mice, they showed a reduction in the immunoexpression of MMPs. The authors additionally observed that the application of snail mucus filtrate contributed to increased expression of the COL3a1 marker, responsible for the synthesis of type III collagen fibers. However, it should be emphasized again that the study by Gugliandolo et al. (2021) involves animal material [36]. Undoubtedly, it is difficult to unequivocally identify a more effective method of mesotherapy in terms of improving the condition of skin with photoaging features. Beneficial changes, indicative of a reduction in photoaging, regarding a decrease in epidermal thickness 3 months after the completion of the series of treatments were noted in each group. A statistically significant increase in the thickness of collagen fiber bundles was also observed in female patients 3 months after a series of micro-needle mesotherapy treatments with snail mucus and with 0.9% NaCl. Skin micro-needling, as a factor that stimulates remodeling processes, had a positive effect on the architecture of collagen fibers, which determines the firmness and mechanical tensile strength of the skin. This may further be related to the effect of microdamage on increasing the cell’s membrane potential and its secretory activity of proteins, macronutrients, and growth factors into the intercellular space, among others. These compounds, by stimulating the synthesis of fibroblasts in injured areas, initiate the synthesis of proteoglycans, elastin, and collagen. After micro-needle mesotherapy treatments, the remodeling phase and associated skin regeneration, in which numerous proliferation processes can be observed, occurs even within a few months [31]. The dynamic regeneration of the skin in the patients studied is also evidenced by a significant increase in the immunoexpression of Ki-67 and PCNA in the dermis. The mentioned significance applies to patients in whom snail mucus was introduced using micro-needle mesotherapy (group A) and needle-free mesotherapy (group C). A statistically significant increase in MMP-2 immunolocalization in the dermis in the aforementioned groups of patients, in whom the snail mucus preparation was used, testifies to its effect on the reorganization of ECM components. Furthermore, recent studies have explored the therapeutic potential of Helix aspersa snail mucus. The extract exhibits antimelanogenic and antitumoral effects against melanoma cells, inhibiting melanin production, cell viability, migration, and invasion through reduced MMP2 expression [46]. It also shows cytotoxic activity against cutaneous T cell lymphoma lines, though without affecting MMP-9 expression [47]. In burn treatment, H. aspersa extract cream accelerates healing and reduces pain compared to standard treatments [37]. The mucus demonstrates antimicrobial properties, particularly against Pseudomonas aeruginosa and weakly against Staphylococcus aureus, with the active compounds likely being proteins between 30 and 100 kDa [48]. These findings suggest that H. aspersa mucus contains bioactive compounds with potential applications in cancer treatment, wound healing, and antimicrobial therapy, warranting further investigation into its therapeutic uses.
Additionally, our results based on the comparison of morphometric and immunohistochemical analysis between groups indicate that 3 months after the treatment, micro-needle mesotherapy with snail filtrate improves skin condition.
Of note, snail mucus has gained attention for its potential biomedical applications due to its unique properties and composition. It contains biologically active compounds such as glycolic acid, natural antibiotics, and glycoproteins [49]. The mucus can self-assemble into various structures, from nanoparticles to fibers, enhancing adhesion on smooth surfaces [50]. Researchers have successfully created biomimetic nanofibers through electrospinning, with fiber diameter controlled by solution concentration [49]. These nanofibers show promise in tissue engineering and wound healing applications. A study combining snail mucus with silver nanoparticles in PVA nanofibers demonstrated enhanced wound healing and antibacterial properties [51]. Snail mucus extract has also been found to affect human fibroblast viability, potentially influencing collagen and elastin production [52]. While the exact mechanisms of its beneficial effects require further research, snail mucus shows potential for various medical applications.
Nowadays, women are more and more willing to use treatments to improve the condition of their skin. This is associated with developments in cosmetology and aesthetic dermatology. Procedures that are characterized by low invasiveness and lack of convalescence have gained popularity, as they do not exclude women from professional activity for a long time. In addition, we can observe an increase in interest in natural cosmetic raw materials dedicated to the care of mature skin with photoaging features, which include snail mucus.
Conducting further research in the field of dermatology and aesthetic cosmetology will allow us to better understand the mechanisms leading to the regeneration process of skin with features of photoaging. In addition, it may contribute to the knowledge and promotion of new measures preventing and/or delaying skin aging.

4. Materials and Methods

4.1. Study Population and Application Technique

The study was conducted with 18 women (aged 42 to 62 years (51.18 ± 5.18)), patients of the Department of Aesthetic Dermatology, for dermatological and cosmetic consultation.
Included in the study were women whose skin on physical examination showed changes of photoaging, including hyperpigmentation, dilated sebaceous gland outlets, telangiectasias, gray and earthy skin tone, flabbiness, dryness and roughness, loss of firmness, and the presence of deep wrinkles. Skin phototypes II and III (specific to a geographic region in Poland) and the desire to improve skin condition were also important factors.
Exclusion criteria/interfering factors included a tendency to scarring and keloids, which preclude biopsy and micro-needling, as well as the presence of a vascular complexion, rosacea, and taking blood-thinning medications (a contraindication for mesotherapy with micro-needling). Other exclusion criteria included pregnancy, lactation, use of anti-aging cosmetic treatments 6 months prior to and during the study, as well as coexisting systemic diseases (hypertension, circulatory insufficiency, diabetes, epilepsy, viral infections such as herpes and bacterial infections of the skin, allergic conditions on the skin, sensory disorders, cancer up to 5 years after treatment). Contraindications to needleless mesotherapy also include the presence of metal implants, among other prostheses, and an implanted pacemaker. Interfering factors included UV/solarium exposure during the study from the time of the first biopsy, including the series of treatments and the biopsy taken 3 months after their completion. In addition, it was not advisable to use other alternative cosmetic treatments during the study and to introduce other/new cosmetic preparations with anti-aging activity into daily skincare than those recommended (containing snail mucus for groups A and C). The study was conducted during the autumn–winter period to exclude the effects of UVB radiation on the skin.
Patients underwent a series of 6 mesotherapy treatments (at intervals of 14 days) of the facial skin and were randomly assigned into one of the groups—A, B, or C (n = 6—number of women in each group according to power test)—based on each method presented in Table 4. In addition, the patients completed a questionnaire. The study was approved by the Bioethics Committee of the Pomeranian Medical University in Szczecin (Resolution No. KB-0012/124/19).
In order to evenly treat the skin area with the head, the face was divided into treatment zones (Zone 1—forehead, Zones 2 and 3—cheeks, Zone 4—chin). The depth of needling for each area was regulated in the head. The following micro-needling depths were adopted for the respective treatment zones: 0.5–0.75 mm for Zone 1; 0.5–1 mm for Zones 2 and 3; 1–1.5 mm for Zone 4. The area around the eyes and mouth was needled to a depth of 0.25–0.5 mm. The specific ranges of treatment parameters were adjusted to the skin type and individual sensitivity. The skin was needled using a dermapen with a stamping technique. Then, to intensify the treatment of the selected area, the head was moved over the skin in vertical bands continuously without lifting it. Small, droplet-like bleeding was massaged into the skin. The above steps were repeated in each of the remaining treatment zones, applying the same volume of preparation to each zone. After completing the micro-needling of the entire face, any remaining ampoule content was massaged into the skin. Additionally, in groups A and C, a biocellulose mask with snail mucus was applied for about 20 min. In groups A and C, a 5 mL ampoule with 98.2% snail mucus was used. In the micro-needling mesotherapy treatment with snail mucus (group A) and with NaCl (group B), a sterile cartridge containing 24 needles (cartridge diameter 10 mm, giving a head area of 0.8 cm2—24 needles per 0.8 cm2 of skin) was used.

4.2. Methods

Before and 3 months after the series of treatments, skin biopsy specimens from the right preauricular region of the face were taken from the 18 women, with 6 women ineach group, using a 4–5 mm diameter biopsy barb for morphological examination. The material was fixed in freshly prepared 4% paraformaldehyde and embedded in paraffin, using routine procedures. Serial 3–5 μm slices were cut for morphological studies and placed on Poly-prep slides.

4.2.1. Histological Examination

The histological specimens were stained with hematoxylin and eosin (H-E) for review slides to visualize skin morphology, Mallory Trichrome (Bio-Optica Milano, Milano, Italy) to visualize collagen fibers, and Picro Sirius Red (Direct Red 80 Sigma Aldrich, St. Louis, MO, USA) to further determine the maturity of collagen fibers. Type I collagen fibers stain yellow/red, while reticular fibers stain green. Reticular fibers were visualized by staining with silver salts (Bio-Optica Milano, Italy). Slides were also stained with orcein to visualize the elastic fibers. Following the histological processing of the tissue, the slides were evaluated using photographs taken with the use of a light microscope and LAS V4.4 software (Leica DM5000B, Wetzlar, Germany).

4.2.2. Morphometric Studies

Morphometric measurements, including the thickness of the epidermis and the diameter of collagen fibers of the reticular layer of the skin, were taken on slides under the same objective magnification of ×40, stained with H-E. CaseViewer-3D HISTECH 2.4.0.119028 software was used for this purpose, and 30 measurements of epidermal thickness and 30 measurements of collagen fiber diameter were taken for each preparation. Measurements of both parameters were performed randomly.

4.2.3. Immunohistochemical Study

In order to evaluate the immunoexpression of markers indicative of skin condition, an immunohistochemical reaction was performed, and primary antibodies against Ki-67, PCNA, and MMP-2 were used. For antigen retrieval, the slides were immersed in a 0.01 M citrate buffer at pH 6.0 and subjected to microwave heating for 10 min (2 times for 5 min; 750 W). This aimed to expose antigenic determinants and facilitate antibody penetration. The slides were cooled and washed 3 times with PBS buffer, pH = 7.4. The next reaction step was to apply individual primary antibodies against Ki-67, PCNA, and MMP-2 to the tissues. Monoclonal antibodies Ki-67 (Santa Cruz, catalogue no. sc-23900), PCNA (Santa Cruz, catalogue no. sc-53407), and MMP-2 (Santa Cruz, catalogue no. sc-13595) at a concentration of 1:300 were used, and the incubation time in a humid chamber was 60 min. After this time, the slides were rinsed with PBS solution (5 min). To visualize the antigen–antibody complex, Dako LSAB + System-HRP (DakoCytomation, Glostrup, Denmark, catalogue no. K0679) was used, acting on the avidin–biotin–horseradish peroxidase reaction with diaminobenzidine (DAB) according to accompanying treatment instructions. To stop the color reaction (oxidation of DAB in the presence of water and light), the slides were rinsed with running water and distilled water, and then stained with hematoxylin for contrast. For the negative control, samples were processed by skipping the incubation step with the primary antibody. A positive IHC reaction was evaluated under a Leica DM5000B light microscope (Leica, Wetzlar, Germany) by identifying an area in the tissue with brown pigmentation. After immunohistochemical reactions, the expression level and localization of MMP-2 in the skin of the study patients were evaluated by semi-quantitative methods. This analysis was performed using ImageJ Fiji software (1.53t version), following the procedure outlined by Crowe and Yue [53]. For each skin preparation at 40× objective magnification, 5 fields were randomly selected in which the studied parameters were evaluated.

4.3. Statistical Analysis

Statistical analysis of the results of measurements of epidermal thickness and the diameter of collagen fibers of the reticular layer, as well as the results of the analysis of Ki-67, PCNA, and MMP-2 expression, was carried out using Statistica 12 (StatSoft, Krakow, Poland). The arithmetic mean (AM), standard deviation (SD), median, and range of minimum and maximum values were calculated. The level of statistical significance was set at p < 0.05. The CaseViever results (epidermal thickness and diameter thickness of collagen fibers of the reticular layer) were analyzed by comparing the results before and 3 months after the series of treatments. According to the Shapiro–Wilk test, the data did not comply with a normal distribution, and the values of the variables were compared between groups using non-parametric tests (Mann–Whitney U testfor comparison between “before” and “after”, and ANOVA Kruskal–Wallis followed by Dunn’s post hoc test for comparison between groups).

5. Conclusions

The results of the study suggest that the use of snail mucus preparations for skincare, as well as its introduction by micro-needle and needleless mesotherapy, had a beneficial effect on the condition of the skin. In addition, it is important to emphasize the fact that none of the patients experienced any side effects, such as allergic reactions, rashes, skin irritation, or others. The results of the study showed that preparations containing snail mucus can be considered effective tissue biostimulators. The results of the present research suggest that the inclusion of both micro-needle and needle-free mesotherapy, which facilitate the introduction of ingredients contained in snail mucus into the skincare plan in women, may bring many benefits that will also contribute to improving their well-being. It should be also emphasized that more research is needed in this field, especially based on molecular methods and with larger groups of patients.

Author Contributions

Conceptualization, M.M. and A.W.; methodology, M.M., A.W., B.W. and J.W.; software, A.W. and K.M.-H.; validation, M.M., A.W., J.W. and K.M.-H.; formal analysis, J.W.; investigation, M.M., J.W., A.W. and K.M.-H.; resources, M.M., J.W. and E.D; data curation, J.W., E.D. and K.S.; writing—original draft preparation, M.M., A.W. and E.D.; writing—review and editing, M.M. and A.W.; visualization, J.W.; supervision, M.M. and A.W.; project administration, M.M. and A.W.; funding acquisition, M.M. All authors have read and agreed to the published version of the manuscript.

Funding

This research was funded by Nature Cosmetics, Healthy Skin line, Siewierz, Poland.

Institutional Review Board Statement

The study was conducted in accordance with the Declaration of Helsinki, and approved by the Ethics Committee of Pomeranian Medical University in Szczecin, Poland, Resolution No. KB-0012/124/19.

Informed Consent Statement

Informed consent was obtained from all subjects involved in the study.

Data Availability Statement

Dataset available on request from the authors.

Conflicts of Interest

The authors declare no conflicts of interest. The funders had no role in the design of the study; in the collection, analyses, or interpretation of data; in the writing of the manuscript; or in the decision to publish the results.

References

  1. Betz, P.; Nerlich, A.; Wilske, J.; Tübel, J.; Penning, R.; Eisenmenger, W. The time-dependent localization of Ki67 antigen-positive cells in human skin wounds. Int. J. Leg. Med. 1993, 106, 35–40. [Google Scholar]
  2. Strzalka, W.; Ziemienowicz, A. Proliferating cell nuclear antigen (PCNA): A key factor in DNA replication and cell cycle regulation. Ann. Bot. 2010, 107, 1127–1140. [Google Scholar]
  3. Löffek, S.; Schilling, O.; Franzke, C.W. Biological role of matrix metalloproteinases: A critical balance. Eur. Respir. J. 2011, 38, 191–208. [Google Scholar]
  4. Marcin, B. Histologia Dla Kosmetologów, 1st ed.; Budowa Histologiczna Skóry; Oficyna Wydawnicza PWSZ w Nysie: Nysa, Poland, 2013; pp. 77–94. [Google Scholar]
  5. Tyszczuk, B. Rola metaloproteinaz w procesie starzenia się skóry. Świat Przem. Kosmet. 2013, 1, 38–41. [Google Scholar]
  6. Pittayapruek, P.; Meephansan, J.; Prapapan, O.; Komine, M.; Ohtsuki, M. Role of Matrix Metalloproteinases in Photoaging and Photocarcinogenesis. Int. J. Mol. Sci. 2016, 17, 868. [Google Scholar] [CrossRef] [PubMed]
  7. Greistorfer, S.; Klepal, W.; Cyran, N.; Gugumuck, A.; Rudoll, L.; Suppan, J.; von Byern, J. Snail mucus—glandular origin and composition in Helix pomatia. Zoology 2017, 122, 126–138. [Google Scholar]
  8. Dankowiakowska, M.; Domagalska, B. Ślimaki lądowe jako źródło surowców o potencjalnym wykorzystaniu w kosmetologii i dermatologii. Pol. J. Cosmetol. 2018, 21, 114–120. [Google Scholar]
  9. Gubitosa, J.; Rizzi, V.; Fini, P.; Laurenzana, A.; Fibbi, G.; Veiga-Villauriz, C.; Fanelli, F.; Fracassi, F.; Onzo, A.; Bianco, G.; et al. Biomolecules from snail mucus (Helix aspersa) conjugated gold nanoparticles, exhibiting potential wound healing and anti-inflammatory activity. Soft Matter. 2020, 16, 10876–10888. [Google Scholar]
  10. Conte, R. Recent advances on nano delivery of Helix mucus pharmacologically active components. Int. J. Nano Dimens. 2016, 7, 181–185. [Google Scholar]
  11. Aouji, M.; Rkhaila, A.; Bouhaddioui, B.; Khalid, G.; Lrhorfi, L.A.; Bengueddour, R. Antioxidant activity, biochemical composition and physicochemical properties of Helix aspersa Muller snail slime. Int. J. Biol. Chem. 2023, 23, 53–62. [Google Scholar]
  12. Wargala, E.; Zalewska, A.; Sławska, M.; Kot, I. Snail mucus as an innovative ingredients used in the cosmetology and medical industry. Aesthet. Cosmetol. Med. 2023, 12, 45–49. [Google Scholar]
  13. Nishinami, S.; Yoshizawa, S.; Arakawa, T.; Shiraki, K. Allantoin and hydantoin as new protein aggregation suppressors. Int. J. Biol. Macromol. 2018, 114, 497–503. [Google Scholar]
  14. Araújo, L.U.; Grabe-Guimarães, A.; Mosqueira, V.C.; Carneiro, C.M.; Silva-Barcellos, N.M. Profile of wound healing process induced by allantoin. Acta Cir. Bras. 2010, 25, 460–466. [Google Scholar]
  15. Celleno, L. Topical urea in skincare: A review. Dermatol. Ther. 2018, 31, 12690. [Google Scholar]
  16. Igile, G.O.; Essiet, G.; Uboh, F.; Edet, E. Rapid Method for the Identification and Quantification of Allantoin in Body Creams and Lotions for Regulatory Activities. Int. J. Curr. Microbiol. Appl. Sci. 2014, 3, 552–557. [Google Scholar]
  17. Voegeli, D. Urea creams in skin conditions: Composition and outcomes. Dermatol. Pract. 2012, 18, 13–15. [Google Scholar]
  18. Sharad, J. Glycolic acid peel therapy—A current review. Clin. Cosmet. Investig. Dermatol. 2013, 6, 281–288. [Google Scholar]
  19. Chan, G.J. Use of superficial glycolic acid peels in clinical practice. Hong Kong J. Dermatol. Venereol. 2012, 20, 111–113. [Google Scholar]
  20. Soleymani, T.; Lanoue, J.; Rahman, Z. A Practical Approach to Chemical Peels: A Review of Fundamentals and Step-by-step Algorithmic Protocol for Treatment. J. Clin. Aesthet. Dermatol. 2018, 11, 21–28. [Google Scholar]
  21. Vishal, B.; Rao, S.S.; Pavithra, S.; Shenoy, M.M. Contact urticaria to glycolic acid peel. J. Cutan. Aesthet. Surg. 2012, 5, 58–59. [Google Scholar] [PubMed]
  22. Abd Alsaheb, R.A.; Aladdin, A.; Othman, N.Z.; Abd Malek, R.; Leng, O.M.; Aziz, R.; El Enshasy, H.A. Lactic acid applications in pharmaceutical and cosmeceutical industries. J. Chem. Pharm. Res. 2015, 2015, 729–735. [Google Scholar]
  23. Babilas, P.; Knie, U.; Abels, C. Cosmetic and dermatologic use of alpha hydroxy acids. J. Dtsch. Dermatol. Ges. 2012, 10, 488–491. [Google Scholar]
  24. Tang, S.C.; Yang, J.H. Dual Effects of Alpha-Hydroxy Acids on the Skin. Molecules 2018, 23, 863. [Google Scholar] [CrossRef]
  25. Brieva, A.; Philips, N.; Tejedor, R.; Guerrero, A.; Pivel, J.P.; Alonso-Lebrero, J.L.; Gonzalez, S. Molecular basis for the regenerative properties of a secretion of the mollusk Cryptomphalus aspersa. Skin Pharmacol. Physiol. 2008, 21, 15–22. [Google Scholar]
  26. Kroma, A.; Feliczak-Guzik, A.; Nowak, I. The use of glycosaminoglycans in cosmetic products. Chemik 2012, 66, 136–139. [Google Scholar]
  27. Lee, D.H.; Oh, J.H.; Chung, J.H. Glycosaminoglycan and proteoglycan in skin aging. J. Dermatol. Sci. 2016, 83, 174–181. [Google Scholar]
  28. Smith, M.M.; Melrose, J. Proteoglycans in Normal and Healing Skin. Adv. Wound Care 2015, 4, 152–173. [Google Scholar]
  29. Rodzeń, J.; Fitrzyk, K. Mezoterapia bezigłowa jako nieinwazyjna metoda poprawiająca jakość skóry osób starszych. Kosmetol. Estet. 2016, 5, 143–147. [Google Scholar]
  30. Drobnik, A. Mezoterapia-przegląd metod. Kosmetol. Estet. 2014, 5, 39–42. [Google Scholar]
  31. Kołodziejczak, A. (Ed.) Kosmetologia 1, 1st ed.; PZWL: Warszawa, Poland, 2019; pp. 468–475. [Google Scholar]
  32. Ebisz, M.; Brokowska, M. Szkodliwe oddziaływanie promieniowania ultrafioletowego na skórę człowieka. Hygeia Public Health 2015, 50, 467–473. [Google Scholar]
  33. Błaszczyk, A.; Karolewska-Szalbierz, J.; Jenerowicz, D.; Czarnecka-Operacz, M. Działanie promieniowania ultrafioletowego–aktualna wiedza w aspekcie dermatologicznym i alergologicznym. Alergol. Pol.-Pol. J. Allergol. 2015, 2, 21–27. [Google Scholar]
  34. Tribó, M.; Parrado-Romero, C.; Rais, B.; Reyes, E.; Vitale-Villarejo, M.A.; Gonzalez, S. Clinical and histological efficacy of a secretion of the mollusk Cryptomphalus aspersa in the treatment of cutaneous photoaging. Cosmet. Dermatol. 2009, 22, 247–252. [Google Scholar]
  35. Becker, L.C.; Bergfeld, W.F.; Belsito, D.V.; Klaassen, C.D.; Marks, J.G.; Shank, R.C.; Slaga, T.J.; Snyder, P.W.; Andersen, F.A. Final report of the safety assessment of allantoin and its related complexes. Int. J. Toxicol. 2010, 29, 84–97. [Google Scholar]
  36. Gugliandolo, E.; Macrì, F.; Fusco, R.; Siracusa, R.; D’Amico, R.; Cordaro, M.; Peritore, A.F.; Impellizzeri, D.; Genovese, T.; Cuzzocrea, S.; et al. The Protective Effect of Snail Secretion Filtrate in an Experimental Model of Excisional Wounds in Mice. Vet. Sci. 2021, 8, 167. [Google Scholar] [CrossRef] [PubMed]
  37. Tsoutsos, D.; Kakagia, D.; Tamparopoulos, K. The efficacy of Helix aspersa Müller extract in the healing of partial thickness burns: A novel treatment for open burn management protocols. J. Dermatol. Treat. 2009, 20, 219–222. [Google Scholar] [PubMed]
  38. Ata, P.; Majewski, S. Fotostarzenie skoŕy. Prz. Dermatol. 2013, 100, 178–183. [Google Scholar]
  39. Furio, L.; Berthier-Vergnes, O.; Ducarre, B.; Schmitt, D.; Peguet-Navarro, J. UVA radiation impairs phenotypic and functional maturation of human dermal dendritic cells. J. Investig. Dermatol. 2005, 125, 1032–1038. [Google Scholar]
  40. Motofei, I.G. Biology of Cancer; From Cellular Cancerogenesis to Supracellular Evolution of Malignant Phenotype. Cancer Investig. 2018, 36, 309–317. [Google Scholar]
  41. Pain, S.; Berthélémy, N.; Naudin, C.; Degrave, V.; André-Frei, V. Understanding Solar Skin Elastosis-Cause and Treatment. J. Cosmet. Sci. 2018, 69, 175–185. [Google Scholar]
  42. Khaitan, T.; Pachigola, R.; Kabiraj, A.; Uday, G. Solar elastosis: Case report and review. J. Indian Acad. Oral Med. Radiol. 2016, 28, 215–218. [Google Scholar]
  43. Knaggs, H.E.; Holland, D.B.; Morris, C.; Wood, E.J.; Cunliffe, W.J. Quantification of cellular proliferation in acne using the monoclonal antibody Ki-67. J. Investig. Dermatol. 1994, 102, 89–92. [Google Scholar] [PubMed]
  44. Kim, S.A.; Ryu, Y.W.; Kwon, J.I.I.; Choe, M.S.; Jung, J.W.; Cho, J.W. Differential expression of cyclin D1, Ki-67, pRb, and p53 in psoriatic skin lesions and normal skin. Mol. Med. Rep. 2018, 17, 735–742. [Google Scholar]
  45. Trapella, C.; Rizzo, R.; Gallo, S.; Alogna, A.; Bortolotti, D.; Casciano, F.; Zauli, G.; Secchiero, P.; Voltan, R. HelixComplex snail mucus exhibits pro-survival, proliferative and pro-migration effects on mammalian fibroblasts. Sci. Rep. 2018, 8, 17665. [Google Scholar]
  46. Ellijimi, C.; Hammouda, M.B.; Othman, H.; Moslah, W.; Jebali, J.; Mabrouk, H.B.; Morjen, M.; Haoues, M.; Luis, J.; Marrakchi, N.; et al. Helix aspersa maxima mucus exhibits antimelanogenic and antitumoral effects against melanoma cells. Biomed. Pharmacother. 2018, 101, 871–880. [Google Scholar]
  47. Mebirouk, R.; Naimi, D.; Riani, M.; Antonicelli, F. Comparative study of two Helix aspersa extracts on tumor cell lines (hut-78 and seax) proliferation and MMP-9 secretion. Int. J. Pharm. Pharm. Sci. 2016, 8, 288–293. [Google Scholar]
  48. Pitt, S.J.; Graham, M.A.; Dedi, C.G.; Taylor-Harris, P.M.; Gunn, A. Antimicrobial properties of mucus from the brown garden snail Helix aspersa. Br. J. Biomed. Sci. 2015, 72, 174–181. [Google Scholar]
  49. Zhu, K.; Zhang, Z.; Li, G.; Sun, J.; Gu, T.; Ain, N.U.; Zhang, X.; Li, D. Extraction, structure, pharmacological activities and applications of polysaccharides and proteins isolated from snail mucus. Int. J. Biol. Macromol. 2024, 258, 128878. [Google Scholar]
  50. Zhong, T.; Min, L.; Wang, Z.; Zhang, F.; Zuo, B. Controlled self-assembly of glycoprotein complex in snail mucus from lubricating liquid to elastic fiber. RSC Adv. 2018, 12, 13806–13812. [Google Scholar]
  51. El-Attar, A.A.; El-Wakil, H.B.; Hassanin, A.H.; Bakr, B.A.; Almutairi, T.M.; Hagar, M.; Elwakil, B.H.; Olama, Z.A. Silver/Snail Mucous PVA Nanofibers: Electrospun Synthesis and Antibacterial and Wound Healing Activities. Membranes 2022, 12, 536. [Google Scholar] [CrossRef]
  52. Waluga-Kozłowska, E.W.A.; Jasik, K.; Wcisło-Dziadecka, D.; Pol, P.; Kuźnik-Trocha, K.; Komosińska-Vassev, K.; Olczyk, K.; Waluga, M.; Olczyk, P.; Zimmermann, A. Snail mucus—A natural origin substance with potential use in medicine. Acta Pol. Pharm.-Drug Res. 2021, 78, 793–800. [Google Scholar]
  53. Crowe, A.R.; Yue, W. Semi-quantitative Determination of Protein Expression UsingImmunohistochemistry Staining and Analysis: An Integrated Protocol. Bio-Protoc. 2019, 9, e3465. [Google Scholar]
Figure 1. Skin of patients before and after 3 months of treatment. (A,B) Micro-needle mesotherapy + snail mucus 98.2%; (C,D) micro-needle mesotherapy + NaCl; (E,F) needle-free mesotherapy + snail mucus 98.2%. Black arrows indicate collagen fiber bundles; H-E staining; obj. magn. 40×. Scale bar: 100 µm.
Figure 1. Skin of patients before and after 3 months of treatment. (A,B) Micro-needle mesotherapy + snail mucus 98.2%; (C,D) micro-needle mesotherapy + NaCl; (E,F) needle-free mesotherapy + snail mucus 98.2%. Black arrows indicate collagen fiber bundles; H-E staining; obj. magn. 40×. Scale bar: 100 µm.
Applsci 14 07394 g001
Figure 2. Skin of patients before and after 3 months of treatment. (A,B) Micro-needle mesotherapy + snail mucus 98.2%; (C,D) micro-needle mesotherapy + NaCl; (E,F) needle-free mesotherapy + snail mucus 98.2%. Yellow arrows indicate collagen fiber bundles; Mallory Trichrome staining; obj. magn. 40×. Scale bar: 100 µm.
Figure 2. Skin of patients before and after 3 months of treatment. (A,B) Micro-needle mesotherapy + snail mucus 98.2%; (C,D) micro-needle mesotherapy + NaCl; (E,F) needle-free mesotherapy + snail mucus 98.2%. Yellow arrows indicate collagen fiber bundles; Mallory Trichrome staining; obj. magn. 40×. Scale bar: 100 µm.
Applsci 14 07394 g002
Figure 3. Skin of patients before and after 3 months of treatment. (A,B) Micro-needle mesotherapy + snail mucus 98.2%; (C,D) micro-needle mesotherapy + NaCl; (E,F) needle-free mesotherapy + snail mucus 98.2%. Black arrows indicate reticular fibers; AgNo3 staining; obj. magn. 40×. Scale bar: 100 µm.
Figure 3. Skin of patients before and after 3 months of treatment. (A,B) Micro-needle mesotherapy + snail mucus 98.2%; (C,D) micro-needle mesotherapy + NaCl; (E,F) needle-free mesotherapy + snail mucus 98.2%. Black arrows indicate reticular fibers; AgNo3 staining; obj. magn. 40×. Scale bar: 100 µm.
Applsci 14 07394 g003
Figure 4. Skin of patients before and after 3 months of treatment. (A,B) Micro-needle mesotherapy + snail mucus 98.2%; (C,D) micro-needle mesotherapy + NaCl; (E,F) needle-free mesotherapy + snail mucus 98.2%. Picro Sirius Red staining; obj. magn. 40×. Scale bar: 100 µm.
Figure 4. Skin of patients before and after 3 months of treatment. (A,B) Micro-needle mesotherapy + snail mucus 98.2%; (C,D) micro-needle mesotherapy + NaCl; (E,F) needle-free mesotherapy + snail mucus 98.2%. Picro Sirius Red staining; obj. magn. 40×. Scale bar: 100 µm.
Applsci 14 07394 g004
Figure 5. Skin of patients before and after 3 months of treatment. (A,B) Micro-needle mesotherapy + snail mucus 98.2%; (C,D) micro-needle mesotherapy + NaCl; (E,F) needle-free mesotherapy + snail mucus 98.2%. Black arrows indicate elastic fibers; Orcein staining; obj. magn. 40×. Scale bar: 100 µm.
Figure 5. Skin of patients before and after 3 months of treatment. (A,B) Micro-needle mesotherapy + snail mucus 98.2%; (C,D) micro-needle mesotherapy + NaCl; (E,F) needle-free mesotherapy + snail mucus 98.2%. Black arrows indicate elastic fibers; Orcein staining; obj. magn. 40×. Scale bar: 100 µm.
Applsci 14 07394 g005
Figure 6. Immunoexpression of Ki67 in skin of patients before and after 3 months of treatment. (A,B) Micro-needle mesotherapy + snail mucus 98.2%; (C,D) micro-needle mesotherapy + NaCl; (E,F) needle-free mesotherapy + snail mucus 98.2%. Obj. magn. 40×. Scale bar: 100 µm.
Figure 6. Immunoexpression of Ki67 in skin of patients before and after 3 months of treatment. (A,B) Micro-needle mesotherapy + snail mucus 98.2%; (C,D) micro-needle mesotherapy + NaCl; (E,F) needle-free mesotherapy + snail mucus 98.2%. Obj. magn. 40×. Scale bar: 100 µm.
Applsci 14 07394 g006
Figure 7. Immunoexpression of PCNA in skin of patients before and after 3 months of treatment. (A,B) Micro-needle mesotherapy + snail mucus 98.2%; (C,D) micro-needle mesotherapy + NaCl; (E,F) needle-free mesotherapy + snail mucus 98.2%. Obj. magn. 40×. Scale bar: 100 µm.
Figure 7. Immunoexpression of PCNA in skin of patients before and after 3 months of treatment. (A,B) Micro-needle mesotherapy + snail mucus 98.2%; (C,D) micro-needle mesotherapy + NaCl; (E,F) needle-free mesotherapy + snail mucus 98.2%. Obj. magn. 40×. Scale bar: 100 µm.
Applsci 14 07394 g007
Table 1. Statistical analysis of the results of morphometric measurements (thickness of the epidermis and diameter of collagen fibers).
Table 1. Statistical analysis of the results of morphometric measurements (thickness of the epidermis and diameter of collagen fibers).
Parameter
(µm)
Group AGroup BGroup C
Before
(n = 30)
After
(n = 30)
Before
(n = 30)
After
(n = 30)
Before
(n = 30)
After
(n = 30)
Epidermis thicknessMean ± SD
M
Min–Max
25.79 ± 8.82
21.55
13.4–43.1
19.7 ± 3.7
18.8 *
14.2–31.4
18.95 ± 4.75
20.05
10.1–28.1
14.24 ± 3.61
13.95 *
6.4–22.4
14.36 ± 5.17
12.5
8.2–29.5
9.48 ± 3.42
9.65 *
3.4–1.2
Collagen fiber thicknessMean ± SD
M
Min–Max
2.47 ± 0.93
2.2
0.8–4.5
3.29 ± 1.19
3.15 *
1.6–5.9
3.94 ± 1.36
3.55
2.1–7.1
5.02 ± 1.74
4.75 *
2.6–8.5
3.83 ± 1.63
3.8
1.3–8.2
4.76 ± 2.07
4.45 *
1.6–10.3
M: median; Min–Max: minimum–maximum; SD: standard deviation, n: number of analyzed areas in slides. Group A: micro-needle mesotherapy + snail mucus 98.2%; Group B: micro-needle mesotherapy + NaCl; Group C: needle-free mesotherapy + snail mucus 98.2%. * p < 0.05 vs. respective “before” (non-parametric Mann–Whitney U test).
Table 2. Semi-quantitative determination of Ki67, PCNA, and MMP2 before and after the end of the treatment series.
Table 2. Semi-quantitative determination of Ki67, PCNA, and MMP2 before and after the end of the treatment series.
ParameterGroup AGroup BGroup C
Before
(n = 30)
After
(n = 30)
Before
(n = 30)
After
(n = 30)
Before
(n = 30)
After
(n = 30)
Ki67—epidermis (area in %)Mean ± SD
M
Min–Max
12.03 ± 10
8.13
1.47–31.99
4.25 ± 3.09
3.43 *
0.42–13.71
11.89 ± 10.3
8.0
0.66–32.23
6.84 ± 4.68
4.8
1.05–17.61
12.1 ± 8.76
9.08
0.33–32.23
5.31 ± 5.11
4.05 *
0.45–18.74
Ki67—dermis
(area in %)
Mean ± SD
M
Min–Max
1.85 ± 1.33
1.35
0.58–4.98
5.54 ± 6.08
2.64 *
2.64–7.56
1.48 ± 0.55
1.49
0.68–2.56
2.2 ± 2.2
1.29
0.03–7.02
1.5 ± 0.83
1.35
0.29–3.72
1.83 ± 0.67
1.85 *
0.87–3.11
PCNA—epidermis (area in %)Mean ± SD
M
Min–Max
10.57 ± 4.66
8.71
4.15–17.09
4.49 ± 2.17
4.31 *
1.5–9.06
11.06 ± 5.32
11.04
2.66–22.57
6.03 ± 2.2
6.0 *
3.21–9.24
12.02 ± 9.97
9.46
2.58–50.9
10.37 ± 5.11
9.92
1.81–17.63
PCNA—dermis
(area in %)
Mean ± SD
M
Min–Max
1.58 ± 1.38
1.33
0.2–4.1
2.45 ± 0.77
2.43 *
0.75–3.56
1.54 ± 1.34
1.0
0.2–4.12
1.87 ± 0.46
2.13
1.16–2.3
1.65 ± 1.11
1.66
0.33–3.69
2.8 ± 1.3
2.87 *
1.01–5.79
MMP2—dermis
(area in %)
Mean ± SD
M
Min–Max
10.66 ± 5.07
10.56
4.11–17.14
12.97 ± 5.62
14.37 *
4.87–23.11
10.56 ± 5.29
9.69
3.56–17.37
12.36 ± 8.1
8.08
4.64–30.03
8.6 ± 3.7
7.78
3.56–18.4
10.87 ± 4.52
10.86 *
4.33–25.07
M: median; Min–Max: minimum–maximum; SD: standard deviation, n: number of analyzed areas in slides. Group A: micro-needle mesotherapy + snail mucus 98.2%; Group B: micro-needle mesotherapy + NaCl; Group C: needle-free mesotherapy + snail mucus 98.2%. * p < 0.05 vs. respective “before” (non-parametric Mann–Whitney U test).
Table 3. Semi-quantitative determination of Ki67, PCNA, and MMP2 after 3 months of treatments.
Table 3. Semi-quantitative determination of Ki67, PCNA, and MMP2 after 3 months of treatments.
Parameter
(Area in %)
Group A
(n = 30)
Group B
(n = 30)
Group C
(n = 30)
Ki67—epidermis Mean ± SD
M
Min–Max
4.25 ± 3.09
3.43
0.42–13.71
6.84 ± 4.68
4.8 *
1.05–17.61
5.31 ± 5.11
4.05
0.45–18.74
Ki67—dermis Mean ± SD
M
Min–Max
5.54 ± 6.08
2.64
2.64–7.56
2.2 ± 2.2
1.29 *
0.03–7.02
1.83 ± 0.67
1.85 *
0.87–3.11
PCNA—epidermis Mean ± SD
M
Min–Max
4.49 ± 2.17
4.31
1.5–9.06
6.03 ± 2.2
6.0
3.21–9.24
10.37 ± 5.11
9.92 *^
1.81–17.63
PCNA—dermis Mean ± SD
M
Min–Max
2.45 ± 0.77
2.43
0.75–3.56
1.87 ± 0.46
2.13 *
1.16–2.3
2.8 ± 1.3
2.87 ^
1.01–5.79
MMP2—dermisMean ± SD
M
Min–Max
12.97 ± 5.62
14.37
4.87–23.11
12.36 ± 8.1
8.08
4.64–30.03
10.87 ± 4.52
10.86
4.33–25.07
M: median; Min–Max: minimum–maximum; SD: standard deviation, n: number of analyzed areas in slides. Group A: micro-needle mesotherapy + snail mucus; Group B: micro-needle mesotherapy + NaCl; Group C: needle-free mesotherapy + snail mucus. * p < 0.05 vs. Group A; ^ p < 0.05 vs. Group B (non-parametric Kruskal–Wallis test followed by Dunn’s post hoc test).
Table 4. Scheme of application methods.
Table 4. Scheme of application methods.
Group A (n = 6)Group B (n = 6)Group C (n = 6)
Micro-needle mesotherapy + the contents of an ampoule containing snail mucus 98.2% (Nature Cosmetics, Healthy Skin line, Siewierz, Poland)Micro-needle mesotherapy + the contents of an ampoule with 0.9% NaCl solution (Polpharma, Starogard Gdański, Poland)Needle-free mesotherapy + the contents of an ampoule containing snail mucus 98.2% (Nature Cosmetics, Healthy Skin line, Siewierz, Poland)
Women from groups A and Cfor the duration of the study, i.e., 3 months, additionally applied serum with snail mucus 98.2% (Nature Cosmetics, Healthy Skin line, Siewierz, Poland) in the morning and evening, at home.
Disclaimer/Publisher’s Note: The statements, opinions and data contained in all publications are solely those of the individual author(s) and contributor(s) and not of MDPI and/or the editor(s). MDPI and/or the editor(s) disclaim responsibility for any injury to people or property resulting from any ideas, methods, instructions or products referred to in the content.

Share and Cite

MDPI and ACS Style

Marchlewicz, M.; Wojnarowicz, J.; Wilk, A.; Misiakiewicz-Has, K.; Wiszniewska, B.; Szumilas, K.; Duchnik, E. Effect of Helix aspersa Mucus on the Regeneration of Skin with Photoaging Features in Different Methods of Application. Appl. Sci. 2024, 14, 7394. https://doi.org/10.3390/app14167394

AMA Style

Marchlewicz M, Wojnarowicz J, Wilk A, Misiakiewicz-Has K, Wiszniewska B, Szumilas K, Duchnik E. Effect of Helix aspersa Mucus on the Regeneration of Skin with Photoaging Features in Different Methods of Application. Applied Sciences. 2024; 14(16):7394. https://doi.org/10.3390/app14167394

Chicago/Turabian Style

Marchlewicz, Mariola, Justyna Wojnarowicz, Aleksandra Wilk, Kamila Misiakiewicz-Has, Barbara Wiszniewska, Kamila Szumilas, and Ewa Duchnik. 2024. "Effect of Helix aspersa Mucus on the Regeneration of Skin with Photoaging Features in Different Methods of Application" Applied Sciences 14, no. 16: 7394. https://doi.org/10.3390/app14167394

APA Style

Marchlewicz, M., Wojnarowicz, J., Wilk, A., Misiakiewicz-Has, K., Wiszniewska, B., Szumilas, K., & Duchnik, E. (2024). Effect of Helix aspersa Mucus on the Regeneration of Skin with Photoaging Features in Different Methods of Application. Applied Sciences, 14(16), 7394. https://doi.org/10.3390/app14167394

Note that from the first issue of 2016, this journal uses article numbers instead of page numbers. See further details here.

Article Metrics

Back to TopTop