Attention-Based Two-Branch Hybrid Fusion Network for Medical Image Segmentation
Abstract
1. Introduction
- The advantages of extracting global and local information combined with different deep learning models are discussed. We present in this research a dual-branch hierarchical global-local fusion network that integrates CNN and Transformer models for lesion region segmentation on pathology pictures.
- To tackle the challenge of indistinct segmentation outcomes from merged features, this paper employs the Attention Feature Fusion (AtFF) module. This module synergizes global and local encoder branch features using an attention mechanism that effectively forges long-range correlations between coarse global and detailed local information, enhancing the extraction of both types of details.
- By incorporating depth supervision and an additional segmentation head, we methodically bring the merged features back to the input image’s resolution. This approach mitigates gradient vanishing and accelerates convergence for pixel-level prediction using depth-guided training.
- Comprehensive comparative and ablation studies on various segmentation datasets confirm that our model is adept for histopathology image segmentation. It surpasses the performance of many prevalent segmentation techniques, with each module contributing to enhanced segmentation accuracy.
2. Related Work
2.1. CNN and Transformer
2.2. Feature Fusion Network
3. Method
3.1. ConvNeXt Branch
3.2. Swin Transformer Branch
3.3. Attentional Feature Fusion Module
| Algorithm 1: Attention-based two-branch hybrid fusion network for medical image segmentation |
| Input: The image to be segmented x, the training batch size, learning rate, momentum, max epoch. Ouput: Trained network model. |
![]() |
3.4. Loss Function
4. Experiments and Analysis of Results
4.1. Implementation Details
4.2. Evaluation Metrics
4.3. Experimental Results and Analysis of Different Datasets
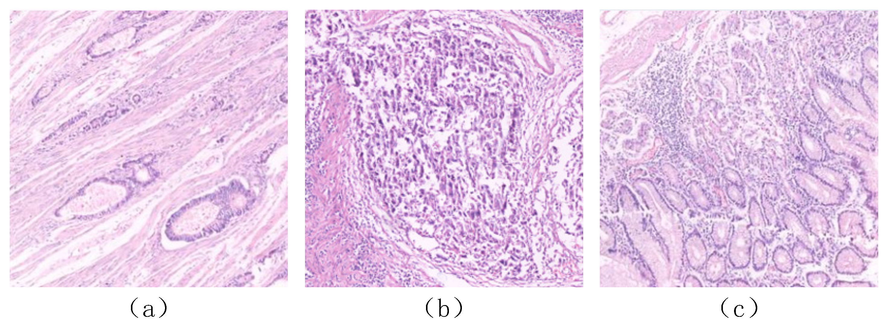
4.3.1. Gastric Cancer Dataset
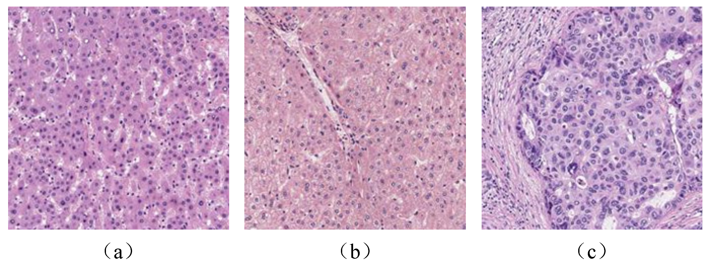
4.3.2. Liver Cancer Dataset
4.4. Ablation Experiments
5. Disscusion
6. Conclusions
Author Contributions
Funding
Institutional Review Board Statement
Informed Consent Statement
Data Availability Statement
Conflicts of Interest
References
- World Health Organization. Comprehensive Cervical Cancer Control: A Guide to Essential Practice; World Health Organization: Geneva, Switzerland, 2006.
- Lawrence, S.; Giles, C.L.; Tsoi, A.C.; Back, A.D. Face recognition: A convolutional neural-network approach. IEEE Trans. Neural Netw. 1997, 8, 98–113. [Google Scholar] [CrossRef] [PubMed]
- Nelson, C.J.; Cho, C.; Berk, A.R.; Holland, J.; Roth, A.J. Are gold standard depression measures appropriate for use in geriatric cancer patients? A systematic evaluation of self-report depression instruments used with geriatric, cancer, and geriatric cancer samples. J. Clin. Oncol. 2010, 28, 348. [Google Scholar] [CrossRef] [PubMed]
- Olabarriaga, S.D.; Smeulders, A.W.M. Interaction in the segmentation of medical images: A survey. Med. Image Anal. 2001, 5, 127–142. [Google Scholar] [CrossRef] [PubMed]
- Asadi-Aghbolaghi, M.; Azad, R.; Fathy, M.; Escalera, S. Multi-level context gating of embedded collective knowledge for medical image segmentation. arXiv 2020, arXiv:2003.05056. [Google Scholar]
- Long, J.; Shelhamer, E.; Darrell, T. Fully convolutional networks for semantic segmentation. In Proceedings of the IEEE Conference on Computer Vision and Pattern Recognition, Boston, MA, USA, 7–12 June 2015; pp. 3431–3440. [Google Scholar]
- Ronneberger, O.; Fischer, P.; Brox, T. U-net: Convolutional networks for biomedical image segmentation. In Proceedings of the Medical Image Computing and Computer-Assisted Intervention–MICCAI 2015: 18th International Conference, Munich, Germany, 5–9 October 2015; Proceedings, Part III 18. Springer International Publishing: Berlin/Heidelberg, Germany, 2015; pp. 234–241. [Google Scholar]
- Zhou, Z.; Rahman Siddiquee, M.M.; Tajbakhsh, N.; Liang, J. Unet++: A nested u-net architecture for medical image segmentation. In Proceedings of the Deep Learning in Medical Image Analysis and Multimodal Learning for Clinical Decision Support: 4th International Workshop, DLMIA 2018, and 8th International Workshop, ML-CDS 2018, Held in Conjunction with MICCAI 2018, Granada, Spain, 20 September 2018; Proceedings 4. Springer International Publishing: Berlin/Heidelberg, Germany, 2018; pp. 3–11. [Google Scholar]
- Xiao, X.; Lian, S.; Luo, Z.; Li, S. Weighted Res-UNet for High-Quality Retina Vessel Segmentation. In Proceedings of the 2018 9th International Conference on Information Technology in Medicine and Education (ITME), Hangzhou, China, 19–21 October 2018; pp. 327–331. [Google Scholar] [CrossRef]
- Oktay, O.; Schlemper, J.; Folgoc, L.L.; Lee, M.; Heinrich, M.; Misawa, K.; Mori, K.; McDonagh, S.; Hammerla, N.Y.; Kainz, B.; et al. Attention u-net: Learning where to look for the pancreas. arXiv 2018, arXiv:1804.03999. [Google Scholar]
- Li, X.; Chen, H.; Qi, X.; Dou, Q.; Fu, C.W.; Heng, P.A. H-DenseUNet: Hybrid densely connected UNet for liver and tumor segmentation from CT volumes. IEEE Trans. Med. Imaging 2018, 37, 2663–2674. [Google Scholar] [CrossRef] [PubMed]
- Alom, M.Z.; Yakopcic, C.; Taha, T.M.; Asari, V.K. Nuclei segmentation with recurrent residual convolutional neural networks based U-Net (R2U-Net). In Proceedings of the NAECON 2018-IEEE National Aerospace and Electronics Conference, Dayton, OH, USA, 23–26 July 2018; IEEE: Piscataway, NJ, USA, 2018; pp. 228–233. [Google Scholar]
- Valanarasu, J.M.J.; Sindagi, V.A.; Hacihaliloglu, I.; Patel, V.M. Kiu-net: Towards accurate segmentation of biomedical images using over-complete representations. In Proceedings of the Medical Image Computing and Computer Assisted Intervention–MICCAI 2020: 23rd International Conference, Lima, Peru, 4–8 October 2020; Proceedings, Part IV 23. Springer International Publishing: Berlin/Heidelberg, Germany, 2020; pp. 363–373. [Google Scholar]
- Huang, H.; Lin, L.; Tong, R.; Hu, H.; Zhang, Q.; Iwamoto, Y.; Han, X.; Chen, Y.W.; Wu, J. Unet 3+: A full-scale connected unet for medical image segmentation. In Proceedings of the ICASSP 2020-2020 IEEE International Conference on Acoustics, Speech and Signal Processing (ICASSP), Barcelona, Spain, 4–8 May 2020; IEEE: Piscataway, NJ, USA, 2020; pp. 1055–1059. [Google Scholar]
- Wang, X.; Girshick, R.; Gupta, A.; He, K. Non-local neural networks. In Proceedings of the IEEE Conference on Computer Vision and Pattern Recognition, Salt Lake City, UT, USA, 18–22 June 2018; pp. 7794–7803. [Google Scholar]
- Huang, Z.; Wang, X.; Huang, L.; Huang, C.; Wei, Y.; Liu, W. Ccnet: Criss-cross attention for semantic segmentation. In Proceedings of the IEEE/CVF International Conference on Computer Vision, Seoul, Republic of Korea, 27 October–2 November 2019; pp. 603–612. [Google Scholar]
- Hou, Q.; Zhou, D.; Feng, J. Coordinate attention for efficient mobile network design. In Proceedings of the IEEE/CVF Conference on Computer Vision and Pattern Recognition, Nashville, TN, USA, 20–25 June 2021; pp. 13713–13722. [Google Scholar]
- Vaswani, A.; Shazeer, N.; Parmar, N.; Uszkoreit, J.; Jones, L.; Gomez, A.N.; Kaiser, Ł.; Polosukhin, I. Attention is all you need. Adv. Neural Inf. Process. Syst. 2017, 30, 1–11. [Google Scholar]
- Dosovitskiy, A.; Beyer, L.; Kolesnikov, A.; Weissenborn, D.; Zhai, X.; Unterthiner, T.; Dehghani, M.; Minderer, M.; Heigold, G.; Gelly, S.; et al. An image is worth 16x16 words: Transformers for image recognition at scale. arXiv 2020, arXiv:2010.11929. [Google Scholar]
- Zheng, S.; Lu, J.; Zhao, H.; Zhu, X.; Luo, Z.; Wang, Y.; Fu, Y.; Feng, J.; Xiang, T.; Torr, P.H.; et al. Rethinking semantic segmentation from a sequence-to-sequence perspective with transformers. In Proceedings of the IEEE/CVF Conference on Computer Vision and Pattern Recognition, Nashville, TN, USA, 20–25 June 2021; pp. 6881–6890. [Google Scholar]
- Liu, Z.; Lin, Y.; Cao, Y.; Hu, H.; Wei, Y.; Zhang, Z.; Lin, S.; Guo, B. Swin transformer: Hierarchical vision transformer using shifted windows. In Proceedings of the IEEE/CVF International Conference on Computer Vision, Montreal, BC, Canada, 11–17 October 2021; pp. 10012–10022. [Google Scholar]
- Chen, J.; Lu, Y.; Yu, Q.; Luo, X.; Adeli, E.; Wang, Y.; Lu, L.; Yuille, A.L.; Zhou, Y. TransUNet: Transformers Make Strong Encoders for Medical Image Segmentation. arXiv 2021. [Google Scholar] [CrossRef]
- Zhang, Z.; Sun, B.; Zhang, W. Pyramid Medical Transformer for Medical Image Segmentation. arXiv 2021. [Google Scholar] [CrossRef]
- Valanarasu, J.M.J.; Patel, V.M. Unext: Mlp-based rapid medical image segmentation network. In Proceedings of the International Conference on Medical Image Computing and Computer-Assisted Intervention, Singapore, 18–22 September 2022; Springer Nature: Cham, Switzerland, 2022; pp. 23–33. [Google Scholar]
- Touvron, H.; Cord, M.; Douze, M.; Massa, F.; Sablayrolles, A.; Jégou, H. Training data-efficient image transformers & distillation through attention. In Proceedings of the International Conference on Machine Learning, Virtual, 18–24 July 2021; PMLR: New York, NY, USA, 2021; pp. 10347–10357. [Google Scholar]
- Cao, H.; Wang, Y.; Chen, J.; Jiang, D.; Zhang, X.; Tian, Q.; Wang, M. Swin-unet: Unet-like pure transformer for medical image segmentation. In Proceedings of the European Conference on Computer Vision, Tel Aviv, Israel, 23–27 October 2022; Springer Nature: Cham, Switzerland, 2022; pp. 205–218. [Google Scholar]
- Valanarasu, J.M.; Oza, P.; Hacihaliloglu, I.; Patel, V.M. Medical transformer: Gated axial-attention for medical image segmentation. In Proceedings of the Medical Image Computing and Computer Assisted Intervention–MICCAI 2021: 24th International Conference, Strasbourg, France, 27 September–1 October 2021; Proceedings, Part I 24. Springer International Publishing: Berlin/Heidelberg, Germany, 2021; pp. 36–46. [Google Scholar]
- Zhang, Y.; Liu, H.; Hu, Q. Transfuse: Fusing transformers and cnns for medical image segmentation. In Proceedings of the Medical Image Computing and Computer Assisted Intervention–MICCAI 2021: 24th International Conference, Strasbourg, France, 27 September–1 October 2021; Proceedings, Part I 24. Springer International Publishing: Berlin/Heidelberg, Germany, 2021; pp. 14–24. [Google Scholar]
- Nguyen, C.; Asad, Z.; Deng, R.; Huo, Y. Evaluating transformer-based semantic segmentation networks for pathological image segmentation. In Proceedings of the Medical Imaging 2022: Image Processing, San Diego, CA, USA, 20–24 February 2022 and 21–27 March 2022; SPIE: Houston, TX, USA, 2022; Volume 12032, pp. 942–947. [Google Scholar]
- Shamshad, F.; Khan, S.; Zamir, S.W.; Khan, M.H.; Hayat, M.; Khan, F.S.; Fu, H. Transformers in medical imaging: A survey. Med. Image Anal. 2023, 88, 102802. [Google Scholar] [CrossRef]
- Lin, T.Y.; Dollár, P.; Girshick, R.; He, K.; Hariharan, B.; Belongie, S. Feature pyramid networks for object detection. In Proceedings of the IEEE Conference on Computer Vision and Pattern Recognition, Honolulu, HI, USA, 21–26 July 2017; pp. 2117–2125. [Google Scholar]
- Liu, S.; Qi, L.; Qin, H.; Shi, J.; Jia, J. Path aggregation network for instance segmentation. In Proceedings of the IEEE Conference on Computer Vision and Pattern Recognition, Salt Lake City, UT, USA, 18–22 June 2018; pp. 8759–8768. [Google Scholar]
- Yu, F.; Wang, D.; Shelhamer, E.; Darrell, T. Deep layer aggregation. In Proceedings of the IEEE Conference on Computer Vision and Pattern Recognition, Salt Lake City, UT, USA, 18–22 June 2018; pp. 2403–2412. [Google Scholar]
- Pang, J.; Chen, K.; Shi, J.; Feng, H.; Ouyang, W.; Lin, D. Libra r-cnn: Towards balanced learning for object detection. In Proceedings of the IEEE/CVF Conference on Computer Vision and Pattern Recognition, Long Beach, CA, USA, 15–20 June 2019; pp. 821–830. [Google Scholar]
- Tan, M.; Pang, R.; Le, Q.V. Efficientdet: Scalable and efficient object detection. In Proceedings of the IEEE/CVF Conference on Computer Vision and Pattern Recognition, Seattle, WA, USA, 13–19 June 2020; pp. 10781–10790. [Google Scholar]
- Zhou, P.; Ni, B.; Geng, C.; Hu, J.; Xu, Y. Scale-transferrable object detection. In Proceedings of the IEEE Conference on Computer Vision and Pattern Recognition, Salt Lake City, UT, USA, 18–23 June 2018; pp. 528–537. [Google Scholar]
- Zhao, Q.; Sheng, T.; Wang, Y.; Tang, Z.; Chen, Y.; Cai, L.; Ling, H. M2det: A single-shot object detector based on multi-level feature pyramid network. In Proceedings of the AAAI Conference on Artificial Intelligence, Honolulu, HI, USA, 27 January–1 February 2019; Volume 33, pp. 9259–9266. [Google Scholar]
- Amirul Islam, M.; Rochan, M.; Bruce, N.D.; Wang, Y. Gated feedback refinement network for dense image labeling. In Proceedings of the IEEE Conference on Computer Vision and Pattern Recognition, Honolulu, HI, USA, 21–26 July 2017; pp. 3751–3759. [Google Scholar]
- Ghiasi, G.; Lin, T.Y.; Le, Q.V. Nas-fpn: Learning scalable feature pyramid architecture for object detection. In Proceedings of the IEEE/CVF Conference on Computer Vision and Pattern Recognition, Long Beach, CA, USA, 15–20 June 2019; pp. 7036–7045. [Google Scholar]
- Liu, S.; Huang, D.; Wang, Y. Learning spatial fusion for single-shot object detection. arXiv 2019, arXiv:1911.09516. [Google Scholar]
- Isensee, F.; Jaeger, P.F.; Kohl, S.A.; Petersen, J.; Maier-Hein, K.H. nnU-Net: A self-configuring method for deep learning-based biomedical image segmentation. Nat. Methods 2021, 18, 203–211. [Google Scholar] [CrossRef] [PubMed]
- Li, Y.; Li, X.; Xie, X.; Shen, L. Deep learning based gastric cancer identification. In Proceedings of the 2018 IEEE 15th International Symposium on Biomedical Imaging (ISBI 2018), Washington, DC, USA, 4–7 April 2018; IEEE: Piscataway, NJ, USA, 2018; pp. 182–185. [Google Scholar]
- Wang, L.; Pan, L.; Wang, H.; Liu, M.; Feng, Z.; Rong, P.; Chen, Z.; Peng, S. DHUnet: Dual-branch hierarchical global–local fusion network for whole slide image segmentation. Biomed. Signal Process. Control. 2023, 85, 104976. [Google Scholar] [CrossRef]
- Li, Z.; Tao, R.; Wu, Q.; Li, B. DA-RefineNet: Dual-inputs attention refinenet for whole slide image segmentation. In Proceedings of the 2020 25th International Conference on Pattern Recognition (ICPR), Milan, Italy, 10–15 January 2021; IEEE: Piscataway, NJ, USA, 2021; pp. 1918–1925. [Google Scholar]










| Methods | Dice (%) | mIOU (%) | Acc (%) | |
|---|---|---|---|---|
| CNN-based models | U-Net | 83.67 | 72.43 | 88.63 |
| Res-UNet | 86.81 | 72.08 | 88.92 | |
| FCN | 84.92 | 69.72 | 86.95 | |
| DeeplabV3 | 87.67 | 77.44 | 88.10 | |
| ConvNeXt | 88.05 | 73.75 | 88.50 | |
| Transformer-based models | MedT | 87.12 | 72.86 | 88.06 |
| TransUnet | 90.76 | 79.07 | 91.46 | |
| SwinUnet | 91.21 | 79.84 | 92.25 | |
| TransFuse | 90.28 | 79.72 | 92.16 | |
| Ours | GLFUnet | 91.65 | 79.87 | 92.51 |
| Methods | Dice (%) | mIOU (%) | Acc (%) | |
|---|---|---|---|---|
| CNN-based models | U-Net | 92.36 | 86.08 | 97.05 |
| Res-UNet | 91.59 | 84.73 | 96.67 | |
| FCN | 91.81 | 85.23 | 96.74 | |
| ConvNeXt | 92.69 | 86.52 | 97.24 | |
| Transformer-based models | MedT | 90.87 | 83.56 | 96.76 |
| TransUnet | 91.53 | 84.67 | 96.66 | |
| SwinUnet | 91.70 | 84.53 | 97.12 | |
| TransFuse | 90.68 | 82.93 | 96.97 | |
| DHUnet | 92.76 | 86.64 | 97.43 | |
| Ours | GLFUnet | 93.36 | 86.93 | 97.51 |
| Model | Dice (%) | mIOU (%) | Acc (%) | |||
|---|---|---|---|---|---|---|
| Liver | Gastric | Liver | Gastric | Liver | Gastric | |
| GLFUnet-AtFF | 92.46 | 89.64 | 85.56 | 78.37 | 96.49 | 91.23 |
| GLFUnet-csel | 93.78 | 91.61 | 86.90 | 79.52 | 96.58 | 92.37 |
| GLFUnet-Concat | 93.73 | 88.81 | 86.81 | 76.85 | 97.53 | 92.05 |
| GLFUnet-Add | 93.41 | 89.90 | 86.74 | 77.93 | 97.31 | 92.13 |
| GLFUnet | 93.86 | 91.65 | 86.93 | 79.87 | 97.56 | 92.51 |
Disclaimer/Publisher’s Note: The statements, opinions and data contained in all publications are solely those of the individual author(s) and contributor(s) and not of MDPI and/or the editor(s). MDPI and/or the editor(s) disclaim responsibility for any injury to people or property resulting from any ideas, methods, instructions or products referred to in the content. |
© 2024 by the authors. Licensee MDPI, Basel, Switzerland. This article is an open access article distributed under the terms and conditions of the Creative Commons Attribution (CC BY) license (https://creativecommons.org/licenses/by/4.0/).
Share and Cite
Liu, J.; Mao, S.; Pan, L. Attention-Based Two-Branch Hybrid Fusion Network for Medical Image Segmentation. Appl. Sci. 2024, 14, 4073. https://doi.org/10.3390/app14104073
Liu J, Mao S, Pan L. Attention-Based Two-Branch Hybrid Fusion Network for Medical Image Segmentation. Applied Sciences. 2024; 14(10):4073. https://doi.org/10.3390/app14104073
Chicago/Turabian StyleLiu, Jie, Songren Mao, and Liangrui Pan. 2024. "Attention-Based Two-Branch Hybrid Fusion Network for Medical Image Segmentation" Applied Sciences 14, no. 10: 4073. https://doi.org/10.3390/app14104073
APA StyleLiu, J., Mao, S., & Pan, L. (2024). Attention-Based Two-Branch Hybrid Fusion Network for Medical Image Segmentation. Applied Sciences, 14(10), 4073. https://doi.org/10.3390/app14104073


