Sign in to use this feature.

Years

Between: -

Subjects

remove_circle_outline
remove_circle_outline
remove_circle_outline
remove_circle_outline
remove_circle_outline

Journals

remove_circle_outline

Article Types

Countries / Regions

Search Results (1)

Search Parameters:
Keywords = GLFUnet

Order results
Result details
Results per page
Select all
Export citation of selected articles as:
20 pages, 3654 KB  
Article
Attention-Based Two-Branch Hybrid Fusion Network for Medical Image Segmentation
by Jie Liu, Songren Mao and Liangrui Pan
Appl. Sci. 2024, 14(10), 4073; https://doi.org/10.3390/app14104073 - 10 May 2024
Cited by 7 | Viewed by 4080
Abstract
Accurate segmentation of medical images is vital for disease detection and treatment. Convolutional Neural Networks (CNN) and Transformer models are widely used in medical image segmentation due to their exceptional capabilities in image recognition and segmentation. However, CNNs often lack an understanding of [...] Read more.
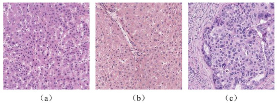
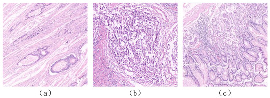
Accurate segmentation of medical images is vital for disease detection and treatment. Convolutional Neural Networks (CNN) and Transformer models are widely used in medical image segmentation due to their exceptional capabilities in image recognition and segmentation. However, CNNs often lack an understanding of the global context and may lose spatial details of the target, while Transformers struggle with local information processing, leading to reduced geometric detail of the target. To address these issues, this research presents a Global-Local Fusion network model (GLFUnet) based on the U-Net framework and attention mechanisms. The model employs a dual-branch network that utilizes ConvNeXt and Swin Transformer to simultaneously extract multi-level features from pathological images. It enhances ConvNeXt’s local feature extraction with spatial and global attention up-sampling modules, while improving Swin Transformer’s global context dependency with channel attention. The Attention Feature Fusion module and skip connections efficiently merge local detailed and global coarse features from CNN and Transformer branches at various scales. The fused features are then progressively restored to the original image resolution for pixel-level prediction. Comprehensive experiments on datasets of stomach and liver cancer demonstrate GLFUnet’s superior performance and adaptability in medical image segmentation, holding promise for clinical analysis and disease diagnosis. Full article
(This article belongs to the Section Biomedical Engineering)
Show Figures

Figure 1

Back to TopTop