Local Differential Privacy Image Generation Using Flow-Based Deep Generative Models
Abstract
:1. Introduction
- We adopt GLOW to disentangle image pixels and realize the -LDP algorithm for images (DP-GLOW).
- We generate -LDP-processed CXR images.
- We evaluate the usefulness of -LDP-processed CXR images using a pneumonia detection model.
- We visually confirm how the proposed method obscures identities in medical images.
2. Related Works
3. Materials and Methods
3.1. Dataset for CXR Images
3.2. Preliminary for GLOW
3.3. Our Framework: DP-GLOW
- Train GLOW (maximize the average logarithm likelihood) with many CXR images to obtain .
- Set the privacy budget .
- Compute sensitivity from the training CXR images following Equation (8).
- Map an image from the test CXR images set onto the latent vector .
- Clip following Equation (9).
- Add noise following Equation (6) to obtain .
- Clip following Equation (10).
- Map the clipped latent vector onto the CXR image space by to obtain a -LDP CXR image.
3.4. Hyperparameters
4. Results
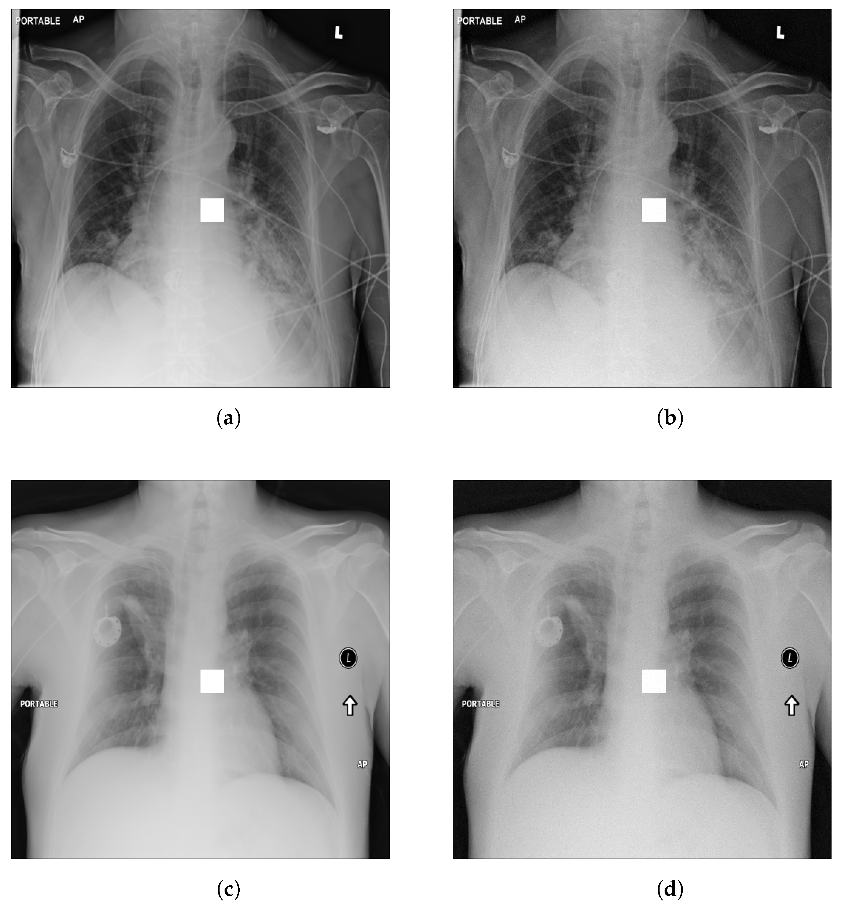
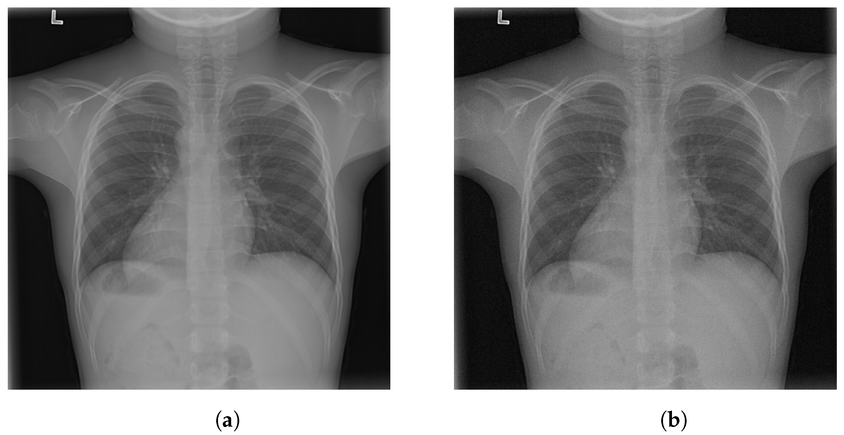
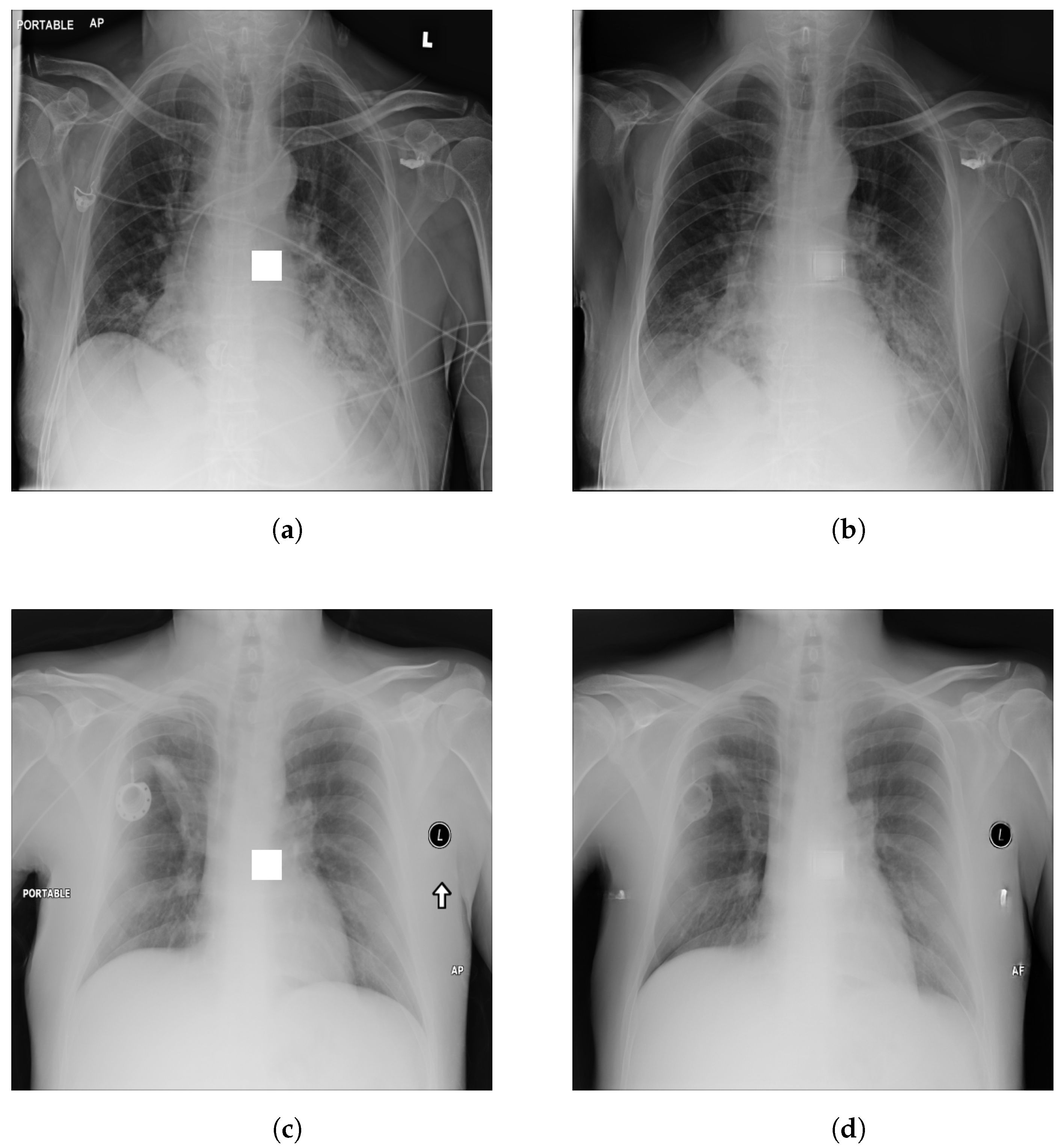
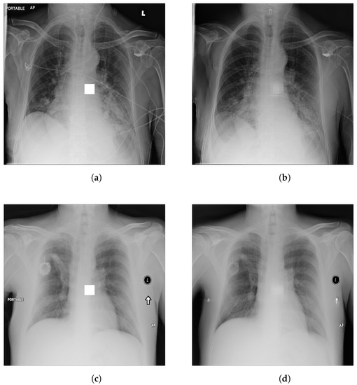
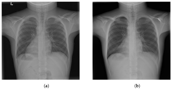
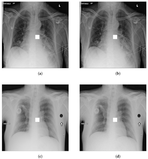
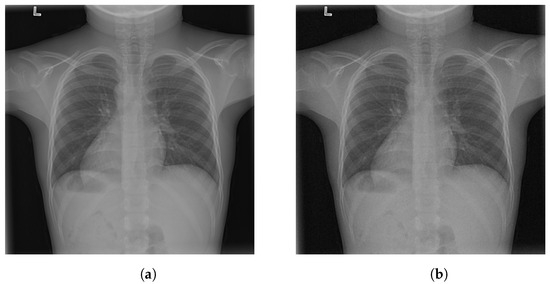
4.1. -LDP-Processed CXR Images
4.2. Qualitative Assessment of LDP-Processed CXR Images
4.3. Pneumonia Detection in -LDP-Processed CXR Images
5. Discussion
6. Conclusions
Author Contributions
Funding
Institutional Review Board Statement
Informed Consent Statement
Data Availability Statement
Acknowledgments
Conflicts of Interest
Abbreviations
| AI | Artificial Intelligence |
| AUC | Area Under the Curve |
| CXR | Chest X-Rays |
| DGM | Deep Generative Model |
| DP | Differential Privacy |
| GPU | Graphical Processing Unit |
| LDP | Local Differential Privacy |
| SGD | Stochastic Gradient Descent |
Appendix A. Pneumonia Detection with GLOW
References
- Alzheimer’s Disease Neuroimaging Initiative. Available online: https://adni.loni.usc.edu/ (accessed on 1 November 2022).
- Dwork, C. Differential privacy: A survey of results. In Proceedings of the International Conference on Theory and Applications of Models Of Computation, Xi’an, China, 25–29 April 2008; Springer: Berlin/Heidelberg, Germany, 2008; pp. 1–19. [Google Scholar]
- Erlingsson, Ú.; Pihur, V.; Korolova, A. Rappor: Randomized aggregatable privacy-preserving ordinal response. In Proceedings of the 2014 ACM SIGSAC Conference on Computer and Communications Security, Scottsdale, AZ, USA, 3–7 November 2014; pp. 1054–1067. [Google Scholar]
- Abadi, M.; Chu, A.; Goodfellow, I.; McMahan, H.B.; Mironov, I.; Talwar, K.; Zhang, L. Deep learning with differential privacy. In Proceedings of the 2016 ACM SIGSAC Conference on Computer and Communications Security, Vienna, Austria, 24–28 October 2016; pp. 308–318. [Google Scholar]
- Ziller, A.; Usynin, D.; Braren, R.; Makowski, M.; Rueckert, D.; Kaissis, G. Medical imaging deep learning with differential privacy. Sci. Rep. 2021, 11, 13524. [Google Scholar] [CrossRef] [PubMed]
- Kossen, T.; Hirzel, M.A.; Madai, V.I.; Boenisch, F.; Hennemuth, A.; Hildebrand, K.; Pokutta, S.; Sharma, K.; Hilbert, A.; Sobesky, J.; et al. Toward Sharing Brain Images: Differentially Private TOF-MRA Images with Segmentation Labels Using Generative Adversarial Networks. Front. Artif. Intell. 2022, 5, 85. [Google Scholar] [CrossRef] [PubMed]
- Fan, L. Image pixelization with differential privacy. In Proceedings of the IFIP Annual Conference on Data and Applications Security and Privacy, Bergamo, Italy, 16–18 July 2018; Springer: Berlin/Heidelberg, Germany, 2018; pp. 148–162. [Google Scholar]
- Fan, L. Differential privacy for image publication. In Proceedings of the Theory and Practice of Differential Privacy (TPDP) Workshop, London, UK, 11 November 2019; Volume 1, p. 6. [Google Scholar]
- Croft, W.L.; Sack, J.R.; Shi, W. Obfuscation of images via differential privacy: From facial images to general images. Netw. Appl. 2021, 14, 1705–1733. [Google Scholar] [CrossRef]
- Liu, B.; Ding, M.; Xue, H.; Zhu, T.; Ye, D.; Song, L.; Zhou, W. DP-Image: Differential Privacy for Image Data in Feature Space. arXiv 2021, arXiv:2103.07073. [Google Scholar]
- Li, T.; Clifton, C. Differentially private imaging via latent space manipulation. arXiv 2021, arXiv:2103.05472. [Google Scholar]
- Croft, W.L.; Sack, J.R.; Shi, W. Differentially private facial obfuscation via generative adversarial networks. Future Gener. Comput. Syst. 2022, 129, 358–379. [Google Scholar] [CrossRef]
- Kingma, D.P.; Dhariwal, P. Glow: Generative flow with invertible 1x1 convolutions. Adv. Neural Inf. Process. Syst. 2018, 31, 10236–10245. [Google Scholar]
- Shih, G.; Wu, C.C.; Halabi, S.S.; Kohli, M.D.; Prevedello, L.M.; Cook, T.S.; Sharma, A.; Amorosa, J.K.; Arteaga, V.; Galperin-Aizenberg, M.; et al. Augmenting the national institutes of health chest radiograph dataset with expert annotations of possible pneumonia. Radiol. Artif. Intell. 2019, 1, e180041. [Google Scholar] [CrossRef] [PubMed]
- Dinh, L.; Krueger, D.; Bengio, Y. Nice: Non-linear independent components estimation. arXiv 2014, arXiv:1410.8516. [Google Scholar]
- Dinh, L.; Sohl-Dickstein, J.; Bengio, S. Density estimation using real nvp. arXiv 2016, arXiv:1605.08803. [Google Scholar]
- Abadi, M.; Agarwal, A.; Barham, P.; Brevdo, E.; Chen, Z.; Citro, C.; Corrado, G.S.; Davis, A.; Dean, J.; Devin, M.; et al. Tensorflow: Large-scale machine learning on heterogeneous distributed systems. arXiv 2016, arXiv:1603.04467. [Google Scholar]
- Shibata, H.; Hanaoka, S.; Nakao, T.; Kikuchi, T.; Nakamura, Y.; Nomura, Y.; Yoshikawa, T.; Abe, O. Practical Medical Image Generation with Provable Privacy Protection based on Denoising Diffusion Probabilistic Models for High-resolution Volumetric Images. TechRxiv 2023. [Google Scholar] [CrossRef]
- Shibata, H.; Hanaoka, S.; Nomura, Y.; Nakao, T.; Sato, I.; Sato, D.; Hayashi, N.; Abe, O. Versatile anomaly detection method for medical images with semi-supervised flow-based generative models. Int. J. Comput. Assist. Radiol. Surg. 2021, 16, 2261–2267. [Google Scholar] [CrossRef] [PubMed]







| Set | Normal | Abnormal |
|---|---|---|
| 7808 | 0 | |
| 6553 | 6631 | |
| 1358 | 13,863 |
| Coupling Layer | Affine |
| Learn-top option | False |
| Flow permutation | 1 × 1 convolution |
| Minibatch size | 4 |
| Number of training samples per epoch | 50,000 |
| Network levels | 7 |
| Depth per level | 32 |
| Image size (in pixel) | H512 × W512 × C1 |
| Total epochs | 200 |
| Learning rate in steady state |
| AUC (ID-LDP) | AUC (DP-GLOW) | |
|---|---|---|
| ∞ (without clip) | 0.807 | 0.807 |
| 0.813 | 0.679 | |
| 0.559 | 0.665 | |
| 0.643 | 0.539 |
Disclaimer/Publisher’s Note: The statements, opinions and data contained in all publications are solely those of the individual author(s) and contributor(s) and not of MDPI and/or the editor(s). MDPI and/or the editor(s) disclaim responsibility for any injury to people or property resulting from any ideas, methods, instructions or products referred to in the content. |
© 2023 by the authors. Licensee MDPI, Basel, Switzerland. This article is an open access article distributed under the terms and conditions of the Creative Commons Attribution (CC BY) license (https://creativecommons.org/licenses/by/4.0/).
Share and Cite
Shibata, H.; Hanaoka, S.; Cao, Y.; Yoshikawa, M.; Takenaga, T.; Nomura, Y.; Hayashi, N.; Abe, O. Local Differential Privacy Image Generation Using Flow-Based Deep Generative Models. Appl. Sci. 2023, 13, 10132. https://doi.org/10.3390/app131810132
Shibata H, Hanaoka S, Cao Y, Yoshikawa M, Takenaga T, Nomura Y, Hayashi N, Abe O. Local Differential Privacy Image Generation Using Flow-Based Deep Generative Models. Applied Sciences. 2023; 13(18):10132. https://doi.org/10.3390/app131810132
Chicago/Turabian StyleShibata, Hisaichi, Shouhei Hanaoka, Yang Cao, Masatoshi Yoshikawa, Tomomi Takenaga, Yukihiro Nomura, Naoto Hayashi, and Osamu Abe. 2023. "Local Differential Privacy Image Generation Using Flow-Based Deep Generative Models" Applied Sciences 13, no. 18: 10132. https://doi.org/10.3390/app131810132
APA StyleShibata, H., Hanaoka, S., Cao, Y., Yoshikawa, M., Takenaga, T., Nomura, Y., Hayashi, N., & Abe, O. (2023). Local Differential Privacy Image Generation Using Flow-Based Deep Generative Models. Applied Sciences, 13(18), 10132. https://doi.org/10.3390/app131810132

