The Anti-Muscle Atrophy Effects of Ishige sinicola in LPS-Induced C2C12 Myotubes through Its Antioxidant and Anti-Inflammatory Actions
Abstract
1. Introduction
2. Materials and Methods
2.1. Chemical Reagents
2.2. Preparation of the Extraction and Fractions
2.3. Total Phenolic Content
2.4. DPPH Radical Scavenging Activity
2.5. ABTS Radical Scavenging Assay
2.6. Ferric Reducing Antioxidant Power Assay
2.7. Cell Culture and Differentiation
2.8. Cell Viability
2.9. C2C12 Myotube Diameter Measurement
2.10. Quantitative Real Time PCR (qRT-PCR)
2.11. Western Blot Analysis
2.12. Statistical Analysis
3. Results
3.1. Total Phenolic Content
3.2. Antioxidant Capacity
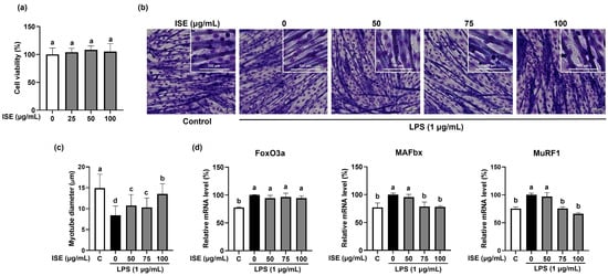
3.3. Effect of ISE on LPS-Induced C2C12 Myotube Atrophy
3.4. Effect of BuOH Fraction on LPS-Induced C2C12 Myotube Atrophy
3.5. Anti-Inflammatory Effects of ISE and BuOH Fraction through Inhibition of p38/ERK Signaling Pathway in LPS-Induced C2C12 Myotube Atrophy
4. Discussion
5. Conclusions
Author Contributions
Funding
Institutional Review Board Statement
Informed Consent Statement
Data Availability Statement
Conflicts of Interest
References
- Ceci, R.; Maldini, M.; Olson, M.E.; Crognale, D.; Horner, K.; Dimauro, I.; Sabatini, S.; Duranti, G. Moringa oleifera leaf extract protects C2C12 myotubes against H2O2-induced oxidative stress. Antioxidants 2022, 11, 1435. [Google Scholar] [CrossRef]
- Fang, W.Y.; Tseng, Y.T.; Lee, T.Y.; Fu, Y.C.; Chang, W.H.; Lo, W.W.; Lin, C.L.; Lo, Y.C. Triptolide prevents LPS-induced skeletal muscle atrophy via inhibiting NF-κB/TNF-α and regulating protein synthesis/degradation pathway. Br. J. Pharmacol. 2021, 178, 2998–3016. [Google Scholar] [CrossRef] [PubMed]
- Zhao, Y.; Jiang, Q.; Zhang, X.; Zhu, X.; Dong, X.; Shen, L.; Zhang, S.; Niu, L.; Chen, L.; Zhang, M. l-Arginine alleviates LPS-induced oxidative stress and apoptosis via activating SIRT1-AKT-nrf2 and SIRT1-FOXO3a signaling pathways in C2C12 myotube cells. Antioxidants 2021, 10, 1957. [Google Scholar] [CrossRef] [PubMed]
- KC, P.B.; Kang, B.S.; Jeoung, N.H. Butyrate Ameliorates Lipopolysaccharide-induced Myopathy through Inhibition of JNK Pathway and Improvement of Mitochondrial Function in C2C12 Cells. J. Life Sci. 2021, 31, 464–474. [Google Scholar]
- Fang, W.-Y.; Lin, C.-L.; Chang, W.-H.; Chang, C.-H.; Huang, Y.-C.; Tsai, Y.-H.; Chang, F.-R.; Lo, Y.-C. Protective Effects of the Chalcone-Based Derivative AN07 on Inflammation-Associated Myotube Atrophy Induced by Lipopolysaccharide. Int. J. Mol. Sci. 2022, 23, 12929. [Google Scholar] [CrossRef] [PubMed]
- Kang, M.-C.; Kim, K.-N.; Lakmal, H.C.; Kim, E.-A.; Wijesinghe, W.; Yang, X.; Heo, S.-J.; Jeon, Y.-J. Octaphlorethol A isolated from Ishige foliacea prevents and protects against high glucose-induced oxidative damage in vitro and in vivo. Environ. Toxicol. Pharmacol. 2014, 38, 607–615. [Google Scholar] [CrossRef]
- Kim, J.-H.; Park, G.-R.; Lee, D.-H.; XU, X.; Kim, G.-E.; Cho, K.-S.; Park, S.-H.; Kim, K.-B.-W.-R.; Kim, M.-J.; Ahn, D.-H. Anti-inflammatory effects of Ishige sinicola ethanol extract in LPS-induced RAW 264.7 cell and mouse model. Korean J. Food Preserv. 2017, 24, 1149–1157. [Google Scholar] [CrossRef][Green Version]
- Kim, K.-N.; Yang, H.-M.; Kang, S.-M.; Kim, D.; Ahn, G.; Jeon, Y.-J. Octaphlorethol A isolated from Ishige foliacea inhibits α-MSH-stimulated induced melanogenesis via ERK pathway in B16F10 melanoma cells. Food Chem. Toxicol. 2013, 59, 521–526. [Google Scholar] [CrossRef]
- Lee, S.-H.; Kang, S.-M.; Ko, S.-C.; Moon, S.-H.; Jeon, B.-T.; Lee, D.H.; Jeon, Y.-J. Octaphlorethol A: A potent α-glucosidase inhibitor isolated from Ishige foliacea shows an anti-hyperglycemic effect in mice with streptozotocin-induced diabetes. Food Funct. 2014, 5, 2602–2608. [Google Scholar] [CrossRef]
- Baek, S.H.; Cao, L.; Jeong, S.J.; Kim, H.-R.; Nam, T.J.; Lee, S.G. The comparison of total phenolics, total antioxidant, and anti-tyrosinase activities of Korean Sargassum species. J. Food Qual. 2021, 2021, 6640789. [Google Scholar] [CrossRef]
- Albuquerque, B.R.; Heleno, S.A.; Oliveira, M.B.P.; Barros, L.; Ferreira, I.C. Phenolic compounds: Current industrial applications, limitations and future challenges. Food Funct. 2021, 12, 14–29. [Google Scholar] [CrossRef] [PubMed]
- Powers, S.K. Can antioxidants protect against disuse muscle atrophy? Sports Med. 2014, 44, 155–165. [Google Scholar] [CrossRef] [PubMed]
- Suzuki, N.; Motohashi, N.; Uezumi, A.; Fukada, S.-i.; Yoshimura, T.; Itoyama, Y.; Aoki, M.; Miyagoe-Suzuki, Y.; Takeda, S.i. NO production results in suspension-induced muscle atrophy through dislocation of neuronal NOS. J. Clin. Investig. 2007, 117, 2468–2476. [Google Scholar] [CrossRef]
- Ji, Y.; Li, M.; Chang, M.; Liu, R.; Qiu, J.; Wang, K.; Deng, C.; Shen, Y.; Zhu, J.; Wang, W. Inflammation: Roles in skeletal muscle atrophy. Antioxidants 2022, 11, 1686. [Google Scholar] [CrossRef] [PubMed]
- Ueno, M.; Maeshige, N.; Hirayama, Y.; Yamaguchi, A.; Ma, X.; Uemura, M.; Kondo, H.; Fujino, H. Pulsed ultrasound prevents lipopolysaccharide-induced muscle atrophy through inhibiting p38 MAPK phosphorylation in C2C12 myotubes. Biochem. Biophys. Res. Commun. 2021, 570, 184–190. [Google Scholar] [CrossRef]
- Lee, D.-Y.; Chun, Y.-S.; Kim, J.-K.; Lee, J.-O.; Lee, Y.-J.; Ku, S.-K.; Shim, S.-M. Curcumin ameliorated oxidative stress and inflammation-related muscle disorders in C2C12 myoblast cells. Antioxidants 2021, 10, 476. [Google Scholar] [CrossRef] [PubMed]
- Ali, I.; Manzoor, Z.; Koo, J.-E.; Moon, S.-R.; Byeon, S.-H.; Yoo, E.-S.; Kang, H.-K.; Hyun, J.-W.; Lee, N.-H.; Koh, Y.-S. Monoolein, isolated from Ishige sinicola, inhibits lipopolysaccharide-induced inflammatory response by attenuating mitogen-activated protein kinase and NF-κB pathways. Food Sci. Biotechnol. 2017, 26, 507–511. [Google Scholar] [CrossRef]
- Heo, S.-J.; Cha, S.-H.; Lee, K.-W.; Cho, S.-M.K.; Jeon, Y.-J. Antioxidant activities of chlorophyta and phaeophyta from Jeju Island. Algae 2005, 20, 251–260. [Google Scholar] [CrossRef]
- Sartori, R.; Romanello, V.; Sandri, M. Mechanisms of muscle atrophy and hypertrophy: Implications in health and disease. Nat. Commun. 2021, 12, 330. [Google Scholar] [CrossRef]
- Milan, G.; Romanello, V.; Pescatore, F.; Armani, A.; Paik, J.-H.; Frasson, L.; Seydel, A.; Zhao, J.; Abraham, R.; Goldberg, A.L. Regulation of autophagy and the ubiquitin–proteasome system by the FoxO transcriptional network during muscle atrophy. Nat. Commun. 2015, 6, 6670. [Google Scholar] [CrossRef]
- Pomiès, P.; Blaquière, M.; Maury, J.; Mercier, J.; Gouzi, F.; Hayot, M. Involvement of the FoxO1/MuRF1/Atrogin-1 signaling pathway in the oxidative stress-induced atrophy of cultured chronic obstructive pulmonary disease myotubes. PLoS ONE 2016, 11, e0160092. [Google Scholar] [CrossRef] [PubMed]
- Zheng, B.; Ohkawa, S.; Li, H.; Roberts-Wilson, T.K.; Price, S.R. FOXO3a mediates signaling crosstalk that coordinates ubiquitin and atrogin-1/MAFbx expression during glucocorticoid-induced skeletal muscle atrophy. FASEB J. 2010, 24, 2660. [Google Scholar] [CrossRef] [PubMed]
- Hemdan, D.I.I.; Hirasaka, K.; Nakao, R.; Kohno, S.; Kagawa, S.; Abe, T.; Harada-Sukeno, A.; Okumura, Y.; Nakaya, Y.; Terao, J. Polyphenols prevent clinorotation-induced expression of atrogenes in mouse C2C12 skeletal myotubes. J. Med. Investig. 2009, 56, 26–32. [Google Scholar] [CrossRef] [PubMed]
- Hah, Y.-S.; Lee, W.K.; Lee, S.-J.; Lee, S.Y.; Seo, J.-H.; Kim, E.J.; Choe, Y.-I.; Kim, S.G.; Yoo, J.-I. Rutin Prevents Dexamethasone-Induced Muscle Loss in C2C12 Myotube and Mouse Model by Controlling FOXO3-Dependent Signaling. Antioxidants 2023, 12, 639. [Google Scholar] [CrossRef]
- Kim, Y.I.; Lee, H.; Nirmala, F.S.; Seo, H.-D.; Ha, T.Y.; Jung, C.H.; Ahn, J. Antioxidant activity of Valeriana fauriei protects against dexamethasone-induced muscle atrophy. Oxidative Med. Cell. Longev. 2022, 2022, 3645431. [Google Scholar] [CrossRef]
- Londhe, P.; Guttridge, D.C. Inflammation induced loss of skeletal muscle. Bone 2015, 80, 131–142. [Google Scholar] [CrossRef]
- Ha, S.-E.; Bhagwan Bhosale, P.; Kim, H.-H.; Park, M.-Y.; Abusaliya, A.; Kim, G.-S.; Kim, J.-A. Apigetrin Abrogates Lipopolysaccharide-Induced Inflammation in L6 Skeletal Muscle Cells through NF-κB/MAPK Signaling Pathways. Curr. Issues Mol. Biol. 2022, 44, 2635–2645. [Google Scholar] [CrossRef]
- Ryu, Y.; Lee, D.; Jung, S.H.; Lee, K.-J.; Jin, H.; Kim, S.J.; Lee, H.M.; Kim, B.; Won, K.-J. Sabinene prevents skeletal muscle atrophy by inhibiting the MAPK–MuRF-1 pathway in rats. Int. J. Mol. Sci. 2019, 20, 4955. [Google Scholar] [CrossRef]
- Huang, N.; Kny, M.; Riediger, F.; Busch, K.; Schmidt, S.; Luft, F.C.; Slevogt, H.; Fielitz, J. Deletion of Nlrp3 protects from inflammation-induced skeletal muscle atrophy. Intensive Care Med. Exp. 2017, 5, 3. [Google Scholar] [CrossRef]





| Primer | F/R | Sequences (5′ to 3′ Direction) |
|---|---|---|
| FoxO3a | F | GAG TGA CTC CAG CAG CCT TG |
| R | ATT CCA AGC TCC CAT TGA AC | |
| MuRF1 | F | TGG AAA CGC TAT GGA GAA CC |
| R | AAC GAC CTC CAG ACA TGG AC | |
| MAFbx | F | CTC TGC TGT GAG TGC CAC AT |
| R | CAA TGA GCC TGG GTA CCA CT | |
| IL-6 | F | CCC ACC AAG AAC GAT AGT CA |
| R | CTC CGA CTT GTG AAG TGG TA | |
| IL-1β | F | GTC ACA AGA AAC CAT GGC ACA T |
| R | GCC CAT CAG AGG CAA GGA | |
| iNOS | F | AAT CTT GGA GCG AGT TGT GG |
| R | CAG GAA GTA GGT GAG GGC TTG | |
| COX-2 | F | GCC TAC TAC AAG TGT TTC TTT TTG CA |
| R | CAT TTT GTT TGA TTG TTC ACA CCA T | |
| GAPDH | F | GGT GGT CTC CTC TGA CTT CAA CA |
| R | GTT GCT GTA GCC AAA TTC GTT GT |
| Extract/Fractions | Extraction Yield | TPC(mg PGE/g) | ABTS(mg VCE/g) | DPPH(mg VCE/g) | FRAP(mM FSE/g) | |
|---|---|---|---|---|---|---|
| % (w/w) | g | |||||
| ISE | 15.00 | 75.00 | 76.29 ± 8.95 b | 119.26 ± 9.28 b | 44.85 ± 5.96 b | 0.12 ± 0.01 b |
| Hex | 13.87 | 6.25 | 10.16 ± 0.00 c | 18.21 ± 4.43 c | 11.63 ± 0.38 c | 0.04 ± 0.00 c |
| CHCl3 | 4.32 | 1.95 | 20.38 ± 0.99 c | 25.40 ± 3.86 c | 12.21 ± 1.36 c | 0.05 ± 0.01 c |
| EtOAc | 5.31 | 2.40 | 88.01 ± 9.82 b | 120.32 ± 8.14 b | 53.29 ± 6.84 b | 0.15 ± 0.01 b |
| BuOH | 4.26 | 1.92 | 188.44 ± 11.77 a | 286.25 ± 14.61 a | 82.14 ± 12.13 a | 0.40 ± 0.05 a |
| H2O | 29.08 | 13.11 | 77.58 ± 3.08 b | 109.26 ± 8.94 b | 36.76 ± 3.49 b | 0.16 ± 0.01 b |
| Antioxidant Activity | TPC | ABTS Assay | DPPH Assay | FRAP Assay |
|---|---|---|---|---|
| TPC | 1 | 1.00 (p < 0.01) | 0.98 (p < 0.01) | 0.99 (p < 0.01) |
| ABTS assay | 1 | 0.97 (p < 0.01) | 0.99 (p < 0.01) | |
| DPPH assay | 1 | 0.94 (p < 0.01) | ||
| FRAP assay | 1 |
Disclaimer/Publisher’s Note: The statements, opinions and data contained in all publications are solely those of the individual author(s) and contributor(s) and not of MDPI and/or the editor(s). MDPI and/or the editor(s) disclaim responsibility for any injury to people or property resulting from any ideas, methods, instructions or products referred to in the content. |
© 2023 by the authors. Licensee MDPI, Basel, Switzerland. This article is an open access article distributed under the terms and conditions of the Creative Commons Attribution (CC BY) license (https://creativecommons.org/licenses/by/4.0/).
Share and Cite
Kim, M.-B.; Lee, H.; Lee, C.; Tan, Y.; Lee, S.G. The Anti-Muscle Atrophy Effects of Ishige sinicola in LPS-Induced C2C12 Myotubes through Its Antioxidant and Anti-Inflammatory Actions. Appl. Sci. 2023, 13, 10115. https://doi.org/10.3390/app131810115
Kim M-B, Lee H, Lee C, Tan Y, Lee SG. The Anti-Muscle Atrophy Effects of Ishige sinicola in LPS-Induced C2C12 Myotubes through Its Antioxidant and Anti-Inflammatory Actions. Applied Sciences. 2023; 13(18):10115. https://doi.org/10.3390/app131810115
Chicago/Turabian StyleKim, Mi-Bo, Hyeju Lee, Chaehyeon Lee, Yuqing Tan, and Sang Gil Lee. 2023. "The Anti-Muscle Atrophy Effects of Ishige sinicola in LPS-Induced C2C12 Myotubes through Its Antioxidant and Anti-Inflammatory Actions" Applied Sciences 13, no. 18: 10115. https://doi.org/10.3390/app131810115
APA StyleKim, M.-B., Lee, H., Lee, C., Tan, Y., & Lee, S. G. (2023). The Anti-Muscle Atrophy Effects of Ishige sinicola in LPS-Induced C2C12 Myotubes through Its Antioxidant and Anti-Inflammatory Actions. Applied Sciences, 13(18), 10115. https://doi.org/10.3390/app131810115

