Efficacy Confirmation Test of Immature Asian Pear (Pyrus pyrifolia Nakai) Extract on Ovalbumin-Induced Asthma in Mice
Abstract
:1. Introduction
2. Materials and Methods
2.1. Test Material
2.2. HPLC Analyses
2.3. Laboratory Animals
- Intact vehicle control: Vehicle-treated normal control mice;
- OVA control: OVA-sensitized and boosted mice with oral administration of vehicle;
- DEXA: OVA-sensitized and boosted mice with oral administration of 0.75 mg/kg of DEXA;
- IAP400: OVA-sensitized and boosted mice with oral administration of 400 mg/kg of IAP extract;
- IAP200: OVA-sensitized and boosted mice with oral administration of 200 mg/kg of IAP extract;
- IAP100: OVA-sensitized and boosted mice with oral administration of 100 mg/kg of IAP extract.
2.4. Induction of Asthma
2.5. Administration of Test Material
2.6. Removal of Lung Tissue
2.7. Observation Items
2.7.1. Body Weight and Weight Gain
2.7.2. Lung Gross Necropsy Findings
2.7.3. BALF Leukocyte Fractionation
2.7.4. Histopathological Changes in Lung Tissue
2.7.5. mRNA Expression in Lung Tissue
2.8. Statistical Analysis
3. Results
3.1. Arbutin Content in IAP Extract
3.2. Changes in Body Weight
3.3. Lung Gross Necropsy Findings and Changes in Lung Weight
3.4. Changes in Total Cell Count, Total Leukocyte Count, and Leukocyte Count in BALF
3.5. Changes in Serum OVA-sIg E Content
3.6. Changes in Cytokine IL-4 and IL-5 Contents in BALF and Lung Tissue
3.7. Changes in Oxidative Stress and Inflammation-Related Gene Expressions in Lung Tissue
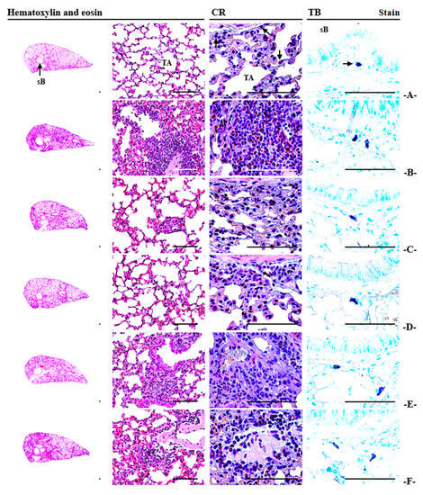
3.8. Histopathological Changes in Lung Tissues
4. Discussion
5. Conclusions
Supplementary Materials
Author Contributions
Funding
Institutional Review Board Statement
Informed Consent Statement
Data Availability Statement
Conflicts of Interest
Abbreviations
References
- Takeda, K.; Thurman, J.M.; Tomlinson, S.; Okamoto, M.; Shiraishi, Y.; Ferreira, V.P.; Cortes, C.; Pangburn, M.K.; Holers, V.M.; Gelfand, E.W. The critical role of complement alternative pathway regulator factor H in allergen-induced airway hyperresponsiveness and inflammation. J. Immunol. 2012, 188, 661–667. [Google Scholar] [CrossRef]
- Holgate, S.T. The airway epithelium is central to the pathogenesis of asthma. Allergol. Int. 2008, 57, 1–10. [Google Scholar] [CrossRef] [PubMed]
- Bochner, B.S.; Rothenberg, M.E.; Boyce, J.A.; Finkelman, F. Advances in mechanisms of allergy and clinical immunology in 2012. J. Allergy Clin. Immunol. 2013, 131, 661–667. [Google Scholar] [CrossRef]
- Braman, S.S. The global burden of asthma. Chest 2006, 130, 4S–12S. [Google Scholar] [CrossRef]
- Li, Y.; Chen, S.; Chi, Y.; Yang, Y.; Chen, X.; Wang, H.; Lv, Z.; Wang, J.; Yuan, L.; Huang, P.; et al. Kinetics of the accumulation of group 2 innate lymphoid cells in IL-33-induced and IL-25-induced murine models of asthma: A potential role for the chemokine CXCL16. Cell. Mol. Immunol. 2019, 16, 75–86. [Google Scholar] [CrossRef] [PubMed]
- Song, Y.; Wang, Z.; Jiang, J.; Piao, Y.; Li, L.; Xu, C.; Piao, H.; Li, L.; Yan, G. DEK-targeting aptamer DTA-64 attenuates bronchial EMT-mediated airway remodeling by suppressing TGF-β1/Smad, MAPK and PI3K signaling pathway in asthma. J. Cell. Mol. Med. 2020, 24, 13739–13750. [Google Scholar] [CrossRef]
- Tirpude, N.V.; Sharma, A.; Joshi, R.; Kumari, M.; Acharya, V. Vitex negundo Linn. extract alleviates inflammatory aggravation and lung injury by modulating AMPK/PI3K/Akt/p38-NF-κB and TGF-β/Smad/Bcl2/caspase/LC3 cascade and macrophages activation in murine model of OVA-LPS induced allergic asthma. J. Ethnopharmacol. 2021, 271, 113894. [Google Scholar] [CrossRef]
- Liu, X.; Yu, D.; Wang, T. Sappanone A attenuates allergic airway inflammation in ovalbumin-induced asthma. Int. Arch. Allergy Immunol. 2016, 170, 180–186. [Google Scholar] [CrossRef]
- Liang, P.; Peng, S.; Zhang, M.; Ma, Y.; Zhen, X.; Li, H. Huai Qi Huang corrects the balance of Th1/Th2 and Treg/Th17 in an ovalbumin-induced asthma mouse model. Biosci. Rep. 2017, 37, BSR20171071. [Google Scholar] [CrossRef] [PubMed]
- Venturini, C.L.; Macho, A.; Arunachalam, K.; de Almeida, D.A.T.; Rosa, S.I.G.; Pavan, E.; Balogun, S.O.; Damazo, A.S.; Martins, D.T.O. Vitexin inhibits inflammation in murine ovalbumin-induced allergic asthma. Biomed. Pharmacother. 2018, 97, 143–151. [Google Scholar] [CrossRef]
- Jie, Z.; Jin, M.; Cai, Y.; Bai, C.; Shen, Y.; Yuan, Z.; Hu, Y.; Holgate, S. The effects of Th2 cytokines on the expression of ADAM33 in allergen-induced chronic airway inflammation. Respir. Physiol. Neurobiol. 2009, 168, 289–294. [Google Scholar] [CrossRef]
- Deo, S.S.; Mistry, K.J.; Kakade, A.M.; Niphadkar, P.V. Role played by Th2 type cytokines in IgE mediated allergy and asthma. Lung India 2010, 27, 66–71. [Google Scholar] [CrossRef]
- Simon, D.; Braathen, L.R.; Simon, H.U. Eosinophils and atopic dermatitis. Allergy 2004, 59, 561–570. [Google Scholar] [CrossRef]
- Cameron, L.; Christodoulopoulos, P.; Lavigne, F.; Nakamura, Y.; Eidelman, D.; McEuen, A.; Walls, A.; Tavernier, J.; Minshall, E.; Moqbel, R.; et al. Evidence for local eosinophil differentiation within allergic nasal mucosa: Inhibition with soluble IL-5 receptor. J. Immunol. 2000, 164, 1538–1545. [Google Scholar] [CrossRef] [PubMed]
- Rana, S.; Shahzad, M.; Shabbir, A. Pistacia integerrima ameliorates airway inflammation by attenuation of TNF-α, IL-4, and IL-5 expression levels, and pulmonary edema by elevation of AQP1 and AQP5 expression levels in mouse model of ovalbumin-induced allergic asthma. Phytomedicine 2016, 23, 838–845. [Google Scholar] [CrossRef]
- Inam, A.; Shahzad, M.; Shabbir, A.; Shahid, H.; Shahid, K.; Javeed, A. Carica papaya ameliorates allergic asthma via down regulation of IL-4, IL-5, eotaxin, TNF-α, NF-ĸB, and iNOS levels. Phytomedicine 2017, 32, 1–7. [Google Scholar] [CrossRef] [PubMed]
- Choi, M.S.; Park, S.; Choi, T.; Lee, G.; Haam, K.K.; Hong, M.C.; Min, B.I.; Bae, H. Bee venom ameliorates ovalbumin induced allergic asthma via modulating CD4 + CD25+ regulatory T cells in mice. Cytokine 2013, 61, 256–265. [Google Scholar] [CrossRef] [PubMed]
- Habibian, R.; Delirezh, N.; Farshid, A.A. The effects of bone marrow-derived mesenchymal stem cells on ovalbumin-induced allergic asthma and cytokine responses in mice. Iran. J. Basic Med. Sci. 2018, 21, 483–488. [Google Scholar] [PubMed]
- Kwon, O.K.; Ahn, K.S.; Lee, M.Y.; Kim, S.Y.; Park, B.Y.; Kim, M.K.; Lee, I.Y.; Oh, S.R.; Lee, H.K. Inhibitory effect of kefiran on ovalbumin-induced lung inflammation in a murine model of asthma. Arch. Pharm. Res. 2008, 31, 1590–1596. [Google Scholar] [CrossRef]
- Ku, S.K.; Kim, J.W.; Cho, H.R.; Kim, K.Y.; Min, Y.H.; Park, J.H.; Kim, J.S.; Park, J.H.; Seo, B.I.; Roh, S.S. Effect of β-glucan originated from Aureobasidium pullulans on asthma induced by ovalbumin in mouse. Arch. Pharm. Res. 2012, 35, 1073–1081. [Google Scholar] [CrossRef]
- Min, B.G.; Park, S.M.; Choi, Y.W.; Ku, S.K.; Cho, I.J.; Kim, Y.W.; Byun, S.H.; Park, C.A.; Park, S.J.; Na, M.; et al. Effects of Pelargonium sidoides and Coptis rhizoma 2 : 1 mixed formula (PS + CR) on ovalbumin-induced asthma in mice. eCAM 2020, 2020, 9135637. [Google Scholar] [CrossRef] [PubMed]
- Piao, C.H.; Fan, Y.J.; Nguyen, T.V.; Song, C.H.; Chai, O.H. Mangiferin alleviates ovalbumin-induced allergic rhinitis via Nrf2/HO-1/NF-κB signaling pathways. Int. J. Mol. Sci. 2020, 21, 3415. [Google Scholar] [CrossRef]
- Wang, P.; Liu, H.; Fan, X.; Zhu, Z.; Zhu, Y. Effect of San’ao decoction on aggravated asthma mice model induced by PM2.5 and TRPA1/TRPV1 expressions. J. Ethnopharmacol. 2019, 236, 82–90. [Google Scholar] [CrossRef] [PubMed]
- André, D.M.; Horimoto, C.M.; Calixto, M.C.; Alexandre, E.C.; Antunes, E. Epigallocatechin-3-gallate protects against the exacerbation of allergic eosinophilic inflammation associated with obesity in mice. Int. Immunopharmacol. 2018, 62, 212–219. [Google Scholar] [CrossRef]
- Devipriya, D.; Gowri, S.; Nideesh, T.R. Hepatoprotective effect of Pterocarpus marsupium against carbon tetrachloride induced damage in albino rats. Anc. Sci. Life 2007, 27, 19–25. [Google Scholar] [PubMed]
- Kim, H.S.; Park, S.I.; Choi, S.H.; Song, C.H.; Park, S.J.; Shin, Y.K.; Han, C.H.; Lee, Y.J.; Ku, S.K. Single oral dose toxicity test of blue honeysuckle concentrate in mice. Toxicol. Res. 2015, 31, 61–68. [Google Scholar] [CrossRef]
- Lin, L.Z.; Harnly, J.M. Phenolic compounds and chromatographic profiles of pear skins (Pyrus spp.). J. Agric. Food Chem. 2008, 56, 9094–9101. [Google Scholar] [CrossRef] [PubMed]
- Lee, K.H.; Cho, J.Y.; Lee, H.J.; Ma, Y.K.; Kwon, J.; Park, S.H.; Lee, S.H.; Cho, J.A.; Kim, W.S.; Park, K.H.; et al. Hydroxycinnamoylmalic acids and their methyl esters from pear (Pyrus pyrifolia Nakai) fruit peel. J. Agric. Food Chem. 2011, 59, 10124–10128. [Google Scholar] [CrossRef]
- Cho, J.Y.; Kim, C.H.; Lee, H.J.; Lee, S.H.; Cho, J.A.; Kim, W.S.; Park, K.H.; Moon, J.H. Caffeoyl triterpenes from pear (Pyrus pyrifolia Nakai) fruit peels and their antioxidative activities against oxidation of rat blood plasma. J. Agric. Food Chem. 2013, 61, 4563–4569. [Google Scholar] [CrossRef]
- Lee, K.H.; Cho, J.Y.; Lee, H.J.; Park, K.Y.; Ma, Y.K.; Lee, S.H.; Cho, J.A.; Kim, W.S.; Park, K.H.; Moon, J.H. Isolation and identification of phenolic compounds from an Asian pear (Pyrus pyrifolia Nakai) fruit peel. Food Sci. Biotechnol. 2011, 20, 1539–1545. [Google Scholar] [CrossRef]
- Lee, Y.G.; Cho, J.Y.; Kim, C.M.; Jeong, H.Y.; Lee, D.I.; Kim, S.R.; Lee, S.H.; Kim, W.S.; Park, K.H.; Moon, J.H. Isolation and identification of 3 low-molecular compounds from pear (Pyrus pyrifolia Nakai cv. Chuhwangbae) fruit peel. Korean J. Food Sci. Technol. 2013, 45, 174–179. [Google Scholar] [CrossRef]
- Lee, Y.G.; Cho, J.Y.; Kim, C.M.; Lee, S.H.; Kim, W.S.; Jeon, T.I.; Park, K.H.; Moon, J.H. Coumaroyl quinic acid derivatives and flavonoids from immature pear (Pyrus pyrifolia Nakai) fruit. Food Sci. Biotechnol. 2013, 22, 803–810. [Google Scholar] [CrossRef]
- Cho, J.Y.; Lee, Y.G.; Lee, S.H.; Kim, W.S.; Park, K.H.; Moon, J.H. An ether and three ester derivatives of phenylpropanoid from pear (Pyrus pyrifolia Nakai cv. Chuhwangbae) fruit and their radical-scavenging activity. Food Sci. Biotechnol. 2014, 23, 253–259. [Google Scholar] [CrossRef]
- Cho, J.Y.; Kim, E.H.; Yun, H.R.; Jeong, H.Y.; Lee, Y.G.; Kim, W.S.; Moon, J.H. Change in chemical constituents and free radical-scavenging activity during pear (Pyrus pyrifolia) cultivar fruit development. Biosci. Biotechnol. Bioch. 2015, 79, 260–270. [Google Scholar] [CrossRef] [PubMed]
- Lee, S.W.; Cho, J.Y.; Jeong, H.Y.; Na, T.W.; Lee, S.H.; Moon, J.H. Enhancement of antioxidative and antimicrobial activities of immature pear (Pyrus pyrifolia cv. Niitaka) fruits by fermentation with Leuconostoc mesenteroides. Food Sci. Biotechnol. 2016, 25, 1719–1726. [Google Scholar] [CrossRef] [PubMed]
- Cho, J.Y.; Park, K.Y.; Lee, K.H.; Lee, H.J.; Lee, S.H.; Cho, J.A.; Kim, W.S.; Shin, S.C.; Park, K.H.; Moon, J.H. Recovery of arbutin in high purity from fruit peels of pear (Pyrus pyrifolia Nakai). Food Sci. Biotechnol. 2011, 20, 801–807. [Google Scholar] [CrossRef]
- Lee, H.S.; Isse, T.; Kawamoto, T.; Woo, H.S.; Kim, A.K.; Park, J.Y.; Yang, M. Effects and action mechanisms of Korean pear (Pyrus pyrifolia cv. Shingo) on alcohol detoxification. Phytother. Res. 2012, 26, 1753–1758. [Google Scholar] [CrossRef]
- Lee, H.S.; Isse, T.; Kawamoto, T.; Baik, H.W.; Park, J.Y.; Yang, M. Effect of Korean pear (Pyrus pyrifolia cv. Shingo) juice on hangover severity following alcohol consumption. Food Chem. Toxicol. 2013, 58, 101–106. [Google Scholar] [CrossRef]
- Park, S.M.; Jung, C.J.; Lee, D.G.; Choi, B.R.; Ku, T.H.; La, I.J.; Cho, I.J.; Ku, S.K. Adenophora stricta root extract protects lung injury from exposure to particulate matter 2.5 in mice. Antioxidants 2022, 11, 1376. [Google Scholar] [CrossRef]
- Negara, B.F.S.P.; Kim, J.W.; Bashir, K.M.I.; Lee, J.H.; Ku, M.U.; Kim, K.Y.; Shin, S.; Hong, E.J.; Ku, S.K.; Choi, J.S. Expectorant effects of immature Asian pear extract on PM2.5-induced subacute pulmonary injury in mice. J. Food Biochem. 2023, 2023, 5671679. [Google Scholar] [CrossRef]
- Chen, Y.; Xi, Y.; Li, M.; Wu, Y.; Yan, W.; Dai, J.; Wu, M.; Ding, W.; Zhang, J.; Zhang, F.; et al. Maternal exposure to PM2.5 decreases ovarian reserve in neonatal offspring mice through activating PI3K/AKT/FoxO3a pathway and ROS-dependent NF-κB pathway. Toxicology 2022, 481, 153352. [Google Scholar] [CrossRef]
- Guo, Y.; Cao, Z.; Jiao, X.; Bai, D.; Zhang, Y.; Hua, J.; Liu, W.; Teng, X. Pre-pregnancy exposure to fine particulate matter (PM2.5) increases reactive oxygen species production in oocytes and decrease litter size and weight in mice. Environ. Pollut. 2021, 268, 115858. [Google Scholar] [CrossRef]
- Hu, J.R.; Jung, C.J.; Ku, S.M.; Jung, D.H.; Ku, S.K.; Choi, J.-S. Antitussive, expectorant, and anti-inflammatory effects of Adenophorae Radix powder in ICR mice. J. Ethnopharmacol. 2019, 239, 111915. [Google Scholar] [CrossRef] [PubMed]
- Hu, J.R.; Jung, C.J.; Ku, S.M.; Jung, D.H.; Bashir, K.M.I.; Ku, S.-K.; Choi, J.-S. Anti-inflammatory, expectorant, and antitussive properties of Kyeongok-go in ICR mice. Pharm. Biol. 2021, 59, 321–334. [Google Scholar] [CrossRef]
- Bashir, K.M.I.; Kim, J.W.; Kim, J.-K.; Chun, Y.-S.; Choi, J.-S.; Ku, S.-K. Efficacy confirmation test of black cumin (Nigella sativa L.) seeds extract using a high-fat diet mouse model. Metabolites 2023, 13, 501. [Google Scholar] [CrossRef] [PubMed]
- Glynos, C.; Bibli, S.I.; Katsaounou, P.; Pavlidou, A.; Magkou, C.; Karavana, V.; Topouzis, S.; Kalomenidis, I.; Zakynthinos, S.; Papapetropoulos, A. Comparison of the effects of e-cigarette vapor with cigarette smoke on lung function and inflammation in mice. Am. J. Physiol. Lung Cell. Mol. Physiol. 2018, 315, L662–L672. [Google Scholar] [CrossRef] [PubMed]
- Shu, J.; Li, D.; Ouyang, H.; Huang, J.; Long, Z.; Liang, Z.; Chen, Y.; Chen, Y.; Zheng, Q.; Kuang, M.; et al. Comparison and evaluation of two different methods to establish the cigarette smoke exposure mouse model of COPD. Sci. Rep. 2017, 7, 15454. [Google Scholar] [CrossRef]
- Deng, X.; Rui, W.; Zhang, F.; Ding, W. PM2.5 induces Nrf2-mediated defense mechanisms against oxidative stress by activating PIK3/AKT signaling pathway in human lung alveolar epithelial A549 cells. Cell Biol. Toxicol. 2013, 29, 143–157. [Google Scholar] [CrossRef]
- Duong, C.; Seow, H.J.; Bozinovski, S.; Crack, P.J.; Anderson, G.P.; Vlahos, R. Glutathione peroxidase-1 protects against cigarette smoke-induced lung inflammation in mice. Am. J. Physiol. Lung Cell. Mol. Physiol. 2010, 299, L425–L433. [Google Scholar] [CrossRef]
- Schmittgen, T.; Livak, K. Analyzing real-time PCR data by the comparative CT method. Nat. Protoc. 2008, 3, 1101–1108. [Google Scholar] [CrossRef]
- Piper, S.L.; Laron, D.; Manzano, G.; Pattnaik, T.; Liu, X.; Kim, H.T.; Feeley, B.T. A comparison of lidocaine, ropivacaine and dexamethasone toxicity on bovine tenocytes in culture. J. Bone Jt. Surg. Br. 2012, 94, 856–862. [Google Scholar] [CrossRef]
- Fox, J.G.; Cohen, B.J.; Loew, F.M. Laboratory Animal Medicine; Academic Press Inc.: Orlando, FL, USA, 1984. [Google Scholar]
- Tajima, Y. Biological Reference Data Book on Experimental Animals; Soft Science Inc.: Tokyo, Japan, 1989. [Google Scholar]
- Tumes, D.J.; Cormie, J.; Calvert, M.G.; Stewart, K.; Nassenstein, C.; Braun, A.; Foster, P.S.; Dent, L.A. Strain-dependent resistance to allergen-induced lung pathophysiology in mice correlates with rate of apoptosis of lung-derived eosinophils. J. Leukoc. Biol. 2007, 81, 1362–1373. [Google Scholar] [CrossRef]
- Okada, S.; Kita, H.; George, T.J.; Gleich, G.J.; Leiferman, K.M. Migration of eosinophils through basement membrane components in vitro: Role of matrix metalloproteinase-9. Am. J. Respir. Cell Mol. Biol. 1997, 17, 519–528. [Google Scholar] [CrossRef]
- Abdelaziz, R.R.; Elmahdy, M.K.; Suddek, G.M. Flavocoxid attenuates airway inflammation in ovalbumin-induced mouse asthma model. Chem. Biol. Interact. 2018, 292, 15–23. [Google Scholar] [CrossRef] [PubMed]
- Tillie-Leblond, I.; Gosset, P.; Le Berre, R.; Janin, A.; Prangère, T.; Tonnel, A.B.; Guery, B.P. Keratinocyte growth factor improves alterations of lung permeability and bronchial epithelium in allergic rats. Eur. Respir. J. 2007, 30, 31–39. [Google Scholar] [CrossRef] [PubMed]
- Chu, X.; Wei, M.; Yang, X.; Cao, Q.; Xie, X.; Guan, M.; Wang, D.; Deng, X. Effects of an anthraquinone derivative from Rheum officinale Baill, emodin, on airway responses in a murine model of asthma. Food Chem. Toxicol. 2012, 50, 2368–2375. [Google Scholar] [CrossRef]
- Barnes, P.J. The cytokine network in asthma and chronic obstructive pulmonary disease. J. Clin. Investig. 2008, 118, 3546–3556. [Google Scholar] [CrossRef] [PubMed]
- Busse, W.W.; Calhoun, W.F.; Sedgwick, J.D. Mechanism of airway inflammation in asthma. Am. Rev. Respir. Dis. 1993, 147, S20–S24. [Google Scholar] [CrossRef]
- Choi, H.Y.; Jung, T.Y.; Ku, S.-K.; Yang, H.B.; Lee, H.S. Toxico-pathological study of p,p-DDE after experimental aerosol exposed to ICR Mouse. Toxicol. Res. 2005, 21, 151–160. [Google Scholar]
- Ribbons, K.A.; Thompson, J.H.; Liu, X.; Pennline, K.; Clark, D.A.; Miller, M.J. Anti-inflammatory properties of interleukin-10 administration in hapten-induced colitis. Eur. J. Pharmacol. 1997, 323, 245–254. [Google Scholar] [CrossRef]
- Carini, M.; Aldini, G.; Piccone, M.; Facino, R.M. Fluorescent probes as markers of oxidative stress in keratinocyte cell lines following UVB exposure. Farmaco 2000, 55, 526–534. [Google Scholar] [CrossRef] [PubMed]
- Lawrence, T. The nuclear factor NF-kappaB pathway in inflammation. Cold Spring Harb. Perspect. Biol. 2009, 1, a001651. [Google Scholar] [CrossRef] [PubMed]
- Liu, T.; Zhang, L.; Joo, D.; Sun, S.C. NF-κB signaling in inflammation. Signal Transduct. Target. Ther. 2017, 2, 17023. [Google Scholar] [CrossRef]
- Jang, H.Y.; Kwon, O.K.; Oh, S.R.; Lee, H.K.; Ahn, K.S.; Chin, Y.W. Mangosteen xanthones mitigate ovalbumin-induced airway inflammation in a mouse model of asthma. Food Chem. Toxicol. 2012, 50, 4042–4050. [Google Scholar] [CrossRef]
- Tirpude, N.V.; Sharma, A.; Kumari, M.; Bhardwaj, N. Vitexin restores lung homeostasis by targeting vicious loop between inflammatory aggravation and autophagy mediated via multiple redox cascade and myeloid cells alteration in experimental allergic asthma. Phytomedicine 2022, 96, 153902. [Google Scholar] [CrossRef] [PubMed]
- Zheng, H.; Ying, H.; Yan, H.; Kimmelman, A.C.; Hiller, D.J.; Chen, A.J.; Perry, S.R.; Tonon, G.; Chu, G.C.; Ding, Z.; et al. p53 and Pten control neural and glioma stem/progenitor cell renewal and differentiation. Nature 2008, 455, 1129–1133. [Google Scholar] [CrossRef]
- Qi, Q.; Ling, Y.; Zhu, M.; Zhou, L.; Wan, M.; Bao, Y.; Liu, Y. Promoter region methylation and loss of protein expression of PTEN and significance in cervical cancer. Biomed. Rep. 2014, 2, 653–658. [Google Scholar] [CrossRef]
- Li, Z.H.; Li, L.; Kang, L.P.; Wang, Y. MicroRNA-92a promotes tumor growth and suppresses immune function through activation of MAPK/ERK signaling pathway by inhibiting PTEN in mice bearing U14 cervical cancer. Cancer Med. 2018, 7, 3118–3131. [Google Scholar] [CrossRef]
- Jiang, X.; Li, H. Overexpression of LRIG1 regulates PTEN via MAPK/MEK signaling pathway in esophageal squamous cell carcinoma. Exp. Ther. Med. 2016, 12, 2045–2052. [Google Scholar] [CrossRef]
- Ebbesen, S.H.; Scaltriti, M.; Bialucha, C.U.; Morse, N.; Kastenhuber, E.R.; Wen, H.Y.; Dow, L.E.; Baselga, J.; Lowe, S.W. Pten loss promotes MAPK pathway dependency in HER2/neu breast carcinomas. Proc. Natl. Acad. Sci. USA 2016, 113, 3030–3035. [Google Scholar] [CrossRef]
- Kwak, Y.G.; Song, C.H.; Yi, H.K.; Hwang, P.H.; Kim, J.S.; Lee, K.S.; Lee, Y.C. Involvement of PTEN in airway hyperresponsiveness and inflammation in bronchial asthma. J. Clin. Investig. 2003, 111, 1083–1092. [Google Scholar] [CrossRef] [PubMed]
- Ni, Z.; Tang, J.; Cai, Z.; Yang, W.; Zhang, L.; Chen, Q.; Zhang, L.; Wang, X. A new pathway of glucocorticoid action for asthma treatment through the regulation of PTEN expression. Respir. Res. 2011, 12, 47. [Google Scholar] [CrossRef] [PubMed]




| Groups | Total Cells | Total Leukocytes | Differential Counts | |||
|---|---|---|---|---|---|---|
| Lymphocytes | Neutrophils | Eosinophils | Monocytes | |||
| Controls | ||||||
| Intact vehicle | 15.00 ± 1.94 | 10.60 ± 2.01 | 6.90 ± 1.60 | 2.20 ± 0.79 | 0.21 ± 0.19 | 0.21 ± 0.13 |
| OVA | 57.80 ± 3.55 a | 51.50 ± 3.47 c | 32.00 ± 3.74 a | 11.40 ± 1.26 c | 2.99 ± 0.80 c | 3.12 ± 0.79 c |
| Reference | ||||||
| DEXA | 25.30 ± 4.14 ab | 20.10 ± 2.73 ce | 12.10 ± 1.52 ab | 4.80 ± 2.10 de | 0.81 ± 0.27 ce | 0.87 ± 0.19 ce |
| Test material groups | ||||||
| IAP400 | 25.60 ± 3.50 ab | 20.60 ± 3.60 ce | 12.30 ± 1.64 ab | 4.90 ± 1.66 ce | 0.84 ± 0.32 ce | 0.89 ± 0.31 ce |
| IAP200 | 33.40 ± 5.27 ab | 27.00 ± 4.71 ce | 16.50 ± 3.03 ab | 6.20 ± 1.55 ce | 1.33 ± 0.33 ce | 1.69 ± 0.40 ce |
| IAP100 | 42.30 ± 4.24 ab | 34.80 ± 2.49 ce | 21.40 ± 2.46 ab | 7.60 ± 1.17 ce | 1.64 ± 0.22 ce | 2.12 ± 0.21 cf |
| Groups | BALF Contents (pg/mL) | Lung Tissue Contents (pg/mL) | ||
|---|---|---|---|---|
| IL-4 | IL-5 | IL-4 | IL-5 | |
| Controls | ||||
| Intact vehicle | 18.80 ± 4.24 | 21.00 ± 6.22 | 39.70 ± 11.53 | 44.90 ± 12.85 |
| OVA | 98.70 ± 12.53 a | 148.30 ± 12.65 a | 158.50 ± 18.78 a | 174.80 ± 23.38 a |
| Reference | ||||
| DEXA | 35.60 ± 12.75 bc | 59.80 ± 14.56 ac | 62.30 ± 14.45 bc | 78.40 ± 19.73 ac |
| Test material groups | ||||
| IAP400 | 36.20 ± 10.77 bc | 60.60 ± 17.68 ac | 62.70 ± 18.18 bc | 79.20 ± 14.62 ac |
| IAP200 | 49.60 ± 12.99 ac | 87.30 ± 18.54 ac | 91.50 ± 18.42 ac | 100.10 ± 10.76 ac |
| IAP100 | 68.20 ± 10.30 ac | 102.90 ± 16.88 ac | 110.40 ± 12.77 ac | 119.70 ± 11.29 ac |
| Groups | Controls | Reference | Test Material—IAP Extract | |||
|---|---|---|---|---|---|---|
| Intact Vehicle | OVA | DEXA | 400 mg/kg | 200 mg/kg | 100 mg/kg | |
| IL-4 | 1.00 ± 0.07 | 9.15 ± 0.96 a | 2.78 ± 1.04 ab | 2.79 ± 0.58 ab | 4.54 ± 1.18 ab | 6.32 ± 1.31 ab |
| IL-5 | 1.00 ± 0.05 | 7.13 ± 1.20 a | 2.10 ± 0.40 ab | 2.12 ± 0.48 ab | 3.40 ± 0.80 ab | 4.28 ± 0.97 ab |
| NF-κB | 1.00 ± 0.07 | 14.40 ± 3.47 a | 3.21 ± 0.99 ab | 3.25 ± 0.92 ab | 6.07 ± 1.53 ab | 8.24 ± 1.08 ab |
| p38 MAPK | 1.00 ± 0.06 | 9.86 ± 2.68 a | 2.82 ± 0.61 ab | 2.85 ± 0.71 ab | 3.96 ± 1.23 ab | 5.72 ± 1.94 ab |
| PTEN | 1.00 ± 0.06 | 0.18 ± 0.04 a | 0.62 ± 0.16 ab | 0.61 ± 0.10 ab | 0.42 ± 0.09 ab | 0.35 ± 0.09 ab |
| PI3K | 1.00 ± 0.04 | 7.94 ± 0.77 a | 2.61 ± 0.54 ab | 2.65 ± 0.60 ab | 4.05 ± 1.21 ab | 5.13 ± 1.02 ab |
| Akt | 1.00 ± 0.06 | 7.02 ± 1.31 a | 2.36 ± 0.64 ab | 2.38 ± 0.53 ab | 3.53 ± 0.49 ab | 4.35 ± 0.64 ab |
| Groups | Mean ASA (%/mm2) | Mean Alveolar Septal Thickness (μm) | Mean IF Cell Numbers Infiltrated on BAR (cells/mm2) | Mean CR+ Eosinophil Numbers Infiltrated on BAR (cells/mm2) | Mean TB+ Mast Cell Numbers Infiltrated on BAR (cells/mm2) |
|---|---|---|---|---|---|
| Controls | |||||
| Intact vehicle | 87.55 ± 6.24 | 7.43 ± 1.74 | 43.80 ± 11.17 | 5.20 ± 2.70 | 2.60 ± 1.35 |
| OVA | 50.28 ± 6.90 a | 55.23 ± 5.80 d | 1008.00 ± 211.41 d | 352.00 ± 78.05 d | 20.50 ± 2.17 a |
| Reference | |||||
| DEXA | 77.87 ± 7.28 c | 18.43 ± 4.53 de | 121.20 ± 38.16 de | 34.40 ± 14.78 de | 5.80 ± 2.20 bc |
| Test material groups | |||||
| IAP400 | 77.07 ± 10.00 bc | 18.81 ± 5.88 de | 128.80 ± 77.59 e | 35.00 ± 14.88 de | 6.10 ± 1.52 ac |
| IAP200 | 74.68 ± 6.55 ac | 25.19 ± 4.11 de | 377.20 ± 166.73 de | 106.00 ± 18.60 de | 10.00 ± 2.31 ac |
| IAP100 | 69.02 ± 6.48 ac | 34.31 ± 5.41 de | 510.00 ± 134.63 de | 195.90 ± 51.90 de | 12.20 ± 2.74 ac |
Disclaimer/Publisher’s Note: The statements, opinions and data contained in all publications are solely those of the individual author(s) and contributor(s) and not of MDPI and/or the editor(s). MDPI and/or the editor(s) disclaim responsibility for any injury to people or property resulting from any ideas, methods, instructions or products referred to in the content. |
© 2023 by the authors. Licensee MDPI, Basel, Switzerland. This article is an open access article distributed under the terms and conditions of the Creative Commons Attribution (CC BY) license (https://creativecommons.org/licenses/by/4.0/).
Share and Cite
Kim, M.R.; Bashir, K.M.I.; Lee, J.-H.; Ku, M.-U.; Kim, J.W.; Kim, K.-Y.; Shin, S.; Hong, E.-J.; Ku, S.-K.; Choi, J.-S. Efficacy Confirmation Test of Immature Asian Pear (Pyrus pyrifolia Nakai) Extract on Ovalbumin-Induced Asthma in Mice. Appl. Sci. 2023, 13, 9342. https://doi.org/10.3390/app13169342
Kim MR, Bashir KMI, Lee J-H, Ku M-U, Kim JW, Kim K-Y, Shin S, Hong E-J, Ku S-K, Choi J-S. Efficacy Confirmation Test of Immature Asian Pear (Pyrus pyrifolia Nakai) Extract on Ovalbumin-Induced Asthma in Mice. Applied Sciences. 2023; 13(16):9342. https://doi.org/10.3390/app13169342
Chicago/Turabian StyleKim, Mi Ran, Khawaja Muhammad Imran Bashir, Jin-Hwa Lee, Mo-Un Ku, Joo Wan Kim, Ki-Young Kim, Su Shin, Eun-Jin Hong, Sae-Kwang Ku, and Jae-Suk Choi. 2023. "Efficacy Confirmation Test of Immature Asian Pear (Pyrus pyrifolia Nakai) Extract on Ovalbumin-Induced Asthma in Mice" Applied Sciences 13, no. 16: 9342. https://doi.org/10.3390/app13169342
APA StyleKim, M. R., Bashir, K. M. I., Lee, J.-H., Ku, M.-U., Kim, J. W., Kim, K.-Y., Shin, S., Hong, E.-J., Ku, S.-K., & Choi, J.-S. (2023). Efficacy Confirmation Test of Immature Asian Pear (Pyrus pyrifolia Nakai) Extract on Ovalbumin-Induced Asthma in Mice. Applied Sciences, 13(16), 9342. https://doi.org/10.3390/app13169342

