Management of Class III Extraction with the Miniscrew-Supported Orthodontic Pseudo-Ankylosis (MSOPA) Using Direct Tads
Abstract
:1. Introduction
2. Case Report
2.1. Treatment Planning
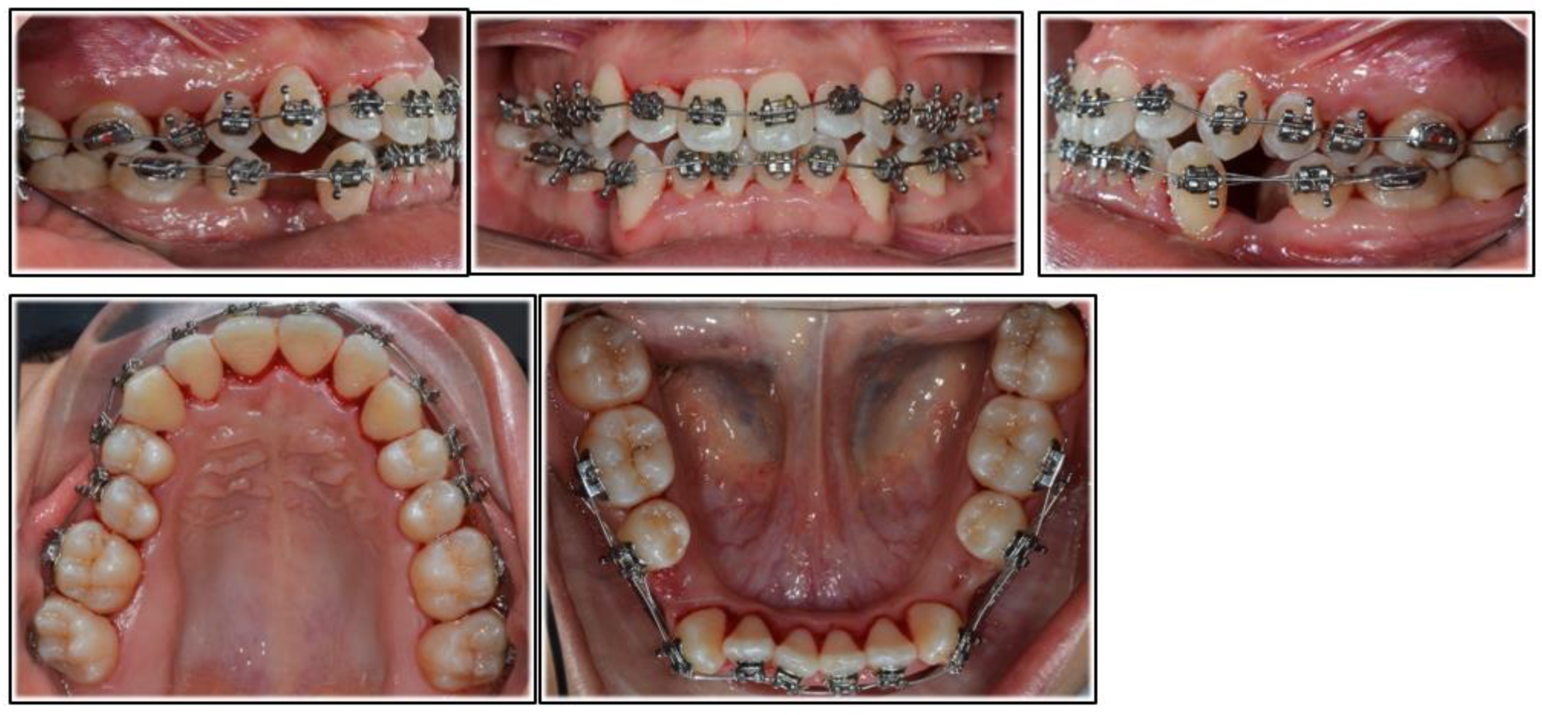
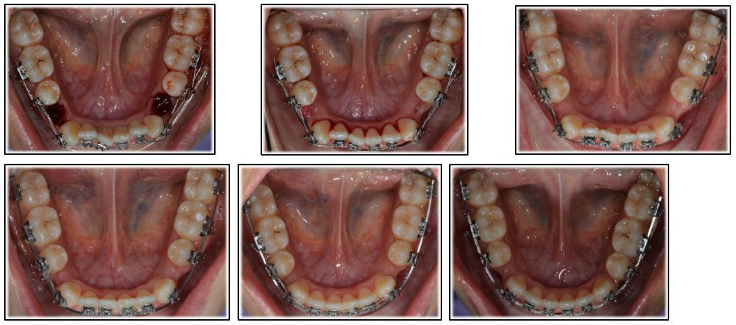
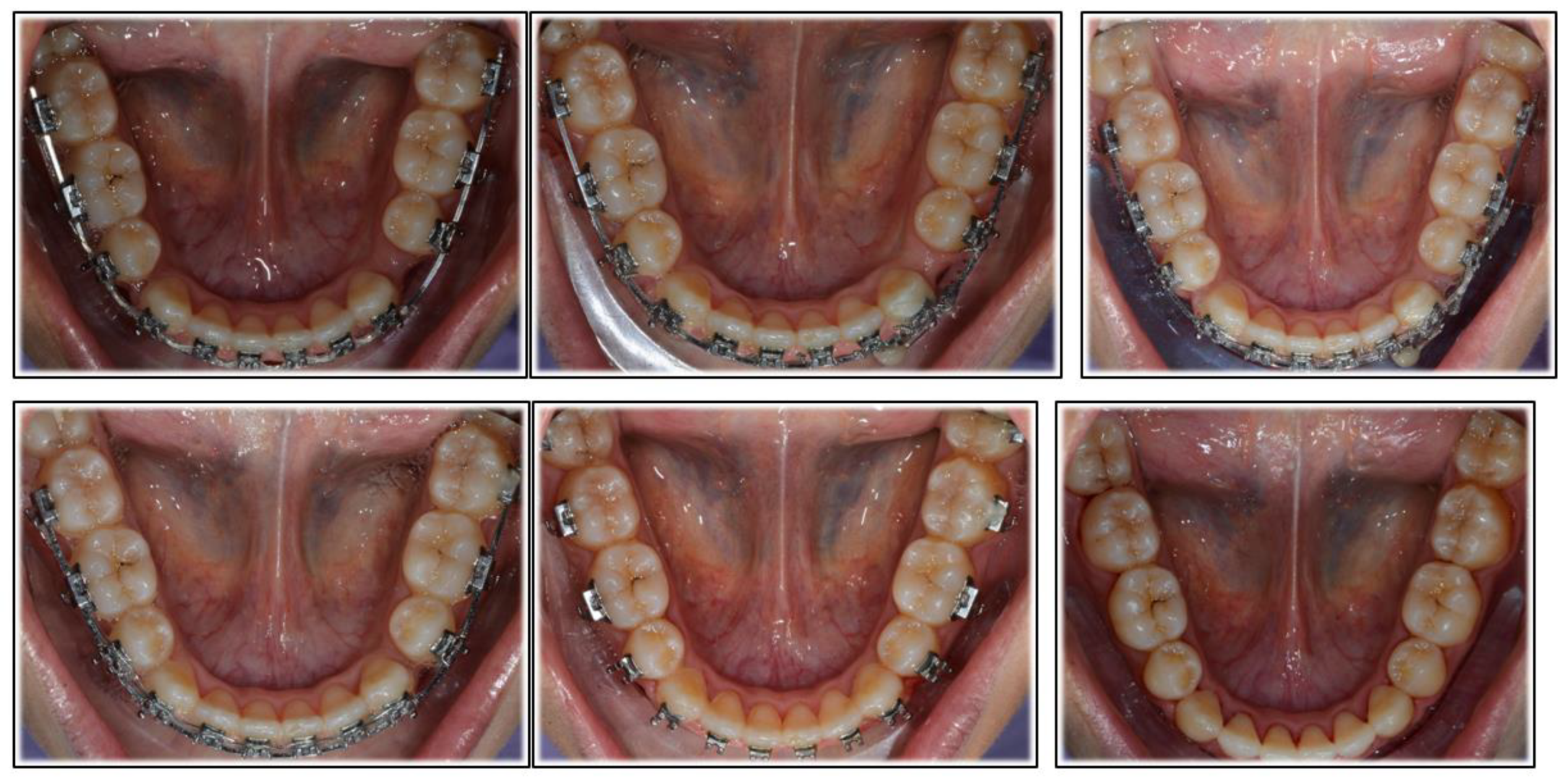
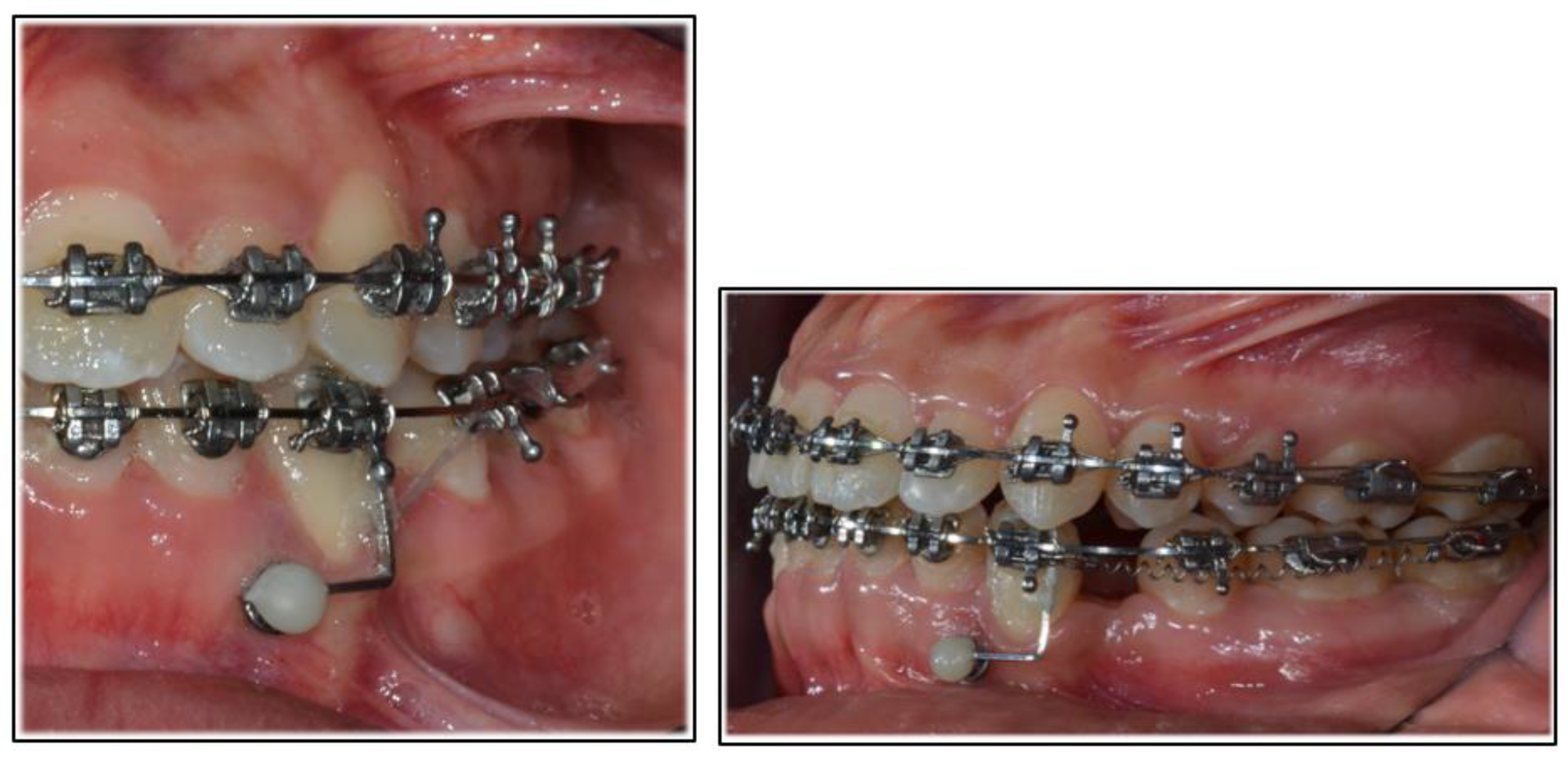
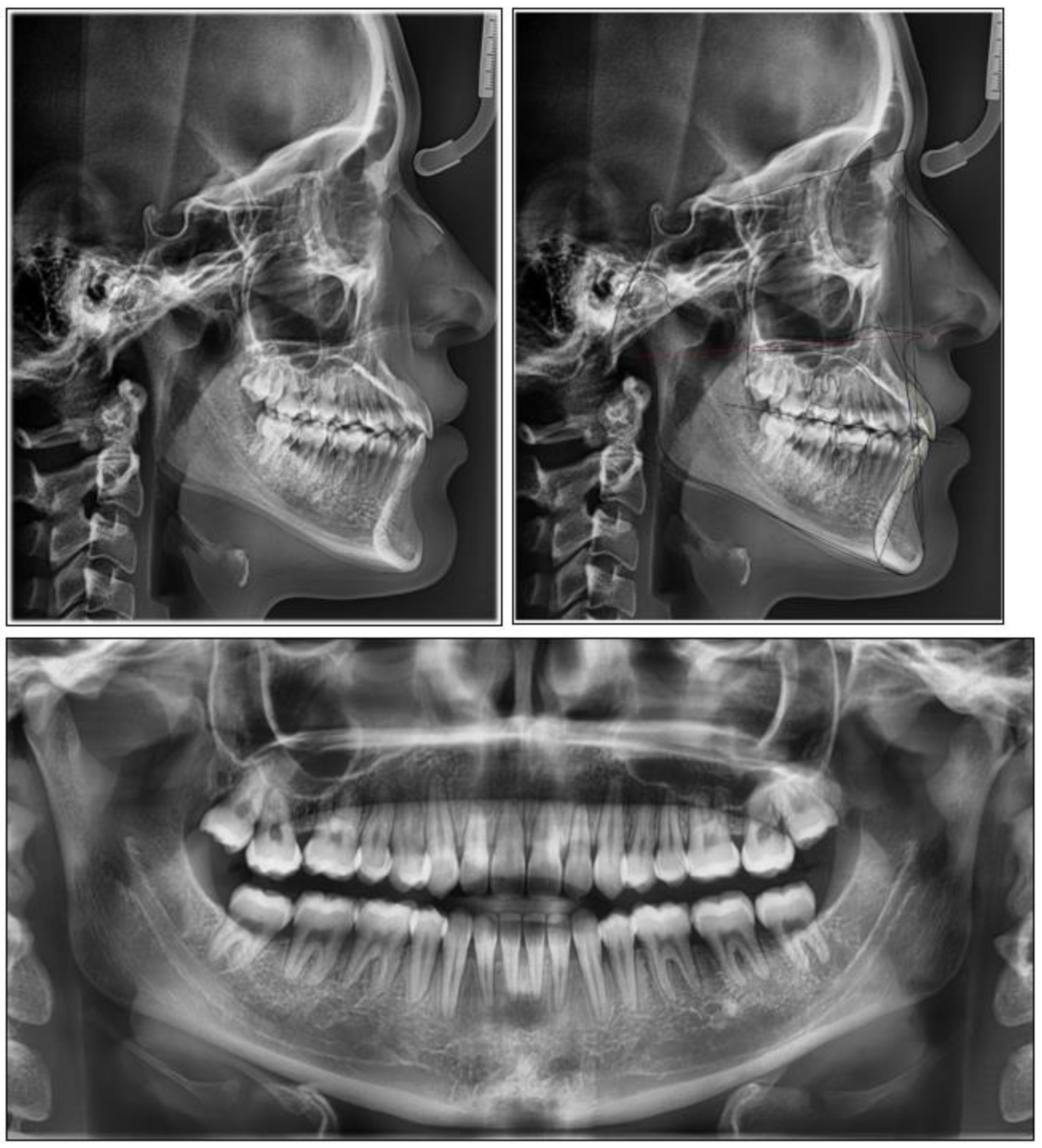
2.2. Treatment Progress
3. Results
4. Discussion
5. Conclusions
Limitations
Author Contributions
Funding
Informed Consent Statement
Data Availability Statement
Acknowledgments
Conflicts of Interest
References
- Ning, F.; Duan, Y. Camouflage treatment in adult skeletal Class III cases by extraction of two lower premolars. Korean J. Orthod. 2010, 40, 349. [Google Scholar]
- Guyer, E.C.; Ellis, E.E., III; McNamara, J.A., Jr.; Behrents, R.G. Components of class III malocclusion in juveniles and adolescents. Angle Orthod. 1986, 56, 7–30. [Google Scholar] [PubMed]
- Baik, H.S. Limitations in orthopedic and camouflage treatment for Class III malocclusion. Semin. Orthod. 2007, 13, 158–174. [Google Scholar]
- Moullas, A.T.; Palomo, J.M.; Gass, J.R.; Ambermand, B.D.; White, J.; Gustovich, D. Nonsurgical treatment of a patient with a class III malocclusion. Am. J. Orthod. Dentofac. Orthop. 2006, 129, S111–S118. [Google Scholar] [CrossRef]
- Yun, S.W.; Lim, W.H.; Chun, Y.S. Molar control using indirect miniscrew anchorage. J. Clin. Orthod. 2005, 11, 661–664. [Google Scholar]
- Ludwig, B.; Baumgaertel, S.; Bowman, S.J. Mini-Implants in Orthodontics: Innovative Anchorage Concepts; Quintessence Publishing, Co.: London, UK, 2008. [Google Scholar]
- Yamaguchi, M.; Inami, T.; Ito, K.; Kasai, K.; Tanimoto, Y. Mini-implants in the anchorage armamentarium: New paradigms in the orthodontics. Int. J. Biomater. 2012, 2012, 394121. [Google Scholar] [CrossRef]
- Pradal, A.; Nucci, L.; Derton, N.; De Felice, M.; Turco, G.; Grassia, V.; Contardo, L. Mechanical evaluation of the stability of one or two miniscrews under loading on synthetic bone. J. Funct. Biomater. 2020, 11, 80. [Google Scholar] [CrossRef]
- Baumgaertel, S.; Jones, C.L.; Unal, M. Miniscrew biomechanics: Guidelines for the use of rigid indirect anchorage mechanics. Am. J. Orthod. Dentofac. Orthop. 2017, 152, 413–419. [Google Scholar] [CrossRef] [Green Version]
- Cornelis, M.A.; Tepedino, M.; Riis, N.D.V.; Niu, X.; Cattaneo, P.M. Treatment effect of bone-anchored maxillary protraction in growing patients compared to controls: A systematic review with meta-analysis. Eur. J. Orthod. 2021, 43, 51–68. [Google Scholar] [CrossRef]
- Tepedino, M.; Masedu, F.; Chimenti, C. Comparative evaluation of insertion torque and mechanical stability for self-tapping and self-drilling orthodontic miniscrews—An in vitro study. Head Face Med. 2017, 13, 10. [Google Scholar] [CrossRef] [Green Version]
- Baumgaertel, S.; Razavi, M.R.; Hans, M.G. Mini-implant anchorage for the orthodontic practitioner. Am. J. Orthod. Dentofac. Orthop. 2008, 133, 621–627. [Google Scholar] [CrossRef] [PubMed]
- Ludwig, B.; Glasl, B.; Lietz, T.; Bumann, A.; Bowman, S.J. Techniques for attaching orthodontic wires to miniscrews. J. Clin. Orthod. 2010, 44, 36–40. [Google Scholar] [PubMed]
- Moon, C.-H.; Lee, D.-G.; Lee, H.-S.; Im, J.-S.; Baek, S.-H. Factors associated with the success rate of orthodontic miniscrews placed in the upper and lower posterior buccal region. Angle Orthod. 2008, 78, 101–106. [Google Scholar] [CrossRef] [PubMed] [Green Version]
- Derton, N.; Perini, A.; Mutinelli, S.; Gracco, A. Mandibular molar uprighting using mini-implants: Different approaches for different clinical cases—Two case reports. Orthodontics 2012, 13, 138–145. [Google Scholar]
- Derton, N.; Lupini, D.; Cozzani, M. Miniscrew-supported orthodontic pseudo-ankylosis for mesialization of a lower third molar. J. Clin. Orthod. 2017, 51, 290–293. [Google Scholar]
- Hisano, M.; Chung, C.-R.J.; Soma, K. Nonsurgical correction of skeletal class III malocclusion with lateral shift in an adult. Am. J. Orthod. Dentofac. Orthop. 2007, 131, 797–804. [Google Scholar] [CrossRef]
- Watanabe, J.H.M.; Fitarelli, F.; de Freitas, D.S.; Cançado, R.H.; de Oliveira, R.C.G.; de Oliveira, R.C.G.; Valarelli, F.C.; Freitas, K.M.S. Comparison of the facial profile attractiveness in Class III borderline patients after surgical or compensatory orthodontic treatment. J. Clin. Exp. Dent. 2020, 12, e348–e353. [Google Scholar] [CrossRef]
- Liou, E.J.; Pai, B.C.; Lin, J.C. Do miniscrews remain stationary under orthodontic forces? Am. J. Orthod. Dentofac. Orthop. 2004, 126, 42–47. [Google Scholar] [CrossRef]
- Sun, Q.; Lu, W.; Zhang, T.; Peng, L.; Chen, S.; Han, B. Morphological changes of the anterior alveolar bone due to retraction of anterior teeth: A retrospective study. Head Face Med. 2021, 17, 30. [Google Scholar] [CrossRef]
- Linkous, E.R.; Trojan, T.M.; Harris, E.F. External apical root resorption and vectors of orthodontic tooth. Am. J. Orthod. Dentofac. Orthop. 2020, 158, 700–709. [Google Scholar] [CrossRef]
- Yi, J.; Sun, Y.; Li, Y.; Li, C.; Li, X.; Zhao, Z. Cone-beam computed tomography versus periapical radiograph for diagnosing external root resorption: A systematic review and meta-analysis. Angle Orthod. 2017, 87, 328–337. [Google Scholar] [CrossRef] [Green Version]
- Wishney, M. Potential risks of orthodontic therapy: A critical review and conceptual framework. Aust. Dent. J. 2017, 62, 86–96. [Google Scholar] [CrossRef] [PubMed] [Green Version]
- Azeem, M.; Ul Haq, A.; Ul Hamid, W.; Burhan Hayat, M.; Iftikhar Khan, D.; Ahmed, A.; Tahir Khan, M. Efficiency of class III malocclusion treatment with 2-premolar extraction and molar distalization protocols. Int. Orthod. 2018, 16, 665–675. [Google Scholar] [CrossRef]
- Chung, K.; Kim, S.; Choo, S.; Kook, Y.; Copee, J. Distalization of the mandibular dentition with mini-implants to correct a Class III malocclusion with a midline deviation. Am. J. Orthod. Dentofac. Orthop. 2010, 137, 135–146. [Google Scholar] [CrossRef] [PubMed]
- Aslan, B.I.; Küçükkaraca, E. Nonextraction treatment of a Class III malocclusion case using mini-screw-assisted lower molar distalization. Turk. J. Orthod. 2019, 32, 119–124. [Google Scholar] [CrossRef] [PubMed]
- Kim, S.; Cha, K.; Lee, J.; Lee, S. Mandibular skeletal posterior anatomic limit for molar distalization in patients with Class III malocclusion with different vertical facial patterns. Korean J. Orthod. 2021, 51, 250–259. [Google Scholar] [CrossRef]
- Remington, D.N.; Joondeph, D.R.; Artun, J.; Riedel, R.A.; Chapko, M.K. Long-term evaluation of root resorption occurring during orthodontic treatment. Am. J. Orthod. Dentofac. Orthop. 1989, 96, 43–46. [Google Scholar] [CrossRef]
- Poletti, L.; Silvera, A.; Ghislazoni, L. Dentoalveolar class III treatment using retromolar miniscrew anchorage. Prog. Orthod. 2013, 14, 7. [Google Scholar] [CrossRef] [Green Version]
- Ramanathan, C.; Hofman, Z. Root resorption in relation to orthodontic tooth movement. Acta Med. 2006, 49, 91–95. [Google Scholar] [CrossRef]










| Pretreatment | Post-treatment | |
|---|---|---|
| Sagittal Skeletal Relations | ||
| SNA | 74.2° | 74.8° |
| SNPg | 77.2° | 77.5° |
| ANPg | −3° | −2.7° |
| Wits | −9 mm | −9 mm |
| Vertical Skeletal Relations | ||
| SN/ANS-PNS | 5° | 3.6° |
| SN/Go-Gn | 39.7° | 38.8° |
| ANS-PNS/GoGn | 34.7° | 35.2° |
| Dento-Basal Relationts | ||
| I/ANS-PNS | 112.5° | 109° |
| i/GoGn | 88.7° | 87.6° |
| i/APg | +4.3 mm | +4.4 mm |
| Dental Relations | ||
| Overjet | +2 mm | +2 mm |
| Overbite | +1 mm | +2 mm |
| Interincisal Angle | 128.3° | 131.8° |
Publisher’s Note: MDPI stays neutral with regard to jurisdictional claims in published maps and institutional affiliations. |
© 2022 by the authors. Licensee MDPI, Basel, Switzerland. This article is an open access article distributed under the terms and conditions of the Creative Commons Attribution (CC BY) license (https://creativecommons.org/licenses/by/4.0/).
Share and Cite
Arveda, N.; De Felice, M.E.; Derton, N.; Lombardo, L.; Gatto, R.; Caruso, S. Management of Class III Extraction with the Miniscrew-Supported Orthodontic Pseudo-Ankylosis (MSOPA) Using Direct Tads. Appl. Sci. 2022, 12, 2464. https://doi.org/10.3390/app12052464
Arveda N, De Felice ME, Derton N, Lombardo L, Gatto R, Caruso S. Management of Class III Extraction with the Miniscrew-Supported Orthodontic Pseudo-Ankylosis (MSOPA) Using Direct Tads. Applied Sciences. 2022; 12(5):2464. https://doi.org/10.3390/app12052464
Chicago/Turabian StyleArveda, Niki, Maria Elena De Felice, Nicola Derton, Luca Lombardo, Roberto Gatto, and Silvia Caruso. 2022. "Management of Class III Extraction with the Miniscrew-Supported Orthodontic Pseudo-Ankylosis (MSOPA) Using Direct Tads" Applied Sciences 12, no. 5: 2464. https://doi.org/10.3390/app12052464
APA StyleArveda, N., De Felice, M. E., Derton, N., Lombardo, L., Gatto, R., & Caruso, S. (2022). Management of Class III Extraction with the Miniscrew-Supported Orthodontic Pseudo-Ankylosis (MSOPA) Using Direct Tads. Applied Sciences, 12(5), 2464. https://doi.org/10.3390/app12052464

