Abstract
During maxillary sinus augmentation (MSA), bone graft particles displaced through the perforated site can block the ostium and become a risk factor for maxillary sinusitis. The purpose of this case report is to introduce a novel approach for successful lateral MSA performed in the unrepairable perforation area of Schneiderian membrane. In a total of three patients, including two who were unintentionally treated with a split-mouth design, the Schneiderian membrane was irreparably perforated during the sinus floor elevation. After bone grafting was performed on only the sinus floor, the open lateral window technique was performed in which the upper part of the lateral window was opened. After the procedure, unexpectedly, the patient showed transient nasal bleeding, but no unusual clinical events. Most of the bone graft substitutes were not displaced and the exposed portion was covered with a soft tissue. In the sinus graft, clotting of blood, supplied from the perforated Schneiderian membrane and the buccal flap through the open lateral window, appeared to prevent graft displacement. Within the limitations of present case reports, these patients showed that MSA via the open lateral window technique was possible even with a widely perforated Schneiderian membrane that could not be repaired.
1. Introduction
The maxillary sinus lift augmentation (MSA) is an effective, frequently employed predictable procedure that results in increased vertical bone or the purpose of implant placement in the previously pneumatized sinus or atrophic ridge of the posterior maxilla [1]. Since the first description by Tatum in 1977 [2], and eventual publication by Boyne & James in 1980 [3], it has been widely applied in clinical practice and, subsequently, many studies have documented implant survival rate [1,4,5]. Documented sequalae of Schneiderian membrane perforation are noted as bone graft displacement, sinus graft infection, ostium obstruction, postoperative maxillary cyst, and acute maxillary sinusitis [6,7,8,9]. Intraoperative perforation of the membrane leads to postoperative complications and these observations have led to multiple proposed techniques for handling perforations.
Schneiderian membrane perforation during sinus floor elevation has been documented to cause postoperative membrane thickening [10]. Membrane thickening can transiently block the ostium and impair the mucociliary clearance [11]. Prolonged membrane thickening may cause maxillary sinusitis due to dysventilation. In addition, complications associated with membrane perforation include significant bleeding, hematoma formation, bone graft displacement, oro-antral fistula, and sinus graft infection [12,13,14,15]. When the Schneiderian membrane is perforated, bone graft particles are displaced into the maxillary sinus through the perforation site. Displaced graft particles can cause acute or chronic inflammation [7,16]. Displaced graft particles can be plugged directly into the ostium [17] and can create an initial phlogosis condition in the mucosa to obstruct the natural ostium [18]. However, with the proposed approach, only transient nasal bleeding and brief facial swelling were observed and no previously reported documented complications occurred.
Various sinus elevation instruments have been devised to reduce membrane perforation [19] and various repair methods have been introduced to cover the perforated Schneiderian membrane [8,20,21,22]. The repair method is usually selected according to the size of the perforation, but more importantly, it can vary depending on the skill and preference of the operator. Small perforations are simply repaired with mucosal folding [23]. Membrane perforation of less than 5 mm or 5 to 10 mm in size are usually repaired with a collagen membrane, suture, lamina bone, demineralized freeze-dried lamellar bone sheet, or platelet-rich fibrin membrane [7,20,24,25,26]. There have been attempts to repair large perforations greater than 10 mm using demineralized freeze-dried lamellar bone sheets, buccal fat pads, and block bones [7,8,26]. In addition, a variety of surgical modifications have been introduced [27,28]. However, it is technically difficult to repair membrane perforations and the implant survival rate is low even if it is repaired [15,29]. The clinician should decide whether to abort the procedure or plan for re-entry after 6 to 8 weeks [8,24]. However, Park et al. reported that there was no difference in implant survival rate and complication in the perforation group of the Schneiderian membrane, which was not repaired during lateral sinus floor elevation, compared to the non-perforation group [4]. Although conflicting opinions exist, this suggests that repair of the perforated Schneiderian membrane is not essential.
For cases where large perforations are seen, repair membrane and block grafts are preferred to particulate grafts. For repairs, the source of cells and growth factors come from the sinus wall and not the graft itself. Controversial data suggest that the Schneiderian membrane may have regenerative osteogenic potential [30,31,32]. Notably, in the transcrestal sinus lift procedure without bone graft, endo-sinus bone was formed in the empty space between the elevated sinus membrane and the implant body, and exposure within 3 mm was covered by the mucous membrane, despite exposure of the implant apex [33,34]. Together, these studies demonstrate that the Schneiderian membrane has excellent healing capacity regardless of the main carrier of bone reformation [35].
Herein, we present three case reports which include an approach where successful sinus augmentation was performed using the open lateral window technique with a widely perforated, non-repairable Schneiderian membrane. Radiographic and clinical observations confirm that the applied technique results in complete coverage of the open lateral window site with bone, and subsequently, no thickness of the Schneiderian membrane was observed. We propose an approach to circumvent the large perforation of the Schneiderian membrane exploring the Schneiderian membrane healing capacity
2. Case Presentation
Maxillary Sinus lift augmentation was performed on three patients that resulted in wide perforation in the Schneiderian membrane as a result of severely pneumatized maxillary sinus and atrophic ridge. Presented are the following cases with the proposed approach. Informed consent was obtained for all procedures performed. Consent discussion also included informed risks associated with the procedures performed, outcomes expected, and long-term prognosis
2.1. Surgical Procedure
The patient received an oral administration of 2.0 g Amoxicillin for prophylactic antibiotic coverage 1 h before the sinus floor elevation procedure. Under local anesthesia with lidocaine containing 1:100,000 epinephrine, the mucoperiosteal flap was reflected to expose the lateral wall of the maxillary sinus. The lateral bony window was prepared on the lateral wall of the maxillary sinus using a round bur. The lateral bony lid was either removed or pushed up while attached to the Schneiderian membrane. The Schneiderian membrane was carefully elevated with a sinus elevation instrument (Dask kit, Genoss, Suwon, Korea). The anatomy of the membrane in relation to the bony structure of the maxillary sinus resulted in a large perforation. Thorough debridement was performed. Biphasic calcium phosphate (1-2 cc) (Osteon III, Genoss, Suwon, Korea) was mixed with physiological saline and placed on the sinus floor where the sinus membrane was elevated. Condensation was performed only in the sinus floor direction using a Molt curette (Hu-Friedy Mfg. CO., LLC. Chicago, IL, USA) and overfilling of the bone graft substitute was avoided. The lateral window site was not completely blocked with a bone graft substitute and the upper third of the window was left open. This was performed to allow the buccal flap to partially relieve the subsequent severe membrane thickening that may occur. Membrane was not placed on the lateral window site. The modification was performed to avoid interference with the blood supply from the buccal flap to the sinus graft. The mucoperiosteal flap was sutured with a tensionless primary closure (Nylon 4-0, Ethilon® 4.0, Ethicon, Cincinnati, OH, USA). Systemic antibiotics (Ciprofloxacin 500mg, Ildong Pharmaceutical Co. Seoul, Korea) and a nonsteroidal anti-inflammatory drug (Etodol® 200mg, Yuhan Co. Seoul, Korea) were administered three times a day for 14 days. Patient was advised to rinse with 0.12% chlorhexidine solution (Hexamedine, Bukwang Pharmaceutical, Seoul, Korea) for 2 weeks.
2.2. Patients
2.2.1. Case 1
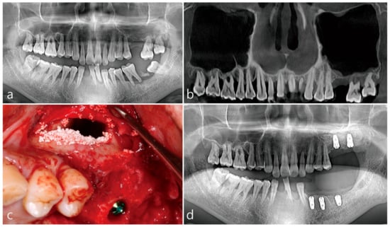
A 43-year-old male smoker visited the private clinic due to severe tooth mobility and chewing discomfort. On the pre-operative panoramic radiography, alveolar bone resorption was very severe due to advanced periodontitis and the height of residual bone was about 1–2 mm. Maxillary upper left, first molar tooth was missing (Figure 1a). A panoramic image of the preoperative CBCT showed no thickening of the left and right maxillary sinuses and severely pneumatized sinus (Figure 1b). During the lateral window approach for sinus floor elevation, the Schneiderian membrane was widely perforated during sinus floor elevation and the lateral bone lid was pushed up while attached to the sinus membrane. Implant site preparation was performed before filling the bone graft substitute. The osteotomy site was undersized drilled. Bone grafting using Osteon III (Genoss, Suwon, Korea) was performed on the sinus floor and the upper part of the lateral window was opened. Two 4.8 × 10 mm implants (Implantium, Dentium, Suwon, Korea) were installed (Figure 1c). On panoramic radiography taken immediately after surgery, bone graft substitute supporting the implants on the sinus floor was observed (Figure 1d). Patient reported minimal nasal bleeding and moderate facial swelling until 3 days after surgery. No other clinical events were reported during the healing process. Second stage surgery for uncovering of implants was performed 6 months after surgery. Implant placed at left upper second molar osseointegrated, but the implant at the left upper first molar was removed due to loss of osseointegration and immediately replaced with a wider 6.0 × 10 mm implant. On the coronal image of the left maxillary sinus CBCT before surgery at the first molar site, no sinus membrane thickening was noted, and the thickness of the buccal bone was thin (Figure 1e). Coronal image of CBCT immediately after MSA shows it in a state in which the Schneiderian membrane is irreparably perforated. A space between the elevated lateral bone lid and the sinus graft was observed, and displacement of the bone graft particles was not observed (Figure 1f). In the coronal image of CBCT 7 days after surgery, there was no leakage of bone graft substitute, and the sinus membrane thickening was insignificant (Figure 1g). The upper left maxillary first molar implant was uncovered after 4 months. At this time, the flap was reflected up to the opened lateral window site. The open lateral window site was closed with regenerated bone (Figure 1h). After 2 months of uncovering, the splinted prosthesis was delivered. In the CBCT taken immediately after the prosthesis delivery, the bone graft substitute was well consolidated without displacement and no volume change was observed (Figure 1i). In addition, the continuity of the buccal bone contour was well maintained at the lateral window site (Figure 1i). After 1 year follow-up, the patient’s chewing function was well maintained and no sinonasal complications were noted. No loss of marginal bone was observed on the panoramic radiograph (Figure 1j).

Figure 1.
Case 1. Preoperative and postoperative radiographic findings of case 1, and clinical pictures of the open lateral window technique. (a) On the preoperative panoramic radiograph, advanced periodontitis was accompanied by severe alveolar bone loss; (b) A panoramic image of the preoperative CBCT showed no thickening of the left and right maxillary sinuses; (c) The sinus membrane was widely perforated during sinus floor elevation. Bone grafting was performed on the sinus floor and the upper part of the lateral window was opened; (d) Panoramic radiograph after MSA and implant placement at the same time. (e) On the coronal image of the left maxillary sinus CBCT before surgery, there was no sinus membrane thickening and the thickness of the buccal bone was thin; (f) Coronal image of CBCT immediately after MSA in a state in which the maxillary sinus membrane is widely perforated. No leakage of bone graft substitute was found; (g) Coronal image of CBCT 7 days after surgery. There was no leakage of bone graft substitute, and the maxillary sinus membrane thickening was insignificant; (h) After 6 months of operation, uncovering was performed by tissue punching method, but explanation was performed due to osseointegration loss of implant #26, and re-implantation was performed immediately with a Ø 6.0 × 10 mm. At this time, the previous lateral window site was confirmed by reflecting a buccal mucoperiosteal flap. The exposed window site was completely covered with bone; (i) The prosthesis was delivered 4 months after the #26 implant re-implantation; (j) One year after the final prosthesis was installed, panoramic radiography showed that most of the bone graft substitute remained, and resorption of marginal bone around the implant was not observed.
2.2.2. Case 2
Maxillary sinus augmentation was performed on a 65-year-old male non-smoker with no reported systemic diseases. Panoramic radiographs revealed missing posterior maxillary molars. Subsequently, the left and right maxillary sinuses were pneumatized with resorption of the residual bone. CBCT revealed alveolar crestal height to be approximately 3 mm (Figure 2a) with a healthy Schneiderian non-compromised membrane, no thickening of the membrane was noted (Figure 2b). The lateral bone was noted to be thin without the presence of the posterior superior alveolar artery (Figure 2c,d). In the right maxillary sinus, sinus floor elevation via the lateral window approach was performed without the perforation of the sinus membrane, wherein, the lateral bone lid was removed (Figure 2e). The elevated sinus was filled with Osteon III (Genoss, Suwon, Korea) (Figure 2f), and the removed lateral bone lid was repositioned (Figure 2g). Flaps were closed (Figure 2h). In the left maxillary sinus, the lateral bone lid was removed, and subsequently, a large perforation of the Schneiderian membrane was observed (Figure 2i). In accordance with the proposed approach of the open lateral window technique (Figure 2j), the upper part of the lateral window site was left open after bone grafting (Figure 2k). The flap was closed at the lateral window site without membrane coverage (Figure 2l). Postoperatively, nasal bleeding and facial swelling were observed with eventual complete recovery, where no sinonasal complications occurred in the left and right maxillary sinuses. The patient underwent implant installation only in the right maxillary sinus 6 months after the maxillary sinus bone graft. A CBCT of the left maxillary sinus was acquired a year later (Figure 2m). Imaging revealed no membrane thickening and the exposed bone graft substitute was not covered with soft tissue (Figure 2n). No differences in membrane thickening of the left and right maxillary sinuses was observed. The volume of the implanted sinus bone graft had subsequently not changed, and the opened lateral window site was also filled with bone (Figure 2o).

Figure 2.
Case 2. Radiological findings of case 2. (a) On the panoramic radiograph before the procedure, pneumatization of the left and right maxillary sinuses and insufficient residual alveolar bone was observed; (b) Membrane thickening was not observed in the left and right maxillary sinuses on the panoramic image of the preoperative CBCT; (c) In the coronal image of the preoperative CBCT, the Schneiderian membrane was very thin and the buccal bone was not thick; (d) In the axial image of the preoperative CBCT scan, sinus membrane thickening was not found. Clinical picture of the lateral window approach with unintentional split-mouth design. (e) A lateral window approach performed in the right maxillary sinus without perforation of the Schneiderian membrane. After removal of the lateral bone window, the sinus membrane was separated from the sinus floor and elevated; (f) The MSA was performed. (g) The lateral bone window was repositioned; (h) The flap was closed; (i) An open lateral window approach performed on the left maxillary sinus with wide perforation of the Schneiderian membrane. The Schneiderian membrane was widely perforated during sinus floor elevation; (j) The Prichard elevator was placed in the maxillary sinus, and bone grafting was performed on the sinus floor; (k) After withdrawing the Prichard elevator, the upper part of the lateral window was opened. Membrane covering or repositioning was not performed; (l) The flap was closed. (m) Coronal image of CBCT immediately after the procedure. An open lateral window of the left maxillary sinus was observed; (n) Coronal image of CBCT 2 weeks after the procedure. The open lateral window was observed to close again. No leakage of the bone graft substitute was observed and there was no thickening of the Schneiderian membrane; (o) Coronal image of CBCT 1 year after surgery. An implant was placed in the right maxillary sinus, and an implant is scheduled to be installed in the left maxillary sinus. Membrane thickening was not observed. There was no additional leakage of bone graft.
2.2.3. Case 3
Implant treatment planned on a 72-year-old male smoker with no reported systemic conditions who previously used removable partial dentures. Panoramic imaging confirmed left and right maxillary sinus pneumatization with atrophied ridges. The height of the residual crestal bone on the panoramic radiography taken before surgery was approximately 1.0 mm in the right maxillary sinus and about 3 mm in the left maxillary sinus (Figure 3a,b). The CBCT taken before surgery confirmed no thickening of the Schneiderian membrane and thin lateral bone present over intended surgical site without the presence of the posterior superior alveolar artery. The maxillary ostium was open left and right (Figure 3c,d). In the lateral window approach performed in the right maxillary sinus, perforation of the Schneiderian membrane did not occur during the sinus floor elevation. The lateral bone lid was removed (Figure 3e). Osteon III (Genoss, Suwon, Korea) was filled in the elevated sinus, and the lateral window site was covered with a collagen membrane (Genoss, Suwon, Korea) (Figure 3f). The mucoperiosteal flap was closed (Figure 3g). In the lateral window approach performed on the left maxillary sinus, the membrane was perforated during sinus floor elevation. The lateral bone lid was pushed up while attached to the sinus membrane (Figure 3h). According to the modified proposed protocol of the open lateral window technique, the sinus floor was filled with Osteon III (Genoss, Suwon, Korea) and the upper part of the lateral window site was opened. Lateral window sites were not covered with a collagen membrane (Figure 3i). The mucoperiosteal flap was closed (Figure 3j). Post-operatively, intermittent nasal bleeding on the perforated sinus side with minor facial swelling and pain were noted for one week. Thereafter, no sinonasal complications were observed. In the coronal image of the CBCT taken immediately after surgery, no displacement of the bone graft particle was observed in the left and right sinus bone grafts (Figure 3k). In the coronal image of the CBCT taken 6 months after surgery, there was little change in the volume of the left and right sinus bone grafts, and minimal membrane thickening was observed only in the left maxillary sinus bone graft. All exposed bone graft substitutes were covered with soft tissue (Figure 3l).
Figure 3.
Case 3. (a) Preoperative panoramic radiograph. The right maxillary sinus was pneumatized and the residual alveolar bone was extremely insufficient. On the other hand, the left maxillary sinus was pneumatized, but some amount of residual alveolar bone was present; (b) Panoramic radiograph of preoperative CBCT scan. There was slight membrane thickening on the sinus floor, but the overall maxillary sinus was healthy; (c) Coronal image of preoperative CBCT scan. No blood vessels were observed at the site where the lateral window was to be formed, and the ostium was also open; (d) Axial image of preoperative CBCT scan. Sinus membrane thickening was not found. Lateral window approach with unintentional split-mouth design. (e) In the right maxillary sinus, there was no membrane perforation during sinus floor elevation. The MSA was performed using Osteon III. The lateral window site was covered with a collagen membrane; (f) In the left maxillary sinus, the Schneiderian membrane was widely perforated during sinus floor elevation. After bone grafting with Osteon III only on the sinus floor, the upper portion of the lateral window site was opened; (g) The flap was closed; (h) The left maxillary sinus was widely perforated during sinus floor elevation via the lateral window approach. Lateral bone window was pushed up; (i) Bone grafting was performed only on the sinus floor, and the upper lateral window site was opened. Membrane covering was not applied; (j) The mucoperiosteal flap was closed. (k) Coronal image of CBCT taken immediately after surgery. No leakage of the bone graft substitute was observed from the left maxillary sinus bone graft where the maxillary sinus membrane was perforated; (l) Coronal image of CBCT scan 6 months after surgery. A slight membrane thickening was observed in the left maxillary sinus compared to the right maxillary sinus where the perforation of the Schneiderian membrane occurred.
3. Discussion
The approach proposed in this study involves a modified surgical approach from what is generally utilized to manage perforations. However, this method is valuable and its application in clinical management of perforations results in minimal postoperative complications with no loss of bone graft placed at the site. Although not initially planned, the perforations were an incidental occurrence during surgery. The proposed procedure was employed to manage the large perforations, and such became a novel approach to circumferent large perforations during the procedure. The large perforations are generally challenging from a surgical management perspective. The proposed approach allows for continuation of treatment as planned without aborting the procedure due to large perforation. The access section of the sinus window displayed complete bony coverage notable with sufficient complete soft tissue coverage.
The mechanism of soft tissue covering in the widely perforated area is not clearly understood. However, we hypothesize reasons that could explain the success of this procedure. First, the regenerative potential of the Schneiderian membrane is excellent at the site of surgical injury [32,36]. Second, as in the extraction socket, the bone graft substitute is mixed with the blood clot and stabilized. Blood supply to the bone graft is from a torn Schneiderian membrane and a buccal flap through an open lateral window. The blood clotting of the exposed bone graft substitute prevents additional leakage of the bone graft substitute. In particular, in two cases, the MSA performed simultaneously with the open lateral window technique and the conventional technique could be unintentionally compared. There was no difference in the clinical and radiological results of these two procedures. In particular, the bone volume change was not as remarkable as expected. In the CBCT scan, the exposed portion of the sinus bone graft was covered with soft tissue after surgery. The thickness of Schneiderian membrane remained unchanged for 6–12 months postoperatively.
In patients with unrepairable perforation of the Schneiderian membrane, the lateral sinus floor elevation without repair of perforated Schneiderian membrane showed an unexpected healing process despite many risk factors. All the implants installed in the MSA were osseointegrated and continue to function well without failure. Ultimately, the proposed modification to MSA with large perforations is challenging and involves risks. It is an alternative treatment option that can be utilized for MSA targeting the Schneiderian membrane with a large perforation that is difficult to repair.
Within the cases presented, implants placed simultaneously can be viewed as a challenge. This especially becomes critical considering that the implants placed with or without the primary stability are at a higher risk of being displayed into the sinus. The authors recommend circumventing the risk by employing implants that are tissue level as opposed to bone level with a wider collar. The combination acts like a plug at the osteotomy site and prevents any further apical displacement.
The limitations of the proposed approach are encased by the fact that this case report is a preliminary documentation with a limited number of patients treated. Additionally, the patients that underwent this procedure had a non-complex medical history, primary ASAI or ASAII category. Medical conditions such as diabetes have been clinically documented to affect quality and time of healing. Conditions such as osteoporosis or bisphosphonate therapy can impact the overall quality and quantity of regenerated bone. The impact of these medical conditions has not been evaluated in the context of the proposed technique.
An extensive discussion on the quality and long prognosis of this procedure cannot be carried out due to the limited sample size and follow up time documented currently. However, a procedure such as what the case report entails, presents researchers with the opportunity to investigate its validity and prognosis long term in a more well planned, control study. The objective of this case report was to highlight the modifications made in surgery during an unpredictable unplanned large Schneiderian perforation that can be adopted for a predictable outcome that is directly comparable to typical sinus lift augmentation protocols.
4. Conclusions
Within the limitations of this case report, we gained success in managing large Schneiderian membrane perforation. A combination of modifications, in which the lateral window site was not completely covered with bone graft substitute and the upper third of the window left open without a membrane were utilized. The success of the procedures is evident from the gain in excellent bone volume with minimal postoperative complications for the purpose of implant placement and eventual dental rehabilitation in the maxillary posterior.
Author Contributions
Conceptualization, W.-B.P. and P.K.; Methodology, W.-B.P. and G.J.C.; Projection administration, W.-B.P. and P.K.; Supervision, W.-B.P. and P.K.; Validation, W.-B.P. and G.J.C.; Writing-original draft, W.-B.P.; G.J.C. and P.K.; Writing-review & editing, W.-B.P. and P.K. All authors have read and agree to the published version of the manuscript.
Funding
This research received no external funding.
Informed Consent Statement
All patients agreed to the publication. Informed consent was obtained from all patients.
Data Availability Statement
Data available on request. The data presented in this study are available on request from the corresponding author. The data are not publicly available due to privacy and ethical reasons.
Conflicts of Interest
The authors declare no conflict of interest.
References
- Starch-Jensen, T.; Aludden, H.; Hallman, M.; Dahlin, C.; Christensen, A.E.; Mordenfeld, A. A systematic review and meta-analysis of long-term studies (five or more years) assessing maxillary sinus floor augmentation. Int. J. Oral Maxillofac. Surg. 2018, 47, 103–116. [Google Scholar] [CrossRef] [PubMed]
- Tatum, O.H. Maxillary sinus grafting for endosseous implants. In Proceedings of the Annual Meeting of Alabama Implant Study Groupe, Birmingham, AL, USA, 13–14 April 1977. [Google Scholar]
- Boyne, P.J.; James, R.A. Grafting of the maxillary sinus floor with autogenous marrow and bone. J. Oral Surg. 1980, 38, 613–616. [Google Scholar] [PubMed]
- Park, W.B.; Kang, K.L.; Han, J.Y. Factors influencing long-term survival rates of implants placed simultaneously with lateral maxillary sinus floor augmentation: A 6- to 20-year retrospective study. Clin. Oral Implants Res. 2019, 30, 977–988. [Google Scholar] [CrossRef] [PubMed]
- Nooh, N. Effect of schneiderian membrane perforation on posterior maxillary implant survival. J. Int. Oral Health. 2013, 5, 28–34. [Google Scholar] [PubMed]
- Anavi, Y.; Allon, D.M.; Avishai, G.; Calderon, S. Complications of maxillary sinus augmentations in a selective series of patients. Oral Surg. Oral Med. Oral Pathol. Oral Radiol. Endod. 2008, 106, 34–38. [Google Scholar] [CrossRef]
- Hernández-Alfaro, F.; Torradeflot, M.M.; Marti, C. Prevalence and management of Schneiderian membrane perforations during sinus-lift procedures. Clin. Oral Implants Res. 2008, 19, 91–98. [Google Scholar] [CrossRef]
- Pikos, M.A. Maxillary sinus membrane repair: Update on technique for large and complete perforations. Implant Dent. 2008, 17, 24–31. [Google Scholar] [CrossRef]
- Park, W.B.; Lim, H.C. Late Developed Unusual Nasal Involvement of Postoperative Maxillary Cyst Following Maxillary Sinus Augmentation: A Case Report. Appl. Sci. 2021, 11, 10730. [Google Scholar] [CrossRef]
- Sakkas, A.; Konstantinidis, I.; Winter, K.; Schramm, A.; Wilde, F. Effect of Schneiderian membrane perforation on sinus lift graft outcome using two different donor sites: A retrospective study of 105 maxillary sinus elevation procedures. GMS Interdiscip. Plast. Reconstr. Surg. DGPW. 2016, 5, Doc11. [Google Scholar] [CrossRef]
- Timmenga, N.M.; Raghoebar, G.M.; Liem, R.S.; Van Weissenbruch, R.; Manson, W.L.; Vissink, A. Effects of maxillary sinus floor elevation surgery on maxillary sinus physiology. Eur. J. Oral Sci. 2003, 111, 189–197. [Google Scholar] [CrossRef]
- Zijderveld, S.A.; Van den Bergh, J.P.; Schulten, E.A.; Ten Bruggenkate, C.M. Anatomical and surgical findings and complications in 100 consecutive maxillary sinus floor elevation procedures. J. Oral Maxillofac. Surg. 2008, 66, 1426–1438. [Google Scholar] [CrossRef]
- Urban, I.A.; Nagursky, H.; Church, C.; Lozada, J.L. Incidence, diagnosis, and treatment of sinus graft infection after sinus floor elevation: A clinical study. Int. J. Oral Maxillofac. Implants. 2012, 27, 449–457. [Google Scholar]
- Chiapasco, M.; Felisati, G.; Zaniboni, M.; Pipolo, C.; Borloni, R.; Lozza, P. The treatment of sinusitis following maxillary sinus grafting with the association of functional endoscopic sinus surgery (FESS) and an intra-oral approach. Clin. Oral Implants Res. 2013, 24, 623–629. [Google Scholar] [CrossRef]
- Schwarz, L.; Schiebel, V.; Hof, M.; Ulm, C.; Watzek, G.; Pommer, B. Risk Factors of Membrane Perforation and Postoperative Complications in Sinus Floor Elevation Surgery: Review of 407 Augmentation Procedures. J. Oral Maxillofac. Surg. 2015, 73, 1275–1282. [Google Scholar] [CrossRef]
- Katranji, A.; Fotek, P.; Wang, H.L. Sinus augmentation complications: Etiology and treatment. Implant Dent. 2008, 17, 339–349. [Google Scholar] [CrossRef]
- Hunter, W.L., IV; Bradrick, J.P.; Houser, S.M.; Patel, J.B.; Sawady, J. Maxillary sinusitis resulting from ostium plugging by dislodged bone graft: Case report. J. Oral Maxillofac. Surg. 2009, 67, 1495–1498. [Google Scholar] [CrossRef]
- Aimetti, M.; Romagnoli, R.; Ricci, G.; Massei, G. Maxillary sinus elevation: The effect of macrolacerations and microlacerations of the sinus membrane as determined by endoscopy. Int. J. Periodontics Restor. Dent. 2001, 21, 581–589. [Google Scholar]
- Toscano, N.J.; Holtzclaw, D.; Rosen, P.S. The effect of piezoelectric use on open sinus lift perforation: A retrospective evaluation of 56 consecutively treated cases from private practices. J. Periodontol. 2010, 81, 167–171. [Google Scholar] [CrossRef]
- Ardekian, L.; Oved-Peleg, E.; Mactei, E.E.; Peled, M. The clinical significance of sinus membrane perforation during augmentation of the maxillary sinus. J. Oral Maxillofac. Surg. 2006, 64, 277–282. [Google Scholar] [CrossRef]
- Testori, T.; Wallace, S.S.; Del Fabbro, M.; Taschieri, S.; Trisi, P.; Capelli, M.; Weinstein, R.L. Repair of large sinus membrane perforations using stabilized collagen barrier membranes: Surgical techniques with histologic and radiographic evidence of success. Int. J. Periodontics Restor. Dent. 2008, 28, 9–17. [Google Scholar]
- Proussaefs, P.; Lozada, J.; Kim, J.; Rohrer, M.D. Repair of the perforated sinus membrane with a resorbable collagen membrane: A human study. Int. J. Oral Maxillofac. Implants. 2004, 19, 413–420. [Google Scholar] [PubMed]
- Van den Bergh, J.P.; Ten Bruggenkate, C.M.; Disch, F.J.; Tuinzing, D.B. Anatomical aspects of sinus floor elevations. Clin. Oral Implants Res. 2000, 11, 256–265. [Google Scholar] [CrossRef] [PubMed]
- Becker, S.T.; Terheyden, H.; Steinriede, A.; Behrens, E.; Springer, I.; Wiltfang, J. Prospective observation of 41 perforations of the Schneiderian membrane during sinus floor elevation. Clin. Oral Implants Res. 2008, 19, 1285–1289. [Google Scholar] [CrossRef]
- Aricioglu, C.; Dolanmaz, D.; Esen, A.; Isik, K.; Avunduk, M.C. Histological evaluation of effectiveness of platelet-rich fibrin on healing of sinus membrane perforations: A preclinical animal study. J. Craniomaxillofac. Surg. 2017, 45, 1150–1157. [Google Scholar] [CrossRef] [PubMed]
- Shlomi, B.; Horowitz, I.; Kahn, A.; Dobriyan, A.; Chaushu, G. The effect of sinus membrane perforation and repair with Lambone on the outcome of maxillary sinus floor augmentation: A radiographic assessment. The Int. J. Oral Maxillofac. Implants. 2004, 19, 559–562. [Google Scholar]
- Barbu, H.M.; Iancu, S.A.; Jarjour Mirea, I.; Mignogna, M.D.; Samet, N.; Calvo-Guirado, J.L. Management of Schneiderian Membrane Perforations during Sinus Augmentation Procedures: A Preliminary Comparison of Two Different Approaches. J. Clin. Med. 2019, 8, 1491. [Google Scholar] [CrossRef]
- Díaz-Olivares, L.A.; Cortés-Bretón Brinkmann, J.; Martínez-Rodríguez, N.; Martínez-González, J.M.; López-Quiles, J.; Leco-Berrocal, I. Meniz-García Management of Schneiderian membrane perforations during maxillary sinus floor augmentation with lateral approach in relation to subsequent implant survival rates: A systematic review and meta-analysis. Int. J. Implant Dent. 2021, 12, 91. [Google Scholar] [CrossRef]
- Nolan, P.J.; Freeman, K.; Kraut, R.A. Correlation between Schneiderian membrane perforation and sinus lift graft outcome: A retrospective evaluation of 359 augmented sinus. J. Oral Maxillofac. Surg. 2014, 72, 47–52. [Google Scholar] [CrossRef]
- Berbéri, A.; Sabbagh, J.; Bou Assaf, R.; Ghassibe-Sabbagh, M.; Al-Nemer, F.; El Majzoub, R.; Fayyad-kazan, M.; Badran, B. Comparing the osteogenic potential of schneiderian membrane and dental pulp mesenchymal stem cells: An in vitro study. Cell Tissue Bank. 2021, 22, 409–417. [Google Scholar] [CrossRef]
- Srouji, S.; Kizhner, T.; Ben David, D.; Riminucci, M.; Bianco, P.; Livne, E. The Schneiderian membrane contains osteoprogenitor cells: In vivo and in vitro study. Calcif. Tissue Int. 2009, 84, 138–145. [Google Scholar] [CrossRef]
- Derjac-Aramă, A.I.; Sarafoleanu, C.; Manea, C.M.; Nicolescu, M.I.; Vrapciu, A.D.; Rusu, M.C. Regenerative potential of human schneiderian membrane: Progenitor cells and epithelial-mesenchymal transition. Anat. Rec. 2015, 298, 2132–2140. [Google Scholar] [CrossRef]
- Jung, J.H.; Choi, B.H.; Jeong, S.M.; Li, J.; Lee, S.H.; Lee, H.J. A retrospective study of the effects on sinus complications of exposing dental implants to the maxillary sinus cavity. Oral Surg. Oral Med. Oral Pathol. Oral Radiol. Endod. 2007, 103, 623–625. [Google Scholar] [CrossRef]
- Zhong, W.; Chen, B.; Liang, X.; Ma, G. Experimental study on penetration of dental implants into the maxillary sinus in different depths. J. Appl. Oral Sci. 2013, 21, 560–566. [Google Scholar] [CrossRef]
- Troedhan, A.; Kurrek, A.; Wainwright, M. Biological Principles and Physiology of Bone Regeneration under the Schneiderian Membrane after Sinus Lift Surgery: A Radiological Study in 14 Patients Treated with the Transcrestal Hydrodynamic Ultrasonic Cavitational Sinus Lift (Intralift). Int. J. Dent. 2012, 2012, 576238. [Google Scholar] [CrossRef]
- Scarano, A.; Piattelli, A.; Iezzi, G.; Varvara, G. Spontaneous bone formation on the maxillary sinus floor in association with surgery to remove a migrated dental implant: A case report. Minerva Stomatol. 2014, 63, 351–359. [Google Scholar]
Publisher’s Note: MDPI stays neutral with regard to jurisdictional claims in published maps and institutional affiliations. |
© 2022 by the authors. Licensee MDPI, Basel, Switzerland. This article is an open access article distributed under the terms and conditions of the Creative Commons Attribution (CC BY) license (https://creativecommons.org/licenses/by/4.0/).