Stability of the Natural Joint Side in Unilateral Alloplastic Total Temporomandibular Joint Replacement Using a Ready-Made System
Abstract
1. Introduction
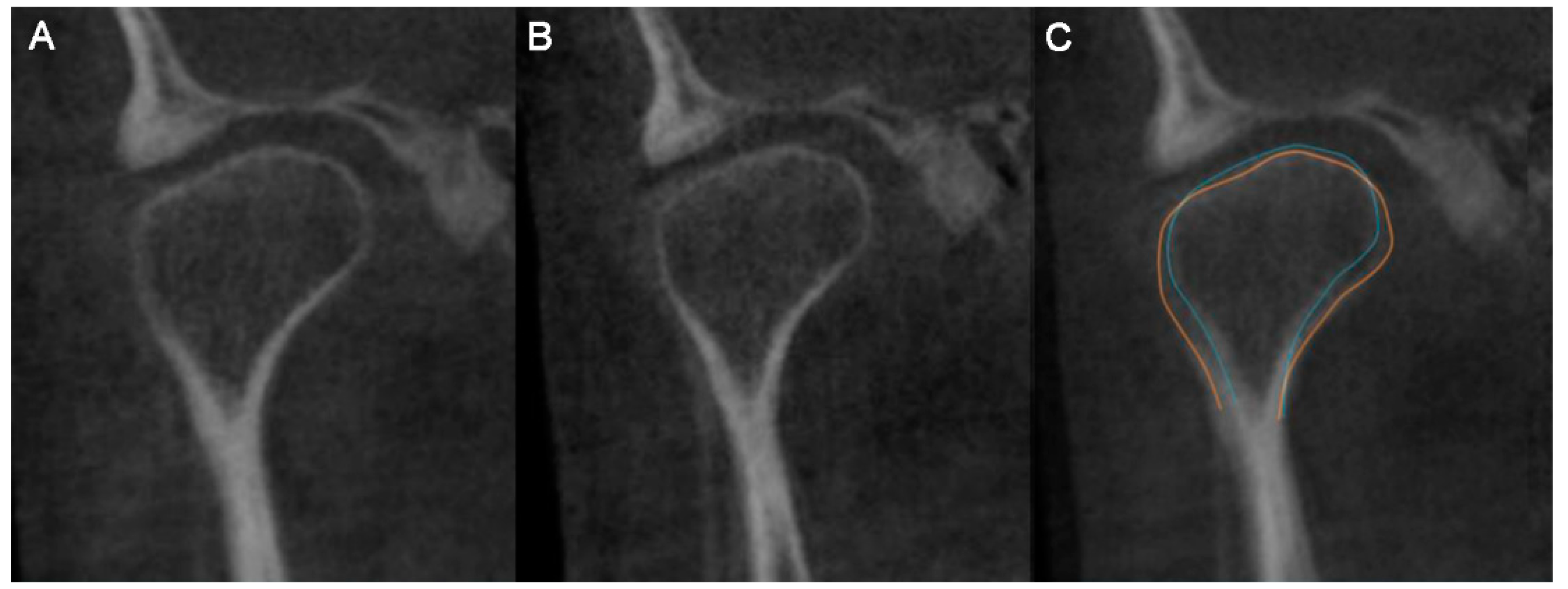
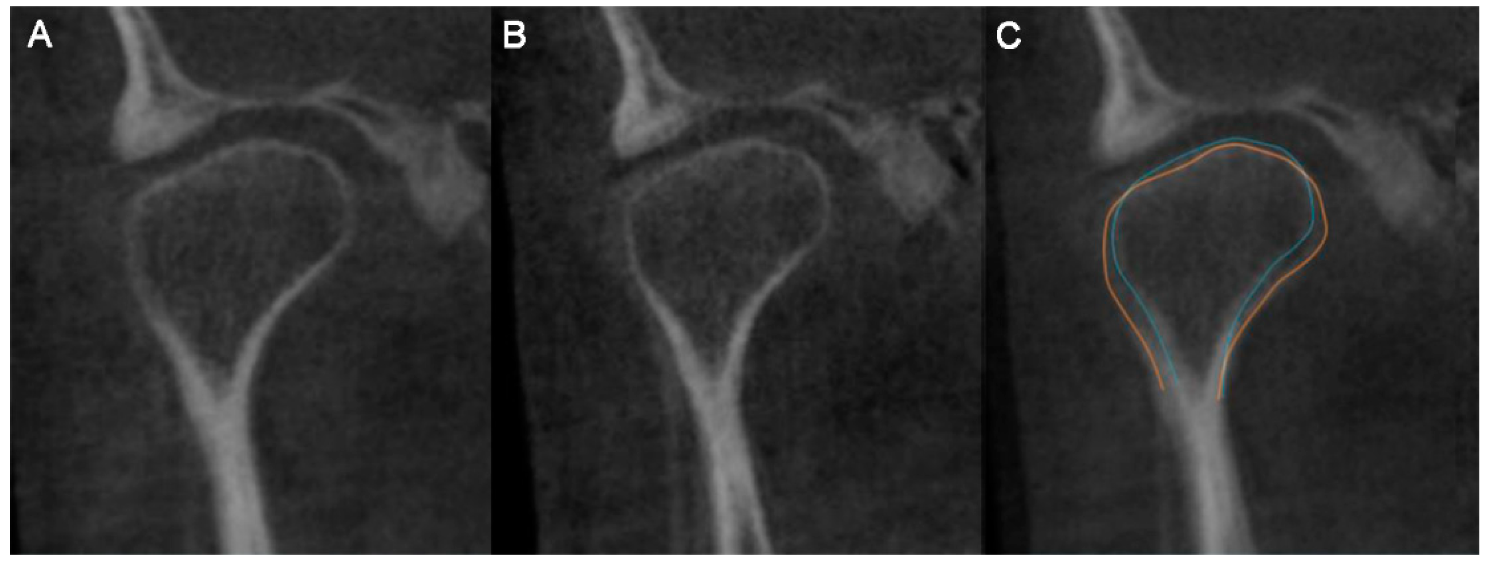
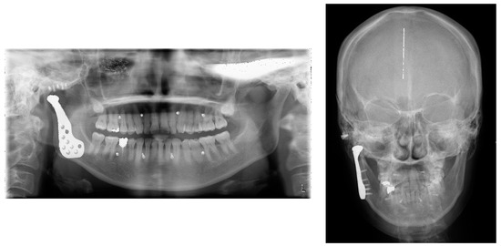
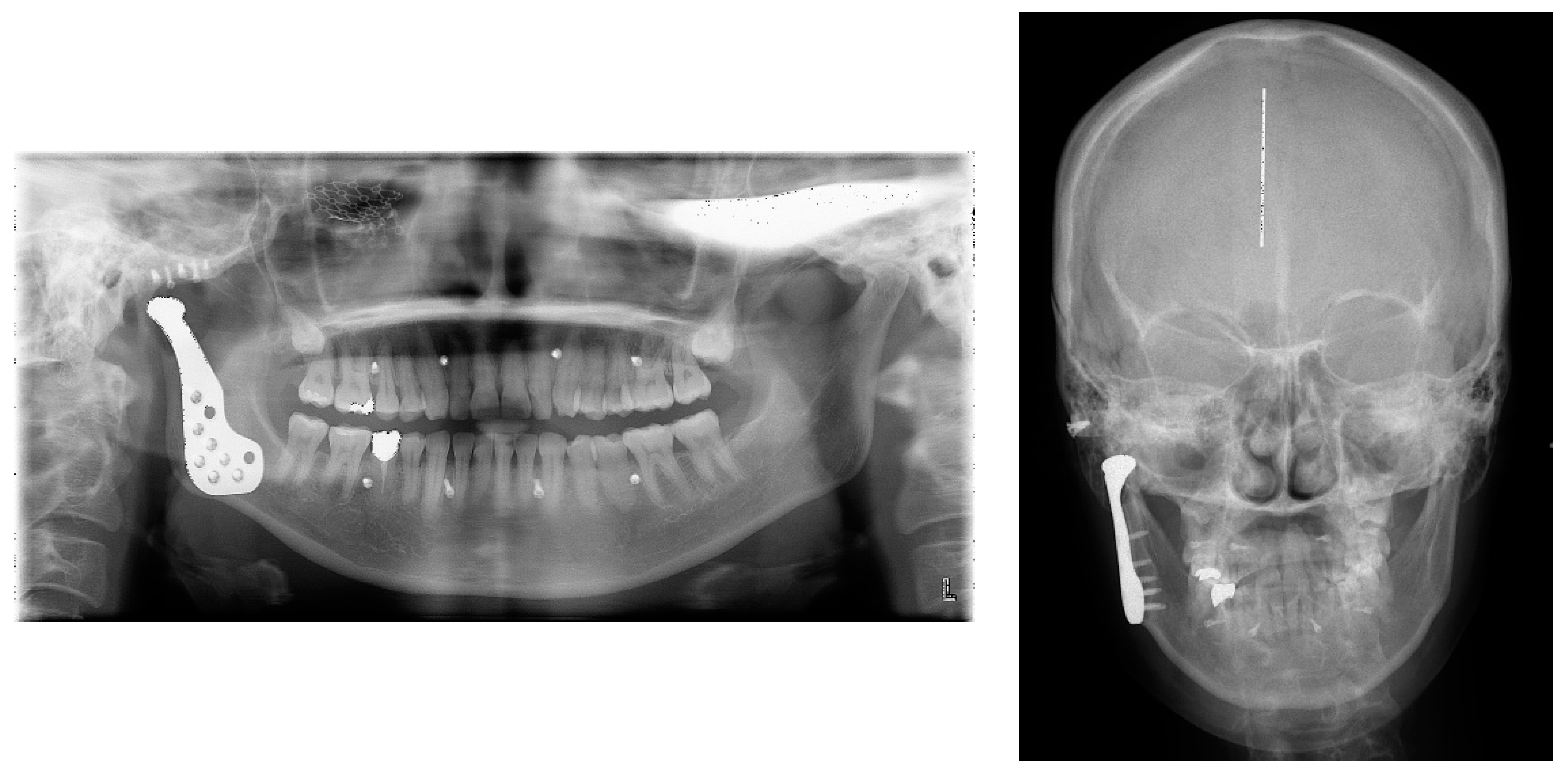
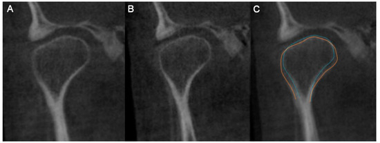
2. Materials and Methods
3. Results
4. Discussion
5. Conclusions
Author Contributions
Funding
Institutional Review Board Statement
Informed Consent Statement
Data Availability Statement
Conflicts of Interest
References
- MacIntosh, R.B. The use of autogenous tissues for temporomandibular joint reconstruction. J. Oral Maxillofac. Surg. 2000, 58, 63–69. [Google Scholar] [CrossRef]
- Jones, R. Temporomandibular joint reconstruction with total alloplastic joint replacement. Aust. Dent. J. 2011, 56, 85–91. [Google Scholar] [CrossRef]
- Kaban, L.B.; Perrott, D.H.; Fisher, K. A protocol for management of temporomandibular joint ankylosis. J. Oral Maxillofac. Surg. 1990, 48, 1145–1151. [Google Scholar] [CrossRef]
- Kaban, L.B.; Bouchard, C.; Troulis, M.J. A Protocol for Management of Temporomandibular Joint Ankylosis in Children. J. Oral Maxillofac. Surg. 2009, 67, 1966–1978. [Google Scholar] [CrossRef]
- Cho, J.-W.; Park, J.-H.; Kim, J.-W.; Kim, S.-J. The sequential management of recurrent temporomandibular joint ankylosis in a growing child: A case report. Maxillofac. Plast. Reconstr. Surg. 2016, 38, 1–6. [Google Scholar] [CrossRef] [PubMed]
- Jang, H.W.; Kim, N.-K.; Lee, W.-S.; Kim, H.J.; Cha, I.-H.; Nam, W. Mandibular condyle and infratemporal fossa reconstruction using vascularized costochondral and calvarial bone grafts. J. Korean Assoc. Oral Maxillofac. Surg. 2014, 40, 83–86. [Google Scholar] [CrossRef][Green Version]
- Carr, A.J.; Robertsson, O.; Graves, S.; Price, A.J.; Arden, N.K.; Judge, A.; Beard, D.J. Knee replacement. Lancet 2012, 379, 1331–1340. [Google Scholar] [CrossRef]
- Kim, H.-A.; Kim, S.; Seo, Y.I.; Choi, H.J.; Seong, S.-C.; Song, Y.W.; Hunter, D.; Zhang, Y. The epidemiology of total knee replacement in South Korea: National registry data. Rheumatology 2008, 47, 88–91. [Google Scholar] [CrossRef]
- Hawkins, A.; Mercuri, L.G.; Miloro, M. Are Rib Grafts Still Used for Temporomandibular Joint Reconstruction? J. Oral Maxillofac. Surg. 2020, 78, 195–202. [Google Scholar] [CrossRef] [PubMed]
- Mercuri, L. Alloplastic temporomandibular joint replacement: Rationale for the use of custom devices. Int. J. Oral Maxillofac. Surg. 2012, 41, 1033–1040. [Google Scholar] [CrossRef] [PubMed]
- Lee, W.-Y.; Park, Y.-W.; Kim, S.-G. Comparison of Costochondral Graft and Customized Total Joint Reconstruction for Treatments of Temporomandibular Joint Replacement. Maxillofac. Plast. Reconstr. Surg. 2014, 36, 135–139. [Google Scholar] [CrossRef][Green Version]
- Kent, J.N.; Block, M.S.; Halpern, J.; Fontenot, M.G. Update on the Vitek partial and total temporomandibular joint systems. J. Oral Maxillofac. Surg. 1993, 51, 408–415. [Google Scholar] [CrossRef]
- Lee, S.-H.; Ryu, D.-J.; Kim, H.-S.; Kim, H.-G.; Huh, J.-K. Alloplastic total temporomandibular joint replacement using stock prosthesis: A one-year follow-up report of two cases. J. Korean Assoc. Oral Maxillofac. Surg. 2013, 39, 297–303. [Google Scholar] [CrossRef]
- Mercuri, L.G. Patient-Fitted (“Custom”) Alloplastic Temporomandibular Joint Replacement Technique. Atlas Oral Maxillofac. Surg. Clin. 2011, 19, 233–242. [Google Scholar] [CrossRef] [PubMed]
- Wolford, L.; Movahed, R.; Teschke, M.; Fimmers, R.; Havard, D.; Schneiderman, E. Temporomandibular Joint Ankylosis Can Be Successfully Treated With TMJ Concepts Patient-Fitted Total Joint Prosthesis and Autogenous Fat Grafts. J. Oral Maxillofac. Surg. 2016, 74, 1215–1227. [Google Scholar] [CrossRef] [PubMed]
- De Meurechy, N.; Mommaerts, M. Alloplastic temporomandibular joint replacement systems: A systematic review of their history. Int. J. Oral Maxillofac. Surg. 2018, 47, 743–754. [Google Scholar] [CrossRef] [PubMed]
- Mercuri, L.G.; Wolford, L.M.; Sanders, B.; White, R.; Giobbie-Hurder, A. Long-term follow-up of the CAD/CAM patient fitted total temporomandibular joint reconstruction system. J. Oral Maxillofac. Surg. 2002, 60, 1440–1448. [Google Scholar] [CrossRef]
- Franco, P.; Talwar, R.; Wolford, L. Unilateral TMJ total joint reconstruction and the effects on the contralateral joint. AAOMS 79th Annual Meeting and Scientific Sessions. J Oral Maxillofac. Surg. 1997, 55, 113. [Google Scholar]
- Perez, D.E.; Wolford, L.M.; Schneiderman, E.; Movahed, R.; Bourland, C.; Gutierrez, E.P. Does Unilateral Temporomandibular Total Joint Reconstruction Result in Contralateral Joint Pain and Dysfunction? J. Oral Maxillofac. Surg. 2016, 74, 1539–1547. [Google Scholar] [CrossRef]
- Bekcioglu, B.; Bulut, E.; Bas, B. The Effects of Unilateral Alloplastic Temporomandibular Joint Replacement on the Opposite-Side Natural Joint: A Finite-Element Analysis. J. Oral Maxillofac. Surg. 2017, 75, 2316–2322. [Google Scholar] [CrossRef]
- Granquist, E.J.; Quinn, P.D. Total Reconstruction of the Temporomandibular Joint with a Stock Prosthesis. Atlas Oral Maxillofac. Surg. Clin. 2011, 19, 221–232. [Google Scholar] [CrossRef]
- Aagaard, E.; Thygesen, T. A prospective, single-centre study on patient outcomes following temporomandibular joint replacement using a custom-made Biomet TMJ prosthesis. Int. J. Oral Maxillofac. Surg. 2014, 43, 1229–1235. [Google Scholar] [CrossRef]
- Leandro, L.L.; Ono, H.; Loureiro, C.D.S.; Marinho, K.; Guevara, H.G. A ten-year experience and follow-up of three hundred patients fitted with the Biomet/Lorenz Microfixation TMJ replacement system. Int. J. Oral Maxillofac. Surg. 2013, 42, 1007–1013. [Google Scholar] [CrossRef] [PubMed]
- Siegmund, B.; Winter, K.; Meyer-Marcotty, P.; Rustemeyer, J. Reconstruction of the temporomandibular joint: A comparison between prefabricated and customized alloplastic prosthetic total joint systems. Int. J. Oral Maxillofac. Surg. 2019, 48, 1066–1071. [Google Scholar] [CrossRef] [PubMed]
- Gerbino, G.; Zavattero, E.; Bosco, G.; Berrone, S.; Ramieri, G. Temporomandibular joint reconstruction with stock and custom-made devices: Indications and results of a 14-year experience. J. Cranio Maxillofac. Surg. 2017, 45, 1710–1715. [Google Scholar] [CrossRef]
- Zou, L.; He, D.; Ellis, E. A Comparison of Clinical Follow-Up of Different Total Temporomandibular Joint Replacement Prostheses: A Systematic Review and Meta-Analysis. J. Oral Maxillofac. Surg. 2018, 76, 294–303. [Google Scholar] [CrossRef] [PubMed]
- Giannakopoulos, H.E.; Sinn, D.P.; Quinn, P.D. Biomet Microfixation Temporomandibular Joint Replacement System: A 3-Year Follow-Up Study of Patients Treated During 1995 to 2005. J. Oral Maxillofac. Surg. 2012, 70, 787–794. [Google Scholar] [CrossRef]
- De Meurechy, N.K.G.; Zaror, C.E.; Mommaerts, M.Y. Total Temporomandibular Joint Replacement: Stick to Stock or Optimization by Customization? Craniomaxillofacial Trauma Reconstr. 2020, 13, 59–70. [Google Scholar] [CrossRef]
- Rhee, S.-H.; Baek, S.-H.; Park, S.-H.; Kim, J.-C.; Jeong, C.-G.; Choi, J.-Y. Total joint reconstruction using computer-assisted surgery with stock prostheses for a patient with bilateral TMJ ankylosis. Maxillofac. Plast. Reconstr. Surg. 2019, 41, 1–6. [Google Scholar] [CrossRef]
- Park, J.-H.; Jo, E.; Cho, H.; Kim, H.J. Temporomandibular joint reconstruction with alloplastic prosthesis: The outcomes of four cases. Maxillofac. Plast. Reconstr. Surg. 2017, 39, 6. [Google Scholar] [CrossRef]
- Van Loon, J.-P.; Falkenstrom, C.H.; De Bont, L.G.M.; Verkerke, G.J.; Stegenga, B. The Theoretical Optimal Center of Rotation for a Temporomandibular Joint Prosthesis: A Three-dimensional Kinematic Study. J. Dent. Res. 1999, 78, 43–48. [Google Scholar] [CrossRef]
- Kanatsios, S.; Breik, O.; Dimitroulis, G. Biomet stock temporomandibular joint prosthesis: Long-term outcomes of the use of titanium condyles secured with four or five condylar fixation screws. J. Cranio Maxillofac. Surg. 2018, 46, 1697–1702. [Google Scholar] [CrossRef]
- Wojczyńska, A.; Leiggener, C.; Bredell, M.; Ettlin, D.; Erni, S.; Gallo, L.; Colombo, V. Alloplastic total temporomandibular joint replacements: Do they perform like natural joints? Prospective cohort study with a historical control. Int. J. Oral Maxillofac. Surg. 2016, 45, 1213–1221. [Google Scholar] [CrossRef] [PubMed]
- Westermark, A.; Leiggener, C.; Aagaard, E.; Lindskog, S. Histological findings in soft tissues around temporomandibular joint prostheses after up to eight years of function. Int. J. Oral Maxillofac. Surg. 2011, 40, 18–25. [Google Scholar] [CrossRef]
- Mercuri, L.G. Subjective and objective outcomes in patients reconstructed with a custom-fitted alloplastic temporomandibular joint prothesis. J. Oral Maxillofac. Surg. 1999, 57, 1427–1430. [Google Scholar] [CrossRef]
- Bai, G.; He, D.; Yang, C.; Chen, M.; Yuan, J.; Wilson, J.J. Application of Digital Templates to Guide Total Alloplastic Joint Replacement Surgery With Biomet Standard Replacement System. J. Oral Maxillofac. Surg. 2014, 72, 2440–2452. [Google Scholar] [CrossRef] [PubMed]




| Patient | Age | Gender | Operation Site | Diagnosis | Previous Treatment & Present Illness |
|---|---|---|---|---|---|
| 1 | 68 | M | Rt. | (1) Malunion of Rt. condyle (2) TMJ ankylosis & osteoarthritis | ORIF & mouth opening limitation |
| 2 | 80 | M | Rt. | Degenerative osteoarthritis severe anatomical changes of Rt. condyle | Severe erosion & bony ankylosis of condyle |
| 3 | 62 | M | Lt. | Comminuted fracture of Lt. condyle | Closed reduction |
| 4 | 44 | F | Rt. | TMJ ankylosis of Rt. condyle | Arthroplasty & Chronic pain |
| 5 | 52 | M | Rt. | (1) Osteochondroma of Rt. Condyle (2) Fracture of R-plate | Mass removal & reconstruction with rib bone and cartilage |
| 6 | 57 | M | Rt. | Comminuted fracture of Rt. condyle | Open bite & mouth opening limitation |
| 7 | 44 | F | Lt. | Comminuted fracture of Lt. condyle | ORIF & mouth opening limitation |
| 8 | 63 | F | Lt. | Osteoma with degenerative change of Lt. condyle | Biopsy (Osteoma) & malocclusion |
| Patient Number | MMO (mm) | Pain (VAS) | Noise | ||||||||||||
|---|---|---|---|---|---|---|---|---|---|---|---|---|---|---|---|
| Pre-Op. | Post-Op. | Pre-Op. | Post-Op. | Pre-Op. | Post-Op. | ||||||||||
| 6 Months | 3 Years | 6 Months | 3 Years | 6 Months | 3 Years | ||||||||||
| A | N | A | N | A | N | A | N | A | N | A | N | ||||
| 1 | 19 | 40 | 44 | 8 | 0 | 2 | 0 | 0 | 0 | - | - | - | - | - | - |
| 2 | 45 | 49 | 49 | 5 | 0 | 0 | 0 | 0 | 0 | + | - | - | - | - | - |
| 3 | 40 | 50 | 57 | 5 | 0 | 0 | 0 | 0 | 0 | - | - | - | - | - | - |
| 4 | 43 | 45 | 40 | 7 | 0 | 7 | 0 | 0 | 0 | + | - | - | - | - | - |
| 5 | 38 | 38 | 39 | 0 | 0 | 0 | 0 | 0 | 0 | - | - | - | - | - | - |
| 6 | 33 | 43 | 44 | 2 | 0 | 0 | 0 | 0 | 0 | - | - | - | - | - | - |
| 7 | 33 | 36 | 34 | 1 | 0 | 0 | 0 | 0 | 0 | - | - | - | - | - | |
| 8 | 49 | 44 | 46 | 0 | 0 | 0 | 0 | 0 | 0 | + | - | - | - | - | |
Publisher’s Note: MDPI stays neutral with regard to jurisdictional claims in published maps and institutional affiliations. |
© 2021 by the authors. Licensee MDPI, Basel, Switzerland. This article is an open access article distributed under the terms and conditions of the Creative Commons Attribution (CC BY) license (https://creativecommons.org/licenses/by/4.0/).
Share and Cite
Kim, J.-H.; Park, B.-H.; Yoo, M.-S.; Lee, B.-K. Stability of the Natural Joint Side in Unilateral Alloplastic Total Temporomandibular Joint Replacement Using a Ready-Made System. Appl. Sci. 2021, 11, 3935. https://doi.org/10.3390/app11093935
Kim J-H, Park B-H, Yoo M-S, Lee B-K. Stability of the Natural Joint Side in Unilateral Alloplastic Total Temporomandibular Joint Replacement Using a Ready-Made System. Applied Sciences. 2021; 11(9):3935. https://doi.org/10.3390/app11093935
Chicago/Turabian StyleKim, Jin-Hong, Byung-Ho Park, Myoung-Sang Yoo, and Bu-Kyu Lee. 2021. "Stability of the Natural Joint Side in Unilateral Alloplastic Total Temporomandibular Joint Replacement Using a Ready-Made System" Applied Sciences 11, no. 9: 3935. https://doi.org/10.3390/app11093935
APA StyleKim, J.-H., Park, B.-H., Yoo, M.-S., & Lee, B.-K. (2021). Stability of the Natural Joint Side in Unilateral Alloplastic Total Temporomandibular Joint Replacement Using a Ready-Made System. Applied Sciences, 11(9), 3935. https://doi.org/10.3390/app11093935

