Preparation of an Oxygen-Releasing Capsule for Large-Sized Tissue Regeneration
Abstract
1. Introduction
2. Materials and Methods
2.1. Manufacturing Method
2.2. Evaluation of Physical Properties
2.3. Analysis of Oxygen Release Profile
2.4. Cell Compatibility Analysis
2.5. Analysis of DAPI Labeling of Cells
2.6. Reverse Transcription Polymerase Chain Reaction (RT-PCR) Study
2.7. In Vivo Study
2.8. Statistical Analysis
3. Results
3.1. Structural Characterization of Oxygen-Releasing Capsule
3.2. Evaluation for Effect of Alginate Ratio
3.3. Biocompatibility Evaluation
3.4. Evaluation of the Oxygen Release Profile
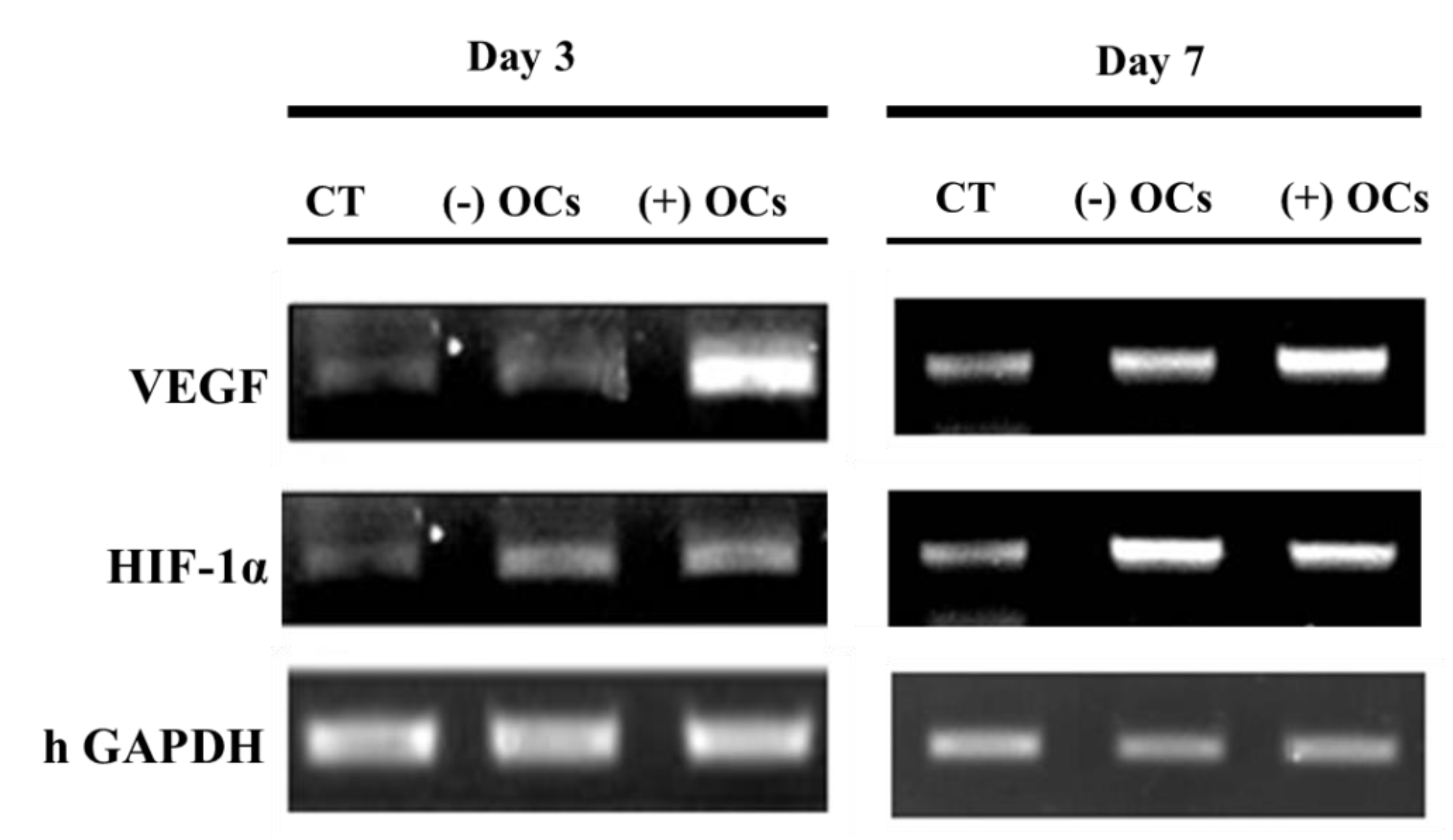
3.5. Gene Expression
3.6. Evaluation of In Vivo
4. Discussion
Author Contributions
Funding
Acknowledgments
Conflicts of Interest
References
- Farris, A.L.; Rindone, A.N.; Grayson, W.L. Oxygen Delivering Biomaterials for Tissue Engineering. J. Mater. Chem. B Mater. Biol. Med. 2016, 4, 3422–3432. [Google Scholar] [CrossRef]
- Kang, T.Y.; Hong, J.M.; Jung, J.W.; Kang, H.W.; Cho, D.W. Construction of Large-Volume Tissue Mimics with 3D Functional Vascular Networks. PLoS ONE 2016, 11, e0156529. [Google Scholar] [CrossRef] [PubMed]
- Chun, S.Y.; Lim, J.O.; Lee, E.H.; Han, M.H.; Ha, Y.S.; Lee, J.N.; Kim, B.S.; Park, M.J.; Yeo, M.; Jung, B.; et al. Preparation and characterization of human adipose tissue derived extracellular matrix, growth factors, and stem cells: A concise review. Tissue Eng. Regen. Med. 2019, 16, 385–393. [Google Scholar] [CrossRef] [PubMed]
- Malda, J.; Rouwkema, J.; Martens, D.E.; le Comte, E.P.; Kooy, F.K.; Tramper, J.; van Blitterswijk, C.A.; Riesle, J. Oxygen gradients in tissue-engineered PEGT/PBT cartilaginous constructs: Measurement and modeling. Biotechnol. Bioeng. 2004, 86, 9–18. [Google Scholar] [CrossRef]
- Costa-Almeida, R.; Gomez-Lazaro, M.; Ramalho, C.; Granja, P.L.; Soares, R.; Guerreiro, S.G. Fibroblast-endothelial partners for vascularization strategies in tissue engineering. Tissue Eng. Part A 2015, 21, 1055–1065. [Google Scholar] [CrossRef] [PubMed]
- Benjamin, S.; Sheyn, D.; Ben-David, S.; Oh, A.; Kallai, I.; Li, N.; Gazit, D.; Gazit, Z. Oxygenated environment enhances both stem cell survival and osteogenic differentiation. Tissue Eng. Part A 2013, 19, 748–758. [Google Scholar] [CrossRef] [PubMed]
- Nomi, M.; Atala, A.; Coppi, P.D.; Soker, S. Principals of neovascularization for tissue engineering. Mol. Asp. Med. 2002, 23, 463–483. [Google Scholar] [CrossRef]
- Carletti, E.; Motta, A.; Migliaresi, C. Scaffolds for tissue engineering and 3D cell culture. Methods MolBiol. 2011, 695, 17–39. [Google Scholar]
- Nguyen, L.T.; Bang, S.M.; Noh, I.S. Tissue Regeneration of Human Mesenchymal Stem Cells on Porous Gelatin Micro-Carriers by Long-Term Dynamic in vitro Culture. Biomaterials 2019, 16, 19–28. [Google Scholar] [CrossRef]
- Leach, R.M.; Treacher, D.F. Oxygen transport: Tissue hypoxia. BMJ 1998, 317, 1370–1373. [Google Scholar] [CrossRef]
- Khademhosseini, A.; Langer, R.; Borenstein, J.; Vacanti, J.P. Microscale technologies for tissue engineering and biology. Proc. Natl. Acad. Sci. USA 2006, 103, 2480–2487. [Google Scholar] [CrossRef]
- Malda, J.; Woodfield, T.B.; Van Der Vloodt, F.; Kooy, F.K.; Martens, D.E.; Tramper, J.; van Blitterswijk, C.A.; Riesle, J. The effect of PEGT/PBT scaffold architecture on oxygen gradients in tissue engineered cartilaginous constructs. Biomaterials 2004, 25, 5773–5780. [Google Scholar] [CrossRef] [PubMed]
- Lim, J.O.; Huh, J.S.; Abdi, S.I.H.; Ng, S.M.; Yoo, J.J. Functionalized Biomaterials-Oxygen Releasing Scaffolds. J. Biotechnol. Biomater. 2015, 5, 1000182. [Google Scholar]
- Nija, R.J.; Sanju, S.; Sidharthan, N.; Mony, U. Extracellular trap by blood cells: Clinical implications. Tissue Eng. Regen. Med. 2020, 17, 141–153. [Google Scholar] [CrossRef] [PubMed]
- Harrison, B.S.; Eberli, D.; Lee, S.J.; Atala, A.; Yoo, J.J. Oxygen producing biomaterials for tissue regeneration. Biomaterials 2007, 28, 4628–4634. [Google Scholar] [CrossRef] [PubMed]
- Oh, S.H.; Ward, C.L.; Atala, A.; Yoo, J.J.; Harrison, B.S. Oxygen generating scaffolds for enhancing engineered tissue survival. Biomaterials 2009, 30, 757–762. [Google Scholar] [CrossRef]
- Ng, S.M.; Choi, J.Y.; Han, H.S.; Huh, J.S.; Lim, J.O. Novel microencapsulation of potential drugs with low molecular weight and high hydrophilicity: Hydrogen peroxide as a candidate compound. Int. J. Pharm. 2010, 384, 120–127. [Google Scholar] [CrossRef]
- Abdi, S.I.H.; Ng, S.M.; Lim, J.O. An enzyme-modulated oxygen-producing micro-system for regenerative therapeutics. Int. J. Pharm. 2011, 409, 203–205. [Google Scholar] [CrossRef]
- Abdi, S.I.H.; Choi, J.Y.; Lau, H.C.; Lim, J.O. Controlled release of oxygen from PLGA-alginate layered matrix and its in vitro characterization on the viability of muscle cells under hypoxic environment. Tissue Eng. Regen. Med. 2013, 10, 131–138. [Google Scholar] [CrossRef]
- Jung, D.W.; Kim, Y.H.; Kim, T.G.; Lee, J.H.; Chung, K.J.; Lim, J.O.; Choi, J.Y. Improvement of Fat Transplantation: Fat Graft with Adipose-Derived Stem Cells and Oxygen-Generating Microspheres. Ann. Plast. Surg. 2015, 75, 463–470. [Google Scholar] [CrossRef]
- Choi, J.Y.; Hong, G.S.; Kwon, T.G.; Lim, J.O. Fabrication of Oxygen Releasing Scaffold by Embedding H2O2-PLGA Microspheres into Alginate-Based Hydrogel Sponge and Its Application for Wound Healing. Appl. Sci. 2018, 8, 1492. [Google Scholar] [CrossRef]
- Grigoras, A.G. Catalase immobilization—A review. Biochem. Eng. J. 2017, 17 Pt B, 1–20. [Google Scholar] [CrossRef]
- Bang, S.M.; Jung, U.W.; Noh, I.S. Synthesis and Biocompatibility Characterizations of in Situ Chondroitin Sulfate–Gelatin Hydrogel for Tissue Engineering. Biomaterials 2018, 15, 25–35. [Google Scholar] [CrossRef] [PubMed]
- Available online: www.thermofisher.com (accessed on 24 October 2018).
- Wu, Y.; Wang, L.; Guo, B.; Ma, P.X. Interwoven Aligned Conductive Nanofiber Yarn/Hydrogel Composite Scaffolds for Engineered 3D Cardiac Anisotropy. ACS Nano 2017, 27, 5646–5659. [Google Scholar] [CrossRef] [PubMed]
- Sun, M.T.; O’Connor, A.J.; Milne, I.; Biswas, D.; Casson, R.; Wood, J.; Selva, D. Development of Macroporous Chitosan Scaffolds for Eyelid Tarsus Tissue Engineering. Tissue Eng. Regen. Med. 2019, 16, 595–604. [Google Scholar] [CrossRef] [PubMed]
- Hokmabad, V.R.; Davaran, S.; Aghazadeh, M.; Alizadeh, E.; Salehi, R.; Ramazani, A. A Comparison of the Effects of Silica and Hydroxyapatite Nanoparticles on Poly(ɛ-caprolactone)-poly(ethylene glycol)-poly(ɛ-caprolactone)/Chitosan Nanofibrous Scaffolds for Bone Tissue Engineering. Tissue Eng. 2018, 15, 735–750. [Google Scholar] [CrossRef]
- Sarkar, S.; Schmitz-Rixen, T.; Hamilton, G.; Seifalian, A.M. Achieving the ideal properties for vascular bypass grafts using a tissue engineered approach: A review. Med. Biol. Eng. Comput. 2007, 45, 327–336. [Google Scholar] [CrossRef]
- Chandra, P.; Atala, A. Engineering blood vessels and vascularized tissues: Technology trends and potential clinical applications. Clin. Sci. 2019, 133, 1115–1135. [Google Scholar] [CrossRef]
- Lee, J.Y.; Lee, S.H.; Lee, B.K.; Park, S.H.; Cho, Y.S.; Park, Y.D. Fabrication of Microchannels and Evaluation of Guided Vascularization in Biomimetic Hydrogels. Biomaterials 2018, 15, 403–413. [Google Scholar] [CrossRef]








| Gene | Primer Sequence | Product Size (nM) | Denature Temperature (°C) | Annealing Temperature (°C) | Extension Temperature (°C) | Cycles (times) |
|---|---|---|---|---|---|---|
| HIF-1 α | U: CTTCGGTATTTAAACCATTGCAT D: GGACAAACTCCCTAGCCCAA | 25 25 | 95 | 54.5 | 72 | 32 |
| VEGF | U: CTACCTCCACCATGCCAAGT D: GCGAGTCTGTGTTTTTGCAG | 25 25 | 95 | 53 | 72 | 28 |
Publisher’s Note: MDPI stays neutral with regard to jurisdictional claims in published maps and institutional affiliations. |
© 2020 by the authors. Licensee MDPI, Basel, Switzerland. This article is an open access article distributed under the terms and conditions of the Creative Commons Attribution (CC BY) license (http://creativecommons.org/licenses/by/4.0/).
Share and Cite
Choi, J.; Chun, S.Y.; Kwon, T.G.; Lim, J.O. Preparation of an Oxygen-Releasing Capsule for Large-Sized Tissue Regeneration. Appl. Sci. 2020, 10, 8399. https://doi.org/10.3390/app10238399
Choi J, Chun SY, Kwon TG, Lim JO. Preparation of an Oxygen-Releasing Capsule for Large-Sized Tissue Regeneration. Applied Sciences. 2020; 10(23):8399. https://doi.org/10.3390/app10238399
Chicago/Turabian StyleChoi, Jeongyeon, So Young Chun, Tae Gyun Kwon, and Jeong Ok Lim. 2020. "Preparation of an Oxygen-Releasing Capsule for Large-Sized Tissue Regeneration" Applied Sciences 10, no. 23: 8399. https://doi.org/10.3390/app10238399
APA StyleChoi, J., Chun, S. Y., Kwon, T. G., & Lim, J. O. (2020). Preparation of an Oxygen-Releasing Capsule for Large-Sized Tissue Regeneration. Applied Sciences, 10(23), 8399. https://doi.org/10.3390/app10238399
