Hepatoprotective Effects of Garlic Extract against Carbon Tetrachloride (CCl4)-Induced Liver Injury via Modulation of Antioxidant, Anti-Inflammatory Activities and Hepatocyte Architecture
Abstract
1. Introduction
2. Materials and Methods
2.1. Chemicals
2.2. Preparation of Crude Methanolic Garlic Extract and Reference Drug Preparation
2.3. In Vitro Study
2.3.1. Confirmatory Tests for Flavonoids (Alkaline Reagent Test) and Phenolics (FeCl3 Test)
2.3.2. Determination of Total Phenolic Content by Folin-Ciocalteu Reagent
2.3.3. Total Flavonoid Content
2.3.4. Estimation of DPPH Scavenging Ability
2.3.5. Hydrogen Peroxide Reducing Ability
2.3.6. Inhibition of Bovine Serum Albumin Denaturation
2.3.7. Anti-Proteinase Action
2.3.8. Inhibition of Egg Albumin Denaturation
2.4. In Vivo Studies
2.4.1. Animals
2.4.2. Induction of Liver Damage
2.4.3. Animals Grouping
2.4.4. Blood Sampling
2.4.5. Measurement of Serum Aminotransferase Activities, Lipid Profile and Total Protein
2.4.6. Measurement of Antioxidant Enzymes
2.4.7. Assay of C-Reactive Protein (CRP), TNF-Alpha, IL-6 and ICAM1
2.4.8. Haematoxylin and Eosin (H&E) Staining for Histological Examinations
2.4.9. Masson Trichrome Staining
2.4.10. Expressional Evaluation of VEGF Protein
2.4.11. Statistical Analysis
3. Results
3.1. In Vitro Studies
3.1.1. Preliminary Study
3.1.2. α,α-Diphenyl-β-Picrylhydrazyl (DPPH) Free Radical Scavenging Method
3.1.3. Hydrogen Peroxide (H2O2) Radical Reducing Ability
3.1.4. Inhibition of Bovine Serum Albumin Denaturation
3.1.5. Anti-Proteinase Ability
3.1.6. Inhibition of Egg Albumin Denaturation
3.2. In Vivo Studies
3.2.1. The Effect of Garlic Extract on Liver Function Enzymes in Animals Exposed to CCl4
3.2.2. Effect of Garlic Extract on Lipid Profile in Animals Exposed to CCl4
3.2.3. Effect of Garlic Extract on the Total Protein and Albumin in Animals Exposed to CCl4
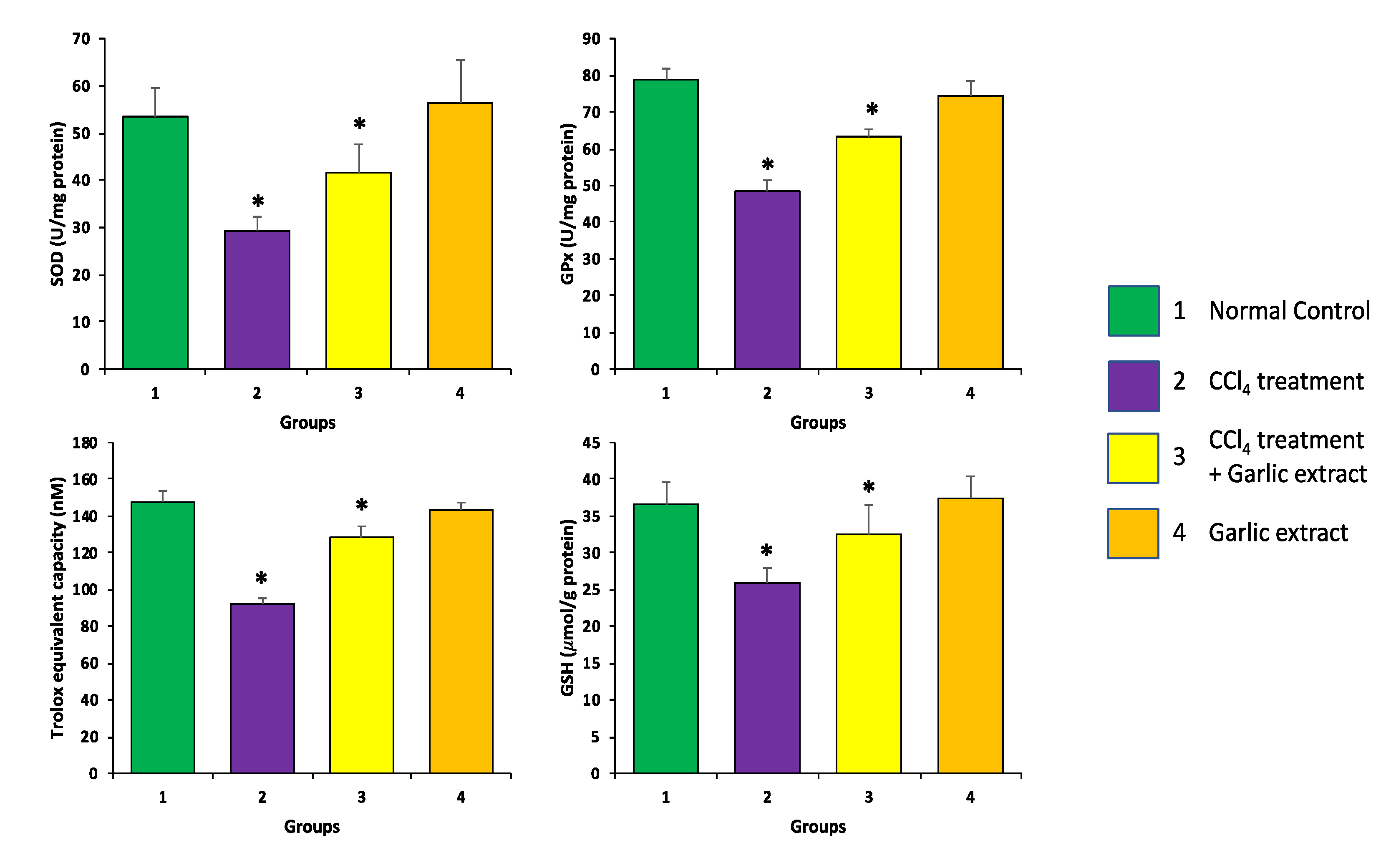
3.2.4. Effect of Garlic Extract on Antioxidant Enzymes Levels in Animals Exposed to CCl4
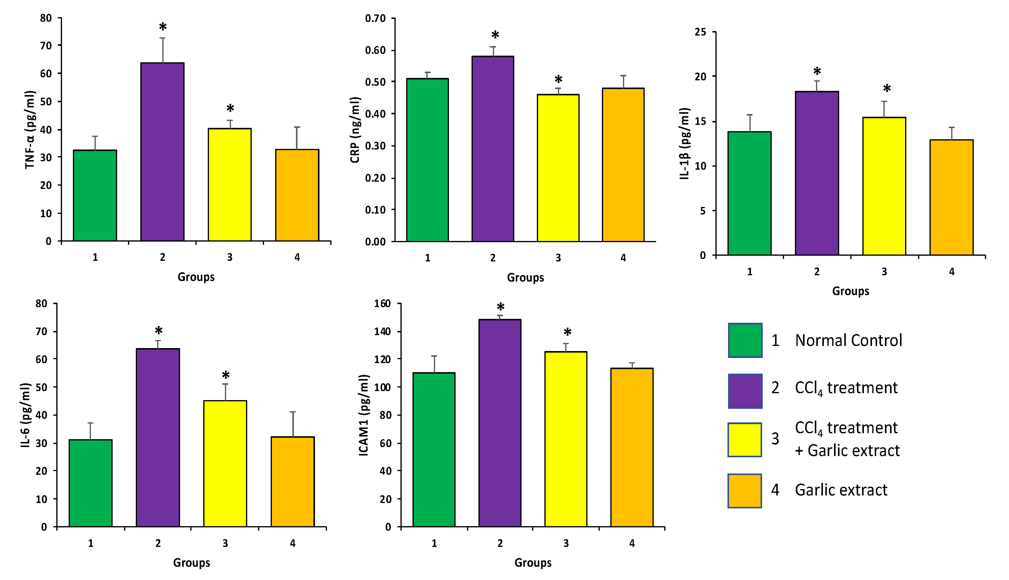
3.2.5. Effect of Garlic Extract on Inflammatory Markers in Animals Exposed to CCl4
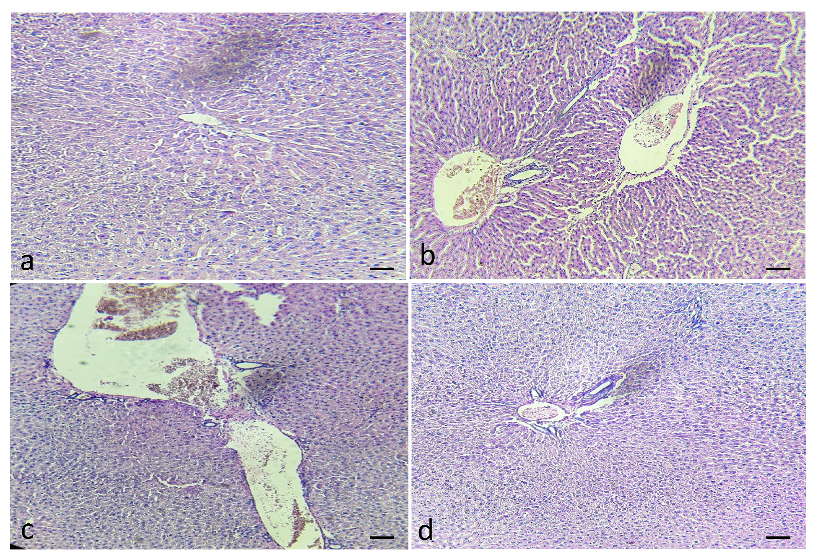
3.2.6. Effect of Garlic Extract on Hepatocytes Architecture
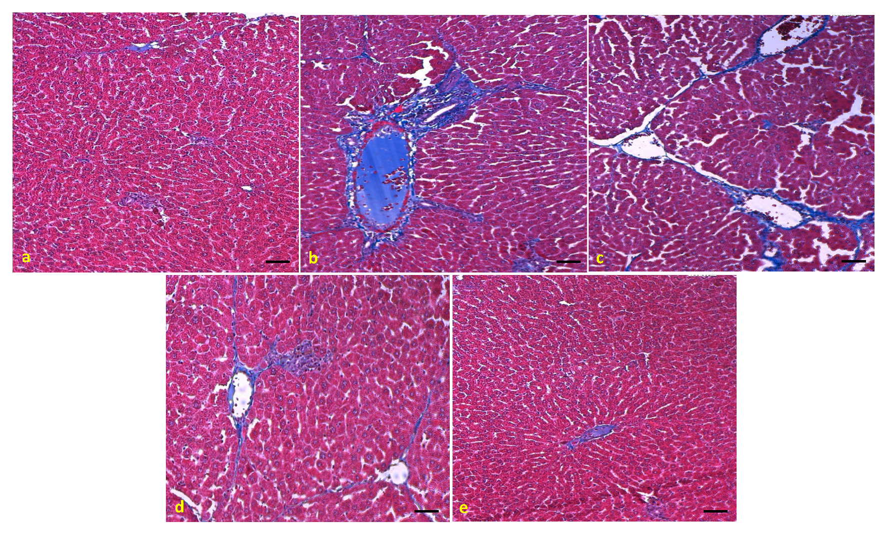
3.2.7. Masson Trichrome Staining
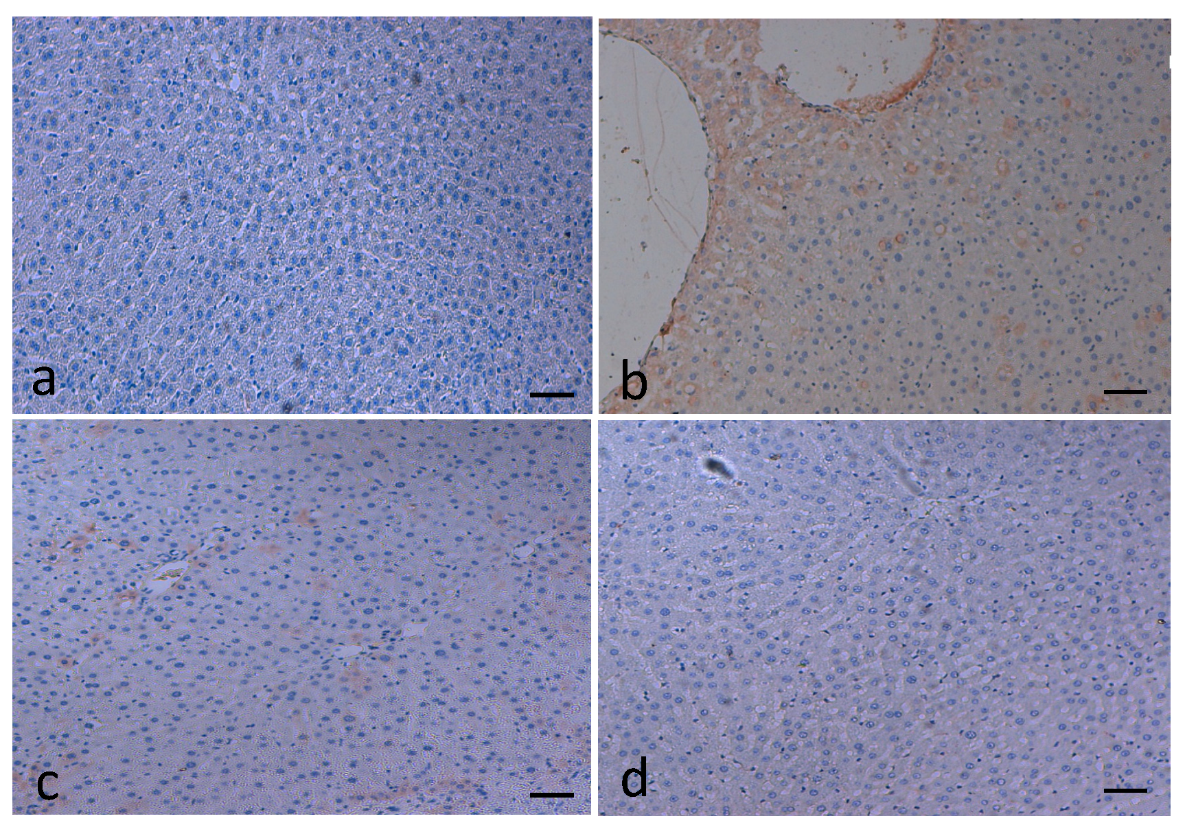
3.2.8. Effect of Garlic Extract on Expression Pattern of VEGF Protein
4. Discussion
5. Conclusions
Author Contributions
Funding
Acknowledgments
Conflicts of Interest
References
- Nisar, B.; Sultan, A.; Rubab, S.L. Comparison of Medicinally Important Natural Products versus Synthetic Drugs-A Short Commentary. Nat. Prod. Chem. Res. 2018, 6, 1–2. [Google Scholar] [CrossRef]
- Khan, M.A.; Anwar, S.; Aljarbou, A.N.; Al-Orainy, M.; Aldebasi, Y.H.; Islam, S.; Younus, H. Protective effect of thymoquinone on glucose or methylglyoxal-induced glycation of superoxide dismutase. Int. J. Biol. Macromol. 2014, 65, 16–20. [Google Scholar] [CrossRef] [PubMed]
- Anwar, S.; Younus, H. Inhibitory effect of alliin from Allium sativum on the glycation of superoxidedismutase. Int. J. Biol. Macromol. 2017, 103, 182–193. [Google Scholar] [CrossRef] [PubMed]
- Sivakrishnan, S. Liver diseases—An overview. World J. Pharm. Pharm. Sci. 2019, 8, 1385–1395. [Google Scholar]
- Lee, W.M. Drug-Induced Hepatotoxicity. N. Engl. J. Med. 2003, 349, 474–485. [Google Scholar] [CrossRef]
- Brautbar, N.; Williams, J. Industrial solvents and liver toxicity: Risk assessment, risk factors and mechanisms. Int. J. Hyg. Environ. Health 2002, 205, 479–491. [Google Scholar] [CrossRef]
- Manibusan, M.K.; Odin, M.; Eastmond, D.A. Postulated Carbon Tetrachloride Mode of Action: A Review. J. Environ. Sci. Health Part C 2007, 25, 185–209. [Google Scholar] [CrossRef]
- Cheeseman, K.H.; Albano, E.F.; Tomasi, A.; Slater, T.F. Biochemical studies on the metabolic activation of halogenated alkanes. Environ. Health Perspect. 1985, 64, 85–101. [Google Scholar] [CrossRef]
- Srivastava, A.; Shivanandappa, T. Hepatoprotective effect of the root extract of Decalepis hamiltonii against carbon tetrachloride-induced oxidative stress in rats. Food Chem. 2010, 118, 411–417. [Google Scholar] [CrossRef]
- Ritter, C.; Reinke, A.; Andrades, M.; Martins, M.R.; Rocha, J.; Menna-Barreto, S.; Quevedo, J.; Moreira, J.C.F.; Dal-Pizzol, F. Protective effect of N-acetylcysteine and deferoxamine on carbon tetrachloride-induced acute hepatic failure in rats. Crit. Care Med. 2004, 32, 2079–2083. [Google Scholar] [CrossRef]
- Mccord, J.M. The evolution of free radicals and oxidative stress. Am. J. Med. 2000, 108, 652–659. [Google Scholar] [CrossRef]
- Anwar, S.; Almatroudi, A.; Allemailem, K.S.; Joseph, R.J.; Khan, A.A.; Rahmani, A.H. Protective Effects of Ginger Extract against Glycation and Oxidative Stress-Induced Health Complications: An In Vitro Study. Processes 2020, 8, 468. [Google Scholar] [CrossRef]
- Castellano, G. Esteatohepatitis no alcohólica. Gastroenterol. Hepatol. 1999, 22, 13–19. [Google Scholar]
- Angulo, P. Medical progress: Nonalcoholic fatty liver disease. N. Engl. J. Med. 2002, 346, 1221–1231. [Google Scholar] [CrossRef]
- Luedde, T.; Schwabe, R.F. NF-κB in the liver-linking injury, fibrosis and hepatocellular carcinoma. Nat. Rev. Gastroenterol. Hepatol. 2011, 8, 108–118. [Google Scholar] [CrossRef]
- Raghu, R.; Lu, K.-H.; Sheen, L.-Y. Recent Research Progress on Garlic (dà suàn) as a Potential Anticarcinogenic Agent Against Major Digestive Cancers. J. Tradit. Complement. Med. 2012, 2, 192–201. [Google Scholar] [CrossRef]
- Abdel-Naim, A.B.; Khalifa, A.E.; Ahmed, S.H. Protective Effects of Garlic Oil against Liver Damage Induced by Combined Administration of Ethanol and Carbon Tetrachloride in Rats. Egypt. J. Hosp. Med. 2002, 6, 27–36. [Google Scholar]
- Eidi, A.; Eidi, M.; Esmaeili, E. Antidiabetic effect of garlic (Allium sativum L.) in normal and streptozotocin-induced diabetic rats. Phytomedicine 2006, 13, 624–629. [Google Scholar] [CrossRef]
- Taie, H.A.A.; Salama, Z.A.-E.R.; Radwan, S. Potential activity of basil plants as a source of antioxidants and anticancer agents as affected by organic and bio-organic fertilization. Not. Bot. Horti Agrobot. 2010, 38, 119–127. [Google Scholar]
- Ruch, R.J.; Cheng, S.-J.; Klaunig, J.E. Prevention of cytotoxicity and inhibition of intercellular communication by antioxidant catechins isolated from Chinese green tea. Carcinogenesis 1989, 10, 1003–1008. [Google Scholar] [CrossRef]
- Sakat, S.S.; Juvekar, A.R.; Gambhire, M.N. In Vitro antioxidant and anti-inflammatory activity of methanol extract of Oxalis corniculata linn. Int. J. Pharm. 2010, 2, 146–155. [Google Scholar]
- Hasan, A.U.H. Evaluation of in vitro and in vivo therapeutic efficacy of Ribes alpestre Decne in Rheumatoid arthritis. Braz. J. Pharm. Sci. 2019, 55, 17832. [Google Scholar] [CrossRef]
- El-Hadary, A.; Hassanien, M.F.R. Hepatoprotective effect of cold-pressedSyzygium aromaticumoil against carbon tetrachloride (CCl4)-induced hepatotoxicity in rats. Pharm. Biol. 2015, 54, 1364–1372. [Google Scholar] [CrossRef] [PubMed]
- Bancroft, J.D.; Gamble, M. Theory and Practice of Histological Techniques, 6th ed.; Elsevier Health Sciences: Philadelphia, PA, USA, 2008; p. 725. ISBN 9780443102790. [Google Scholar]
- Babiker, A.Y.; Rahmani, A.H.; Abdalaziz, M.S.; Albutti, A.; Aly, S.M.; Ahmed, H.G. Expressional analysis of p16 and cytokeratin19 protein in the genesis of oral squamous cell carcinoma patients. Int. J. Clin. Exp. Med. 2014, 7, 1524–1530. [Google Scholar] [PubMed]
- Rahmani, A.H.; Ababiker, A.Y.; Alsahli, M.A.; Almatroodi, S.A.; Husain, N.E.O.S. Prognostic Significance of Vascular Endothelial Growth Factor (VEGF) and Her-2 Protein in the Genesis of Cervical Carcinoma. Open Access Maced. J. Med. Sci. 2018, 6, 263–268. [Google Scholar] [CrossRef] [PubMed]
- Chen, S.; Shen, X.; Cheng, S.; Li, P.; Du, J.; Chang, Y.; Meng, H. Evaluation of Garlic Cultivars for Polyphenolic Content and Antioxidant Properties. PLoS ONE 2013, 8, e79730. [Google Scholar] [CrossRef]
- Phan, A.D.; Netzel, G.; Chhim, P.; Netzel, M.E.; Sultanbawa, Y. Phytochemical Characteristics and Antimicrobial Activity of Australian Grown Garlic (Allium sativum L.) Cultivars. Foods 2019, 8, 358. [Google Scholar] [CrossRef]
- Fedosov, A.I.; Kyslychenko, A.; Gudzenko, V.; Semenchenko, M.; Kyslychenko, V.S. The determination of phenolic compounds in garlic extract by HPLC GC/MS technique. Der. Pharma. Chemica. 2016, 8, 118–124. [Google Scholar]
- Nagella, P.; Thiruvengadam, M.; Ahmad, A.; Yoon, J.-Y.; Chung, I.-M. Composition of Polyphenols and Antioxidant Activity of Garlic Bulbs Collected from Different Locations of Korea. Asian J. Chem. 2014, 26, 897–902. [Google Scholar] [CrossRef]
- Gupta, S.S. Prospects and perspectives of natural plant products in medicine. Indian J. Pharmacol. 1994, 26, 1–12. [Google Scholar]
- Adevusi, E.A.; Afolayan, A.J. A review of natural products with hepatoprotective activity. J. Med. Plant Res. 2010, 4, 1318–1334. [Google Scholar]
- Shin, J.H.; Lee, C.W.; Oh, S.J.; Yun, J.; Kang, M.R.; Han, S.-B.; Park, H.; Jung, J.C.; Chung, Y.H.; Kang, J.S. Hepatoprotective Effect of Aged Black Garlic Extract in Rodents. Toxicol. Res. 2014, 30, 49–54. [Google Scholar] [CrossRef] [PubMed]
- Naji, K.M.; Al-Shaibani, E.S.; Alhadi, F.A.; Al-Soudi, S.A.; D’Souza, M.R. Hepatoprotective and antioxidant effects of single clove garlic against CCl4-induced hepatic damage in rabbits. BMC Complement. Altern. Med. 2017, 17, 1–12. [Google Scholar] [CrossRef] [PubMed]
- Benavente-García, O.; Castillo, J. Update on Uses and Properties of Citrus Flavonoids: New Findings in Anticancer, Cardiovascular, and Anti-inflammatory Activity. J. Agric. Food Chem. 2008, 56, 6185–6205. [Google Scholar] [CrossRef]
- Yang, J.; Li, Y.; Wang, F.; Wu, C. Hepatoprotective Effects of Apple Polyphenols on CCl4-Induced Acute Liver Damage in Mice. J. Agric. Food Chem. 2010, 58, 6525–6531. [Google Scholar] [CrossRef] [PubMed]
- Tsai, J.-C.; Chen, Y.-A.; Wu, J.-T.; Cheng, K.-C.; Lai, P.-S.; Liu, K.-F.; Lin, Y.-K.; Huang, Y.-T.; Hsieh, C.-W. Extracts from Fermented Black Garlic Exhibit a Hepatoprotective Effect on Acute Hepatic Injury. Molecules 2019, 24, 1112. [Google Scholar] [CrossRef]
- Ahmed, R.A.-E. Hepatoprotective and antiapoptotic role of aged black garlic against hepatotoxicity induced by cyclophosphamide. J. Basic Appl. Zool. 2018, 79, 8. [Google Scholar] [CrossRef]
- Kiruthiga, P.V.; Shafreen, R.B.; Pandian, S.K.; Devi, K.P. Silymarin Protection against Major Reactive Oxygen Species Released by Environmental Toxins: Exogenous H2O2Exposure in Erythrocytes. Basic Clin. Pharmacol. Toxicol. 2007, 100, 414–419. [Google Scholar] [CrossRef]
- Anwar, S.; Alam Khan, M.; Sadaf, A.; Younus, H. A structural study on the protection of glycation of superoxide dismutase by thymoquinone. Int. J. Biol. Macromol. 2014, 69, 476–481. [Google Scholar] [CrossRef]
- Jaeschke, H.; Gores, G.J.; Cederbaum, A.I.; Hinson, J.A.; Pessayre, D.; Lemasters, J.J. Mechanisms of hepatotoxicity. J. Toxicol. Sci. 2002, 65, 166–176. [Google Scholar] [CrossRef]
- Marnell, L.; Mold, C.; Du Clos, T.W. C-reactive protein: Ligands, receptors and role in inflammation. Clin. Immunol. 2005, 117, 104–111. [Google Scholar] [CrossRef] [PubMed]
- Rahmani, A.H.; Almatroudi, A.; Babiker, A.Y.; Khan, A.A.; Alsahli, M.A. Thymoquinone, an Active Constituent of Black Seed Attenuates CCl4 Induced Liver Injury in Mice via Modulation of Antioxidant Enzymes, PTEN, P53 and VEGF Protein. Open Access Maced. J. Med Sci. 2019, 7, 311–317. [Google Scholar] [CrossRef] [PubMed]
- Almatroodi, S.A.; Alsahli, M.A.; Alharbi, H.M.; Khan, A.A.; Rahmani, A.H. Epigallocatechin-3-Gallate (EGCG), An Active Constituent of Green Tea: Implications in the Prevention of Liver Injury Induced by Diethylnitrosamine (DEN) in Rats. Appl. Sci. 2019, 9, 4821. [Google Scholar] [CrossRef]
- Almatroodi, S.A.; Almatroudi, A.; Almasnad, F.S.; Khan, A.A.; Babiker, A.Y.; Alruwetei, A.M.; Rahmani, A.H. Curcumin Ameliorates Carbon Tetrachloride-induced Liver Injury in Rats through Modulating Various Biological Activities. Int. J. Pharmacol. 2020, 16, 145–153. [Google Scholar]
- Tran, G.-B.; Dam, S.-M.; Le, N.-T.T. Amelioration of Single Clove Black Garlic Aqueous Extract on Dyslipidemia and Hepatitis in Chronic Carbon Tetrachloride Intoxicated Swiss Albino Mice. Int. J. Hepatol. 2018, 2018, 9383950. [Google Scholar] [CrossRef]
- Fernández, M.; Semela, D.; Bruix, J.; Colle, I.; Pinzani, M.; Bosch, J. Angiogenesis in liver disease. J. Hepatol. 2009, 50, 604–620. [Google Scholar] [CrossRef]
- Giatromanolaki, A.; Kotsiou, S.; Koukourakis, M.I.; Sivridis, E. Angiogenic Factor Expression in Hepatic Cirrhosis. Mediat. Inflamm. 2007, 2007, 1–4. [Google Scholar] [CrossRef]
- Almatroodi, S.A.; Alsahli, M.A.; Almatroudi, A.; Rahmani, A.H. Garlic and its Active Compounds: A Potential Candidate in The Prevention of Cancer by Modulating Various Cell Signalling Pathways. Anti-Cancer Agents Med. Chem. 2019, 19, 1314–1324. [Google Scholar] [CrossRef]













© 2020 by the authors. Licensee MDPI, Basel, Switzerland. This article is an open access article distributed under the terms and conditions of the Creative Commons Attribution (CC BY) license (http://creativecommons.org/licenses/by/4.0/).
Share and Cite
Almatroodi, S.A.; Anwar, S.; Almatroudi, A.; Khan, A.A.; Alrumaihi, F.; Alsahli, M.A.; Rahmani, A.H. Hepatoprotective Effects of Garlic Extract against Carbon Tetrachloride (CCl4)-Induced Liver Injury via Modulation of Antioxidant, Anti-Inflammatory Activities and Hepatocyte Architecture. Appl. Sci. 2020, 10, 6200. https://doi.org/10.3390/app10186200
Almatroodi SA, Anwar S, Almatroudi A, Khan AA, Alrumaihi F, Alsahli MA, Rahmani AH. Hepatoprotective Effects of Garlic Extract against Carbon Tetrachloride (CCl4)-Induced Liver Injury via Modulation of Antioxidant, Anti-Inflammatory Activities and Hepatocyte Architecture. Applied Sciences. 2020; 10(18):6200. https://doi.org/10.3390/app10186200
Chicago/Turabian StyleAlmatroodi, Saleh A., Shehwaz Anwar, Ahmad Almatroudi, Amjad Ali Khan, Faris Alrumaihi, Mohammed A. Alsahli, and Arshad Husain Rahmani. 2020. "Hepatoprotective Effects of Garlic Extract against Carbon Tetrachloride (CCl4)-Induced Liver Injury via Modulation of Antioxidant, Anti-Inflammatory Activities and Hepatocyte Architecture" Applied Sciences 10, no. 18: 6200. https://doi.org/10.3390/app10186200
APA StyleAlmatroodi, S. A., Anwar, S., Almatroudi, A., Khan, A. A., Alrumaihi, F., Alsahli, M. A., & Rahmani, A. H. (2020). Hepatoprotective Effects of Garlic Extract against Carbon Tetrachloride (CCl4)-Induced Liver Injury via Modulation of Antioxidant, Anti-Inflammatory Activities and Hepatocyte Architecture. Applied Sciences, 10(18), 6200. https://doi.org/10.3390/app10186200

