Ridge Preservation Using a Novel Enzyme-Treated Xenograft. A Preliminary Retrospective Histomorphometric Investigation
Abstract
1. Introduction
2. Materials and Methods
2.1. Retrospective Data Collection
2.2. Extraction, Grafting and Implant Surgery
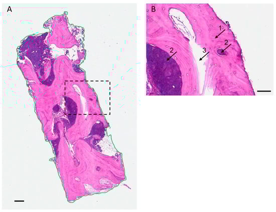
2.3. Histologic and Histomorphometric Analysis
2.4. Implant Success and Peri-Implant Marginal Bone Loss
2.5. Statistical Analysis
3. Results
4. Discussion
5. Conclusions
Author Contributions
Funding
Conflicts of Interest
References
- Farmer, M.; Darby, I. Ridge dimensional changes following single-tooth extraction in the aesthetic zone. Clin. Oral Implant. Res. 2014, 25, 272–277. [Google Scholar] [CrossRef]
- De Risi, V.; Clementini, M.; Vittorini, G.; Mannocci, A.; De Sanctis, M. Alveolar ridge preservation techniques: A systematic review and meta-analysis of histological and histomorphometrical data. Clin. Oral Implant. Res. 2015, 26, 50–68. [Google Scholar] [CrossRef] [PubMed]
- Avila-Ortiz, G.; Elangovan, S.; Kramer, K.W.; Blanchette, D.; Dawson, D.V. Effect of alveolar ridge preservation after tooth extraction: A systematic review and meta-analysis. J. Dent. Res. 2014, 93, 950–958. [Google Scholar] [CrossRef]
- Bassir, S.H.; Alhareky, M.; Wangsrimongkol, B.; Jia, Y.; Karimbux, N. Systematic Review and Meta-Analysis of Hard Tissue Outcomes of Alveolar Ridge Preservation. Int. J. Oral Maxillofac. Implant. 2018, 33, 979–994. [Google Scholar] [CrossRef] [PubMed]
- Avila-Ortiz, G.; Chambrone, L.; Vignoletti, F. Effect of alveolar ridge preservation interventions following tooth extraction: A systematic review and meta-analysis. J. Clin. Periodontol. 2019, 46, 195–223. [Google Scholar] [CrossRef] [PubMed]
- Lee, J.; Lee, J.B.; Koo, K.T.; Seol, Y.J.; Lee, Y.M. Flap Management in Alveolar Ridge Preservation: A Systematic Review and Meta-Analysis. Int. J. Oral Maxillofac. Implant. 2018, 33, 613–621. [Google Scholar] [CrossRef]
- Stumbras, A.; Kuliesius, P.; Januzis, G.; Juodzbalys, G. Alveolar Ridge Preservation after Tooth Extraction Using Different Bone Graft Materials and Autologous Platelet Concentrates: A Systematic Review. J. Oral Maxillofac. Res. 2019, 10, e2. [Google Scholar] [CrossRef]
- Nkenke, E.; Weisbach, V.; Winckler, E.; Kessler, P.; Schultze-Mosgau, S.; Wiltfang, J.; Neukam, F.W. Morbidity of harvesting of bone grafts from the iliac crest for preprosthetic augmentation procedures: A prospective study. Int. J. Oral Maxillofac. Surg. 2004, 33, 157–163. [Google Scholar] [CrossRef]
- Esposito, M.; Grusovin, M.G.; Felice, P.; Karatzopoulos, G.; Worthington, H.V.; Coulthard, P. Interventions for replacing missing teeth: Horizontal and vertical bone augmentation techniques for dental implant treatment. Cochrane Database Syst. Rev. 2009, 2009, CD003607. [Google Scholar] [CrossRef]
- Haugen, H.J.; Lyngstadaas, S.P.; Rossi, F.; Perale, G. Bone grafts: Which is the ideal biomaterial? J. Clin. Periodontol. 2019, 46, 92–102. [Google Scholar] [CrossRef]
- Sheikh, Z.; Hamdan, N.; Ikeda, Y.; Grynpas, M.; Ganss, B.; Glogauer, M. Natural graft tissues and synthetic biomaterials for periodontal and alveolar bone reconstructive applications: A review. Biomater. Res. 2017, 21, 9. [Google Scholar] [CrossRef] [PubMed]
- Di Stefano, D.A.; Zaniol, T.; Cinci, L.; Pieri, L. Chemical, Clinical and Histomorphometric Comparison between Equine Bone Manufactured through Enzymatic Antigen-Elimination and Bovine Bone Made Non-Antigenic Using a High-Temperature Process in Post-Extractive Socket Grafting. A Comparative Retrospective Clinical Study. Dent. J. 2019, 7, 70. [Google Scholar] [CrossRef]
- Felice, P.; Piana, L.; Checchi, L.; Corvino, V.; Nannmark, U.; Piattelli, M. Vertical ridge augmentation of an atrophic posterior mandible with an inlay technique and cancellous equine bone block: A case report. Int. J. Periodontics Restor. Dent. 2013, 33, 159–166. [Google Scholar] [CrossRef]
- Pistilli, R.; Signorini, L.; Pisacane, A.; Lizio, G.; Felice, P. Case of severe bone atrophy of the posterior maxilla rehabilitated with blocks of equine origin bone: Histological results. Implant. Dent. 2013, 22, 8–15. [Google Scholar] [CrossRef]
- Stefano, D.D.; Andreasi Bassi, M.; Cinci, L.; Pieri, L.; Ammirabile, G. Treatment of a bone defect consequent to the removal of a periapical cyst with equine bone and equine membranes: Clinical and histological outcome. Minerva Stomatol. 2012, 61, 477–490. [Google Scholar] [PubMed]
- De Angelis, N.; Scivetti, M. Lateral ridge augmentation using an equine flex bone block infused with recombinant human platelet-derived growth factor BB: A clinical and histologic study. Int. J. Periodontics Restor. Dent. 2011, 31, 383–388. [Google Scholar]
- Ludovichetti, M.; Di Stefano, D.A.; Pagnutti, S.; Vaccari, E.; Ludovichetti, F.S.; Celletti, R. Vertical ridge augmentation using a flexible heterologous cortical bone sheet: Three-year follow-up. Int. J. Periodontics Restor. Dent. 2011, 31, 401–407. [Google Scholar]
- Di Stefano, D.A.; Artese, L.; Iezzi, G.; Piattelli, A.; Pagnutti, S.; Piccirilli, M.; Perrotti, V. Alveolar ridge regeneration with equine spongy bone: A clinical, histological, and immunohistochemical case series. Clin. Implant. Dent. Relat. Res. 2009, 11, 90–100. [Google Scholar] [CrossRef]
- Stievano, D.; Di Stefano, A.; Ludovichetti, M.; Pagnutti, S.; Gazzola, F.; Boato, C.; Stellini, E. Maxillary sinus lift through heterologous bone grafts and simultaneous acid-etched implants placement. Five year follow-up. Minerva Chir. 2008, 63, 79–91. [Google Scholar]
- Di Stefano, D.A.; Gastaldi, G.; Vinci, R.; Polizzi, E.M.; Cinci, L.; Pieri, L.; Gherlone, E. Bone Formation Following Sinus Augmentation with an Equine-Derived Bone Graft: A Retrospective Histologic and Histomorphometric Study with 36-Month Follow-up. Int. J. Oral Maxillofac. Implant. 2016, 31, 406–412. [Google Scholar] [CrossRef]
- Di Stefano, D.A.; Gastaldi, G.; Vinci, R.; Cinci, L.; Pieri, L.; Gherlone, E. Histomorphometric Comparison of Enzyme-Deantigenic Equine Bone and Anorganic Bovine Bone in Sinus Augmentation: A Randomized Clinical Trial with 3-Year Follow-Up. Int. J. Oral Maxillofac. Implant. 2015, 30, 1161–1167. [Google Scholar] [CrossRef] [PubMed]
- Santini, S.; Barbera, P.; Modena, M.; Schiavon, R.; Bonato, M. Equine-derived bone substitutes in orthopedics and traumatology: Authors’ experience. Minerva Chir. 2011, 66, 63–72. [Google Scholar] [PubMed]
- Piolanti, N.; Del Chiaro, A.; Matassi, F.; Nistri, L.; Graceffa, A.; Marcucci, M. Bone integration in acetabular revision hip arthroplasty using equine-derived bone grafts: A retrospective study. Eur. J. Orthop. Surg. Traumatol. 2019. [Google Scholar] [CrossRef] [PubMed]
- Giannoni, P.; Villa, F.; Cordazzo, C.; Zardi, L.; Fattori, P.; Quarto, R.; Fiorini, M. Rheological properties, biocompatibility and in vivo performance of new hydrogel-based bone fillers. Biomater. Sci. 2016, 4, 1691–1703. [Google Scholar] [CrossRef]
- Albrektsson, T.; Zarb, G.; Worthington, P.; Eriksson, A.R. The long-term efficacy of currently used dental implants: A review and proposed criteria of success. Int. J. Oral Maxillofac. Implant. 1986, 1, 11–25. [Google Scholar]
- Perrotti, V.; Nicholls, B.M.; Horton, M.A.; Piattelli, A. Human osteoclast formation and activity on a xenogenous bone mineral. J. Biomed. Mater. Res. A 2009, 90, 238–246. [Google Scholar] [CrossRef]
- Perrotti, V.; Nicholls, B.M.; Piattelli, A. Human osteoclast formation and activity on an equine spongy bone substitute. Clin. Oral Implant. Res. 2009, 20, 17–23. [Google Scholar] [CrossRef]
- Di Stefano, D.A.; Arosio, P.; Cinci, L.; Pieri, L. Ridge Preservation Using an Innovative Enzyme-deantigenic Equine Bone Paste: A Case Report with 36-month Follow-up. J. Contemp. Dent. Pr. 2019, 20, 1229–1234. [Google Scholar] [CrossRef]
- Grinnell, F.; Fukamizu, H.; Pawelek, P.; Nakagawa, S. Collagen processing, crosslinking, and fibril bundle assembly in matrix produced by fibroblasts in long-term cultures supplemented with ascorbic acid. Exp. Cell Res. 1989, 181, 483–491. [Google Scholar] [CrossRef]





| Patient# | Age (Yrs.) | Gender | Tooth | Healing Time (Mo.) | NFB(%) | RB(%) | Implant# | Implant Diameter (mm) | Implant Length (mm) | Follow-Up (Mo.) | MBL at Final Follow-Up (mm) |
|---|---|---|---|---|---|---|---|---|---|---|---|
| 1 | 55 | M | 26 | 3.1 | 69.33 | 18.63 | 1 | 4.5 | 8.0 | 21.6 | 0.3 |
| 2 | 48 | M | 25 | 2.3 | 32.61 | 2.53 | 2 | 3.3 | 12.0 | 14.3 | 0.0 |
| 3 | 45 | F | 36 | 3.0 | 18.68 | 4.33 | 3 | 3.8 | 13.0 | 13.9 | 0.7 |
| 4 | 52 | F | 46 | 2.5 | 39.16 | 0.87 | 4 | 4.1 | 10.0 | 8.4 | 0.0 |
| 5 | 43 | F | 36 | 1.9 | 18.83 | 4.40 | 5 | 4.6 | 11.5 | 5.4 | 1.5 (failed) |
| 6 | 75 | F | 27 | 7.3 | 25.11 | 8.15 | 6 | 4.3 | 8.0 | 5.3 | 0.5 |
| 7 | 58 | F | 35 | 3.1 | 31.90 | 13.49 | 7 | 3.4 | 11.0 | 3.6 | 0.0 |
| 8 | 50 | F | 26 | 3.7 | 16.93 | 14.59 | 8 | 5.5 | 9.5 | 14.3 | 0.0 |
| 9 | 59 | M | 37 | 2.7 | 38.89 | 8.46 | 9 | 4.0 | 10.0 | 5.7 | 0.2 |
| 10 | 52 | M | 46 | 5.0 | 53.62 | 16.91 | 10 | 3.8 | 9.5 | 5.1 | 0.2 |
| 11 | 45 | F | 46 | 8.3 | 71.92 | 3.81 | 11 | 4.5 | 11.0 | 4.0 | 0.3 |
| 12 | 52 | F | 37 | 10.5 | 78.07 | 4.84 | 12 | 3.8 | 8.0 | 3.2 | 0.4 |
| 13 | 70 | F | 36 | 4.7 | 66.47 | 12.78 | 13 | 4.0 | 8.0 | 4.2 | 0.2 |
| # Implant | A&Z criterium 1 | A&Z criterium 2 | A&Z criterium 3 | A&Z criterium 4 | Outcome at Final Follow-Up |
|---|---|---|---|---|---|
| 1 | Success | ||||
| 2 | Success | ||||
| 3 | Success | ||||
| 4 | Success | ||||
| 5 | Failure | ||||
| 6 | Success | ||||
| 7 | Success | ||||
| 8 | Success | ||||
| 9 | Success | ||||
| 10 | Success | ||||
| 11 | Success | ||||
| 12 | Success | ||||
| 13 | Success |
© 2020 by the authors. Licensee MDPI, Basel, Switzerland. This article is an open access article distributed under the terms and conditions of the Creative Commons Attribution (CC BY) license (http://creativecommons.org/licenses/by/4.0/).
Share and Cite
Di Stefano, D.A.; Orlando, F. Ridge Preservation Using a Novel Enzyme-Treated Xenograft. A Preliminary Retrospective Histomorphometric Investigation. Appl. Sci. 2020, 10, 4256. https://doi.org/10.3390/app10124256
Di Stefano DA, Orlando F. Ridge Preservation Using a Novel Enzyme-Treated Xenograft. A Preliminary Retrospective Histomorphometric Investigation. Applied Sciences. 2020; 10(12):4256. https://doi.org/10.3390/app10124256
Chicago/Turabian StyleDi Stefano, Danilo Alessio, and Francesco Orlando. 2020. "Ridge Preservation Using a Novel Enzyme-Treated Xenograft. A Preliminary Retrospective Histomorphometric Investigation" Applied Sciences 10, no. 12: 4256. https://doi.org/10.3390/app10124256
APA StyleDi Stefano, D. A., & Orlando, F. (2020). Ridge Preservation Using a Novel Enzyme-Treated Xenograft. A Preliminary Retrospective Histomorphometric Investigation. Applied Sciences, 10(12), 4256. https://doi.org/10.3390/app10124256
