Features of the Liver Microstructural Organization of the Bactrian Camel
Abstract
Simple Summary
Abstract
1. Introduction
2. Materials and Methods
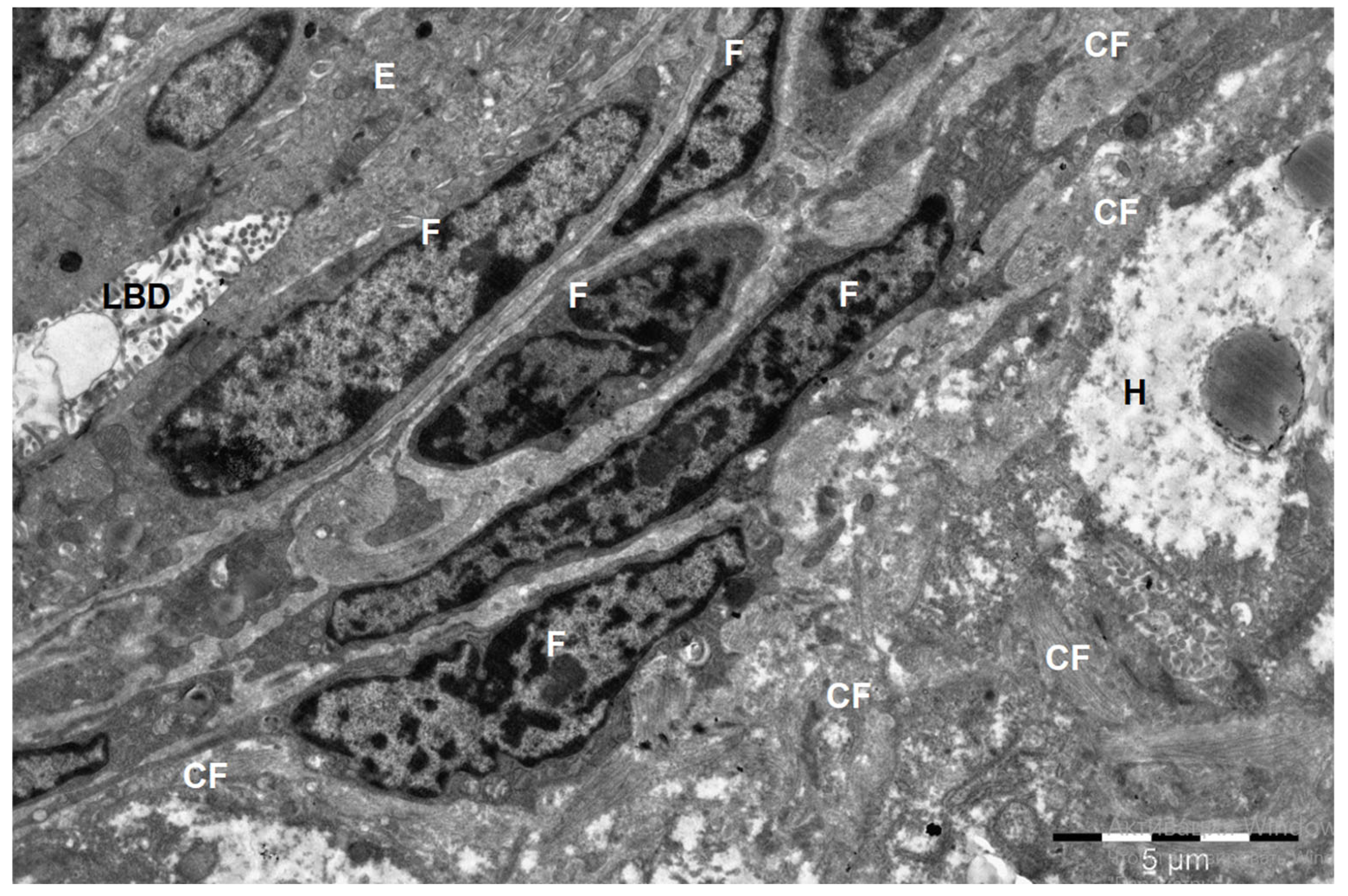
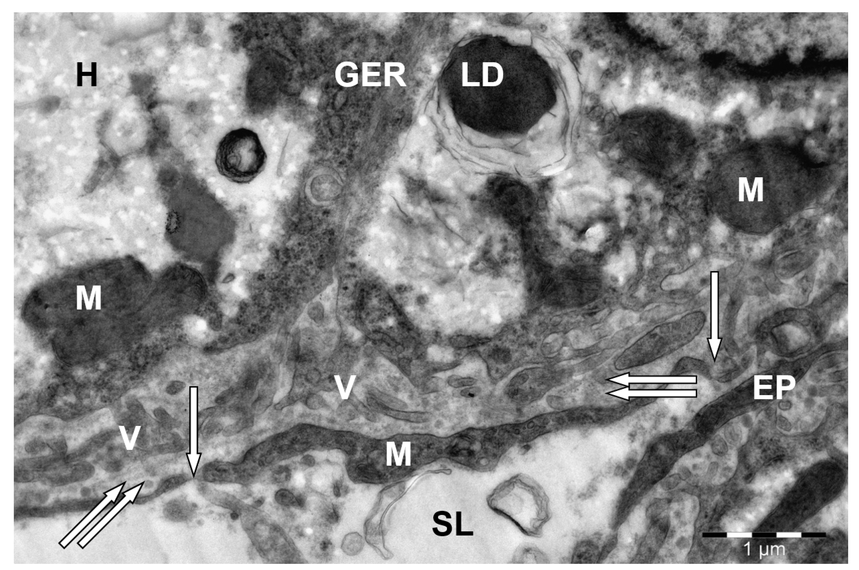
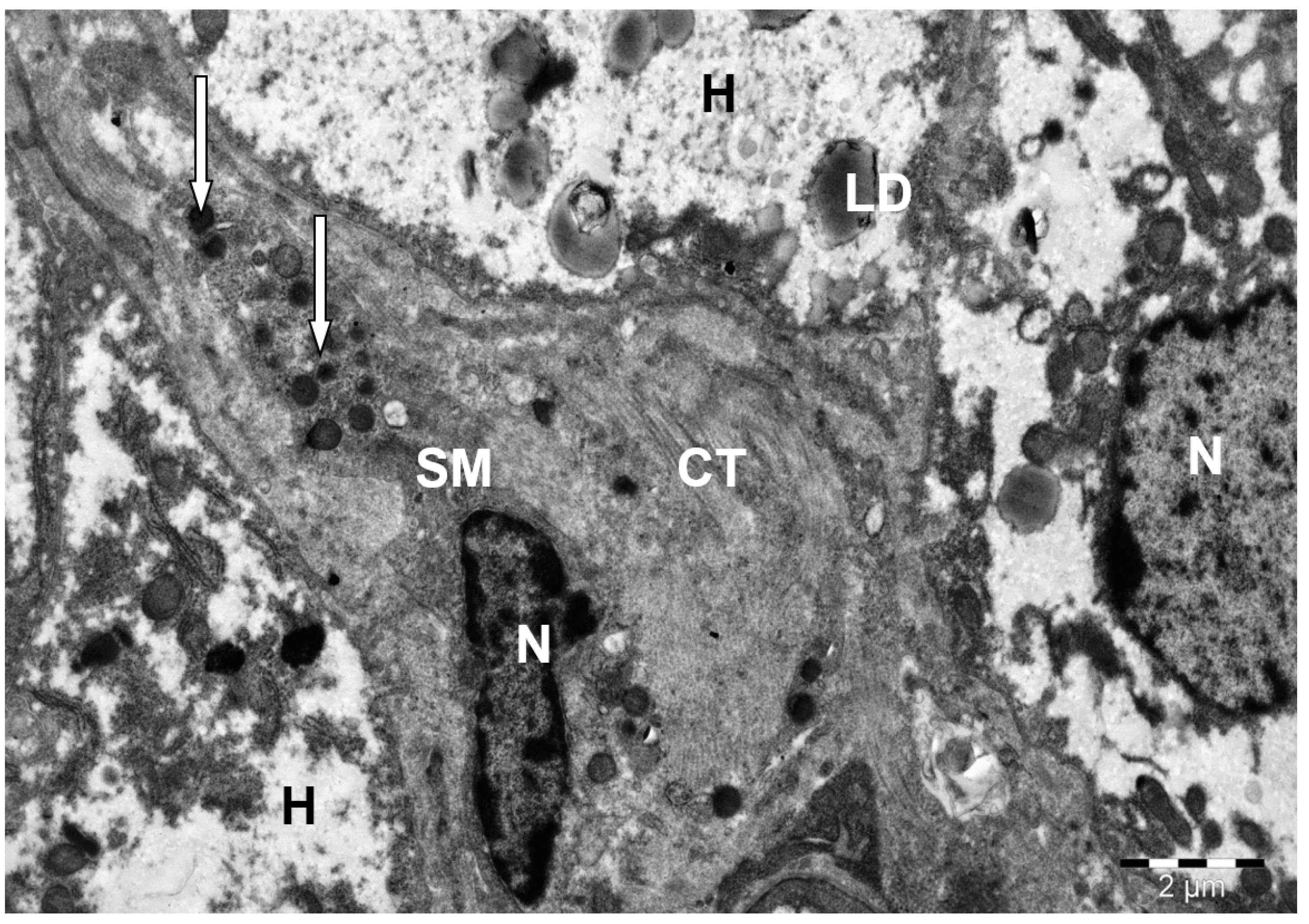
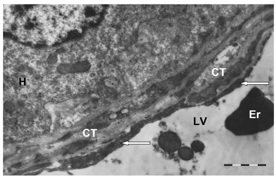
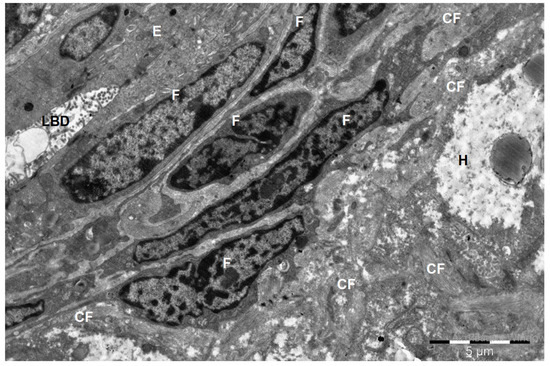
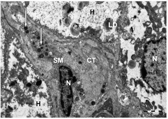
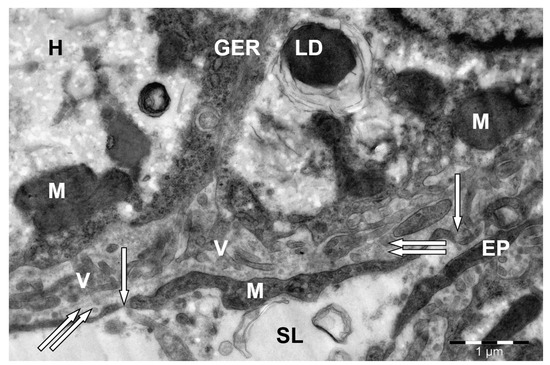
3. Results
4. Discussion
5. Conclusions
Author Contributions
Funding
Institutional Review Board Statement
Informed Consent Statement
Data Availability Statement
Acknowledgments
Conflicts of Interest
Abbreviations
| AgER | agranular endoplasmic reticulum channels |
| CF | collagen fibers |
| CT | connective tissue |
| E | bile duct epithelial cells |
| EP | endothelial cell processes |
| Er | erythrocyte |
| F | fibroblast cells |
| GC | Golgi complex |
| GER | granular endoplasmic reticulum channels |
| H | hepatocyte |
| HC | hepatocyte cytoplasm |
| L | lipid inclusions |
| LBD | lumen of the bile duct |
| LD | lipid droplet |
| LS | sinusoid lumen |
| LV | lumen of the central vein |
| M | mitochondria |
| N | nucleus |
| NI | Ito cell nucleus |
| NM | macrophage nucleus |
| NN | nucleolus in the nucleus |
| R | ribosomes and polyribosomes |
| SL | sinusoid lumen |
| SM | stellate macrophage |
| V | hepatocyte villi |
References
- Chuluunbat, B.; Charruau, P.; Silbermayr, K.; Khorloojav, T.; Burger, P.A. Genetic diversity and population structure of Mongolian domestic Bactrian camels (Camelus bactrianus). Anim. Genet. 2014, 45, 550–558. [Google Scholar] [CrossRef]
- He, J.; Xiao, Y.; Orgoldol, K.; Ming, L.; Yi, L.; Ji, R. Effects of Geographic Region on the Composition of Bactrian Camel Milk in Mongolia. Animals 2019, 9, 890. [Google Scholar] [CrossRef]
- Ming, L.; Siren, D.; Hasi, S.; Jambl, T.; Ji, R. Review of genetic diversity in Bactrian camel (Camelus bactrianus). Anim. Front. 2022, 12, 20–29. [Google Scholar] [CrossRef]
- Mirkena, T.; Walelign, E.; Tewolde, N.; Gari, G.; Abebe, G.; Newman, S. Camel production systems in Ethiopia: A review of literature with notes on MERS-CoV risk factors. Pastoralism 2018, 8, 30. [Google Scholar] [CrossRef] [PubMed]
- Terab, A.M.A.; Abdel Wahab, G.E.D.; Ishag, H.Z.A.; Khalil, N.A.H.; El Tigani-Asil, E.T.A.; Hashem, F.M.; Khalafalla, A.I.; Shah, A.A.M.; Al Muhairi, S.S.M. Pathology, bacteriology and molecular studies on caseous lymphadenitis in Camelus dromedarius in the Emirate of Abu Dhabi, UAE, 2015–2020. PLoS ONE 2021, 16, e0252893. [Google Scholar] [CrossRef] [PubMed]
- Tharwat, M. Ultrasonography of the liver in healthy and diseased camels (Camelus dromedarius). J. Vet. Med. Sci. 2020, 82, 399–407. [Google Scholar] [CrossRef]
- Tharwat, M.; Ali, H.; Alkheraif, A.A. Clinical insights on paratuberculosis in Arabian camels (Camelus dromedarius): A review. Open Vet. J. 2025, 15, 8–17. [Google Scholar] [CrossRef]
- Kendall, E. “Bactrian camel”. Encyclopedia Britannica. 31 March 2025. Available online: https://www.britannica.com/animal/Bactrian-camel (accessed on 30 September 2025).
- Lamo, D.; Gahlawat, G.; Kumar, S.; Bharti, V.K.; Ranjan, P.; Kumar, D.; Chaurasia, O.P. Morphometric, haematological and physio-biochemical characterization of Bactrian (Camelus bactrianus) camel at high altitude. BMC Vet. Res. 2020, 16, 291. [Google Scholar] [CrossRef] [PubMed]
- Panwar, A.; Thanvi, P.K.; Dangi, A.; Singh, D.; Siyag, R.K.; Sharma, N. Histochemical studies of the liver of dromedary camel (Camelus dromedarius). Int. J. Adv. Biochem. Res. 2025, 9, 5–9. [Google Scholar] [CrossRef]
- Moses, L. Veterinary Histology; Ohio State University Libraries: Columbus, OH, USA, 2023; pp. 154–159. [Google Scholar]
- Ibrahim, A.; El-Ghareeb, W.R.; Aljazzar, A.; Al-Hizab, F.A.; Porter, B.F. Hepatic lobe torsion in 3 dromedary camels. J. Vet. Diagn. Investig. 2021, 33, 136–139. [Google Scholar] [CrossRef]
- Ponamarev, V.; Popova, O.; Kostrova, A.; Agafonova, L. A new method for assessing the toxic properties of various medicinal substances on the hepatobiliary system functionality in the context of the ecopharmacology development. In Proceedings of the II International Conference Sustainable Development: Agriculture, Veterinary Medicine and Ecology (VMAEE-II-2023), Karshi, Russia, 21–22 April 2023; AIP Publishing: New York, NY, USA, 2023; p. 20027. [Google Scholar] [CrossRef]
- Prusakova, A.V.; Zelenevskiy, N.V.; Prusakov, A.V.; Yashin, A.V.; Ponamarev, V.S. Ultrastructural organization of liver hepatocytes of the Anglo-Nubian goat. Vet. Glas. 2023, 77, 176–187. [Google Scholar] [CrossRef]
- Faye, B.; Bengoumi, M.; Cleradin, A.; Tabarani, A.; Chilliard, Y. Body condition score in dromedary camel: A tool for management of reproduction. Emir. J. Food Agric. 2001, 13, 1–6. [Google Scholar] [CrossRef]
- Garcia, A.; De Miguel, E.; Del Hoyo, N.; Soler, C.; Godino, J.; Jordana, J. Morphological and Histological Study of the Dromedary Camel Liver (Camelus dromedarius). Animals 2021, 11, 2589. [Google Scholar] [CrossRef]
- Hussein, M.F.; Badawy, T.M.; El-Sakhawy, M.A.; El-Borai, N.B. Some anatomical, histological and histochemical particulars of the dromedary camel liver. Assiut Vet. Med. J. 1988, 20, 120–128. [Google Scholar]
- Smuts, M.M.S.; Bezuidenhout, A.J. Anatomy of the Dromedary; Clarendon Press: Oxford, UK, 1987; 230p. [Google Scholar]
- Menghini, G. Technique for the percutaneous biopsy of the liver. The “one-second” needle biopsy of the liver. In Progress in Liver Diseases; Popper, H., Schaffner, F., Eds.; Grune & Stratton: New York, NY, USA, 1965; pp. 34–47. [Google Scholar]
- Phillips, M.J.; Poucell, S.; Patterson, J.; Valencia, P. The Liver: An Atlas and Text of Ultrastructural Pathology; Raven Press: New York, NY, USA, 1987; pp. 569–571. [Google Scholar]
- Hayat, M.A. Principles and Techniques of Electron Microscopy: Biological Applications, 4th ed.; Cambridge University Press: Cambridge, UK, 2000; 543p. [Google Scholar]
- Mikuriya, K.; Kaito, C.; Sekimizu, K. A concise practical manual of transmission electron microscopy for biological clinical specimens. J. Electron. Microsc. 2021, 70, 301–309. [Google Scholar] [CrossRef]
- Semchenko, V.V. International Histological Nomenclature. Kolosova. 1999. Available online:https://scholar.google.com/scholar_lookup?&title=Mezhdunarodnaya%20gistologicheskaya%20nomenklatura%20%28na%20latinskom%2C%20russkom%20i%20anglyskom%20yazykakh%29&publication_year=1999&author=Semchenko%2CVV&author=Samusev%2CRP&author=Moiseeva%2CMV&author=Kolosova%2CZL (accessed on 30 September 2025).
- Ahmed, A.; Malik, A.; Jagirdar, H.; Rabbani, N.; Khan, M.S.; Al-Senaidy, A.M.; Ismael, M.A. Copper-induced inactivation of camel liver glutathione S-transferase. Biol. Trace Elem. Res. 2016, 169, 69–76. [Google Scholar] [CrossRef] [PubMed]
- Asli, M.; Azizzadeh, M.; Moghaddamjafari, A.; Mohsenzadeh, M. Copper, iron, manganese, zinc, cobalt, arsenic, cadmium, chrome, and lead concentrations in liver and muscle in Iranian camel (Camelus dromedarius). Biol. Trace Elem. Res. 2020, 194, 390–400. [Google Scholar] [CrossRef] [PubMed]
- Lalla, S.; Drommer, W. Observations on the fine structure of the camel (Camelus dromedarius) liver. Anat. Histol. Embryol. 1997, 26, 271–275. [Google Scholar] [CrossRef]
- Abdel-Magied, E.M.; Al-Kahtani, M.A.; Taha, A.A.M.; Ahmed, M.M. A comparative morphological and histochemical study on the liver of the one-humped camel (Camelus dromedarius) and sheep. J. Anat. Soc. India 2001, 50, 20–25. [Google Scholar]
- Tharwat, M.; Alkheraif, A.A.; Oikawa, S. Production diseases in farm animals: A comprehensive and illustrated clinical, laboratory, and pathological overview. Open Vet. J. 2025, 15, 18–34. [Google Scholar] [CrossRef]
- Althnaian, T. Morphological and Histochemical Characterization of the Liver of the Dromedary Camel (Camelus dromedarius). Int. J. Morphol. 2014, 32, 1402–1410. [Google Scholar] [CrossRef]
- Prusakova, A.V.; Zelenevskiy, N.V.; Prusakov, A.V.; Yashin, A.V.; Ponamarev, V.S. Ultra-structural organization of the gallbladder mucous membrane of Anglo-Nubian goat. Vet. Res. Forum 2024, 15, 165–169. [Google Scholar] [CrossRef] [PubMed]
- Chafik, A.; Essamadi, A.; Çelik, S.Y.; Solak, K.; Mavi, A. Partial purification and some interesting properties of glutathione peroxidase from liver of camel (Camelus dromedarius). Russ. J. Bioorg. Chem. 2018, 44, 41–51. [Google Scholar] [CrossRef]
- Maharem, T.M.; Emam, M.A.; Said, Y.A. Purification and characterization of L-glutaminase enzyme from camel liver: Enzymatic anticancer property. Int. J. Biol. Macromol. 2020, 150, 1213–1222. [Google Scholar] [CrossRef]
- Maharem, T.M.; Zahran, W.E.; Hassan, R.E.; Fattah, M.M.A. Unique properties of arginase purified from camel liver cytosol. Int. J. Biol. Macromol. 2018, 108, 88–97. [Google Scholar] [CrossRef]
- Amin, K.A.; Abd El-Tawab, S.A.M. Morphological and histological studies on the liver of the one humped camel (Camelus dromedarius). J. Am. Sci. 2012, 8, 659–667. [Google Scholar]
- Khatim, M.S.; Bou-Resli, M.N.; Bishay, L.F.; Gumaa, K. Ultrastructure of the intrahepatic bile duct system of the one-humped camel (Camelus dromedarius). Anat. Anz. 1985, 160, 251–258. [Google Scholar]
- Kadhim, K.K.; Zuki, A.B.Z.; Noordin, M.M.; Babjee, S.M.A. Histological and histochemical observations on the liver of the one-humped camel (Camelus dromedarius). J. Camel Pract. Res. 2009, 16, 195–199. [Google Scholar]
- Ponamarev, V.; Popova, O.; Kostrova, A.; Agafonova, L. The concept of development of new ecologically based methods of diagnostics and pharmacocorrection in veterinary medicine (on the example of pathologies of the hepatobiliary system). In Proceedings of the II International Conference Sustainable Development: Agriculture, Veterinary Medicine and Ecology (VMAEE-II-2023), Karshi, Russia, 21–22 April 2023; AIP Publishing: New York, NY, USA, 2023; p. 20028. [Google Scholar] [CrossRef]
- Singh, B.; Solanki, J.; Chahar, V.K.; Singh, B. Microscopic and Submicroscopic Structure of Liver of Camel (Camelus dromedarius). Indian J. Vet. Anat. 2018, 30, 55–57. [Google Scholar]
- Taha, A.A.; Al-Zahrani, I.S. A histological and histochemical study on the liver of the one-humped camel (Camelus dromedarius). J. King Saud. Univ. Sci. 2003, 15, 147–162. [Google Scholar]











Disclaimer/Publisher’s Note: The statements, opinions and data contained in all publications are solely those of the individual author(s) and contributor(s) and not of MDPI and/or the editor(s). MDPI and/or the editor(s) disclaim responsibility for any injury to people or property resulting from any ideas, methods, instructions or products referred to in the content. |
© 2025 by the authors. Licensee MDPI, Basel, Switzerland. This article is an open access article distributed under the terms and conditions of the Creative Commons Attribution (CC BY) license (https://creativecommons.org/licenses/by/4.0/).
Share and Cite
Musina, L.; Lebedeva, A.; Drozdova, L.; Prusakov, A.; Ponamarev, V. Features of the Liver Microstructural Organization of the Bactrian Camel. Animals 2025, 15, 2921. https://doi.org/10.3390/ani15192921
Musina L, Lebedeva A, Drozdova L, Prusakov A, Ponamarev V. Features of the Liver Microstructural Organization of the Bactrian Camel. Animals. 2025; 15(19):2921. https://doi.org/10.3390/ani15192921
Chicago/Turabian StyleMusina, Lyalya, Anna Lebedeva, Ludmila Drozdova, Alexey Prusakov, and Vladimir Ponamarev. 2025. "Features of the Liver Microstructural Organization of the Bactrian Camel" Animals 15, no. 19: 2921. https://doi.org/10.3390/ani15192921
APA StyleMusina, L., Lebedeva, A., Drozdova, L., Prusakov, A., & Ponamarev, V. (2025). Features of the Liver Microstructural Organization of the Bactrian Camel. Animals, 15(19), 2921. https://doi.org/10.3390/ani15192921

