Synergistic Enhancement of Eimeria maxima Vaccine Efficacy Through EF-1α Antigen and Chicken XCL1 Chemokine Adjuvant Combination
Simple Summary
Abstract
1. Introduction
2. Materials and Methods
2.1. Animals and Parasites
2.2. Plasmid Construction
2.3. Expression and Purification of Recombinant Proteins
2.4. Vaccination and Challenge Infection
2.5. Flow Cytometric Analysis of CD4+ and CD8+ T Cell Populations
2.6. Serum Anti-EF1α Antibody Detection
2.7. Serum Cytokine Profiling
2.8. Statistical Analysis
3. Results
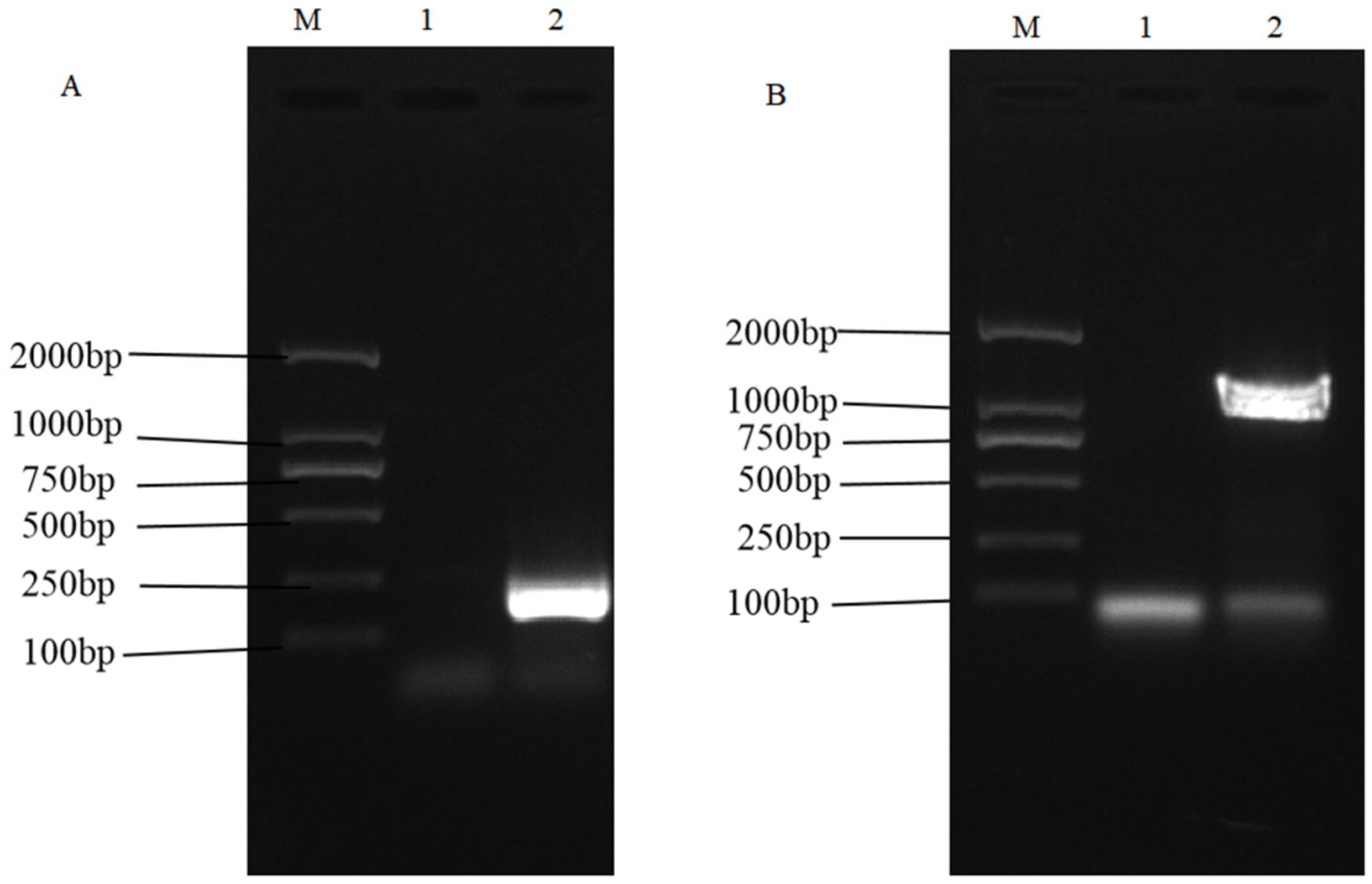
3.1. Cloning of ChXCL1-EmEF1α, ChXCL1, EmEF1α, and Recombinant Plasmids Construction
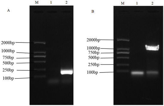
3.2. Identification of Recombinant Proteins
3.3. ChXCL1-EmEF1α Vaccine Efficacy Against E. Maxima in Chicken
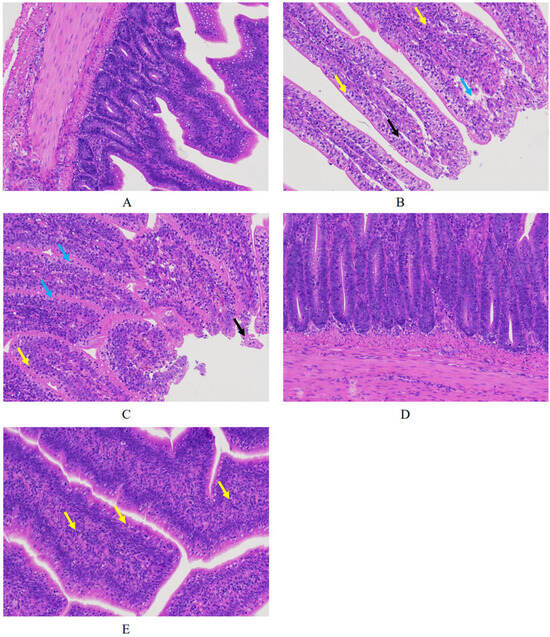
3.4. Evaluation of Intestinal Lesions
3.5. CD4+ and CD8+ T Cell Profile Analysis Using Flow Cytometry
3.6. Quantification of Serum Anti-EF1α Antibodies by ELISA
3.7. Serum Cytokine Profile Analysis in Chickens Immunized with ChXCL1-EmEF1α Fusion Protein
4. Discussion
5. Conclusions
Author Contributions
Funding
Institutional Review Board Statement
Informed Consent Statement
Data Availability Statement
Conflicts of Interest
References
- Blake, D.P.; Knox, J.; Dehaeck, B.; Huntington, B.; Rathinam, T.; Ravipati, V.; Ayoade, S.; Gilbert, W.; Adebambo, A.O.; Jatau, I.D.; et al. Re-calculating the cost of coccidiosis in chickens. Vet. Res. 2020, 51, 115. [Google Scholar] [CrossRef] [PubMed]
- Sharma, M.; Kim, W.K. Coccidiosis in egg-laying hens and potential nutritional strategies to modulate performance, gut health, and immune response. Animals 2024, 14, 1015. [Google Scholar] [CrossRef] [PubMed]
- Blake, D.P. Eimeria of chickens: The changing face of an old foe. Avian Pathol. 2024, 53, 1–12. [Google Scholar] [CrossRef] [PubMed]
- Blake, D.P.; Marugan-Hernandez, V.; Tomley, F.M. Spotlight on avian pathology: Eimeria and the disease coccidiosis. Avian Pathol. 2021, 50, 209–213. [Google Scholar] [CrossRef]
- Vermeulen, A.N. Progress in recombinant vaccine development against coccidiosis. A review and prospects into the next millennium. Int. J. Parasitol. 1998, 28, 1121–1130. [Google Scholar] [CrossRef]
- Jamil, M.; Aleem, M.T.; Shaukat, A.; Khan, A.; Mohsin, M.; Rehman, T.U.; Abbas, R.Z.; Saleemi, M.K.; Khatoon, A.; Babar, W. Medicinal plants as an alternative to control poultry parasitic diseases. Life 2022, 12, 449. [Google Scholar] [CrossRef]
- El-Shall, N.A.; Abd El-Hack, M.E.; Albaqami, N.M.; Khafaga, A.F.; Taha, A.E.; Swelum, A.A.; El-Saadony, M.T.; Salem, H.M.; El-Tahan, A.M.; AbuQamar, S.F.; et al. Phytochemical control of poultry coccidiosis: A review. Poult. Sci. 2022, 101, 101542. [Google Scholar] [CrossRef]
- Zaheer, T.; Abbas, R.Z.; Imran, M.; Abbas, A.; Butt, A.; Aslam, S.; Ahmad, J. Vaccines against chicken coccidiosis with particular reference to previous decade: Progress, challenges, and opportunities. Parasitol. Res. 2022, 121, 2749–2763. [Google Scholar] [CrossRef]
- Venkatas, J.; Adeleke, M.A. A review of Eimeria antigen identification for the development of novel anticoccidial vaccines. Parasitol. Res. 2019, 118, 1701–1710. [Google Scholar] [CrossRef]
- Sasai, K.; Lillehoj, H.S.; Matsuda, H.; Wergin, W.P. Characterization of a chicken monoclonal antibody that recognizes the apical complex of Eimeria acervulina sporozoites and partially inhibits sporozoite invasion of CD8+ T lymphocytes in vitro. J. Parasitol. 1996, 82, 82–87. [Google Scholar] [CrossRef]
- Liu, L.; Huang, X.; Liu, J.; Li, W.; Ji, Y.; Tian, D.; Tian, L.; Yang, X.; Xu, L.; Yan, R.; et al. Identification of common immunodominant antigens of Eimeria tenella, Eimeria acervulina and Eimeria maxima by immunoproteomic analysis. Oncotarget 2017, 8, 34935–34941. [Google Scholar] [CrossRef] [PubMed]
- Juarez-Estrada, M.A.; Tellez-Isaias, G.; Graham, D.M.; Laverty, L.; Gayosso-Vazquez, A.; Alonso-Morales, R.A. Identification of Eimeria tenella sporozoite immunodominant mimotopes by random phage-display peptide libraries—A proof of concept study. Front. Vet. Sci. 2023, 10, 1223436. [Google Scholar] [CrossRef] [PubMed]
- Lee, Y.; Park, I.; Wickramasuriya, S.S.; Arous, J.B.; Koziol, M.E.; Lillehoj, H.S. Co-administration of chicken IL-7 or NK-lysin peptide 2 enhances the efficacy of Eimeria elongation factor-1α vaccination against Eimeria maxima infection in broiler chickens. Poult Sci. 2022, 101, 102013. [Google Scholar] [CrossRef] [PubMed]
- Lin, R.Q.; Lillehoj, H.S.; Lee, S.K.; Oh, S.; Panebra, A.; Lillehoj, E.P. Vaccination with Eimeria tenella elongation factor-1α recombinant protein induces protective immunity against E. tenella and E. maxima infections. Vet. Parasitol. 2017, 243, 79–84. [Google Scholar] [CrossRef]
- Crozat, K.; Guiton, R.; Contreras, V.; Feuillet, V.; Dutertre, C.-A.; Ventre, E.; Vu Manh, T.-P.; Baranek, T.; Storset, A.K.; Marvel, J.; et al. The XC chemokine receptor 1 is a conserved selective marker of mammalian cells homologous to mouse CD8α+ dendritic cells. J. Exp. Med. 2010, 207, 1283–1292. [Google Scholar] [CrossRef]
- Vu Manh, T.-P.; Elhmouzi-Younes, J.; Urien, C.; Ruscanu, S.; Jouneau, L.; Bourge, M.; Moroldo, M.; Foucras, G.; Salmon, H.; Marty, H.; et al. Defining Mononuclear Phagocyte Subset Homology Across Several Distant Warm-Blooded Vertebrates Through Comparative Transcriptomics. Front. Immunol. 2015, 6, 299. [Google Scholar] [CrossRef]
- Matsuo, K.; Kitahata, K.; Kawabata, F.; Kamei, M.; Hara, Y.; Takamura, S.; Oiso, N.; Kawada, A.; Yoshie, O.; Nakayama, T. A Highly Active Form of XCL1/Lymphotactin Functions as an Effective Adjuvant to Recruit Cross-Presenting Dendritic Cells for Induction of Effector and Memory CD8(+) T Cells. Front. Immunol. 2018, 9, 2775. [Google Scholar] [CrossRef]
- Fossum, E.; Grødeland, G.; Terhorst, D.; Tveita, A.A.; Vikse, E.; Mjaaland, S.; Henri, S.; Malissen, B.; Bogen, B. Vaccine molecules targeting Xcr1 on cross-presenting DCs induce protective CD8+ T-cell responses against influenza virus. Eur. J. Immunol. 2015, 45, 624–635. [Google Scholar] [CrossRef]
- Min, W.; Lillehoj, H.S.; Burnside, J.; Weining, K.C.; Staeheli, P.; Zhu, J.J. Adjuvant effects of IL-1beta, IL-2, IL-8, IL-15, IFN-alpha, IFN-gamma TGF-beta4 and lymphotactin on DNA vaccination against Eimeria acervulina. Vaccine 2001, 20, 267–274. [Google Scholar] [CrossRef]
- Wu, Z.; Hu, T.; Chintoan-Uta, C.; Macdonald, J.; Stevens, M.P.; Sang, H.; Hume, D.A.; Kaiser, P.; Balic, A. Development of novel reagents to chicken FLT3, XCR1 and CSF2R for the identification and characterization of avian conventional dendritic cells. Immunology 2022, 165, 171–194. [Google Scholar] [CrossRef]
- Trout, J.M.; Lillehoj, H.S. T lymphocyte roles during Eimeria acervulina and Eimeria tenella infections. Vet. Immunol. Immunopathol. 1996, 53, 163–172. [Google Scholar] [CrossRef]
- Yin, G.; Lin, Q.; Wei, W.; Qin, M.; Liu, X.; Suo, X.; Huang, Z. Protective immunity against Eimeria tenella infection in chickens induced by immunization with a recombinant C-terminal derivative of EtIMP1. Vet. Immunol. Immunopathol. 2014, 162, 117–121. [Google Scholar] [CrossRef]
- Fan, J.; Jin, S.; Gilmartin, L.; Toth, I.; Hussein, W.M.; Stephenson, R.J. Advances in infectious disease vaccine adjuvants. Vaccines 2022, 10, 1120. [Google Scholar] [CrossRef] [PubMed]
- Pulendran, B.; Arunachalam, P.S.; O’Hagan, D.T. Emerging concepts in the science of vaccine adjuvants. Nat. Rev. Drug Discov. 2021, 20, 454–475. [Google Scholar] [CrossRef] [PubMed]
- Chen, H.; Huang, C.; Chen, Y.; Mohsin, M.; Li, L.; Lin, X.; Huang, Z.; Yin, G. Efficacy of Recombinant N- and C-Terminal Derivative of EmIMP1 against E. maxima Infection in Chickens. Br. Poult. Sci. 2020, 61, 518–522. [Google Scholar] [CrossRef] [PubMed]
- Johnson, J.; Reid, W.M. Anticoccidial drugs: Lesion scoring techniques in battery and floor-pen experiments with chickens. Exp. Parasitol. 1970, 28, 30–36. [Google Scholar] [CrossRef]
- McManus, E.C.; Campbell, W.C.; Cuckler, A.C. Development of resistance to quinoline coccidiostats under field and laboratory conditions. J. Parasitol. 1968, 54, 1190–1193. [Google Scholar] [CrossRef]
- Tang, J.; Wang, Q.; Yu, H.; Dong, L.; Tang, M.; Arif, A.; Zhang, G.; Zhang, T.; Xie, K.; Su, S.; et al. A Comparison of the Cecal Microbiota between the Infection and Recovery Periods in Chickens with Different Susceptibilities to Eimeria tenella. Animals 2024, 14, 2709. [Google Scholar] [CrossRef]
- Dalgaard, T.S.; Norup, L.R.; Rubbenstroth, D.; Wattrang, E.; Juul-Madsen, H.R. Flow cytometric assessment of antigen-specific proliferation in peripheral chicken T cells by Cfse dilution. Vet. Immunol. Immunopathol. 2010, 138, 85–94. [Google Scholar] [CrossRef]
- Mathis, G.F.; Lumpkins, B.; Cervantes, H.M.; Fitz-Coy, S.H.; Jenkins, M.C.; Jones, M.K.; Price, K.R.; Dalloul, R.A. Coccidiosis in poultry: Disease mechanisms, control strategies, and future directions. Poult. Sci. 2025, 104, 104663. [Google Scholar] [CrossRef]
- Lakho, S.A.; Haseeb, M.; Huang, J.; Hasan, M.W.; Khand, F.M.; Leghari, A.; Aleem, M.T.; Ali, H.; Song, X.; Xu, L.; et al. Eimeria tenella 14-kDa phosphohistidine phosphatase stimulates maturation of chicken dendritic cells and mediates DC-induced T cell priming in a Th1 cytokine interface. Res. Vet. Sci. 2022, 152, 61–71. [Google Scholar] [CrossRef] [PubMed]
- Syed, M.; Dishman, A.F.; Volkman, B.F.; Walker, T.L. The multifaceted role of XCL1 in health and disease. Protein. Sci. 2025, 34, e70032. [Google Scholar] [CrossRef]
- Kim, W.H.; Chaudhari, A.A.; Lillehoj, H.S. Involvement of T cell immunity in avian coccidiosis. Front. Immunol. 2019, 10, 2732. [Google Scholar] [CrossRef]
- Soutter, F.; Werling, D.; Tomley, F.M.; Blake, D.P. Poultry coccidiosis: Design and interpretation of vaccine studies. Front. Vet. Sci. 2020, 7, 101. [Google Scholar] [CrossRef]
- Jenkins, M.C.; Stevens, L.; O’Brien, C.; Parker, C.; Miska, K.; Konjufca, V. Incorporation of a recombinant Eimeria maxima IMP1 antigen into nanoparticles confers protective immunity against E. maxima challenge infection. Vaccine 2018, 36, 1126–1131. [Google Scholar] [CrossRef]
- Cronenberg, A.M.; van Geffen, C.E.; Dorrestein, J.; Vermeulen, A.N.; Sondermeijer, P.J. Vaccination of broilers with HVT expressing an Eimeria acervulina antigen improves performance after challenge with Eimeria. Acta Virol. 1999, 43, 192–197. [Google Scholar]






| Primer Name | Primer Sequence 5′ → 3′ | Gene Bank Number |
|---|---|---|
| ChXCL1-Nde I -F | CATATGGTGGCAAGCCAG AGTATGCG | NP_990377 |
| ChXCL1-Xho I -R | CTCGAGTTAACGACGGCG GGTGGT | |
| EmEF1α-Nde I -F | CATATGGGTAAAGAAAAA ACCCAT | XP_013336300.1 |
| EmEF1α-Xho I -R | CTCGAGTTATTTTTTAGCT GCGGC |
| Groups | Average Amount of Oocyst (×107) (n = 10) | Oocyst Reduction Rate (%) | Mean Lesion Score (n = 5) | Average Weight Gain (AWG) (n = 10) | Rate of Relative Weight Gain (RWG, %) | Anticoccidial Index (ACI) |
|---|---|---|---|---|---|---|
| EmEF1α | 0.70 | 47.12 | 1.17 ± 0.07 b | 124.83 ± 10.74 c | 83.51 | 182 |
| ChXCL1- EmEF1α | 0.51 | 61.33 | 1.37 ± 0.67 b | 119.95 ± 5.82 c | 80.24 | 178 |
| ChXCL1 | 1.31 | 0.83 | 2.87 ± 0.29 a | 80.65 ± 3.05 b | 53.95 | 150 |
| UC | 1.33 | 0 | 3.17 ± 0.18 a | 73.60 ± 1.48 b | 49.24 | 149 |
| UU | 0 | 100 | 0 | 149.48 ± 7.03 a | 100 | - |
| Group | CD4+ (%) | CD8+ (%) | CD4+/CD8+ |
|---|---|---|---|
| PBS | 7.04 ± 0.86 a | 3.68 ± 0.73 a | 1.91 |
| ChXCL1 group | 10.85 ± 0.77 b | 5.00 ± 0.51 b | 2.17 |
| EmEF1α group | 11.53 ± 0.84 b | 3.88 ± 0.08 a | 2.97 |
| ChXCL1-EmEF1α group | 10.09 ± 0.73 b | 5.47 ± 0.30 b | 1.84 |
Disclaimer/Publisher’s Note: The statements, opinions and data contained in all publications are solely those of the individual author(s) and contributor(s) and not of MDPI and/or the editor(s). MDPI and/or the editor(s) disclaim responsibility for any injury to people or property resulting from any ideas, methods, instructions or products referred to in the content. |
© 2025 by the authors. Licensee MDPI, Basel, Switzerland. This article is an open access article distributed under the terms and conditions of the Creative Commons Attribution (CC BY) license (https://creativecommons.org/licenses/by/4.0/).
Share and Cite
Chen, R.; Lin, X.-F.; Wu, H.-Y.; Li, L.-N.; Wang, L.; Wang, D.-F.; Wu, H.-Y.; Guo, P.-P.; Mohsin, M.; Yin, G.-W. Synergistic Enhancement of Eimeria maxima Vaccine Efficacy Through EF-1α Antigen and Chicken XCL1 Chemokine Adjuvant Combination. Animals 2025, 15, 2330. https://doi.org/10.3390/ani15162330
Chen R, Lin X-F, Wu H-Y, Li L-N, Wang L, Wang D-F, Wu H-Y, Guo P-P, Mohsin M, Yin G-W. Synergistic Enhancement of Eimeria maxima Vaccine Efficacy Through EF-1α Antigen and Chicken XCL1 Chemokine Adjuvant Combination. Animals. 2025; 15(16):2330. https://doi.org/10.3390/ani15162330
Chicago/Turabian StyleChen, Rong, Xiao-Feng Lin, Hong-Yan Wu, Li-Na Li, Lei Wang, Deng-Feng Wang, Hai-Yan Wu, Pan-Pan Guo, Muhammad Mohsin, and Guang-Wen Yin. 2025. "Synergistic Enhancement of Eimeria maxima Vaccine Efficacy Through EF-1α Antigen and Chicken XCL1 Chemokine Adjuvant Combination" Animals 15, no. 16: 2330. https://doi.org/10.3390/ani15162330
APA StyleChen, R., Lin, X.-F., Wu, H.-Y., Li, L.-N., Wang, L., Wang, D.-F., Wu, H.-Y., Guo, P.-P., Mohsin, M., & Yin, G.-W. (2025). Synergistic Enhancement of Eimeria maxima Vaccine Efficacy Through EF-1α Antigen and Chicken XCL1 Chemokine Adjuvant Combination. Animals, 15(16), 2330. https://doi.org/10.3390/ani15162330

