Clade 2.3.4.4b Highly Pathogenic Avian Influenza H5N1 Pathology in a Common Shorebird Species (Sanderling; Calidris alba) in Virginia, USA
Simple Summary
Abstract
1. Introduction
2. Materials and Methods
2.1. Mortality Event and Carcass Collection
2.2. Postmortem Evaluation
2.3. Immunohistochemistry
2.4. Molecular Testing
3. Results
3.1. Field, Demographic, and Spatiotemporal Data
3.2. Postmortem Findings
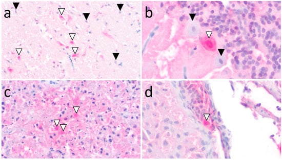
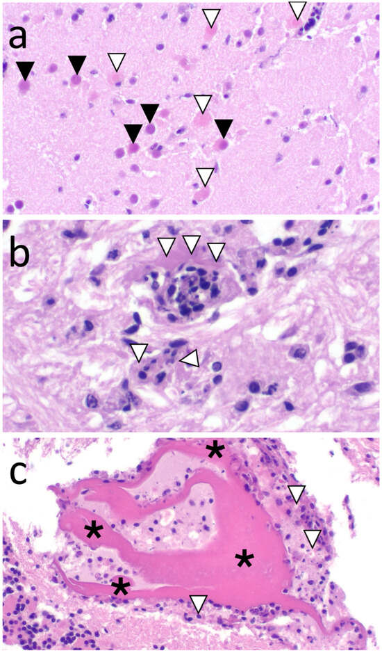
3.3. Immunohistochemistry
3.4. Molecular Testing
4. Discussion
5. Conclusions
Supplementary Materials
Author Contributions
Funding
Institutional Review Board Statement
Data Availability Statement
Acknowledgments
Conflicts of Interest
Abbreviations
| USA | United States of America |
| HP | Highly pathogenic |
| LP | Low pathogenic |
| IAV | Influenza A virus(es) |
| NVSL | National Veterinary Services Laboratory |
| USDA | United States Department of Agriculture |
| HPAI | Highly pathogenic avian influenza (disease) |
| IHC | Immunohistochemistry |
| SCWDS | Southeastern Cooperative Wildlife Disease Study |
| UGA | University of Georgia |
| A1 | Genotype of HP H5 IAV incursion to the Northeastern USA from Eurasia |
| OP | Oropharyngeal |
| CL | Cloacal |
| rRT-PCR | Reverse transcription polymerase chain reaction |
| RNA | Ribonucleic acid |
| EA/AM | Reassortant of H5 goose/Guangdong and North American wild bird lineage |
References
- Webster, R.G.; Bean, W.J.; Gorman, O.T.; Chambers, T.M.; Kawaoka, Y. Evolution and ecology of influenza A viruses. Microbiol. Rev. 1992, 56, 152–179. [Google Scholar] [CrossRef] [PubMed]
- Maxted, A.M.; Sitters, H.P.; Luttrell, M.P.; Dey, A.D.; Kalasz, K.S.; Niles, L.J.; Stallknecht, D.E. Spring migration stopover ecology of avian influenza virus shorebird hosts at Delaware Bay. Avian Dis. 2016, 60, 394–405. [Google Scholar] [CrossRef]
- Maxted, A.M.; Luttrell, M.P.; Goekjian, V.H.; Brown, J.D.; Niles, L.J.; Dey, A.D.; Kalasz, K.S.; Swayne, D.E.; Stallknecht, D.E. Avian influenza virus infection dynamics in shorebird hosts. J. Wildl. Dis. 2012, 48, 322–334. [Google Scholar] [CrossRef]
- Castro, G.; Myers, J.P.; Ricklefs, R.E. Ecology and energetics of sanderlings migrating to four latitudes. Ecology 1992, 73, 833–844. [Google Scholar] [CrossRef]
- Macwhirter, R.B.; Austin-Smith, P., Jr.; Kroodsma, D.E. Sanderling (Calidris alba), version 1.0. In Birds of the World; Billerman, S.M., Ed.; Cornell Lab of Ornithology: Ithaca, NY, USA, 2020. [Google Scholar] [CrossRef]
- Caliendo, V.; Lewis, N.S.; Pohlmann, A.; Baillie, S.R.; Banyard, A.C.; Beer, M.; Brown, I.H.; Fouchier, R.A.M.; Hansen, R.D.E.; Lameris, T.K.; et al. Transatlantic spread of highly pathogenic avian influenza H5N1 by wild birds from Europe to North America in 2021. Sci. Rep. 2022, 12, 11729. [Google Scholar] [CrossRef] [PubMed]
- Leguia, M.; Garcia-Glaessner, A.; Muñoz-Saavedra, B.; Juarez, D.; Barrera, P.; Calvo-Mac, C.; Jara, J.; Silva, W.; Ploog, K.; Amaro, L.; et al. Highly pathogenic avian influenza A (H5N1) in marine mammals and seabirds in Peru. Nat. Commun. 2023, 14, 5489. [Google Scholar] [CrossRef] [PubMed]
- U.S. Department of Agriculture, Animal and Plant Health Inspection Service. Detections of Highly Pathogenic Avian Influenza in Wild Birds. Available online: https://www.aphis.usda.gov/livestock-poultry-disease/avian/avian-influenza/hpai-detections/wild-birds (accessed on 10 June 2025).
- Banyard, A.C.; Bennison, A.; Byrne, A.M.P.; Reid, S.M.; Lynton-Jenkins, J.G.; Mollett, B.; De Silva, D.; Peers-Dent, J.; Finlayson, K.; Hall, R.; et al. Detection and spread of high pathogenicity avian influenza virus H5N1 in the Antarctic region. Nat. Commun. 2024, 15, 7433. [Google Scholar] [CrossRef]
- Iverson, S.A.; Takekawa, J.Y.; Schwarzbach, S.; Cardona, C.J.; Warnock, N.; Bishop, M.A.; Schirato, G.A.; Paroulek, S.; Ackerman, J.T.; Ip, H.; et al. Low prevalence of avian influenza virus in shorebirds on the Pacific Coast of North America. Waterbirds 2008, 31, 602–610. [Google Scholar] [CrossRef]
- Avery-Gomm, S.; Barychka, T.; English, M.; Ronconi, R.A.; Wilhelm, S.I.; Rail, J.; Cormier, T.; Beaumont, M.; Bowser, C.; Burt, T.V.; et al. Wild bird mass mortalities in Eastern Canada associated with the highly pathogenic avian influenza A(H5N1) virus, 2022. Ecosphere 2024, 15, e4980. [Google Scholar] [CrossRef]
- Wünschmann, A.; Franzen-Klein, D.; Torchetti, M.; Confeld, M.; Carstensen, M.; Hall, V. Lesions and viral antigen distribution in bald eagles, red-tailed hawks, and great horned owls naturally infected with H5N1 clade 2.3.4.4b highly pathogenic avian influenza virus. Vet. Pathol. 2024, 61, 410–420. [Google Scholar] [CrossRef]
- Bahnson, C.S.; Poulson, R.L.; Krauss, S.; Webster, R.G.; Stallknecht, D.E. Neutralizing antibodies to type A influenza viruses in shorebirds at Delaware Bay, New Jersey, USA. J. Wildl. Dis. 2018, 54, 708–715. [Google Scholar] [CrossRef] [PubMed]
- McNeil, R.; Burton, J. Cranial pneumatization patterns and bursa of Fabricius in North American shorebirds. Wilson Bull. 1972, 84, 329–339. [Google Scholar]
- Nemeth, N.M.; Ruder, M.G.; Poulson, R.L.; Sargent, R.; Breeding, S.; Evans, M.N.; Zimmerman, J.; Hardman, R.; Cunningham, M.; Gibbs, S.; et al. Bald eagle mortality and nest failure due to clade 2.3.4.4 highly pathogenic H5N1 influenza A virus. Sci. Rep. 2023, 13, 191. [Google Scholar] [CrossRef] [PubMed]
- Hanson, B.A.; Stallknecht, D.E.; Swayne, D.E.; Lewis, L.A.; Senne, D.A. Avian influenza viruses in Minnesota ducks during 1998–2000. Avian Dis. 2003, 47, 867–871. [Google Scholar] [CrossRef]
- Youk, S.; Torchetti, M.K.; Lantz, K.; Lenoch, J.B.; Killian, M.L.; Leyson, C.; Bevins, S.N.; Dilione, K.; Ip, H.S.; Stallknecht, D.E.; et al. H5N1 highly pathogenic avian influenza clade 2.3.4.4b in wild and domestic birds: Introductions into the United States and reassortments, December 2021–April 2022. Virology 2023, 587, 109860. [Google Scholar] [CrossRef] [PubMed]
- Das, A.; Spackman, E.; Pantin-Jackwood, M.J.; Suarez, D.L. Removal of real-time reverse transcription polymerase chain reaction (RT-PCR) inhibitors associated with cloacal swab samples and tissues for improved diagnosis of avian influenza virus by RT-PCR. J. Vet. Diagn. Investig. 2009, 21, 771–778. [Google Scholar] [CrossRef]
- Boettcher, R.; Harvey, J.A.; Puryear, W.B.; Atlantic Marine Bird Cooperative’s Community Science and Marine Bird Health Working Group. 2024. Available online: https://atlanticmarinebirds.org/about/ (accessed on 10 June 2025).
- Meltofte, H. Populations and breeding schedules of waders, charadrii, in high arctic Greenland. Meddelelser om Grønland. Biosci. 1985, 16, 1–43. [Google Scholar] [CrossRef]
- Tarasiuk, K.; Kycko, A.; Knitter, M.; Świętoń, E.; Wyrostek, K.; Domańska-Blicharz, K.; Bocian, Ł.; Meissner, W.; Śmietanka, K. Pathogenicity of highly pathogenic avian influenza H5N8 subtype for herring gulls (Larus argentatus): Impact of homo- and heterosubtypic immunity on the outcome of infection. Vet. Res. 2022, 53, 108. [Google Scholar] [CrossRef]
- Malmberg, J.L.; Miller, M.; Jennings-Gaines, J.; Allen, S.E. Mortality in wild turkeys (Meleagris gallopavo) associated with natural infection with H5N1 highly pathogenic avian influenza virus (HPAIV) subclade 2.3.4.4. J. Wildl. Dis. 2023, 59, 767–773. [Google Scholar] [CrossRef]
- Hsueh, C.-S.; Fasina, O.; Piñeyro, P.; Ruden, R.; El-Gazzar, M.M.; Sato, Y. Histopathologic features and viral antigen distribution of H5N1 highly pathogenic avian influenza virus clade 2.3.4.4b from the 2022–2023 outbreak in Iowa wild birds. Avian Dis. 2024, 68, 272–281. [Google Scholar] [CrossRef]
- Kandeil, A.; Patton, C.; Jones, J.C.; Jeevan, T.; Harrington, W.N.; Trifkovic, S.; Seiler, J.P.; Fabrizio, T.; Woodard, K.; Turner, J.C.; et al. Rapid evolution of A(H5N1) influenza viruses after intercontinental spread to North America. Nat. Commun. 2023, 14, 3082. [Google Scholar] [CrossRef] [PubMed]
- Elsmo, E.J.; Wünschmann, A.; Beckmen, K.B.; Broughton-Neiswanger, L.E.; Buckles, E.L.; Ellis, J.; Fitzgerald, S.D.; Gerlach, R.; Hawkins, S.; Ip, H.S.; et al. Highly pathogenic avian influenza A(H5N1) virus clade 2.3.4.4b infections in wild terrestrial mammals, United States, 2022. Emerg. Infect. Dis. 2023, 29, 2451–2460. [Google Scholar] [CrossRef] [PubMed]
- Parums, D.V. Editorial: Global surveillance of highly pathogenic avian influenza viruses in poultry, wild birds, and mammals to prevent a human influenza pandemic. Med. Sci. Monit. 2023, 29, e939968. [Google Scholar] [CrossRef]
- Peacock, T.; Moncla, L.; Dudas, G.; Vaninsberghe, D.; Sukhova, K.; Lloyd-Smith, J.O.; Worobey, M.; Lowen, A.C.; Nelson, M.I. The global H5N1 influenza panzootic in mammals. Nature 2025, 637, 304–313. [Google Scholar] [CrossRef] [PubMed]
- Lean, F.Z.X.; Falchieri, M.; Furman, N.; Tyler, G.; Robinson, C.; Holmes, P.; Reid, S.M.; Banyard, A.C.; Brown, I.H.; Man, C.; et al. Highly pathogenic avian influenza virus H5N1 infection in skua and gulls in the United Kingdom, 2022. Vet. Pathol. 2024, 61, 421–431. [Google Scholar] [CrossRef]
- Nemeth, N.M.; Andreasen, V.A.; Leal, J.; Poulson, R.L. Highly Pathogenic H5N1 Avian Influenza Virus Pathology in North and South American wild birds. Southeastern Cooperative Wildlife Disease Study and Department of Pathology, University of Georgia: Athens, GA, USA, 2025; manuscript in preparation. [Google Scholar]
- Hall, J.S.; Franson, J.C.; Gill, R.E.; Meteyer, C.U.; TeSlaa, J.L.; Nashold, S.; Dusek, R.J.; Ip, H.S. Experimental challenge and pathology of highly pathogenic avian influenza virus H5N1 in dunlin (Calidris alpina), an intercontinental migrant shorebird species. Influenza Other Respir. Viruses 2011, 5, 365–372. [Google Scholar] [CrossRef]
- Reperant, L.A.; van de Bildt, M.W.G.; van Amerongen, G.; Buehler, D.M.; Osterhaus, A.D.M.E.; Jenni-Eiermann, S.; Piersma, T.; Kuiken, T. Highly pathogenic avian influenza virus H5N1 infection in a long-distance migrant shorebird under migratory and non-migratory states. PLoS ONE 2011, 6, e27814. [Google Scholar] [CrossRef]
- Caliendo, V.; Leijten, L.; van de Bildt, M.W.G.; Fouchier, R.A.M.; Rijks, J.M.; Kuiken, T. Pathology and virology of natural highly pathogenic avian influenza H5N8 infection in wild common buzzards (Buteo buteo). Sci. Rep. 2022, 12, 920. [Google Scholar] [CrossRef]
- Rijks, J.M.; Leopold, M.F.; Kühn, S.; In ‘t Veld, R.; Schenk, F.; Brenninkmeijer, A.; Lilipaly, S.J.; Ballmann, M.Z.; Kelder, L.; de Jong, J.W.; et al. Mass mortality caused by highly pathogenic influenza A(H5N1) virus in sandwich terns, the Netherlands, 2022. Emerg. Infect. Dis. 2022, 28, 2538–2542. [Google Scholar] [CrossRef]
- Kreuder, C.; Irizarry-Rovira, A.R.; Janovitz, E.B.; Deitschel, P.J.; DeNicola, D.B. Avian pox in sanderlings from Florida. J. Wildl. Dis. 1999, 35, 582–585. [Google Scholar] [CrossRef]
- Shearn-Bochsler, V.; Schulz, J.L.; Dobbs, R.C.; Lorch, J.M.; Waddle, J.H.; Grear, D.A. Novel dermatophilosis and concurrent amyloidosis in sanderlings (Calidris alba) from Louisiana, USA. J. Wildl. Dis. 2018, 54, 189–192. [Google Scholar] [CrossRef] [PubMed]
- Shender, L.A.; Cody, T.; Ruder, M.; Fenton, H.; Niedringhaus, K.D.; Blanton, J.; Motes, J.; Schmedes, S.; Forys, E. Heavy rainfall, sewer overflows, and salmonellosis in black skimmers (Rynchops niger). Ecohealth 2022, 19, 203–215. [Google Scholar] [CrossRef] [PubMed]
- Niedringhaus, K.D.; Shender, L.A.; DiNuovo, A.; Flewelling, L.J.; Maboni, G.; Sanchez, S.; Deitschel, P.J.; Fitzgerald, J.; Nemeth, N.M. Mortality in common (Sterna hirundo) and sandwich (Thalasseus sandvicensis) terns associated with Bisgaard Taxon 40 infection on Marco Island, Florida, USA. J. Comp. Pathol. 2021, 184, 12–18. [Google Scholar] [CrossRef] [PubMed]
- Stilz, C.R.; Kunkel, M.R.; Keel, M.K.; Fenton, H.; Weyna, A.A.W.; Niedringhaus, K.D.; Andreasen, V.A.; McKinney, A.S.; Maboni, G.; Nemeth, N.M. Aspergillosis in 41 wild bird species in the Eastern United States: A 22-Year retrospective review. J. Vet. Diagn. Investig. 2025, 37, 305–316. [Google Scholar] [CrossRef]
- Nemeth, N.M.; Brush, J.M.; Cox, W.A.; Hardman, R.; Piersma, B.; Troiano, A.; Barron, H.W.; Kunkel, M.R.; Goodwin, C.C.; Weyna, A.A.W.; et al. Multi-year mortality due to staphylococcal arthritis and osteomyelitis with sandspur-associated injury in juvenile black skimmers (Rynchops niger) at nesting colonies in Southwest Florida, USA. Vet. Sci. 2024, 11, 578. [Google Scholar] [CrossRef]




| Case Identifier | Date Found Sick/Dead | Age 1 | Sex | Weight (g) | Nutritional Condition | County | Coordinates (Latitude) | Coordinates (Longitude) |
|---|---|---|---|---|---|---|---|---|
| W24-190A | 13 March 2024 | U | Female | 32.5 | Poor | Virginia Beach | 36.91926 | −75.9941 |
| W24-190B | 10 March 2024 | U | Female | 37.1 | Poor | Virginia Beach | 36.92009 | −76.13264 |
| W24-190C | 9 March 2024 | Adult | Male | 38.6 | Poor | Norfolk | 36.94190 | −76.22831 |
| W24-190D | 9 March 2024 | Juvenile | Female | 47.5 | Fair | Norfolk | 36.94190 | −76.22831 |
| W24-190E | 9 March 2024 | U | U | 39.2 | Fair | Norfolk | 36.94190 | −76.22831 |
| W24-190F | 7 March 2024 | U | Female | 54.1 | Fair | Hampton | 37.04608 | −76.28682 |
| W24-190G | 8 March 2024 | Adult | Female | 42.3 | U | Norfolk | 36.96474 | −76.26736 |
| W24-190H | 8 March 2024 | Adult | Male | 39.7 | Fair | Norfolk | 36.93314 | −76.20011 |
| W24-190I | 12 March 2024 | U | U | 32.9 | Poor | Norfolk | 36.96919 | −76.29353 |
| W24-190J | 11 March 2024 | Juvenile | Male | 37.7 | U | Norfolk | 36.95553 | −76.52336 |
| W24-190K | Not reported | U | Male | 48.5 | Fair | U | U | U |
| ID | Pancreas | Cerebrum | Midbrain | Cerebellum | Spleen | Kidney | Liver | Adrenal Gland | Gonad | Small Intestine | Large Intestine |
|---|---|---|---|---|---|---|---|---|---|---|---|
| W24-190A | ++++ (N,HI) | ++++ (N,NI) | NSL | NE | NE | NSL | NSL | NE | NSL | NSL | ++ (N,HI) |
| W24-190B | ++++ (N) | +++ (NI) | ++ (NI) | +++ (NI) | ++ (N) | NSL | NSL | ++++ (N) | +++ (N) | ++ (N,H,U) | +++ (N,HI,H) |
| W24-190C | SA | NE | NE | NE | NSL | NSL | NSL | NE | NSL | NSL | NSL |
| W24-190D | SA | +++ (N,PVC) | +++ (NI,PVC) | +++ (N,G,FN) | ++ (N) | NSL | NSL | NSL | NSL | NSL | NSL |
| W24-190E | NE | +++ (N,NI) | NE | NSL | NE | ++ (N) | NSL | NE | NE | SA | SA |
| W24-190G | SA | NSL | +++ (N) | ++ (NI) | NE | NSL | SA | NSL | NSL | NSL | NSL |
| W24-190H | SA | NSL | +++ (N,HI,FN,G) | ++ (N,HI,M) | NE | NSL | NSL | NE | NE | SA | NE |
| W24-190I | SA | +++ (N,NI,G) | NE | + (NI) | NSL | NSL | NSL | NE | NE | SA | NSL |
| W24-190J | ++++ (N) | ++ (NI,M) | ++ (N,NI,G) | NSL | ++ (L) | NSL | +++ (N,H) | NE | NE | NSL | NE |
| Proportion (%) affected | 3/3 (100%) | 6/8 (75%) | 5/6 (83%) | 5/6 (83%) | 3/5 (60%) | 1/9 (11%) | 1/8 (13%) | 1/3 (33%) | 1/5 (20%) | 1/6 (17%) | 2/6 (33%) |
Disclaimer/Publisher’s Note: The statements, opinions and data contained in all publications are solely those of the individual author(s) and contributor(s) and not of MDPI and/or the editor(s). MDPI and/or the editor(s) disclaim responsibility for any injury to people or property resulting from any ideas, methods, instructions or products referred to in the content. |
© 2025 by the authors. Licensee MDPI, Basel, Switzerland. This article is an open access article distributed under the terms and conditions of the Creative Commons Attribution (CC BY) license (https://creativecommons.org/licenses/by/4.0/).
Share and Cite
Andreasen, V.A.; Phillips, E.G.; O’Reilly, A.M.; Stilz, C.R.; Poulson, R.L.; Boettcher, R.; Tracey, J.K.; Nemeth, N.M. Clade 2.3.4.4b Highly Pathogenic Avian Influenza H5N1 Pathology in a Common Shorebird Species (Sanderling; Calidris alba) in Virginia, USA. Animals 2025, 15, 2057. https://doi.org/10.3390/ani15142057
Andreasen VA, Phillips EG, O’Reilly AM, Stilz CR, Poulson RL, Boettcher R, Tracey JK, Nemeth NM. Clade 2.3.4.4b Highly Pathogenic Avian Influenza H5N1 Pathology in a Common Shorebird Species (Sanderling; Calidris alba) in Virginia, USA. Animals. 2025; 15(14):2057. https://doi.org/10.3390/ani15142057
Chicago/Turabian StyleAndreasen, Victoria A., Emily G. Phillips, Aidan M. O’Reilly, C. Robert Stilz, Rebecca L. Poulson, Ruth Boettcher, John K. Tracey, and Nicole M. Nemeth. 2025. "Clade 2.3.4.4b Highly Pathogenic Avian Influenza H5N1 Pathology in a Common Shorebird Species (Sanderling; Calidris alba) in Virginia, USA" Animals 15, no. 14: 2057. https://doi.org/10.3390/ani15142057
APA StyleAndreasen, V. A., Phillips, E. G., O’Reilly, A. M., Stilz, C. R., Poulson, R. L., Boettcher, R., Tracey, J. K., & Nemeth, N. M. (2025). Clade 2.3.4.4b Highly Pathogenic Avian Influenza H5N1 Pathology in a Common Shorebird Species (Sanderling; Calidris alba) in Virginia, USA. Animals, 15(14), 2057. https://doi.org/10.3390/ani15142057

