Genetic Analysis of HSP70 and HSF3 Polymorphisms and Their Associations with the Egg Production Traits of Bangladeshi Hilly Chickens
Simple Summary
Abstract
1. Introduction
2. Materials and Methods
2.1. Experimental Birds and Trait Records
2.2. Blood Collection and Genomic DNA Extraction
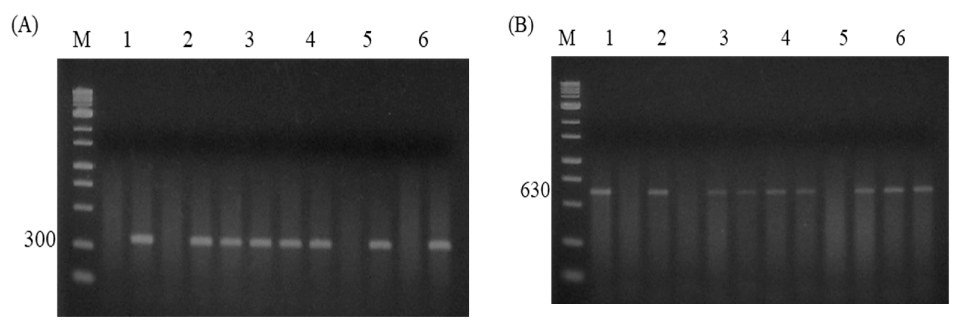
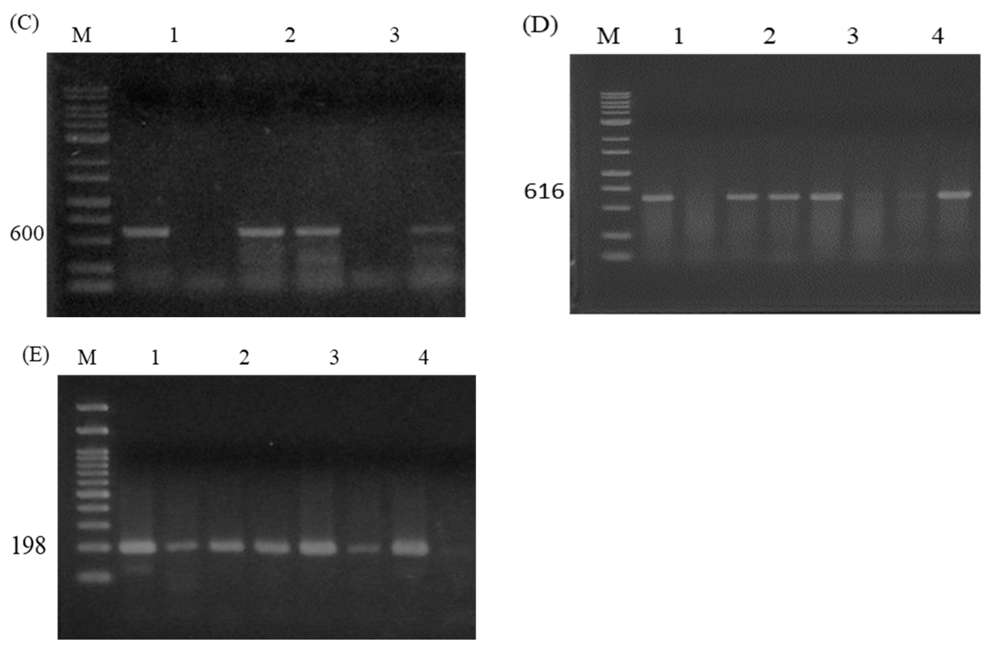
2.3. Primer Design, PCR Amplification, and Sequencing of the HSP70 Fragment
2.4. Genotyping of SNPs and Reconstruction of Haplotypes in the HSP70 Gene
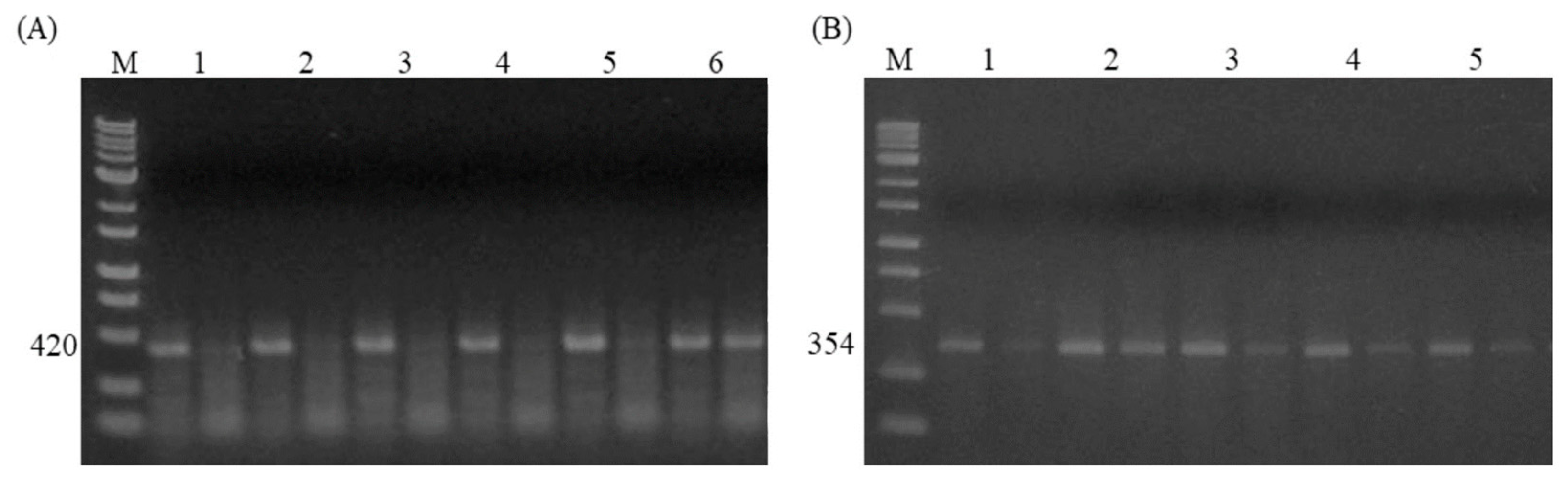
2.5. Genotyping of SNPs and Reconstruction of Haplotypes Within HSF3 Gene
2.6. Statistical Analysis
3. Results
3.1. Identification of Novel SNPs in the 5′-Flanking Region of HSP70
3.2. Genotypic and Allelic Frequencies and Haplotype Combinations in HSP70
3.3. Association Between Genotypes and Egg Production Traits for HSP70
3.4. Association of the Haplotypes for HSP70 with Egg Production Traits in the Hilly Chicken
3.5. Genotypic and Allelic Frequencies and Haplotype Combinations in HSF3
3.6. Association Between Genotypes and Egg Production Traits and HSF3
3.7. Association of HSF3 Haplotypes with Hilly Chicken Egg Production Traits
3.8. Evaluation of Combined Genotypic Effects of SNPs G-399A and A-68G in HSP70 with A-1388G SNP in HSF3 on Egg Production Traits
4. Discussion
5. Conclusions
Author Contributions
Funding
Institutional Review Board Statement
Informed Consent Statement
Data Availability Statement
Conflicts of Interest
References
- Bhuiyan, A.K.F.H.; Bhuiyan, M.S.A.; Deb, G.K. Indigenous chicken genetic resources in Bangladesh: Current status and future outlook. Anim. Genet. Resour. Inf. 2005, 36, 73–84. [Google Scholar] [CrossRef]
- Rashid, M.A.; Manjula, P.; Faruque, S.; Bhuiyan, A.K.F.H.; Seo, D.; Alam, J.; Lee, J.H.; Bhuiyan, M.S.A. Genetic diversity and population structure of indigenous chicken of Bangladesh using microsatellite markers. Asian-Australas. J. Anim. Sci. 2020, 33, 1732–1740. [Google Scholar] [CrossRef]
- Afrin, A.; Ahmed, T.; Lahiry, A.; Rahman, S.; Dey, B.; Hashem, M.A.; Das, S.C. Profitability and meat quality of fast-, medium- and slow-growing meat-type chicken genotypes as affected by growth and length of rearing. Saudi J. Biol. Sci. 2024, 31, 104025. [Google Scholar] [CrossRef] [PubMed]
- Khan, M.K.; Siddiki, A.Z.; Ali, M.R.; Akter, M. Identification of best performer hilly chickens of Bangladesh in consideration of climate change factors: Light and heat. Indian J. Anim. Sci. 2017, 87, 991–995. [Google Scholar] [CrossRef]
- Chowdhury, Q.M.M.K.; Hossain, M.; Ahmed, J.; Shykat, C.A.; Islam, M.S.; Hasan, M. Impact of climate change on livestock in Bangladesh: A review of what we know and what we need to know. Am. J. Agric. Sci. Eng. Technol. 2019, 3, 89–96. [Google Scholar] [CrossRef]
- He, S.P.; Arowolo, M.A.; Medrano, R.F.; Li, S.; Yu, Q.F.; Chen, J.Y.; He, J.H. Impact of heat stress and nutritional interventions on poultry production. Worlds. Poult. Sci. J. 2018, 74, 647–664. [Google Scholar] [CrossRef]
- Kim, D.H.; Lee, Y.K.; Lee, S.D.; Kim, S.H.; Lee, S.R.; Lee, H.G.; Lee, K.W. Changes in production parameters, egg qualities, fecal volatile fatty acids, nutrient digestibility, and plasma parameters in laying hens exposed to ambient temperature. Front. Vet. Sci. 2020, 7, 412. [Google Scholar] [CrossRef]
- Feder, M.E.; Hofmann, G.E. Heat-shock proteins, molecular chaperones, and the stress response: Evolutionary and ecological physiology. Annu. Rev. Physiol. 1999, 61, 243–282. [Google Scholar] [CrossRef]
- Sawka, M.N.; Wenger, C.B.; Pandolf, K.B. Thermoregulatory responses to acute exercise-heat stress and heat acclimation. In Comprehensive Physiology; Wiley: Hoboken, NJ, USA, 2011; pp. 157–185. [Google Scholar]
- Lindquist, S.; Craig, E.A. The heat-shock proteins. Annu. Rev. Genet. 1988, 22, 631–677. [Google Scholar] [CrossRef]
- Huang, L.Z.; Zhou, M.; Ding, Y.F.; Zhu, C. Gene networks involved in plant heat stress response and tolerance. Int. J. Mol. Sci. 2022, 23, 11970. [Google Scholar] [CrossRef]
- Kan, Y.; Mu, X.R.; Gao, J.; Lin, H.X.; Lin, Y. The molecular basis of heat stress responses in plants. Mol. Plant 2023, 16, 1612–1634. [Google Scholar] [CrossRef] [PubMed]
- Moniruzzaman, M.; Ahmed, I.; Huq, S.; All Mahmud, M.S.; Begum, S.; Mahzabin Amin, U.S.; Rahman, M.H.; Sarker, P.K.; Hossain, M.U.; Das, K.C.; et al. Association of polymorphism in heat shock protein 70 genes with type 2 diabetes in Bangladeshi population. Mol. Genet. Genom. Med. 2020, 8, e1073. [Google Scholar] [CrossRef] [PubMed]
- Hassan, F.; Nawaz, A.; Rehman, M.S.; Ali, M.A.; Dilshad, S.M.R.; Yang, C. Prospects of HSP70 as a genetic marker for thermo-tolerance and immuno-modulation in animals under climate change scenario. Anim. Nutr. 2019, 5, 340–350. [Google Scholar] [CrossRef] [PubMed]
- Aryani, A.; Solihin, D.D.; Sumantri, C.; Afnan, R.; Sartika, T. Genetic diversity of the structure of HSP70 gene in Kampung Unggul Balitbangtan (KUB), Walik, and Kate Walik chickens. Trop. Anim. Sci. J. 2019, 42, 180–188. [Google Scholar] [CrossRef]
- Liang, H.M.; Lin, D.Y.; Hsuuw, Y.D.; Huang, T.P.; Chang, H.L.; Lin, C.Y.; Wu, H.H.; Hung, K.H. Association of heat shock protein 70 gene polymorphisms with acute thermal tolerance, growth, and egg production traits of native chickens in Taiwan. Arch. Anim. Breed. 2016, 59, 173–181. [Google Scholar] [CrossRef]
- Abbas, Z.; Hu, L.; Fang, H.; Sammad, A.; Kang, L.; Brito, L.F.; Xu, Q.; Wang, Y. Association analysis of polymorphisms in the 5′ flanking region of the HSP70 gene with blood biochemical parameters of lactating Holstein cows under heat and cold stress. Animals 2020, 10, 2016. [Google Scholar] [CrossRef]
- Prihandini, P.W.; Primasari, A.; Aryogi, A.; Luthfi, M.; Hariyono, D.N.H. Genetic polymorphisms of the 5′ untranslated regions of the HSP70 gene in Indonesian cattle populations. Vet. World 2022, 15, 168–172. [Google Scholar] [CrossRef]
- Suhendro, I.; Noor, R.R.; Jakaria, J.; Priyanto, R.; Manalu, W.; Andersson, G. Association of heat-shock protein 70.1 gene with physiological and physical performance of Bali cattle. Vet. World 2024, 17, 17–25. [Google Scholar] [CrossRef]
- Takii, R.; Fujimoto, M.; Matsuura, Y.; Wu, F.; Oshibe, N.; Takaki, E.; Katiyar, A.; Akashi, H.; Makino, T.; Kawata, M.; et al. HSF1 and HSF3 cooperatively regulate the heat shock response in lizards. PLoS ONE 2017, 12, e0180776. [Google Scholar] [CrossRef]
- Gouda, A.; Tolba, S.; Mahrose, K.; Felemban, S.G.; Khafaga, A.F.; Khalifa, N.E.; Jaremko, M.; Moustafa, M.; Alshaharni, M.O.; Algopish, U.; et al. Heat shock proteins as a key defense mechanism in poultry production under heat stress conditions. Poult. Sci. 2024, 103, 103537. [Google Scholar] [CrossRef]
- Shehata, A.M.; Saadeldin, I.M.; Tukur, H.A.; Habashy, W.S. Modulation of heat-shock proteins mediates chicken cell survival against thermal stress. Animals 2020, 10, 2407. [Google Scholar] [CrossRef] [PubMed]
- Zhang, W.; Kong, L.; Zhang, D.; Ji, C.; Zhang, X.; Luo, Q. Effect of the C.–1 388 A>G polymorphism in chicken heat shock transcription factor 3 gene on heat tolerance. J. Integr. Agric. 2015, 14, 1808–1815. [Google Scholar] [CrossRef]
- Wang, X.H.; Yu, H.L.; Zou, W.B.; Mi, C.H.; Dai, G.J.; Zhang, T.; Zhang, G.X.; Xie, K.Z.; Wang, J.Y. Study of the relationship between polymorphisms in the IL-8 gene promoter region and Coccidiosis resistance index in Jinghai yellow chickens. Genes 2020, 11, 476. [Google Scholar] [CrossRef] [PubMed]
- Perini, F.; Cendron, F.; Rovelli, G.; Castellini, C.; Cassandro, M.; Lasagna, E. Emerging genetic tools to investigate molecular pathways related to heat stress in chickens: A review. Animals 2020, 11, 46. [Google Scholar] [CrossRef] [PubMed]
- Juiputta, J.; Chankitisakul, V.; Boonkum, W. Appropriate genetic approaches for heat tolerance and maintaining good productivity in tropical poultry production: A review. Vet. Sci. 2023, 10, 591. [Google Scholar] [CrossRef]
- Onagbesan, O.M.; Uyanga, V.A.; Oso, O.; Tona, K.; Oke, O.E. Alleviating heat stress effects in poultry: Updates on methods and mechanisms of actions. Front. Vet. Sci. 2023, 10, 1255520. [Google Scholar] [CrossRef]
- Cui, Z.; Liu, L.; Zhao, X.; Ran, J.; Wang, Y.; Yin, H.; Li, D.; Zhu, Q. Analysis of expression and single nucleotide polymorphisms of INHA gene associated with reproductive traits in chickens. Biomed Res. Int. 2019, 2019, 8572837. [Google Scholar] [CrossRef]
- Najafi, M.; Rouhi, M.; Mokhtari, R.; Kazemi, H. Genetic analysis of a novel polymorphism in coding region of HSP70 gene and its association with some productive and reproductive traits in Mazandaran native breeder hens. J. Genet. Disord. Genet. Med. 2019, 2, 1–5. [Google Scholar]
- Deb, R.; Sajjanar, B.; Singh, U.; Kumar, S.; Brahmane, M.P.; Singh, R.; Sengar, G.; Sharma, A. Promoter variants at AP2 box region of Hsp70.1 affect thermal stress response and milk production traits in Frieswal cross bred cattle. Gene 2013, 532, 230–235. [Google Scholar] [CrossRef]
- Kumar, M.; Ratwan, P.; Dahiya, S.P.; Nehra, A.K. Climate change and heat stress: Impact on production, reproduction and growth performance of poultry and its mitigation using genetic strategies. J. Therm. Biol. 2021, 97, 102867. [Google Scholar] [CrossRef]
- Singh, M.K.; Shin, Y.; Ju, S.; Han, S.; Choe, W.; Yoon, K.S.; Kim, S.S.; Kang, I. Heat shock response and heat shock proteins: Current understanding and future opportunities in human diseases. Int. J. Mol. Sci. 2024, 25, 4209. [Google Scholar] [CrossRef] [PubMed]
- Archana, P.; Aleena, J.; Pragna, P.; Vidya, M.; Niyas, P.A.; Bagath, M.; Krishnan, G.; Manimaran, A.; Beena, V.; Kurien, E.; et al. Role of heat shock proteins in livestock adaptation to heat stress. J. Dairy Vet. Anim. Res. 2017, 5, 13–19. [Google Scholar] [CrossRef]
- Grepper, D.; Tabasso, C.; Zanou, N.; Aguettaz, A.K.F.; Castro-Sepulveda, M.; Ziegler, D.V.; Lagarrigue, S.; Arribat, Y.; Martinotti, A.; Ebrahimi, A.; et al. BCL2L13 at endoplasmic reticulum-mitochondria contact sites regulates calcium homeostasis to maintain skeletal muscle function. iScience 2024, 27, 110510. [Google Scholar] [CrossRef] [PubMed]
- Galal, A.; Radwan, L.M. Identification of single nucleotide polymorphism in heat shock protein HSP70 and HSP90 after four selection generations in two lines of chickens. Ann. Agric. Sci. 2020, 65, 124–128. [Google Scholar] [CrossRef]
- Galal, A.; Radwan, L.M.; Rezik, H.H.; Ayoub, H. Expression levels of HSP70 and CPT-1 in three local breeds of chickens reared under normal or heat stress conditions after the introduction of the naked neck gene. J. Therm. Biol. 2019, 80, 113–118. [Google Scholar] [CrossRef]
- Basiricò, L.; Morera, P.; Primi, V.; Lacetera, N.; Nardone, A.; Bernabucci, U. Cellular thermotolerance is associated with heat shock protein 70.1 genetic polymorphisms in Holstein lactating cows. Cell Stress Chaperones 2011, 16, 441–448. [Google Scholar] [CrossRef]
- Sirotkin, A.V. Effect of two types of stress (heat shock/high temperature and malnutrition/serum deprivation) on porcine ovarian cell functions and their response to hormones. J. Exp. Biol. 2010, 213, 2125–2130. [Google Scholar] [CrossRef]
- Li, L.; Wu, J.; Luo, M.; Sun, Y.; Wang, G. The effect of heat stress on gene expression, synthesis of steroids, and apoptosis in bovine granulosa cells. Cell Stress Chaperones 2016, 21, 467–475. [Google Scholar] [CrossRef]
- Yan, L.; Hu, M.; Gu, L.; Lei, M.; Chen, Z.; Zhu, H.; Chen, R. Effect of heat stress on egg production, steroid hormone synthesis, and related gene expression in chicken preovulatory follicular granulosa cells. Animals 2022, 12, 1467. [Google Scholar] [CrossRef]
- Budi, T.; Singchat, W.; Tanglertpaibul, N.; Thong, T.; Panthum, T.; Noito, K.; Wattanadilokchatkun, P.; Jehangir, M.; Chaiyes, A.; Wongloet, W.; et al. Possible influence of thermal selection on patterns of HSP70 and HSP90 gene polymorphisms in Thai indigenous and local chicken breeds and red junglefowls. Poult. Sci. 2024, 103, 103503. [Google Scholar] [CrossRef]
- Cao, Z.P.; Wang, S.Z.; Wang, Q.G.; Wang, Y.X.; Li, H. Association of spot14α gene polymorphisms with body weight in the chicken. Poult. Sci. 2007, 86, 1873–1880. [Google Scholar] [CrossRef]





| No | Primer Name | Sequence (5′ to 3′) | Anneal. Temp. | PCR Cycle | Product Length |
|---|---|---|---|---|---|
| P1 P2 P3 P4 P5 P6 P7 P8 | HSP70_R_S1_G HSP70_R_S1_A HSP70_R_S2_A HSP70_R_S2_G HSP70_F_Com HSP70_R HSP70_F_Seq HSP70_R_Seq | CCAATCACAACGCGCTCTC CCAATCACAACGCGCTCTT TCGCTCGCAGTCACGTCT TCGCTCGCAGTCACGTCC AGAAGTTGTGTGAGTCGCGA AATACGTGGTGCCCAGATCG GTCGCGACCAAATAAGGGTA GTGCCCAGATCGATGCCGATG | 30 | 300 | |
| 64 | 30 | 630 | |||
| 30 | 729 | ||||
| P9 P10 P11 P12 P13 | HSP70_R_S1_A HSP70_R_S1_G HSP70_R_S2_C HSP70_R_S2_G HSP70_F_Com | GAAGGGCCAGTGCTTCATGTCT GAAGGGCCAGTGCTTCATGTCC CCTCGTTCACCACACGGAAG CCTCGTTCACCACACGGAAC CGATCTGGCTGCAATCTACG | 60 | 30 | 600 |
| 58 | 30 | 616 | |||
| P14 P15 P16 | HSP70_R_S3_C HSP70_R_S3_A HSP70_S3_F_Com | CTATGTCAAAAGTGACCTCG CTATGTCAAAAGTGACCTCT AGCGTAACACCACCATTC | 55 | 30 | 198 |
| Haplotype | Position of SNP | Frequency | ||||
|---|---|---|---|---|---|---|
| G-399A | A-68G | A258G | C276G | C1431A | ||
| H1 | G | A | A | C | C | 0.34 |
| H2 | G | A | A | C | A | 0.04 |
| H3 | G | A | G | G | C | 0.08 |
| H4 | G | A | G | C | A | 0.03 |
| H5 | A | A | A | C | C | 0.02 |
| H6 | G | A | A | G | C | 0.03 |
| H7 | G | G | A | C | C | 0.09 |
| H8 | G | A | G | G | A | 0.07 |
| H9 | G | A | G | C | C | 0.12 |
| H10 | G | G | G | C | C | 0.03 |
| H11 | G | G | G | C | A | 0.04 |
| H12 | G | G | G | G | A | 0.02 |
| H13 | G | G | A | G | A | 0.03 |
| H14 | G | G | A | C | A | 0.03 |
| H15 | G | G | G | G | C | 0.03 |
| No | Primer Name | Sequence (5′ to 3′) | Anneal. Temp. | PCR Cycle | Product Length |
|---|---|---|---|---|---|
| P17 P18 P19 | HSF3_F_S1_A HSF3_F_S1_G HSF3_S1_R_Com | GTCCCCATAATACCTCCCCA GTCCCCATAATACCTCCCCG TTTTAGCTGCCAGTTCCTTT | 60 | 25 | 354 |
| P20 P21 P22 | HSF3_R_S2_ A HSF3_R_S2_G HSF3_S2_F_Com | TTTTAGCTGCCAGTTCCTTT TTTTAGCTGCCAGTTCCTTC AAGAATGGCTCCTTGCCACC | 59 | 30 | 420 |
| SNP Name | Mutation | Location | Genomic Position |
|---|---|---|---|
| G-399A | G>A * | 5′-flanking | 52383334 |
| A-68G | A>G * | 5′-flanking | 52383665 |
| A258G | A>G | Coding | [15] |
| C276G | C>G | Coding | [15] |
| C1431A | C>A | Coding | [29] |
| SNPs | Genotype Frequency | Allele Frequency | χ2 (HWE) | p-Value | |||
|---|---|---|---|---|---|---|---|
| G-399A | GG | AG | AA | G | A | ||
| 0.92(137) | 0.08(12) | – | 0.95 | 0.05 | 7.44 | p < 0.01 | |
| A-68G | AA | AG | GG | A | G | ||
| 0.67(72) | 0.22(24) | 0.10(11) | 0.78 | 0.22 | 11.68 | p < 0.01 | |
| A258G | AA | AG | GG | A | G | ||
| 0.20(28) | 0.77(113) | 0.03(5) | 0.58 | 0.42 | 50.44 | p < 0.00 | |
| C276G | CC | CG | GG | C | G | ||
| 0.58(86) | 0.39(58) | 0.03(5) | 0.77 | 0.23 | 1.63 | p > 0.05 | |
| C1431A | CC | CA | AA | C | A | ||
| 0.74(110) | 0.26(39) | – | 0.87 | 0.13 | 3.42 | p > 0.05 | |
| SNPs | Traits (p Value of Significant Test) | |||||||||
|---|---|---|---|---|---|---|---|---|---|---|
| ASM (Days) | BW at ASM | EW at ASM | EW at 40 WK | EN 130–160 d | EN 161–190 d | EN 191–220 d | EN 221–250 d | EN 251–280 d | EN 281–310 d | |
| G-399A | 0.890 | 0.148 | 0.129 | 0.660 | 0.578 | 0.020 | 0.421 | 0.218 | 0.484 | 0.225 |
| A-68G | 0.365 | 0.537 | 0.707 | 0.009 | 0.547 | 0.520 | 0.478 | 0.444 | 0.413 | 0.186 |
| A258G | 0.543 | 0.593 | 0.426 | 0.960 | 0.561 | 0.563 | 0.590 | 0.016 | 0.377 | 0.805 |
| C276G | 0.382 | 0.246 | 0.275 | 0.795 | 0.568 | 0.304 | 0.759 | 0.262 | 0.222 | 0.050 |
| C1431A | 0.121 | 0.464 | 0.651 | 0.855 | 0.969 | 0.681 | 0.012 | 0.058 | 0.341 | 0.363 |
| SNPs | Traits | Genotypes (Mean ± SE) | p Value | ||
|---|---|---|---|---|---|
| G-399A | EN at 161–190 d | GG 16.27 ± 0.26 b | AG 18.83 ± 0.86 a | AA – | 0.020 |
| A-68G | EW at 40 wk | AA 46.56 ± 0.11 b | AG 47.03 ± 0.18 ab | GG 47.30 ± 0.27 a | 0.009 |
| A258G | EN at 221–250 d | AA 16.00 ± 0.19 a | AG 14.82 ± 0.63 b | GG 14.60 ± 1.53 b | 0.016 |
| C276G | EN at 281–310 d | CC 13.01 ± 0.24 | CG 12.67 ± 0.29 | GG 13.60 ± 0.93 | 0.050 |
| C1431A | EN at 191–220 d | CC 16.49 ± 0.21 b | CA 17.61 ± 0.39 a | AA – | 0.012 |
| Haplotypes | Traits (Mean ± SE) | ||||||
|---|---|---|---|---|---|---|---|
| ASM | EW at ASM | EW at 40 wk | BW at ASM | EN 130–160 d | EN 161–190 d | EN 191–220 d | |
| H1(GAACC) | 160.71 ± 1.61 ab | 25.85 ± 0.52 b | 46.812 ± 0.16 ab | 1728.52 ± 24.49 b | 2.00 ± 0.74 b | 15.91 ± 0.54 b | 16.03 ± 0.39 b |
| H2(GAACA) | 156.75 ± 4.68 ab | 26.00 ± 0.74 ab | 45.915 ± 0.46 b | 1543.75 ± 77.24 a | 4.50 ± 2.15 ab | 17.25 ± 1.58 ab | 18.75 ± 1.13 a |
| H3(GAGGC) | 157.00 ± 5.41 ab | 26.62 ± 0.52 ab | 46.356 ± 0.33 b | 1648.25 ± 54.62 ab | 4.25 ± 1.53 ab | 16.25 ± 1.12 ab | 16.75 ± 0.80 ab |
| H7(GGACC) | 161.44 ± 3.12 ab | 27.00 ± 0.49 a | 47.342 ± 0.31 a | 1839.55 ± 51.49 c | 4.33 ± 1.44 ab | 14.66 ± 1.05 ab | 16.44 ± 0.75 ab |
| H8(GAGGA) | 165.28 ± 3.54 b | 25.85 ± 0.55 ab | 46.526 ± 0.35 ab | 1688.85 ± 58.39 abc | 1.71 ± 1.63 ab | 15.57 ± 1.19 ab | 17.57 ± 0.86 ab |
| H9(GAGCC) | 158.88 ± 3.12 ab | 26.33 ± 0.49 ab | 46.399 ± 0.31 b | 1778.88 ± 51.49 c | 2.66 ± 1.43 ab | 17.22 ± 1.05 ab | 17.11 ± 0.75 ab |
| H10(GGGCC) | 159.25 ± 4.68 ab | 26.75 ± 0.74 ab | 47.125 ± 0.46 ab | 1711.25 ± 77.24 abc | 2.75 ± 2.15 ab | 16.75 ± 1.58 ab | 16.75 ± 1.13 ab |
| H11(GGGCA) | 153.25 ± 4.68 a | 27.00 ± 0.73 ab | 46.853 ± 0.46 ab | 1685.25 ± 77.24 abc | 7.00 ± 2.16 a | 18.25 ± 1.58 a | 18.25 ± 1.13 ab |
| SNPs | Genotype Frequency | Allele Frequency | χ2 (HWE) | p-Value | |||
|---|---|---|---|---|---|---|---|
| A-1388G | AA | AG | GG | A | G | ||
| 0.94(141) | 0.06(9) | – | 0.97 | 0.03 | 0.143 | p > 0.05 | |
| A-1703G | AA | AG | GG | A | G | ||
| 0.91(136) | 0.09(14) | – | 0.96 | 0.04 | 6.88 | p < 0.01 | |
| SNPs | Traits (p Value of Significant Test) | |||||||||
|---|---|---|---|---|---|---|---|---|---|---|
| ASM (Days) | BW at ASM(g) | EW at ASM(g) | EW at 40 wk(g) | EN 130–160 d | EN 161–190 d | EN 191–220 d | EN 221–250 d | EN 251–280 d | EN 281–310 d | |
| A-1388G | 0.071 | 0.948 | 0.679 | 0.450 | 0.037 | 0.803 | 0.083 | 0.913 | 0.013 | 0.200 |
| A-1703G | 0.363 | 0.484 | 0.406 | 0.510 | 0.731 | 0.572 | 0.342 | 0.569 | 0.598 | 0.818 |
| SNPs | Traits | Genotypes (Mean ± SE) | p Value | ||
|---|---|---|---|---|---|
| A-1388G | AA | AG | – | ||
| EN at 130–160 d EN at 251–280 d | 2.85 ± 0.36 a 11.04 ± 0.25 a | 5.55 ± 1.22 b 8.82 ± 0.84 b | – – | 0.037 0.013 | |
| Haplotypes | Traits (Mean ± SE) | ||||||
|---|---|---|---|---|---|---|---|
| ASM | EW at ASM | EW at 40 WK | BW at ASM | EN 130–160 d | EN 161–190 d | EN 251–280 d | |
| H1(AA) | 159.95 ± 0.76 b | 26.14 ± 0.14 | 46.77 ± 0.08 | 1746.38 ± 14.54 | 2.76 ± 0.35 b | 16.48 ± 0.27 | 11.03 ± 0.25 a |
| H2(AG) | 155.44 ± 1.78 a | 25.96 ± 0.33 | 46.85 ± 0.18 | 1704.08 ± 34.18 | 4.60 ± 0.82 a | 16.61 ± 0.64 | 9.52 ± 0.59 b |
| Parameter | Genotype (Mean ± SE) | p Value | |||
|---|---|---|---|---|---|
| Wild × Wild (GG × AA) 0.84 (120) | Wild × Het (GG × AG) 0.06 (9) | Het × Wild (AG × AA) 0.08 (11) | Mut × Wild (AA × AA) 0.01 (2) | ||
| ASM (d) | 160.08 ± 0.79 b | 154.11 ± 2.90 a | 156.0 ± 2.63 ab | 157.0 ± 6.16 ab | 0.05 |
| EW at ASM (g) | 26.16 ± 0.15 | 25.56 ± 0.53 | 25.91 ± 0.48 | 27.0 ± 1.13 | 0.28 |
| BW at ASM (g) | 1748.71 ± 14.11 | 1730.89 ± 51.51 | 1672.91 ± 46.60 | 1715.0 ± 109.27 | 0.74 |
| BW at 40 Wks | 2047.77 ± 24.65 a | 1947.78 ± 90.0 ab | 1838.73 ± 81.41 b | 2260.5 ± 190.92 a | 0.02 |
| EW at 40 Wks | 46.78 ± 0.08 | 46.39 ± 0.30 | 46.95 ± 0.28 | 46.72 ± 0.65 | 0.23 |
| EN at 130–160 d | 2.71 ± 0.36 b | 6.11 ± 1.33 a | 3.64 ± 1.20 ab | 3.49 ± 2.82 ab | 0.02 |
| EN at 161–190 d | 16.26 ± 0.28 b | 16.89 ± 1.02 ab | 18.91 ± 0.92 a | 16.50 ± 2.16 ab | 0.01 |
| EN at 191–220 d | 16.85 ± 0.20 | 15.44 ± 0.73 | 16.45 ± 0.66 | 18.5 ± 1.55 | 0.07 |
| EN at 221–250 d | 15.13 ± 0.19 | 15.0 ± 0.71 | 14.91 ± 0.64 | 12.50 ± 1.51 | 0.86 |
| EN at 251–280 d | 11.14 ± 0.25 a | 8.56 ± 0.92 b | 10.18 ± 0.84 ab | 12.5 ± 1.96 ab | 0.01 |
| EN at 281–310 d | 13.0 ± 0.19 | 13.67 ± 0.69 | 11.91 ± 0.63 | 13.0 ± 1.48 | 0.36 |
| Parameter | Combined Genotypes (Mean ± SE) | p Value | |||
|---|---|---|---|---|---|
| Wild × Wild (AA × AA) 0.62 (65) | Wild × Het (AA × AG) 0.07 (7) | Het × Wild (AG × AA) 0.22 (23) | Mut × Wild (GG × AA) 0.09 (10) | ||
| ASM (d) | 160.56 ± 1.11 | 156.42 ± 3.29 | 160.18 ± 1.86 | 164.0 ± 2.76 | 0.37 |
| EW at ASM (g) | 26.27 ± 0.18 b | 25.85 ± 0.56 b | 26.09 ± 0.31 b | 27.4 ± 0.47 a | 0.03 |
| BW at ASM (g) | 1731.06 ± 20.81 | 1757.85 ± 61.92 | 1763.36 ± 34.93 | 1834.1 ± 51.81 | 0.31 |
| BW at 40 Wks (g) | 2008.54 ± 33.73 | 2075.0 ± 100.38 | 2027.14 ± 56.62 | 2093.5 ± 83.98 | 0.77 |
| EW at 40 Wks (g) | 46.56 ± 0.12 b | 46.49 ± 0.34 ab | 47.07 ± 0.19 a | 47.33 ± 0.29 a | 0.03 |
| EN at 130 to 160 d | 2.17 ± 0.48 | 4.43 ± 1.42 | 3.0 ± 0.80 | 2.1 ± 1.19 | 0.43 |
| EN at 161 to 190 d | 16.45 ± 0.42 | 16.86 ± 1.26 | 16.27 ± 0.71 | 14.9 ± 1.05 | 0.55 |
| EN at 191 to 220 d | 16.66 ± 0.28 | 16.43 ± 0.84 | 16.95 ± 0.48 | 16.5 ± 0.70 | 0.92 |
| EN at 221 to 250 d | 15.05 ± 0.28 | 15.0 ± 0.84 | 15.36 ± 0.47 | 14.7 ± 0.70 | 0.88 |
| EN at 251 to 280 d | 11.56 ± 0.37 a | 8.57 ± 1.09 b | 10.32 ± 0.62 ab | 10.5 ± 0.92 ab | 0.01 |
| EN at 281 to 310 d | 13.08 ± 0.23 b | 14.57 ± 0.69 a | 12.45 ± 0.39 b | 12.9 ± 0.58 ab | 0.04 |
Disclaimer/Publisher’s Note: The statements, opinions and data contained in all publications are solely those of the individual author(s) and contributor(s) and not of MDPI and/or the editor(s). MDPI and/or the editor(s) disclaim responsibility for any injury to people or property resulting from any ideas, methods, instructions or products referred to in the content. |
© 2024 by the authors. Licensee MDPI, Basel, Switzerland. This article is an open access article distributed under the terms and conditions of the Creative Commons Attribution (CC BY) license (https://creativecommons.org/licenses/by/4.0/).
Share and Cite
Ali, M.Y.; Faruque, S.; Ahmadi, S.; Ohkubo, T. Genetic Analysis of HSP70 and HSF3 Polymorphisms and Their Associations with the Egg Production Traits of Bangladeshi Hilly Chickens. Animals 2024, 14, 3552. https://doi.org/10.3390/ani14243552
Ali MY, Faruque S, Ahmadi S, Ohkubo T. Genetic Analysis of HSP70 and HSF3 Polymorphisms and Their Associations with the Egg Production Traits of Bangladeshi Hilly Chickens. Animals. 2024; 14(24):3552. https://doi.org/10.3390/ani14243552
Chicago/Turabian StyleAli, Md Yousuf, Shakila Faruque, Sadequllah Ahmadi, and Takeshi Ohkubo. 2024. "Genetic Analysis of HSP70 and HSF3 Polymorphisms and Their Associations with the Egg Production Traits of Bangladeshi Hilly Chickens" Animals 14, no. 24: 3552. https://doi.org/10.3390/ani14243552
APA StyleAli, M. Y., Faruque, S., Ahmadi, S., & Ohkubo, T. (2024). Genetic Analysis of HSP70 and HSF3 Polymorphisms and Their Associations with the Egg Production Traits of Bangladeshi Hilly Chickens. Animals, 14(24), 3552. https://doi.org/10.3390/ani14243552

