Pasture vs. Coop: Biomarker Insights into Free-Range and Conventional Broilers
Simple Summary
Abstract
1. Introduction
2. Materials and Methods
2.1. Study Population
2.2. Measurements of Immunological Parameters
Anti-Actin and Anti-LPS IgM Natural Antibody Levels
2.3. Measurements of Biochemical Parameters
2.3.1. Creatine Phosphokinase
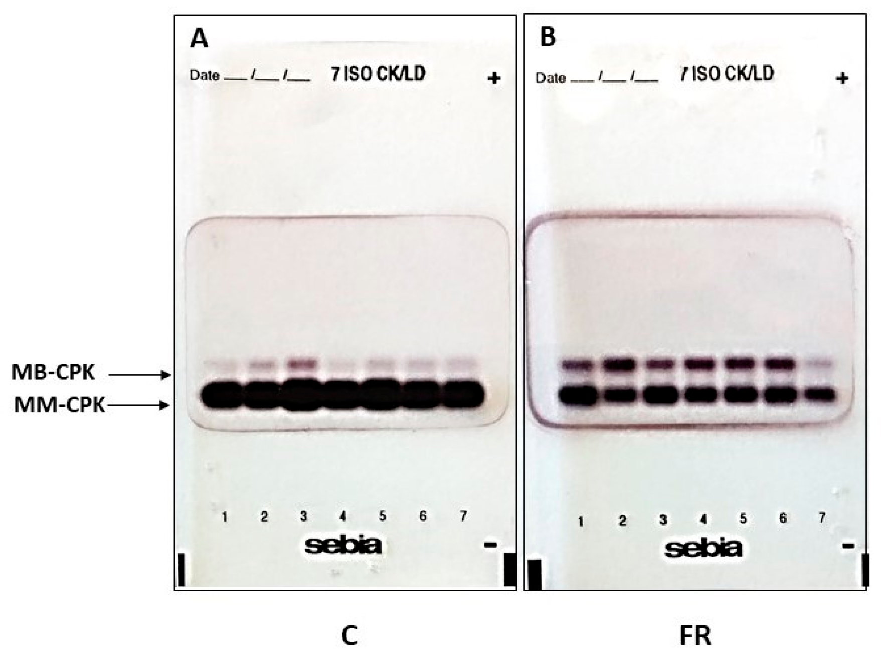
2.3.2. CPK Isoenzyme Activity
2.3.3. Total Cholesterol
2.3.4. Triglycerides
2.3.5. Creatinine
2.3.6. Aminotransferases AST and ALT
2.3.7. 8-Isoprostanes
2.4. Statistical Analysis
3. Results
3.1. Immunological Parameters
3.2. Biochemical Parameters
3.3. Combined Use of Immunological and Biochemical Poultry Biomarkers
4. Discussion
5. Conclusion
Supplementary Materials
Author Contributions
Funding
Institutional Review Board Statement
Informed Consent Statement
Data Availability Statement
Acknowledgments
Conflicts of Interest
References
- Vigors, B.; Ewing, D.A.; Lawrence, A.B. Happy or healthy? How members of the public prioritise farm animal health and natural behaviours. PLoS ONE 2021, 16, e0247788. [Google Scholar] [CrossRef] [PubMed]
- Fisinin, V.I.; Lukashenko, V.S.; Saleyeva, I.P.; Chernukha, I.M.; Volik, V.G.; Ismailova, D.Y.; Ovseychik, E.A.; Zhuravchuk, E.V. Meat quality in broilers reared in different housing systems. Vopr. Pitan. 2018, 87, 77–84. (In Russian) [Google Scholar] [CrossRef] [PubMed]
- Blokhuis, H.J.; Ekkel, E.D.; Korte, S.M.; Hopster, H.; van Reenen, C.G. Farm animal welfare research in interaction with society. Vet. Q. 2000, 22, 217–222. [Google Scholar] [CrossRef] [PubMed]
- Kwon, B.Y.; Lee, H.G.; Jeon, Y.S.; Song, J.Y.; Kim, S.H.; Kim, D.W.; Kim, C.H.; Lee, K.W. Research Note: Welfare and stress responses of broiler chickens raised in conventional and animal welfare-certified broiler farms. Poult. Sci. 2024, 103, 103402. [Google Scholar] [CrossRef] [PubMed]
- Kumar, P.; Ahmed, M.A.; Abubakar, A.A.; Hayat, M.N.; Kaka, U.; Ajat, M.; Goh, Y.M.; Sazili, A.Q. Improving animal welfare status and meat quality through assessment of stress biomarkers: A critical review. Meat Sci. 2023, 197, 109048. [Google Scholar] [CrossRef] [PubMed]
- Parmentier, H.K.; Lammers, A.; Hoekman, J.J.; De Vries Reilingh, G.; Zaanen, I.T.; Savelkoul, H.F. Different levels of natural antibodies in chickens divergently selected for specific antibody responses. Dev. Comp. Immunol. 2004, 28, 39–49. [Google Scholar] [CrossRef]
- Hofmann, T.; Schmucker, S.S.; Bessei, W.; Grashorn, M.; Stefanski, V. Impact of Housing Environment on the Immune System in Chickens: A Review. Animals 2020, 10, 1138. [Google Scholar] [CrossRef]
- Ismail, I.; Joo, S.T. Poultry Meat Quality in Relation to Muscle Growth and Muscle Fiber Characteristics. Korean J. Food Sci. Anim. Resour. 2017, 37, 873–883. [Google Scholar] [CrossRef]
- Huang, X.; Ahn, D.U. The Incidence of Muscle Abnormalities in Broiler Breast Meat—A Review. Korean J. Food Sci. Anim. Resour. 2018, 38, 835–850. [Google Scholar] [CrossRef]
- Kong, F.; Zhao, G.; He, Z.; Sun, J.; Wang, X.; Liu, D.; Zhu, D.; Liu, R.; Wen, J. Serum Creatine Kinase as a Biomarker to Predict Wooden Breast in vivo for Chicken Breeding. Front. Physiol. 2021, 12, 711711. [Google Scholar] [CrossRef]
- Neeteson, A.-M.; Avendaño, S.; Koerhuis, A.; Duggan, B.; Souza, E.; Mason, J.; Ralph, J.; Rohlf, P.; Burnside, T.; Kranis, A.; et al. Evolutions in Commercial Meat Poultry Breeding. Animals 2023, 13, 3150. [Google Scholar] [CrossRef] [PubMed]
- Fiorilla, E.; Birolo, M.; Ala, U.; Xiccato, G.; Trocino, A.; Schiavone, A.; Mugnai, C. Productive Performances of Slow-Growing Chicken Breeds and Their Crosses with a Commercial Strain in Conventional and Free-Range Farming Systems. Animals 2023, 13, 2540. [Google Scholar] [CrossRef] [PubMed]
- Hartcher, K.M.; Lum, H.K. Genetic selection of broilers and welfare consequences: A review. World’s Poult. Sci. J. 2019, 76, 154–167. [Google Scholar] [CrossRef]
- Stefanetti, V.; Mancinelli, A.C.; Pascucci, L.; Menchetti, L.; Castellini, C.; Mugnai, C.; Fiorilla, E.; Miniscalco, B.; Chiattelli, D.; Franciosini, M.P.; et al. Effect of rearing systems on immune status, stress parameters, intestinal morphology, and mortality in conventional and local chicken breeds. Poult. Sci. 2023, 102, 103110. [Google Scholar] [CrossRef]
- Riber, A.B.; de Jong, I.C.; van de Weerd, H.A.; Steenfeldt, S. Environmental Enrichment for Broiler Breeders: An Undeveloped Field. Front. Vet. Sci. 2017, 4, 86. [Google Scholar] [CrossRef]
- Hoan, N.D.; Khoa, M.A. Meat Quality Comparison Between Fast Growing Broiler Ross 308 And Slow Growing Sasso Laying Males Reared In Free Range System. J. Sci. Devel 2016, 14, 101–108. [Google Scholar]
- Fotou, E.; Moulasioti, V.; Papadopoulos, G.A.; Kyriakou, D.; Boti, M.-E.; Moussis, V.; Papadami, M.; Tellis, C.; Patsias, A.; Sarrigeorgiou, I.; et al. Effect of Farming System Type on Broilers’ Antioxidant Status, Performance, and Carcass Traits: An Industrial-Scale Production Study. Sustainability 2024, 16, 4782. [Google Scholar] [CrossRef]
- Available online: https://www.dqsglobal.com/intl/customer-database/pindos-the-agricultural-poultry-cooperative-of-ioannina2 (accessed on 2 August 2022).
- Council Directive 2007/43/EC of 28 June 2007 Laying Down Minimum Rules for the Protection of Chickens Kept for Meat Production (OJ L 182, 12.7.2007, p. 19). Available online: https://www.eumonitor.eu/9353000/1/j9vvik7m1c3gyxp/vhmiz3pr2xz9 (accessed on 2 August 2022).
- Sarrigeorgiou, I.; Stivarou, T.; Tsinti, G.; Patsias, A.; Fotou, E.; Moulasioti, V.; Kyriakou, D.; Tellis, C.; Papadami, M.; Moussis, V.; et al. Levels of Circulating IgM and IgY Natural Antibodies in Broiler Chicks: Association with Genotype and Farming Systems. Biology 2023, 12, 304. [Google Scholar] [CrossRef]
- Dighiero, G.; Lymberi, P.; Holmberg, D.; Lundquist, I.; Coutinho, A.; Avrameas, S. High frequency of natural autoantibodies in normal newborn mice. J. Immunol. 1985, 134, 765–771. [Google Scholar] [CrossRef]
- da Silva, D.C.F.; de Arruda, A.M.V.; Gonçalves, A.A. Quality characteristics of broiler chicken meat from free-range and industrial poultry system for the consumers. J. Food Sci. Technol. 2017, 54, 1818–1826. [Google Scholar] [CrossRef]
- Buller, H.; Blokhuis, H.; Jensen, P.; Keeling, L. Towards Farm Animal Welfare and Sustainability. Animals 2018, 8, 81. [Google Scholar] [CrossRef] [PubMed]
- Alonso, M.E.; González-Montaña, J.R.; Lomillos, J.M. Consumers’ Concerns and Perceptions of Farm Animal Welfare. Animals 2020, 10, 385. [Google Scholar] [CrossRef] [PubMed]
- Feddes, J.J.; Emmanuel, E.J.; Zuidhoft, M.J. Broiler performance, body weight variance, feed and water intake, and carcass quality at different stocking densities. Poult. Sci. 2002, 81, 774–779. [Google Scholar] [CrossRef]
- Kim, H.J.; Kim, H.J.; Jeon, J.; Nam, K.C.; Shim, K.S.; Jung, J.H.; Kim, K.S.; Choi, Y.; Kim, S.H.; Jang, A. Comparison of the quality characteristics of chicken breast meat from conventional and animal welfare farms under refrigerated storage. Poult. Sci. 2020, 99, 1788–1796. [Google Scholar] [CrossRef] [PubMed]
- Song, B.; Li, P.; Xu, H.; Wang, Z.; Yuan, J.; Zhang, B.; Lv, Z.; Song, Z.; Guo, Y. Effects of rearing system and antibiotic treatment on immune function, gut microbiota and metabolites of broiler chickens. J. Anim. Sci. Biotechnol. 2022, 13, 144. [Google Scholar] [CrossRef] [PubMed]
- Bao, M.; Bovenhuis, H.; Nieuwland, M.G.; Parmentier, H.K.; van der Poel, J.J. Genetic parameters of IgM and IgG antibodies binding autoantigens in healthy chickens. Poult. Sci. 2016, 95, 458–465. [Google Scholar] [CrossRef]
- Wondmeneh, E.; Van Arendonk, J.A.; Van der Waaij, E.H.; Ducro, B.J.; Parmentier, H.K. High natural antibody titers of indigenous chickens are related with increased hazard in confinement. Poult. Sci. 2015, 94, 1493–1498. [Google Scholar] [CrossRef]
- Parmentier, H.K.; Verhofstad, L.P.; Reilingh Gde, V.; Nieuwland, M.G. Breeding for high specific immune reactivity affects sensitivity to the environment. Poult. Sci. 2012, 91, 3044–3051. [Google Scholar] [CrossRef][Green Version]
- Sun, Y.; Parmentier, H.K.; Frankena, K.; van der Poel, J.J. Natural antibody isotypes as predictors of survival in laying hens. Poult. Sci. 2011, 90, 2263–2274. [Google Scholar] [CrossRef]
- Berghof, T.V.; van der Klein, S.A.; Arts, J.A.; Parmentier, H.K.; van der Poel, J.J.; Bovenhuis, H. Genetic and Non-Genetic Inheritance of Natural Antibodies Binding Keyhole Limpet Hemocyanin in a Purebred Layer Chicken Line. PLoS ONE 2015, 10, e0131088. [Google Scholar] [CrossRef]
- Berghof, T.V.; De Vries Reilingh, G.; Nieuwland, M.G.; Parmentier, H.K. Effect of aging and repeated intratracheal challenge on levels of cryptic and overt natural antibodies in poultry. Poult. Sci. 2010, 89, 227–235. [Google Scholar] [CrossRef] [PubMed]
- Loon, D.V.; Hangalapura, B.N.; Reilingh, G.D.; Nieuwland, M.G.; Kemp, B.; Parmentier, H.K. Effect of three different housing systems on immune responses and body weight of chicken lines divergently selected for antibody responses to sheep red blood cells. Livest. Prod. Sci. 2004, 85, 139–150. [Google Scholar] [CrossRef]
- Daroit, D.J.; Brandelli, A. Implications of skeletal muscle creatine kinase to meat quality. J. Anim. Feed Sci. 2008, 17, 285–294. [Google Scholar] [CrossRef]
- Yamashita, K.; Yoshioka, T. Profiles of creatine kinase isoenzyme compositions in single muscle fibres of different types. J. Muscle Res. Cell Motil. 1991, 12, 37–44. [Google Scholar] [CrossRef]
- Fanò, G.; Mecocci, P.; Vecchiet, J.; Belia, S.; Fulle, S.; Polidori, M.C.; Felzani, G.; Senin, U.; Vecchiet, L.; Beal, M.F. Age and sex influence on oxidative damage and functional status in human skeletal muscle. J. Muscle Res. Cell Motil. 2001, 22, 345–351. [Google Scholar] [CrossRef] [PubMed]
- Arnett, M.G.; Hyslop, R.; Dennehy, C.A.; Schneider, C.M. Age-related variations of serum CK and CK MB response in females. Can. J. Appl. Physiol. 2000, 25, 419–429. [Google Scholar] [CrossRef]
- Baird, M.F.; Grace, F.; Sculthorpe, N.; Graham, S.M.; Fleming, A.; Baker, J.S. Evidence of direct cardiac damage following high-intensity exercise in chronic energy restriction: A case report and literature review. Medicine 2017, 96, e7030. [Google Scholar] [CrossRef] [PubMed]
- Baird, M.F.; Graham, S.M.; Baker, J.S.; Bickerstaff, G.F. Creatine-kinase- and exercise-related muscle damage implications for muscle performance and recovery. J. Nutr. Metab. 2012, 2012, 960363. [Google Scholar] [CrossRef]
- Soglia, F.; Petracci, M.; Davoli, R.; Zappaterra, M. A critical review of the mechanisms involved in the occurrence of growth-related abnormalities affecting broiler chicken breast muscles. Poult. Sci. 2021, 100, 101180. [Google Scholar] [CrossRef]
- Hamburg, R.J.; Friedman, D.L.; Perryman, M.B. Metabolic and diagnostic significance of creatine kinase isoenzymes. Trends Cardiovasc. Med. 1991, 1, 195–200. [Google Scholar] [CrossRef]
- Sandercock, D.A.; Hunter, R.R.; Nute, G.R.; Mitchell, M.A.; Hocking, P.M. Acute heat stress-induced alterations in blood acid-base status and skeletal muscle membrane integrity in broiler chickens at two ages: Implications for meat quality. Poult. Sci. 2001, 80, 418–425. [Google Scholar] [CrossRef]
- Sandercock, D.A.; Mitchell, M.A. Myopathy in broiler chickens: A role for Ca2+-activated phospholipase A2? Poult. Sci. 2003, 82, 1307–1312. [Google Scholar] [CrossRef] [PubMed]
- MacRae, V.E.; Mahon, M.; Gilpin, S.; Sandercock, D.A.; Mitchell, M.A. Skeletal muscle fibre growth and growth associated myopathy in the domestic chicken (Gallus domesticus). Br. Poult. Sci. 2006, 47, 264–272. [Google Scholar] [CrossRef] [PubMed]
- Fàbrega, E.; Manteca, X.; Font, J.; Gispert, M.; Carrión, D.; Velarde, A.; Ruiz-de-la-Torre, J.L.; Diestre, A. Effects of halothane gene and pre-slaughter treatment on meat quality and welfare from two pig crosses. Meat Sci. 2002, 62, 463–472. [Google Scholar] [CrossRef]
- Kannan, G.; Terrill, T.H.; Kouakou, B.; Gelaye, S.; Amoah, E.A. Simulated preslaughter holding and isolation effects on stress responses and live weight shrinkage in meat goats. J. Anim. Sci. 2002, 80, 1771–1780. [Google Scholar] [CrossRef] [PubMed]
- Pollard, J.C.; Littlejohn, R.P.; Asher, G.W.; Pearse, A.J.; Stevenson-Barry, J.M.; McGregor, S.K.; Manley, T.R.; Duncan, S.J.; Sutton, C.M.; Pollock, K.L.; et al. A comparison of biochemical and meat quality variables in red deer (Cervus elaphus) following either slaughter at pasture or killing at a deer slaughter plant. Meat Sci. 2002, 60, 85–94. [Google Scholar] [CrossRef]
- Tuomola, M.; Vainio, J.; Lövgren, T. Rapid time-resolved immunofluorometric assay for the measurement of creatine kinase in serum and whole blood samples. J. Agric. Food Chem. 2002, 50, 6659–6662. [Google Scholar] [CrossRef]
- van de Wiel, D.F.; Zhang, W.L. Identification of pork quality parameters by proteomics. Meat Sci. 2007, 77, 46–54. [Google Scholar] [CrossRef]
- Branciari, R.; Mugnai, C.; Mammoli, R.; Miraglia, D.; Ranucci, D.; Dal Bosco, A.; Castellini, C. Effect of genotype and rearing system on chicken behavior and muscle fiber characteristics. J. Anim. Sci. 2009, 87, 4109–4117. [Google Scholar] [CrossRef]






| Conventional (C) (n = 150) | Free-Range (FR) (n = 150) | |
|---|---|---|
| Genotype | Ross 308 | Sasso |
| Growth rate | Fast-growing | Slow-growing |
| Slaughter/sampling | Day 47 | Day 67 |
| Housing | 15 birds/m2 | 13 birds/m2 indoors and 1 bird/m2 in forage paddock |
| Pasture | Indoors | Grass |
| Starter | Day 1–17 (9 L:15 D light scheme) | |
| Grower | Day 18–35 (light > 10 min/day) | |
| Finisher | Day 36–slaughter (16 L:8 D light scheme) | |
| Parameters | C Group | FR Group | p-Value |
|---|---|---|---|
| Cholesterol (mg/dL) | 100.8 ± 17.4 | 101.5 ± 11.9 | NS |
| Triglycerides (mg/dL) | 42.3 ± 10.4 | 45.4 ± 11.9 | NS |
| Creatinine (mg/dL) | 0.22 ± 0.09 | 0.28 ± 0.10 | NS |
| 8-Isoprostane (ng/mL) | 2.5 ± 1.6 | 2.9 ± 3.1 | NS |
| ALT (U/L) | 1.28 ± 0.64 | 1.69 ± 0.71 | NS |
| AST (U/L) | 50.36 ± 24.6 * | 27.3 ± 10.9 * | <0.001 |
| CPK (U/mL) | 11.6 ± 7.6 * | 3.51 ± 2.6 * | <0.001 |
| CPK-ΜΜ (%) | 95.4 ± 4.1 * | 75.7 ± 7.2 * | <0.001 |
Disclaimer/Publisher’s Note: The statements, opinions and data contained in all publications are solely those of the individual author(s) and contributor(s) and not of MDPI and/or the editor(s). MDPI and/or the editor(s) disclaim responsibility for any injury to people or property resulting from any ideas, methods, instructions or products referred to in the content. |
© 2024 by the authors. Licensee MDPI, Basel, Switzerland. This article is an open access article distributed under the terms and conditions of the Creative Commons Attribution (CC BY) license (https://creativecommons.org/licenses/by/4.0/).
Share and Cite
Tellis, C.; Sarrigeorgiou, I.; Tsinti, G.; Patsias, A.; Fotou, E.; Moulasioti, V.; Kyriakou, D.; Papadami, M.; Moussis, V.; Boti, M.-E.; et al. Pasture vs. Coop: Biomarker Insights into Free-Range and Conventional Broilers. Animals 2024, 14, 3070. https://doi.org/10.3390/ani14213070
Tellis C, Sarrigeorgiou I, Tsinti G, Patsias A, Fotou E, Moulasioti V, Kyriakou D, Papadami M, Moussis V, Boti M-E, et al. Pasture vs. Coop: Biomarker Insights into Free-Range and Conventional Broilers. Animals. 2024; 14(21):3070. https://doi.org/10.3390/ani14213070
Chicago/Turabian StyleTellis, Constantinos, Ioannis Sarrigeorgiou, Gerasimina Tsinti, Apostolos Patsias, Evgenia Fotou, Vasiliki Moulasioti, Dimitra Kyriakou, Maria Papadami, Vassilios Moussis, Maria-Eleni Boti, and et al. 2024. "Pasture vs. Coop: Biomarker Insights into Free-Range and Conventional Broilers" Animals 14, no. 21: 3070. https://doi.org/10.3390/ani14213070
APA StyleTellis, C., Sarrigeorgiou, I., Tsinti, G., Patsias, A., Fotou, E., Moulasioti, V., Kyriakou, D., Papadami, M., Moussis, V., Boti, M.-E., Tsiouris, V., Tsikaris, V., Tsoukatos, D., & Lymberi, P. (2024). Pasture vs. Coop: Biomarker Insights into Free-Range and Conventional Broilers. Animals, 14(21), 3070. https://doi.org/10.3390/ani14213070

