Chicken Meal as a Fishmeal Substitute: Effects on Growth, Antioxidants, and Digestive Enzymes in Lithobates catesbeianus
Abstract
Simple Summary
Abstract
1. Introduction
2. Materials and Methods
2.1. Experimental Feed
2.2. Animals and Feeding Management
2.3. Sample Collection
2.4. Sample Analysis, Detection, and Calculation
2.5. Statistical Analysis of Data
3. Results
3.1. Effect of Replacing Fishmeal with Chicken Meal on the Growth Performance of Bullfrogs
3.2. The Effect of Chicken Meal Replacing Fishmeal on the Amino Acid Composition of Muscle
3.3. The Effect of Chicken Meal Replacing Fishmeal on the Antioxidant Capacity of Bullfrog Muscles
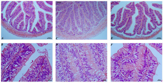
3.4. Effect of Chicken Meal Replacing Fishmeal on the Intestinal Tissue Structure and Digestive Enzyme Activity of Bullfrogs
3.5. The Effect of Replacing Fishmeal with Chicken Meal on the Antioxidant Capacity and Inflammatory Indicators in the Intestine of Bullfrogs
4. Discussion
5. Conclusions
Supplementary Materials
Author Contributions
Funding
Institutional Review Board Statement
Informed Consent Statement
Data Availability Statement
Conflicts of Interest
References
- Boyd, C.E.; McNevin, A.A.; Davis, R.P. The contribution of fisheries and aquaculture to the global protein supply. Food Secur. 2022, 14, 805–827. [Google Scholar] [CrossRef] [PubMed]
- Fiorella, K.J.; Okronipa, H.; Baker, K.; Heilpern, S. Contemporary aquaculture: Implications for human nutrition. Curr. Opin. Biotechnol. 2021, 70, 83–90. [Google Scholar] [CrossRef] [PubMed]
- Hussain, S.M.; Bano, A.A.; Ali, S.; Rizwan, M.; Adrees, M.; Zahoor, A.F.; Sarker, P.K.; Hussain, M.; Arsalan, M.Z.; Yong, J.W.H.; et al. Substitution of fishmeal: Highlights of potential plant protein sources for aquaculture sustainability. Heliyon 2024, 10, e26573. [Google Scholar] [CrossRef]
- Zhu, B.-P.; Zhou, J.; Zhang, J.; Xu, S.; Fu, G.; Dai, J.; Cai, M.; Hu, Y. Dietary enzymatic rice protein and enzymatic fish paste affect the growth, muscle development and quality traits of juvenile channel catfish (Ictalurus punctatus). Aquaculture 2022, 559, 738425. [Google Scholar] [CrossRef]
- Gao, S.; Chen, W.; Cao, S.; Sun, P.; Gao, X. Microalgae as fishmeal alternatives in aquaculture: Current status, existing problems, and possible solutions. Environ. Sci. Pollut. Res. Int. 2024, 31, 16113–16130. [Google Scholar] [CrossRef] [PubMed]
- Jannathulla, R.; Rajaram, V.; Kalanjiam, R.; Ambasankar, K.; Muralidhar, M.; Dayal, J.S. Fishmeal availability in the scenarios of climate change: Inevitability of fishmeal replacement in aquafeeds and approaches for the utilization of plant protein sources. Aquac. Res. 2019, 50, 3493–3506. [Google Scholar] [CrossRef]
- Maulu, S.; Langi, S.; Hasimuna, O.J.; Missinhoun, D.; Munganga, B.P.; Hampuwo, B.M.; Gabriel, N.N.; Elsabagh, M.; Van Doan, H.; Abdul Kari, Z.; et al. Recent advances in the utilization of insects as an ingredient in aquafeeds: A review. Anim. Nutr. 2022, 11, 334–349. [Google Scholar] [CrossRef]
- Macusi, E.D.; Cayacay, M.A.; Borazon, E.Q.; Sales, A.C.; Habib, A.; Fadli, N.; Santos, M.D. Protein Fishmeal Replacement in Aquaculture: A Systematic Review and Implications on Growth and Adoption Viability. Sustainability 2023, 15, 12500. [Google Scholar] [CrossRef]
- Zhu, B.P.; Zhou, J.C.; Wang, Z.Q.; Hu, Y.J.; Cai, M.L.; Yang, L.L.; Dai, J.H.; Hu, Y. Interactions between intestinal morphology, digestion, inflammatory responses, and gut microbiota of juvenile channel catfish elicited by dietary enzymatic rice protein. Fish Shellfish. Immunol. 2022, 127, 155–165. [Google Scholar] [CrossRef]
- Kong, X.; Li, Y.; Liu, X. A review of thermosensitive antinutritional factors in plant-based foods. J. Food Biochem. 2022, 46, e14199. [Google Scholar] [CrossRef]
- Ghosh, K.; Ray, A.K.; Ringo, E. Applications of plant ingredients for tropical and subtropical freshwater finfish: Possibilities and challenges. Rev. Aquac. 2019, 11, 793–815. [Google Scholar] [CrossRef]
- El Abbadi, S.H.; Sherwin, E.D.; Brandt, A.R.; Luby, S.P.; Criddle, C.S. Displacing fishmeal with protein derived from stranded methane. Nat. Sustain. 2022, 5, 47–56. [Google Scholar] [CrossRef]
- Xuquan, X.; Weilan, Z.; Ruixue, D.; Jie, M.; Zhuojun, W.; Bin, L.; Haoming, Y.; Yuantu, Y.; Zhijun, H. Study of enzyme-hydrolyzed soybean replacing fish meal and/or chicken meal on the growth of channel catfish (Ictalurus punctatus). Aquac. Rep. 2022, 27, 101344. [Google Scholar] [CrossRef]
- Jia, S.; Li, X.; He, W.; Wu, G. Protein-Sourced Feedstuffs for Aquatic Animals in Nutrition Research and Aquaculture. Adv. Exp. Med. Biol. 2022, 1354, 237–261. [Google Scholar] [CrossRef] [PubMed]
- Kim, J.; Cho, S.H.; Kim, T.; Hur, S.W. Substitution effect of fish meal with various sources of animal by-product meals in feed on growth, feed utilization, body composition, haematology and non-specific immune response of olive flounder (Paralichthys olivaceus, Temminck & Schlegel, 1846). Aquac. Res. 2021, 52, 2802–2817. [Google Scholar] [CrossRef]
- Al-Souti, A.; Gallardo, W.; Claereboudt, M.; Mahgoub, O. Attractability and palatability of formulated diets incorporated with chicken feather and algal meals for juvenile gilthead seabream, Sparus aurata. Aquac. Rep. 2019, 14, 100199. [Google Scholar] [CrossRef]
- Ha, M.S.; Lee, K.W.; Kim, J.; Yun, A.; Jeong, H.S.; Lee, M.J.; Baek, S.I.; Cho, S.H.; Kim, K.W.; Lim, S.G.; et al. Dietary substitution effect of fish meal with chicken by-product meal on growth, feed utilization, body composition, haematology and non-specific immune responses of olive flounder (Paralichthys olivaceus). Aquac. Nutr. 2021, 27, 315–326. [Google Scholar] [CrossRef]
- Dai, Q.; Cho, S.H. Chicken by-product meal as a replacement to fish meal in juvenile abalone (Haliotis discus hannai Ino 1952) feed. J. World Aquac. Soc. 2023, 54, 1482–1496. [Google Scholar] [CrossRef]
- Li, R.; Cho, S.H.; Kim, T. Effect of replacing dietary fish meal protein with combined animal meals on the growth performance of olive flounder (Paralichthys olivaceus). Aquac. Rep. 2023, 32, 101712. [Google Scholar] [CrossRef]
- Zhu, B.; Xu, S.; Zhang, J.; Xiang, S.; Hu, Y. Rosmarinic acid mitigates intestinal inflammation and oxidative stress in bullfrogs (Lithobates catesbeiana) fed high soybean meal diets. Fish Shellfish Immunol. 2024, 150, 109655. [Google Scholar] [CrossRef]
- Perera, A.D.; Bhujel, R.C. Field cricket (Gryllus bimaculatus) meal (FCM) to replace fishmeal in the diets for sex reversal and nursing of Nile tilapia (Oreochromis niloticus) fry. Aquac. Res. 2021, 52, 4946–4958. [Google Scholar] [CrossRef]
- Ma, Z.H.; Hassan, M.M.; Allais, L.; He, T.; Leterme, S.; Ellis, A.V.; McGraw, B.; Qin, J.G. Replacement of fishmeal with commercial soybean meal and EnzoMeal in juvenile barramundi Lates calcarifer. Aquac. Res. 2018, 49, 3258–3269. [Google Scholar] [CrossRef]
- Zhang, Z.M.; Xi, L.W.; Liu, H.K.; Jin, J.Y.; Yang, Y.X.; Zhu, X.M.; Han, D.; Xie, S.Q. High replacement of fishmeal by Chlorella meal affects intestinal microbiota and the potential metabolic function in largemouth bass (Micropterus salmoides). Front. Microbiol. 2022, 13, 1016662. [Google Scholar] [CrossRef] [PubMed]
- Li, S.L.; Dai, M.; Qiu, H.J.; Chen, N.S. Effects of fishmeal replacement with composite mixture of shrimp hydrolysate and plant proteins on growth performance, feed utilization, and target of rapamycin pathway in largemouth bass, Micropterus salmoides. Aquaculture 2021, 533, 736185. [Google Scholar] [CrossRef]
- He, C.F.; Li, X.F.; Jiang, G.Z.; Zhang, L.; Sun, M.; Ge, Y.P.; Chen, W.L.; Liu, W.B. Feed types affect the growth, nutrient utilization, digestive capabilities, and endocrine functions of Megalobrama amblycephala: A comparative study between pelleted and extruded feed. Fish Physiol. Biochem. 2022, 48, 1025–1038. [Google Scholar] [CrossRef]
- Kim, S.H.; Chi, M.; Yi, B.; Kim, S.H.; Oh, S.; Kim, Y.; Park, S.; Sung, J.H. Three-dimensional intestinal villi epithelium enhances protection of human intestinal cells from bacterial infection by inducing mucin expression. Integr. Biol. 2014, 6, 1122–1131. [Google Scholar] [CrossRef] [PubMed]
- Choo, J.; Glisovic, N.; Matic Vignjevic, D. Gut homeostasis at a glance. J. Cell Sci. 2022, 135, jcs260248. [Google Scholar] [CrossRef] [PubMed]
- Xu, Y.; Gao, Q.; Dong, S.; Mei, Y.; Li, X. Effects of Supplementary Selenium and Vitamin E on the Growth Performance, Antioxidant Enzyme Activity, and Gene Expression of Sea Cucumber Apostichopus japonicus. Biol. Trace Elem. Res. 2021, 199, 4820–4831. [Google Scholar] [CrossRef] [PubMed]
- Li, W.; Liu, B.D.; Liu, A.P.; Han, M.L.; Yin, Y.L.; Xu, G.H.; Cheng, W.X.; Xie, L.W. Dietary supplementation of N-carbamylglutamate promotes growth performance by modulating the homeostasis of gut microbiota in tilapia (Oreochromis niloticus). Aquac. Rep. 2021, 20, 100750. [Google Scholar] [CrossRef]
- Jiang, Z.Z.; Qian, D.W.; Liang, Z.Y.; Wu, S.; Han, F.L.; Xu, C.; Chi, M.L.; Li, E.R. Evaluation of Dietary Essential Amino Acid Supplementation on Growth, Digestive Capacity, Antioxidant, and Intestine Health of the Juvenile Redclaw Crayfish, Cherax quadricarinatus. Aquac. Nutr. 2024, 2024, 8767751. [Google Scholar] [CrossRef]
- Iqbal, S.; Atique, U.; Mahboob, S.; Haider, M.S.; Iqbal, H.S.; Al-Ghanim, K.A.; Al-Misned, F.; Ahmed, Z.; Mughal, M.S. Effect of supplemental selenium in fish feed boosts growth and gut enzyme activity in juvenile tilapia (Oreochromis niloticus). J. King Saud. Univ. Sci. 2020, 32, 2610–2616. [Google Scholar] [CrossRef]
- Taufek, N.M.; Aspani, F.; Muin, H.; Raji, A.A.; Razak, S.A.; Alias, Z. The effect of dietary cricket meal (Gryllus bimaculatus) on growth performance, antioxidant enzyme activities, and haematological response of African catfish (Clarias gariepinus). Fish Physiol. Biochem. 2016, 42, 1143–1155. [Google Scholar] [CrossRef] [PubMed]
- Dossou, S.; Koshio, S.; Ishikawa, M.; Yokoyama, S.; Dawood, M.A.O.; El Basuini, M.F.; Olivier, A.; Zaineldin, A.I. Growth performance, blood health, antioxidant status and immune response in red sea bream (Pagrus major) fed Aspergillus oryzae fermented rapeseed meal (RM-Koji). Fish Shellfish Immunol. 2018, 75, 253–262. [Google Scholar] [CrossRef] [PubMed]
- Jorge, S.S.; Enes, P.; Serra, C.R.; Castro, C.; Iglesias, P.; Teles, A.O.; Couto, A. Short-term supplementation of gilthead seabream (Sparus aurata) diets with Nannochloropsis gaditana modulates intestinal microbiota without affecting intestinal morphology and function. Aquac. Nutr. 2019, 25, 1388–1398. [Google Scholar] [CrossRef]
- Couto, A.; Barroso, C.; Guerreiro, I.; Pousao-Ferreira, P.; Matos, E.; Peres, H.; Oliva-Teles, A.; Enes, P. Carob seed germ meal in diets for meagre (Argyrosomus regius) juveniles: Growth, digestive enzymes, intermediary metabolism, liver and gut histology. Aquaculture 2016, 451, 396–404. [Google Scholar] [CrossRef]
- Gopalraaj, J.; Velayudhannair, K.; Arockiasamy, J.P.; Radhakrishnan, D.K. The effect of dietary supplementation of proteases on growth, digestive enzymes, oxidative stress, and intestinal morphology in fishes—A review. Aquac. Int. 2024, 32, 745–765. [Google Scholar] [CrossRef]
- Mugwanya, M.; Dawood, M.A.O.; Kimera, F.; Sewilam, H. Replacement of fish meal with fermented plant proteins in the aquafeed industry: A systematic review and meta-analysis. Rev. Aquac. 2022. [Google Scholar] [CrossRef]
- Moreno-Arias, A.; López-Elías, J.A.; Martínez-Córdova, L.R.; Ramírez-Suárez, J.C.; Carvallo-Ruiz, M.G.; García-Sánchez, G.; Lugo-Sánchez, M.E.; Miranda-Baeza, A. Effect of fishmeal replacement with a vegetable protein mixture on the amino acid and fatty acid profiles of diets, biofloc and shrimp cultured in BFT system. Aquaculture 2018, 483, 53–62. [Google Scholar] [CrossRef]
- Agboola, J.O.; Overland, M.; Skrede, A.; Hansen, J.O. Yeast as major protein-rich ingredient in aquafeeds: A review of the implications for aquaculture production. Rev. Aquac. 2021, 13, 949–970. [Google Scholar] [CrossRef]
- Xie, J.J.; Lemme, A.; He, J.Y.; Yin, P.; Figueiredo-Silva, C.; Liu, Y.J.; Xie, S.W.; Niu, J.; Tian, L.X. Fishmeal levels can be successfully reduced in white shrimp (Litopenaeus vannamei) if supplemented with DL-Methionine (DL-Met) or DL-Methionyl-DL-Methionine (Met-Met). Aquac. Nutr. 2018, 24, 1144–1152. [Google Scholar] [CrossRef]
- Zhang, C.X.; Huang, K.K.; Wang, L.; Song, K.; Zhang, L.; Li, P. Apparent digestibility coefficients and amino acid availability of common protein ingredients in the diets of bullfrog, Rana (Lithobates) catesbeiana. Aquaculture 2015, 437, 38–45. [Google Scholar] [CrossRef]
- Wu, Z.; Yu, X.; Fu, Y.; Guo, J.; Pan, M.; Guo, Y.; Liu, J.; Mai, K.; Zhang, W. Impacts of replacing dietary fish meal with poultry by-product meal on growth, digestive enzymes and gut microbiota, biomarkers of metabolic and immune response, and resistance to Vibrio challenge in abalone (Haliotis discus hannai). Aquaculture 2023, 576, 739871. [Google Scholar] [CrossRef]
- Gaudioso, G.; Marzorati, G.; Faccenda, F.; Weil, T.; Lunelli, F.; Cardinaletti, G.; Marino, G.; Olivotto, I.; Parisi, G.; Tibaldi, E.; et al. Processed Animal Proteins from Insect and Poultry By-Products in a Fish Meal-Free Diet for Rainbow Trout: Impact on Intestinal Microbiota and Inflammatory Markers. Int. J. Mol. Sci. 2021, 22, 5454. [Google Scholar] [CrossRef] [PubMed]
- Gomes, J.R.; Cardoso, A.J.D.; Hisano, H.; de Freitas, R.M.P.; Martins, K.V.B.; Azevedo, F.S.; Freitas, M.B.; Ferreira, P.D.F.; Salaro, A.L.; Zuanon, J.A.S. Redox status of juvenile Nile tilapia, Oreochromis niloticus (Linnaeus, 1758), fed diets supplemented with poultry liver protein hydrolysate as feed aditive. Anim. Feed Sci. Technol. 2023, 303, 115711. [Google Scholar] [CrossRef]
- Bruni, L.; Secci, G.; Husein, Y.; Faccenda, F.; de Medeiros, A.C.L.; Parisi, G. Is it possible to cut down fishmeal and soybean meal use in aquafeed limiting the negative effects on rainbow trout (Oncorhynchus mykiss) fillet quality and consumer acceptance? Aquaculture 2021, 543, 736996. [Google Scholar] [CrossRef]
- Seo, B.-S.; Park, S.-J.; Hwang, S.-Y.; Lee, Y.-I.; Lee, S.-H.; Hur, S.-W.; Lee, K.-J.; Nam, T.-J.; Song, J.-W.; Kim, J.-S.; et al. Effects of Decreasing Fishmeal as Main Source of Protein on Growth, Digestive Physiology, and Gut Microbiota of Olive Flounder (Paralichthys olivaceus). Animals 2022, 12, 2043. [Google Scholar] [CrossRef] [PubMed]
- Cai, M.; Dai, W.; Qiu, X.; He, Z.; Wang, A.; Chen, K.; Hu, Y. A study on the effects of replacing fishmeal with soybean meal in the feed of Procambarus clarkii: Assessing growth performance, immunity, and gut microbiota. Aquac. Rep. 2024, 36, 102184. [Google Scholar] [CrossRef]
- Li, C.Q.; Tian, Y.; Ma, Q.Y.; Zhang, B.L. Dietary gamma-aminobutyric acid ameliorates growth impairment and intestinal dysfunction in turbot (Scophthalmus maximus L.) fed a high soybean meal diet. Food Funct. 2022, 13, 290–303. [Google Scholar] [CrossRef] [PubMed]
- Sharba, S.; Sundh, H.; Sundell, K.; Benktander, J.; Santos, L.; Birchenough, G.; Linden, S.K.K. Rainbow trout gastrointestinal mucus, mucin production, mucin glycosylation and response to lipopolysaccharide. Fish Shellfish Immunol. 2022, 122, 181–190. [Google Scholar] [CrossRef] [PubMed]
- Ma, Y.B.; Jiang, W.D.; Wu, P.; Liu, Y.; Jiang, J.; Kuang, S.Y.; Tang, L.; Zhou, X.Q.; Feng, L. Tea polyphenol alleviate Aeromonas hydrophila- induced intestinal physical barrier damage in grass carp (Ctenopharyngodon idella). Aquaculture 2021, 544, 737067. [Google Scholar] [CrossRef]



| Ingredients | FM | CM50 | CM100 |
|---|---|---|---|
| Fishmeal | 20.00 | 10.00 | 0.00 |
| Chicken meal | 0.00 | 9.80 | 19.80 |
| Soybean meal | 30.70 | 30.70 | 30.70 |
| Corn protein meal | 5.00 | 5.00 | 5.00 |
| Rapeseed meal | 9.00 | 9.00 | 9.00 |
| Bentonite | 2.70 | 2.39 | 1.87 |
| Rice bran | 11.00 | 11.00 | 11.00 |
| Wheat flour | 18.00 | 18.00 | 18.00 |
| Soybean oil | 2.15 | 1.68 | 1.25 |
| Premix 1 | 0.40 | 0.40 | 0.40 |
| Ca (H2PO4)2 | 0.50 | 1.09 | 1.67 |
| NaCl | 0.30 | 0.30 | 0.30 |
| Choline chloride | 0.25 | 0.25 | 0.25 |
| Lysine | 0.00 | 0.29 | 0.57 |
| Methionine | 0.00 | 0.10 | 0.19 |
| Total | 100.00 | 100.00 | 100.00 |
| Moisture | 7.72 | 7.58 | 7.64 |
| Crude protein | 35.80 | 35.78 | 35.78 |
| Crude lipid | 6.27 | 6.28 | 6.29 |
| Ash | 8.97 | 9.02 | 9.08 |
| Items | FM | CM50 | CM100 |
|---|---|---|---|
| Lysine | 1.70 | 1.69 | 1.69 |
| Phenylalanine | 1.49 | 1.45 | 1.37 |
| Threonine | 1.16 | 1.13 | 1.07 |
| Isoleucine | 1.38 | 1.22 | 1.08 |
| Leucine | 2.65 | 2.55 | 2.44 |
| Valine | 1.58 | 1.41 | 1.25 |
| Argnine | 1.83 | 1.82 | 1.76 |
| Methionine | 0.45 | 0.49 | 0.51 |
| Histidine | 0.80 | 0.78 | 0.71 |
| ∑EAA | 13.04 | 12.54 | 11.88 |
| Aspartic acid | 2.78 | 2.70 | 2.55 |
| Glutamic acid | 5.25 | 5.17 | 5.08 |
| Cystine | 0.24 | 0.25 | 0.26 |
| Serine | 1.14 | 1.17 | 1.13 |
| Glycine | 1.49 | 1.52 | 1.64 |
| Alanine | 1.73 | 1.71 | 1.64 |
| Proline | 1.86 | 1.84 | 1.91 |
| Tyrosine | 0.87 | 0.88 | 0.86 |
| ∑NEAA | 15.36 | 15.24 | 15.07 |
| Total amino acid | 28.4 | 27.78 | 26.95 |
| Gene | Forward Primer (5′-3′) | Reverse Primer (5′-3′) |
|---|---|---|
| il-10 | GGAAGGACAGTTCAGCCCAA | CGCTGTGAAACCGAAGTAGC |
| il-1β | TCATTCGGGACAGCAGGCAGAA | GCTTCACTGGCACGGTTGTTCT |
| il-8 | GCACAGCAGGCAGCAGCATT | ACAAACCACTTAACACTGGCAGGG |
| il-17 | TGATAGTCACGCACTGAGTCCG | ATGTTCACCAGCCAGTCAATGC |
| cat | GATGGGAACTGGGATCTGACTGGAAA | CTGAGAGTGGATGAATGACGGGAACA |
| sod | GCATTCTATCATTGGACGCACAGCA | CCCACCAGCATTGCCAGTTATCA |
| gst | GTGTGGATTGGAAAGAAGAGGTGGTGA | TCCTAGCAAGATGGCGGAGTATGG |
| sult | GAAGACATGAAAGCGGACCTCAC | GCTCATCCTTCAGAGCTAAGCCATA |
| β actin | CATCCTTCTTGGGTATGGAATCA | TGGCATACAGGTCCTTACGGATA |
| Items | FM | CM50 | CM100 |
|---|---|---|---|
| Initial average weight/g | 44.02 ± 0.10 | 44.04 ± 0.20 | 44.03 ± 0.20 |
| Final average weight/g | 140.73 ± 0.58 | 135.17 ± 6.26 | 137.31 ± 1.04 |
| Average weight gain rate/% | 215.76 ± 1.37 | 206.98 ± 14.26 | 211.8793 ± 5.12 |
| Total weight gain rate/% | 125.41 ± 1.63 b | 150.66 ± 11.66 a | 107.31 ± 5.12 c |
| Feed coefficient | 1.19 ± 0.01 ab | 1.11 ± 0.06 b | 1.29 ± 0.03 a |
| Survival rate/% | 70.50 ± 0.65 b | 81.75 ± 2.78 a | 66.50 ± 1.94 b |
| Items | FM | CM50 | CM100 |
|---|---|---|---|
| Lysine | 1.82 ± 0.21 | 1.73 ± 0.12 | 1.67 ± 0.133 |
| Phenylalanine | 0.83 ± 0.03 | 0.78 ± 0.04 | 0.76 ± 0.05 |
| Threonine | 0.75 ± 0.04 | 0.68 ± 0.06 | 0.71 ± 0.07 |
| Isoleucine | 0.93 ± 0.05 | 0.87 ± 0.05 | 0.83 ± 0.06 |
| Leucine | 1.48 ± 0.06 | 1.41 ± 0.09 | 1.39 ± 0.13 |
| Valine | 0.92 ± 0.07 | 0.91 ± 0.08 | 0.84 ± 0.08 |
| Argnine | 1.22 ± 0.04 | 1.13 ± 0.07 | 1.17 ± 0.09 |
| Methionine | 0.29 ± 0.01 | 0.24 ± 0.02 | 0.27 ± 0.01 |
| Histidine | 0.55 ± 0.05 | 0.56 ± 0.04 | 0.53 ± 0.05 |
| ∑EAAs | 8.79 | 8.31 | 8.17 |
| Aspartic acid | 1.72 ± 0.08 | 1.65 ± 0.10 | 1.63 ± 0.13 |
| Glutamic acid | 3.39 ± 0.21 | 3.20 ± 0.26 | 3.23 ± 0.25 |
| Serine | 0.70 ± 0.03 | 0.68 ± 0.04 | 0.70 ± 0.04 |
| Glycine | 0.82 ± 0.08 | 0.82 ± 0.05 | 0.89 ± 0.07 |
| Alanine | 1.00 ± 0.10 | 0.99 ± 0.07 | 0.97 ± 0.08 |
| Proline | 0.74 ± 0.07 | 0.70 ± 0.06 | 0.74 ± 0.04 |
| Tyrosine | 0.53 ± 0.03 | 0.47 ± 0.03 | 0.48 ± 0.04 |
| ∑NEAAs | 8.90 | 8.51 | 8.64 |
| Total amino acid | 17.69 | 16.82 | 16.81 |
| Items | FM | CM50 | CM100 |
|---|---|---|---|
| Villus length/μm | 834.13 ± 58.05 a | 1374.28 ± 104.52 b | 773.05 ± 32.37 a |
| Muscle layer thickness/μm | 141.74 ± 0.68 a | 151.74 ± 0.83 b | 138.77 ± 2.34 a |
| Goblet cell | 29.67 ± 0.33 a | 32.00 ± 1.00 b | 28.67 ± 0.33 a |
| Amylase (U/gprot) | 3.72 ± 0.19 b | 4.13 ± 0.05 b | 2.85 ± 0.12 a |
| Lipase (U/gprot) | 2.53 ± 0.34 a | 5.63 ± 0.64 b | 2.24 ± 0.68 a |
| Trypsin (U/gprot) | 72.12 ± 0.96 b | 73.24 ± 0.35 b | 70.31 ± 0.04 a |
Disclaimer/Publisher’s Note: The statements, opinions and data contained in all publications are solely those of the individual author(s) and contributor(s) and not of MDPI and/or the editor(s). MDPI and/or the editor(s) disclaim responsibility for any injury to people or property resulting from any ideas, methods, instructions or products referred to in the content. |
© 2024 by the authors. Licensee MDPI, Basel, Switzerland. This article is an open access article distributed under the terms and conditions of the Creative Commons Attribution (CC BY) license (https://creativecommons.org/licenses/by/4.0/).
Share and Cite
Zhu, B.; Xu, W.; Dai, Z.; Shao, C.; Hu, Y.; Chen, K. Chicken Meal as a Fishmeal Substitute: Effects on Growth, Antioxidants, and Digestive Enzymes in Lithobates catesbeianus. Animals 2024, 14, 2200. https://doi.org/10.3390/ani14152200
Zhu B, Xu W, Dai Z, Shao C, Hu Y, Chen K. Chicken Meal as a Fishmeal Substitute: Effects on Growth, Antioxidants, and Digestive Enzymes in Lithobates catesbeianus. Animals. 2024; 14(15):2200. https://doi.org/10.3390/ani14152200
Chicago/Turabian StyleZhu, Bo, Wenjie Xu, Zhenyan Dai, Chuang Shao, Yi Hu, and Kaijian Chen. 2024. "Chicken Meal as a Fishmeal Substitute: Effects on Growth, Antioxidants, and Digestive Enzymes in Lithobates catesbeianus" Animals 14, no. 15: 2200. https://doi.org/10.3390/ani14152200
APA StyleZhu, B., Xu, W., Dai, Z., Shao, C., Hu, Y., & Chen, K. (2024). Chicken Meal as a Fishmeal Substitute: Effects on Growth, Antioxidants, and Digestive Enzymes in Lithobates catesbeianus. Animals, 14(15), 2200. https://doi.org/10.3390/ani14152200
