The Expression and Epigenetic Characteristics of the HSF2 Gene in Cattle-Yak and the Correlation with Its Male Sterility
Abstract
Simple Summary
Abstract
1. Introduction
2. Materials and Methods
2.1. Ethics Statement
2.2. Sample Collection
2.3. Gene Cloning
2.4. Bioinformatics Analysis
2.5. Real-Time Quantitative PCR (RT-qPCR)
2.6. Protein Isolation and Western Blotting
2.7. Immunohistochemical Staining
2.8. Bisulfite Sequencing PCR
2.9. Statistical Analysis
3. Results
3.1. Cloning of HSF2 Genes from Yak and Cattle-Yak and Physicochemical Property Analysis
3.2. Molecular Characterization of Cattle-Yak HSF2 Protein
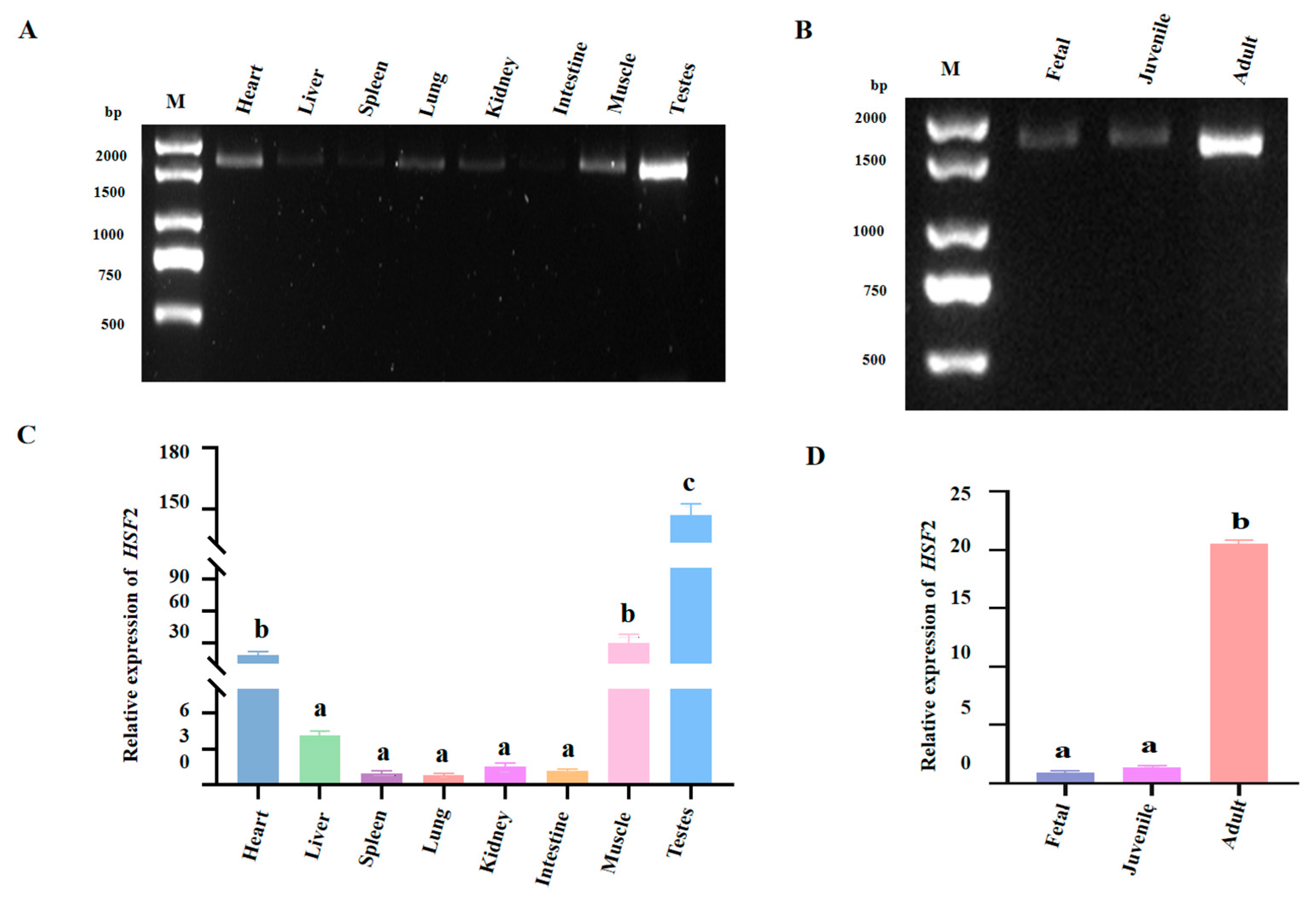
3.3. Expression Profile of HSF2 in Cattle-Yak Tissues
3.4. HSF2 Expression in Cattle-Yak Testes Is Reduced Compared to Cattle and Yak
3.5. Localization Analysis of HSF2 in Testes
3.6. Hypermethylation of the HSF2 Promoter Region
4. Discussion
5. Conclusions
Author Contributions
Funding
Institutional Review Board Statement
Informed Consent Statement
Data Availability Statement
Acknowledgments
Conflicts of Interest
References
- Zhang, J.; Long, K.; Wang, J.; Zhang, J.; Jin, L.; Tang, Q.; Li, X.; Ma, J.; Li, M.; Jiang, A. Yak miR-2285o-3p attenuates hypoxia-induced apoptosis by targeting caspase-3. Anim. Genet. 2022, 53, 49–57. [Google Scholar] [CrossRef]
- Qiu, Q.; Zhang, G.; Ma, T.; Qian, W.; Wang, J.; Ye, Z.; Cao, C.; Hu, Q.; Kim, J.; Larkin, D.M.; et al. The yak genome and adaptation to life at high altitude. Nat. Genet. 2012, 44, 946–949. [Google Scholar] [CrossRef] [PubMed]
- Zhu, Y.; Pan, B.; Fei, X.; Hu, Y.; Yang, M.; Yu, H.; Li, J.; Xiong, X. The biological characteristics and differential expression patterns of TSSK1B gene in yak and its infertile hybrid offspring. Animals 2023, 13, 320. [Google Scholar] [CrossRef] [PubMed]
- Das, P.P.; Krishnan, G.; Doley, J.; Bhattacharya, D.; Deb, S.M.; Chakravarty, P.; Das, P.J. Establishing gene Amelogenin as sex-specific marker in yak by genomic approach. J. Genet. 2019, 98, 7. [Google Scholar] [CrossRef] [PubMed]
- Cao, M.; Wang, X.; Guo, S.; Kang, Y.; Pei, J.; Guo, X. F1 male sterility in cattle-yak examined through changes in testis tissue and transcriptome profiles. Animals 2022, 12, 2711. [Google Scholar] [CrossRef] [PubMed]
- Wang, Y.; Wang, Z.; Hu, R.; Peng, Q.; Xue, B.; Wang, L. Comparison of carcass characteristics and meat quality between simmental crossbred cattle, cattle-yaks and Xuanhan yellow cattle. J. Sci. Food Agric. 2021, 101, 3927–3932. [Google Scholar] [CrossRef]
- Schwahn, D.J.; Wang, R.J.; White, M.A.; Payseur, B.A. Genetic dissection of hybrid male sterility across stages of spermatogenesis. Genetics 2018, 210, 1453–1465. [Google Scholar] [CrossRef] [PubMed]
- Campbell, P.; Nachman, M.W. X-y interactions underlie sperm head abnormality in hybrid male house mice. Genetics. 2014, 196, 1231–1240. [Google Scholar] [CrossRef] [PubMed]
- Bhattacharya, I.; Sharma, S.S.; Majumdar, S.S. Etiology of male infertility: An update. Reprod. Sci. 2023, 10, 942–965. [Google Scholar] [CrossRef]
- Sharma, A.; Minhas, S.; Dhillo, W.S.; Jayasena, C.N. Male infertility due to testicular disorders. J. Clin. Endocrinol. Metab. 2021, 106, e442–e459. [Google Scholar] [CrossRef]
- Nishimura, H.; L’Hernault, S.W. Spermatogenesis. Curr. Biol. 2017, 27, R988–R994. [Google Scholar] [CrossRef] [PubMed]
- Hampl, R.; Drábková, P.; Kanďár, R.; Stěpán, J. Vliv oxidačního stresu na mužskou plodnost. Impact of oxidative stress on male infertility. Ceska Gynekol. 2012, 77, 241–245. [Google Scholar] [PubMed]
- Tahmasbpour Marzouni, E.; Ilkhani, H.; Beigi Harchegani, A.; Shafaghatian, H.; Layali, I.; Shahriary, A. Epigenetic Modifications, A new approach to male infertility etiology: A review. Int. J. Fertil. Steril. 2022, 16, 1–9. [Google Scholar] [PubMed]
- Lee, J. Roles of cohesin and condensin in chromosome dynamics during mammalian meiosis. J. Reprod. Dev. 2013, 59, 431–436. [Google Scholar] [CrossRef] [PubMed]
- Wu, C.; Jin, X.; Tsueng, G.; Afrasiabi, C.; Su, A.I. BioGPS: Building your own mash-up of gene annotations and expression profiles. Nucleic Acids Res. 2016, 44, 313–316. [Google Scholar] [CrossRef] [PubMed]
- Shan, Q.; Ma, F.; Wei, J.; Li, H.; Ma, H.; Sun, P. Physiological functions of heat shock proteins. Curr. Protein Pept. Sci. 2020, 21, 751–760. [Google Scholar] [CrossRef] [PubMed]
- Widlak, W.; Vydra, N. The role of heat shock factors in mammalian spermatogenesis. Adv. Anat. Embryol. Cell Biol. 2017, 222, 45–65. [Google Scholar]
- Rao, M.; Zhao, X.L.; Yang, J.; Hu, S.F.; Lei, H.; Xia, W.; Zhu, C.H. Effect of transient scrotal hyperthermia on sperm parameters, seminal plasma biochemical markers, and oxidative stress in men. Asian J. Androl. 2015, 17, 668–675. [Google Scholar] [PubMed]
- Nelson, V.K.; Paul, S.; Roychoudhury, S.; Oyeyemi, I.T.; Mandal, S.C.; Kumar, N.; Ravichandiran, V.; Pal, M. Heat shock factors in protein quality control and spermatogenesis. Adv. Exp. Med. Biol. 2022, 1391, 181–199. [Google Scholar]
- Eriksson, M.; Jokinen, E.; Sistonen, L.; Leppä, S. Heat shock factor 2 is activated during mouse heart development. Int. J. Dev. Biol. 2000, 44, 471–477. [Google Scholar]
- Alastalo, T.P.; Lönnström, M.; Leppä, S.; Kaarniranta, K.; Pelto-Huikko, M.; Sistonen, L.; Parvinen, M. Stage-specific expression and cellular localization of the heat shock factor 2 isoforms in the rat seminiferous epithelium. Exp. Cell Res. 1998, 240, 16–27. [Google Scholar] [CrossRef]
- Abane, R.; Mezger, V. Roles of heat shock factors in gametogenesis and development. FEBS J. 2010, 277, 4150–4172. [Google Scholar] [CrossRef] [PubMed]
- Kallio, M.; Chang, Y.; Manuel, M.; Alastalo, T.P.; Rallu, M.; Gitton, Y.; Pirkkala, L.; Loones, M.T.; Paslaru, L.; Larney, S.; et al. Brain abnormalities, defective meiotic chromosome synapsis and female subfertility in HSF2 null mice. EMBO J. 2002, 21, 2591–2601. [Google Scholar] [CrossRef] [PubMed]
- Wang, G.; Zhang, J.; Moskophidis, D.; Mivechi, N.F. Targeted disruption of the heat shock transcription factor (hsf)-2 gene results in increased embryonic lethality, neuronal defects, and reduced spermatogenesis. Genesis 2003, 36, 48–61. [Google Scholar] [CrossRef] [PubMed]
- Tokunaga, Y.; Otsuyama, K.I.; Hayashida, N. Cell cycle regulation by heat shock transcription factors. Cells 2022, 11, 203. [Google Scholar] [CrossRef]
- Mou, L.; Wang, Y.; Li, H.; Huang, Y.; Jiang, T.; Huang, W.; Li, Z.; Chen, J.; Xie, J.; Liu, Y.; et al. A dominant-negative mutation of HSF2 associated with idiopathic azoospermia. Hum. Genet. 2013, 132, 159–165. [Google Scholar] [CrossRef]
- Ahlskog, J.K.; Björk, J.K.; Elsing, A.N.; Aspelin, C.; Kallio, M.; Roos-Mattjus, P.; Sistonen, L. Anaphase-promoting complex/cyclosome participates in the acute response to protein-damaging stress. Mol. Cell Biol. 2010, 30, 5608–5620. [Google Scholar] [CrossRef]
- Park, S.M.; Kim, S.A.; Ahn, S.G. HSF2 autoregulates its own transcription. Int. J. Mol. Med. 2015, 36, 1173–1179. [Google Scholar] [CrossRef]
- Yang, L.; Min, X.; Zhu, Y.; Hu, Y.; Yang, M.; Yu, H.; Li, J.; Xiong, X. Polymorphisms of SORBS1 gene and their correlation with milk fat traits of cattle-yak. Animals 2021, 11, 3461. [Google Scholar] [CrossRef]
- Livak, K.J.; Schmittgen, T.D. Analysis of relative gene expression data using real-time quantitative PCR and the 2(-Delta Delta C (T)) Method. Methods 2001, 25, 402–408. [Google Scholar] [CrossRef]
- Schindelin, J.; Arganda-Carreras, I.; Frise, E.; Kaynig, V.; Longair, M.; Pietzsch, T.; Preibisch, S.; Rueden, C.; Saalfeld, S.; Schmid, B.; et al. Fiji: An open-source platform for biological image analysis. Nat. Methods 2012, 9, 676–682. [Google Scholar] [CrossRef] [PubMed]
- Xiong, X.; Huang, X.; Zhu, Y.; Hai, Z.; Fei, X.; Pan, B.; Yang, Q.; Xiong, Y.; Fu, W.; Lan, D.; et al. Testis-specific knockout of Kdm2a reveals nonessential roles in male fertility but partially compromises spermatogenesis. Theriogenology 2023, 209, 9–20. [Google Scholar] [CrossRef]
- Xiong, X.; Yang, M.; Yu, H.; Hu, Y.; Yang, L.; Zhu, Y.; Fei, X.; Pan, B.; Xiong, Y.; Fu, W.; et al. MicroRNA-342-3p regulates yak oocyte meiotic maturation by targeting DNA methyltransferase 1. Reprod. Domest. Anim. 2022, 57, 761–770. [Google Scholar] [CrossRef] [PubMed]
- Niayale, R.; Cui, Y.; Adzitey, F. Male hybrid sterility in the cattle-yak and other bovines: A review. Biol. Reprod. 2021, 104, 495–507. [Google Scholar] [CrossRef] [PubMed]
- He, H.; Soncin, F.; Grammatikakis, N.; Li, Y.; Siganou, A.; Gong, J.; Brown, S.A.; Kingston, R.E.; Calderwood, S.K. Elevated expression of heat shock factor (HSF) 2A stimulates HSF1-induced transcription during stress. J. Biol. Chem. 2003, 278, 35465–35475. [Google Scholar] [CrossRef]
- Shakeel, M.; Yoon, M. Heat stress and stallion fertility. J. Anim. Sci. Technol. 2023, 65, 683–697. [Google Scholar] [CrossRef] [PubMed]
- Nixon, B.; Bromfield, E.G.; Dun, M.D.; Redgrove, K.A.; McLaughlin, E.A.; Aitken, R.J. The role of the molecular chaperone heat shock protein A2 (HSPA2) in regulating human sperm-egg recognition. Asian J. Androl. 2015, 17, 568–573. [Google Scholar] [CrossRef] [PubMed]
- Clift, D.; Schuh, M. Restarting life: Fertilization and the transition from meiosis to mitosis. Nat. Rev. Mol. Cell Biol. 2013, 14, 549–562. [Google Scholar] [CrossRef] [PubMed]
- Zhao, H.; Zhang, H.; Xi, Q.; Li, L.; Zhu, H.; Hu, X.; Liu, R. Case report: A non-obstructive azoospermia patient with Heat Shock Factor-2 mutation. Medicine 2020, 99, e21107. [Google Scholar] [CrossRef]
- Gangwar, P.K.; Sankhwar, S.N.; Pant, S.; Singh, B.P.; Mahdi, A.A.; Singh, R. Male infertility is not liked with HSF1, HSF2 and UBE2I gene polymorphisms among Indian subjects. Bioinformation 2021, 17, 715–720. [Google Scholar] [CrossRef]
- Roos-Mattjus, P.; Sistonen, L. Interplay between mammalian heat shock factors 1 and 2 in physiology and pathology. FEBS J. 2022, 289, 7710–7725. [Google Scholar] [CrossRef] [PubMed]
- Price, R.M.; Budzyński, M.A.; Shen, J.; Mitchell, J.E.; Kwan, J.Z.J.; Teves, S.S. Heat shock transcription factors demonstrate a distinct mode of interaction with mitotic chromosomes. Nucleic Acids Res. 2023, 51, 5040–5055. [Google Scholar] [CrossRef] [PubMed]
- Akerfelt, M.; Vihervaara, A.; Laiho, A.; Conter, A.; Christians, E.S.; Sistonen, L.; Henriksson, E. Heat shock transcription factor 1 localizes to sex chromatin during meiotic repression. J. Biol. Chem. 2010, 285, 34469–34476. [Google Scholar] [CrossRef] [PubMed]
- Jaiswal, L.; De, S.; Singh, R.K.; Baithalu, R.K. Molecular characterization and protein structure prediction of heat shock transcriptional factors in goat (Capra hircus) and sheep (Ovis aries). Anim. Biotechnol. 2020, 31, 432–439. [Google Scholar] [CrossRef] [PubMed]
- Sato, Y.; Kuriwaki, R.; Hagino, S.; Shimazaki, M.; Sambuu, R.; Hirata, M.; Tanihara, F.; Takagi, M.; Taniguchi, M.; Otoi, T. Abnormal functions of Leydig cells in crossbred cattle-yak showing infertility. Reprod. Domest. Anim. 2020, 55, 209–216. [Google Scholar] [CrossRef] [PubMed]
- Wilkerson, D.C.; Murphy, L.A.; Sarge, K.D. Interaction of HSF1 and HSF2 with the Hspa1b promoter in mouse epididymal spermatozoa. Biol. Reprod. 2008, 79, 283–288. [Google Scholar] [CrossRef] [PubMed]
- Xu, C.; Shah, M.A.; Mipam, T.; Wu, S.; Yi, C.; Luo, H.; Yuan, M.; Chai, Z.; Zhao, W.; Cai, X. Bovid microRNAs involved in the process of spermatogonia differentiation into spermatocytes. Int. J. Biol. Sci. 2020, 16, 239–250. [Google Scholar] [CrossRef] [PubMed]
- Rotondo, J.C.; Lanzillotti, C.; Mazziotta, C.; Tognon, M.; Martini, F. Epigenetics of male infertility: The role of DNA methylation. Front. Cell Dev. Biol. 2021, 9, 689624. [Google Scholar] [CrossRef]
- Huang, Y.; Li, L.; An, G.; Yang, X.; Cui, M.; Song, X.; Lin, J.; Zhang, X.; Yao, Z.; Wan, C.; et al. Single-cell multi-omics sequencing of human spermatogenesis reveals a DNA demethylation event associated with male meiotic recombination. Nat. Cell Biol. 2023, 25, 1520–1534. [Google Scholar] [CrossRef]
- Moore, L.D.; Le, T.; Fan, G. DNA methylation and its basic function. Neuropsychopharmacology 2013, 38, 23–38. [Google Scholar] [CrossRef]
- Aston, K.I.; Punj, V.; Liu, L.; Carrell, D.T. Genome-wide sperm deoxyribonucleic acid methylation is altered in some me with abnormal chromatin packaging or poor in vitro fertilization embryogenesis. Fertil. Steril. 2012, 97, 285–292. [Google Scholar] [CrossRef] [PubMed]
- Phakdeedindan, P.; Wittayarat, M.; Tharasanit, T.; Techakumphu, M.; Shimazaki, M.; Sambuu, R.; Hirata, M.; Tanihara, F.; Taniguchi, M.; Otoi, T.; et al. Aberrant levels of DNA methylation and H3K9 acetylation in the testicular cells of crossbred cattle-yak showing infertility. Reprod. Domest. Anim. 2022, 57, 304–313. [Google Scholar] [CrossRef] [PubMed]
- Li, Y.C.; Wang, G.W.; Xu, S.R.; Zhang, X.N.; Yang, Q.E. The expression of histone methyltransferases and distribution of selected histone methylations in testes of yak and cattle-yak hybrid. Theriogenology 2020, 144, 164–173. [Google Scholar] [CrossRef] [PubMed]








| Primer Name | Primer Sequence (5′-3′) | Product Size (bp) | Annealing Temperature (°C) | Utilization |
|---|---|---|---|---|
| HSF2 | F1:GCGTTTGGGTGTAGAATCTGG R1: ACGTAGCGTCCACTTCTTG | 1671 bp | 65 °C | RT-PCR |
| HSF2-Q | F2:TGCAGATGAATCCCACAGATTACA R2:GCTGCTTATCTGTTTTGGGC | 129 bp | 60 °C | RT-qPCR |
| β-actin | F3:GATGATATTTGCTGCGCTCGTG R3:CTTGCTCTGAGCCTCATCCC | 177 bp | 60 °C | RT-qPCR |
| HSF2-B | F4:AAAGGTTTTTTTACGTGAAATTATT R4:AAAATTCCAAATTCTACACCCA | 346 bp | 48 °C | BSP |
Disclaimer/Publisher’s Note: The statements, opinions and data contained in all publications are solely those of the individual author(s) and contributor(s) and not of MDPI and/or the editor(s). MDPI and/or the editor(s) disclaim responsibility for any injury to people or property resulting from any ideas, methods, instructions or products referred to in the content. |
© 2024 by the authors. Licensee MDPI, Basel, Switzerland. This article is an open access article distributed under the terms and conditions of the Creative Commons Attribution (CC BY) license (https://creativecommons.org/licenses/by/4.0/).
Share and Cite
Yang, Q.; Xie, Y.; Pan, B.; Cheng, Y.; Zhu, Y.; Fei, X.; Li, X.; Yu, J.; Chen, Z.; Li, J.; et al. The Expression and Epigenetic Characteristics of the HSF2 Gene in Cattle-Yak and the Correlation with Its Male Sterility. Animals 2024, 14, 1410. https://doi.org/10.3390/ani14101410
Yang Q, Xie Y, Pan B, Cheng Y, Zhu Y, Fei X, Li X, Yu J, Chen Z, Li J, et al. The Expression and Epigenetic Characteristics of the HSF2 Gene in Cattle-Yak and the Correlation with Its Male Sterility. Animals. 2024; 14(10):1410. https://doi.org/10.3390/ani14101410
Chicago/Turabian StyleYang, Qinhui, Yumian Xie, Bangting Pan, Yuying Cheng, Yanjin Zhu, Xixi Fei, Xupeng Li, Jun Yu, Zhuo Chen, Jian Li, and et al. 2024. "The Expression and Epigenetic Characteristics of the HSF2 Gene in Cattle-Yak and the Correlation with Its Male Sterility" Animals 14, no. 10: 1410. https://doi.org/10.3390/ani14101410
APA StyleYang, Q., Xie, Y., Pan, B., Cheng, Y., Zhu, Y., Fei, X., Li, X., Yu, J., Chen, Z., Li, J., & Xiong, X. (2024). The Expression and Epigenetic Characteristics of the HSF2 Gene in Cattle-Yak and the Correlation with Its Male Sterility. Animals, 14(10), 1410. https://doi.org/10.3390/ani14101410

