Effects of Immunocastration and Amino Acid Supplementation on Yearling Fallow Deer (Dama dama) Testes Development
Abstract
Simple Summary
Abstract
1. Introduction
2. Materials and Methods
2.1. Animals, Feeding, and Experimental Design
2.2. Slaughtering and Carcass Measurements
2.3. Statistical Analysis
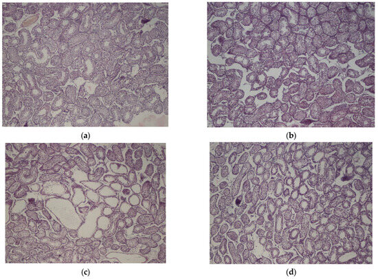
3. Results
4. Discussion
5. Conclusions
Author Contributions
Funding
Institutional Review Board Statement
Informed Consent Statement
Data Availability Statement
Acknowledgments
Conflicts of Interest
References
- Dahlan, I.; Norfarizan Hanoon, N.A. Chemical composition, palatability, and physical characteristics of venison from farmed deer. Anim. Sci. J. 2008, 79, 498–503. [Google Scholar] [CrossRef]
- Castration of Male Deer—Fact Sheet. Available online: https://www.deerfarming.com.au/wp-content/uploads/2016/11/14-Castration.pdf (accessed on 13 March 2023).
- Volpelli, L.A.; Valusso, R.; Morgante, M.; Pittia, P.; Piasentier, E. Meat quality in male fallow deer (Dama dama): Effects of age and supplementary feeding. Meat Sci. 2003, 65, 555–562. [Google Scholar] [CrossRef] [PubMed]
- Bykowska, M. Influence of selected factors on meat quality from farm-raised and wild fallow deer (Dama dama): A review. Can. J. Anim. Sci. 2018, 98, 405–415. [Google Scholar] [CrossRef]
- Langbein, J.; Chapman, N. Fallow Deer; The Mammal Society and The British Deer Society: London, UK, 2003. [Google Scholar]
- McElligott, A.G.; Gammell, M.P.; Harty, H.C.; Paini, D.R.; Murphy, D.T.; Walsh, J.T.; Hayden, T.J. Sexual size dimorphism in fallow deer (Dama dama): Do larger, heavier males gain greater mating success? Behav. Ecol. Sociobiol. 2001, 49, 266–272. [Google Scholar] [CrossRef]
- Ros-Santaella, J.L.; Kotrba, R.; Pintus, E. High-energy diet enhances spermatogenic function and increases sperm midpiece length in fallow deer (Dama dama) yearlings. R. Soc. Open Sci. 2019, 6, 2054–5703. [Google Scholar] [CrossRef]
- Chapman, D.I.; Chapman, N.G. Preliminary observations on the reproductive cycle of male fallow deer (Dama dama L.). Reproduction 1970, 21, 1–8. [Google Scholar] [CrossRef]
- Mulley, R. Reproductive management of fallow deer. In Current Therapy in Large Animal Theriogenology, 2nd ed.; Youngquist, R.S., Threlfall, W.R., Eds.; Sunders Elsevier: St. Louis, MO, USA, 2007; pp. 952–965. [Google Scholar]
- Gosch, B.; Fischer, K. Seasonal changes of testis volume and sperm quality in adult fallow deer (Dama dama) and their relationship to the antler cycle. J. Reprod. Fertil. 1989, 85, 7–17. [Google Scholar] [CrossRef]
- Asher, G.W. Reproduction of Fallow Deer. Available online: https://deernz.org (accessed on 13 March 2023).
- Pollard, J.C.; Wilson, P.R. Welfare of farmed deer in New Zealand. 1. Management practices. N. Z. Vet. J. 2002, 50, 214–220. [Google Scholar] [CrossRef]
- Melches, S.; Mellema, S.C.; Doherr, M.G.; Wechsler, B.; Steiner, A. Castration of lambs: A welfare comparison of different castration techniques in lambs over 10 weeks of age. Vet. J. 2007, 173, 554–563. [Google Scholar] [CrossRef]
- Sathe, S.; Shipley, C.F. Applied andrology in sheep, goats and selected cervids. In Animal Andrology: Theories and Application; Chenoweth, P.J., Lorton, S.P., Eds.; CABI Books; CABI International: Wallingford, UK, 2014; pp. 226–253. [Google Scholar]
- Ahmed, S.; Jiang, X.; Liu, G.; Sadiq, A.; Farooq, U.; Saleem, A.H.; Zubair, M. New trends in immunocastration and its potential to improve animal welfare: A mini review. Trop. Anim. Health Prod. 2022, 54, 369. [Google Scholar] [CrossRef]
- Asher, G.W.; Berg, D.K.; Evans, G. Storage of semen and artificial insemination in deer. Anim. Reprod. Sci. 2000, 62, 195–211. [Google Scholar] [CrossRef] [PubMed]
- Miller, L.A.; Johns, B.E.; Killian, G.J. Immunocontraception of white-tailed deer with GnRH Vaccine. Am. J. Reprod. Immunol. 2000, 44, 266–274. [Google Scholar] [CrossRef]
- Ny, V.; Needham, T.; Ceacero, F. Potential benefits of amino acid supplementation for cervid performance and nutritional ecology, with special focus on Lysine and Methionine: A review. Anim. Nutr. 2022, 11, 391–401. [Google Scholar] [CrossRef] [PubMed]
- Huang, J.; Sun, W.-L.; Li, C.-Y.; Liu, H.-L.; Zhang, T.-T.; Bao, K.; Fan, Y.Y.; Li, G.-Y.; Wang, K.Y. Effects of DL-methionine supplement on growth performance and amino acid digestion and plasma concentrations in sika deer calves (Cervus nippon). Anim. Prod. Sci. 2015, 56, 1002–1007. [Google Scholar] [CrossRef]
- Mendoza-Nazar, P.; Mendoza-Martínez, G.D.; Herrera-Haro, J.; Ruiz-Sesma, B.; Barcena-Gama, R.; Tarango-Arambula, L. Effect of ruminally protected methionine on body weight gain and growth of antlers in red deer (Cervus elaphus) in the humid tropics. Trop. Anim. Health Prod. 2012, 44, 681–684. [Google Scholar] [CrossRef] [PubMed]
- Kudrnacova, E.; Bures, D.; Barton, L.; Kotrba, R.; Ceacero, F.; Hoffman, L.C.; Kouřimská, L. The effect of barley and Lysine sup-plementation of pasture-based diet on growth, carcass composition, and physical quality attributes of meat from farmed fallow deer (Dama dama). Animals 2019, 9, 33. [Google Scholar] [CrossRef]
- Kaya, S.O.; Gur, S.; Kaya, E. The effect of L-arginine on erection time, sperm quality, and the seminal plasma arginase activity in rams. Rev. Med. Vet. 2019, 170, 73–79. [Google Scholar]
- Dunshea, F.R.; Allison, J.R.D.; Bertram, M.; Boler, D.D.; Brossard, L.; Campbell, R.; Crane, J.P.; Hennesy, D.P.; Huber, L.; de Lange, C.; et al. The effect of immunization against GnRF on nutrient requirements of male pigs: A review. Animals 2013, 7, 1769–1778. [Google Scholar] [CrossRef]
- Needham, T.; Hoffman, L.C. Physical meat quality and chemical composition of the Longissimus thoracis of entire and immunocastrated pigs fed varying dietary protein levels with and without ractopamine hydrochloride. Meat Sci. 2015, 110, 101–108. [Google Scholar] [CrossRef]
- Ny, V.; Needham, T.; Bartoň, L.; Bureš, D.; Kotrba, R.; Musa, S.A.; Ceacero, F. Effects of immunocastration and supplementary feeding level on the performance and blood biochemical markers of farmed yearling fallow deer (Dama dama). J. Anim. Physiol. Anim. Nutr. 2023, 107, 1158–1166. [Google Scholar] [CrossRef]
- Audigé, L.; Wilson, P.R.; Morris, R.S. A body condition score system and its use for farmed red deer hinds. N. Z. J. Agric. Res. 1998, 41, 545–553. [Google Scholar] [CrossRef]
- Schwab, C.G.; Ordway, R.S.; Whitehouse, L. Amino Acid Balancing in the Context of MP and RUP Requirement. In Proceedings of the 15th Annual Florida Ruminant Nutrition Symposium, Gainesville, FL, USA, 22–23 January 2004; pp. 10–25. [Google Scholar]
- Ceacero, F.; Clar, M.A.; Ny, V.; Kotrba, R. Differential effects of ruminally protected amino acids on fattening of fallow deer in two culling periods. Animals 2020, 14, 648–655. [Google Scholar] [CrossRef] [PubMed]
- Jančík, F.; Kubelková, P.; Kubát, V.; Koukolová, M.; Homolka, P. Effects of drying procedures on chemical composition and nutritive value of alfalfa forage. S. Afr. J. Anim. Sci. 2017, 47, 96–101. [Google Scholar] [CrossRef]
- Dekeyser, P.L. Les Mammifères de l’Afrique Noire Française, 2nd ed.; Institut Francais D’Afrique Noire: Dakar, Senegal, 1955. [Google Scholar]
- Serrano, E.; Alpizar-Jara, R.; Morellet, N.; Hewison, A. A half a century of measuring ungulate body condition using in-dices: Is it time for a change? Eur. J. Wildl. Res. 2008, 54, 675–680. [Google Scholar] [CrossRef]
- Ceacero, F.; Ny, V.; Kotrba, R.; Bartoň, L.; Čupić, S.; Bureš, D.; Turek, J.; Komárková, M.; Needham, T. Combined effects of supplementation of amino acids and immunocastration in first antler growth of farmed fallow deer (Dama dama). Anim. Prod. Sci. 2023, 63, 1583–1593. [Google Scholar] [CrossRef]
- Chaplin, R.E.; White, W.G. The influence of age and season on the activity of the testes and epididymides of the fallow deer, Dama dama. J. Reprod. Fertil. 1972, 30, 361–369. [Google Scholar] [CrossRef]
- Lealifano, A.K.; Pluske, J.R.; Nicholls, R.R.; Dunshea, F.R.; Campbell, R.G.; Hennessy, D.P.; Miller, D.W.; Hansen, C.F.; Mullan, B.P. Reducing the length of time between slaughter and the secondary gonadotropin-releasing factor immunization improves growth performance and clears boar taint compounds in male finishing pigs. J. Anim. Sci. 2011, 89, 2782–2792. [Google Scholar] [CrossRef]
- Needham, T.; Lambrechts, H.; Hoffman, L.C. Extending the interval between second vaccination and slaughter: II. Changes in the reproductive capacity of immunocastrated ram lambs. Animal 2019, 13, 1962–1971. [Google Scholar] [CrossRef]
- Needham, T.; Lambrechts, H.; Hoffman, L. Influence of immunocastration vaccine administration interval on serum androgen concentrations and testis activity in ram lambs. Small Rumin. Res. 2018, 170, 82–90. [Google Scholar] [CrossRef]
- Bartos, L.; Bubenik, G.A.; Kuzmova, E. Endocrine relationships between rank-related behaviour and antler growth in deer. FBE 2012, 4, 1111–1126. [Google Scholar] [CrossRef]
- Maintaining Year-Round Production of Quality Venison, The Use of Immunocastration Vaccines to Control “Rutting Behaviour”. Available online: https://agrifutures.com.au/product/maintaining-year-round-production-of-quality-venison/ (accessed on 13 March 2023).
- Malo, A.F.; Roldan, E.R.; Garde, J.J.; Soler, A.J.; Vicente, J.; Gortazar, C.; Gomendi, M. What does testosterone do for red deer males? Proc. R. Soc. B. 2009, 276, 971–980. [Google Scholar] [CrossRef] [PubMed]
- Konjević, D.; Janicki, Z.; Slavica, A.; Severin, K.; Krapinec, K.; Želježić, D.; Božić, F. Monitoring cortisol metabolites in the faeces of captive fallow deer (Dama dama L.). Vet. Arh. 2016, 86, 363–371. [Google Scholar]
- Dryden, G.M. Quantitative nutrition of deer: Energy, protein and water. Anim. Prod. Sci. 2011, 51, 292–302. [Google Scholar] [CrossRef]
- Dryden, G.M. Nutrition of antler growth in deer. Anim. Prod. Sci. 2016, 56, 962–970. [Google Scholar] [CrossRef]
- Pang, A.L.Y.; Rennert, O.M. Protein acetylation and spermatogenesis. Reprod. Syst. Sex. Disord. 2013, S1, 5. [Google Scholar] [CrossRef]
- Menezo, Y.; Clement, P.; Clement, A.; Elder, K. Methylation: An ineluctable biochemical and physiological process essential to the transmission of life. Int. J. Mol. Sci. 2020, 21, 9311. [Google Scholar] [CrossRef]
- Agwaan, H.W.K. Effect of Coated Methionine and Lysine and Their Combination on Fertility of Awassi Male Sheep. Basrah J. Agric. Sci. 2023, 36, 201–213. [Google Scholar] [CrossRef]
- Dong, H.J.; Wu, D.; Xu, S.Y.; Li, Q.; Fang, Z.F.; Che, L.Q.; Wu, C.M.; Xu, X.Y.; Lin, Y. Effect of dietary supplementation with amino acids on boar sperm quality and fertility. Anim. Reprod. Sci. 2016, 172, 182–189. [Google Scholar] [CrossRef]
- Nizza, A.; Di Meo, C.; Taranto, S. Effect of lysine and methionine on libido and semen characteristics of bucks. World Rabbit. Sci. 2000, 8, 181–184. [Google Scholar] [CrossRef][Green Version]
- Alkhashab, A.; Al-Hassan, F.H.; Al-Dabagh, S.; Kasim, H.; Albaki, T. Effect of protected methionine supplementation on body weight, testicular parameters, semen characteristics and testosterone hormone of awassi ram lambs. Plant Arch. 2021, 21, 1238–1242. [Google Scholar] [CrossRef]
- Fennessy, P.F.; Suttie, J.M. Antler growth: Nutritional and endocrine factors. In Biology of Deer Production; Fennessy, P.F., Drew, K.R., Eds.; Royal Society of New Zealand: Wellington, New Zealand, 1985; Volume 22, pp. 239–250. [Google Scholar]


| Composition (g/kg DM) | Concentrate Mixture | Pasture |
|---|---|---|
| Crude protein | 18.56 | 12.28 |
| Crude fat | 3.58 | 1.04 |
| Crude fiber | 14.19 | 33.14 |
| Ash | 7.37 | 4.81 |
| Nitrogen-free compounds | 56.31 | 48.73 |
| Acid detergent fiber (ADF) | 13.24 | 35.61 |
| Neutral detergent fiber (NDF) | 35.55 | 69.72 |
| n | R2 | Nutrition | Castration | Nutrition x Castration | Body Weight | Internal Fat (%) | |
|---|---|---|---|---|---|---|---|
| COLOR | |||||||
| Wilk’s λ | 0.869 | 0.669 ** | 0.779 * | 0.911 | 0.983 | ||
| L* | 40 | 0.377 | ns | ** | ns | ns | ns |
| a* | 40 | 0.182 | * | ns | ns | ns | ns |
| b* | 40 | 0.040 | ns | ns | ns | ns | ns |
| MORPHOMETRY | |||||||
| Wilk’s λ | 0.548 *** | 0.360 *** | 0.845 | 0.446 *** | 0.713 * | ||
| Testes weight (g) | 39 | 0.601 | * | * | ns | *** | ns |
| ST circumference (µm) | 39 | 0.507 | ** | ** | * | ** | * |
| ST thickness (µm) | 39 | 0.597 | ** | * | ns | ** | *** |
| SPERM QUALITY | |||||||
| Wilk’s λ | 0.800 | 0.675 ** | 0.741 * | 0.475 *** | 0.819 | ||
| Sperm concentration (cells/g) | 37 | 0.561 | ns | ns | ns | *** | ns |
| Live sperm (%) | 37 | 0.453 | * | ** | ns | ns | * |
| Normal-morphology sperm (%) | 37 | 0.274 | ns | * | * | ns | ns |
| Nutrition | Castration Status | Nutrition x Castration Status | ||||||
|---|---|---|---|---|---|---|---|---|
| AA | Control | E | IC | E-AA | E-Control | IC-AA | IC-Control | |
| L* | 62.6 ± 0.34 | 63.5 ± 0.34 | 62.4 ± 0.34 | 64.0 ± 0.34 | 62.3 ± 0.48 | 62.5 ± 0.49 | 63.0 ± 0.48 | 64.6 ± 0.48 |
| a* | 3.9 ± 0.14 | 3.5 ± 0.14 | 3.8 ± 0.14 | 3.7 ± 0.14 | 4.00 ± 0.20 | 3.6 ± 0.20 | 3.9 ± 0.20 | 3.5 ± 0.20 |
| b* | 12.7 ± 0.16 | 12.7 ± 0.16 | 12.6 ± 0.16 | 12.7 ± 0.16 | 12.6 ± 0.22 | 12.7 ± 0.22 | 12.8 ± 0.22 | 12.7 ± 0.22 |
| ST circumference (µm) | 490.7 ± 5.01 | 468.1 ± 5.14 | 489.7 ± 4.93 | 469.0 ± 5.07 | 493.8 a ± 7.04 | 485.7 a ± 7.14 | 487.6 a ± 7.00 | 450.5 b ± 7.38 |
| ST epithelium thickness (µm) | 39.4 ± 0.67 | 36.3 ± 0.69 | 40.3 ± 0.66 | 35.5 ± 0.68 | 41.5 ± 0.94 | 39.1 ± 0.96 | 37.4 ± 0.94 | 33.6 ± 0.99 |
| Testes weight (g) | 31.9 ± 1.07 | 35.1 ± 1.10 | 31.6 ± 1.05 | 35.3 ± 1.08 | 30.4 ± 1.50 | 32.9 ± 1.52 | 33.4 ± 1.49 | 37.2 ± 1.57 |
| Sperm concentration (cells/g) # | 3.9 ± 0.44 × 108 | 5.7 ± 0.72 × 108 | 4.9 ± 0.66 × 108 | 4.7 ± 0.58 × 108 | 4.2 ± 0.70 × 108 | 5.7 ± 1.13 × 108 | 3.7 ± 0.56 × 108 | 5.8 ± 0.96 × 108 |
| Live sperm (%) # | 21.7 ± 2.80 | 9.5 ± 1.12 | 22.9 ± 2.82 | 9.0 ± 0.84 | 32.9 ± 2.03 | 11.7 ± 1.68 | 10.5 ± 1.07 | 7.3 ± 1.14 |
| Normal-morphology sperm (%) | 51.4 ± 0.86 | 47.6 ± 3.41 | 55.4 ± 1.53 | 43.7 ± 2.33 | 50.2 b ± 1.34 | 61.2 a ± 0.99 | 52.5 b ± 1.03 | 33.9 c + 1.68 |
| L* | a* | b* | ST Circumference (µm) | ST Epithelium Thickness (µm) | Testes Weight (g) | Sperm Concentration (Sperm/g) | |
|---|---|---|---|---|---|---|---|
| L* | −0.598 *** | 0.374 * | |||||
| b* | ns | ||||||
| ST circumference (µm) | −0.424 ** | 0.312 * | ns | ||||
| ST epithelium thickness (µm) | −0.398 ** | 0.337 * | ns | 0.814 *** | |||
| Testes weight (g) | ns | ns | ns | 0.331 * | ns | ||
| Sperm concentration (cells/g) | ns | ns | ns | 0.322 * | ns | 0.637 *** | |
| Live sperm (%) | ns | ns | ns | ns | ns | ns | ns |
| Normal-morphology sperm (%) | ns | ns | −0.315 * | ns | ns | ns | ns |
| Testes Weight (g) | Sperm Concentration (Sperm/g) | ST Circumference (µm) | ST Epithelium Thickness (µm) | L* | a* | |
|---|---|---|---|---|---|---|
| Withers height (cm) | 0.358 * | 0.400 ** | ns | ns | −0.338 * | ns |
| Body length (cm) | 0.494 *** | 0.455 ** | ns | ns | ns | ns |
| Heel length (cm) | 0.523 *** | 0.405 ** | ns | ns | ns | ns |
| Neck circumference (cm) | 0.304 * | ns | 0.308 * | ns | ns | ns |
| Chest circumference (cm) | 0.656 *** | 0.423 ** | ns | ns | −0.461 ** | ns |
| Leg circumference (cm) | ns | ns | ns | ns | ns | ns |
| Carcass weight (kg) | 0.663 *** | 0.698 *** | ns | ns | ns | ns |
| Dressing percentage (%) | 0.357 * | ns | ns | ns | ns | ns |
| Kidney fat (%) | ns | ns | ns | ns | ns | ns |
| Heart fat (%) | ns | ns | −0.313 * | −0.511 *** | ns | ns |
| Stomach fat (%) | ns | ns | ns | ns | ns | ns |
| Antler length (cm) | ns | 0.409 * | 0.503 ** | ns | −0.429 ** | 0.400 * |
| Antler weight (g) | 0.390 * | 0.390 * | 0.577 *** | 0.403 * | −0.571 *** | 0.402 * |
Disclaimer/Publisher’s Note: The statements, opinions and data contained in all publications are solely those of the individual author(s) and contributor(s) and not of MDPI and/or the editor(s). MDPI and/or the editor(s) disclaim responsibility for any injury to people or property resulting from any ideas, methods, instructions or products referred to in the content. |
© 2023 by the authors. Licensee MDPI, Basel, Switzerland. This article is an open access article distributed under the terms and conditions of the Creative Commons Attribution (CC BY) license (https://creativecommons.org/licenses/by/4.0/).
Share and Cite
Chitambala, T.; Ny, V.; Ceacero, F.; Bartoň, L.; Bureš, D.; Kotrba, R.; Needham, T. Effects of Immunocastration and Amino Acid Supplementation on Yearling Fallow Deer (Dama dama) Testes Development. Animals 2024, 14, 115. https://doi.org/10.3390/ani14010115
Chitambala T, Ny V, Ceacero F, Bartoň L, Bureš D, Kotrba R, Needham T. Effects of Immunocastration and Amino Acid Supplementation on Yearling Fallow Deer (Dama dama) Testes Development. Animals. 2024; 14(1):115. https://doi.org/10.3390/ani14010115
Chicago/Turabian StyleChitambala, Thoniso, Veit Ny, Francisco Ceacero, Luděk Bartoň, Daniel Bureš, Radim Kotrba, and Tersia Needham. 2024. "Effects of Immunocastration and Amino Acid Supplementation on Yearling Fallow Deer (Dama dama) Testes Development" Animals 14, no. 1: 115. https://doi.org/10.3390/ani14010115
APA StyleChitambala, T., Ny, V., Ceacero, F., Bartoň, L., Bureš, D., Kotrba, R., & Needham, T. (2024). Effects of Immunocastration and Amino Acid Supplementation on Yearling Fallow Deer (Dama dama) Testes Development. Animals, 14(1), 115. https://doi.org/10.3390/ani14010115

