Yak-Derived CXCL14 Activates the Pro-Inflammatory Response of Macrophages and Inhibits the Proliferation and Migration of HepG2
Abstract
:Simple Summary
Abstract
1. Introduction
2. Materials and Method
2.1. Materials
2.2. Cell Isolation and Culture
2.3. RNA Isolation and qRT-PCR Analysis
2.4. Bioinformatics Analysis
2.5. Plasmid Construction, Expression, and Purification of CXCL14
2.6. Detection of Recombinant Protein Virulence
2.7. Cell Activity
2.8. Cell Clonality and Migration
2.9. Statistical Analysis
3. Result
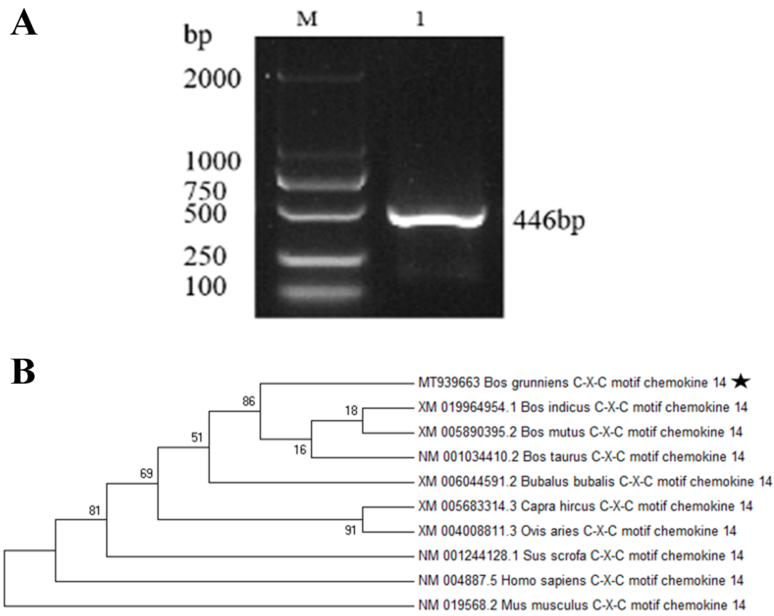
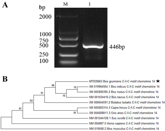
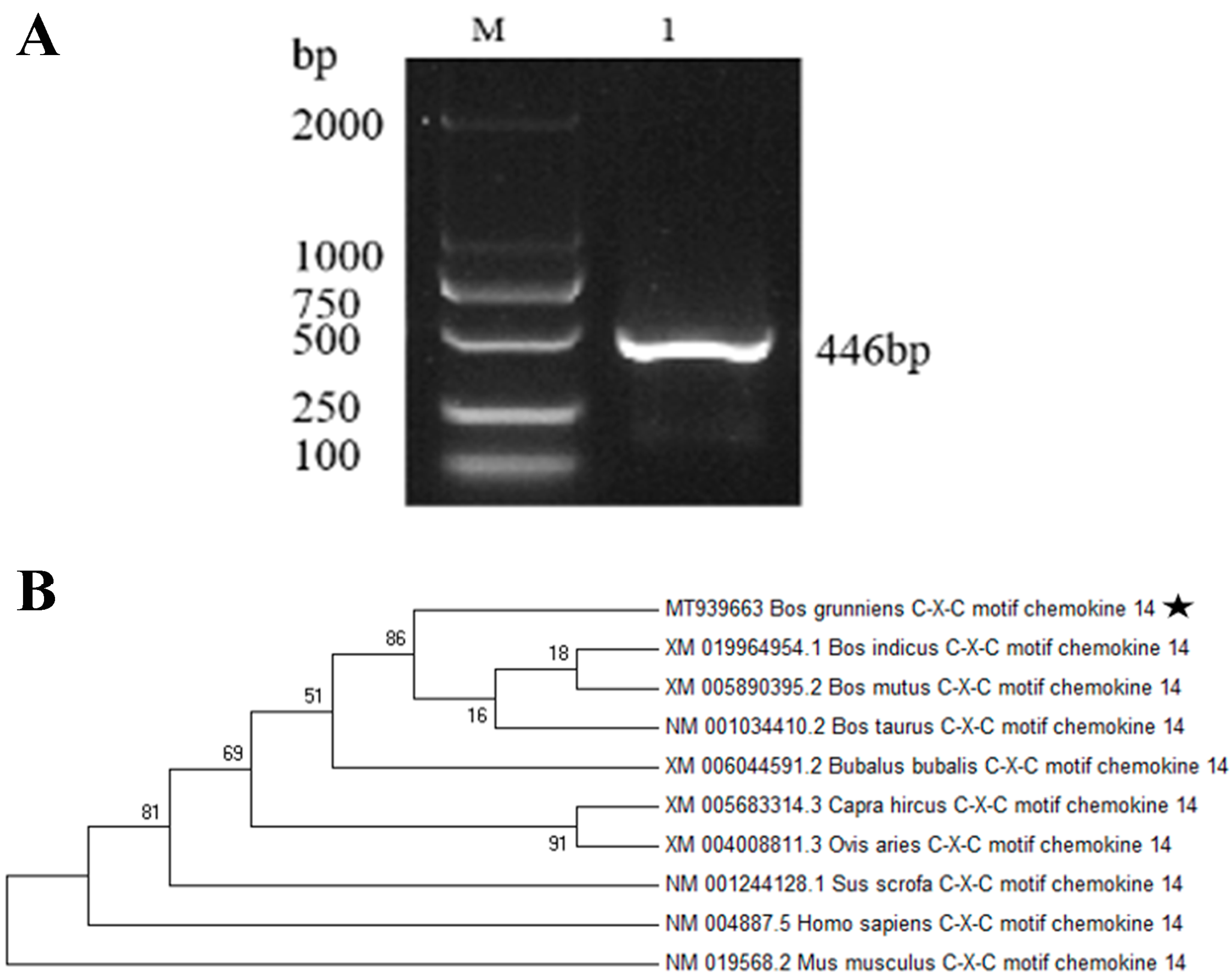
3.1. Cloning and Bioinformatics Analysis of Yak CXCL14
3.2. Prokaryotic Expression and Identification of Yak CXCL14 Protein
3.3. Effects of CXCL14 Protein on Macrophages under Different Concentrations
3.4. Effect of CXCL14 Protein on the Activity, Cloning and Migration of HepG2 Cells
4. Discussion
5. Conclusions
Author Contributions
Funding
Institutional Review Board Statement
Informed Consent Statement
Data Availability Statement
Conflicts of Interest
References
- Locati, M.; Curtale, G.; Mantovani, A. Diversity, Mechanisms, and Significance of Macrophage Plasticity. Annu. Rev. Pathol. 2020, 15, 123–147. [Google Scholar] [CrossRef] [PubMed]
- Kouzeli, A.; Collins, P.J.; Metzemaekers, M.; Meyrath, M.; Szpakowska, M.; Artinger, M.; Struyf, S.; Proost, P.; Chevigne, A.; Legler, D.F.; et al. CXCL14 Preferentially Synergizes With Homeostatic Chemokine Receptor Systems. Front. Immunol. 2020, 11, 561404. [Google Scholar] [CrossRef] [PubMed]
- Westrich, J.A.; Vermeer, D.W. The multifarious roles of the chemokine CXCL14 in cancer progression and immune responses. Mol. Carcinog. 2020, 59, 794–806. [Google Scholar] [CrossRef] [PubMed]
- Gowhari Shabgah, A.; Haleem Al-Qaim, Z.; Markov, A.; Valerievich Yumashev, A.; Ezzatifar, F.; Ahmadi, M.; Mohammad Gheibihayat, S.; Gholizadeh Navashenaq, J. Chemokine CXCL14: A double-edged sword in cancer development. Int. Immunopharmacol. 2021, 97, 107681. [Google Scholar] [CrossRef]
- Lu, J.; Chatterjee, M.; Schmid, H.; Beck, S.; Gawaz, M. CXCL14 as an emerging immune and inflammatory modulator. J. Inflamm. 2016, 13, 1. [Google Scholar] [CrossRef]
- Lai, X.; Ding, H.; Yu, R.; Bai, H.; Liu, Y.; Cao, J. CXCL14 Protects against Polymicrobial Sepsis by Enhancing Antibacterial Functions of Macrophages. Am. J. Respir. Cell Mol. Biol. 2022, 67, 589–601. [Google Scholar] [CrossRef] [PubMed]
- Li, B.; Zhang, L.; Wang, L.; Wei, Y.; Guan, J.; Mei, Q.; Hao, N. Antimicrobial activity of yak beta-defensin 116 against Staphylococcus aureus and its role in gut homeostasis. Int. J. Biol. Macromol. 2023, 253, 126761. [Google Scholar] [CrossRef]
- Cereijo, R.; Gavaldà-Navarro, A.; Cairó, M.; Quesada-López, T.; Villarroya, J.; Morón-Ros, S.; Sánchez-Infantes, D.; Peyrou, M.; Iglesias, R.; Mampel, T.; et al. CXCL14, a Brown Adipokine that Mediates Brown-Fat-to-Macrophage Communication in Thermogenic Adaptation. Cell Metab. 2018, 28, 750–763.e756. [Google Scholar] [CrossRef]
- Ayalew, W.; Chu, M.; Liang, C.; Wu, X.; Yan, P. Adaptation Mechanisms of Yak (Bos grunniens) to High-Altitude Environmental Stress. Animals 2021, 11, 2344. [Google Scholar] [CrossRef]
- Mei, Q.; Zheng, R.; Li, J.; Ma, X.; Wang, L.; Wei, Y.; Luo, X.; Guan, J.; Zhang, X. Transcriptomic analysis reveals differentially expressed genes and key immune pathways in the spleen of the yak (Bos grunniens) at different growth stage. Gene 2023, 884, 147743. [Google Scholar] [CrossRef]
- Livak, K.J.; Schmittgen, T.D. Analysis of relative gene expression data using real-time quantitative PCR and the 2(-Delta Delta C(T)) Method. Methods 2001, 25, 402–408. [Google Scholar] [CrossRef]
- Kurth, I.; Willimann, K.; Schaerli, P.; Hunziker, T.; Clark-Lewis, I.; Moser, B. Monocyte selectivity and tissue localization suggests a role for breast and kidney-expressed chemokine (BRAK) in macrophage development. J. Exp. Med. 2001, 194, 855–861. [Google Scholar] [CrossRef] [PubMed]
- Sun, L.; Kees, T.; Almeida, A.S.; Liu, B.; He, X.Y.; Ng, D.; Han, X.; Spector, D.L.; McNeish, I.A.; Gimotty, P.; et al. Activating a collaborative innate-adaptive immune response to control metastasis. Cancer Cell 2021, 39, 1361–1374.e1369. [Google Scholar] [CrossRef] [PubMed]
- Xia, Y.; Rao, L.; Yao, H.; Wang, Z.; Ning, P.; Chen, X. Engineering Macrophages for Cancer Immunotherapy and Drug Delivery. Adv. Mater. 2020, 32, e2002054. [Google Scholar] [CrossRef] [PubMed]
- Boutilier, A.J.; Elsawa, S.F. Macrophage Polarization States in the Tumor Microenvironment. Int. J. Mol. Sci. 2021, 22, 6995. [Google Scholar] [CrossRef] [PubMed]
- Xu, K.; Zhang, W.; Wang, C.; Hu, L.; Wang, R.; Wang, C.; Tang, L.; Zhou, G.; Zou, B.; Xie, H.; et al. Integrative analyses of scRNA-seq and scATAC-seq reveal CXCL14 as a key regulator of lymph node metastasis in breast cancer. Hum. Mol. Genet. 2021, 30, 370–380. [Google Scholar] [CrossRef]
- Gibbs, C.; So, J.Y. CXCL14 Attenuates Triple-Negative Breast Cancer Progression by Regulating Immune Profiles of the Tumor Microenvironment in a T Cell-Dependent Manner. Int. J. Mol. Sci. 2022, 23, 9314. [Google Scholar] [CrossRef]
- Liu, Y.; Chang, Q.; Wu, X.; Yu, Y.; Zhang, H. Effect of chemokine CXCL14 on in vitro angiogenesis of human hepatocellular carcinoma cells. Arch. Physiol. Biochem. 2022, 128, 1316–1322. [Google Scholar] [CrossRef]
- Bi, J.; Liu, Q.; Sun, Y.; Hu, X.; He, X.; Xu, C. CXCL14 inhibits the growth and promotes apoptosis of hepatocellular carcinoma cells via suppressing Akt/mTOR pathway. J. Recept. Signal Transduct. Res. 2021, 41, 593–603. [Google Scholar] [CrossRef]
- Tian, P.F.; Ma, Y.C.; Yue, D.S.; Liang, F.; Li, C.G.; Chen, C.; Zhang, H.; Sun, X.Y.; Huang, W.H.; Zhang, Z.F.; et al. Plasma CXCL14 as a Candidate Biomarker for the Diagnosis of Lung Cancer. Front. Oncol. 2022, 12, 833866. [Google Scholar] [CrossRef]
- Chang, T.M.; Chiang, Y.C.; Lee, C.W.; Lin, C.M.; Fang, M.L.; Chi, M.C.; Liu, J.F.; Kou, Y.R. CXCL14 promotes metastasis of non-small cell lung cancer through ACKR2-depended signaling pathway. Int. J. Biol. Sci. 2023, 19, 1455–1470. [Google Scholar] [CrossRef] [PubMed]
- Tian, H.Y.; Liang, Q.; Shi, Z.; Zhao, H. Exosomal CXCL14 Contributes to M2 Macrophage Polarization through NF-κB Signaling in Prostate Cancer. Oxid. Med. Cell Longev. 2022, 2022, 7616696. [Google Scholar] [CrossRef] [PubMed]
- Cicchini, L.; Westrich, J.A.; Xu, T.; Vermeer, D.W.; Berger, J.N.; Clambey, E.T.; Lee, D.; Song, J.I.; Lambert, P.F.; Greer, R.O.; et al. Suppression of Antitumor Immune Responses by Human Papillomavirus through Epigenetic Downregulation of CXCL14. ASM J. 2016, 7. [Google Scholar] [CrossRef] [PubMed]
- Lin, Y.; Chen, B.M.; Yu, X.L.; Yi, H.C.; Niu, J.J.; Li, S.L. Suppressed Expression of CXCL14 in Hepatocellular Carcinoma Tissues and Its Reduction in the Advanced Stage of Chronic HBV Infection. Cancer Manag. Res. 2019, 11, 10435–10443. [Google Scholar] [CrossRef] [PubMed]
- Xu, J.; Zhang, Y.; Huang, Y.; Dong, X.; Xiang, Z.; Zou, J.; Wu, L.; Lu, W. circEYA1 Functions as a Sponge of miR-582-3p to Suppress Cervical Adenocarcinoma Tumorigenesis via Upregulating CXCL14. Mol. Ther. Nucleic Acids 2020, 22, 1176–1190. [Google Scholar] [CrossRef]
- Guo, J.; Chang, C.; Yang, L.Y.; Cai, H.Q.; Chen, D.X.; Zhang, Y.; Cai, Y.; Wang, J.J.; Wei, W.Q.; Hao, J.J.; et al. Dysregulation of CXCL14 promotes malignant phenotypes of esophageal squamous carcinoma cells via regulating SRC and EGFR sig-naling. Biochem. Biophys. Res. Commun. 2022, 609, 75–83. [Google Scholar] [CrossRef]
- Wang, C.; Zhao, N.; Sato, F.; Tanimoto, K.; Okada, H.; Liu, Y.; Bhawal, U.K. The roles of Y-box-binding protein (YB)-1 and C-X-C motif chemokine ligand 14 (CXCL14) in the progression of prostate cancer via extracellular-signal-regulated kinase (ERK) signaling. Bioengineered 2021, 12, 9128–9139. [Google Scholar] [CrossRef]
- Cao, J.W.; Cui, W.F.; Zhu, H.J. The negative feedback loop FAM129A/CXCL14 aggravates the progression of esopha-geal cancer. Eur. Rev. Med. Pharmacol. Sci. 2022, 26, 4220–4227. [Google Scholar]
- Xu, J.; Liu, F.; Xia, Z.; He, K. MiR-3188 regulates the proliferation and apoptosis of hepatocellular carcinoma cells by targeting CXCL14. Biomark. Med. 2021, 15, 1611–1621. [Google Scholar] [CrossRef]
- Pelicano, H.; Lu, W.; Zhou, Y.; Zhang, W.; Chen, Z.; Hu, Y.; Huang, P. Mitochondrial dysfunction and reactive oxygen species imbalance promote breast cancer cell motility through a CXCL14-mediated mechanism. Cancer Res. 2009, 69, 2375–2383. [Google Scholar] [CrossRef]
- Wang, W.; Huang, P.; Zhang, L.; Wei, J.; Xie, Q.; Sun, Q.; Zhou, X.; Xie, H.; Zhou, L.; Zheng, S. Antitumor efficacy of C-X-C motif chemokine ligand 14 in hepatocellular carcinoma in vitro and in vivo. Cancer Sci. 2013, 104, 1523–1531. [Google Scholar] [CrossRef] [PubMed]





| Gene | Primer Sequence (5′−3′) | Tm/°C |
|---|---|---|
| IL-1β | F: TCACAGCAGCACATCAACAA R: TGTCCTCATCCTGGA AGGT | 59 |
| IL6 | F: ACA ACCACGGCCTTCCCTACTT R: CACGATTTCCCAGAGAACATGTG | 60 |
| IL10 | F: ACCCACTTCCCAGTCGGC R: CGGTTAGCAGTATGTTGTCCA | 60 |
| TNF-a | F: AAG CCTGTAGCCCACGTCGTA R: GGCACCACTAGTTGGTTGTCTTTG | 60 |
| BAK | F: CAGGCAGGAGTGCGGAGA R: GCGTCGGTTGATGTCGTC | 53 |
| HIF1A | F: ATGATACCAACAGTAACCAACC R: TCATAAATTGAGCGGCCTA | 60 |
| CDK1 | F: GGGTCAGCTCGCTACTCAAC R: AAGTTTTTGACGTGGGATGC | 60 |
| BAX | F: ACGGCAACTTCAACTGGG R: GGGGTGAGGAGGCTTG | 53 |
| mTOR | F: CTTAGAGGACAGCGGGGAAG R: TCCAAGCATCTTGCCCTGAG | 60.0 |
Disclaimer/Publisher’s Note: The statements, opinions and data contained in all publications are solely those of the individual author(s) and contributor(s) and not of MDPI and/or the editor(s). MDPI and/or the editor(s) disclaim responsibility for any injury to people or property resulting from any ideas, methods, instructions or products referred to in the content. |
© 2023 by the authors. Licensee MDPI, Basel, Switzerland. This article is an open access article distributed under the terms and conditions of the Creative Commons Attribution (CC BY) license (https://creativecommons.org/licenses/by/4.0/).
Share and Cite
Li, B.; Li, J.; Wang, L.; Wei, Y.; Luo, X.; Guan, J.; Zhang, X. Yak-Derived CXCL14 Activates the Pro-Inflammatory Response of Macrophages and Inhibits the Proliferation and Migration of HepG2. Animals 2023, 13, 3036. https://doi.org/10.3390/ani13193036
Li B, Li J, Wang L, Wei Y, Luo X, Guan J, Zhang X. Yak-Derived CXCL14 Activates the Pro-Inflammatory Response of Macrophages and Inhibits the Proliferation and Migration of HepG2. Animals. 2023; 13(19):3036. https://doi.org/10.3390/ani13193036
Chicago/Turabian StyleLi, Biao, Juan Li, Li Wang, Yong Wei, Xiaolin Luo, Jiuqiang Guan, and Xiangfei Zhang. 2023. "Yak-Derived CXCL14 Activates the Pro-Inflammatory Response of Macrophages and Inhibits the Proliferation and Migration of HepG2" Animals 13, no. 19: 3036. https://doi.org/10.3390/ani13193036
APA StyleLi, B., Li, J., Wang, L., Wei, Y., Luo, X., Guan, J., & Zhang, X. (2023). Yak-Derived CXCL14 Activates the Pro-Inflammatory Response of Macrophages and Inhibits the Proliferation and Migration of HepG2. Animals, 13(19), 3036. https://doi.org/10.3390/ani13193036

