First Report on Ovine Paratuberculosis in the Sudan: Diagnosis Using Different Techniques
Abstract
Simple Summary
Abstract
1. Introduction
2. Materials and Methods
2.1. Animals
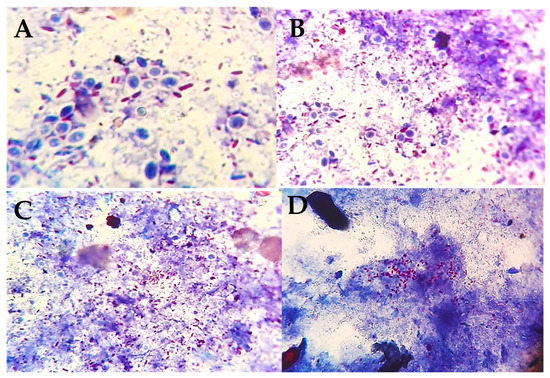
2.2. Microscopic Examination
2.3. Enzyme-Linked Immunosorbent Assay (ELISA)
2.4. DNA Extraction
2.5. Recombinase Polymerase Amplification (RPA)
2.6. Real-Time Polymerase Chain Reaction (Real-Time PCR)
2.7. Cultures of Faecal Samples
3. Results and Discussion
4. Conclusions
Author Contributions
Funding
Institutional Review Board Statement
Acknowledgments
Conflicts of Interest
References
- Adriana, G.M.-C.; Marco, A.S.-F.; Dionicio, C.-L.; Claudia, C.G.-R. Detection of Mycobacterium avium subspecies paratuberculosis excretion in bovine feces, using quantitative real time polymerase chain reaction (Q-PCR). J. Vet. Med. Anim. Health 2017, 9, 273–279. [Google Scholar] [CrossRef]
 - Curlik, J.; Lazar, P.; Iglodyova, A.; Barbusinova, E.; Smiga, L.; Novotny, J.; Mojzisova, J.; Ondrejkova, A.; Hromada, R.; Konjevic, D.; et al. Detection of Mycobacterium avium subsp. paratuberculosis in Slovakian wildlife. Pol. J. Vet. Sci. 2020, 23, 529–535. [Google Scholar] [CrossRef] [PubMed]
 - Stanitznig, A.; Khol, J.L.; Lambacher, B.; Franz, S.; Wittek, T.; Kralik, P.; Slana, I.; Vasickova, P. Prevalence of Mycobacterium avium subspecies paratuberculosis and hepatitis E in New World camelids in Austria. Vet. Rec. 2017, 181, 46. [Google Scholar] [CrossRef]
 - Derakhshandeh, A.; Namazi, F.; Khatamsaz, E.; Eraghi, V.; Hemati, Z. Goat paratuberculosis in Shiraz: Histopathological and molecular approaches. Vet. Res. Forum 2018, 9, 253–257. [Google Scholar] [CrossRef]
 - Rasmussen, P.; Barkema, H.W.; Mason, S.; Beaulieu, E.; Hall, D.C. Economic losses due to Johne’s disease (paratuberculosis) in dairy cattle. J. Dairy Sci. 2021, 104, 3123–3143. [Google Scholar] [CrossRef]
 - Rieger, A.; Meylan, M.; Hauser, C.; Knubben-Schweizer, G. Meta-analysis to estimate the economic losses caused by reduced milk yield and reproductive performance associated with bovine paratuberculosis in Switzerland. Schweiz. Arch. Tierheilkd. 2021, 164, 737–751. [Google Scholar] [CrossRef] [PubMed]
 - Bharathy, S.; Gunaseelan, L.; Porteen, K. Exploring the potential hazard of Mycobacterium avium subspecies paratuberculosis as a cause for Crohn’s disease. Vet. World 2017, 10, 457–460. [Google Scholar] [CrossRef]
 - Roda, G.; Chien Ng, S.; Kotze, P.G.; Argollo, M.; Panaccione, R.; Spinelli, A.; Kaser, A.; Peyrin-Biroulet, L.; Danese, S. Crohn’s disease. Nat. Rev. Dis. Prim. 2020, 6, 22. [Google Scholar] [CrossRef]
 - Lombard, J.E. Epidemiology and economics of paratuberculosis. Vet. Clin. N. Am. Food Anim. Pract. 2011, 27, 525–535. [Google Scholar] [CrossRef]
 - Park, H.T.; Park, H.E.; Cho, Y.I.; Kim, E.H.; Jung, M.; Shin, S.W.; Lee, S.H.; Kim, D.Y.; Yoo, H.S. Potential biomarkers as an indicator of vertical transmission of Johne’s disease in a Korean native cattle farm. J. Vet. Sci. 2017, 18, 343–349. [Google Scholar] [CrossRef]
 - Abubaker, A.M.; El Sanousi, S.M. A survey of Johne’s disease in Khartoum. Vet. Rec. 1975, 18, 94–95. [Google Scholar]
 - Chaudhary, A.Q.; Fawi, M.T.; Obeid, H.M. Johne’s disease in goats in the Sudan. Vet. Rec. 1964, 76, 246–247. [Google Scholar]
 - Fawi, M.T.; Obied, H.M. A note on Jone’s disease among cattle in Sudan. Bull. Epizoot. Dis. Afr. 1964, 12, 437. [Google Scholar]
 - Abbas, B.; Idris, S.E.O.; Burhan, A. Isolation of M. paratuberculosis from goats in Sudan. Sudan J. Vet. Sci. Anim. Husb. 1986, 25, 41–42. [Google Scholar]
 - Idris, S.M.; Eltom, K.H.; Okuni, J.B.; Ojok, L.; Elmagzoub, W.A.; El Wahed, A.A.; Eltayeb, E.; Gameel, A.A. Paratuberculosis: The Hidden Killer of Small Ruminants. Animals 2021, 12, 12. [Google Scholar] [CrossRef]
 - Elmagzoub, W.A.; Adam, N.M.; Idris, S.M.; Mukhtar, M.E.; Abdelaziz, S.A.; Okuni, J.B.; Ojok, L.; Abd El Wahed, A.; Eltayeb, E.; Gameel, A.A.; et al. Seroprevalence of Mycobacterium avium subsp. paratuberculosis in Dairy Cattle in Khartoum State, Sudan. Vet. Sci. 2020, 7, 209. [Google Scholar] [CrossRef]
 - Mohammed, K.B.; El-Eragi, A.M.S.; Zakia, A.M. Seroprevalence of Bovine Paratuberculosis Specific Antibodies in Khartoum and Al-Jazeera States, Sudan. J. Anim. Vet. Adv. 2010, 9, 2098–2101. [Google Scholar] [CrossRef]
 - Ministry of Animal Resources. Livestock Population Estimates, Reports Directorate General for Planning and Animal Resources Economics; Ministry of Animal Resources: Khartoum, Sudan, 2021.
 - Wilson, R.T. Livestock in the Republic of the Sudan: Policies, production, problems and possibilities. Anim. Husb. Dairy Vet. Sci. 2018, 2, 1–12. [Google Scholar] [CrossRef]
 - Hansen, S.; Schafer, J.; Fechner, K.; Czerny, C.P.; Abd El Wahed, A. Development of a Recombinase Polymerase Amplification Assay for Rapid Detection of the Mycobacterium avium subsp. paratuberculosis. PLoS ONE 2016, 11, e0168733. [Google Scholar] [CrossRef]
 - Abd El Wahed, A.; Patel, P.; Faye, O.; Thaloengsok, S.; Heidenreich, D.; Matangkasombut, P.; Manopwisedjaroen, K.; Sakuntabhai, A.; Sall, A.A.; Hufert, F.T.; et al. Recombinase Polymerase Amplification Assay for Rapid Diagnostics of Dengue Infection. PLoS ONE 2015, 10, e0129682. [Google Scholar] [CrossRef]
 - Begg, D.; Whittington, R. Paratuberculosis in sheep. In Paratuberculosis: Organism, Disease, Control; CABI: Wallingford, UK, 2020; pp. 160–173. [Google Scholar]
 - Okuni, J.B. Occurence of paratuberculosis in African countries: A review. J. Vet. Adv. 2013, 3, 1–8. [Google Scholar]
 - Okuni, J.B.; Hansen, S.; Eltom, K.H.; Eltayeb, E.; Amanzada, A.; Omega, J.A.; Czerny, C.P.; Abd El Wahed, A.; Ojok, L. Paratuberculosis: A Potential Zoonosis and a Neglected Disease in Africa. Microorganisms 2020, 8, 1007. [Google Scholar] [CrossRef] [PubMed]
 - Windsor, P.A. Paratuberculosis in sheep and goats. Vet. Microbiol. 2015, 181, 161–169. [Google Scholar] [CrossRef] [PubMed]
 - Chaubey, K.K.; Gupta, R.D.; Gupta, S.; Singh, S.V.; Bhatia, A.K.; Jayaraman, S.; Kumar, N.; Goel, A.; Rathore, A.S.; Sahzad; et al. Trends and advances in the diagnosis and control of paratuberculosis in domestic livestock. Vet. Q. 2016, 36, 203–227. [Google Scholar] [CrossRef]
 - Hope, A.F.; Kluver, P.F.; Jones, S.L.; Condron, R.J. Sensitivity and specificity of two serological tests for the detection of ovine paratuberculosis. Aust. Vet. J. 2000, 78, 850–856. [Google Scholar] [CrossRef]
 - Whittington, R.J.; Eamens, G.J.; Cousins, D.V. Specificity of absorbed ELISA and agar gel immuno-diffusion tests for paratuberculosis in goats with observations about use of these tests in infected goats. Aust. Vet. J. 2003, 81, 71–75. [Google Scholar] [CrossRef]
 - Nielsen, S.S.; Gröhn, Y.T.; Enevoldsen, C. Variation of the Milk Antibody Response to Paratuberculosis in Naturally Infected Dairy Cows. J. Dairy Sci. 2002, 85, 2795–2802. [Google Scholar] [CrossRef]
 - Nielsen, S.S.; Toft, N. Ante mortem diagnosis of paratuberculosis: A review of accuracies of ELISA, interferon-gamma assay and faecal culture techniques. Vet. Microbiol. 2008, 129, 217–235. [Google Scholar] [CrossRef]
 - Coelho, A.C.; Coelho, A.M.; GarcÍA-Diez, J.; Pires, M.A.; Pinto, M.L. Detection of Mycobacterium avium subsp. paratuberculosis by several diagnostics techniques in clinical suspected sheep. J. Hell. Vet. Med. Soc. 2018, 68, 167. [Google Scholar] [CrossRef][Green Version]
 - Pavlik, I. Parallel faecal and organ Mycobacterium avium subsp. paratuberculosis culture of different productivity types of cattle. Vet. Microbiol. 2000, 77, 309–324. [Google Scholar] [CrossRef]
 - Reddacliff, L.A.; Whittington, R.J. Experimental infection of weaner sheep with S strain Mycobacterium avium subsp. paratuberculosis. Vet. Microbiol. 2003, 96, 247–258. [Google Scholar] [CrossRef] [PubMed]
 - Elmagzoub, W.A.; Idris, S.M.; Isameldin, M.; Arabi, N.; Abdo, A.; Ibrahim, M.; Khan, M.A.A.; Tanneberger, F.; Bakhiet, S.M.; Okuni, J.B.; et al. Mycobacterium avium subsp. paratuberculosis and microbiome profile of patients in a referral gastrointestinal diseases centre in the Sudan. PLoS ONE 2022, 17, e0266533. [Google Scholar] [CrossRef] [PubMed]
 - Hosseiniporgham, S.; Cubeddu, T.; Rocca, S.; Sechi, L.A. Identification of Mycobacterium avium subsp. paratuberculosis (MAP) in Sheep Milk, a Zoonotic Problem. Microorganisms 2020, 8, 1264. [Google Scholar] [CrossRef] [PubMed]
 



| Acid Fast Bacilli | RPA Tested | ||
|---|---|---|---|
| Arrangement of Bacilli | Number | Number | Positive (%) | 
| Many scattered | 24 | 12 | 6 (50) | 
| Few scattered | 28 | 16 | 2 (12.5) | 
| Many clumps | 3 | 2 | 2 (100) | 
| Few clumps | 3 | 2 | 2 (100) | 
| Total | 58 | 32 | 12 | 
| Samples | Positive | ||
|---|---|---|---|
| N | % | ||
| ZN staining | 59 | 58 | 98.3 | 
| ELISA | 59 | 3 | 5.1 | 
| RPA | 32 | 12 | 37.5 | 
| Culture | 6 | 2 | 33.3 | 
Publisher’s Note: MDPI stays neutral with regard to jurisdictional claims in published maps and institutional affiliations.  | 
© 2022 by the authors. Licensee MDPI, Basel, Switzerland. This article is an open access article distributed under the terms and conditions of the Creative Commons Attribution (CC BY) license (https://creativecommons.org/licenses/by/4.0/).
Share and Cite
Idris, S.M.; Ali, E.A.; Elmagzoub, W.A.; Okuni, J.B.; Mukhtar, M.E.; Ojok, L.; Eltayeb, E.; Abd El Wahed, A.; Eltom, K.H.; Gameel, A.A. First Report on Ovine Paratuberculosis in the Sudan: Diagnosis Using Different Techniques. Animals 2022, 12, 3312. https://doi.org/10.3390/ani12233312
Idris SM, Ali EA, Elmagzoub WA, Okuni JB, Mukhtar ME, Ojok L, Eltayeb E, Abd El Wahed A, Eltom KH, Gameel AA. First Report on Ovine Paratuberculosis in the Sudan: Diagnosis Using Different Techniques. Animals. 2022; 12(23):3312. https://doi.org/10.3390/ani12233312
Chicago/Turabian StyleIdris, Sanaa M., Eva A. Ali, Wisal A. Elmagzoub, Julius B. Okuni, Mohamed E. Mukhtar, Lonzy Ojok, ElSagad Eltayeb, Ahmed Abd El Wahed, Kamal H. Eltom, and Ahmed A. Gameel. 2022. "First Report on Ovine Paratuberculosis in the Sudan: Diagnosis Using Different Techniques" Animals 12, no. 23: 3312. https://doi.org/10.3390/ani12233312
APA StyleIdris, S. M., Ali, E. A., Elmagzoub, W. A., Okuni, J. B., Mukhtar, M. E., Ojok, L., Eltayeb, E., Abd El Wahed, A., Eltom, K. H., & Gameel, A. A. (2022). First Report on Ovine Paratuberculosis in the Sudan: Diagnosis Using Different Techniques. Animals, 12(23), 3312. https://doi.org/10.3390/ani12233312
        
