Immunohistochemical Characterization of Immune System Cells in Lymphoid Organs from Roe and Fallow Deer
Simple Summary
Abstract
1. Introduction
2. Materials and Methods
3. Results
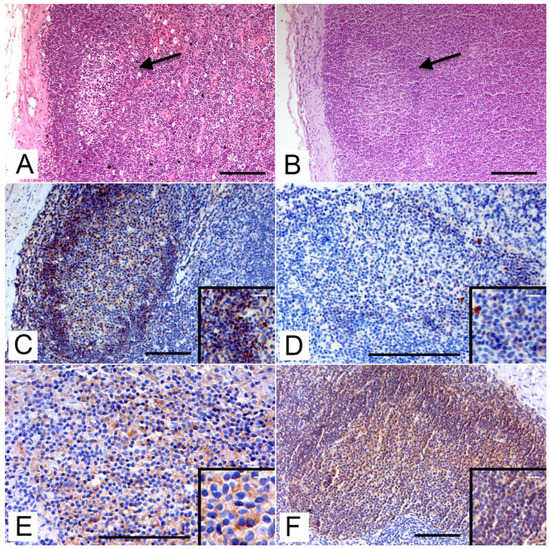
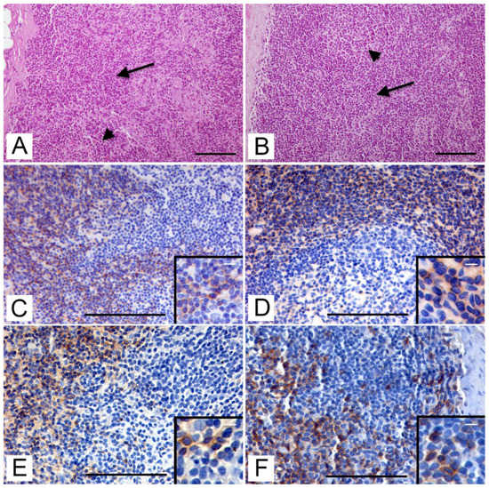
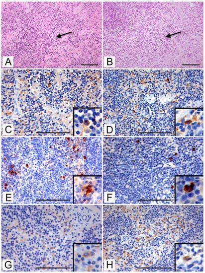
3.1. B-Cells
3.2. T-Cells
3.3. Macrophages
4. Discussion
5. Conclusions
Author Contributions
Funding
Institutional Review Board Statement
Informed Consent Statement
Data Availability Statement
Conflicts of Interest
References
- Carnevali, L.; Pedrotti, L.; Riga, F.; Toso, S. Banca Dati Ungulati. Status, Distribuzione, Consistenza, Gestione e Prelievo Venatorio delle Popolazioni di Ungulati in Italia; Rapporto/Report 2001–2005; ISPRA—Settore Editoria: Rome, Italy, 2009; Volume 117, pp. 1–168. [Google Scholar]
- Leder, D.; Hermann, R.; Hüls, M.; Russo, G.; Hoelzmann, P.; Nielbock, R.; Böhner, U.; Lehmann, J.; Meier, M.; Schwalb, A.; et al. A 51,000-year-old engraved bone reveals Neanderthals’ capacity for symbolic behaviour Nat. Ecol. Evol. 2021, 5, 1273–1282. [Google Scholar] [CrossRef]
- Sánchez, C.A.; Venkatachalam-Vaz, J.; Drake, J.M. Spillover of zoonotic pathogens: A review of reviews. Zoonoses Public Health 2021, 68, 563–577. [Google Scholar] [CrossRef] [PubMed]
- González-Barrio, D. Zoonoses and Wildlife: One Health Approach. Animals 2022, 12, 480. [Google Scholar] [CrossRef] [PubMed]
- Daszak, P.; Cunningham, A.A.; Hyatt, A.D. Emerging infectious diseases of wildlife--threats to biodiversity and human health. Science 2000, 287, 443–449. [Google Scholar] [CrossRef]
- Griffin, J.F.; Mackintosh, C.G. Tuberculosis in deer: Perceptions, problems and progress. Vet. J. 2000, 160, 202–219. [Google Scholar] [CrossRef]
- Balseiro, A.; García Marín, J.F.; Solano, P.; Garrido, J.M.; Prieto, J.M. Histopathological classification of lesions observed in natural cases of paratuberculosis in free-ranging fallow deer (Dama dama). J. Comp. Pathol. 2008, 138, 180–188. [Google Scholar] [CrossRef][Green Version]
- Clark, R.G.; Griffin, J.F.; Mackintosh, C.G. Johne’s disease caused by Mycobacterium avium subsp. paratuberculosis infection in red deer (Cervus elaphus): An histopathological grading system, and comparison of paucibacillary and multibacillary disease. N. Z. Vet. J. 2010, 58, 90–97. [Google Scholar] [CrossRef]
- Regenscheit, N.; Holzwarth, N.; Greub, G.; Aeby, S.; Pospischil, A.; Borel, N. Deer as a potential wildlife reservoir for Parachlamydia species. Vet. J. 2012, 193, 589–592. [Google Scholar] [CrossRef]
- Boadella, M. Hepatitis E in wild ungulates: A review. Small Rumin. Res. 2015, 128, 64–71. [Google Scholar] [CrossRef]
- Fonti, N.; Pacini, M.I.; Forzan, M.; Parisi, F.; Periccioli, M.; Mazzei, M.; Poli, A. Molecular and Pathological Detection of Hepatitis E Virus in Roe Deer (Capreolus capreolus) and Fallow Deer (Dama dama) in Central Italy. Vet. Sci. 2022, 9, 100. [Google Scholar] [CrossRef]
- Di Profio, F.; Sarchese, V.; Palombieri, A.; Fruci, P.; Lanave, G.; Robetto, S.; Martella, V.; Di Martino, B. Current Knowledge of Hepatitis E Virus (HEV) Epidemiology in Ruminants. Pathogens 2022, 11, 1124. [Google Scholar] [CrossRef]
- Marco, I.; Rosell, R.; Cabezón, O.; Mentaberre, G.; Casas, E.; Velarde, R.; Lavín, S. Border disease virus among chamois, Spain. Emerg. Infect. Dis. 2009, 15, 448–451. [Google Scholar] [CrossRef]
- Salvadori, C.; Finlayson, J.; Trogu, T.; Formenti, N.; Lanfranchi, P.; Citterio, C.; Palarea-Albaladejo, J.; Poli, A.; Chianini, F. Characterization of Immune System Cell Subsets in Fixed Tissues from Alpine Chamois (Rupicapra rupicapra). J. Comp. Pathol. 2016, 155, 207–212. [Google Scholar] [CrossRef]
- Martínez, I.Z.; Oleaga, Á.; Sojo, I.; García-Iglesias, M.J.; Pérez-Martínez, C.; García Marín, J.F.; Balseiro, A. Immunohistochemical Assessment of Immune Response in the Dermis of Sarcoptes scabiei—Infested Wild Carnivores (Wolf and Fox) and Ruminants (Chamois and Red Deer). Animals 2020, 10, 1146. [Google Scholar] [CrossRef]
- Kelly, T.R.; Karesh, W.B.; Johnson, C.K.; Gilardi, K.V.; Anthony, S.J.; Goldstein, T.; Olson, S.H.; Machalaba, C.; Mazet, J.A.; PREDICT Consortium. One Health proof of concept: Bringing a transdisciplinary approach to surveillance for zoonotic viruses at the human-wild animal interface. Prev. Vet. Med. 2017, 137, 112–118. [Google Scholar] [CrossRef]
- Bird, B.H.; Mazet, J.A.K. Detection of Emerging Zoonotic Pathogens: An Integrated One Health Approach. Annu. Rev. Anim. Biosci. 2018, 6, 121–139. [Google Scholar] [CrossRef]
- Kleinschmidt, S.; Peters, M.; Wohlsein, P. Presumptive primary central nervous system T cell lymphoma in a deer (Capreolus capreolus). Res. Vet. Sci. 2012, 93, 1334–1336. [Google Scholar] [CrossRef]
- Akaydın-Bozkurt, Y.; Karadağ-Sarı, E.; Kabak, M. Immunohistochemical study on roe deer haemal nodes. Folia Morphol. 2018, 77, 266–271. [Google Scholar] [CrossRef]
- Da Rold, G.; Obber, F.; Monne, I.; Milani, A.; Ravagnan, S.; Toniolo, F.; Sgubin, S.; Zamperin, G.; Foiani, G.; Vascellari, M.; et al. Clinical Tick-Borne Encephalitis in a Roe Deer (Capreolus capreolus L.). Viruses 2022, 14, 300. [Google Scholar] [CrossRef]
- García-Jiménez, W.L.; Fernández-Llario, P.; Gómez, L.; Benítez-Medina, J.M.; García-Sánchez, A.; Martínez, R.; Risco, D.; Gough, J.; Ortiz-Peláez, A.; Smith, N.H.; et al. Histological and immunohistochemical characterisation of Mycobacterium bovis induced granulomas in naturally infected fallow deer (Dama dama). Vet. Immunol. Immunopathol. 2012, 149, 66–75. [Google Scholar] [CrossRef]
- Suedmeyer, W.K.; Stockinger, B.G.; Garner, M.M.; Bradway, D.S.; Hollinger, C.; Kiupel, M. T-Cell Lymphocytic Leukemia in a Fallow Deer (Dama dama). J. Zoo Wildl. Med. 2015, 46, 580–582. [Google Scholar] [CrossRef] [PubMed]
- De Marinis, A.M.; Toso, S. Valutazione dell’età nei Cervidi Tramite Esame della Dentatura; Manuali e Linee guida n. 90/2013; ISPRA—Settore Editoria: Rome, Italy, 2015; pp. 1–57. [Google Scholar]
- Furukawa, S.; Nagaike, M.; Ozaki, K. Databases for technical aspects of immunohistochemistry. J. Toxicol. Pathol. 2017, 30, 79–107. [Google Scholar] [CrossRef] [PubMed]
- Komohara, Y.; Hirahara, J.; Horikawa, T.; Kawamura, K.; Kiyota, E.; Sakashita, N.; Araki, N.; Takeya, M. AM-3K, an anti-macrophage antibody, recognizes CD163, a molecule associated with an anti-inflammatory macrophage phenotype. J. Histochem. Cytochem. 2006, 54, 763–771. [Google Scholar] [CrossRef] [PubMed]
- Heinrich, F.; Jungwirth, N.; Carlson, R.; Tipold, A.; Böer, M.; Scheibe, T.; Molnár, V.; von Dörnberg, K.; Spitzbarth, I.; Puff, C.; et al. Immunophenotyping of immune cell populations in the raccoon (Procyon lotor). Vet. Immunol. Immunopathol. 2015, 168, 140–146. [Google Scholar] [CrossRef]
- Thorp, B.H.; Seneque, S.; Staute, K.; Kimpton, W.G. Characterization and distribution of lymphocyte subsets in sheep hemal nodes. Dev. Comp. Immunol. 1991, 15, 393–400. [Google Scholar] [CrossRef]
- Galeotti, M.; Sarli, G.; Eleni, C.; Marcato, P.S. Identification of cell types present in bovine haemolymph nodes and lymph nodes by immunostaining. Vet. Immunol. Immunopathol. 1993, 36, 319–331. [Google Scholar] [CrossRef]
- González, L.; Anderson, I.; Deane, D.; Summers, C.; Buxton, D. Detection of immune system cells in paraffin wax-embedded ovine tissues. J. Comp. Pathol. 2001, 125, 41–47. [Google Scholar] [CrossRef]
- Dagleish, M.P.; Finlayson, J.; Steele, P.J.; Pang, Y.; Hamilton, S.; Eaton, S.L.; Sales, J.; González, L.; Chianini, F. Immunophenotype of cells within cervine rectoanal mucosa-associated lymphoid tissue and mesenteric lymph nodes. J. Comp. Pathol. 2012, 146, 365–371. [Google Scholar] [CrossRef]
- Jones, M.; Cordell, J.L.; Beyers, A.D.; Tse, A.G.; Mason, D.Y. Detection of T and B cells in many animal species using cross-reactive anti-peptide antibodies. J. Immunol. 1993, 150, 5429–5435. [Google Scholar]
- Peña, L.; Garcia, P.; Jiménez, M.; Benito, A.; Pérez Alenza, M.; Sánchez, B. Histopathological and immunohistochemical findings in lymphoid tissues of the endangered Iberian lynx (Lynx pardinus). Comp. Immunol. Microbiol. Infect. Dis. 2006, 29, 114–126. [Google Scholar] [CrossRef]
- Howson, L.J.; Morris, K.M.; Kobayashi, T.; Tovar, C.; Kreiss, A.; Papenfuss, A.T.; Corcoran, L.; Belov, K.; Woods, G.M. Identification of dendritic cells, B cell and T cell subsets in Tasmanian devil lymphoid tissue; evidence for poor immune cell infiltration into devil facial tumors. Anat. Rec. 2014, 297, 925–938. [Google Scholar] [CrossRef]
- Old, J.M.; Deane, E.M. Immunohistochemistry of the lymphoid tissues of the tammar wallaby, Macropus eugenii. J. Anat. 2002, 201, 257–266. [Google Scholar] [CrossRef]
- Žele Vengušt, D.; Kuhar, U.; Jerina, K.; Vengušt, G. Twenty Years of Passive Disease Surveillance of Roe Deer (Capreolus capreolus) in Slovenia. Animals 2021, 11, 407. [Google Scholar] [CrossRef]
- Pewsner, M.; Origgi, F.C.; Frey, J.; Ryser-Degiorgis, M.P. Assessing Fifty Years of General Health Surveillance of Roe Deer in Switzerland: A Retrospective Analysis of Necropsy Reports. PLoS ONE 2017, 12, e0170338. [Google Scholar] [CrossRef]
- Engel, K.B.; Moore, H.M. Effects of preanalytical variables on the detection of proteins by immunohistochemistry in formalin-fixed, paraffin-embedded tissue. Arch. Pathol. Lab. Med. 2011, 135, 537–543. [Google Scholar] [CrossRef]
- Mori, H.; Soonsawad, P.; Schuetter, L.; Chen, Q.; Hubbard, N.E.; Cardiff, R.D.; Borowsky, A.D. Introduction of Zinc-salt Fixation for Effective Detection of Immune Cell-related Markers by Immunohistochemistry. Toxicol. Pathol. 2015, 43, 883–889. [Google Scholar] [CrossRef]
- Bednarska, M.; Bajer, A.; Sinski, E.; Girouard, A.S.; Tamang, L.; Graczyk, T.K. Fluorescent in situ hybridization as a tool to retrospectively identify Cryptosporidium parvum and Giardia lamblia in samples from terrestrial mammalian wildlife. Parasitol. Res. 2007, 100, 455–460. [Google Scholar] [CrossRef]
- Erdélyi, K.; Erdélyi, K.; Dencso, L.; Lehoczki, R.; Heltai, M.; Sonkoly, K.; Csányi, S.; Solymosi, N. Endemic papillomavirus infection of roe deer (Capreolus capreolus). Vet. Microbiol. 2009, 138, 20–26. [Google Scholar] [CrossRef]
- Kiupel, M.; Fitzgerald, S.D.; Pennick, K.E.; Cooley, T.M.; O’Brien, D.J.; Bolin, S.R.; Maes, R.K.; Del Piero, F.M. Distribution of eastern equine encephalomyelitis viral protein and nucleic acid within central nervous tissue lesions in white-tailed deer (Odocoileus virginianus). Vet. Pathol. 2013, 50, 1058–1062. [Google Scholar] [CrossRef]
- Ryser-Degiorgis, M.P. Wildlife health investigations: Needs, challenges and recommendations. BMC Vet. Res. 2013, 9, 223. [Google Scholar] [CrossRef]
- Gauthier, T.; Chen, W. Modulation of Macrophage Immunometabolism: A New Approach to Fight Infections. Front. Immunol. 2022, 13, 780839. [Google Scholar] [CrossRef] [PubMed]
- Pollard, J. Trophic macrophages in development and disease. Nat. Rev. Immunol. 2009, 9, 259–270. [Google Scholar] [CrossRef] [PubMed]
- Krane, G.A.; O’Dea, C.A.; Malarkey, D.E.; Miller, A.D.; Miller, C.R.; Tokarz, D.A.; Jensen, H.L.; Janardhan, K.S.; Shockley, K.R.; Flagler, N.; et al. Immunohistochemical evaluation of immune cell infiltration in canine gliomas. Vet. Pathol. 2021, 58, 952–963. [Google Scholar] [CrossRef] [PubMed]



| Cell Marker | Cell Target | Clone | Species | Dilution | Source |
|---|---|---|---|---|---|
| B lymphocytes | CD79a | HM57 | mouse mAb | 1:100 | Dako |
| CD79a | HM57 | mouse mAb | 1:100 | Santa Cruz | |
| CD79a | HM57 | mouse mAb | 1:75 | Exbio | |
| CD79a | HM57 | mouse mAb | 1:75 | Novusbio | |
| CD20 | rabbit pAb | 1:100 | ThermoFisher | ||
| T lymphocytes | CD3 | rabbit pAb | 1:200 | Dako | |
| CD3 | F7.2.38 | mouse mAb | 1:50 | Santa Cruz | |
| T-reg lymphocytes | Foxp3 | eBio7979 | mouse mAb | 1:50 | eBioscience |
| Macrophages | Iba-1 | rabbit pAb | 1:300 | Wako | |
| Calprotectin | MAC387 | mouse mAb | 1:50 | ThermoFisher | |
| CD163 | AM-3K | mouse mAb | 1:50 | Transgenic Inc | |
| CD68 | PG-M1 | mouse mAb | 1:50 | ThermoFisher |
| Antibody | RLN 1 | Spleen | ||||||||
|---|---|---|---|---|---|---|---|---|---|---|
| MD 2 | PC 3 | GC 4 | MTL 5 | IFZ 6 | Red Pulp | White Pulp | ||||
| PALS 7 | GC | MTL | ||||||||
| Roe deer | ||||||||||
| CD79a | Exbio | - | - | ++ | +++ | - | - | - | ++ | +++ |
| CD79a | Novusbio | - | - | + | ++ | - | - | - | + | ++ |
| CD20 | TermoFisher | - | + | +++ | ++++ | - | - | - | +++ | ++++ |
| CD3 | Dako | - | +++ | + | - | ++++ | - | +++ | + | - |
| CD3 | Santa Cruz | - | ++ | + | - | ++++ | - | ++ | + | - |
| Iba-1 | Wako | +++ | ++ | + | - | ++ | ++++ | + | + | - |
| MAC387 | ThermoFisher | ++ | + | - | - | + | ++ | + | - | - |
| CD163 | ThermoFisher | ++ | + | - | - | - | ++ | + | - | - |
| Fallow deer | ||||||||||
| CD79a | Exbio | - | - | ++ | ++++ | - | - | - | ++ | ++++ |
| CD79a | Novusbio | - | - | + | ++ | - | - | - | + | ++ |
| CD20 | TermoFisher | - | + | ++++ | ++++ | - | - | - | ++++ | ++++ |
| CD3 | Dako | - | +++ | + | - | ++++ | - | +++ | + | - |
| CD3 | Santa Cruz | - | ++ | + | - | +++ | - | ++ | + | - |
| Iba-1 | Wako | +++ | ++ | + | - | ++ | ++++ | + | + | - |
| MAC387 | ThermoFisher | ++ | + | - | - | + | ++ | + | - | - |
| CD163 | ThermoFisher | +++ | + | - | - | - | +++ | + | - | - |
Publisher’s Note: MDPI stays neutral with regard to jurisdictional claims in published maps and institutional affiliations. |
© 2022 by the authors. Licensee MDPI, Basel, Switzerland. This article is an open access article distributed under the terms and conditions of the Creative Commons Attribution (CC BY) license (https://creativecommons.org/licenses/by/4.0/).
Share and Cite
Fonti, N.; Parisi, F.; Millanta, F.; Pacini, M.I.; Periccioli, M.; Poli, A. Immunohistochemical Characterization of Immune System Cells in Lymphoid Organs from Roe and Fallow Deer. Animals 2022, 12, 3064. https://doi.org/10.3390/ani12213064
Fonti N, Parisi F, Millanta F, Pacini MI, Periccioli M, Poli A. Immunohistochemical Characterization of Immune System Cells in Lymphoid Organs from Roe and Fallow Deer. Animals. 2022; 12(21):3064. https://doi.org/10.3390/ani12213064
Chicago/Turabian StyleFonti, Niccolò, Francesca Parisi, Francesca Millanta, Maria Irene Pacini, Marcello Periccioli, and Alessandro Poli. 2022. "Immunohistochemical Characterization of Immune System Cells in Lymphoid Organs from Roe and Fallow Deer" Animals 12, no. 21: 3064. https://doi.org/10.3390/ani12213064
APA StyleFonti, N., Parisi, F., Millanta, F., Pacini, M. I., Periccioli, M., & Poli, A. (2022). Immunohistochemical Characterization of Immune System Cells in Lymphoid Organs from Roe and Fallow Deer. Animals, 12(21), 3064. https://doi.org/10.3390/ani12213064

