Dietary Supplemental Chromium Yeast Improved the Antioxidant Capacity, Immunity and Liver Health in Broilers under High Stocking Density
Abstract
:Simple Summary
Abstract
1. Introduction
2. Materials and Methods
2.1. Animals, Experimental Design and Management
2.2. Dietary Nutrients and Chromium Analysis of Diets
2.3. Growth Performance
2.4. Sample Collection
2.5. Organ Index
2.6. Serum Biochemistry
2.7. Serum Immunity
2.8. Antioxidant Capacity
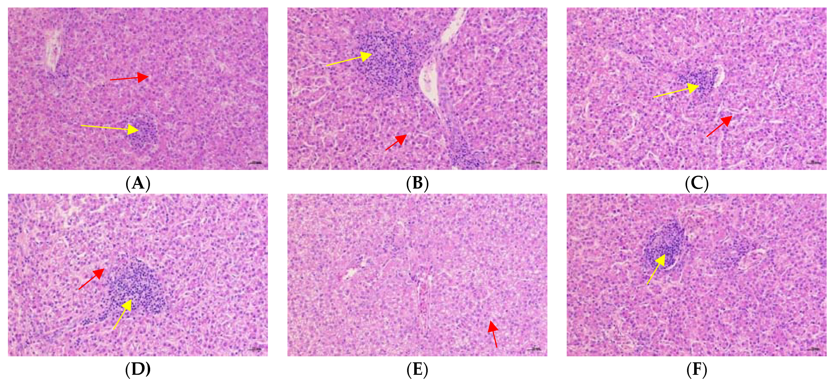
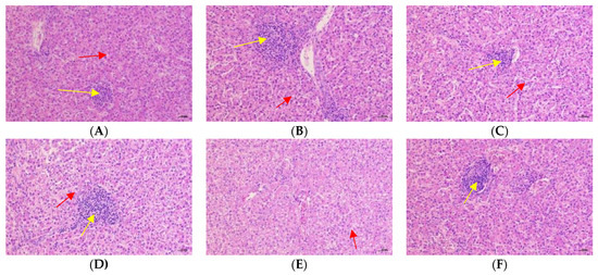
2.9. Histopathological Analysis of Liver
2.10. Statistical Analysis
3. Results
3.1. Dietary Nutrients and Chromium Analysis of Diets
3.2. Growth Performance
3.3. Organ Index
3.4. Serum Biochemistry Parameters
3.5. Serum Immunity Parameters
3.6. Antioxidant Status in Serum and Tissues
3.7. Liver Histopathological Analysis
3.8. Dose Effect Analysis
4. Discussion
5. Conclusions
Supplementary Materials
Author Contributions
Funding
Institutional Review Board Statement
Informed Consent Statement
Data Availability Statement
Conflicts of Interest
Appendix A
| Index | Kit No. |
|---|---|
| Serum | |
| Albumin (ALB) | ml060908 |
| Aspartate aminotransferase (AST) | ml060767 |
| Alanine aminotransferase (ALT) | ml060766 |
| Alkaline phosphatase (ALP) | ml060791 |
| Total bile acid (TBA) | ml092739 |
| Glycocholic acid (CG) | ml057932 |
| Glucose (GLU) | ml092704 |
| Prealbumin (PA) | ml092705 |
| Serum ferritin (SF) | ml037502 |
| Transferrin (TRF) | ml060948 |
| Corticosterone (CORT) | ml059881 |
| Interleukin-1β (IL-Iβ) | ml059835 |
| Interleukin-10 (IL-I0) | ml059830 |
| Thyroxine (T3) | ml048705 |
| Thyrotropine (T4) | ml060869 |
| Tumor necrosis factor-α (TNF-α) | H052-1 |
| Total antioxidant capacity (T-AOC) | ml094998 |
| Superoxide dismutase (SOD) | ml095206 |
| Catalase (CAT) | ml095267 |
| Malondialdehyde (MDA) | ml094962 |
| Glutathione peroxidase (GSH-Px) | ml095262 |
| Tissue | |
| Total antioxidant capacity (T-AOC) | A015-1-2 |
| Total superoxide dismutase (T-SOD) | A001-1-2 |
| Catalase (CAT) | A007-1-1 |
| Malondialdehyde (MDA) | A003-1-2 |
| Glutathione peroxidase (GSH-Px) | A005-1-2 |
References
- Kamel, N.F.; Hady, M.M.; Ragaa, N.M.; Mohamed, F.F. Effect of nucleotides on growth performance, gut health, and some immunological parameters of broiler chicken exposed to high stocking density. Livest. Sci. 2021, 253, 104703. [Google Scholar] [CrossRef]
- Li, W.; Wei, F.; Xu, B.; Sun, Q.; Deng, W.; Ma, H.; Bai, J.; Li, S. Effect of stocking density and alpha-lipoic acid on the growth performance, physiological and oxidative stress and immune response of broilers. Asian-Australas. J. Anim. Sci. 2019, 32, 1914–1922. [Google Scholar] [CrossRef] [PubMed]
- Wu, Y.; Wang, Y.; Yin, D.; Wu, W.; Sun, X.; Zhang, Y.; Guo, X.; Chen, J.; Yuan, J. Effect of supplementation of nicotinamide and sodium butyrate on the growth performance, liver mitochondrial function and gut microbiota of broilers at high stocking density. Food. Funct. 2019, 10, 7081–7090. [Google Scholar] [CrossRef] [PubMed]
- Li, X.M.; Zhang, M.H.; Liu, S.M.; Feng, J.H.; Ma, D.D.; Liu, Q.X.; Zhou, Y.; Wang, X.J.; Xing, S. Effects of stocking density on growth performance, growth regulatory factors, and endocrine hormones in broilers under appropriate environments. Poult. Sci. 2019, 98, 6611–6617. [Google Scholar] [CrossRef] [PubMed]
- Ma, H.; Xu, B.; Li, W.; Wei, F.; Kim, W.K.; Chen, C.; Sun, Q.; Fu, C.; Wang, G.; Li, S. Effects of alpha-lipoic acid on the behavior, serum indicators, and bone quality of broilers under stocking density stress. Poult. Sci. 2020, 99, 4653–4661. [Google Scholar] [CrossRef] [PubMed]
- Miao, Z.Q.; Dong, Y.Y.; Qin, X.; Yuan, J.M.; Han, M.M.; Zhang, K.K.; Shi, S.R.; Song, X.Y.; Zhang, J.Z.; Li, J.H. Dietary supplementation of methionine mitigates oxidative stress in broilers under high stocking density. Poult. Sci. 2021, 100, 101231. [Google Scholar] [CrossRef]
- Ikwegbue, P.C.; Masamba, P.; Oyinloye, B.E.; Kappo, A.P. Roles of heat shock proteins in apoptosis, oxidative stress, human inflammatory diseases, and cancer. Pharm. Sci. 2017, 11, 2. [Google Scholar] [CrossRef] [PubMed]
- Gholami, M.; Chamani, M.; Seidavi, A.; Sadeghi, A.A.; Aminafschar, M. Effects of stocking density and environmental conditions on performance, immunity, carcase characteristics, blood constitutes, and economical parameters of cobb 500 strain broiler chickens. Ital. J. Anim. Sci. 2020, 19, 524–535. [Google Scholar] [CrossRef]
- Yarahmadi, P.; Miandare, H.K.; Fayaz, S.; Caipang, C.M.A. Increased stocking density causes changes in expression of selected stress-and immune-related genes, humoral innate immune parameters and stress responses of rainbow trout (Oncorhynchus mykiss). Fish Shellfish Immunol. 2016, 48, 43–53. [Google Scholar] [CrossRef]
- Samanta, S.; Haldar, S.; Bahadur, V.; Ghosh, T.K. Chromium picolinate can ameliorate the negative effects of heat stress and enhance performance, carcass and meat traits in broiler chickens by reducing the circulatory cortisol level. J. Sci. Food Agric. 2008, 88, 787–796. [Google Scholar] [CrossRef]
- Sahİn, K.; Tuzcu, M.; Smith, M.; Sahin, N. Chromium supplementation: A tool for alleviation of thermal stress in poultry. CAB Rev. Perspect. Agric. Vet. Sci. Nutr. Nat. Resour. 2009, 4, 1–11. [Google Scholar] [CrossRef]
- Rama Rao, S.; Raju, M.; Panda, A.; Poonam, N.; Krishna Murthy, O.; Shyam Sunder, G. Effect of dietary supplementation of organic chromium on performance, carcass traits, oxidative parameters, and immune responses in commercial broiler chickens. Biol. Trace Elem. Res. 2012, 147, 135–141. [Google Scholar] [CrossRef] [PubMed]
- Vincent, J.B. New evidence against chromium as an essential trace element. J. Nutr. 2017, 147, 2212–2219. [Google Scholar] [CrossRef] [PubMed]
- Bilal, R.M.; Hassan, F.U.; Saeed, M.; Rafeeq, M.; Zahra, N.; Fraz, A.; Saeed, S.; Khan, M.A.; Mahgoub, H.A.; Farag, M. Role of yeast and yeast-derived products as feed additives in broiler nutrition. Anim. Biotechnol. 2021, 32, 1–10. [Google Scholar] [CrossRef]
- Kim, Y.H.; Han, I.K.; Choi, Y.J.; Shin, I.S.; Chae, B.J.; Kang, T.H. Effects of dietary levels of chromium picolinate on growth performance, carcass quality and serum traits in broiler chicks. Asian-Australas. J. Anim. Sci. 1996, 9, 341–347. [Google Scholar] [CrossRef]
- Piva, A.; Meola, E.; Gatta, P.P.; Biagi, G.; Castellani, G.; Mordenti, A.L.; Luchansky, J.B.; Silva, S.; Mordenti, A. The effect of dietary supplementation with trivalent chromium on production performance of laying hens and the chromium content in the yolk. Anim. Feed. Sci. Technol. 2003, 106, 149–163. [Google Scholar] [CrossRef]
- Arif, M.; Hussain, I.; Mahmood, M.A.; Abd El-Hack, M.E.; Swelum, A.A.; Alagawany, M.; Mahmoud, A.H.; Ebaid, H.; Komany, A. Effect of Varying Levels of Chromium Propionate on Growth Performance and Blood Biochemistry of Broilers. Animals 2019, 9, 935. [Google Scholar] [CrossRef]
- Van Hoeck, V.; Sonawane, M.; Gonzalez Sanchez, A.L.; Van Dosselaer, I.; Buyens, C.; Morisset, D. Chromium propionate improves performance and carcass traits in broilers. Anim. Nutr. 2020, 6, 480–487. [Google Scholar] [CrossRef]
- Han, M.; Chen, Y.; Li, J.; Dong, Y.; Miao, Z.; Li, J.; Zhang, L. Effects of organic chromium sources on growth performance, lipid metabolism, antioxidant status, breast amino acid and fatty acid profiles in broilers. J. Sci. Food Agric. 2021, 101, 3917–3926. [Google Scholar] [CrossRef]
- Sahin, K.; Sahin, N.; Onderci, M.; Gursu, F.; Cikim, G. Optimal dietary concentration of chromium for alleviating the effect of heat stress on growth, carcass qualities, and some serum metabolites of broiler chickens. Biol. Trace Elem. Res. 2002, 89, 53–64. [Google Scholar] [CrossRef]
- Mirfendereski, E.; Jahanian, R. Effects of dietary organic chromium and vitamin C supplementation on performance, immune responses, blood metabolites, and stress status of laying hens subjected to high stocking density. Poult. Sci. 2015, 94, 281–288. [Google Scholar] [CrossRef] [PubMed]
- Hou, Y.; Hou, Y.; Yao, L.; Chen, S.; Fan, J.; Qian, L. Effects of chromium yeast, tributyrin and bile acid on growth peformance, digestion and metabolism of Channa argus. Aquac. Res. 2019, 50, 836–846. [Google Scholar] [CrossRef]
- Shan, Q.; Ma, F.T.; Jin, Y.H.; Gao, D.; Li, H.Y.; Sun, P. Chromium yeast alleviates heat stress by improving antioxidant and immune function in Holstein mid-lactation dairy cows. Anim. Feed. Sci. Technol. 2020, 269, 114635. [Google Scholar] [CrossRef]
- Dębski, B.; Zalewski, W.; Gralak, M.A.; Kosla, T. Chromium-yeast supplementation of chicken broilers in an industrial farming system. J. Trace Elem. Med. Biol. 2004, 18, 47–51. [Google Scholar] [CrossRef] [PubMed]
- Liu, Y.; Huo, B.; Chen, Z.; Wang, K.; Huang, L.; Che, L.; Fang, Z. Effects of Organic Chromium Yeast on Performance, Meat Quality, and Serum Parameters of Grow-Finish Pigs. Biol. Trace Elem. Res. 2022, 18, 47–51. [Google Scholar] [CrossRef] [PubMed]
- White, P.E.; Vincent, J.B. Systematic Review of the Effects of Chromium (III) on Chickens. Biol. Trace Elem. Res. 2019, 188, 99–126. [Google Scholar] [CrossRef]
- Safwat, A.M.; Elnaggar, A.S.; Elghalid, O.A.; El-Tahawy, W.S. Effects of different sources and levels of dietary chromium supplementation on performance of broiler chicks. Anim. Sci. J. 2020, 91, e13448. [Google Scholar] [CrossRef]
- Arbor Acres Broiler Management Handbook. Available online: https://eu.aviagen.com/assets/Tech_Center/AA_Broiler/AA-BroilerHandbook2018-EN.pdf (accessed on 1 February 2022).
- Association of Official Analytical Chemists. Official Methods of Analysis, 17th ed.; Association of Analytical Chemists: Arlington, VA, USA, 2000. [Google Scholar]
- Kawashita, E.; Ishihara, K.; Nomoto, M.; Taniguchi, M.; Akiba, S. A comparative analysis of hepatic pathological phenotypes in C57BL/6J and C57BL/6N mouse strains in non-alcoholic steatohepatitis models. Sci. Rep. 2019, 9, 204. [Google Scholar] [CrossRef]
- Robbins, K.R.; Saxton, A.M.; Southern, L.L. Estimation of nutrient requirements using broken-line regression analysis. J. Anim. Sci. 2006, 84, E155–E165. [Google Scholar] [CrossRef]
- Hossain, S.M.; Barreto, S.L.; Silva, C.G. Growth performance and carcass composition of broilers fed supplemental chromium from chromium yeast. Anim. Feed. Sci. Technol. 1998, 71, 217–228. [Google Scholar] [CrossRef]
- Jahanian, R.; Rasouli, E. Dietary chromium methionine supplementation could alleviate immunosuppressive effects of heat stress in broiler chicks. J. Anim. Sci. 2015, 93, 3355–3363. [Google Scholar] [CrossRef] [PubMed]
- Toghyani, M.; Toghyani, M.; Shivazad, M.; Gheisari, A.; Bahadoran, R. Chromium supplementation can alleviate the negative effects of heat stress on growth performance, carcass traits, and meat lipid oxidation of broiler chicks without any adverse impacts on blood constituents. Biol. Trace Elem. Res. 2012, 146, 171–180. [Google Scholar] [CrossRef] [PubMed]
- Rajalekshmi, M.; Sugumar, C.; Chirakkal, H.; Ramarao, S. Influence of chromium propionate on the carcass characteristics and immune response of commercial broiler birds under normal rearing conditions. Poult. Sci. 2014, 93, 574–580. [Google Scholar] [CrossRef] [PubMed]
- Ebrahimzadeh, S.; Farhoomand, P.; Noori, K. Immune response of broiler chickens fed diets supplemented with different level of chromium methionine under heat stress conditions. Asian-Australas. J. Anim. Sci. 2012, 25, 256. [Google Scholar] [CrossRef] [PubMed]
- Qaid, M.; Albatshan, H.; Shafey, T.; Hussein, E.; Abudabos, A. Effect of stocking density on the performance and immunity of 1-to 14-d-old broiler chicks. Braz. J. Poult. Sci. 2016, 18, 683–692. [Google Scholar] [CrossRef]
- Puvadolpirod, S.; Thaxton, J. Model of physiological stress in chickens 1. Response parameters. Poult. Sci. 2000, 79, 363–369. [Google Scholar] [CrossRef]
- Post, J.; Rebel, J.; Ter Huurne, A. Physiological effects of elevated plasma corticosterone concentrations in broiler chickens. An alternative means by which to assess the physiological effects of stress. Poult. Sci. 2003, 82, 1313–1318. [Google Scholar] [CrossRef]
- Shini, S.; Kaiser, P.; Shini, A.; Bryden, W.L. Biological response of chickens (Gallus gallus domesticus) induced by corticosterone and a bacterial endotoxin. Comp. Biochem. Phys. B. 2008, 149, 324–333. [Google Scholar] [CrossRef]
- Sahin, K.; Sahin, N.; Kucuk, O. Effects of chromium, and ascorbic acid supplementation on growth, carcass traits, serum metabolites, and antioxidant status of broiler chickens reared at a high ambient temperature (32 °C). Nutr. Res. 2003, 23, 225–238. [Google Scholar] [CrossRef]
- Zhao, H.; Lan, Y.; Liu, H.; Zhu, Y.; Liu, W.; Zhang, J.; Jia, L. Antioxidant and hepatoprotective activities of polysaccharides from spent mushroom substrates (Laetiporus sulphureus) in acute alcohol-induced mice. Oxidative Med. Cell. Longev. 2017, 2017, 5863523. [Google Scholar] [CrossRef] [Green Version]
- Center, S.A. Diseases of the gallbladder and biliary tree. Vet. Clin. Small Anim. Pract. 2009, 39, 543–598. [Google Scholar] [CrossRef] [PubMed]
- Dong, Y.; Qiu, P.; Zhao, L.; Zhang, P.; Huang, X.; Li, C.; Chai, K.; Shou, D. Metabolomics study of the hepatoprotective effect of Phellinus igniarius in chronic ethanol-induced liver injury mice using UPLC-Q/TOF-MS combined with ingenuity pathway analysis. Phytomedicine 2020, 74, 152697. [Google Scholar] [CrossRef] [PubMed]
- Xiong, X.; Ren, Y.; Cui, Y.; Li, R.; Wang, C.; Zhang, Y. Obeticholic acid protects mice against lipopolysaccharide-induced liver injury and inflammation. Biomed. Pharmacother. 2017, 96, 1292–1298. [Google Scholar] [CrossRef] [PubMed]
- Grieninger, G.; Granick, S. Snythesis and differentiation of plasma proteins in cultured embryonic chicken liver cells: A system for study of regulation of protein synthesis. Proc. Natl. Acad. Sci. USA 1975, 72, 5007–5011. [Google Scholar] [CrossRef]
- Urabe, Y.; Nouso, K.; Higashi, T.; Nakatsukasa, H.; Hino, N.; Ashida, K.; Kinugasa, N.; Yoshida, K.; Uematsu, S.; Tsuji, T. Telomere length in human liver diseases. Liver 1996, 16, 293–297. [Google Scholar] [CrossRef] [PubMed]
- Wu, B.; Cui, H.; Peng, X.; Fang, J.; Zuo, Z.; Huang, J.; Luo, Q.; Deng, Y.; Wang, H.; Liu, J. Changes of the serum cytokine contents in broilers fed on diets supplemented with nickel chloride. Biol. Trace Elem. Res. 2013, 151, 234–239. [Google Scholar] [CrossRef] [PubMed]
- Kandir, S.; Keskin, E. Serum IL-1β, IL-6, IL-10 and TNF-α levels in thyroidectomized rats. Biol. Trace Elem. Res. 2016, 22, 234–239. [Google Scholar] [CrossRef]
- Cogulu, D.; Onay, H.; Ozdemir, Y.; Aslan, G.I.; Ozkinay, F.; Kutukculer, N.; Eronat, C. Associations of interleukin (IL)-1β, IL-1 receptor antagonist, and IL-10 with dental caries. J. Oral Sci. 2015, 57, 31–36. [Google Scholar] [CrossRef]
- Iqbal, A.; Decuypere, E.; Abd El Azim, A.; Kühn, E. Pre-and post-hatch high temperature exposure affects the thyroid hormones and corticosterone response to acute heat stress in growing chicken (Gallus domesticus). J. Therm. Biol. 1990, 15, 149–153. [Google Scholar] [CrossRef]
- Yahav, S.; Straschnow, A.; Plavnik, I.; Hurwitz, S. Blood system response of chickens to changes in environmental temperature. Poult. Sci. 1997, 76, 627–633. [Google Scholar] [CrossRef]
- Chiovato, L.; Mariotti, S.; Pinchera, A. Thyroid diseases in the elderly. Bailliere’s Clin. Endocrinol. Metab. 1997, 11, 251–270. [Google Scholar] [CrossRef]
- Che, M.; Wang, R.; Li, X.; Wang, H.-Y.; Zheng, X.S. Expanding roles of superoxide dismutases in cell regulation and cancer. Drug Discov. Today 2016, 21, 143–149. [Google Scholar] [CrossRef] [PubMed]
- Zhang, Y.; Zhang, F.; Wang, K.; Liu, G.; Yang, M.; Luan, Y.; Zhao, Z. Protective effect of allyl methyl disulfide on acetaminophen-induced hepatotoxicity in mice. Chem. Biol. Interact. 2016, 249, 71–77. [Google Scholar] [CrossRef] [PubMed]
- Simitzis, P.; Kalogeraki, E.; Goliomytis, M.; Charismiadou, M.; Triantaphyllopoulos, K.; Ayoutanti, A.; Niforou, K.; Hager-Theodorides, A.; Deligeorgis, S. Impact of stocking density on broiler growth performance, meat characteristics, behavioural components and indicators of physiological and oxidative stress. Br. Poult. Sci. 2012, 53, 721–730. [Google Scholar] [CrossRef]
- Simsek, U.G.; Dalkilic, B.; Ciftci, M.; Yuce, A. The influences of different stocking densities on some welfare indicators, lipid peroxidation (MDA) and antioxidant enzyme activities (GSH, GSH-Px, CAT) in broiler chickens. J. Anim. Vet. Adv. 2009, 8, 1568–1572. [Google Scholar] [CrossRef]
- Cichoż-Lach, H.; Michalak, A. Oxidative stress as a crucial factor in liver diseases. World J. Gastroenterol. 2014, 20, 8082. [Google Scholar] [CrossRef]
- Li, S.; Hong, M.; Tan, H.-Y.; Wang, N.; Feng, Y. Insights into the role and interdependence of oxidative stress and inflammation in liver diseases. Oxidative Med. Cell. Longev. 2016, 2016, 4234061. [Google Scholar] [CrossRef] [Green Version]



| Items | Grower Diets (23~42 Days of Age) |
|---|---|
| Ingredients | |
| Corn | 60.73 |
| Soybean meal | 22.70 |
| Corn gluten meal | 6.00 |
| Wheat bran | 2.00 |
| Soybean oil | 4.10 |
| DL- Methionine | 0.22 |
| L-Lysine sulphate | 0.60 |
| Threonine | 0.03 |
| Sodium chloride | 0.30 |
| Choline chloride (50%) | 0.20 |
| Trace mineral premix 1 | 0.20 |
| Vitamin premix 2 | 0.02 |
| Dicalcium phosphate | 1.70 |
| Limestone | 1.20 |
| Nutrient levels 3 | |
| ME (kcal/kg) | 3110 |
| Crude protein | 19.05 |
| Lysine | 1.12 |
| Methionine | 0.53 |
| Threonine | 0.71 |
| Tryptophan | 0.19 |
| Calcium | 0.93 |
| Available phosphorus | 0.41 |
| Methionine + cysteine 3 | 0.80 |
| Items 2 | LSD | HSD | HSD + Cr-Yeast (μg Cr/kg) | SEM | p-Value 3 | |||||
|---|---|---|---|---|---|---|---|---|---|---|
| 200 | 400 | 800 | 1600 | ANOVA | Linear | Quadratic | ||||
| Day 23 BW (g) | 752.02 | 732.50 | 735.83 | 741.25 | 730.00 | 726.25 | 2.865 | 0.111 | 0.591 | 0.749 |
| Day 42 BW (g) | 2155.59 | 2137.55 | 2078.37 | 2029.47 | 2068.80 | 2050.83 | 14.754 | 0.080 | 0.351 | 0.548 |
| BWG (g) | 1403.56 | 1405.05 | 1342.54 | 1288.22 | 1338.80 | 1324.58 | 13.329 | 0.064 | 0.125 | 0.349 |
| FI (g) | 2212.39 | 2167.44 | 2083.85 | 2088.1 | 2042.62 | 2111.97 | 20.839 | 0.192 | 0.331 | 0.669 |
| FCR | 1.58 | 1.54 | 1.50 | 1.62 | 1.53 | 1.59 | 0.011 | 0.148 | 0.076 | 0.037 |
| Items 2 | LSD | HSD | HSD + Cr-Yeast (µg Cr/kg) | SEM | p-Value 3 | |||||
|---|---|---|---|---|---|---|---|---|---|---|
| 200 | 400 | 800 | 1600 | ANOVA | Linear | Quadratic | ||||
| Heart | 4.24 | 3.82 | 4.08 | 4.11 | 3.89 | 4.17 | 0.084 | 0.690 | 0.728 | 0.540 |
| Liver | 22.48 a | 18.48 b * | 22.86 a | 23.87 a | 20.80 ab | 22.90 a | 0.559 | 0.043 | 0.042 | 0.021 |
| Spleen | 0.87 | 0.90 | 0.78 | 1.04 | 0.84 | 1.07 | 0.042 | 0.352 | 0.337 | 0.216 |
| Lung | 4.88 | 4.44 | 4.52 | 5.4 | 4.35 | 4.47 | 0.112 | 0.071 | 0.020 | 0.027 |
| Kidney | 4.62 | 3.87 | 5.27 | 5.06 | 4.54 | 4.56 | 0.143 | 0.084 | 0.050 | 0.184 |
| Thymus | 3.27 | 3.03 | 2.70 | 2.17 | 2.37 | 2.90 | 0.163 | 0.406 | 0.278 | 0.831 |
| Breast | 179.61 | 188.51 | 177.61 | 161.64 | 178.77 | 166.06 | 2.807 | 0.068 | 0.096 | 0.079 |
| Leg | 139.66 | 142.96 | 132.97 | 137.22 | 135.30 | 131.28 | 2.159 | 0.663 | 0.755 | 0.583 |
| Abdominal fat | 19.43 | 19.40 | 16.74 | 19.93 | 14.91 | 17.15 | 0.652 | 0.175 | 0.234 | 0.132 |
| Pancreas | 1.74 | 1.62 | 1.59 | 1.70 | 2.00 | 1.69 | 0.060 | 0.449 | 0.374 | 0.257 |
| Items 2 | LSD | HSD | HSD + Cr-Yeast (µg Cr/kg) | SEM | p-Value 3 | |||||
|---|---|---|---|---|---|---|---|---|---|---|
| 200 | 400 | 800 | 1600 | ANOVA | Linear | Quadratic | ||||
| CORT (μg/L) | 133.39 e | 161.00 c | 144.85 d | 129.87 e | 173.63 b | 192.39 a | 3.802 | <0.001 | <0.001 | <0.001 |
| ALB (μg/mL) | 224.99 a | 217.34 b ** | 199.35 c | 159.25 f | 184.06 d | 171.10 e | 4.021 | <0.001 | <0.001 | <0.001 |
| ALT (ng/L) | 102.41 d | 134.01 a ** | 102.04 d | 128.13 b | 107.69 c | 93.18 e | 2.509 | <0.001 | <0.001 | <0.001 |
| AST (ng/L) | 188.64 a | 186.86 a | 169.90 b | 153.84 c | 168.92 b | 149.14 c | 2.951 | <0.001 | <0.001 | <0.001 |
| ALP (ng/L) | 141.88 e | 169.56 c ** | 189.05 a | 178.55 b | 152.74 d | 169.03 c | 2.695 | <0.001 | <0.001 | <0.001 |
| TBA (μM) | 7.81 c | 8.72 a ** | 8.73 a | 7.03 d | 8.55 b | 6.85 e | 0.132 | <0.001 | <0.001 | <0.001 |
| CG (nM) | 259.15 b | 269.39 ab | 231.16 c | 266.04 b | 224.02 c | 277.60 a | 3.636 | <0.001 | <0.001 | <0.001 |
| GLU (μM) | 111.49 c | 135.02 a ** | 91.66 d | 109.60 c | 117.62 b | 135.50 a | 2.595 | <0.001 | <0.001 | <0.001 |
| PA (μg/mL) | 40.08 c | 36.35 d ** | 36.49 d | 40.56 bc | 47.26 a | 41.07 b | 0.623 | <0.001 | <0.001 | <0.001 |
| SF (ng/mL) | 150.71 bc | 156.31 b | 175.52 a | 109.87 e | 133.37 cd | 120.84 de | 4.458 | <0.001 | <0.001 | <0.001 |
| Items 2 | LSD | HSD | HSD + Cr-Yeast (µg Cr/kg) | SEM | p-Value 3 | |||||
|---|---|---|---|---|---|---|---|---|---|---|
| 200 | 400 | 800 | 1600 | ANOVA | Linear | Quadratic | ||||
| Serum | ||||||||||
| T- AOC (U/mL) | 7.86 a | 7.18 b ** | 7.95 a | 6.94 b | 7.02 b | 7.85 a | 0.073 | <0.001 | <0.001 | <0.001 |
| SOD (pg/mL) | 40.83 ab | 40.80 ab | 39.39 c | 39.85 bc | 41.44 a | 33.68 d | 0.459 | <0.001 | <0.001 | <0.001 |
| CAT (ng/L) | 69.16 a | 69.76 a | 65.30 b | 54.67 d | 60.96 c | 68.85 a | 0.978 | <0.001 | <0.001 | <0.001 |
| MDA (nM) | 14.69 ab | 14.69 ab | 13.14 c | 12.73 c | 14.24 b | 15.07 a | 0.168 | <0.001 | <0.001 | <0.001 |
| GSH-Px (pmol/mL) | 14.84 a | 13.78c ** | 13.60 c | 14.93 a | 12.98 d | 14.47 b | 0.123 | <0.001 | <0.001 | <0.001 |
| Liver | ||||||||||
| T-AOC (U/mgprot) | 1.25 b | 0.78 cd * | 1.18 bc | 1.93 a | 0.98 bcd | 0.72 d | 0.081 | <0.001 | 0.446 | 0.001 |
| T-SOD (U/mgprot) | 4.84 b | 4.69 b | 3.40 b | 7.39 a | 4.99 b | 5.28 b | 0.324 | 0.009 | 0.005 | 0.223 |
| CAT (U/mgprot) | 3.88 ab | 2.77 c * | 3.11 bc | 4.75 a | 3.54 bc | 3.28 bc | 0.162 | 0.003 | 0.189 | 0.003 |
| MDA (nmol/mgprot) | 1.28 ab | 1.43 ab | 0.48 c | 1.11 b | 1.73 ab | 1.83 a | 0.110 | 0.001 | 0.008 | 0.020 |
| GSH-Px (U/mgprot) | 31.13 b | 28.25 bc | 15.95 c | 51.35 a | 41.33 ab | 45.85 a | 2.595 | <0.001 | <0.001 | 0.505 |
| Breast | ||||||||||
| T-AOC (U/mgprot) | 0.18 b | 0.08 c * | 0.12 bc | 0.26 a | 0.14 bc | 0.08 c | 0.014 | <0.001 | 0.001 | 0.004 |
| T-SOD (U/mgprot) | 47.58 b | 38.16 c * | 37.87 c | 62.40 a | 54.91 ab | 50.37 b | 1.730 | <0.001 | <0.001 | <0.001 |
| CAT (U/mgprot) | 1.14 a | 1.11 a | 0.35c | 0.48 bc | 0.96 ab | 0.69 abc | 0.081 | 0.008 | 0.020 | 0.029 |
| MDA (nmol/mgprot) | 1.11 | 0.79 | 0.61 | 0.87 | 1.29 | 0.76 | 0.087 | 0.223 | 0.204 | 0.126 |
| GSH-Px (U/mgprot) | 0.69 | 0.68 | 0.63 | 0.93 | 0.91 | 0.50 | 0.049 | 0.127 | 0.055 | 0.131 |
Publisher’s Note: MDPI stays neutral with regard to jurisdictional claims in published maps and institutional affiliations. |
© 2022 by the authors. Licensee MDPI, Basel, Switzerland. This article is an open access article distributed under the terms and conditions of the Creative Commons Attribution (CC BY) license (https://creativecommons.org/licenses/by/4.0/).
Share and Cite
Xin, X.; Han, M.; Wu, Y.; Dong, Y.; Miao, Z.; Zhang, J.; Song, X.; Jia, R.; Su, Y.; Liu, C.; et al. Dietary Supplemental Chromium Yeast Improved the Antioxidant Capacity, Immunity and Liver Health in Broilers under High Stocking Density. Animals 2022, 12, 2216. https://doi.org/10.3390/ani12172216
Xin X, Han M, Wu Y, Dong Y, Miao Z, Zhang J, Song X, Jia R, Su Y, Liu C, et al. Dietary Supplemental Chromium Yeast Improved the Antioxidant Capacity, Immunity and Liver Health in Broilers under High Stocking Density. Animals. 2022; 12(17):2216. https://doi.org/10.3390/ani12172216
Chicago/Turabian StyleXin, Xiangqi, Miaomiao Han, Yuan Wu, Yuanyang Dong, Zhiqiang Miao, Junzhen Zhang, Xianyi Song, Ru Jia, Yuan Su, Ci Liu, and et al. 2022. "Dietary Supplemental Chromium Yeast Improved the Antioxidant Capacity, Immunity and Liver Health in Broilers under High Stocking Density" Animals 12, no. 17: 2216. https://doi.org/10.3390/ani12172216
APA StyleXin, X., Han, M., Wu, Y., Dong, Y., Miao, Z., Zhang, J., Song, X., Jia, R., Su, Y., Liu, C., Bai, R., & Li, J. (2022). Dietary Supplemental Chromium Yeast Improved the Antioxidant Capacity, Immunity and Liver Health in Broilers under High Stocking Density. Animals, 12(17), 2216. https://doi.org/10.3390/ani12172216

