Rapid Nucleic Acid Extraction for Aquatic Animal DNA Virus Determination Using Chelex 100 Resin via Conventional PCR and Digital Droplet PCR Detection
Abstract
Simple Summary
Abstract
1. Introduction
2. Materials and Methods
2.1. Samples
2.2. Nucleic Acid Extraction
2.3. Optimized Protocol for Chelex 100 Resin Extraction
2.4. Quality Assessment by PCR and ddPCR
2.4.1. PCR Application
| Virus | Method | Primer | Sequence (5′–3′) | Size (bp) |
|---|---|---|---|---|
| CEV | PCR [28] | CEV-P4a-BF | ATGGAGTATCCAAAGTACTTAG | 528 |
| CEV-P4a-BR | CTCTTCACTATTGTGACTTTG | |||
| CEV-P4a-IF | GTTATCAATGAAATTTGTGTATTG | 478 | ||
| CEV-P4a-IR | TAGCAAAGTACTACCTCATCC | |||
| ddPCR [30] | ddCEV-p4a-F | GAAACATGTTTTAGWGTTTTGTAKATTGT | ||
| ddCEV-p4a-R | CTTGCTCTAGTTCTAGGATTGTATGATG | |||
| Probe | FAM-CAAGAAACAAACTCTCTTTACTG-MGB | |||
| CyHV-2 | PCR [29] | CyHV-2Hel-F | GGACTTGCGAAGAGTTTGATTTCTAC | 366 |
| CyHV-2Hel-R | CCATAGTCACCATCGTCTCATC | |||
| ddPCR | CyHV-2-F | AGTGTTTGAAGGCTGTCTGGG | ||
| CyHV-2-R | ACACATTAACCATAGTCACCATCG | |||
| Probe | FAM-TCAGTACAACCCGTCATGGTACGCC-TAMARA | |||
| GSIV | PCR | GSIV-F | CGTCCAGGTATGCCGTGTTA | 320 |
| GSIV-R | CAATGTACGGGGGTTCGGAT | |||
| ddPCR [31] | MCP-ddPCR-F | GCGGTTCTCACACGCAGTC | ||
| MCP-ddPCR-R | ACGGGAGTGACGCAGGTGT |
2.4.2. Digital Droplet PCR Amplification
2.5. Statistical Analysis
3. Results
3.1. DNA Extraction
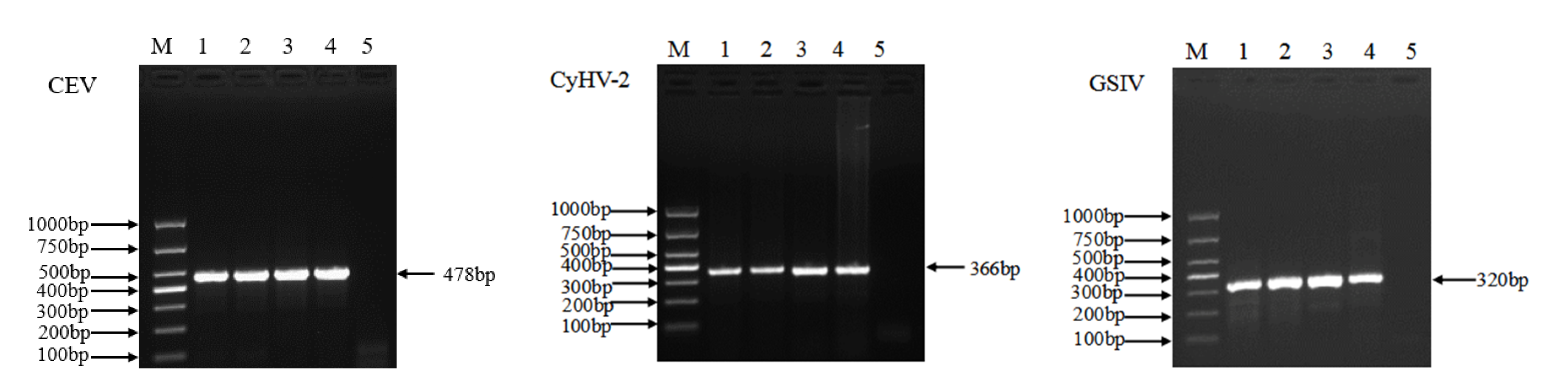
3.2. Extraction Effect of Different Methods Detected by PCR
3.3. Comparison of Nucleic Acid Extraction Methods by ddPCR
4. Discussion
5. Conclusions
Author Contributions
Funding
Institutional Review Board Statement
Informed Consent Statement
Data Availability Statement
Conflicts of Interest
References
- Feist, S.W.; Thrush, M.A.; Dunn, P.; Bateman, K.; Peeler, E.J. The aquatic animal pandemic crisis. Rev. Sci. Tech. 2019, 38, 437–457. [Google Scholar] [CrossRef]
- Frederick, S.K. Emerging viruses in aquaculture. Curr. Opin. Virol. 2019, 34, 97–103. [Google Scholar]
- Sloots, T.P.; Nissen, M.D.; Ginn, A.N.; Iredell, J.R. Rapid identification of pathogens using molecular techniques. Pathology 2015, 47, 191–198. [Google Scholar] [CrossRef]
- Compton, S.R. PCR and RT-PCR in the Diagnosis of Laboratory Animal Infections and in Health Monitoring. J. Am. Assoc. Lab. Anim. Sci. 2020, 59, 458–468. [Google Scholar] [CrossRef]
- Chau, C.H.; Strope, J.D.; Figg, W.D. COVID-19 clinical diagnostics and testing technology. Pharmacotherapy 2020, 40, 857–868. [Google Scholar] [CrossRef]
- Bluth, M.J.; Bluth, M.H. Molecular Pathology Techniques: Advances in 2018. Clin. Lab. Med. 2018, 38, 215–236. [Google Scholar] [CrossRef]
- Orioles, M.; Bulfoni, M.; Saccà, E.; Cesselli, D.; Schmidt, J.G.; Galeotti, M. Development and application of a sensitive droplet digital PCR for the detection of red mark syndrome infection in rainbow trout (Oncorhynchus mykiss). Aquaculture 2022, 551, 737910. [Google Scholar] [CrossRef]
- Lin, Q.; Fu, X.; Liu, L.; Liang, H.; Niu, Y.; Wen, Y.; Huang, Z.; Li, N. Development and application of a sensitive droplet digital PCR (ddPCR) for the detection of infectious spleen and kidney necrosis virus. Aquaculture 2020, 529, 735697. [Google Scholar] [CrossRef]
- Paul, R.; Ostermann, E.; Wei, Q. Advances in point-of-care nucleic acid extraction technologies for rapid diagnosis of human and plant diseases. Biosens. Bioelectron. 2020, 169, 112592. [Google Scholar] [CrossRef]
- Ulloa, S.; Bravo, C.; Parra, B.; Ramirez, E.; Acevedo, A.; Fasce, R.; Fernandez, J. A simple method for SARS-CoV-2 detection by rRT-PCR without the use of a commercial RNA extraction kit. J. Virol. Methods 2020, 285, 113960. [Google Scholar] [CrossRef]
- Elnagar, A.; Harder, T.C.; Blome, S.; Beer, M.; Hoffmann, B. Optimizing Release of Nucleic Acids of African Swine Fever Virus and Influenza A Virus from FTA Cards. Int. J. Mol. Sci. 2021, 22, 12915. [Google Scholar] [CrossRef] [PubMed]
- Kolia-Diafouka, P.; Godreuil, S.; Bourdin, A.; Carrère-Kremer, S.; Kremer, L. Optimized Lysis-Extraction Method Combined With IS6110-Amplification for Detection of Mycobacterium tuberculosis in Paucibacillary Sputum Specimens. Front. Microbiol. 2018, 9, 2224. [Google Scholar] [CrossRef] [PubMed]
- Rosenstierne, M.W.; Jensen, C.E.; Fomsgaard, A. Rapid, Safe, and Simple Manual Bedside Nucleic Acid Extraction for the Detection of Virus in Whole Blood Samples. J. Vis. Exp. 2018, 136, e58001. [Google Scholar] [CrossRef] [PubMed]
- He, H.; Li, R.; Chen, Y.; Pan, P.; Tong, W.; Dong, X.; Chen, Y.; Yu, D. Integrated DNA and RNA extraction using magnetic beads from viral pathogens causing acute respiratory infections. Sci. Rep. 2017, 7, 1–8. [Google Scholar] [CrossRef] [PubMed]
- Maniatis, T.; Fritsch, E.F.; Sambrook, J. Molecular Cloning: A Laboratory Manual; Cold Spring Harbor Laboratory: Cold Spring Harbor, NY, USA, 1982. [Google Scholar]
- Dykes, D. The use of biotintylated DNA probes in parentage testing: Non-isotopic labeling and nontoxic extraction. Electrophoresis 1988, 9, 359–368. [Google Scholar] [CrossRef] [PubMed]
- Grimberg, J.S.; Nawoschic, L.; Bellvscio, R.; McKee, R.; Turck, A.; Eisenberg, A. A simple and efficient non-organic procedure for the isolation of genomic DNA from blood. Nucleic Acids Res. 1989, 22, 8390. [Google Scholar] [CrossRef] [PubMed]
- Pearlman, S.I.; Leelawong, M.; Richardson, K.A.; Adams, N.M.; Russ, P.K.; Pask, P.E.; Wolfe, A.E.; Wessely, C.; Haselton, F.R. Low-Resource Nucleic Acid Extraction Method Enabled by High-Gradient Magnetic Separation. ACS Appl. Mater. Interfaces 2020, 12, 12457–12467. [Google Scholar] [CrossRef]
- Iker, B.C.; Bright, K.R.; Pepper, I.L.; Gerba, C.P.; Kitajima, M. Evaluation of commercial kits for the extraction and purification of viral nucleic acids from environmental and fecal samples. J. Virol. Methods 2013, 191, 24–30. [Google Scholar] [CrossRef]
- Singh, U.A.; Kumari, M.; Iyengar, S. Method for improving the quality of genomic DNA obtained from minute quantities of tissue and blood samples using Chelex 100 resin. Biol. Proced. Online 2018, 20, 12. [Google Scholar] [CrossRef]
- Simon, N.; Shallat, J.; Williams Wietzikoski, C.; Harrington, W.E. Optimization of Chelex 100 resin-based extraction of genomic DNA from dried blood spots. Biol. Methods Protoc. 2020, 5, bpaa009. [Google Scholar] [CrossRef]
- Freitas, M.T.; Gomes-Júnior, P.P.; Batista, M.V.; Leal-Balbino, T.C.; Araujo, A.L.; Balbino, V.Q. Novel DNA extraction assay for molecular identification of Aedes spp eggs. Genet. Mol. Res. 2014, 13, 8776–8782. [Google Scholar] [CrossRef] [PubMed]
- Musapa, M.; Kumwenda, T.; Mkulama, M.; Chishimba, S.; Norris, D.E.; Thuma, P.E.; Mharakurwa, E. A simple Chelex protocol for DNA extraction from Anopheles spp. J. Vis. Exp. 2013, 9, 3281. [Google Scholar] [CrossRef] [PubMed]
- Guan, B.; Karen, M.F.; Maldonado, J.O.; Beach, M.; Pelayo, E.; Warne, B.M.; Hufnagel, R.B. Sensitive extraction-free SARS-CoV-2 RNA virus detection using a chelating resin. Iscience 2021, 24, 102960. [Google Scholar] [CrossRef] [PubMed]
- Rehman, T.; Yin, L.; Latif, M.B.; Zhou, Y.; Wang, K.; Geng, Y.; Huang, X.; Chen, D.; Fang, J.; Chen, Z.; et al. Current findings on carp edema virus, control challenges, and future outlook. Aquac. Int. 2020, 28, 2015–2026. [Google Scholar] [CrossRef]
- Wen, J.; Xu, Y.; Su, M.; Lu, L.; Wang, H. Susceptibility of Goldfish to Cyprinid Herpesvirus 2 (CyHV-2) SH01 Isolated from Cultured Crucian Carp. Viruses 2021, 13, 1761. [Google Scholar] [CrossRef]
- Meng, Y.; Ma, J.; Jiang, N.; Zeng, L.B.; Xiao, H.B. Pathological and microbiological findings from mortality of the Chinese giant salamander (Andrias davidianus). Arch. Virol. 2014, 159, 1403–1412. [Google Scholar] [CrossRef]
- Xu, L.P.; Yu, W.Z.; Zhang, W.; Cao, H.; Wang, J.B.; Wang, S.; Pan, Y.; Zhang, F.; Liang, Y.; Wang, L.X.; et al. Code of Diagnosis for Carp Edema Virus Disease (CEVD); Published by Ministry of Agriculture and Rural Affairs of the China: Beijing, China, 2019. [Google Scholar]
- Waltzek, T.B.; Kurobe, T.; Goodwin, A.E.; Hedrick, R.P. Development of a Polymerase Chain Reaction Assay to Detect Cyprinid Herpesvirus 2 in Goldfish. J. Aquat. Anim. Health. 2009, 21, 60–67. [Google Scholar] [CrossRef]
- Wang, N.; Zhang, Z.; Jing, H.L.; Zhang, M.; Wu, S.; Lin, X. Development of a novel droplet digital PCR assay for the sensitive detection of carp edema virus. Aquaculture 2021, 2021. 545, 737162. [Google Scholar] [CrossRef]
- Liu, Y.N.; Li, Y.Q.; Zhou, Y.; Jiang, N.; Fan, Y.D.; Zeng, L.B. Characterization, Expression Pattern and Antiviral Activities of Mx Gene in Chinese Giant Salamander, Andrias davidianus. Int. J. Mol. Sci. 2020, 21, 2246. [Google Scholar] [CrossRef]
- Pinheiro, L.B.; Coleman, V.A.; Hindson, C.M.; Herrmann, J.; Hindson, B.J.; Bhat, S.; Emslie, K.R. Evaluation of a droplet digital polymerase chain reaction format for DNA copy number quantification. Anal. Chem. 2012, 84, 1003–1011. [Google Scholar] [CrossRef]
- Cox, A.M.; Goodwin, K.D. Sample preparation methods for quantitative detection of DNA by molecular assays and marine biosensors. Mar. Pollut. Bull. 2013, 73, 47–56. [Google Scholar] [CrossRef]
- Walsh, P.S.; Metzger, D.A.; Higuchi, R. Chelex 100 as a medium for simple extraction of DNA for PCR-based typing from forensic material. BioTechniques 1991, 10, 506–513. [Google Scholar] [CrossRef]
- Lamballerie, X.D.; Zandotti, C.; Vignoli, C.; Bollet, C.; Micco, P.D. A one-step microbial DNA extraction method using “Chelex 100” suitable for gene amplification. Research in Microbiology. Res. Microbiol. 1992, 143, 785–790. [Google Scholar] [CrossRef]
- Ceren, T.; Maja, N.I.; Agostino, B.; Collina, M. New rapid DNA extraction method with chelex from venturia inaequalis spores. J. Microbiol. Meth. 2015, 115, 139–143. [Google Scholar]
- Wen, Y.L.; Liao, W.L.; Zhang, Z.X.; Ma, Y. Extraction of EBV DNA from paraffin tissue by Chelex-100. J. Pract. Med. 2012, 28, 1790–1792. [Google Scholar]
- Hsiang, M.S.; Lin, M.; Dokomajilar, C.; Kemere, J.; Pilcher, C.D.; Dorsey, G.; Greenhouse, B. PCR-based pooling of dried blood spots for detection of malaria parasites: Optimization and application to a cohort of Ugandan children. J. Clin. Microbiol. 2010, 48, 3539–3543. [Google Scholar] [CrossRef][Green Version]
- Baidjoe, A.; Rosenthal, P.J.; Bousema, T.; Dorsey, G.; Bousema, T.; Greenhouse, B. The effect of storage and extraction methods on amplification of Plasmodium falciparum DNA from dried blood spots. Am. J. Trop. Med. Hyg. 2015, 92, 922–925. [Google Scholar]
- Xu, L.; Sun, L.; Guan, G.Y.; Huang, Q.; Lv, J.; Yan, L.; Ling, L.; Zhang, Y. The effects of pH and salts on nucleic acid partitioning during phenol extraction. Nucleosides Nucleotides Nucleic Acids 2019, 38, 305–320. [Google Scholar] [CrossRef]
- Sweet, D.; Lorente, M.; Valenzuela, A.; Lorente, J.A.; Alvarez, J.C. Increasing DNA extraction yield from saliva stains with a modified Chelex method. Forensic Sci. Int. 1996, 83, 167–177. [Google Scholar] [CrossRef]


| Chelex 100 Resin Procedure | Viral DNA Extraction Kit | ||
|---|---|---|---|
| Steps | Reagents | Steps | Reagents |
| 1. Prepare 5% (w/v) Chelex 100 resin solution by dissolving 5 g of Chelex 100 resin in 95 mL of ultrapure water, before autoclave sterilization and storage at room temperature. | Chelex 100 resin; ultrapure water; hydrochloric acid | 1. Add 6 mg of tissue to a 1.5 mL centrifuge tube with 250 µL of PBS. Then, homogenize the tissue for 90 s. | PBS |
| 2. Homogenize 6 mg of tissue in 200 µL of 5% Chelex 100 solution in a 1.5 mL centrifuge tube before spinning for 90 s. | 2. Add 10 µL of OB Protease and 250 µL of Buffer BL. Add 4 µL of linear acrylamide to 250 µL of Buffer BL. Vortex at maximum speed for 15 s to mix thoroughly. | OB Protease; Buffer BL; linear acrylamide | |
| 3. Place 1.5 mL centrifuge tube with sample in thermostatic water bath and boil for 10 min. | 3. Incubate sample at 65 °C for 10 min. Briefly vortex the tube once during incubation. | ||
| 4. Leave sample to cool to room temperature and then centrifuge at 13,000 rpm for 2 min, before extracting supernatant (i.e., DNA). | 4. Add 260 µL of absolute ethanol (room temperature) to lysate the sample, and then vortex at maximum speed for 20 s to mix thoroughly. Briefly centrifuge the tube to collect any drops from the inside of the lid. | Absolute ethanol | |
| 5. Assemble HiBind DNA Mini column in a 2 mL collection tube. Transfer the lysate from step 5 into the column, and centrifuge at 8000× g for 1 min to bind DNA. Discard the collection tube and flow-through liquid. | |||
| 6. Place the column into a second 2 mL tube and wash by pipetting 500 µL of HBC Buffer. | |||
| 7. Place the column into the same 2 mL tube from step 6 and wash by pipetting 700 µL of DNA Wash Buffer diluted with ethanol. Centrifuge at 8000× g for 1 min. | DNA Wash Buffer | ||
| 8. Using a new collection tube, wash the column with a second 700 µL of DNA Wash Buffer and centrifuge as described above. Discard the flow-through and reuse the collection tube for the next step. | DNA Wash Buffer | ||
| 9. Place the empty column into the same 2 mL collection tube form step 8, and centrifuge at maximum speed (15,000× g) for 2 min to dry the column. | |||
| 10. Place the column into a sterile 1.5 mL microfuge tube and add 50–100 µL of preheated (65 °C) Elution Buffer. Allow tubes to sit for 5 min at room temperature. | Elution Buffer | ||
| 11. To elute DNA from the column, centrifuge at 8000× g for 1 min. Discard column and store the eluted DNA at −20 °C. | |||
| Virus | Sample Source | Method | Concentration (ng/µL) | A260/A280 | A260/A230 |
|---|---|---|---|---|---|
| CEV | Gill of Cyprinus carpio | Chelex 100 (pH 9–10) | 383.9 | 1.72 | 0.52 |
| Chelex 100 (pH 10–11) | 526.5 | 1.70 | 0.51 | ||
| Viral DNA kit | 268.2 | 1.87 | 2.00 | ||
| CyHV-2 | Kidney of Carassius auratus | Chelex 100 (pH 9–10) | 231.7 | 1.61 | 0.49 |
| Chelex 100 (pH 10–11) | 512.1 | 1.54 | 0.53 | ||
| Viral DNA kit | 285.9 | 1.98 | 1.90 | ||
| GSIV | Affected GSMcell | Chelex 100 (pH 9–10) | 115.4 | 2.09 | 0.96 |
| Chelex 100 (pH 10–11) | 158.4 | 2.14 | 1.04 | ||
| Viral DNA kit | 40.0 | 1.93 | 2.15 |
| Virus | Methods | Copy Number (Copies/mg Cell) | SD (Copies/mg Cell) |
|---|---|---|---|
| CEV | Chelex 100 (pH 9–10) | 2.24 × 105 | 7527 |
| Chelex 100 (pH 10–11) | 5.43 × 105 | 3742 | |
| Viral DNA kit | 0.94 × 105 | 4546 | |
| CyHV-2 | Chelex 100 (pH 9–10) | 1.65 × 108 | 1.67 × 107 |
| Chelex 100 (pH 10–11) | 2.64 × 108 | 1.12 × 107 | |
| Viral DNA kit | 0.94 × 108 | 0.41 × 107 | |
| GSIV | Chelex 100 (pH 9–10) | 73.74 | 1.6 |
| Chelex 100 (pH 10–11) | 116.3 | 7. 8 | |
| Viral DNA kit | 43. 6 | 3.6 |
Publisher’s Note: MDPI stays neutral with regard to jurisdictional claims in published maps and institutional affiliations. |
© 2022 by the authors. Licensee MDPI, Basel, Switzerland. This article is an open access article distributed under the terms and conditions of the Creative Commons Attribution (CC BY) license (https://creativecommons.org/licenses/by/4.0/).
Share and Cite
Hu, X.; Jiang, N.; Li, Y.; Zhou, Y.; Fan, Y.; Xue, M.; Zeng, L.; Liu, W.; Meng, Y. Rapid Nucleic Acid Extraction for Aquatic Animal DNA Virus Determination Using Chelex 100 Resin via Conventional PCR and Digital Droplet PCR Detection. Animals 2022, 12, 1999. https://doi.org/10.3390/ani12151999
Hu X, Jiang N, Li Y, Zhou Y, Fan Y, Xue M, Zeng L, Liu W, Meng Y. Rapid Nucleic Acid Extraction for Aquatic Animal DNA Virus Determination Using Chelex 100 Resin via Conventional PCR and Digital Droplet PCR Detection. Animals. 2022; 12(15):1999. https://doi.org/10.3390/ani12151999
Chicago/Turabian StyleHu, Xi, Nan Jiang, Yiqun Li, Yong Zhou, Yuding Fan, Mingyang Xue, Lingbing Zeng, Wenzhi Liu, and Yan Meng. 2022. "Rapid Nucleic Acid Extraction for Aquatic Animal DNA Virus Determination Using Chelex 100 Resin via Conventional PCR and Digital Droplet PCR Detection" Animals 12, no. 15: 1999. https://doi.org/10.3390/ani12151999
APA StyleHu, X., Jiang, N., Li, Y., Zhou, Y., Fan, Y., Xue, M., Zeng, L., Liu, W., & Meng, Y. (2022). Rapid Nucleic Acid Extraction for Aquatic Animal DNA Virus Determination Using Chelex 100 Resin via Conventional PCR and Digital Droplet PCR Detection. Animals, 12(15), 1999. https://doi.org/10.3390/ani12151999

