Tracheal Hemangioma Causing Lung Emphysema and Pneumopericardium in a Rabbit—A Case Report
Abstract
Simple Summary
Abstract
1. Introduction
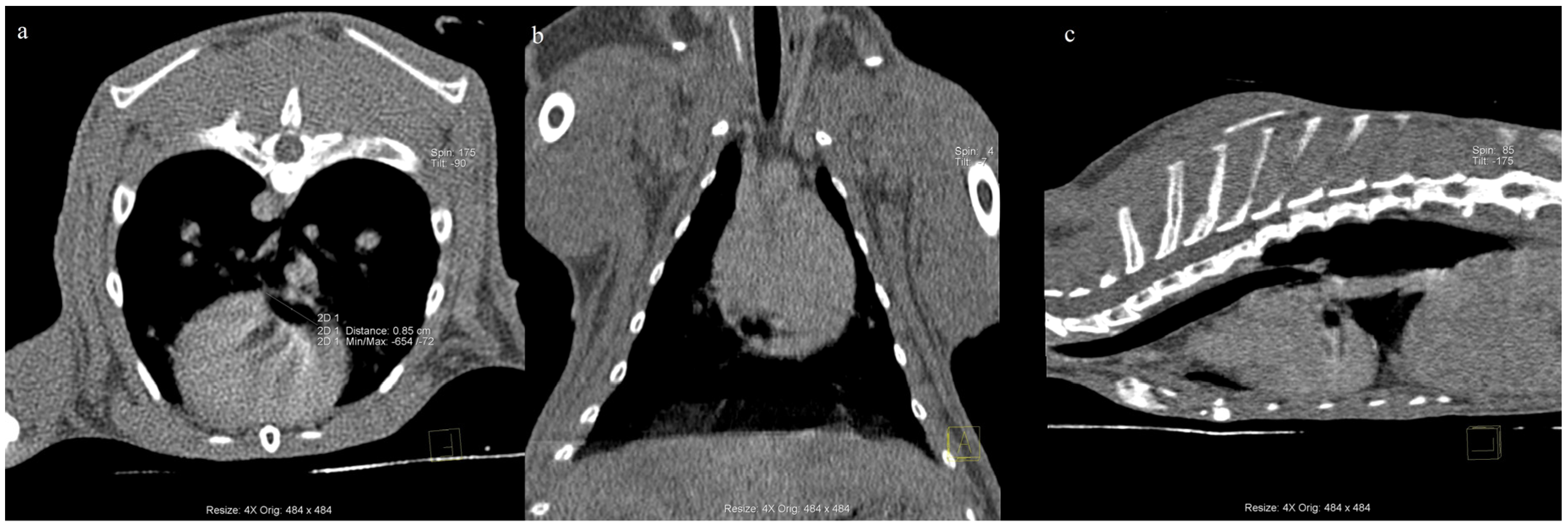
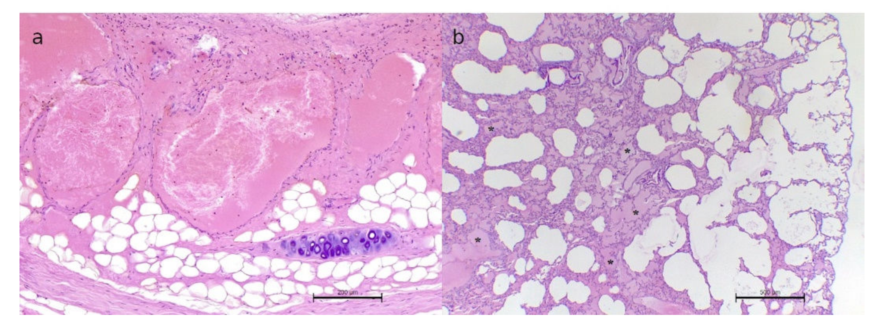
2. History and Case Presentation
3. Discussion
4. Conclusions
Author Contributions
Funding
Institutional Review Board Statement
Informed Consent Statement
Data Availability Statement
Acknowledgments
Conflicts of Interest
References
- Rolim Marques, A.F.; Lopes, L.H.; dos Martins, M.S.; Carmona, C.V.; Fraga, G.P.; Hirano, E.S. Tension pneumopericardium in blunt thoracic trauma. Int. J. Surg. Case Rep. 2016, 24, 188–190. [Google Scholar] [CrossRef] [PubMed]
- Borgonovo, S.; Rocchi, P.M.; Raiano, V.; Diana, D.; Greci, V. Spontaneous pneumopericardium in a dog with bronchopulmonary disease complicated by pyothorax and pneumothorax. Can. Vet. 2014, 55, 1186–1191. [Google Scholar]
- Brown, D.C.; Holt, D. Subcutaneous emphysema, pneumothorax, pneumomediastinum, and pneumopericardium associated with positive-pressure ventilation in a cat. J. Am. Vet. Med. Assoc. 1995, 206, 997–999. [Google Scholar] [PubMed]
- Sasani, F.; Moosakhani, F.; Zafari, M.; Golchin, D.; Moradi, Z. Nasotracheal Cavernous Hemangioma in Sheep (Case Report). Int J. Vet. Sci. Res. 2015, 1, 001–002. [Google Scholar] [CrossRef]
- Banga, H.S.; Deshmukh, S.; Brar, R.S.; Gadhave, P.D.; Chavhan, S.G.; Sandhu, H.S. A Case of Intranasal Hemangioma and Concurrent Tetracycline-induced Ulcerative Gastritis in Dogs. Toxicol. Int. 2010, 17, 33–36. [Google Scholar] [CrossRef] [PubMed][Green Version]
- Qiu, X.; Dong, Z.; Zhang, J.; Yu, J. Lobular capillary hemangioma of the tracheobronchal tree. Medicine 2016, 95, e5499. [Google Scholar] [CrossRef] [PubMed]
- Kitada, M.; Yasuda, S.; Ishibashi, K.; Hayashi, S.; Matuda, Y.; Ohsaki, Y.; Miyokawa, N. Leiomyoma of the Trachea: A case report. J. Cardiothorac. Surg. 2015, 10, 78. [Google Scholar] [CrossRef] [PubMed][Green Version]
- Azevedo, C.; Brawner, W.; Lindley, S.S.; Smith, A. Multimodal non-surgical treatment of a feline tracheal adenocarcinoma. JFMS Open Rep. 2017, 3, 1–8. [Google Scholar] [CrossRef] [PubMed]
- Piirainen, K.J.; Viitanen, S.J.; Lappalainen, A.K.; Mölsä, S.H. Intraluminal tracheal lipoma as a rare cause of dyspnoea in a dog. Acta Vet. Scand. 2018, 60, 59. [Google Scholar] [CrossRef] [PubMed]
- Gołota, J.J.; Orłowski, T.; Iwanowicz, K.; Snarska, J. Air tamponade of the heart. Pol. J. Thorac. Cardiovasc. Surg. 2016, 13, 150–153. [Google Scholar] [CrossRef] [PubMed]
- Gharwan, H.; Erlich, R.B.; Skayrak, L.A. Non-small-cell lung cancer with broncho pericardial fistula formation. J. Clin. Oncol. 2010, 29, 141–142. [Google Scholar] [CrossRef] [PubMed]
- Macklin, C.C. Transport of air along sheaths of pulmonic blood vessels from alveoli to mediastinum: Clinical implications. Arch. Intern. Med. 1939, 64, 913–926. [Google Scholar] [CrossRef]
- Hymes, W.A.; Itani, K.M.; Wall, M.J., Jr.; Granchi, T.S.; Mattox, K.I. Delayed tension pneumopericardium after thoracotomy for penetrating chest trauma. Ann. Thorac. Surg. 1994, 57, 1658–1660. [Google Scholar] [CrossRef]
- Vourc’h, G.; Le Gall, R.; Colchen, A. Pneumopericardium: An ususual complication of endotracheal laser surgery. BJA Br. J. Anaesth. 1985, 57, 451–452. [Google Scholar] [CrossRef] [PubMed][Green Version]
- Lee, Y.-J.; Jin, S.-W.; Jang, S.-H.; Jang, Y.-S.; Lee, E.-K.; Kim, Y.-J.; Lee, M.-Y.; Park, J.-C.; Rho, T.-H.; Kim, J.-H.; et al. A Case of Spontaneous Pneumomediastinum and Pneumopericardium in a Young Adult. Korean J. Intern. Med. 2001, 16, 205–209. [Google Scholar] [CrossRef] [PubMed]
- Barquero, R.J.; Izquierdo, H.J.; Maciá, B.E.; Arrobas, V.J.; Pérez, M.M. Neumopericardio espontáneo en un paciente con neumonía de la comunidad [Spontaneous pneumopericardium in a patient with community-acquired pneumonia]. Rev. Esp. Cardiol. 2005, 58, 227–229. [Google Scholar] [CrossRef]
- Chopra, V.; Garg, N.; Mrigpuri, P. Spontaneous pneumopericardium an unusual complication in a patient of HIV and pulmonary tuberculosis. Lung India 2013, 30, 148–150. [Google Scholar] [CrossRef] [PubMed]
- Warwock, H.; Guillem, J.; Batchelor, D.; Schwarz, T.; Liuti, T.; Griffin, S.; Keenihan, E.; Theron, M.L.; Specchi, S.; Lacava, G.; et al. Imaging findings in 14 dogs and 3 cats with lobar emphysema. J. Vet. Inter. Med. 2021, 35, 1935–1942. [Google Scholar] [CrossRef] [PubMed]


Publisher’s Note: MDPI stays neutral with regard to jurisdictional claims in published maps and institutional affiliations. |
© 2022 by the authors. Licensee MDPI, Basel, Switzerland. This article is an open access article distributed under the terms and conditions of the Creative Commons Attribution (CC BY) license (https://creativecommons.org/licenses/by/4.0/).
Share and Cite
Kandefer-Gola, M.; Żebrowski, K.; Ciaputa, R.; Borawski, W.; Brambilla, E.; Grieco, V. Tracheal Hemangioma Causing Lung Emphysema and Pneumopericardium in a Rabbit—A Case Report. Animals 2022, 12, 1907. https://doi.org/10.3390/ani12151907
Kandefer-Gola M, Żebrowski K, Ciaputa R, Borawski W, Brambilla E, Grieco V. Tracheal Hemangioma Causing Lung Emphysema and Pneumopericardium in a Rabbit—A Case Report. Animals. 2022; 12(15):1907. https://doi.org/10.3390/ani12151907
Chicago/Turabian StyleKandefer-Gola, Małgorzata, Kacper Żebrowski, Rafał Ciaputa, Wojciech Borawski, Eleonora Brambilla, and Valeria Grieco. 2022. "Tracheal Hemangioma Causing Lung Emphysema and Pneumopericardium in a Rabbit—A Case Report" Animals 12, no. 15: 1907. https://doi.org/10.3390/ani12151907
APA StyleKandefer-Gola, M., Żebrowski, K., Ciaputa, R., Borawski, W., Brambilla, E., & Grieco, V. (2022). Tracheal Hemangioma Causing Lung Emphysema and Pneumopericardium in a Rabbit—A Case Report. Animals, 12(15), 1907. https://doi.org/10.3390/ani12151907

