Immunopathological Response, Histological Changes, Parasitic Burden, and Egg Output in Sheep Naturally Infected by Dicrocoelium dendriticum
Abstract
Simple Summary
Abstract
1. Introduction
2. Material and Methods
2.1. Study Farm and Animals
2.2. Gross Examination
2.3. Parasitic Burden
2.4. Histopathological Examination
2.5. Immunohistochemical Examination
- 0 (not detected).
- 1 (percentage of immunoreactive inflammatory cells per section 1–25%).
- 2 (percentage of immunoreactive inflammatory cells per section 26–50%).
- 3 (percentage of immunoreactive inflammatory cells per section >50%).
2.6. Statistical Analysis
3. Results
3.1. Coprological Analysis and Parasitic Burden
3.2. Gross Examination
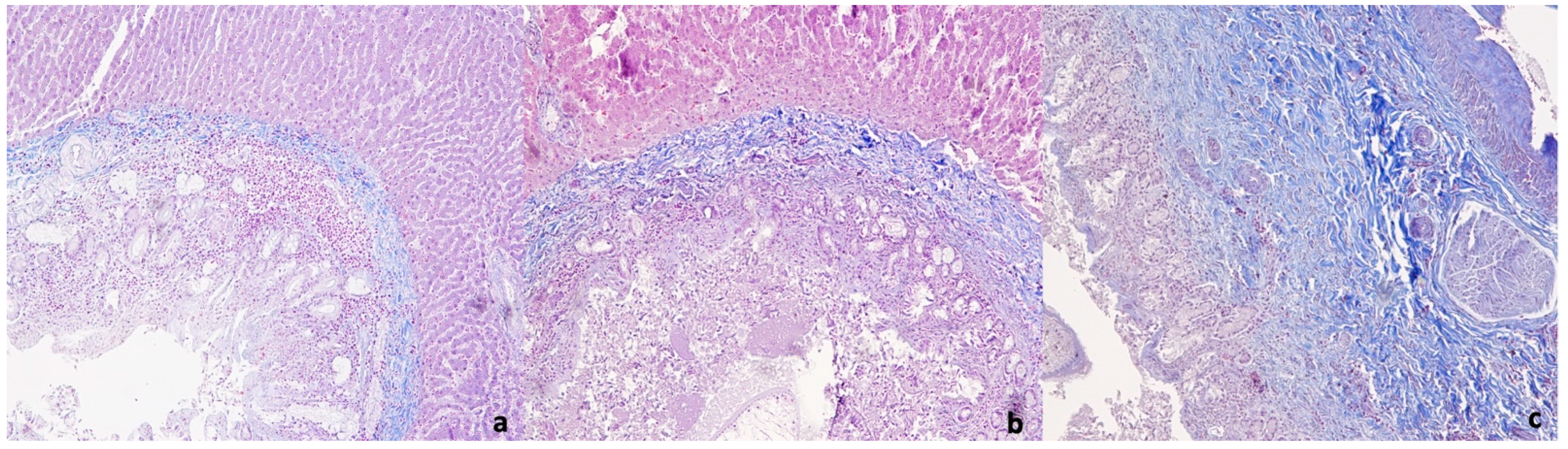
3.3. Histological Examination
3.4. Immunohistochemical Evaluation
4. Discussion
4.1. Coprological Analysis and Parasitic Burden
4.2. Gross and Histological Examination
4.3. Immunohistochemical Evaluation
5. Conclusions
Author Contributions
Funding
Institutional Review Board Statement
Data Availability Statement
Conflicts of Interest
References
- Otranto, D.; Traversa, D. Dicrocoeliosis of ruminants: A little known fluke disease. Trends Parasitol. 2003, 19, 12–15. [Google Scholar] [CrossRef]
- Rojo-Vázquez, F.A.; Meana, A.; Valcárcel, F.; Martínez-Valladares, M. Update on trematode infections in sheep. Vet. Parasitol. 2012, 189, 15–38. [Google Scholar] [CrossRef]
- Cringoli, G.; Rinaldi, L. Helminth-Trematode: Dicrocoelium dendriticum. FOSA 2014, 2, 124–129. [Google Scholar] [CrossRef]
- Manga-Gonzàlez, M.Y.; Gonzàlez-Lanza, C.; Cabanas, E.; Campo, R. Contributions to and review of dicrocoeliosis, with special reference to the intermediate hosts of Dicrocoelium dendriticum. Parasitology 2001, 12, 91–114. [Google Scholar] [CrossRef]
- Manga-González, M.Y.; Ferreras, M.C. Dicrocoeliidae Family: Major Species Causing Veterinary Diseases. Adv. Exp. Med. Biol. 2019, 1154, 279–319. [Google Scholar] [CrossRef]
- Otranto, D.; Traversa, D. A review of dicrocoeliosis of ruminants including recent advances in the diagnosis and treatment. Vet. Parasitol. 2002, 107, 317–335. [Google Scholar] [CrossRef]
- Bosco, A.; Rinaldi, L.; Salamina, V.; Santaniello, M.; Morgoglione, M.E.; Guariglia, I.; Cappelli, G.; Scala, A.; Cringoli, G. Field trial on the efficacy of albendazole micronised (single and double treatment) against Dicrocoelium dendriticum in naturally infected sheep: A new strategy for the control of dicrocoeliosis. Small Ruminant. Res. 2015, 126, 2–5. [Google Scholar] [CrossRef]
- Scala, A.; Tamponi, C.; Dessì, G.; Sedda, G.; Sanna, G.; Carta, S.; Corda, A.; Jacquiet, P.; Varcasia, A.; Ligios, C. Dicrocoeliosis in extensive sheep farms: A survey. Parasit. Vectors 2019, 12, 342. [Google Scholar] [CrossRef] [PubMed]
- Musella, V.; Catelan, D.; Rinaldi, L.; Lagazio, C.; Cringoli, G.; Biggeri, A. Covariate selection in multivariate spatial analysis of ovine parasitic infection. Prev. Vet. Med. 2011, 99, 69–77. [Google Scholar] [CrossRef] [PubMed]
- Arbabi, M.; Nezami, E.; Hooshyar, H.; Delavari, M. Epidemiology and economic loss of fasciolosis and dicrocoeliosis in Arak, Iran. Vet. World 2018, 11, 1648–1655. [Google Scholar] [CrossRef]
- Jithendran, K.P.; Bhat, T.K. Prevalence of dicrocoeliosis in sheep and goats in Himachal Pradesh, India. Vet. Parasitol. 1996, 61, 265–271. [Google Scholar] [CrossRef]
- Colwell, D.D.; Goater, C.P. Dicrocoelium dendriticum in cattle from Cypress Hills, Canada: Humoral response and preliminary evaluation of an ELISA. Vet. Parasitol. 2010, 174, 162–165. [Google Scholar] [CrossRef]
- Ferreras-Estrada, M.C.; Campo, R.; González-Lanza, C.; Pérez, V.; García-Marín, J.F.; Manga-González, M.Y. Immunohistochemical study of the local immune response in lambs experimentally infected with Dicrocoelium dendriticum (Digenea). Parasitol. Res. 2007, 101, 547–555. [Google Scholar] [CrossRef]
- Meeusen, E.; Lee, C.S.; Rickard, M.D.; Brandon, M.R. Cellular responses during liver fluke infection in sheep and its evasion by the parasite. Parasite Immunol. 1995, 17, 37–45. [Google Scholar] [CrossRef]
- Chauvin, A.; Boulard, C. Local immune response to experimental Fasciola hepatica infection in sheep. Parasite 1996, 3, 209–215. [Google Scholar] [CrossRef] [PubMed][Green Version]
- Cringoli, G.; Rinaldi, L.; Maurelli, M.P.; Utzinger, J. FLOTAC: New multivalent techniques for qualitative and quantitative copromicroscopic diagnosis of parasites in animals and humans. Nat. Protoc. 2010, 5, 503–515. [Google Scholar] [CrossRef]
- Wu, J.; Danielsson, A. Detection of hepatic fibrogenesis: A review of available techniques. Scand. J. Gastroenterol. 1995, 30, 817–825. [Google Scholar] [CrossRef]
- Laricchiuta, P.; Russo, V.; Costagliola, A.; Piegari, G.; Capasso, M.; Silvestre, P.; Martano, M.; Paciello, O. Histological and immunohistochemical characterisation of uterine adenocarcinoma in an Asian elephant (Elephas Maximus). Folia Morphol. 2018, 77, 771–774. [Google Scholar] [CrossRef]
- Zafra, R.; Buffoni, L.; Martínez-Moreno, A.; Pérez-Ecija, A.; Martinez-Moreno, F.J.; Pérez, J. A study of the liver of goats immunized with a synthetic peptide of the Sm14 antigen and challenged with Fasciola hepatica. J. Comp. Pathol. 2008, 139, 169–176. [Google Scholar] [CrossRef]
- Costagliola, A.; Piegari, G.; Otrocka-Domagala, I.; Ciccarelli, D.; Iovane, V.; Oliva, G.; Russo, V.; Rinaldi, L.; Papparella, S.; Paciello, O. Immunopathological Features of Canine Myocarditis Associated with Leishmania infantum Infection. Biomed. Res. Int. 2016, 2016, 8016186. [Google Scholar] [CrossRef]
- Miot, H.A. Correlation analysis in clinical and experimental studies. J. Vasc. Bras. 2018, 17, 275–279. [Google Scholar] [CrossRef]
- Samadie, H.; Mohammadi, G.; Heidarpour, M.; Azizzadeh, M.; Maleki, M.; Borji, H. Parasitic Burdens, Egg Output, Hemathologic, and Biochemical Changes in Naturally Infected Lambs with Dicrocoelium dendriticum. Iran. J. Parasitol. 2016, 11, 11358–11363. [Google Scholar]
- Campo, R.; Manga-González, M.Y.; González-Lanza, C. Relationship between egg output and parasitic burden in lambs experimentally infected with different doses of Dicrocoelium dendriticum (Digenea). Vet. Parasitol. 2000, 87, 139–149. [Google Scholar] [CrossRef]
- Rehbein, S.; Lindner, T.; Kokott, S. Dicrocoelium dendriticum infection in sheep: Faecal egg count, gall bladder egg count, gall bladder fluke count, total fluke count. Helminthologia 2002, 2, 71–75. [Google Scholar]
- Manga-Gonzàlez, M.Y.; Gonzàlez-Lanza, C. Field and experimental studies on Dicrocoelium dendriticum and dicrocoeliasis in northern Spain. J. Helminthol. 2007, 4, 291–302. [Google Scholar] [CrossRef]
- Radfar, M.H.; Nourollahi-Fard, S.R.; Mohammadyari, N. Bovine fasciolosis: Prevalence, relationship between faecal egg count and worm burden and its economic impact due to liver condemnation at Rudsar abattoir, Northern Iran. J. Parasit. Dis. 2015, 39, 522–525. [Google Scholar] [CrossRef]
- Rinaldi, L.; Veneziano, V.; Morgoglione, M.E.; Pennacchio, S.; Santaniello, M.; Schioppi, M.; Musella, V.; Fedele, V.; Cringoli, G. Is gastrointestinal strongyle faecal egg count influenced by hour of sample collection and worm burden in goats? Vet. Parasitol. 2009, 163, 81–86. [Google Scholar] [CrossRef]
- Wolff, K.; Hauser, B.; Wild, P. Dicrocoeliose des Schafes: Untersuchungenzur Pathogenese und zur Regeneration der Leber nach Therapie. Berliner und Münchener Tierärztliche Wochenschrift 1984, 97, 378–387. [Google Scholar]
- Samadie, H.; Mohammadi, C.R.; Maleki, M.; Borji, H.; Azizzadeh, M.; Heidarpour, M. Relationships between Oxidative Stress, Liver, and Erythrocyte Injury, Trace Elements and Parasite Burden in Sheep Naturally Infected with Dicrocoelium dendriticum. Iran. J. Parasitol. 2017, 1, 46–55. [Google Scholar]
- Alpini, G.; Glaser, S.S.; Ueno, Y.; Pham, L.; Podila, P.V.; Caligiuri, A.; LeSage, G.; LaRusso, N.F. Hetergeneity of the proliferative capacity of rat cholangiocytes after bile duct ligation. Am. J. Physiol. 1998, 274, G767–G775. [Google Scholar]
- Sato, K.; Meng, F.; Giang, T.; Glaser, S.; Alpini, G. Mechanisms of cholangiocyte responses to injury. Biochim. Biophys. Acta Mol. Basis Dis. 2018, 1864 Pt B, 1262–1269. [Google Scholar] [CrossRef]
- Desmet, V.J. Ductal plates in hepatic ductular reactions. Hypothesis and implications. I. Types of ductular reaction reconsidered. Virchows Arch. 2011, 458, 251–259. [Google Scholar] [CrossRef]
- Sato, K.; Marzioni, M.; Meng, F.; Francis, H.; Glaser, S.; Alpini, G. Ductular Reaction in Liver Diseases: Pathological Mechanisms and Translational Significances. Hepatology 2019, 69, 420–430. [Google Scholar] [CrossRef]
- Marcos, L.A.; Yi, P.; Machicado, A.; Andrade, R.; Samalvides, F.; Sánchez, J.; Terashima, A. Hepatic fibrosis and Fasciola hepatica infection in cattle. J. Helminthol. 2007, 81, 381–386. [Google Scholar] [CrossRef]
- Braga, T.T.; Agudelo, J.S.H.; Camara, N.O.S. Macrophages during the Fibrotic Process: M2 as Friend and Foe. Front. Immunol. 2015, 6, 602. [Google Scholar] [CrossRef]
- Maizels, R.M.; McSorley, H.J. Regulation of the host immune system by helminth parasites. J. Allergy Clin. Immunol. 2016, 138, 666–675. [Google Scholar] [CrossRef]
- Tliba, O.; Moire, N.; Le Vern, Y.; Boulard, C.; Chauvin, A.; Sibille, P. Early hepatic immune response in rats infected with Fasciola hepatica. Vet. Res. 2002, 33, 261. [Google Scholar] [CrossRef]
- Pierezan, F.; Mansell, J.; Ambrus, A.; Rodrigues Hoffmann, A. Immunohistochemical expression of ionized calcium binding adapter molecule 1 in cutaneous histiocytic proliferative, neoplastic and inflammatory disorders of dogs and cats. J. Comp. Pathol. 2014, 151, 347–351. [Google Scholar] [CrossRef]
- Wynn, T.A.; Vannella, K.M. Macrophages in Tissue Repair, Regeneration, and Fibrosis. Immunity 2016, 44, 450–462. [Google Scholar] [CrossRef]


| Group | EPG * | Worm Burden | LLS ** | Fibrosis | BDH *** | LI **** |
|---|---|---|---|---|---|---|
| 12 | 69 | 1 | 1 | 1 | 3 | |
| 12 | 76 | 1 | 1 | 1 | 3 | |
| A | 6 | 84 | 1 | 1 | 1 | 2 |
| 9 | 58 | 1 | 1 | 1 | 3 | |
| 18 | 136 | 1 | 1 | 1 | 3 | |
| 24 | 109 | 2 | 1 | 1 | 3 | |
| 36 | 164 | 2 | 2 | 1 | 3 | |
| 30 | 248 | 2 | 1 | 2 | 2 | |
| 36 | 398 | 2 | 2 | 2 | 2 | |
| B | 30 | 111 | 3 | 1 | 2 | 2 |
| 36 | 228 | 3 | 1 | 1 | 2 | |
| 96 | 317 | 3 | 2 | 2 | 2 | |
| 150 | 1310 | 3 | 3 | 3 | 1 | |
| 120 | 890 | 3 | 3 | 3 | 1 | |
| C | 156 | 1327 | 4 | 3 | 3 | 1 |
| 228 | 3328 | 3 | 3 | 3 | 1 | |
| 144 | 1134 | 4 | 3 | 3 | 1 | |
| 855 | 7850 | 4 | 3 | 3 | 1 | |
| 0 | 0 | 0 | 0 | 0 | 0 | |
| 0 | 0 | 0 | 0 | 0 | 0 | |
| D | 0 | 0 | 0 | 0 | 0 | 0 |
| 0 | 0 | 0 | 0 | 0 | 0 | |
| 0 | 0 | 0 | 0 | 0 | 0 | |
| 0 | 0 | 0 | 0 | 0 | 0 |
| Group | CD3+ | CD4+ | CD8+ | Cd79 α | IBA-1 |
|---|---|---|---|---|---|
| 3 | 2 | 1 | 2 | 1 | |
| 3 | 2 | 1 | 1 | 1 | |
| A | 3 | 2 | 1 | 3 | 1 |
| 2 | 1 | 1 | 1 | 1 | |
| 3 | 2 | 1 | 2 | 1 | |
| 3 | 1 | 2 | 1 | 1 | |
| 3 | 1 | 2 | 2 | 1 | |
| 2 | 2 | 1 | 1 | 1 | |
| B | 2 | 1 | 1 | 2 | 2 |
| 3 | 2 | 1 | 1 | 1 | |
| 3 | 2 | 2 | 2 | 2 | |
| 3 | 2 | 1 | 2 | 1 | |
| 3 | 1 | 2 | 2 | 1 | |
| 3 | 2 | 1 | 2 | 2 | |
| C | 3 | 2 | 1 | 2 | 2 |
| 3 | 2 | 1 | 2 | 2 | |
| 2 | 1 | 1 | 2 | 2 | |
| 3 | 2 | 1 | 2 | 2 |
| Group | CD3+ | CD4+ | CD8+ | Cd79 α | IBA-1 |
|---|---|---|---|---|---|
| A (EPG < 30) | 3 | 2 | 1 | 2 | 1 |
| B (EPG 30–100) | 3 | 2 | 1 | 2 | 1 |
| C (EPG > 100) | 3 | 2 | 1 | 2 | 2 |
Publisher’s Note: MDPI stays neutral with regard to jurisdictional claims in published maps and institutional affiliations. |
© 2021 by the authors. Licensee MDPI, Basel, Switzerland. This article is an open access article distributed under the terms and conditions of the Creative Commons Attribution (CC BY) license (http://creativecommons.org/licenses/by/4.0/).
Share and Cite
Piegari, G.; Pepe, P.; De Biase, D.; d’Aquino, I.; Bosco, A.; Cringoli, G.; Papparella, S.; Rinaldi, L.; Paciello, O. Immunopathological Response, Histological Changes, Parasitic Burden, and Egg Output in Sheep Naturally Infected by Dicrocoelium dendriticum. Animals 2021, 11, 546. https://doi.org/10.3390/ani11020546
Piegari G, Pepe P, De Biase D, d’Aquino I, Bosco A, Cringoli G, Papparella S, Rinaldi L, Paciello O. Immunopathological Response, Histological Changes, Parasitic Burden, and Egg Output in Sheep Naturally Infected by Dicrocoelium dendriticum. Animals. 2021; 11(2):546. https://doi.org/10.3390/ani11020546
Chicago/Turabian StylePiegari, Giuseppe, Paola Pepe, Davide De Biase, Ilaria d’Aquino, Antonio Bosco, Giuseppe Cringoli, Serenella Papparella, Laura Rinaldi, and Orlando Paciello. 2021. "Immunopathological Response, Histological Changes, Parasitic Burden, and Egg Output in Sheep Naturally Infected by Dicrocoelium dendriticum" Animals 11, no. 2: 546. https://doi.org/10.3390/ani11020546
APA StylePiegari, G., Pepe, P., De Biase, D., d’Aquino, I., Bosco, A., Cringoli, G., Papparella, S., Rinaldi, L., & Paciello, O. (2021). Immunopathological Response, Histological Changes, Parasitic Burden, and Egg Output in Sheep Naturally Infected by Dicrocoelium dendriticum. Animals, 11(2), 546. https://doi.org/10.3390/ani11020546

