Tear Production, Intraocular Pressure, Ultrasound Biometric Features and Conjunctival Flora Identification in Clinically Normal Eyes of Two Italian Breeds of Chicken (Gallus gallus domesticus)
Abstract
Simple Summary
Abstract
1. Introduction
2. Materials and Methods
2.1. Rearing Conditions of Chickens
2.2. Data Collection
2.3. Ophthalmologic Examination
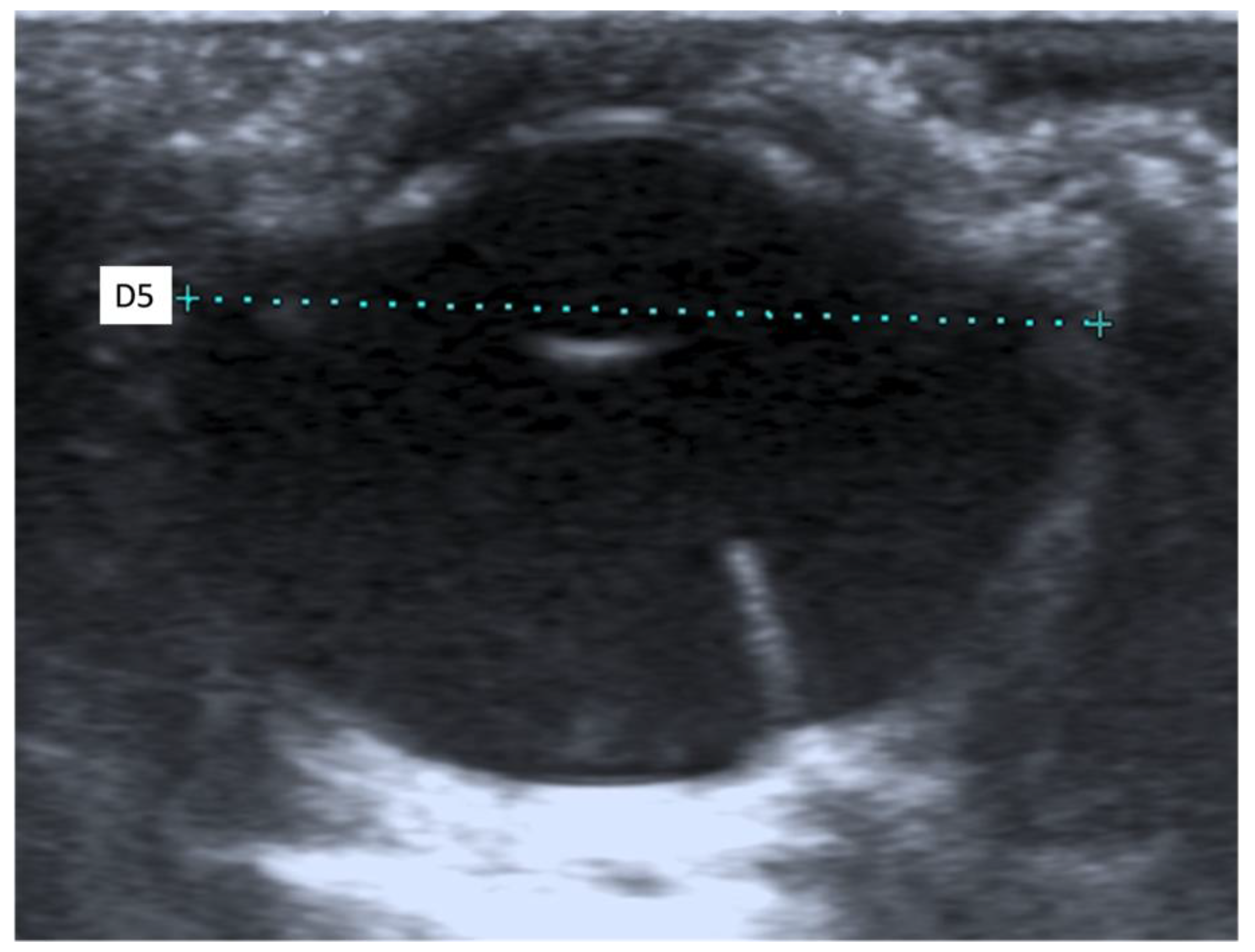
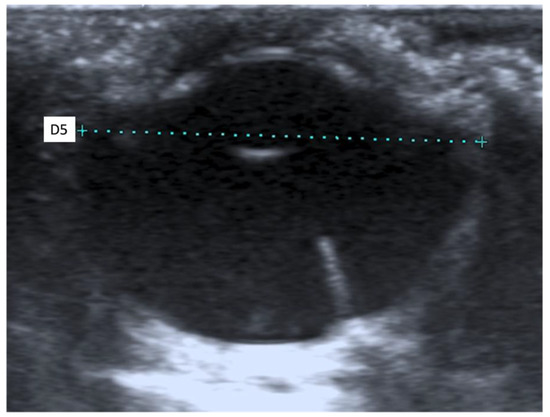
2.4. Ultrasound Biometric Measurements
2.5. Conjunctival Bacterial and Fungal Flora Identification
2.6. Statistical Analysis
3. Results
3.1. Ophthalmologic Examination
3.2. Ultrasound Biometric Measurements
3.3. Conjunctival Bacterial and Fungal Flora Identification
4. Discussion
5. Conclusions
Author Contributions
Funding
Institutional Review Board Statement
Informed Consent Statement
Data Availability Statement
Conflicts of Interest
References
- Nickla, D.L.; Wildsoet, C.; Wallman, J. The circadian rhythm in intraocular pressure and its relation to diurnal ocular growth changes in chicks. Exp. Eye Res. 1998, 66, 183–193. [Google Scholar] [CrossRef]
- Gonzalez, E.M.; Rodriguez, A.; Garcia, I. Review of ocular ultrasonography. Vet. Radiol. Ultrasound 2001, 42, 485–495. [Google Scholar] [CrossRef]
- Choh, V.; Sivak, J.G.; Irving, E.L.; Wong, W. Ultrasound biomicroscopy of the anterior segment of the enucleated chicken eye during accommodation. Ophthalmic Physiol. Opt. 2002, 22, 401–408. [Google Scholar] [CrossRef]
- Williams, D.L.; Gonzalez Villavincencio, C.M.; Wilson, S. Chronic ocular lesions in tawny owls (Strix aluco) injured by road traffic. Vet. Rec. 2006, 159, 148–153. [Google Scholar] [CrossRef]
- Gumpenberger, M.; Kolm, G. Ultrasonographic and computed tomographic examinations of the avian eye: Physiologic appearance, pathologic findings, and comparative biometric measurement. Vet. Radiol. Ultrasound 2006, 47, 492–502. [Google Scholar] [CrossRef] [PubMed]
- Jeong, M.B.; Kim, Y.J.; Yi, N.Y.; Park, S.A.; Kim, W.T.; Kim, S.E.; Chae, J.M.; Kim, J.T.; Lee, H.; Seo, K.M. Comparison of the rebound tonometer (TonoVet®) with the applanation tonometer (TonoPen XL®) in normal Eurasian Eagle owls (Bubo bubo). Vet. Ophthalmol. 2007, 10, 376–379. [Google Scholar] [CrossRef] [PubMed]
- Prashar, A.; Guggenheim, J.A.; Erichsen, J.T.; Hocking, P.M.; Morgan, J.E. Measurement of intraocular pressure (IOP) in chickens using a rebound tonometer: Quantitative evaluation of variance due to position inaccuracies. Exp. Eye Res. 2007, 85, 563–571. [Google Scholar] [CrossRef]
- Harris, M.C.; Schorling, J.J.; Herring, I.P.; Elvinger, F.; Bright, P.R.; Pickett, J.P. Ophthalmic examination findings in a colony of screech owls (Megascops asio). Vet. Ophthalmol. 2008, 11, 186–192. [Google Scholar] [CrossRef] [PubMed]
- Storey, E.S.; Carboni, D.A.; Kearney, M.T.; Tully, T.N. Use of phenol red thread tests to evaluate tear production in clinically normal Amazon parrots and comparison with Schirmer tear test findings. J. Am. Vet. Med. Assoc. 2009, 235, 1181–1187. [Google Scholar] [CrossRef] [PubMed]
- Swinger, R.L.; Langan, J.N.; Hamor, R. Ocular bacterial flora, tear production, and intraocular pressure in a captive flock of Humboldt penguins (Spheniscus humboldti). J. Zoo Wildl. Med. 2009, 40, 430–436. [Google Scholar] [CrossRef]
- Mercado, J.A.; Wirtu, G.; Beaufrere, H.; Lydick, D. Intraocular pressure in captive black-footed penguins (Spheniscus demersus) measured by rebound tonometry. J. Avian Med. Surg. 2010, 24, 138–141. [Google Scholar] [CrossRef]
- Squarzoni, R.; Perlmann, E.; Antunes, A.; Milanelo, L.; De Moraes Barros, P.L. Ultrasonographic aspects and biometry of Striped owl’s eyes (Rhinoptynx clamator). Vet. Ophthalmol. 2010, 13, 86–90. [Google Scholar] [CrossRef]
- Lehmkuhl, R.C.; Almeida, M.F.; Mamprim, M.J.; Vulcano, L.C. B-mode ultrasonography biometry of the Amazon Parrot (Amazona aestiva) eye. Vet. Ophthalmol. 2010, 13, 26–28. [Google Scholar] [CrossRef]
- Tappeiner, C.; Goldblum, D.; Katsoulis, K.; Sarra, G.M.; Frueh, B.E. In vivo measurement of central corneal thickness in normal chicks (Gallus gallus domesticus) with the optical low-coherence reflectometer. Vet. Ophthalmol. 2011, 14, 257–261. [Google Scholar] [CrossRef]
- Reuter, A.; Müller, K.; Arndt, G.; Eule, J.C. Reference intervals for intraocular pressure measured by rebound tonometry in ten raptor species and factors affecting the intraocular pressure. J. Avian Med. Surg. 2011, 25, 165–172. [Google Scholar] [CrossRef]
- Labelle, A.L.; Whittington, J.K.; Breaux, C.B.; Labelle, P.; Mitchell, M.A.; Zarfoss, M.K.; Schmidt, S.A.; Hamor, R.E. Clinical utility of a complete diagnostic protocol for the ocular evaluation of free-living raptors. Vet. Ophthalmol. 2012, 15, 5–17. [Google Scholar] [CrossRef] [PubMed]
- Penha, A.M.; Burkhardt, E.; Schaeffel, F.; Feldkaemper, M.P. Ultrasonography and optical low-coherence interferometry compared in the chicken eye. Optom. Vis. Sci. 2012, 89, 916–921. [Google Scholar] [CrossRef]
- Ghaffari, M.S.; Sabzevari, A.; Vahedi, H.; Golezardy, H. Determination of reference values for intraocular pressure and Schirmer tear test in clinically normal ostriches (Struthio camelus). J. Zoo Wildl. Med. 2012, 43, 229–232. [Google Scholar] [CrossRef] [PubMed][Green Version]
- Barsotti, G.; Briganti, A.; Spratte, J.R.; Ceccherelli, R.; Breghi, G. Schirmer tear test type I readings and intraocular pressure values assessed by applanation tonometry (Tonopen® XL) in normal eyes of four European species of birds of prey. Vet. Ophthalmol. 2013, 16, 365–369. [Google Scholar] [CrossRef] [PubMed]
- Kuhn, S.E.; Jones, M.P.; Hendrix, D.V.; Ward, D.A.; Baine, K.H. Normal ocular parameters and characterization of ophthalmic lesions in a group of captive bald eagles (Haliaeetus leucocephalus). J. Avian Med. Surg. 2013, 27, 90–98. [Google Scholar] [CrossRef]
- Hayat, A.; Biricik, H.S. Measurement of tear secretion in healthy pigeons by using the phenol red thread test. Vet. Rec. 2014, 175, 594. [Google Scholar] [CrossRef]
- Meekins, J.M.; Stuckey, J.A.; Carpenter, J.W.; Armbrust, L.; Higbie, C.; Rankin, A.J. Ophthalmic diagnostic tests and ocular findings in a flock of captive American flamingos (Phoenicopterus ruber ruber). J. Avian Med. Surg. 2015, 29, 95–105. [Google Scholar] [CrossRef]
- Wills, S.; Pinard, C.; Nykamp, S.; Beaufrère, H. Ophthalmic reference values and lesions in two captive populations of northern owls: Great grey owls (Strix nebulosa) and snowy owls (Bubo scandiacus). J. Zoo Wildl. Med. 2016, 47, 244–255. [Google Scholar] [CrossRef]
- Mood, M.A.; Rajaei, S.M.; Hashemi, S.S.G.; Williams, D.L. Measurement of intraocular pressure in the domestic pigeon (Columbia livia). J. Zoo Wildl. Med. 2016, 47, 935–938. [Google Scholar] [CrossRef]
- Mood, M.A.; Rajaei, S.M.; Hashemi, S.S.G.; Williams, D.L.; Sadjadi, R. Measurement of tear production and intraocular pressure in ducks and geese. Vet. Ophthalmol. 2017, 20, 53–57. [Google Scholar] [CrossRef]
- Sheldon, J.D.; Adkesson, M.J.; Allender, M.C.; Jankowski, G.; Langan, J.; Cardeña, M.; Cárdenas-Alayza, S. Determination of tear production and intraocular pressure with rebound tonometry in wild Humboldt penguins (Spheniscus humboldti). J. Avian Med. Surg. 2016, 31, 16–23. [Google Scholar] [CrossRef]
- Wisely, C.E.; Sayed, J.A.; Tamez, H.; Zelinka, C.; Abdel-Rahman, M.H.; Fischer, A.J.; Cebulla, C.M. The chick eye in vision research: An excellent model for the study of ocular disease. Prog. Retin. Eye Res. 2017, 61, 72–97. [Google Scholar] [CrossRef]
- Trejo-Reveles, V.; McTeir, L.; Summers, K.; Rainger, J. An analysis of anterior segment development in the chicken eye. Mech. Dev. 2018, 150, 42–49. [Google Scholar] [CrossRef] [PubMed]
- Fornazari, G.; Ferreira, T.A.C.; Santin, E.; Panisson, J.C.; Maiorka, A.; Montiani-Ferreira, F. Schirmer’s I, modified Schirmer’s I, phenol red thread, and paper point tests: A comparative study for tear production measurement techniques in broiler chicks (Gallus gallus domesticus). Poult. Sci. 2018, 9, 3258–3263. [Google Scholar] [CrossRef] [PubMed]
- Dupont, C.; Carrie, M.; Higgins, R. Bacterial and fungal microflora in healthy eyes of birds of prey. Can. Vet. J. 1994, 34, 699–701. [Google Scholar]
- Silvanose, C.D.; Bailey, T.A.; Naldo, J.L.; Howlett, J.C. Bacterial flora of the conjunctiva and nasal cavity in normal and diseased captive bustards. Avian Dis. 2001, 45, 447–451. [Google Scholar] [CrossRef]
- Cousquer, G.O.; Cooper, J.E.; Cobb, M.A. Conjunctival flora in tawny owls (Strix aluco). Vet. Rec. 2010, 166, 652. [Google Scholar] [CrossRef]
- Papastergiou, G.I.; Schmid, G.F.; Riva, C.E.; Mendel, M.J.; Stone, R.A.; Laties, A.M. Ocular axial length and choroidal thickness in newly hatched chicks and one-year-old chickens fluctuate in a diurnal pattern that is influenced by visual experience and intraocular pressure changes. Exp. Eye Res. 1998, 66, 195–205. [Google Scholar] [CrossRef] [PubMed]
- Beckwith-Cohen, B.; Horowitz, I.; Bdolah-Abram, T.; Lublin, A.; Ofri, R. Differences in ocular parameters between diurnal and nocturnal raptors. Vet. Ophthalmol. 2015, 18, 98–105. [Google Scholar] [CrossRef]
- Holt, E.; Rosenthal, K.; Shofer, F.S. The phenol red thread tear test in large Psittaciformes. Vet. Ophthalmol. 2006, 9, 109–113. [Google Scholar] [CrossRef] [PubMed]
- Rajaei, S.M.; Khorram, H.; Williams, D.L. Measurement of tear production using the phenol red thread test in the common mynah (Acridotheres tristis). J. Avian Med. Surg. 2015, 29, 146–148. [Google Scholar] [CrossRef] [PubMed]
- Komnenou, A.T.; Thomas, A.L.; Danika, S.E.; Skartsi, T.; Vasilakis, D.P.; Cárcamo, B.; Ofri, R. Estimation of normal tear production in free-living Eurasian black vultures (Aegypius monachus) and griffon vultures (Gyps fulvus) in Dadia National Park, Greece. J. Zoo Wildl. Med. 2013, 44, 315–323. [Google Scholar] [CrossRef] [PubMed]
- Bliss, C.D.; Aquino, S.; Woodhouse, S. Ocular findings and reference values for selected ophthalmic diagnostic tests in the macaroni penguin (Eudyptes chrysolophus) and southern rockhopper penguin (Eudyptes chrysocome). Vet. Ophthalmol. 2015, 18, 86–93. [Google Scholar] [CrossRef] [PubMed]
- Rajaei, S.M.; Mood, M.A.; Hashemi, S.S.G. Measurement of tear production and intraocular pressure in healthy captive helmeted guinea fowl (Numida meleagris). J. Avian Med. Surg. 2016, 30, 324–328. [Google Scholar] [CrossRef] [PubMed]
- Smith, S.P.; Barbon, A.R.; Forbes, N.A. Evaluation of the phenol red thread tear test in Falconiformes. J. Avian Med. Surg. 2015, 29, 25–29. [Google Scholar] [CrossRef]
- O’Connell, K.M.; Michau, T.M.; Stine, J.M.; Reid, A.T. Ophthalmic diagnostic testing and examination findings in a colony of captive brown pelicans (Pelecanus occidentalis). Vet. Ophthalmol. 2017, 20, 196–204. [Google Scholar] [CrossRef]
- Freeman, K.S.; Fiorello, C.; Murray, M. Comparison of anterior segment health in wild and captive common murres. Vet. Ophthalmol. 2018, 21, 174–181. [Google Scholar] [CrossRef]
- Kim, J.; Kim, D.; Kim, E.J.; Lee, H.B.; Kim, N.S.; Kim, M.S. Ophthalmic examination in common kestrels (Falco tinnuculus) from South Korea. J. Zoo Wildl. Med. 2017, 48, 683–687. [Google Scholar] [CrossRef]
- Kinney, M.E.; Ericsson, A.C.; Franklin, C.L.; Whiting, R.E.; Pearce, J.W. Ocular findings and select ophthalmic diagnostic tests in captive american white pelicans (Pelecanus erythrorhynchos). J. Zoo Wildl. Med. 2017, 48, 675. [Google Scholar] [CrossRef] [PubMed]
- Kovalcuka, L.; Boiko, D.; Williams, D.L. Tear production and intraocular pressure values in clinically normal eyes of whooper swans (Cygnus cygnus). Open Vet. J. 2018, 8, 335–339. [Google Scholar] [CrossRef] [PubMed]
- Hwang, J.; Kang, S.; Seok, S.; Ahmed, S.; Yeon, S. Ophthalmic findings in cinereous vultures (Aegypius monachus). Vet. Ophthalmol. 2020, 23, 314–324. [Google Scholar] [CrossRef] [PubMed]
- Westmoreland, L.S.; Hadfield, C.A.; Clayton, L.A.; Atkins, R.M.; Hyman, J.A.; Rossi, B.H. Ocular examinations and investigation of intraocular pressure, tear production, central corneal thickness, and corneal touch threshold in a captive flock of Atlantic puffins (Fratercula arctica). J. Avian Med. Surg. 2020, 34, 123–131. [Google Scholar] [CrossRef] [PubMed]
- Sjögren, H. The lacrimal secretion in newborn premature and fully developed children. Acta Ophthalmol. 1955, 33, 557–560. [Google Scholar] [CrossRef] [PubMed]
- Isenberg, S.J.; Apt, L.; McCarty, J.; Cooper, L.L.; Lim, L.; Del Signore, M. Development of tearing in preterm and term neonates. Arch. Ophthalmol. 1998, 116, 773–776. [Google Scholar] [CrossRef] [PubMed]
- Broadwater, J.J.; Colitz, C.; Carastro, S.; Saville, W. Tear production in normal juvenile dogs. Vet. Ophthalmol. 2010, 13, 321–325. [Google Scholar] [CrossRef]
- Da Silva, E.G.; Sandmeyer, L.S.; Gionfriddo, J.R.; Montiani-Ferreira, F.; Galera, P.D. Tear production in canine neonates–evaluation using a modified Schirmer tear test. Vet. Ophthalmol. 2013, 16, 175–179. [Google Scholar] [CrossRef]
- Molter, C.M.; Hollingsworth, S.R.; Kass, P.H.; Chinnadurai, S.K.; Wack, R.F. Intraocular pressure in captive American flamingos (Phoenicopterus ruber) as measured by rebound tonometry. J. Zoo Wildl. Med. 2014, 45, 664–667. [Google Scholar] [CrossRef]
- Toni, M.C.; Mierelles, A.E.W.B.; Gava, F.N.; Camacho, A.A.; Laus, J.L.; Canola, J.C. Rabbits’ eye globe sonographic biometry. Vet. Ophthalmol. 2010, 13, 384–386. [Google Scholar] [CrossRef] [PubMed]
- Spaulding, K. Eye and Orbit. In Atlas of Small Animal Ultrasonography, 1st ed.; Pennick, D., D’Anjou, M.A., Eds.; Blackwell: Ames, IA, USA, 2008; pp. 56–66. [Google Scholar]
- Wallman, J.; Turkel, J.; Trachtman, J. Extreme myopia produced by modest change in early visual experience. Science 1978, 201, 1249–1251. [Google Scholar] [CrossRef] [PubMed]
- Hocking, P.M.; Guggenheim, J.A. The chick as an animal model of eye disease. Drug Discov. Today Dis. Model 2014, 10, 225–230. [Google Scholar] [CrossRef]
- Chandler, J.W.; Gillette, T.E. Immunologic defense mechanisms of the ocular surface. Ophthalmology 1983, 90, 585–591. [Google Scholar] [CrossRef]
- Woldehivet, Z. Avian Chlaydophilosis (Chlamydiosis/Psittacosis/Ornithosis). In Poultry Diseases, 6th ed.; Pattison, M., McMullin, P.F., Bradbury, J.M., Alexander, D.J., Eds.; Elsevier: Amsterdam, The Netherlands, 2008; pp. 235–242. [Google Scholar]
- Gerding, P.A.; Cormany, K.; Weisiger, R. Survey and topographic distribution of bacterial and fungal microorganisms in eyes of clinically normal cats. Feline Pract. 1993, 21, 20–23. [Google Scholar]
- Barsotti, G.; Sgorbini, M.; Nardoni, S.; Corazza, M.; Mancianti, F. Occurrence of fungi from conjunctiva of healthy horses in Tuscany, Italy. Vet. Res. Commun. 2006, 30, 903–906. [Google Scholar] [CrossRef]
- Sgorbini, M.; Barsotti, G.; Nardoni, S.; Mancianti, F.; Rossi, S.; Corazza, M. Fungal flora of normal eyes in healthy newborn foals living in the same stud farm in Italy. J. Equine Vet. Sci. 2008, 28, 540–543. [Google Scholar] [CrossRef]
- Johns, I.C.; Baxter, K.; Booler, H.; Hicks, C.; Menzies-Gow, N. Conjunctival bacterial and fungal flora in healthy horses in the UK. Vet. Ophthalmol. 2011, 14, 195–199. [Google Scholar] [CrossRef]
- Khosravi, A.R.; Nikaein, D.; Sharifzadeh, A.; Gharagozlou, F. Ocular fungal flora from healthy horses in Iran. J. Mycol. Med. 2014, 24, 29–33. [Google Scholar] [CrossRef]
- Voelter-Ratson, K.; Monod, M.; Unger, L.; Spiess, B.M.; Pot, S.A. Evaluation of the conjunctival fungal flora and its susceptibility to antifungal agents in healthy horses in Switzerland. Vet. Ophthalmol. 2014, 17, 31–36. [Google Scholar] [CrossRef]
- Nardoni, S.; Sgorbini, M.; Barsotti, G.; Corazza, M.; Mancianti, F. Conjunctival fungal flora in healthy donkeys. Vet. Ophthalmol. 2007, 10, 207–210. [Google Scholar] [CrossRef]
- Laus, F.; Faillace, V.; Attili, A.R.; Spaterna, A.; Tesei, B.; Cuteri, V. Conjunctival bacterial and fungal flora in healthy donkeys in Central Italy. Large Anim. Rev. 2016, 22, 137–142. [Google Scholar]
- Sgorbini, M.; Barsotti, G.; Nardoni, S.; Brombin, M.; Sbrana, A.; Mancianti, F.; Corazza, M. Seasonal prevalence of fungi in the conjunctival fornix of healthy cows during a 2-year study. Vet. Ophthalmol. 2010, 13, 227–234. [Google Scholar] [CrossRef] [PubMed]
- Verneuil, M.; Durand, B.; Marcon, C.; Guillot, J. Conjunctival and cutaneous fungal flora in clinically normal dogs in southern France. J. Mycol. Med. 2014, 24, 25–28. [Google Scholar] [CrossRef] [PubMed]
- Bourguet, A.; Desprez, I.; Volait, L.; Guyonnet, A.; Pignon, C.; Boulouis, H.J.; Guillot, J.; Chahory, S. Conjunctival bacterial and fungal flora and cutaneous fungal flora in healthy domestic rabbits (Oryctolagus cuniculus). J. Small Anim. Pract. 2019, 60, 417–422. [Google Scholar] [CrossRef] [PubMed]
- Di Ianni, F.; Dodi, P.L.; Cabassi, C.S.; Pelizzone, I.; Sala, A.; Cavirani, S.; Parmigiani, E.; Quintavalla, F.; Taddei, S. Conjunctival flora of clinically normal and diseased turtles and tortoises. BMC Vet. Res. 2015, 11, 1–9. [Google Scholar] [CrossRef]



| (a) | ||||
| Both breeds | OS 1 (n 3 = 66) | OD 2 (n 3 = 66) | OS 1 + OD 2 (n 3 = 132) | Mean OS 1 + Mean OD 2 |
| Mean (mm/15 s 5) | 22.08 | 21.88 | 21.98 | 21.98 |
| SD 4 (mm/15 s 5) | 4.65 | 3.83 | 4.24 | 3.46 |
| Median (mm/15 s 5) | 22.00 | 21.00 | 22.00 | 22.00 |
| Maximum (mm/15 s 5) | 30.00 | 30.00 | 30.00 | 30.00 |
| Minimum (mm/15 s 5) | 12.00 | 15.00 | 12.00 | 16.00 |
| (b) | ||||
| The Livorno breed | OS 1 (n 3 = 35) | OD 2 (n 3 = 35) | OS 1 + OD 2 (n 3 = 70) | Mean OS 1 + Mean OD 2 |
| Mean (mm/15 s 5) | 24.26 | 23.29 | 23.77 | 23.77 |
| SD4 (mm/15 s 5) | 3.85 | 3.59 | 3.73 | 2.99 |
| Median (mm/15 s 5) | 25.00 | 24.00 | 24.00 | 24.00 |
| Maximum (mm/15 s 5) | 30.00 | 30.00 | 30.00 | 30.00 |
| Minimum (mm/15 s 5) | 15.00 | 17.00 | 15.00 | 17.50 |
| (c) | ||||
| The Siciliana breed | OS 1 (n 3 = 31) | OD 2 (n 3 = 31) | OS 1 + OD 2 (n 3 = 62) | Mean OS 1 + Mean OD 2 |
| Mean (mm/15 s 5) | 19.61 | 20.29 | 19.95 | 19.95 |
| SD 4 (mm/15 s 5) | 4.27 | 3.50 | 3.89 | 2.81 |
| Median (mm/15 s 5) | 19.00 | 20.00 | 19.50 | 20.00 |
| Maximum (mm/15 s 5) | 29.00 | 26.00 | 29.00 | 25.00 |
| Minimum (mm/15 s 5) | 12.00 | 15.00 | 12.00 | 16.00 |
| (a) | ||||
| Both breeds | OS 1 (n 3 = 66) | OD 2 (n 3 = 66) | OS 1 + OD 2 (n 3 = 132) | Mean OS 1 + Mean OD 2 |
| Mean (mmHg) | 14.24 | 14.14 | 14.19 | 14.19 |
| SD 4 (mmHg) | 1.30 | 1.26 | 1.28 | 1.16 |
| Median (mmHg) | 14.00 | 14.00 | 14.00 | 14.00 |
| Maximum (mmHg) | 18.00 | 17.00 | 18.00 | 17.50 |
| Minimum (mmHg) | 11.00 | 11.00 | 11.00 | 11.00 |
| (b) | ||||
| The Livorno breed | OS 1 (n 3 = 35) | OD 2 (n 3 = 35) | OS 1 + OD 2 (n 3 = 70) | Mean OS 1 + Mean OD 2 |
| Mean (mmHg) | 14.54 | 14.06 | 14.30 | 14.30 |
| SD 4 (mmHg) | 1.27 | 1.28 | 1.29 | 1.17 |
| Median (mmHg) | 14.00 | 14.00 | 14.00 | 14.00 |
| Maximum (mmHg) | 18.00 | 17.00 | 18.00 | 17.50 |
| Minimum (mmHg) | 11.00 | 12.00 | 11.00 | 11.50 |
| (c) | ||||
| The Siciliana breed | OS 1 (n 3 = 31) | OD 2 (n 3 = 31) | OS 1 + OD 2 (n 3 = 62) | Mean OS 1 + Mean OD 2 |
| Mean (mmHg) | 13.90 | 14.23 | 14.06 | 14.06 |
| SD 4 (mmHg) | 1.27 | 1.26 | 1.27 | 1.15 |
| Median (mmHg) | 14.00 | 14.00 | 14.00 | 14.00 |
| Maximum (mmHg) | 16.00 | 17.00 | 17.00 | 16.00 |
| Minimum (mmHg) | 11.00 | 11.00 | 11.00 | 11.00 |
| (a) | |||||||||||||||
| Both breeds | OS 1 (n 3 = 27) | OD 2 (n 3 = 27) | Mean OS 1 + Mean OD 2 | ||||||||||||
| D1 5 | D2 6 | D3 7 | D4 8 | D5 9 | D1 5 | D2 6 | D3 7 | D4 8 | D5 9 | D1 5 | D2 6 | D3 7 | D4 8 | D5 9 | |
| Mean (mm) | 1.68 | 7.41 | 4.29 | 15.09 | 18.01 | 1.66 | 7.48 | 4.32 | 15.16 | 18.07 | 1.67 | 7.44 | 4.30 | 15.12 | 18.04 |
| SD 4 (mm) | 0.16 | 0.18 | 0.11 | 0.44 | 0.49 | 0.16 | 0.20 | 0.17 | 0.37 | 0.49 | 0.12 | 0.17 | 0.12 | 0.37 | 0.43 |
| Median (mm) | 1.70 | 7.40 | 4.30 | 15.20 | 18.10 | 1.70 | 7.50 | 4.30 | 15.20 | 18.00 | 1.65 | 7.45 | 4.30 | 15.05 | 18.05 |
| Maximum (mm) | 2.10 | 7.70 | 4.50 | 15.80 | 18.80 | 1.90 | 7.80 | 4.70 | 15.90 | 18.90 | 1.95 | 7.75 | 4.55 | 15.80 | 18.85 |
| Minimum (mm) | 1.40 | 7.00 | 4.10 | 14.30 | 16.80 | 1.30 | 7.10 | 4.10 | 14.60 | 17.30 | 1.45 | 7.05 | 4.10 | 14.50 | 17.25 |
| (b) | |||||||||||||||
| The Livorno breed | OS 1 (n 3 = 15) | OD 2 (n 3 = 15) | Mean OS 1 + Mean OD 2 | ||||||||||||
| D1 5 | D2 6 | D3 7 | D4 8 | D5 9 | D1 5 | D2 6 | D3 7 | D4 8 | D5 9 | D1 5 | D2 6 | D3 7 | D4 8 | D5 9 | |
| Mean (mm) | 1.70 | 7.41 | 4.26 | 14.95 | 18.01 | 1.73 | 7.48 | 4.28 | 15.08 | 18.02 | 1.72 | 7.44 | 4.27 | 15.02 | 18.01 |
| SD 4 (mm) | 0.20 | 0.17 | 0.13 | 0.42 | 0.50 | 0.12 | 0.18 | 0.16 | 0.38 | 0.45 | 0.12 | 0.15 | 0.13 | 0.36 | 0.39 |
| Median (mm) | 1.70 | 7.40 | 4.30 | 14.90 | 18.10 | 1.70 | 7.50 | 4.20 | 15.00 | 18.00 | 1.70 | 7.45 | 4.25 | 15.00 | 18.05 |
| Maximum (mm) | 2.10 | 7.70 | 4.50 | 15.70 | 18.70 | 1.90 | 7.80 | 4.60 | 15.90 | 18.90 | 1.95 | 7.75 | 4.55 | 15.80 | 18.80 |
| Minimum (mm) | 1.40 | 7.20 | 4.10 | 14.50 | 16.80 | 1.50 | 7.10 | 4.10 | 14.60 | 17.30 | 1.55 | 7.15 | 4.10 | 14.55 | 17.25 |
| (c) | |||||||||||||||
| The Siciliana breed | OS 1 (n 3 = 15) | OD 2 (n 3 = 15) | Mean OS 1 + Mean OD 2 | ||||||||||||
| D1 5 | D2 6 | D3 7 | D4 8 | D5 9 | D1 5 | D2 6 | D3 7 | D4 8 | D5 9 | D1 5 | D2 6 | D3 7 | D4 8 | D5 9 | |
| Mean (mm) | 1.66 | 7.41 | 4.32 | 15.30 | 18.03 | 1.57 | 7.47 | 4.37 | 15.25 | 18.13 | 1.62 | 7.44 | 4.35 | 15.26 | 18.08 |
| SD 4 (mm) | 0.10 | 0.21 | 0.08 | 0.40 | 0.51 | 0.15 | 0.23 | 0.16 | 0.35 | 0.55 | 0.10 | 0.19 | 0.09 | 0.33 | 0.50 |
| Median (mm) | 1.70 | 7.40 | 4.30 | 15.35 | 18.00 | 1.60 | 7.50 | 4.35 | 15.35 | 18.05 | 1.62 | 7.45 | 4.35 | 15.43 | 18.03 |
| Maximum (mm) | 1.80 | 7.70 | 4.40 | 15.80 | 18.80 | 1.80 | 7.80 | 4.70 | 15.70 | 18.90 | 1.75 | 7.70 | 4.55 | 15.60 | 18.85 |
| Minimum (mm) | 1.50 | 7.00 | 4.20 | 14.30 | 17.10 | 1.30 | 7.10 | 4.20 | 14.70 | 17.30 | 1.45 | 7.05 | 4.20 | 14.50 | 17.45 |
| Animals | OD a | OS b | Chlamydia | ||
|---|---|---|---|---|---|
| Bacteria | TBC c (CFU/mL) | Bacteria | TBC c (CFU/mL) | ||
| 1 | Bacillus spp. | 2.2 × 102 | Negative | 9.2 × 102 | Negative |
| 2 | Negative | 3.2 × 103 | Bacillus spp./Staphylococcus spp. coagulase-negative | 2.5 × 102 | Negative |
| 3 | Corynebacterium spp. | 1.9 × 102 | Negative | 5 × 10 | Negative |
| 4 | Negative | 2.3 × 102 | Negative | 5.1 × 102 | Positive |
| 5 | Negative | 3.9 × 102 | Negative | 7 × 10 | Negative |
| 6 | Corynebacterium spp./Staphylococcus spp. coagulase-positive | 1.17 × 104 | Corynebacterium spp. | 7.8 × 102 | Negative |
| 7 | Bacillus spp. | 5.6 × 103 | Bacillus spp./Staphylococcus spp. coagulase-negative | 1.06 × 104 | Negative |
| 8 | Bacillus spp. | 6.9 × 103 | Bacillus spp. | 2.3 × 102 | Negative |
| 9 | Negative | 5.2 × 102 | Corynebacterium spp. | 1.12 × 105 | Positive |
| 10 | Negative | 3.3 × 102 | Negative | 4.1 × 102 | Negative |
| 11 | Negative | 3.1 × 103 | Bacillus spp./Staphylococcus spp. coagulase-negative | 2.11 × 104 | Negative |
| 12 | Corynebacterium spp./Staphylococcus spp. coagulase-positive | 1.31 × 104 | Corynebacterium spp. | 8.2 × 103 | Negative |
| 13 | Pasteurella spp. | 4.3 × 103 | Staphylococcus spp. coagulase-negative | 3.4 × 103 | Negative |
| 14 | Pasteurella spp./Corynebacterium spp. | 3.2 × 103 | Corynebacterium spp. | 5.8 × 103 | Negative |
| 15 | Staphylococcus spp. coagulase-positive | 6.1 × 102 | Staphylococcus spp. coagulase-negative | 1.75 × 103 | Negative |
| 16 | Bacillus spp. | 1.2 × 102 | Bacillus spp. | 9.2 × 102 | Negative |
| 17 | Pasteurella spp./Corynebacterium spp. | 6.6 × 103 | Pasteurella spp./Corynebacterium spp. | 2.9 × 103 | Positive |
| 18 | Pasteurella spp./Corynebacterium spp. | 2.1 × 103 | Enterobacter aerogenes/Corynebacterium spp. | 4.2 × 103 | Negative |
| 19 | Ochrobacterium anthropi/Corynebacterium spp. | >105 | Corynebacterium spp. | >105 | Negative |
| 20 | Bacillus spp. | 1.2 × 103 | Corynebacterium spp./Staphylococcus spp. coagulase -positive | 1.9 × 104 | Negative |
| 21 | Bacillus spp. | 2.03 × 104 | Negative | 1.2 × 102 | Negative |
| 22 | Negative | <100 | Negative | 1.3 × 103 | Negative |
| 23 | Negative | 1.1 × 102 | Bacillus spp. | 1.8 × 103 | Negative |
| 24 | Negative | <100 | Corynebacterium spp. | 2.3 × 102 | Negative |
| 25 | Ochrobacterium anthropi/Bacillus spp. | 1.5 × 102 | Bacillus spp. | 4.6 × 103 | Positive |
| 26 | Bacillus spp. | 4.7 × 102 | Negative | 3.4 × 102 | Negative |
| 27 | Negative | 1.2 × 105 | Negative | 1.1 × 103 | Negative |
| Species | Tear Production | Method Used | References |
|---|---|---|---|
| Local breed chicken (Gallus gallus domesticus) The Livorno breed (276–375 days) The Siciliana breed (276–375 days) | 21.98 ± 3.46 mm/15 s 23.77 ± 2.99 mm/15 s 19.95 ± 2.81 mm/15 s | PRTT 6 PRTT 6 PRTT 6 | Present study |
| Broiler chicks (Gallus gallus domesticus) 42-day-old chicks 5-day-old chicks 42-day-old chicks 5-day-old chicks 42-day-old chicks 5-day-old chicks 42-day-old chicks | 11.40 ± 2.60 mm/min 5.00 ± 1.83 mm/min 10.45 ± 2.58 mm/min 12.37 ± 1.80 mm/15 s 25.58 ± 4.8 mm/15 s 7.13 ± 0.72 mm/min 12.03 ± 0.92 mm/min | STTI 3 mSTTI 4 mSTTI 4 PRTT 6 PRTT 6 EAPPTT 8 EAPPTT 8 | [29] |
| American flamingo (Phoenicopterus ruber ruber) | 12.3 ± 4.5 mm/min 24.2 ± 4.4 mm/15 s | mSTTI 4 PRTT 6 | [22] |
| American white pelicans (Pelecanus erythrorhynchos) | 14.9 ± 7.84 mm/15 s | PRTT 6 | [44] |
| Atlantic puffins (Fratercula arctica) | OD 1: 7.5 mm/15 s (IQR 13: 6.5–9.3) OS 2: 5.0 mm/15 s. (IQR 13: 4.0–7.3) | PRTT 6 PRTT 6 | [47] |
| Bald eagle (Haliaetus leucocephalus) | 14 ± 2 mm/min | STTI 3 | [20] |
| Brown pelicans (Pelecanus occidentalis) | 5.45 ± 1.88 mm/min | STTI 3 | [41] |
| Cinereous vultures (Aegypius monachus) | OD 1: 11.4 ± 2.6 mm/min OS 2: 11.5 ± 2.8 mm/min OD 1: 22.3 ± 2.1 mm/15 s OS 2: 22.8 ± 3.0 mm/15 s | STTI 3 STTI 3 PRTT 6 PRTT 6 | [46] |
| Common buzzard (Buteo buteo) | 12.47 ± 2.66 mm/min | STTI 3 | [19] |
| Common kestrel (Falco tinnunculus) | 7.4 ± 3.27 mm/min | STTI 3 | [43] |
| Common murres (Uria aalge) | 20 ± 3.6 mm/15 s | PRTT 6 | [42] |
| Common mynah (Acridotheres tristis) | LE 11: 19.2 ± 2.5 mm/15 s UE 12: 17.5 ± 3.1 mm/15 s | PRTT 6 PRTT 6 | [36] |
| Ducks (Anas platyrynchos) | 6.2 ± 2.2 mm/min | STTI 3 | [25] |
| Eastern screech owl (Megascops asio) | ≤2 mm/min 15 ± 4.3 mm/15 s | STTI 3 PRTT 6 | [8] |
| Eurasian black vulture (Aegypius monachus) | OD 1: 10.9 ± 3.3 mm/min OS 2: 11.9 ± 3.3 mm/min | STTI 3 STTI 3 | [37] |
| Eurasian Tawny owl (Strix aluco) | 3.12 ± 1.92 mm/min | STTI 3 | [19] |
| European kestrel (Falco tinnunculus) | 6.20 ± 3.67 mm/min | STTI 3 | [19] |
| Falconiformes (genus Falco) | 30.6 ± 4.2 mm/15 s | PRTT 6 | [40] |
| Geese (Anser anser) | 5.5 ± 2.6 mm/min | STTI 3 | [25] |
| Great grey owls (Strix nebulosa) | 9.8 ± 2.8 mm/min | STTI 3 | [23] |
| Griffon vulture (Gyps fulvus) | OD 1: 6.4 ± 1.8 mm/min OS 2: 6.5 ± 1.8 mm/min | STTI 3 STTI 3 | [37] |
| Helmeted Guinea Fowl (Numida meleagris) | 16.5 ± 1.3 mm/15 s | PRTT 6 | [39] |
| Hispaniolan parrots (Amazona ventralis) | 12.5 ± 5.0 mm/15 s 12.6 ± 5.4 mm/15 s 7.9 ± 2.6 mm/min 5.1 ± 3.3 mm/min | PRTT 6 (WTA 9) PRTT 6 (TA 10) STTI 3 (WTA 9) STTI 3 (TA 10) | [9] |
| Humboldt penguin (Spheniscus humboldti) | 6.45 ± 2.9 mm/min | STTI 3 | [10] |
| Humboldt penguin (Spheniscus humboldti) | 9 ± 4 mm/min | STTI 3 | [26] |
| Large Psittaciformes (various genus, species) | OD 1: 19.8 ± 4.3 mm/15 s OS 2: 20.1 ± 3.9 mm/15 s | PRTT 6 PRTT 6 | [35] |
| Little owl (Athene noctua) | 3.5 ± 1.96 mm/min | STTI 3 | [19] |
| Macaroni penguin (Eudyptes chrysolophus) | 24.7 ± 6.37 mm/15 s 12.1 ± 5.43 mm/min | mPRTT 7 STTII 5 | [38] |
| Nocturnal raptor of different species Diurnal raptor of different species | 16.5 ± 7.6 mm/15 s 3.4 ± 3.8 mm/min 23.5 ± 8.9 mm/15 s 8.3 ± 5.4 mm/min | PRTT 6 STTI 3 PRTT 6 STTI 3 | [34] |
| Ostrich (Struthio camelus) | 16.3 ± 2.5 mm/min | STTI 3 | [18] |
| Pigeons (Turkish pigeons—Ankut trumpeter) | April: 23.02 ± 2.98 mm/15 s June: 24.04 ± 2.60 mm/15 s | PRTT 6 PRTT 6 | [21] |
| Snowy owls (Bubo scandiacus) | 9.8 ± 2.4 mm/min | STTI 3 | [23] |
| Southern rockhopper penguin (Eudyptes chrysocome) | 25.1 ± 7.07 mm/15 s 11.0 ± 3.96 mm/min | mPRTT 7 STTII 5 | [38] |
| Whooper swans (Cygnus cygnus) | 22.59 ± 3.48 mm/15 s | PRTT 6 | [45] |
| Species | Mean ± SD IOP 1 (mmHg) | Device Calibration | References |
|---|---|---|---|
| Local breed chicken (Gallus gallus domesticus) The Livorno breed The Siciliana breed | 14.19 ± 1.16 14.3 ± 1.17 14.06 ± 1.15 | TV-P 5 | Present study |
| White Leghorn chickens (Gallus gallus domesticus) | Day: 20.8 ± 1.1 Night: 16.8 ± 0.7 | TP 4 TP 4 | [33] |
| White Leghorn chickens (Gallus gallus domesticus) | Day: 22.3 Night: 12.3 | TP 4 TP 4 | [1] |
| White Leghorn/Broiler intercross (Gallus gallus domesticus) White Leghorn (Gallus gallus domesticus) Broiler (Gallus gallus domesticus) | 17.51 ± 0.13 16.3 ± 0.2 16.1 ± 0.2 | TV-P 5 TV-P 5 TV-P 5 | [7] |
| American flamingo (Phoenicopterus ruber ruber) | 16.1 ± 4.2 9.5 ± 1.7 | TP 4 TV-P 5 | [22] |
| American flamingo (Phoenicopterus ruber) | OS 3: 11.1 ± 2.3 OD 2: 10.9 ± 1.8 | TV-P 5 | [52] |
| American kestrel (Falco sparverius) | 8.5 ± 4.4 6.8 ± 1.7 | TP 4 TV-P 5 | [16] |
| American white pelicans (Pelecanus erythrorhynchos) | 9.0 ± 1.41 | TV-P 5 | [44] |
| Atlantic puffins (Fratercula arctica) | 13 (range 12–15) | TV-P 5 | [47] |
| Bald eagle (Haliaetus leucocephalus) | 21.5 ± 1.7 | TP 4 | [20] |
| Barn owl (Tyto alba) | 10.8 ± 3.8 | TV-D 6 | [15] |
| Barred owl (Strix varia) | 11.7 ± 3.8 8.3 ± 3.2 | TP 4 TV-P 5 | [16] |
| Black-footed penguin (Spheniscus demersus) | OD 2: 30.41 ± 4.27 OS 3: 28.13 ± 6.84 OD 2: 25.06 ± 4.35 OS 3: 25.05 ± 5.56 | TV-D 6 TV-H 7 | [11] |
| Brown pelicans (Pelecanus occidentalis) | 10.86 ± 1.61 | TP 4 | [41] |
| Cinereous vultures (Aegypius monachus) | OD 2: 32.8 ± 6.9 OS 3: 31.9 ± 7.1 OD 2: 20.7 ± 4.5 OS 3: 19.5 ± 4.1 | TV-D 6 TV-D 6 TP 4 TP 4 | [46] |
| Common buzzard (Buteo buteo) | 26.9 ± 7.0 | TV-D 6 | [15] |
| Common buzzard (Buteo buteo) | 17.2 ± 3.53 | TP 4 | [19] |
| Common kestrel (Falco tinnunculus) | 10.5 ± 3.15 | TP 4 | [43] |
| Common murres (Uria aalge) | 22.7 ± 2.6 | TV-D 6 | [42] |
| Cooper’s hawk (Accipiter cooperii) | 16.0 ± 1.8 10.7 ± 1.4 | TP 4 TV-P 5 | [16] |
| Domestic pigeon (Columbia livia) | 6.1 ± 0.9 | TV-P 5 | [24] |
| Ducks (Anas platyrynchos) | 10.2 ± 2.2 | TV-P 5 | [25] |
| Eastern screech owl (Megascops asio) | 11.0 ± 1.9 9.0 ± 1.8 14.0 ± 2.4 | TP 4 TV-P 5 TV-D 6 | [8] |
| Eastern screech owl (Megascops asio) | 9.3 ± 2.6 6.3 ± 1.3 | TP 4 TV-P 5 | [16] |
| Eurasian eagle owl (Bubo bubo) | 9.35 ± 1.81 10.45 ± 1.64 | TP 4 TV-P 5 | [6] |
| Eurasian Tawny owl (Strix aluco) | 11.21 ± 3.12 | TP 4 | [19] |
| European kestrel (Falco tinnunculus) | 9.8 ± 2.5 | TV-D 6 | [15] |
| European kestrel (Falco tinnunculus) | 8.53 ± 1.59 | TP 4 | [19] |
| Geese (Anser anser) | 9.1 ± 2.0 | TV-P 5 | [25] |
| Great grey owls (Strix nebulosa) | 9.6 ± 2.6 | TV-P 5 | [23] |
| Great horned owl (Bubo virginianus) | 9.9 ± 2.4 9.9 ± 2.2 | TP 4 TV-P 5 | [16] |
| Helmeted Guinea Fowl (Numida meleagris) | 9.1 ± 0.9 | TV-P 5 | [39] |
| Humboldt penguin (Spheniscus humboldti) | 20.36 ± 4.1 | TP 4 | [9] |
| Humboldt penguin (Spheniscus humboldti) | 28 ± 9 | TV-P 5 | [26] |
| Little owl (Athene noctua) | 9.83 ± 3.41 | TP 4 | [19] |
| Long-eared owl (Asio otus) | 7.8 ± 3.2 | TV-D 6 | [15] |
| Macaroni penguin (Eudyptes chrysolophus) | 21.9 ± 7.05 29.1 ± 7.16 | TP 4 TV-D 6 | [38] |
| Nocturnal raptor of different species Diurnal raptor of different species | 15.4 ± 5.7 14.9 ± 4.8 | TP 4 TP 4 | [34] |
| Northern goshawk (Accipiter gentilis) | 18.3 ± 3.8 | TV-D 6 | [15] |
| Ostrich (Struthio camelus) | 18.8 ± 3.5 | TP 4 | [18] |
| Peregrine falcon (Falco peregrinus) | 12.7 ± 5.8 | TV-D 6 | [15] |
| Red kite (Milvus milvus) | 13.0 ± 5.5 | TV-D 6 | [15] |
| Red-tailed hawk (Buteo jamaicensis) | 20.3 ± 2.8 19.8 ± 4.9 | TP 4 TV-P 5 | [16] |
| Snowy owls (Bubo scandiacus) | 9.1 ± 1.9 | TV-P 5 | [23] |
| Southern rockhopper penguin (Eudyptes chrysocome) | 20.0 ± 5.77 24.1 ± 5.09 | TP 4 TV-D 6 | [38] |
| Sparrow hawk (Accipiter nisus) | 15.5 ± 2.5 | TV-D 6 | [15] |
| Tawny owl (Strix aluco) | 15.6 ± 3.4 | TP 4 | [4] |
| Tawny owl (Strix aluco) | 9.4 ± 4.1 | TV-D 6 | [15] |
| Turkey vulture (Cathartes aura) | 15.0 ± 2.1 11.7 ± 1.0 | TP 4 TV-P 5 | [16] |
| White-tailed sea eagle (Haliaeetus albicilla) | 26..9 ± 5.8 | TV-D 6 | [15] |
| Whooper swans (Cygnus cygnus) | 11.30 ± 3.55 | TV-D 6 | [45] |
Publisher’s Note: MDPI stays neutral with regard to jurisdictional claims in published maps and institutional affiliations. |
© 2021 by the authors. Licensee MDPI, Basel, Switzerland. This article is an open access article distributed under the terms and conditions of the Creative Commons Attribution (CC BY) license (https://creativecommons.org/licenses/by/4.0/).
Share and Cite
Nardi, S.; Puccini Leoni, F.; Monticelli, V.; Ebani, V.V.; Bertelloni, F.; Marzoni, M.; Mancianti, F.; Citi, S.; Barsotti, G. Tear Production, Intraocular Pressure, Ultrasound Biometric Features and Conjunctival Flora Identification in Clinically Normal Eyes of Two Italian Breeds of Chicken (Gallus gallus domesticus). Animals 2021, 11, 2987. https://doi.org/10.3390/ani11102987
Nardi S, Puccini Leoni F, Monticelli V, Ebani VV, Bertelloni F, Marzoni M, Mancianti F, Citi S, Barsotti G. Tear Production, Intraocular Pressure, Ultrasound Biometric Features and Conjunctival Flora Identification in Clinically Normal Eyes of Two Italian Breeds of Chicken (Gallus gallus domesticus). Animals. 2021; 11(10):2987. https://doi.org/10.3390/ani11102987
Chicago/Turabian StyleNardi, Samanta, Federico Puccini Leoni, Viola Monticelli, Valentina Virginia Ebani, Fabrizio Bertelloni, Margherita Marzoni, Francesca Mancianti, Simonetta Citi, and Giovanni Barsotti. 2021. "Tear Production, Intraocular Pressure, Ultrasound Biometric Features and Conjunctival Flora Identification in Clinically Normal Eyes of Two Italian Breeds of Chicken (Gallus gallus domesticus)" Animals 11, no. 10: 2987. https://doi.org/10.3390/ani11102987
APA StyleNardi, S., Puccini Leoni, F., Monticelli, V., Ebani, V. V., Bertelloni, F., Marzoni, M., Mancianti, F., Citi, S., & Barsotti, G. (2021). Tear Production, Intraocular Pressure, Ultrasound Biometric Features and Conjunctival Flora Identification in Clinically Normal Eyes of Two Italian Breeds of Chicken (Gallus gallus domesticus). Animals, 11(10), 2987. https://doi.org/10.3390/ani11102987

