Characterization and Localization of Calb2 in Both the Testis and Ovary of the Japanese Flounder (Paralichthys olivaceus)
Simple Summary
Abstract
1. Introduction
2. Materials and Methods
2.1. Experimental Fish
2.2. RNA Extraction, Reverse Transcription, and Molecular Cloning
2.3. Bioinformatics Analysis
2.4. Real-Time PCR
2.5. Western Blotting
2.6. HE Staining and Immunohistochemistry
3. Results
3.1. Molecular Characterization and Phylogenetic and Syntenic Analyses of Calb2
3.2. Tissue Distribution of calb2 mRNA
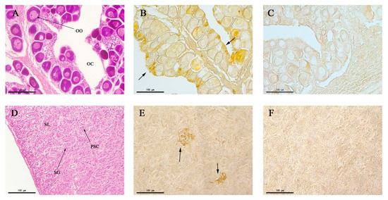
3.3. Expression and Localization of the CALB2 Protein in the P. olivaceus Gonads
4. Discussion
5. Conclusions
Author Contributions
Funding
Conflicts of Interest
References
- Bertschy, S.; Genton, C.Y.; Gotzos, V. Selective immunocytochemical localization of calretinin in the human ovary. Histochem. Cell Biol. 1998, 109, 59–66. [Google Scholar] [CrossRef] [PubMed]
- Lander, E.S.; Linton, L.M.; Birren, B.; Nusbaum, C.; Zody, M.C.; Baldwin, J.; Devon, K.; Dewar, K.; Doyle, M.; Funke, R.; et al. Initial sequencing and analysis of the human genome. Nature 2001, 409, 860–921. [Google Scholar] [CrossRef] [PubMed]
- Rogers, J.H. Calretinin: A gene for a novel calcium-binding protein expressed principally in neurons. J. Cell Biol. 1987, 105, 1343–1353. [Google Scholar] [CrossRef] [PubMed]
- Schwaller, B. Calretinin: From a “simple” Ca2+ buffer to a multifunctional protein implicated in many biological processes. Front. Neuroanat. 2014, 8, 3. [Google Scholar] [CrossRef] [PubMed]
- Berridge, M.J.; Bootman, M.D.; Roderick, H.L. Calcium signalling: Dynamics, homeostasis and remodelling. Nat. Rev. Mol. Cell Biol. 2003, 4, 517–529. [Google Scholar] [CrossRef] [PubMed]
- Foresta, C.; Mioni, R. The role of calcium ions in rat Leydig cell steroidogenesis induced by atrial natriuretic peptide. Acta Endocrinol. 1993, 128, 274–280. [Google Scholar] [CrossRef]
- Stevenson, L.; Allen, W.L.; Proutski, I.; Stewart, G.; Johnston, L.; McCloskey, K.D.; Wilson, P.M.; Longley, D.B.; Johnston, P.G. Calbindin 2 (CALB2) regulates 5-fluorouracil sensitivity in colorectal cancer by modulating the intrinsic apoptotic pathway. PLoS ONE 2011, 6, e20276. [Google Scholar] [CrossRef]
- Tu, S.; Wu, J.; Chen, L.; Tian, Y.; Qin, W.; Huang, S.; Wang, R.; Lin, Z.; Song, Z. LncRNA CALB2 sponges miR-30b-3p to promote odontoblast differentiation of human dental pulp stem cells via up-regulating RUNX2 [published online ahead of print, 2020 Jun 18]. Cell Signal. 2020, 109695. [Google Scholar] [CrossRef]
- Barinka, F.; Druga, R. Calretinin expression in the mammalian neocortex: A review. Physiol. Res. 2010, 59, 665–677. [Google Scholar] [CrossRef]
- Mojumder, D.K.; Wensel, T.G.; Frishman, L.J. Subcellular compartmentalization of two calcium binding proteins, calretinin and calbindin-28 kDa, in ganglion and amacrine cells of the rat retina. Mol. Vis. 2008, 14, 1600–1613. [Google Scholar] [CrossRef]
- Hack, N.J.; Wride, M.C.; Charters, K.M.; Kater, S.B.; Parks, T.N. Developmental changes in the subcellular localization of calretinin. J. Neurosci. 2000, 20, RC67. [Google Scholar] [CrossRef] [PubMed]
- Strauss, K.I.; Isaacs, K.R.; Ha, Q.N.; Jacobowitz, D.M. Calretinin is expressed in the Leydig cells of rat testis. Biochim. Biophys. Acta 1994, 1219, 435–440. [Google Scholar] [CrossRef]
- Kresoja-Rakic, J.; Kapaklikaya, E.; Ziltener, G.; Dalcher, D.; Santoro, R.; Christensen, B.C.; Johnson, K.C.; Schwaller, B.; Weder, W.; Stahel, R.A.; et al. Identification of cis- and trans-acting elements regulating calretinin expression in mesothelioma cells. Oncotarget 2016, 7, 21272–21286. [Google Scholar] [CrossRef] [PubMed]
- Xu, W.; Zhu, Q.; Zhang, B.; Liu, S.; Dai, X.; Gao, C.; Gao, L.; Cui, Y. Protective effect of calretinin on testicular Leydig cells via the inhibition of apoptosis. Aging 2017, 9, 1269–1279. [Google Scholar] [CrossRef] [PubMed]
- Castro, A.; Becerra, M.; Manso, M.J.; Anadón, R. Calretinin immunoreactivity in the brain of the zebrafish, Danio rerio: Distribution and comparison with some neuropeptides and neurotransmitter-synthesizing enzymes. I. Olfactory organ and forebrain. J. Comp. Neurol. 2006, 494, 435–459. [Google Scholar] [CrossRef]
- Castro, A.; Becerra, M.; Manso, M.J.; Anadón, R. Calretinin immunoreactivity in the brain of the zebrafish, Danio rerio: Distribution and comparison with some neuropeptides and neurotransmitter-synthesizing enzymes. II. Midbrain, hindbrain, and rostral spinal cord. J. Comp. Neurol. 2006, 494, 792–814. [Google Scholar] [CrossRef]
- Germanà, A.; Paruta, S.; Germanà, G.P.; Ochoa-Erena, F.J.; Montalbano, G.; Cobo, J.; Vega, J.A. Differential distribution of S100 protein and calretinin in mechanosensory and chemosensory cells of adult zebrafish (Danio rerio). Brain Res. 2007, 1162, 48–55. [Google Scholar] [CrossRef]
- Levanti, M.B.; Montalbano, G.; Laurà, R.; Ciriaco, E.; Cobo, T.; García-Suárez, O.; Germanà, A.; Vega, J.A. Calretinin in the peripheral nervous system of the adult zebrafish. J. Anat. 2008, 212, 67–71. [Google Scholar] [CrossRef]
- Bhoyar, R.C.; Jadhao, A.G.; Sivasubbu, S.; Singh, A.; Sabharwal, A.; Palande, N.V.; Biswas, S. Neuroanatomical demonstration of calbindin 2a- and calbindin 2b-like calcium binding proteins in the early embryonic development of zebrafish: mRNA study. Int. J. Dev. Neurosci. 2017, 60, 26–33. [Google Scholar] [CrossRef]
- Bhoyar, R.C.; Jadhao, A.G.; Sabharwal, A.; Ranjan, G.; Sivasubbu, S.; Pinelli, C. Knockdown of calcium-binding calb2a and calb2b genes indicates the key regulator of the early development of the zebrafish, Danio rerio. Brain Struct. Funct. 2019, 224, 627–642. [Google Scholar] [CrossRef]
- Díaz-Regueira, S.; Anadón, R. Calretinin expression in specific neuronal systems in the brain of an advanced teleost, the grey mullet (Chelon labrosus). J. Comp. Neurol. 2000, 426, 81–105. [Google Scholar] [CrossRef]
- Jadhao, A.G.; Malz, C.R. Localization of calcium-binding protein (calretinin, 29 kD) in the brain and pituitary gland of teleost fish: An immunohistochemical study. Neurosci. Res. 2007, 59, 265–276. [Google Scholar] [CrossRef] [PubMed]
- Shao, C.; Bao, B.; Xie, Z.; Chen, X.; Li, B.; Jia, X.; Yao, Q.; Orti, G.; Li, W.; Li, X.; et al. The genome and transcriptome of Japanese flounder provide insights into flatfish asymmetry. Nat. Genet. 2017, 49, 119–124. [Google Scholar] [CrossRef] [PubMed]
- Livak, K.J.; Schmittgen, T.D. Analysis of relative gene expression data using real-time quantitative PCR and the 2(-Delta Delta C(T)) Method. Methods 2001, 25, 402–408. [Google Scholar] [CrossRef] [PubMed]
- Parmentier, M.; Passage, E.; Vassart, G.; Mattei, M.G. The human calbindin D28k (CALB1) and calretinin (CALB2) genes are located at 8q21.3→q22.1 and 16q22→q23, respectively, suggesting a common duplication with the carbonic anhydrase isozyme loci. Cytogenet. Cell Genet. 1991, 57, 41–43. [Google Scholar] [CrossRef] [PubMed]
- Schwaller, B.; Durussel, I.; Jermann, D.; Herrmann, B.; Cox, J.A. Comparison of the Ca2+-binding properties of human recombinant calretinin-22k and calretinin. J. Biol. Chem. 1997, 272, 29663–29671. [Google Scholar] [CrossRef]
- Stevens, J.; Rogers, J.H. Chick calretinin: Purification, composition, and metal binding activity of native and recombinant forms. Protein Expr. Purif. 1997, 9, 171–181. [Google Scholar] [CrossRef]
- Jadhao, A.G.; Deshpande, K.V. Sexually dimorphic distribution of calcium-binding protein, calretinin in the preoptic area of the freshwater catfish, Clarias batrachus (Linn.). Neurosci. Lett. 2014, 579, 86–91. [Google Scholar] [CrossRef]
- Liu, S.; Xu, W.; Dai, X.; Wang, J.; Luo, J.; Gao, C.; Gao, L.; Liu, J.; Cui, Y. Expression of calretinin in testes of rats at different development stages. Int. Reprod. Health Fam. Plan. 2014, 33, 410–414. [Google Scholar] [CrossRef]
- Altobelli, G.G.; Pentimalli, F.; D’Armiento, M.; Van Noorden, S.; Cimini, V. Calretinin Immunoreactivity in the Human Testis Throughout Fetal Life. J. Cell Physiol. 2017, 232, 1872–1878. [Google Scholar] [CrossRef]
- Radi, Z.A.; Miller, D.L. Immunohistochemical expression of calretinin in canine testicular tumours and normal canine testicular tissue. Res. Vet. Sci. 2005, 79, 125–129. [Google Scholar] [CrossRef] [PubMed]
- Xu, W.; Zhu, Q.; Liu, S.; Dai, X.; Zhang, B.; Gao, C.; Gao, L.; Liu, J.; Cui, Y. Calretinin Participates in Regulating Steroidogenesis by PLC-Ca2+-PKC Pathway in Leydig Cells. Sci. Rep. 2018, 8, 7403. [Google Scholar] [CrossRef]
- Adler, E.; Mhawech-Fauceglia, P.; Gayther, S.A.; Lawrenson, K. PAX8 expression in ovarian surface epithelial cells. Hum. Pathol. 2015, 46, 948–956. [Google Scholar] [CrossRef] [PubMed]
- Pohl, V.; Van Rampelbergh, J.; Mellaert, S.; Parmentier, M.; Pochet, R. Calretinin in rat ovary: An in situ hybridization and immunohistochemical study. Biochim. Biophys. Acta 1992, 1160, 87–94. [Google Scholar] [CrossRef]
- Davidoff, M.S.; Middendorff, R.; Köfüncü, E.; Müller, D.; Jezek, D.; Holstein, A.F. Leydig cells of the human testis possess astrocyte and oligodendrocyte marker molecules. Acta Histochem. 2002, 104, 39–49. [Google Scholar] [CrossRef]
- Adebanjo, O.A.; Igietseme, J.; Huang, C.L.; Zaidi, M. The effect of extracellularly applied divalent cations on cytosolic Ca2+ in murine leydig cells: Evidence for a Ca2+-sensing receptor. J. Physiol. 1998, 513 Pt 2, 399–410. [Google Scholar] [CrossRef]
- Meikle, A.W.; Liu, X.H.; Stringham, J.D. Extracellular calcium and luteinizing hormone effects on 22-hydroxycholesterol used for testosterone production in mouse Leydig cells. J. Androl. 1991, 12, 148–151. [Google Scholar] [CrossRef]







| Primer | Primer Sequence (5′→3′) |
|---|---|
| calb2-F1 Primer | AGCCCAGCAGCCTCCTCA |
| calb2-R1 Primer | CTTGTAGCCCGTCAGGTTCT |
| calb2-F2 Primer | GGACCTGAAGAACCTGACGG |
| calb2-R2 Primer | GGGCATCGGGACAATAAGAA |
| calb2-F3 Primer | TAAAAGCGGCGGGCGGTGCG |
| calb2-R3 Primer | GAATGTGGGGTTTGAAGGGT |
| calb2-F4 Primer | TATCAGCGGGATTGTGAACC |
| calb2-R4 Primer | GAATGTGGGGTTTGAAGGGT |
| qcalb2-F | CAGAAGGCGAACAGACACTACG |
| qcalb2-R | GGTCAACTTGACACCCTGGAAT |
| q18s-F | CTTAGTTGGTGGAGCGATTTG |
| q18s-R | CTCGGCGAAGGGTAGACA |
© 2020 by the authors. Licensee MDPI, Basel, Switzerland. This article is an open access article distributed under the terms and conditions of the Creative Commons Attribution (CC BY) license (http://creativecommons.org/licenses/by/4.0/).
Share and Cite
Xiang, Y.; Wu, Y.; Zhang, H.; Wu, J.; Zhang, J. Characterization and Localization of Calb2 in Both the Testis and Ovary of the Japanese Flounder (Paralichthys olivaceus). Animals 2020, 10, 1503. https://doi.org/10.3390/ani10091503
Xiang Y, Wu Y, Zhang H, Wu J, Zhang J. Characterization and Localization of Calb2 in Both the Testis and Ovary of the Japanese Flounder (Paralichthys olivaceus). Animals. 2020; 10(9):1503. https://doi.org/10.3390/ani10091503
Chicago/Turabian StyleXiang, Yuting, Yahui Wu, Haoran Zhang, Jikui Wu, and Junling Zhang. 2020. "Characterization and Localization of Calb2 in Both the Testis and Ovary of the Japanese Flounder (Paralichthys olivaceus)" Animals 10, no. 9: 1503. https://doi.org/10.3390/ani10091503
APA StyleXiang, Y., Wu, Y., Zhang, H., Wu, J., & Zhang, J. (2020). Characterization and Localization of Calb2 in Both the Testis and Ovary of the Japanese Flounder (Paralichthys olivaceus). Animals, 10(9), 1503. https://doi.org/10.3390/ani10091503
