Effects of Iron Deficiency on Serum Metabolome, Hepatic Histology, and Function in Neonatal Piglets
Simple Summary
Abstract
1. Introduction
2. Materials and Methods
2.1. Ethics Statement
2.2. Animals and Proceeding
2.3. Sample Collection
2.4. Blood Parameters
2.5. Ultra-High Performance Liquid Chromatography (UHPLC) Combined with MASS Spectrometry (MS)
2.6. Liver Index and Histological Analysis
2.7. Reverse Transcription and Quantitative Real-Time PCR
2.8. Statistical Analysis
3. Results
3.1. Growth Performance
3.2. Iron Status
3.3. Serum Biochemical Indices
3.4. Analysis of Serum Metabolomics
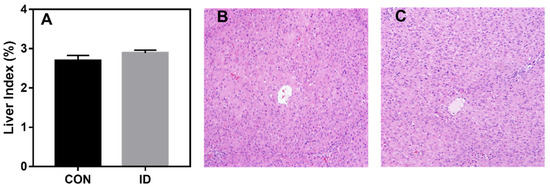
3.5. Liver Index and Histological Analysis
3.6. mRNA Expression of Key Genes Related to Hepatic Metabolism
4. Discussion
5. Conclusions
Supplementary Materials
Author Contributions
Funding
Conflicts of Interest
References
- Abbaspour, N.; Hurrell, R.; Kelishadi, R. Review on iron and its importance for human health. J. Res. Med Sci. 2014, 19, 164–174. [Google Scholar] [PubMed]
- Radlowski, E.C.; Conrad, M.S.; Lezmi, S.; Dilger, R.N.; Sutton, B.; Larsen, R.; Johnson, R.W. A neonatal piglet model for investigating brain and cognitive development in small for gestational age human infants. PLoS ONE 2014, 9, 12. [Google Scholar] [CrossRef] [PubMed]
- Hassan, T.; Badr, M.A.; Karam, N.A.; Zkaria, M.; El Saadany, H.F.; Rahman, D.M.A.; Shahbah, D.A.; Al Morshedy, S.M.; Fathy, M.; Esh, A.M.H.; et al. Impact of iron deficiency anemia on the function of the immune system in children. Medicine 2016, 95, 5. [Google Scholar] [CrossRef] [PubMed]
- Li, Y.; Hansen, S.L.; Borst, L.B.; Spears, J.W.; Moeser, A.J. Dietary Iron Deficiency and Oversupplementation Increase Intestinal Permeability, Ion Transport, and Inflammation in Pigs. J. Nutr. 2016, 146, 1499–1505. [Google Scholar] [CrossRef] [PubMed]
- Knight, L.; Dilger, R.N. Longitudinal Effects of Iron Deficiency Anemia and Subsequent Repletion on Blood Parameters and the Rate and Composition of Growth in Pigs. Nutrients 2018, 10, 632. [Google Scholar] [CrossRef] [PubMed]
- Nicholson, J.K.; Lindon, J.C. Systems biology—Metabonomics. Nature 2008, 455, 1054–1056. [Google Scholar] [CrossRef] [PubMed]
- Nicholson, J.K.; Lindon, J.C.; Holmes, E. Metabonomics: Understanding the metabolic responses of living systems to pathophysiological stimuli via multivariate statistical analysis of biological nmr spectroscopic data. Xenobiotica 1999, 29, 1181–1189. [Google Scholar] [CrossRef]
- Zhou, L.-F.; Zhao, B.-W.; Guan, N.-N.; Wang, W.; Gao, Z.-X. Plasma metabolomics profiling for fish maturation in blunt snout bream. Metabolomics 2017, 13, 40–43. [Google Scholar] [CrossRef]
- Want, E.J.; Wilson, I.D.; Gika, H.; Theodoridis, G.; Plumb, R.S.; Shockcor, J.; Holmes, E.; Nicholson, J.K. Global metabolic profiling procedures for urine using uplc-ms. Nat. Protoc. 2010, 5, 1005–1018. [Google Scholar] [CrossRef]
- Kleiner, D.E.; Brunt, E.M.; Van Natta, M.; Behling, C.; Contos, M.J.; Cummings, O.W.; Ferrell, L.D.; Liu, Y.C.; Torbenson, M.S.; Unalp-Arida, A.; et al. Design and validation of a histological scoring system for nonalcoholic fatty liver disease. Hepatology 2005, 41, 1313–1321. [Google Scholar] [CrossRef]
- Ishaya, V. Iron nutrition and anaemia in piglets: A review. J. Vet. Adv. 2012, 2, 261–265. [Google Scholar]
- Egeli, A.K.; Framstad, T.; Morberg, H. Clinical biochemistry, haematology and body weight in piglets. Acta Vet. Scand. 1998, 39, 381–393. [Google Scholar] [PubMed]
- Rincker, M.J.; Clarke, S.L.; Eisenstein, R.S.; Link, J.E.; Hill, G.M. Effects of iron supplementation on binding activity of iron regulatory proteins and the subsequent effect on growth performance and indices of hematological and mineral status of young pigs. J. Anim. Sci. 2005, 83, 2137–2145. [Google Scholar] [CrossRef] [PubMed]
- Szabo, P.; Bilkei, G. Short communication—Iron deficiency in outdoor pig production. J. Vet. Med. Ser. A 2002, 49, 390–391. [Google Scholar] [CrossRef]
- Volani, C.; Paglia, G.; Smarason, S.V.; Pramstaller, P.P.; Demetz, E.; Pfeifhofer-Obermair, C.; Weiss, G. Metabolic signature of dietary iron overload in a mouse model. Cells 2018, 7, 264. [Google Scholar] [CrossRef]
- Do, E.; Hu, G.G.; Caza, M.; Oliveira, D.; Kronstad, J.W.; Jung, W.H. Leu1 plays a role in iron metabolism and is required for virulence in cryptococcus neoformans. Fungal Genet. Biol. 2015, 75, 11–19. [Google Scholar] [CrossRef]
- Wenninger, J.; Meinitzer, A.; Holasek, S.; Schnedl, W.J.; Zelzer, S.; Mangge, H.; Herrmann, M.; Enko, D. Associations between tryptophan and iron metabolism observed in individuals with and without iron deficiency. Sci. Rep. 2019, 9, 14548–14549. [Google Scholar] [CrossRef]
- Weiss, G.; Schroecksnadel, K.; Mattle, V.; Winkler, C.; Konwalinka, G.; Fuchs, D. Possible role of cytokine-induced tryptophan degradation in anaemia of inflammation. Eur. J. Haematol. 2004, 72, 130–134. [Google Scholar] [CrossRef]
- Fernstrom, J.D. Large neutral amino acids: Dietary effects on brain neurochemistry and function. Amino Acids 2013, 45, 419–430. [Google Scholar] [CrossRef]
- Bianco, L.E.; Wiesinger, J.; Earley, C.J.; Jones, B.C.; Beard, J.L. Iron deficiency alters dopamine uptake and response to L-Dopa injection in sprague-dawley rats. J. Neurochem. 2008, 106, 205–215. [Google Scholar] [CrossRef]
- Unger, E.L.; Paul, T.; Murray-Kolb, L.E.; Felt, B.; Jones, B.C.; Beard, J.L. Early iron deficiency alters sensorimotor development and brain monoamines in rats. J. Nutr. 2007, 137, 118–124. [Google Scholar] [CrossRef] [PubMed]
- Beard, J.; Erikson, K.M.; Jones, B.C. Neonatal iron deficiency results in irreversible changes in dopamine function in rats. J. Nutr. 2003, 133, 1174–1179. [Google Scholar] [CrossRef] [PubMed]
- Georgieff, M.K. The role of iron in neurodevelopment: Fetal iron deficiency and the developing hippocampus. Biochem. Soc. Trans. 2008, 36, 1267–1271. [Google Scholar] [CrossRef] [PubMed]
- Zhou, Y.E.; Kubow, S.; Egeland, G.M. Is iron status associated with highly unsaturated fatty acid status among canadian arctic inuit? Food Funct. 2011, 2, 381–385. [Google Scholar] [CrossRef]
- Merono, T.; Dauteuille, C.; Tetzlaff, W.; Martin, M.; Botta, E.; Lhomme, M.; Saez, M.S.; Sorroche, P.; Boero, L.; Arbelbide, J.; et al. Oxidative stress, hdl functionality and effects. Of intravenous iron administration in women with iron deficiency anemia. Clin. Nutr. 2017, 36, 552–558. [Google Scholar] [CrossRef] [PubMed]
- Stangl, G.I.; Kirchgessner, M. Different degrees of moderate iron deficiency impaired fatty acid synthesis was noted in iron deficient animal models. Lipids 1998, 33, 889–895. [Google Scholar] [CrossRef] [PubMed]
- Choi, J.W.; Kim, S.K.; Pai, S.H. Changes in serum lipid concentrations during iron depletion and after iron supplementation. Ann. Clin. Lab. Sci. 2001, 31, 151–156. [Google Scholar]
- Prasnicka, A.; Cermanova, J.; Hroch, M.; Dolezelova, E.; Rozkydalova, L.; Smutny, T.; Carazo, A.; Chladek, J.; Lenicek, M.; Nachtigal, P.; et al. Iron depletion induces hepatic secretion of biliary lipids and glutathione in rats. Biochim. Biophys. Acta Mol. Cell Biol. Lipids 2017, 1862, 1469–1480. [Google Scholar] [CrossRef]
- Robinson, S.H. Increased formation of early-labeled bilirubin in rats with iron deficiency anemia—Evidence for ineffective erythropoiesis. Blood 1969, 33, 909. [Google Scholar] [CrossRef]
- Sandri, B.J.; Lubach, G.R.; Lock, E.F.; Georgieff, M.K.; Kling, P.J.; Coe, C.L.; Rao, R.B. Early-life iron deficiency and its natural resolution are associated with altered serum metabolomic profiles in infant rhesus monkeys. J. Nutr. 2020, 150, 685–693. [Google Scholar] [CrossRef]
- Bowlus, C.; Jacobs, A.; Miles, P.M. The formation of iron complexes with bile and bile constituents. Gut 1970, 11, 732–736. [Google Scholar]
- Petrak, J.; Myslivcova, D.; Man, P.; Cmejla, R.; Cmejlova, J.; Vyoral, D.; Elleder, M.; Vulpe, C.D. Proteomic analysis of hepatic iron overload in mice suggests dysregulation of urea cycle, impairment of fatty acid oxidation, and changes in the methylation cycle. Am. J. Physiol. Gastroint. Liver Physiol. 2007, 292, 1490–1498. [Google Scholar] [CrossRef] [PubMed]
- Courselaud, B.; Pigeon, C.; Inoue, Y.; Inoue, J.; Gonzalez, F.J.; Leroyer, P.; Gilot, D.; Boudjema, K.; Guguen-Guillouzo, C.; Brissot, P.; et al. C/EBPα Regulates Hepatic Transcription of Hepcidin, an Antimicrobial Peptide and Regulator of Iron Metabolism. J. Boil. Chem. 2002, 277, 41163–41170. [Google Scholar] [CrossRef] [PubMed]
- Kamei, A.; Watanabe, Y.; Ishijima, T.; Uehara, M.; Arai, S.; Kato, H.; Nakai, Y.; Abe, K. Dietary iron-deficient anemia induces a variety of metabolic changes and even apoptosis in rat liver: A DNA microarray study. Physiol. Genom. 2010, 42, 149–156. [Google Scholar] [CrossRef] [PubMed]




| Items | CON | ID | SEM | p-Value |
|---|---|---|---|---|
| Day 1 (kg) | 1.51 | 1.49 | 0.68 | 0.9555 |
| Day 8 (kg) | 2.24 | 2.10 | 0.98 | 0.2961 |
| Gain (kg/d) | 0.74 | 0.60 | 0.53 | 0.5647 |
| Items | CON | ID | SEM | p-Value |
|---|---|---|---|---|
| RBC (× 1012) | 4.47 | 4.04 | 0.36 | 0.2781 |
| HCT (%) | 30.97 | 23.44 | 1.64 | 0.007 |
| MCH (pg) | 21.56 | 17.62 | 0.6 | 0.003 |
| MCHC (g/L) | 315.83 | 307.8 | 4.16 | 0.4541 |
| MCV | 68.62 | 58.23 | 1.74 | 0.0013 |
| Hb (g/L) | 100.29 | 74.29 | 6.88 | <0.001 |
| Serum iron (ug/dL) | 34.82 | 24.1 | 2.04 | 0.0104 |
| Ferritin (ug/L) | 1.98 | 1.25 | 0.104 | 0.0350 |
| Items | CON | ID | SEM | p-Value |
|---|---|---|---|---|
| TP (g/L) | 55.24 | 58.85 | 1.65 | 0.086 |
| BUN (mmol/L) | 2.54 | 6.27 | 1.02 | 0.005 |
| ALB (g/L) | 20.03 | 21.4 | 0.79 | 0.207 |
| GLU (g/L) | 5.25 | 5.6 | 0.28 | 0.278 |
| TG (g/L) | 0.65 | 0.84 | 0.16 | 0.246 |
| ALT (U/L) | 51.2 | 41.8 | 4.05 | 0.711 |
| AST (U/L) | 51.1 | 54.6 | 3.56 | 0.646 |
| ALP (U/L) | 876.6 | 686.7 | 52.93 | 0.113 |
| Mass-to-Charge Ratio (m/z) | Metabolites | FC | Adjusted p-Value | VIP |
|---|---|---|---|---|
| 6.74_183.0807m/z | Methionine | 0.21852 | 1.23E-07 | 5.612417 |
| 6.74_105.0336m/z | Benzoic acid | 0.248168 | 6.61E-07 | 5.321288 |
| 0.51_169.0947m/z | Lysine | 0.593345 | 0.000219 | 1.824616 |
| 8.86_369.3518m/z | Cholesterol | 0.460344 | 0.003186 | 2.092795 |
| 0.63_132.1021m/z | Leucine | 0.753322 | 0.003469 | 1.336155 |
| 8.62_326.3051m/z | Icosadienoic acid | 1.60629 | 0.006241 | 1.561216 |
| 4.47_147.0441m/z | Phenylpyruvic acid | 2.824423 | 0.012168 | 4.394213 |
| 4.89_146.0603m/z | Indole-3-carbaldehyde | 1.976067 | 0.013175 | 3.198039 |
| 4.47_176.0705m/z | Indoleacetic acid | 1.851496 | 0.013453 | 2.32749 |
| 11.07_423.3227m/z | Calcidiol | 1.358637 | 0.015394 | 1.42136 |
| 5.53_190.0854m/z | 3-Methoxytyramine | 0.510584 | 0.015693 | 2.803578 |
| 3.98_162.0547m/z | Hippuric acid | 2.003734 | 0.017542 | 3.201292 |
| 7.57_415.2815m/z | Chenodeoxycholic acid | 1.601787 | 0.020586 | 1.329437 |
| 12.28_426.3185m/z | Cholic acid | 2.378838 | 0.036033 | 3.711219 |
| 9.21_83.0856m/z | 4-Methylpentanal | 1.449292 | 0.037237 | 1.020309 |
| 4.59_158.0597m/z | Pantothenic acid | 1.851496 | 0.04241 | 2.01246 |
| 4.12_164.0705m/z | Tyrosine | 0.451626 | 0.042917 | 3.691364 |
| 11.38_409.2914m/z | Ursocholic acid | 1.419107 | 0.044007 | 1.290059 |
| 4.43_153.0234m/z | 6-Mercaptopurine | 0.828262 | 0.049989 | 1.163872 |
© 2020 by the authors. Licensee MDPI, Basel, Switzerland. This article is an open access article distributed under the terms and conditions of the Creative Commons Attribution (CC BY) license (http://creativecommons.org/licenses/by/4.0/).
Share and Cite
Dong, Z.; Wan, D.; Yang, H.; Li, G.; Zhang, Y.; Zhou, X.; Wu, X.; Yin, Y. Effects of Iron Deficiency on Serum Metabolome, Hepatic Histology, and Function in Neonatal Piglets. Animals 2020, 10, 1353. https://doi.org/10.3390/ani10081353
Dong Z, Wan D, Yang H, Li G, Zhang Y, Zhou X, Wu X, Yin Y. Effects of Iron Deficiency on Serum Metabolome, Hepatic Histology, and Function in Neonatal Piglets. Animals. 2020; 10(8):1353. https://doi.org/10.3390/ani10081353
Chicago/Turabian StyleDong, Zhenglin, Dan Wan, Huansheng Yang, Guanya Li, Yiming Zhang, Xihong Zhou, Xin Wu, and Yulong Yin. 2020. "Effects of Iron Deficiency on Serum Metabolome, Hepatic Histology, and Function in Neonatal Piglets" Animals 10, no. 8: 1353. https://doi.org/10.3390/ani10081353
APA StyleDong, Z., Wan, D., Yang, H., Li, G., Zhang, Y., Zhou, X., Wu, X., & Yin, Y. (2020). Effects of Iron Deficiency on Serum Metabolome, Hepatic Histology, and Function in Neonatal Piglets. Animals, 10(8), 1353. https://doi.org/10.3390/ani10081353

