Molecular Characterization and Determination of Relative Cytokine Expression in Naturally Infected Day-Old Chicks with Chicken Astrovirus Associated to White Chick Syndrome
Simple Summary
Abstract
1. Introduction
2. Materials and Methods
2.1. Chicks, Postmortem and Histopathological Examination
2.2. Procedure for Molecular Analyses
2.3. CAstV Detection and the Quantification of the Relative Expression of Cytokine Genes
2.4. RNA Extraction
2.5. Real-Time RT-PCR Assay for the Detection and Quantification of CAstV
2.6. RT-qPCR Based on SYBR Green
2.7. Molecular Characterization of the ORF2 Capsid Gene of CAstV
2.8. RT-qPCR for the Quantification of the Relative Expression of Cytokine Genes
2.9. Statistical Analysis
3. Results
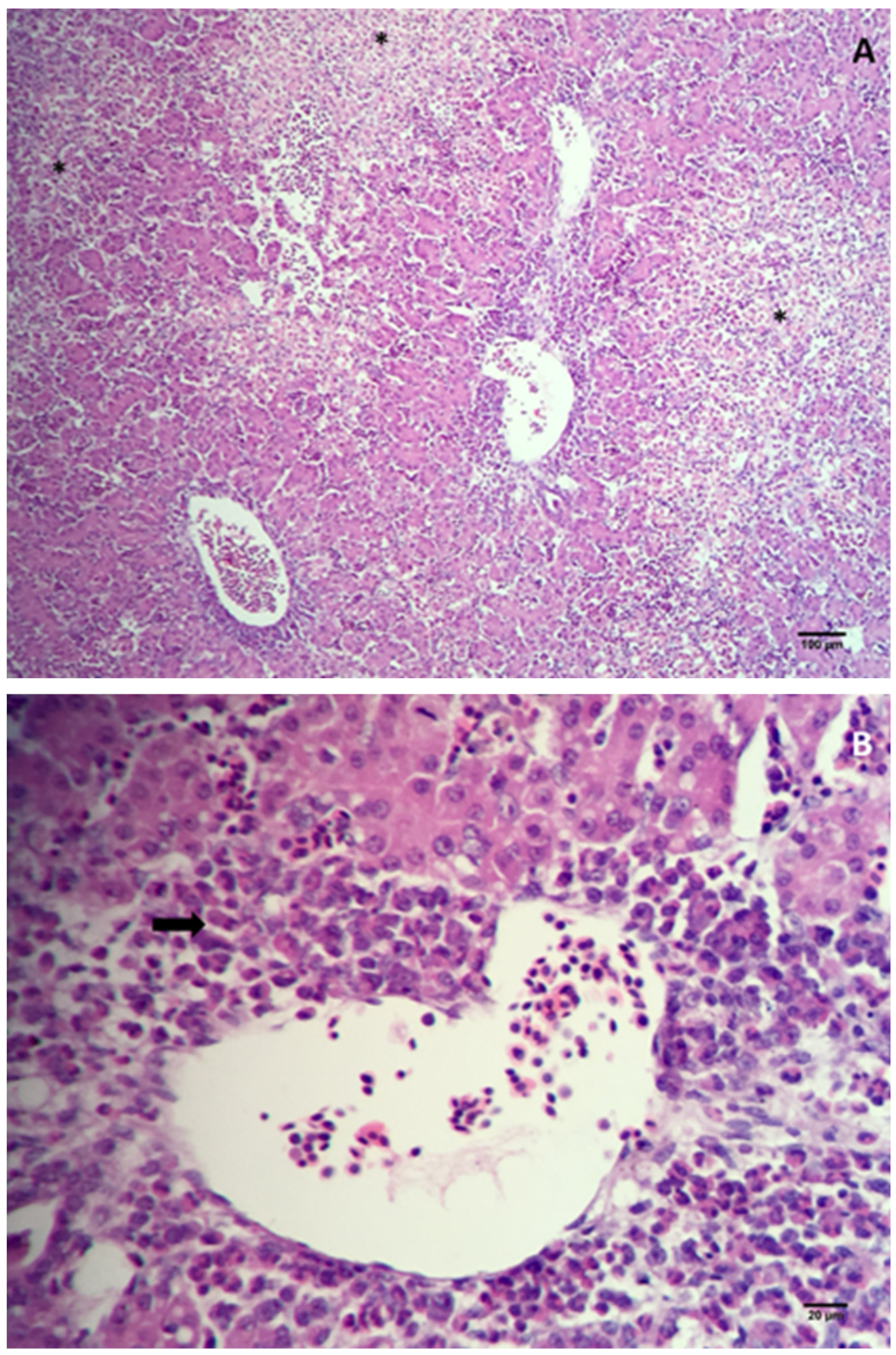
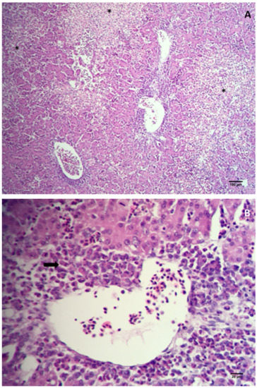
3.1. Postmortem Examination of the Chicks and Histopathology
3.2. Molecular Analysis
3.2.1. RT-qPCR Based on SYBR Green to Test Whether CAstV Is Associated with White Chick Syndrome (WCS)
3.2.2. Detection and Quantification of CAstV Associated with WCS
3.2.3. Molecular Analysis of the ORF2 Capsid Gene of CAstV
3.3. Quantification of the Relative Expression of Cytokine Genes
4. Discussion
5. Conclusions
Author Contributions
Funding
Conflicts of Interest
References
- Pantin-Jackwood, M.J.; Spackman, E.; Woolcock, P.R. Molecular characterization and typing of chicken and turkey astroviruses circulating in the United States: Implications for diagnostics. Avian Dis. 2006, 50, 397–404. [Google Scholar] [CrossRef] [PubMed]
- De la Torre, D.I.D.; Nuñez, L.F.L.; Astolfi-Ferreira, C.S.; Ferreira, A.J.P. Enteric virus diversity examined by molecular methods in Brazilian poultry flocks. Vet. Sci. 2018, 5, 38. [Google Scholar] [CrossRef] [PubMed]
- Smyth, V.J.; Todd, D.; Trudgett, J.; Lee, A.; Welsh, M.D. Capsid protein sequence diversity of chicken astrovirus. Avian Pathol. 2012, 41, 151–159. [Google Scholar] [CrossRef] [PubMed]
- Skibinska, A.; Lee, A.; Wylie, M.; Smyth, V.J.; Welsh, M.D.; Todd, D. Development of an indirect enzyme-linked immunosorbent assay test for detecting antibodies to chicken astrovirus in chicken sera. Avian Pathol. 2015, 44, 436–442. [Google Scholar] [CrossRef] [PubMed]
- Xue, J.; Han, T.; Xu, M.; Zhao, J.; Zhang, G. The first serological investigation of Chicken astrovirus infection in China. Biologicals 2017, 47, 22–24. [Google Scholar] [CrossRef]
- Oluwayelu, D.O.; Smyth, V.J.; Todd, D. Detection of avian nephritis virus and chicken astrovirus in Nigerian indigenous chickens. Afr. J. Biotechnol. 2012, 11, 3949–3957. [Google Scholar]
- Bulbule, N.R.; Mandakhalikar, K.D.; Kapgate, S.S.; Deshmukh, V.V.; Schat, K.A.; Chawak, M.M. Role of chicken astrovirus as a causative agent of gout in commercial broilers in India. Avian Pathol. 2013, 42, 464–473. [Google Scholar] [CrossRef]
- Long, K.E.; Ouckama, R.M.; Weisz, A.; Brash, M.L.; Ojkić, D. White chick syndrome associated with chicken astrovirus in Ontario, Canada. Avian Dis. 2018, 62, 247–258. [Google Scholar] [CrossRef]
- Kang, K.; Linnemann, E.; Icard, A.H.; Durairaj, V.; Mundt, E.; Sellers, H.S. Chicken astrovirus as an aetiological agent of runting-stunting syndrome in broiler chickens. J. Gen. Virol. 2018, 99, 512–524. [Google Scholar] [CrossRef]
- Mettifogo, E.; Nuñez, L.F.N.; Chacón, J.L.; Santader-Parra, S.H.; Astolfi-Ferreira, C.S.; Jerez, J.A.; Jones, R.C.; Ferreira, A.J.P. Emergence of enteric viruses in production chickens is a concern for avian health. Sci. World J. 2014, 2014, 1–8. [Google Scholar] [CrossRef]
- Nunez, L.F.N.; Santander-Parra, S.H.; Carranza, C.; Astolfi-Ferreira, C.S.; Buim, M.R.; Piantino Ferreira, A.J. Detection and molecular characterization of chicken astrovirus associated with chicks that have an unusual condition known as “white chicks” in Brazil. Poult. Sci. 2016, 95, 1262–1270. [Google Scholar] [CrossRef] [PubMed]
- Baxendale, W.; Mebatsion, T. The isolation and characterisation of astroviruses from chickens. Avian Pathol. 2004, 33, 364–370. [Google Scholar] [CrossRef] [PubMed]
- Day, J.M.; Zsak, L. Recent progress in the characterization of avian enteric viruses. Avian Dis. 2013, 57, 573–580. [Google Scholar] [CrossRef] [PubMed]
- Patel, A.K.; Pandit, R.J.; Thakkar, J.R.; Hinsu, A.T.; Pandey, V.C.; Pal, J.K.; Prajapati, K.S.; Jakhesara, S.J.; Joshi, C.G. Complete genome sequence analysis of chicken astrovirus isolate from India. Vet. Res. Commun. 2017, 41, 67–75. [Google Scholar] [CrossRef]
- Smyth, V.J. A Review of the Strain Diversity and Pathogenesis of Chicken Astrovirus. Viruses 2017, 9, 29. [Google Scholar] [CrossRef]
- De Wit, J.J.; Dam, G.B.; de Laar, J.M.; Biermann, Y.; Verstegen, I.; Edens, F.; Schrier, C.C. Detection and characterization of a new astrovirus in chicken and turkeys with enteric and locomotion disorders. Avian Pathol. 2011, 40, 453–461. [Google Scholar] [CrossRef]
- Smyth, V.J.; Trudgett, J.; Wylie, M. Chicken astrovirus detected in hatchability problems associated with “white chicks”. Vet. Rec. 2013, 173, 403–404. [Google Scholar] [CrossRef]
- Nuñez, L.F.N.; Santander-Parra, S.H.; Astolfi-Ferreira, C.S.; Carranza, C.; De La Torre, D.; Pedroso, A.C.; Ferreira, A.J.P. Detection of enteric viruses in pancreas and spleen of broilers with runting-stunting syndrome (RSS). Pesqui. Vet. Bras. 2016, 36, 595–599. [Google Scholar] [CrossRef]
- Sajewicz-Krukowska, J.; Domanska-Blicharz, K. Nearly full-length genome sequence of a novel astrovirus isolated from chickens with ‘white chicks’ condition. Arch. Virol. 2016, 161, 2581–2587. [Google Scholar] [CrossRef]
- Sajewicz-Krukowska, J.; Pać, K.; Lisowska, A.; Pikuła, A.; Minta, Z.; Króliczewska, B.; Domańska-Blicharz, K. Astrovirus-induced “white chicks” condition—Field observation, virus detection and preliminary characterization. Avian Pathol. 2016, 45, 2–12. [Google Scholar] [CrossRef]
- Koci, M.D.; Moser, L.A.; Kelley, L.A.; Larsen, D.; Brown, C.C.; Schultz-Cherry, S. Astrovirus induces diarrhea in the absence of inflammation and cell death. J. Virol. 2003, 77, 11798–11808. [Google Scholar] [CrossRef] [PubMed]
- Marvin, S.A.; Huerta, C.T.; Sharp, B.; Freiden, P.; Cline, T.D.; Schultz-Cherry, S. Type I interferon response limits astrovirus replication and protects against increased barrier permeability in vitro and in vivo. J. Virol. 2016, 90, 1988–1996. [Google Scholar] [CrossRef] [PubMed]
- Day, J.M.; Spackman, E.; Pantin-Jackwood, M. A multiplex RT-PCR test for the differential identification of turkey astrovirus type 1, turkey astrovirus type 2, chicken astrovirus, avian nephritis virus, and avian rotavirus. Avian Dis. 2007, 51, 681–684. [Google Scholar] [CrossRef]
- Villanueva, A.I.; Kulkarni, R.R.; Sharif, S. Synthetic double-stranded RNA oligonucleotides are immunostimulatory for chicken spleen cells. Dev. Comp. Immunol. 2011, 35, 28–34. [Google Scholar] [CrossRef]
- Carre, W.; Wang, X.; Porter, T.E.; Nys, Y.; Tang, J.; Bernberg, E.; Morgan, R.; Burnside, J.; Aggrey, S.E.; Simon, J.; et al. Chicken genomics resource: Sequencing and annotation of 35,407 ESTs from single and multiple tissue cDNA libraries and CAP3 assembly of a chicken gene index. Physiol. Genom. 2006, 25, 514–524. [Google Scholar] [CrossRef]
- Yitbarek, A.; Rodriguez-Lecompte, J.C.; Echeverry, H.M.; Munyaka, P.; Barjesteh, N.; Sharif, S.; Camelo-Jaimes, G. Performance, histomorphology, and toll-like receptor, chemokine, and cytokine profile locally and systemically in broiler chickens fed diets supplemented with yeast-derived macromolecules. Poult. Sci. 2013, 92, 2299–2310. [Google Scholar] [CrossRef]
- Kaiser, P.; Hughes, S.; Bumstead, N. The chicken 9E3/CEF4 CXC chemokine is the avian orthologue of IL8 and maps to chicken chromosome 4 syntenic with genes flanking the mammalian chemokine cluster. Immunogenetics 1999, 49, 673–684. [Google Scholar] [CrossRef]
- Degen, W.G.; van Daal, N.; van Zuilekom, H.I.; Burnside, J.; Schijns, V.E. Identification and molecular cloning of functional chicken IL-12. J. Immunol. 2004, 172, 4371–4380. [Google Scholar] [CrossRef]
- Lillehoj, H.S.; Min, W.; Choi, K.D.; Babu, U.S.; Burnside, J.; Miyamoto, T.; Rosenthal, B.M.; Lillehoj, E.P. Molecular, cellular, and functional characterization of chicken cytokines homologous to mammalian IL-15 and IL-2. Vet. Immunol. Immunopathol. 2001, 82, 229–244. [Google Scholar] [CrossRef]
- Takimoto, T.; Sato, K.; Akiba, Y.; Takahashi, K. Role of chicken TL1A on inflammatory responses and partial characterization of its receptor. J. Immunol. 2008, 180, 8327–8332. [Google Scholar] [CrossRef]
- Jakawlew, S.B.; Dillard, P.J.; Sporn, M.B.; Roberts, A.B. Complementary deoxyribonucleic acid cloning of a messenger ribonucleic acid encoding transforming growth factor beta 4 from chicken embryo chondrocytes. Mol. Endocrinol. 1988, 2, 1186–1195. [Google Scholar] [CrossRef]
- Kost, T.A.; Theodorakis, N.; Hughes, S.H. The nucleotide sequence of the chick cytoplasmic beta-actin gene. Nucleic Acids Res. 1983, 11, 8287–8301. [Google Scholar] [CrossRef] [PubMed]
- Kumar, S.; Stecher, G.; Tamura, K. MEGA7: Molecular evolutionary genetics analysis version 7.0 for bigger datasets. Mol. Biol. Evol. 2016, 33, 1870–1874. [Google Scholar] [CrossRef] [PubMed]
- Livak, K.J.; Schmittgen, T.D. Analysis of relative gene expression data using real-time quantitative PCR and the 2-ΔΔCT method. Methods 2001, 25, 402–408. [Google Scholar] [CrossRef] [PubMed]
- Long, K.E.; Hastie, G.M.; Ojkić, D.; Brash, M.L. Economic impacts of white chick syndrome in Ontario, Canada. Avian Dis. 2017, 61, 402–408. [Google Scholar] [CrossRef] [PubMed]
- Nighot, P.K.; Moeser, A.; Ali, R.A.; Blikslager, A.T.; Koci, M.D. Astrovirus infection induces sodium malabsorption and redistributes sodium hydrogen exchanger expression. Virology 2010, 401, 146–154. [Google Scholar] [CrossRef] [PubMed]
- Moreno, J.A.; Díaz-Gómez, J.; Nogareda, C.; Ângulo, E.; Sandmann, G.; Portero-Otin, M.; Serrano, J.C.; Twyman, R.M.; Capell, T.; Zhu, C.; et al. The distribution of carotenoids in hens fed on biofortified maize is influenced by feed composition, absorption, resource allocation and storage. Sci. Rep. 2016, 6, 35346. [Google Scholar] [CrossRef]
- Weaver, R.J.; Santos, E.S.A.; Tucker, A.M.; Wilson, A.E.; Hill, G.E. Carotenoid metabolism strengthens the link between feather coloration and individual quality. Nat. Commun. 2018, 9, 73. [Google Scholar] [CrossRef]
- Moran, E. Nutrition of the developing embryo and hatchling. Poult. Sci. 2007, 86, 1043–1049. [Google Scholar] [CrossRef]
- Speier, J.S.; Yadgary, L.; Uni, Z.; Wong, E.A. Gene expression of nutrient transporters and digestive enzymes in the yolk sac membrane and small intestine of the developing embryonic chick. Poult. Sci. 2012, 91, 1941–1949. [Google Scholar] [CrossRef]
- Smyth, V.J.; Jewhurst, H.L.; Wilkinson, D.S.; Adair, B.M.; Gordon, A.W.; Todd, D. Development and evaluation of real-time TaqMan® RT-PCR assays for the detection of avian nephritis virus and chicken astrovirus in chickens. Avian Pathol. 2010, 39, 467–474. [Google Scholar] [CrossRef] [PubMed]
- Luna, L.E.; Beserra, L.A.R.; Soares, R.M.; Gregori, F. Turkey astrovirus type 1 (TAstV-1) and chicken astrovirus (CAstV) detection in Brazilian chicken flocks. Avian Dis. 2016, 60, 681–687. [Google Scholar]
- Krishna, N.K. Identification of structural domains involved in astrovirus capsid biology. Viral Immunol. 2005, 18, 17–26. [Google Scholar] [CrossRef] [PubMed]
- Bidokhti, M.; Ullman, K.; Hammer, A.S.; Jensen, T.H.; Chriél, M.; Byrareddy, S.N.; Baule, C. Immunogenicity and Efficacy Evaluation of Subunit Astrovirus Vaccines. Vaccines 2019, 7, 79. [Google Scholar] [CrossRef] [PubMed]
- Alkie, T.N.; Yitbarek, A.; Hodgins, D.C.; Kulkarni, R.R.; Taha-Abdelaziz, K.; Sharif, S. Development of innate immunity in chicken embryos and newly hatched chicks: A disease control perspective. Avian Pathol. 2019, 48, 288–310. [Google Scholar] [CrossRef] [PubMed]
- Grgić, H.; Sharif, S.; Haghighi, H.R.; Nagy, É. Cytokine Patterns Associated with a Serotype 8 Fowl Adenovirus Infection. Viral Immunol. 2013, 26, 143–149. [Google Scholar] [CrossRef] [PubMed]
- Chew, L.J.; Pan, H.; Yu, J.; Tian, S.; Huang, W.; Zhangu, S.; Panga, S.; Li, L. A novel secreted splice variant of vascular endothelial cell growth inhibitor. FASEB J. 2002, 16, 742–744. [Google Scholar] [CrossRef]
- Niu, Y.; Sun, Q.; Shi, Y.; Ding, Y.; Li, Z.; Sun, Y.; Li, M.; Liu, S. Immunosuppressive potential of fowl adenovirus serotype 4. Poult. Sci. 2019, 98, 3514–3522. [Google Scholar] [CrossRef]






| Virus | Primer | Target Gene | PCR Assay | Nucleotide Sequences (5′–3′) | Reference |
|---|---|---|---|---|---|
| CAstV | CAsPol1F | ORF 1b | RT-PCR | GAYCARCGAATGCGRAGRTTG | [23] |
| CAsPol1R | TCAGTGGAAGTGGGKARTCTAC | ||||
| CastV PRECAP | ORF 2 | RT-PCR | TAGAGGGATGGACCGAAATATAGCAGC | [17] | |
| CastV POSTCAP | TGCAGCTGTACCCTCGATCCTA | ||||
| CASTV-W-C-F | ORF 1b | RT-qPCR | TTGATGGCACTATTCCAAAGG | This Study | |
| CASTV-W-C-R | GAATCTGATCTGCCGAATGC | ||||
| Cytokine Expression | IFN-γ | RT-qPCR | ACACTGACAAGTCAAAGCCGC | [24] | |
| AGTCGTTCATCGGGAGCTTG | |||||
| t-BET | RT-qPCR | GGG AAC CGC CTC TAC CTG | [25] | ||
| AGTGATGTCGGCGTTCTGG | |||||
| IL-2 | RT-qPCR | TGCAGTGTTACCTGGGAGAAGTGGT | [26] | ||
| ACTTCCGGTGTGATTTAGACCCGT | |||||
| IL-8 | RT-qPCR | CCAAGCACACCTCTCTTCCA | [27] | ||
| GCAAGGTAGGACGCTGGTAA | |||||
| IL-12p40 | RT-qPCR | CCAAGACCTGGAGCACACCGAAG | [28] | ||
| CGATCCCTGGCCTGCACAGAGA | |||||
| IL-15 | RT-qPCR | TCTGTTCTTCTGTTCTGAGTGATG | [29] | ||
| AGTGATTTGCTTCTGTCTTTGGTA | |||||
| TNFSF15 | RT-qPCR | CCTGAGTATTCCAGCAACGCA | [30] | ||
| ATCCACCAGCTTGATGTCACTAAC | |||||
| TGF-β4 | RT-qPCR | CGGCCGACGATGAGTGGCTC | [31] | ||
| CGGGGCCCATCTCACAGGGA | |||||
| β-Actina | RT-qPCR | CAACACAGTGCTGTCTGGTGGTA | [32] | ||
| ATCGTACTCCTGCTTGCTGATCC | |||||
| Detection and Quantification of CAstV Associated with White Chicks Condition | |||||||||||||||||||||
|---|---|---|---|---|---|---|---|---|---|---|---|---|---|---|---|---|---|---|---|---|---|
| Organs | Bird 1 | Bird 2 | Bird 3 | Bird 4 | Bird 5 | Bird 6 | Bird 7 | Bird 8 | Bird 9 | Bird 10 | Total | ||||||||||
| CAstV | VP/mG | CAstV | VP/mG | CAstV | VP/mG | CAstV | VP/mG | CAstV | VP/mG | CAstV | VP/mG | CAstV | VP/mG | CAstV | VP/mG | CAstV | VP/mG | CAstV | VP/mG | VP/mG | |
| Serum | + | 1368 | + | 1884 | + | 75 | + | 314 | + | 409 | + | 1469 | + | 99 | + | 1262 | + | 662 | + | 133 | 7677 |
| Spleen | + | 28,364 | + | 1,173,399 | + | 1379 | + | 771,929 | + | 1174 | + | 144,512 | + | 1028 | + | 530,225 | + | 192,106 | + | 104,599 | 3,928,715 |
| Liver | + | 1156 | + | 354,865 | + | 2094 | + | 372,304 | + | 802 | + | 84,940 | + | 1050 | + | 156,095 | + | 204,238 | + | 580,590 | 1,758,134 |
| Jejunum | + | 43,179 | + | 7,247,165 | + | 122,799 | + | 35,037,330 | + | 127,962 | + | 48,424,590 | + | 43,161 | + | 10,474,623 | + | 41,159,980 | + | 58,520,448 | 201,201,237 ** |
| Thymus | + | 4209 | + | 10,100 | + | 5292 | + | 34,351 | + | 9826 | + | 6457 | + | 6642 | + | 36,293 | + | 16,006 | + | 39,373 | 168,549 |
| N. | Groups | Sequences | Percent Amino Acid Similarity | ||||||||||||||||||||||||||||||||
|---|---|---|---|---|---|---|---|---|---|---|---|---|---|---|---|---|---|---|---|---|---|---|---|---|---|---|---|---|---|---|---|---|---|---|---|
| Ai | Aii | Aiii | Bi | Bii | Biii | Biv | ANV | ||||||||||||||||||||||||||||
| 1 | 2 | 3 | 4 | 5 | 6 | 7 | 8 | 9 | 10 | 11 | 12 | 13 | 14 | 15 | 16 | 17 | 18 | 19 | 20 | 21 | 22 | 23 | 24 | 25 | 26 | 27 | 28 | 29 | 30 | 31 | 32 | 33 | |||
| 1 | Ai | JN582319.1 | - | 89.7 | 99 | 95.1 | 77.6 | 77.4 | 77.7 | 78 | 79.6 | 79.3 | 79.3 | 79.6 | 38.4 | 38.4 | 38.4 | 38.6 | 38.6 | 37.9 | 37.9 | 37.7 | 37.7 | 37.9 | 39.2 | 39.2 | 39.1 | 39.2 | 38.4 | 38.6 | 38.6 | 38.6 | 38.6 | 38.6 | 24.3 |
| 2 | JN582317.1 | 78.5 | - | 90.1 | 90.5 | 77.5 | 77.4 | 77.8 | 78.1 | 79.1 | 78.5 | 78.5 | 79.1 | 38 | 38 | 38.2 | 38 | 38.1 | 37.9 | 38.3 | 38 | 38.2 | 38.2 | 39.3 | 39.2 | 39.2 | 39.3 | 38.5 | 38.8 | 38.8 | 38.8 | 38.8 | 38.9 | 24.4 | |
| 3 | JN582320.1 | 97.3 | 78.7 | - | 95.5 | 77.2 | 77 | 77.3 | 77.6 | 79.5 | 79.1 | 79.1 | 79.5 | 38.3 | 38.3 | 38.3 | 38.4 | 38.4 | 37.7 | 37.7 | 37.6 | 37.6 | 37.6 | 39.1 | 39.1 | 39 | 39.1 | 38.3 | 38.4 | 38.4 | 38.4 | 38.4 | 38.4 | 23.9 | |
| 4 | JN582318.1 | 86.3 | 77.8 | 86.7 | - | 76.3 | 76.2 | 76.5 | 76.7 | 79.6 | 79.3 | 79.3 | 79.6 | 38.2 | 38.2 | 38.3 | 38.3 | 38.3 | 37.7 | 37.9 | 37.7 | 37.7 | 38 | 39.2 | 39.2 | 39.1 | 39.2 | 38.4 | 38.7 | 38.7 | 38.7 | 38.7 | 38.7 | 24.2 | |
| 5 | Aii | JN582326.1 | 70.9 | 70.7 | 71.2 | 70.9 | - | 99.3 | 99.1 | 99.4 | 81.9 | 81.7 | 81.7 | 81.9 | 38.6 | 38.6 | 38.4 | 38.7 | 38.7 | 37.9 | 37.1 | 36.9 | 36.9 | 37.1 | 38.7 | 38.6 | 38.6 | 38.7 | 37.9 | 38.2 | 38.2 | 38.2 | 38.2 | 38.2 | 23.9 |
| 6 | JN582325.1 | 70.9 | 70.6 | 71.2 | 70.8 | 99.7 | - | 99 | 99.3 | 81.8 | 81.5 | 81.5 | 81.8 | 38.4 | 38.4 | 38.3 | 38.6 | 38.6 | 37.7 | 36.9 | 36.8 | 36.8 | 36.9 | 38.6 | 38.4 | 38.4 | 38.6 | 37.8 | 38 | 38 | 38 | 38 | 38 | 24 | |
| 7 | JN582324.1 | 70.9 | 70.9 | 71.1 | 70.8 | 98.9 | 98.8 | - | 99.4 | 81.9 | 81.7 | 81.7 | 81.9 | 38.6 | 38.6 | 38.4 | 38.7 | 38.7 | 37.9 | 37.1 | 36.9 | 36.9 | 37.1 | 38.7 | 38.6 | 38.6 | 38.7 | 37.9 | 38.3 | 38.3 | 38.3 | 38.3 | 38.3 | 24.2 | |
| 8 | JN582323.1 | 70.9 | 71.1 | 71.2 | 70.8 | 98.1 | 98.1 | 98.2 | - | 82.2 | 81.9 | 81.9 | 82.2 | 38.7 | 38.7 | 38.6 | 38.8 | 38.8 | 38 | 37.2 | 37.1 | 37.1 | 37.2 | 38.6 | 38.4 | 38.4 | 38.6 | 37.8 | 38.3 | 38.3 | 38.3 | 38.3 | 38.3 | 24.2 | |
| 9 | Aiii | KT886453.1 | 71.2 | 71.1 | 71.2 | 71.5 | 74.8 | 74.8 | 75.1 | 75.4 | - | 98.3 | 98.3 | 100 | 38 | 38 | 38.2 | 38.2 | 38.2 | 37.2 | 37.1 | 37.1 | 37.1 | 37.5 | 38.6 | 38.4 | 38.3 | 38.4 | 38.2 | 37.8 | 37.8 | 37.8 | 37.8 | 37.8 | 24.7 |
| 10 | JN582321.1 | 71.2 | 71.1 | 71.2 | 71.4 | 75 | 75.1 | 75.3 | 75.8 | 97 | - | 100 | 98.3 | 38.2 | 38.2 | 38.3 | 38.3 | 38.3 | 37.2 | 37.1 | 37.1 | 37.1 | 37.5 | 38.7 | 38.6 | 38.4 | 38.6 | 37.9 | 38 | 38 | 38 | 38 | 38 | 24.7 | |
| 11 | JN582322.1 | 71.2 | 71.1 | 71.2 | 71.4 | 75 | 75.1 | 75.3 | 75.8 | 97 | 100 | - | 98.3 | 38.2 | 38.2 | 38.3 | 38.3 | 38.3 | 37.2 | 37.1 | 37.1 | 37.1 | 37.5 | 38.7 | 38.6 | 38.4 | 38.6 | 37.9 | 38 | 38 | 38 | 38 | 38 | 24.7 | |
| 12 | KR052479.1 | 71.3 | 71.1 | 71.3 | 71.5 | 74.8 | 74.8 | 75.1 | 75.4 | 99.7 | 97.2 | 97.2 | - | 38 | 38 | 38.2 | 38.2 | 38.2 | 37.2 | 37.1 | 37.1 | 37.1 | 37.5 | 38.6 | 38.4 | 38.3 | 38.4 | 38.2 | 37.8 | 37.8 | 37.8 | 37.8 | 37.8 | 24.7 | |
| 13 | Bi | HQ330506.1 | 47 | 47.2 | 47.1 | 46.9 | 46.9 | 47 | 47 | 47.1 | 46.3 | 46.5 | 46.5 | 46.2 | - | 100 | 97.6 | 98.2 | 98.2 | 83 | 83.1 | 83.7 | 83.4 | 82.6 | 91.8 | 91.7 | 91.3 | 91.5 | 91 | 88.3 | 88.2 | 88.3 | 88.3 | 88 | 23.4 |
| 14 | JN582327.1 | 47 | 47.2 | 47.1 | 46.9 | 46.9 | 47 | 47 | 47.1 | 46.3 | 46.5 | 46.5 | 46.2 | 100 | - | 97.6 | 98.2 | 98.2 | 83 | 83.1 | 83.7 | 83.4 | 82.6 | 91.8 | 91.7 | 91.3 | 91.5 | 91 | 88.3 | 88.2 | 88.3 | 88.3 | 88 | 23.4 | |
| 15 | JN582305.1 | 47 | 47.2 | 47.2 | 46.8 | 47.2 | 47.3 | 47.3 | 47.4 | 46.4 | 46.9 | 46.9 | 46.5 | 98.5 | 98.5 | - | 98.5 | 98.6 | 83.4 | 83.7 | 84.4 | 84.1 | 83.3 | 92.6 | 92.5 | 92.1 | 92.4 | 91.8 | 88.8 | 88.7 | 88.8 | 88.8 | 88.6 | 23.4 | |
| 16 | JN582311.1 | 46.8 | 47.5 | 47.1 | 47.2 | 47.2 | 47.2 | 47.3 | 47.4 | 46.5 | 46.9 | 46.9 | 46.5 | 97.3 | 97.3 | 97.6 | - | 99 | 83.6 | 83.7 | 84.4 | 84.1 | 83.3 | 92.5 | 92.4 | 92 | 92.2 | 91.7 | 88.8 | 88.7 | 88.8 | 88.8 | 88.6 | 23.5 | |
| 17 | JN582310.1 | 46.9 | 47.5 | 47.1 | 47.2 | 47.2 | 47.2 | 47.4 | 47.4 | 46.6 | 46.8 | 46.8 | 46.6 | 97.4 | 97.4 | 97.7 | 99.4 | - | 83.8 | 84 | 84.6 | 84.4 | 83.6 | 92.6 | 92.5 | 92.1 | 92.4 | 91.8 | 89.1 | 89 | 89.1 | 89.1 | 88.8 | 23.4 | |
| 18 | Bii | JF414802.1 | 46.4 | 46.5 | 46.5 | 46.6 | 46.4 | 46.4 | 46.5 | 46.4 | 46.2 | 45.9 | 45.9 | 46.1 | 74.5 | 74.5 | 74.2 | 74.7 | 74.6 | - | 94.3 | 95.2 | 95 | 94.7 | 84.1 | 84 | 83.8 | 84 | 83.4 | 84.9 | 84.8 | 84.9 | 84.8 | 84.8 | 23.5 |
| 19 | JN582314.1 | 46.6 | 46.5 | 46.5 | 46.1 | 45.8 | 45.9 | 45.7 | 46 | 45.6 | 45.7 | 45.7 | 45.6 | 74.3 | 74.3 | 74.5 | 74.7 | 74.7 | 87.4 | - | 98.2 | 98.1 | 96.6 | 84.9 | 84.8 | 84.6 | 84.9 | 84.2 | 84.8 | 84.6 | 84.8 | 84.6 | 84.8 | 23.4 | |
| 20 | JN582313.1 | 47 | 46.9 | 47 | 46.4 | 46 | 46.1 | 45.9 | 46.2 | 45.9 | 46 | 46 | 45.9 | 74.4 | 74.4 | 74.7 | 74.9 | 74.9 | 87.6 | 98.2 | - | 98.7 | 97.8 | 85.3 | 85.2 | 84.9 | 85.2 | 84.6 | 85.3 | 85.2 | 85.3 | 85.2 | 85.2 | 23.3 | |
| 21 | JN582316.1 | 46.9 | 46.7 | 46.9 | 46.5 | 46.3 | 46.3 | 46.2 | 46.5 | 46.1 | 46 | 46 | 46.1 | 74.3 | 74.3 | 74.6 | 74.9 | 74.8 | 87.2 | 97.6 | 98.6 | - | 97.1 | 85.2 | 85 | 84.8 | 85 | 84.5 | 85 | 84.9 | 85 | 84.9 | 85 | 23.4 | |
| 22 | JN582315.1 | 46.6 | 46.7 | 46.9 | 46.4 | 45.8 | 45.9 | 45.8 | 46 | 45.7 | 45.7 | 45.7 | 45.7 | 73.7 | 73.7 | 73.9 | 74.1 | 74.1 | 86.9 | 95.3 | 96.3 | 96.1 | - | 84.4 | 84.2 | 84 | 84.2 | 83.7 | 84.4 | 84.2 | 84.4 | 84.2 | 84.2 | 23.3 | |
| 23 | Bii | JX945862.1 | 48.2 | 47.9 | 48.2 | 47.4 | 47.8 | 47.7 | 47.6 | 47.8 | 46.6 | 47 | 47 | 46.6 | 85.3 | 85.3 | 85.6 | 84.9 | 85.1 | 75.5 | 75.7 | 76 | 76 | 75 | - | 99.8 | 99.4 | 99.7 | 99 | 89.9 | 89.8 | 89.9 | 89.9 | 89.8 | 24.1 |
| 24 | KJ621032.1 | 48.1 | 47.8 | 48.1 | 47.4 | 47.8 | 47.8 | 47.7 | 47.8 | 46.7 | 47 | 47 | 46.6 | 85.4 | 85.4 | 85.5 | 85 | 85.1 | 75.6 | 75.7 | 76.1 | 76.1 | 75 | 99.4 | - | 99.3 | 99.5 | 98.9 | 89.8 | 89.7 | 89.8 | 89.8 | 89.7 | 24.1 | |
| 25 | KJ621027.1 | 48.2 | 47.7 | 48.1 | 47.4 | 47.6 | 47.6 | 47.5 | 47.6 | 46.7 | 46.9 | 46.9 | 46.7 | 85.4 | 85.4 | 85.5 | 85 | 85.2 | 75.5 | 75.8 | 76.1 | 76.1 | 75.1 | 98.3 | 98.6 | - | 99.7 | 98.5 | 89.5 | 89.4 | 89.5 | 89.5 | 89.4 | 24.2 | |
| 26 | JX945859.1 | 48.3 | 47.7 | 48.2 | 47.5 | 47.6 | 47.6 | 47.5 | 47.6 | 46.7 | 46.9 | 46.9 | 46.7 | 85.5 | 85.5 | 85.7 | 85.2 | 85.3 | 75.6 | 75.9 | 76.1 | 76.1 | 75.2 | 98.3 | 98.6 | 99.7 | - | 98.7 | 89.7 | 89.5 | 89.7 | 89.7 | 89.5 | 24.2 | |
| 27 | JX945863.1 | 47.8 | 47.8 | 47.8 | 47 | 47.5 | 47.4 | 47.3 | 47.5 | 46.5 | 46.8 | 46.8 | 46.4 | 84.9 | 84.9 | 85.1 | 84.5 | 84.7 | 75.4 | 75.5 | 75.8 | 75.8 | 74.8 | 98.9 | 99 | 97.9 | 97.9 | - | 89.1 | 89 | 89.1 | 89.1 | 89 | 23.7 | |
| 28 | Biv | USP 748-16 | 47.5 | 47.8 | 47.3 | 47.4 | 47 | 47 | 47.1 | 47.1 | 47 | 47.1 | 47.1 | 46.8 | 78.5 | 78.5 | 78.3 | 78.8 | 78.9 | 77 | 76.9 | 77.1 | 77.1 | 76 | 80.6 | 80.6 | 80.5 | 80.5 | 80.4 | - | 99.8 | 100 | 99.8 | 99.5 | 24.1 |
| 29 | USP 748-18 | 47.5 | 47.8 | 47.3 | 47.3 | 46.9 | 47 | 47 | 47 | 46.9 | 47 | 47 | 46.7 | 78.7 | 78.7 | 78.5 | 79 | 79.1 | 77 | 76.7 | 77 | 77 | 75.9 | 80.5 | 80.6 | 80.4 | 80.4 | 80.4 | 99.7 | - | 99.8 | 99.7 | 99.4 | 24.2 | |
| 30 | USP 748-12 | 47.5 | 47.8 | 47.3 | 47.4 | 46.9 | 47 | 47 | 47 | 47 | 47.1 | 47.1 | 46.8 | 78.6 | 78.6 | 78.4 | 78.9 | 79 | 76.9 | 76.8 | 77 | 77 | 75.8 | 80.6 | 80.7 | 80.6 | 80.6 | 80.5 | 99.8 | 99.7 | - | 99.8 | 99.5 | 24.1 | |
| 31 | USP 748-14 | 47.5 | 47.8 | 47.3 | 47.3 | 46.9 | 46.9 | 47 | 47 | 47 | 47.1 | 47.1 | 46.8 | 78.6 | 78.6 | 78.4 | 78.9 | 79 | 77 | 76.6 | 76.9 | 76.9 | 75.7 | 80.6 | 80.6 | 80.5 | 80.5 | 80.4 | 99.7 | 99.7 | 99.7 | - | 99.4 | 24.1 | |
| 32 | USP 748-20 | 47.4 | 47.9 | 47.3 | 47.4 | 46.9 | 47 | 47 | 47 | 47 | 47.1 | 47.1 | 46.8 | 78.3 | 78.3 | 78.2 | 78.7 | 78.8 | 76.8 | 76.7 | 77 | 76.9 | 75.8 | 80.5 | 80.6 | 80.4 | 80.4 | 80.3 | 99.5 | 99.5 | 99.6 | 99.5 | - | 23.9 | |
| 33 | ANV | NC_003790.1 | 37.2 | 37.4 | 37.1 | 37.3 | 36.1 | 36.1 | 36.4 | 36.3 | 37.5 | 37.5 | 37.5 | 37.5 | 38.7 | 38.7 | 38.8 | 38.9 | 39 | 38.2 | 37.7 | 37.8 | 37.9 | 37.7 | 39.2 | 39.2 | 39.2 | 39.1 | 39 | 39.4 | 39.3 | 39.3 | 39.3 | 39.2 | - |
| Percent Amino Acid Nucleotides | |||||||||||||||||||||||||||||||||||
© 2020 by the authors. Licensee MDPI, Basel, Switzerland. This article is an open access article distributed under the terms and conditions of the Creative Commons Attribution (CC BY) license (http://creativecommons.org/licenses/by/4.0/).
Share and Cite
Naranjo Nuñez, L.F.; Santander-Parra, S.H.; Kyriakidis, N.C.; Astolfi-Ferreira, C.S.; Buim, M.R.; De la Torre, D.; Piantino Ferreira, A.J. Molecular Characterization and Determination of Relative Cytokine Expression in Naturally Infected Day-Old Chicks with Chicken Astrovirus Associated to White Chick Syndrome. Animals 2020, 10, 1195. https://doi.org/10.3390/ani10071195
Naranjo Nuñez LF, Santander-Parra SH, Kyriakidis NC, Astolfi-Ferreira CS, Buim MR, De la Torre D, Piantino Ferreira AJ. Molecular Characterization and Determination of Relative Cytokine Expression in Naturally Infected Day-Old Chicks with Chicken Astrovirus Associated to White Chick Syndrome. Animals. 2020; 10(7):1195. https://doi.org/10.3390/ani10071195
Chicago/Turabian StyleNaranjo Nuñez, Luis F., Silvana H. Santander-Parra, Nicolaos C. Kyriakidis, Claudete S. Astolfi-Ferreira, Marcos R. Buim, David De la Torre, and Antonio J. Piantino Ferreira. 2020. "Molecular Characterization and Determination of Relative Cytokine Expression in Naturally Infected Day-Old Chicks with Chicken Astrovirus Associated to White Chick Syndrome" Animals 10, no. 7: 1195. https://doi.org/10.3390/ani10071195
APA StyleNaranjo Nuñez, L. F., Santander-Parra, S. H., Kyriakidis, N. C., Astolfi-Ferreira, C. S., Buim, M. R., De la Torre, D., & Piantino Ferreira, A. J. (2020). Molecular Characterization and Determination of Relative Cytokine Expression in Naturally Infected Day-Old Chicks with Chicken Astrovirus Associated to White Chick Syndrome. Animals, 10(7), 1195. https://doi.org/10.3390/ani10071195

