Emergence of Rickettsial Infection in Rainbow Trout (Oncorhynchus mykiss) Fry Displaying the Appearance of Red Mark Syndrome in Korea
Abstract
1. Introduction
2. Materials and Methods
2.1. Sample Collection and Post Mortem Examination
2.2. DNA Extraction and Molecular Detection of RLO
2.3. Phylogenetic Analysis
2.4. Histopathology Sample Preparation
2.5. Morphological Analysis
3. Results and Discussion
3.1. Sample Examination
3.2. Detection of Rickettsia and Phylogenetic Analysis
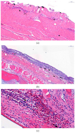
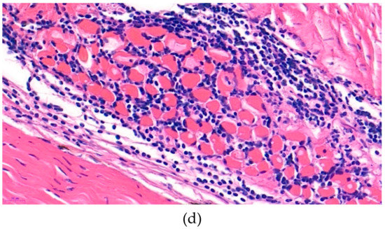
3.3. Histopathology Analysis
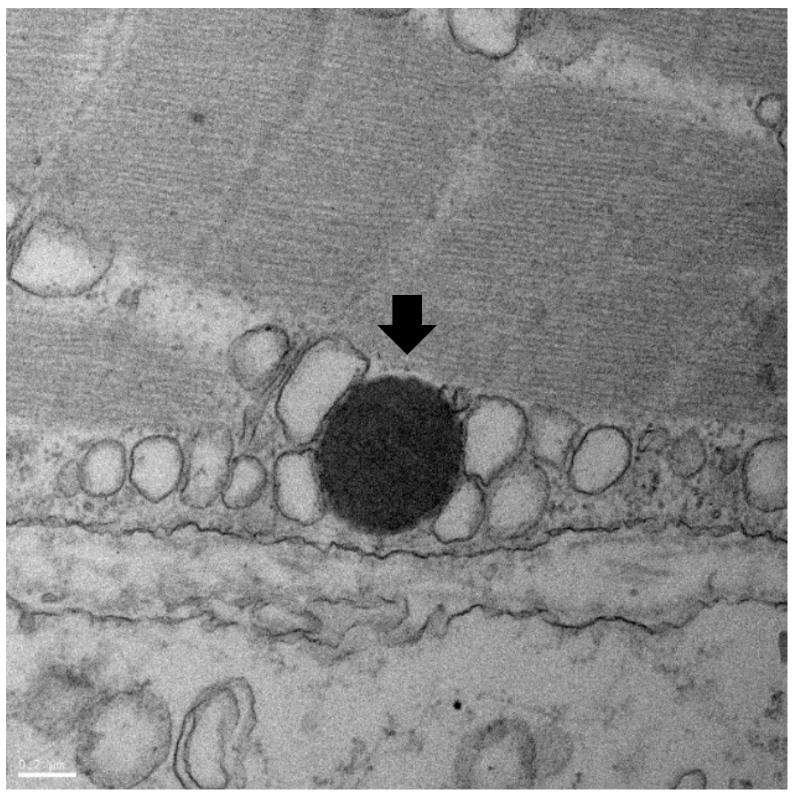
3.4. TEM Analysis
3.5. RMS Infection in Rainbow Trout Fry
Author Contributions
Funding
Acknowledgments
Conflicts of Interest
References
- McCarthy, U.; Casadei, E.; Wang, T.; Secombes, C.J. Red mark syndrome in rainbow trout Oncorhynchus mykiss: Investigation of immune responses in lesions using histology, immunohistochemistry and analysis of immune gene expression. Fish Shellfish Immunol. 2013, 34, 1119–1130. [Google Scholar] [CrossRef] [PubMed]
- Schmidt-Posthaus, H.; Bergmann, W.; Knusel, R.; Heistinger, H.; Licek, E. Appearance of red mark syndrome/cold water strawberry disease in Switzerland and Austria. Dis. Aquat. Organ. 2009, 88, 65–68. [Google Scholar] [CrossRef] [PubMed][Green Version]
- Olson, D.P.; Beleau, M.H.; Busch, R.A.; Roberts, S.; Krieger, R.I. Strawberry disease in rainbow trout, Salmo gairdneri Richardson. J. Fish Dis. 1985, 8, 103–111. [Google Scholar] [CrossRef]
- Maddocks, C.E.; Nolan, E.T.; Feist, S.W.; Crumlish, M.; Richards, R.H.; Williams, C.F. Puffy skin disease (PSD) in rainbow trout, Oncorhynchus mykiss (Walbaum): A case definition. J. Fish Dis. 2015, 38, 653–664. [Google Scholar] [CrossRef] [PubMed]
- Ferguson, H.W.; Girons, A.; Rizgalla, G.; LaPatra, S.; Branson, E.J.; Mackenzie, K.; Davies, M.; Collins, R.O.; Diab, A.; Crumlish, M. Strawberry disease in rainbow trout in Scotland: Pathology and association with Flavobacterium psychrophilum. Vet. Rec. 2006, 158, 630–632. [Google Scholar] [CrossRef] [PubMed]
- Cafiso, A.; Sassera, D.; Serra, V.; Bandi, C.; McCarthy, U.; Bazzocchi, C. Molecular evidence for a bacterium of the family Midichloriaceae (order Rickettsiales) in skin and organs of the rainbow trout Oncorhynchus mykiss (Walbaum) affected by red mark syndrome. J. Fish Dis. 2016, 39, 497–501. [Google Scholar] [CrossRef] [PubMed]
- Lloyd, S.J.; LaPatra, S.E.; Snekvik, K.R.; St-Hilaire, S.; Cain, K.D.; Call, D.R. Strawberry disease lesions in rainbow trout from southern Idaho are associated with DNA from a Rickettsia-like organism. Dis. Aquat. Organ. 2008, 82, 111–118. [Google Scholar] [CrossRef] [PubMed]
- Botelho-Nevers, E.; Raoult, D. Host, pathogen and treatment-related prognostic factors in rickettsioses. Eur. J. Clin. Microbiol. Infect. Dis. 2011, 30, 1139–1150. [Google Scholar] [CrossRef]
- Lorenzen, E.; Dalsgaard, I.; Bernardet, J.F. Characterization of isolates of Flavobacterium psychrophilum associated with coldwater disease or rainbow trout fry syndrome I: Phenotypic and genomic studies. Dis. Aquat. Organ. 1997, 31, 197–208. [Google Scholar] [CrossRef]
- Fleury, H.J.A.; Vuillaume, A.; Sochon, E. Isolation of an adeno-like virus from two cases of strawberry disease in rainbow trout. Annal. de l’Institut. Pasteur/Virol. 1985, 136, 223–228. [Google Scholar] [CrossRef]
- Galeotti, M.; Manzano, M.; Beraldo, P.; Bulfon, C.; Rossi, G.; Volpatti, D.; Magi, G.E. Ultrastructural and biomolecular detection of Rickettsiales-like organisms in tissues of rainbow trout with Red Mark Syndrome. J. Fish Dis. 2017, 40, 907–917. [Google Scholar] [CrossRef] [PubMed]
- Loch, T.P.; Faisal, M. Emerging flavobacterial infections in fish: A review. J. Adv. Res. 2015, 6, 283–300. [Google Scholar] [CrossRef] [PubMed]
- Alonso, M.; Rodrıguez, S.; Prieto, S.I.P. Nested PCR improves detection of infectious hematopoietic necrosis virus in cells coinfected with infectious pancreatic necrosis virus. J. Virol. Methods 1999, 81, 1–9. [Google Scholar] [CrossRef]
- Garver, K.A.; Hawley, L.M.; McClure, C.A.; Schroeder, T.; Aldous, S.; Doig, F.; Richard, J. Development and validation of a reverse transcription quantitative PCR for universal detection of viral hemorrhagic septicemia virus. Dis. Aquat. Org. 2011, 95, 97–112. [Google Scholar] [CrossRef] [PubMed]
- Cecchini, F.; Manzano, M.; Iacumin, L.; Comi, G.; Volpatti, D.; Galletti, E.; Galeotti, M. Utilization of molecular methods to relate Red Mark Syndrome affecting Oncorhynchus mykiss to an unculturable Rickettsiales organism. J. Appl. Biol. Biotechnol. 2017, 5, 1–7. [Google Scholar]
- Galeotti, M.; Ronza, P.; Beraldo, P.; Bulfon, C.; Magi, G.E.; Manzano, M.; Volpatti, D. First report of Red Mark Syndrome (RMS) in farmed rainbow trout in Slovenia. J. Fish Dis. 2017, 40, 1935–1939. [Google Scholar] [CrossRef] [PubMed]
- Hall, T.A. BioEdit: A user-friendly biological sequence alignment editor and analysis program for Windows 95/98/NT. Nucleic Acids Symp. Ser. 1999, 41, 95–98. [Google Scholar]
- Kumar, S.; Stecher, G.; Tamura, K. MEGA7: Molecular Evolutionary Genetics Analysis Version 7.0 for Bigger Datasets. Mol. Biol. Evol. 2016, 33, 1870–1874. [Google Scholar] [CrossRef]
- Altinok, I. Multiplex PCR assay for detection of four major bacterial pathogens causing rainbow trout disease. Dis. Aquat. Organ. 2011, 93, 199–206. [Google Scholar] [CrossRef]
- Dixon, P.; Paley, R.; Alegria-Moran, R.; Oidtmann, B. Epidemiological characteristics of infectious hematopoietic necrosis virus (IHNV): A review. Vet. Res. 2016, 47, 63. [Google Scholar] [CrossRef]
- Oidtmann, B.; Lapatra, S.E.; Verner-Jeffreys, D.; Pond, M.; Peeler, E.J.; Noguera, P.A.; Feist, S.W. Differential characterization of emerging skin diseases of rainbow trout—a standardized approach to capturing disease characteristics and development of case definitions. J. Fish Dis. 2013, 36, 921–937. [Google Scholar] [CrossRef] [PubMed]
- Lloyd, S.J.; LaPatra, S.E.; Snekvik, K.R.; Cain, K.D.; Call, D.R. Quantitative PCR demonstrates a positive correlation between a Rickettsia-like organism and severity of strawberry disease lesions in rainbow trout, Oncorhynchus mykiss (Walbaum). J. Fish Dis. 2011, 34, 701–709. [Google Scholar] [CrossRef] [PubMed]
- Verner-Jeffreys, D.W.; Pond, M.J.; Peeler, E.J.; Rimmer, G.S.; Oidtmann, B.; Way, K.; Feist, S.W. Emergence of cold water strawberry disease of rainbow trout Oncorynchus mykiss in England and Wales: Outbreak investigations and transmission studies. Dis. Aquat. Organ. 2008, 79, 207–218. [Google Scholar] [CrossRef] [PubMed]





© 2019 by the authors. Licensee MDPI, Basel, Switzerland. This article is an open access article distributed under the terms and conditions of the Creative Commons Attribution (CC BY) license (http://creativecommons.org/licenses/by/4.0/).
Share and Cite
Oh, W.T.; Giri, S.S.; Yun, S.; Kim, H.J.; Kim, S.G.; Kim, S.W.; Kang, J.W.; Han, S.J.; Kwon, J.; Jun, J.W.; et al. Emergence of Rickettsial Infection in Rainbow Trout (Oncorhynchus mykiss) Fry Displaying the Appearance of Red Mark Syndrome in Korea. Microorganisms 2019, 7, 302. https://doi.org/10.3390/microorganisms7090302
Oh WT, Giri SS, Yun S, Kim HJ, Kim SG, Kim SW, Kang JW, Han SJ, Kwon J, Jun JW, et al. Emergence of Rickettsial Infection in Rainbow Trout (Oncorhynchus mykiss) Fry Displaying the Appearance of Red Mark Syndrome in Korea. Microorganisms. 2019; 7(9):302. https://doi.org/10.3390/microorganisms7090302
Chicago/Turabian StyleOh, Woo Taek, Sib Sankar Giri, Saekil Yun, Hyoun Joong Kim, Sang Guen Kim, Sang Wha Kim, Jeong Woo Kang, Se Jin Han, Jun Kwon, Jin Woo Jun, and et al. 2019. "Emergence of Rickettsial Infection in Rainbow Trout (Oncorhynchus mykiss) Fry Displaying the Appearance of Red Mark Syndrome in Korea" Microorganisms 7, no. 9: 302. https://doi.org/10.3390/microorganisms7090302
APA StyleOh, W. T., Giri, S. S., Yun, S., Kim, H. J., Kim, S. G., Kim, S. W., Kang, J. W., Han, S. J., Kwon, J., Jun, J. W., & Park, S. C. (2019). Emergence of Rickettsial Infection in Rainbow Trout (Oncorhynchus mykiss) Fry Displaying the Appearance of Red Mark Syndrome in Korea. Microorganisms, 7(9), 302. https://doi.org/10.3390/microorganisms7090302

